Reconstrucción del aparato extensor de la rodilla. A propósito de un caso
Mauricio Rudaz, Marcos Maiorano, Favio Moruno
Hospital Dr. Carlos Bocalandro, Buenos Aires, Argentina
RESUMEN
Describimos una técnica simple de reconstrucción del aparato extensor por ruptura crónica del tendón rotuliano mediante la utilización de autoinjerto de isquiotibiales ipsilateral, tunelizando la rótula y asociando a reparación directa del tendón remanente con anclajes óseos. El tiempo de evolución de la lesión fue de tres meses, seguimiento de ocho meses con puntuación de Lysholm prequirúrgica de 46 y postquirúrgica de 91, Insall-Salvati prequirúrgico de 2 y postquirúrgico de 1. No presentó complicaciones.
Palabras clave: Lesión Crónica De Tendón Rotuliano; Reconstrucción; Injertos Isquiotibiales
ABSTRACT
We describe a simple technique for the reconstruction of the extensor apparatus due to chronic rupture of the patellar tendon by using an ipsilateral hamstring autograft with tunneling of the patella and associating a direct repair of the remaining tendon with bone anchors. The time of evolution of the lesion was three months. Eight months follow-up with a presurgical Lysholm score of 46 and postsurgical of 91, presurgical Insall-Salvati of 2 and postsurgical of 1. There were no complications.
Key words: Chronic Patellar Tendon Injury; Reconstruction; Hamstring Grafts
INTRODUCCIÓN
Las rupturas agudas del tendón rotuliano son raras, usualmente ocurren en gente joven, cerca del polo inferior de la rótula, o en el extremo inferior del tendón rotuliano, debido a actividades deportivas y son tratadas primariamente.1-4 También se presentan las rupturas crónicas y se deben comúnmente a negligencia por parte del paciente, el tratamiento conservador, o un diagnóstico fallido.5, 6
El tratamiento quirúrgico de las rupturas crónicas del tendón rotuliano es más demandante que el de las rupturas agudas, y sus resultados son menos favorables.2, 5, 7, 8 Las técnicas quirúrgicas se basan en la reconstrucción del tendón rotuliano, incluyen el uso de injerto autólogo, aloinjerto9 y materiales artificiales.
El objetivo de este trabajo es mostrar nuestro resultado en el tratamiento quirúrgico de la rotura del tendón rotuliano crónico, presentar una técnica reproducible y anatómica para la reconstrucción del aparato extensor, permitiendo la movilización temprana de la rodilla, y un solo tiempo quirúrgico.
MATERIALES Y MÉTODOS
Paciente de cuarenta y un años, deportista aficionado, de sexo masculino, evaluado en nuestro servicio por cuadro clínico con tres meses de evolución, refiere dificultad para la deambulación e incapacidad absoluta para la extensión de su rodilla derecha.
Al examen físico, ascenso de la rótula derecha, presenta gap evidente, distal al polo inferior de la rótula, sin dolor a la palpación o movilización pasiva e incapacidad para extender la rodilla activamente contra la gravedad (figs. 1 y 2).
Figura 1: Extensión pasiva, ascenso de la rótula con gap evidente.

Figura 2: Flexión pasiva con visualización de cóndilos femorales.
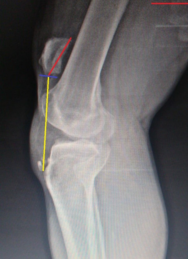
Al examen radiológico se evidencia migración de 6 cm de la rótula hacia proximal y aumento del índice Insall-Salvati: 2 (fig. 3). La RM informa avulsión del polo distal de la rótula. El paciente asistió nuevamente a nuestro servicio con seis meses de evolución.

Figura 3: Radiografía prequirúrgica. Insall-Salvati: 2.
Técnica quirúrgica
Se realiza un abordaje mediano de rodilla, divulsión hasta la lesión del tendón rotuliano y rótula. Se coloca una clavija en la zona media de la rótula en forma transversal mediante la cual se intenta su descenso, al no lograrlo, se efectúa una zetaplastia del tendón del cuádriceps más liberación del alerón externo rotuliano (fig. 4) y se logra su descenso, constatando un adecuado posicionamiento de la rótula mediante Insall-Salvatti intraoperatorio y su correcta localización en la entrada troclear a 30° de flexión de rodilla.
La reparación del tendón rotuliano se realiza mediante dos anclajes con arpones óseos de titanio, con doble sutura de alta resistencia, se hace doble puntada Krackow del tendón remanente a la rótula, y se logra la reparación hueso-tendón.

