Re-revisión del ligamento cruzado anterior con autoinjerto de tendón cuadricipital asociado a reconstrucción del ligamento anterolateral con aloinjerto e InternalBracetm
Horacio F. Rivarola Etcheto, Marcos Durán Álvarez, Cristian Collazo, Marcos Palanconi
Hospital Universitario Austral, Buenos Aires, Argentina
Hospital Universitario Fundación Favaloro, Buenos Aires, Argentina
Horacio F. Rivarola Etcheto
horaciorivarola@hotmail.com
RESUMEN
Las cirugías de revisión de plástica del ligamento cruzado anterior (LCA) son cada vez más frecuentes debido a la creciente demanda y a la ruptura de las cirugías primarias. Además, el desarrollo y aprendizaje de nuevas técnicas quirúrgicas permiten al paciente cursar un período postoperatorio más breve, reincorporándose precozmente a sus actividades deportivas habituales o a nuevas modalidades. Las cirugías de revisión del LCA son siempre un desafío para el cirujano y su equipo, ya sea por la técnica demandante como por las opciones de injertos a elegir, o por las expectativas del paciente y del propio equipo médico, con fines de restaurar la estabilidad y funcionalidad articular con buenos resultados clínicos. En la literatura médica actual, existen muchas configuraciones disponibles para realizar una revisión del LCA, desde combinaciones entre tipos y orígenes de los injertos (autólogos, aloinjertos, sintéticos; isquiotibiales, rotuliano, cuadricipital; ipsilateral, contralateral) a gestos quirúrgicos (reconstrucciones, aumentaciones, refuerzos; extra o intraarticulares).
El presente trabajo es un reporte de caso de una re-revisión del LCA con injerto autólogo ipsilateral de tendón cuadricipital de espesor completo con taco óseo, sutura meniscal interna y externa, sumado a la aumentación extraarticular con reconstrucción del LAL, con empleo de aloinjerto de tendón tibial anterior reforzado con un InternalBracetm sintético a través de técnica miniinvasiva por dos incisiones, haciendo hincapié en los detalles técnicos y posibles complicaciones asociados a dicho procedimiento.
Palabras clave: Re-revisión del Ligamento Cruzado Anterior (LCA); Ligamento Anterolateral (LAL); Aumentación/Refuerzo Extraarticular; InternalBracetm
ABSTRACT
Anterior cruciate ligament (ACL) revision surgeries are becoming more frequent due to the increasing demand and rupture of primary surgeries. In addition to this, the development and learning of new surgical techniques allow the patient to complete a shorter postoperative period, returning their usual sports activities or new sports modalities early. ACL revision surgeries are always a challenge for the surgeon and his team, whether due to the demanding technique, the graft options to choose from, or the expectations of the patient and the medical team itself, to restore joint stability and functionality with good clinical results. In the current medical literature, there are many configurations available to perform an ACL revision, from combinations of graft types and origins (autologous, allograft, synthetic; hamstring, patellar, quadriceps; ipsilateral, contralateral) to surgical techniques options (reconstructions, augmentations, reinforcements; extra or intra-articular).
The present study is a case report of a re-revision of the ACL with autologous ipsilateral full thickness quadriceps tendon graft with bone block, internal and external meniscal suture, added to the extra-articular augmentation with ALL reconstruction using tendon allograft tibialis anterior reinforced with a synthetic InternalBracetm through a mini-invasive technique with two incisions, emphasizing the technical details and possible complications associated with this procedure.
Key words: Re-revision Anterior Cruciate Ligament (ACL); Antero Lateral Ligament (ALL); Extra-articular Augmentation; InternalBracetm
INTRODUCCIÓN
La frecuencia de revisiones de plásticas del ligamento cruzado anterior (LCA) ha aumentado considerablemente en los últimos años, debido a un incremento en las cirugías primarias y a las rupturas de estas, e incluso ya hay series publicadas de “ruptura de revisiones”. Diversas son las causas que pueden llevar al fracaso de una reconstrucción y/o revisión del LCA y a la re-ruptura ligamentaria, entre ellas las relacionadas con los errores técnicos (procedimiento, ubicación y orientación de túneles), traumáticas, biológicas (laxitud, enfermedades del colágeno), naturaleza del injerto utilizado (autólogo, aloinjerto, sintéticos), omisión de inestabilidades asociadas al momento del diagnóstico inicial, hiperlaxitud, etc.1
La literatura disponible demuestra que, teniendo en cuenta que el objetivo principal es restaurar la estabilidad articular, los resultados de una revisión o de una re-revisión del LCA son inferiores a los de una plástica primaria, y que los logros de la utilización de aloinjertos frente a injertos autólogos también son inferiores, lo que en la actualidad refuerza la indicación de algún tipo de aumentación/refuerzo extraarticular y de priorizar el uso de injertos autólogos para intentar disminuir las posibilidades de una nueva falla.