Figura 4: Zetaplastia del cuádriceps y liberación del alerón rotuliano externo.

Figura 5: Injertos autólogos de recto interno y semitendinoso.

Figura 6: Fijación de injertos autólogos con puntos continuos.
RESULTADOS
Luego del acto quirúrgico, el paciente evolucionó sin complicaciones, con cicatrización completa de la herida y sin signos de infección.
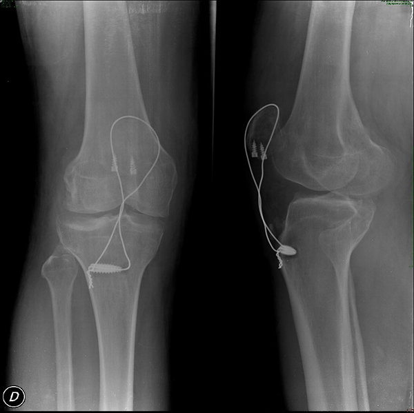
Se realizaron controles radiográficos y de la herida semanalmente. Se indicó movilización activa sin resistencia a la sexta semana y posteriormente rehabilitación gradual con fisioterapia. Se obtuvieron excelentes resultados en cuanto a la capacidad funcional y reincorporación a la actividad laboral (fig. 7).

Figura 7: Radiografía de control en postquirúrgico inmediato.
El score de Lysholm arrojó un resultado de 91 puntos. Según la escala de Daniels el paciente se encuentra en un grado 5. El Insall-Salvati se evaluó mediante controles radiográficos en consultorio con un valor final de 1 (Tabla 1).
TABLA 1. RESUMEN DE RESULTADOS
|
Prequirúrgico |
Postquirúrgico |
ROM |
Flexión: 100° |
Flexión: 10-130° |
Daniels |
2 |
5 |
Lysholm |
46 puntos |
91 puntos |
Insall-Salvati |
2 |
1 |
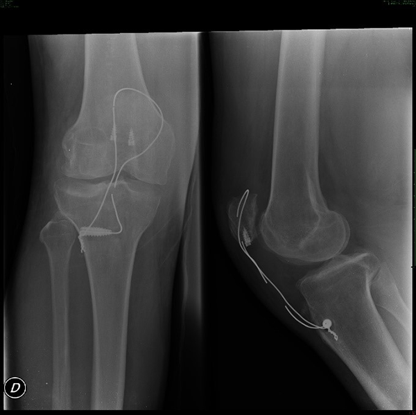
El seguimiento a los ocho meses mostró que el paciente alcanzó la marcha sin apoyo con un rango de movimiento funcional, tanto para la flexión como para la extensión, comparativa con la contralateral (figs. 8 a 11).

Figura 8: Radiografía de control postquirúrgico a los ocho meses (se observa ruptura del cerclaje).

Figura 9: Extensión pasiva completa.

Figura 10: Extensión activa con déficit de aproximadamente 5° (ROM 10° a 130°).

Figura 11: Flexión activa de 130° (ROM 10° a 130°).
DISCUSIÓN
La mayoría de las técnicas reconstructivas propuestas se basan en la utilización de autoinjertos tendinosos. Nguene-Nyemb presentó el reporte de un caso con el uso del tendón del semitendinoso preservando la inserción tibial, tunelizando la rótula y suturando el tendón rotuliano, logró un rango de movimiento completo con un seguimiento de veinticuatro meses.5 Bek y Tsitskaris publicaron una reparación similar con la adición de una tunelización tibial y un cerclaje alámbrico, con preservación de su inserción distal suturaron los isquiotibiales entre sí y con el tendón rotuliano, para formar un marco entre la rótula y la TAT.2, 10 También lo hicieron Chen y cols. obteniendo resultados satisfactorios a veinticuatro meses en el reporte de dos casos.7 Ayas presentó dos casos con el uso del tendón peroneo largo como técnica de aumentación, con excelentes resultados a veinticuatro meses de seguimiento, la que podría ser una alternativa viable.11 Cherrad y Gómez utilizaron injerto del tercio medio del tendón de cuádriceps ipsilateral con anclaje en la TAT y cerclaje alámbrico de protección, con un retorno a las actividades cotidianas a los siete meses de seguimiento.8, 12
El trabajo de Casey informó sobre cuatro casos en los que tuvieron éxito con cerclaje múltiple en ocho, que mecánicamente es más fuerte que un solo circuito circunferencial.1 Sin embargo, hay autores que no recomiendan la tunelización rotuliana y el cerclaje con alambre.5
Nos encontramos frente a una patología poco frecuente, con falta de consenso en su tratamiento y rehabilitación, y con escasa bibliografía, por lo que se debe decidir el tratamiento más adecuado según cada paciente. Se necesitan estudios prospectivos a largo plazo para evaluar los resultados.
Cabe mencionar la brevedad del seguimiento como debilidad de nuestro caso, considerando que la mayoría de las publicaciones arroja un mínimo de veinticuatro meses.
No obstante, nuestra técnica obtiene como resultado una restitución anatómica del aparato extensor que permite el retorno de la fuerza y función completas, a través de la rehabilitación temprana.
CONCLUSIÓN
Consideramos que para el tratamiento de la ruptura crónica completa del tendón rotuliano en pacientes jóvenes, el tratamiento quirúrgico por medio de la técnica de reparación más reconstrucción, mediante anclajes óseos del tendón rotuliano más plástica de aumentación con autoinjertos de isquiotibiales, y la zetaplastia del tendón cuadricipital, en caso de ser necesario, es una opción que puede ser segura y confiable, con la que es posible lograr buenos resultados, con un restablecimiento completo de la función del aparato extensor.
BIBLIOGRAFÍA
1. Casey MT; Tietjens BR. Neglected ruptures of the patellar tendon: a case series of four patients. Am J Sports Med, 2001; 29(4): 457–60. DOI:10.1177/03635465010290041301.
2. Bek D; Demiralp B; Kömürcü M; Sehirlioğlu A. Neglected patellar tendon rupture: a case of reconstruction without quadriceps lengthening. J Orthop Traumatol, 2008; 9(1): 39‐42. DOI:10.1007/s10195-008-0103-6.
3. Lanzi JT Jr; Felix J; Tucker CJ; Cameron KL; Rogers J; Owens BD; Svoboda SJ. Comparison of the suture anchor and transosseous techniques for patellar tendon repair. Biomechanical study. Am J Sports Med, 2016; 44(8): 2076-80. DOI.org/10.1177/0363546516643811.
4. Nguene-Nyemb AG; Huten D; Ropars M. Chronic patellar tendon rupture reconstruction with a semitendinosus autograft. Orthop Traumatol Surg Res, 2011 97(4): 447-50. DOI.org/10.1016/J.OTSR.2011.01.015.
5. Takazawa Y; Ikeda H; Ishijima M; et al. Reconstruction of a ruptured patellar tendon using ipsilateral semitendinosus and gracilis tendons with preserved distal insertions: two case reports. BMC Res Notes, 2013; 6(361): 1-5. DOI:10.1186/1756-0500-6-361.
6. Valianatos P; Papadakou E; Erginoussakis D; Kampras D; Schizas N; Kouzoupis A. Treatment of chronic patellar tendon rupture with hamstrings tendon autograft. J Knee Surg, 2020; 33(8): 792-7. DOI:10.1055/s-0039-1688499.
7. Chen B; Li R; Zhang S. Reconstruction and restoration of neglected ruptured patellar tendon using semitendinosus and gracilis tendons with preserved distal insertions: Two case reports. Knee, 2012; 19(4): 508-12. DOI:10.1016/j.knee.2011.07.007.
8. Gomes J; Alves J; Zimmermann J Jr. Reconstruction of neglected patellar tendon ruptures using the quadriceps graft. Orthopedics, 2014; 37(8): 527-9. DOI:10.3928/01477447-20140728-04.
9. Patiño O; Bronenberg Victorica P; Sánchez Saba JE; Zicaro JP; Yacuzzi C; Costa Paz M. Reconstrucción del aparato extensor de la rodilla con aloinjerto: técnica quirúrgica y protocolo de rehabilitación. Rev Asoc Argent Ortop Traumatol, 2020; 85(1): 74-81. DOI.org/10.15417/issn.1852-7434.2020.85.1.959
10. Tsitskaris K; Subramanian P; Crone D. Neglected patellar tendon rupture. Reconstruction using semitendinosus-gracilis tendon grafts and FiberWire augmentation. JRSM Short Rep, 2013; 4(8): 1-3. DOI:10.1177/2042533313490286.
11. Ayas MS; Gül O; Okutan AE; Turhan AU. Extensor mechanism reconstruction with peroneus longus tendon autograft for neglected patellar fracture, report of 2 cases. J Clin Orthop Trauma, 2019; 10(Suppl 1): S226-S230.
12. Cherrad T; Louaste J; Kasmaoui EH. Bousbaä H; Rachid K. Neglected bilateral rupture of the patellar tendon. A case report. J Clin Orthop Trauma, 2015; 6(4): 296–9. DOI.org/10.1016/j.jcot.2015.04.003.