El concepto de inestabilidad rotacional asociada a lesión del LCA lleva muchas décadas desde su primera descripción, pero los primeros resultados satisfactorios de aumentación extraarticular fueron descriptos por Lemaire en 1967. El autor describió un procedimiento mediante la utilización de un colgajo autólogo de fascia lata para mejorar la estabilidad rotacional en rodillas con insuficiencia crónica del LCA. Sin embargo, no hay consenso sobre cómo cuantificar el déficit de estabilidad rotacional en lesiones asociadas del LCA; tampoco en cuándo asociar una técnica extracapsular a la plástica del LCA. La inestabilidad rotacional, en muchos casos, no es satisfactoriamente tratada mediante la reconstrucción aislada del LCA. Se considera fundamentado asociar la reconstrucción del ligamento anterolateral (LAL), o refuerzos extraarticulares, en pacientes jóvenes activos aun en cirugías primarias.2
Basado en todo lo expuesto, el desarrollo de dispositivos sintéticos como alternativa al reemplazo o refuerzo de los injertos biológicos para reconstrucciones ligamentarias data de 1980, con potenciales ventajas como la ausencia de morbilidad asociada al sitio donante, el retorno precoz a la actividad deportiva3-5 y principalmente su función estructural.6, 7
Una opción prometedora puede ser reforzar el injerto débil de tejido blando con una cinta de sutura de alta resistencia para reducir las fuerzas excesivas en el injerto que resultarían en un alargamiento irreversible durante las fases de curación y remodelación. Este método se ha utilizado en informes de casos de reparación del ligamento cruzado anterior (LCA),8 así como en la reparación de los ligamentos mediales de la rodilla con resultados favorables.9 Analizando las complicaciones de la utilización de algunos de estos materiales, se reporta en la literatura un índice de re-ruptura a diez años del 27.8%. Las publicaciones respecto de esta alternativa quirúrgica brindan información controversial, y en la literatura no se observa evidencia suficiente aún que avale este sistema como alternativa en reconstrucción del LCA a largo plazo.3 Han sido descriptas múltiples complicaciones asociadas a los dispositivos: fallas mecánicas, inestabilidad recurrente, reacción sinovial a cuerpo extraño, derrames articulares a repetición y, últimamente, reportes de artrosis precoz.3-5
El “InternalBracetm” es una cinta de cadena larga de polietileno, multibanda, que auxilia en la reparación de ligamentos. Es una adición indolora a cualquier reparación o aumentación de ligamentos y los protege durante el período crucial de curación y remodelación; por lo tanto, permite una movilización inmediata que muchas veces no es posible en la reconstrucción con injertos en forma aislada.
Esta publicación tiene como propósito reportar un caso de una re-revisión del LCA al que se le había asociado una plástica tipo Lemaire, con injerto autólogo ipsilateral de tendón cuadricipital de espesor completo con taco óseo, sutura meniscal interna y externa, sumado a la aumentación extraarticular con reconstrucción del LAL, utilizando aloinjerto de tendón tibial anterior reforzado con un InternalBracetm sintético a través de técnica miniinvasiva por dos incisiones; se hace hincapié en los detalles técnicos y posible complicaciones asociados a dicho procedimiento.
REPORTE DE CASO
Paciente de veintiún años que realiza con frecuencia fútbol y rugby como actividades deportivas recreativas, con antecedente de reconstrucción primaria del LCA de rodilla derecha con injerto autólogo hueso-tendón-hueso (H-T-H) rotuliano ipsilateral de cinco años de evolución (2015), revisión del LCA con injerto autólogo semitendinoso-recto interno (ST-RI) ipsilateral más aumentación extraarticular tipo Lemaire de 2.5 años de evolución (2017), quien consulta en nuestro servicio de artroscopía de rodilla por gonalgia aguda e inestabilidad de la misma rodilla derecha, secundaria a evento traumático con mecanismo de rotación de miembro inferior con pie fijo sumado a valgo forzado en práctica deportiva (fútbol).
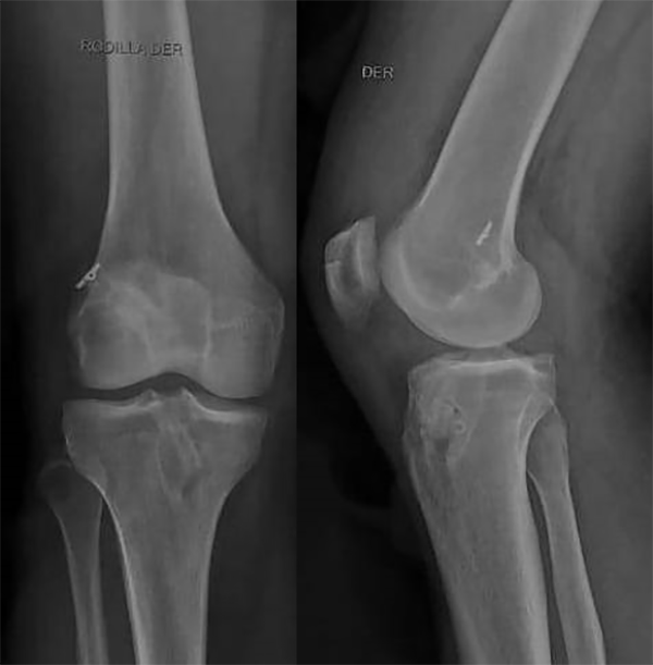
Al examen físico se evidenciaba rodilla derecha con recurvatum (paciente hiperlaxo), tumefacta, con moderado derrame articular y presencia de choque patelofemoral, limitación del rango de movilidad por dolor, maniobras de Lachman (+++/+++) y Pivot shift (+++/+++, explosivo), signos meniscales internos y externos, translación y rotación interna tibial. Se solicitó un par radiográfico de esa rodilla, en la que se evidenciaron túneles femorales y tibiales realizados con técnica anatómica (transportal medial) con satisfactoria ubicación y orientación, sin aumento de tamaño significativo (diámetro y longitud) (fig. 1). Se evaluó específicamente la pendiente o slope tibial, sin encontrarla aumentada. Debido a esto no se consideró necesario complementar estudios de imágenes preoperatorios con tomografía computada (TAC).
Figura 1: Rx rodilla derecha frente y perfil.
A continuación, se solicitó RM, donde se observaron, como datos positivos, la solución de continuidad completa de fibras del neoLCA de injerto autólogo de ST-RI de la revisión, lesión en tercio posterior de menisco medial, lesión en inserción posterior de menisco lateral y disrupción ligamentaria-capsular en sector anterolateral de rodilla con edema de partes blandas (figs. 2 y 3).

Figura 2: RM corte sagital. Lesión completa de plástica de revisión del LCA, presencia de tornillo tibial.

Figura 3: RM. Corte sagital. Lesión de ambos meniscos en su tercio posterior, traslación anterior de la tibia más evidente en el compartimento lateral.
A partir de este momento, decidida la conducta quirúrgica, se indicó iniciar rehabilitación preoperatoria funcional y desinflamatoria con fisiokinesiología por aproximadamente tres semanas. Se planificó realizar re-revisión del LCA con injerto autólogo de tendón cuadricipital de espesor completo con taco óseo ipsilateral, decisión intraoperatoria de suturas meniscales o meniscoplastia, sumada a una reconstrucción anatómica del LAL utilizando aloinjerto de tendón tibial anterior reforzado con un InternalBracetm a través de técnica miniinvasiva por dos incisiones, ya descripta en nuestras publicaciones previas.2
En el momento quirúrgico se practicó la semiótica bajo anestesia en el quirófano, con el paciente en decúbito dorsal. Se exploraron la traslación rotacional y la ausencia de lesiones ligamentarias asociadas aplicando un protocolo de maniobras clásicas: Lachman +++, Pivot shift +++, Dial test, Slocum test. El miembro a ser operado se preparó sin soportamuslo de tal manera que permitiera una movilidad entre 0 y 120°. Se practicó isquemia preventiva aplicando manguito neumático en muslo. Se realizaron un primer tiempo artroscópico y un segundo tiempo extraarticular.
Tiempo artroscópico
Antes de iniciar este tiempo se realiza la toma del injerto autólogo cuadricipital de espesor completo con taco óseo ipsilateral según técnica original descripta y a través de una miniincisión cutánea longitudinal suprapatelar de 2 cm. Llegando al plano tendinoso, se efectúan dos incisiones paralelas longitudinales centrales en este, y se obtiene una lonja de aproximadamente 8 cm de longitud por 10 mm de ancho, con espesor completo del tendón cuadricipital y con taco óseo de polo superior rotuliano de 15 mm de longitud por 10 mm de ancho, trapezoidal, con exactitud y precisión preservándose stock óseo rotuliano (fig. 4).
Luego se procede al cierre con sutura reabsorbible del tendón cuadricipital, tejido celular subcutáneo y piel. Se preparó y se reservó el injerto adecuadamente.

Figura 4: Injerto de tendón cuadricipital de espesor completo y con taco óseo de 20 mm.
A través de los portales clásicos (anterolateral y anteromedial) se exploró la articulación, procurando identificar lesiones asociadas. En concordancia con estudio previo de RM se corroboró la rotura completa de las fibras del neoLCA de injerto autólogo ST-RI de la primera revisión, la lesión longitudinal en zona roja-blanca de cuerno posterior de menisco medial, la lesión insercional posterior de menisco lateral y moderada sinovitis.
Se efectuó inicialmente la sutura meniscal interna con dos puntos verticales, y luego la sutura de la desinserción posterior del menisco lateral, ambas con técnica fuera-dentro (outside-inside), logrando una correcta reducción y estabilidad de ambos meniscos.
A continuación, la reconstrucción del LCA fue practicada con técnica transportal medial (anatómica), permitiendo cubrir mejor la huella femoral. Se realizó el túnel femoral usando parte del túnel preexistente, comenzando con una mecha de 8 mm, ubicándolo mínimamente más posterior y proximal; luego se utilizó mecha de 9 mm, y a continuación dilatador de 9-10 mm. A nivel tibial, se empleó el mismo túnel preexistente en su totalidad, trabajándolo con mecha de 8 mm en un principio, y luego con la de 9 mm, concluyéndolo al igual que el túnel femoral con dilatador de 9-10 mm para compactar bien el hueso esponjoso. Se introdujo el nuevo injerto autólogo cuadricipital según técnica conocida, y nueva fijación con dos tornillos biocompuestos (Biocomposite-Arthrex® original) de 8x23 mm y 9x23 mm, se constató buena isometría y tensión (fig. 5).

Figura 5: Visión artroscópica. A) Sutura meniscal interna con dos puntos verticales. B) Sutura meniscal externa con dos puntos verticales. C) Túnel femoral. D) Plástica de re-revisión con autoinjerto cuadricipital.
Tiempo extraarticular
Para reconstruir al LAL es menester contar con un injerto cuya longitud mínima sea de 70 mm.2 Se utilizó aloinjerto de tendón de tibial anterior de 6 mm de diámetro, con refuerzo sintético tipo InternalBracetm (fig. 6).

Figura 6: Aloinjerto e InternalBracetm montados en SwiveLock (Arthrex®).
Se identificaron en la piel los puntos anatómicos de referencia. El punto de fijación proximal (femoral) es inmediatamente posterior y proximal al epicóndilo femoral lateral, se dirige de manera oblicua distalmente y anterior hacia el extremo proximal de la tibia, donde se inserta a mitad de distancia entre el tubérculo de Gerdy y la cabeza del peroné 11 mm distalmente a la interlínea articular, la que fue identificada por medio de una aguja hipodérmica. Su longitud es aproximadamente de 40.3 mm (± 6.2 mm); sus puntos de inserción se alejan a 90° de flexión y se aproximan en extensión completa. Se describen “expansiones” hacia el menisco lateral.2
La fijación del aloinjerto de tendón de tibial anterior más el InternalBracetm fue efectuada mediante dos tornillos para biotenodesis (SwiveLock BioComposite, Arthrex®). Para la fijación femoral se practicó una incisión longitudinal de 1.5 cm de longitud sobre el epicóndilo lateral. Se implantó una clavija guía roscada de 2.4 mm inmediatamente posterior y proximal con respecto a la inserción del ligamento lateral externo (LLE). Luego se realizó una tunelización de 20-22 mm de profundidad, con mecha canulada de 4.5 mm y se fijó uno de los extremos del aloinjerto más el InternalBracetm con un tornillo. A nivel tibial se hizo una incisión longitudinal también de 1.5 cm a nivel del punto de inserción descripto, se implantó una clavija guía roscada de 2.4 mm y se practicó una tunelización de 20-22 mm de profundidad con mecha canulada de 4.5 mm. Acto seguido, se deslizó el aloinjerto de tibial anterior más el InternalBracetm por debajo de la cintilla iliotibial, los cuales fueron fijados con otro tornillo manteniendo la rodilla en 30° de flexión, con el pie en posición neutra (fig. 7). Se evaluó la tensión final del conjunto y su comportamiento en flexo-extensión. Luego se procedió a la síntesis de partes blandas. Se evaluó la estabilidad intraoperatoria, Lachman, Pivot, con rango de movilidad completo.

Figura 7: A) Fijación a nivel proximal y posterior del epicóndilo lateral. B) Se lo pasa por debajo de la fascia lata, y se realiza el hoyo tibial entre el tubérculo de Gerdy y la cabeza del peroné. C) Se realiza el pasaje del injerto y del InternalBracetm en el punto tibial, traccionando desde medial. D) Fijación tibial del ligamento anterolateral e InternalBracetm con SwiveLock en 30° de flexión y pie en rotación neutra.
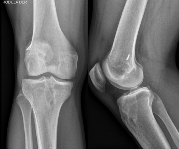
Se realizó control radiográfico postoperatorio, y se constató correcta posición de túneles y material de fijación. Rótula en buen estado (fig. 8).

Figura 8: Rx postoperatoria de rodilla derecha. Rótula, túneles e implantes de fijación en buen estado.
Cumplió con un protocolo de rehabilitación, ejercicios isométricos y de movilidad gradual, seguido de fortalecimiento muscular. El trote se autorizó al cuarto mes, entrenamiento progresivo al sexto mes y el retorno deportivo a los diez meses.
Con un seguimiento de dos años postoperatorios, el paciente presenta una rodilla fría, seca, estable, Lachman negativo y Pivot shift negativo, sin laxitudes periféricas, con buen trofismo muscular y con rango de movilidad completo. Actualmente practica deportes de pívot. El score de Tegner es 7, con una escala de Lysholm de 95 puntos.
DISCUSIÓN
Las cirugías de revisión del LCA son cada vez más frecuentes debido al aumento de cirugías reconstructivas en general. Estos procedimientos constituyen un verdadero desafío para el cirujano, no solo por cuestiones técnicas, sino también por las expectativas del paciente. El correcto diagnóstico de la inestabilidad recurrente y la evaluación de las causas que generaron dicha inestabilidad constituyen la base de la planificación quirúrgica. El éxito del procedimiento dependerá directamente de que esta planificación preoperatoria sea apropiada.
Como causas de fallas más frecuentes, en primer lugar está la técnica quirúrgica,10 en especial la ubicación y orientación de los túneles, principalmente el femoral. En segundo término las causas de origen traumáticas, y en tercer lugar las causas biológicas.10, 11 De cualquier manera, es importante aclarar que la mayoría de las veces las causas de fracaso en las cirugías reconstructivas del LCA, y su consecuente inestabilidad recurrente que lleva a la necesidad de realizar una revisión, tienen orígenes multifactoriales.1
Nissen K. y cols. realizaron un estudio basado en el registro danés donde evaluaron el índice de re-rupturas en cirugías de revisión del LCA con la utilización de aloinjertos. En el estudio observacional, el índice de re-revisión fue 2.2 veces más alto en aloinjertos comparado con injertos autólogos, teniendo en cuenta que se analizaron mismos grupos etarios. El uso de aloinjertos fue asociado con mayor laxitud residual a un año de seguimiento; sin embargo, los resultados clínicos subjetivos y la función de la rodilla no fueron inferiores en los pacientes en quienes se había utilizado aloinjerto. Concluyen que los resultados de su trabajo indican que el injerto autólogo es más seguro como injerto de elección en cirugía de revisión del LCA.12
Actualmente, hay una fuerte tendencia mundial a utilizar el injerto cuadricipital en cirugías primarias del LCA.13, 14 Sus ventajas son: mínima morbilidad de zona dadora, cosmética y que se puede utilizar con una gran versatilidad de métodos de fijación.15
En un estudio recientemente publicado, Diermeier T., Tisherman R., Hughes J. y cols. comentan que los injertos de tendón del cuádriceps se han vuelto más populares en los últimos años debido a las deficiencias con otras opciones de injerto, además que empleando la técnica apropiada se puede obtener un injerto que tiene mayor resistencia a la tracción y es más largo, más ancho y tiene aproximadamente un 50% más de masa que un tendón H-T-H. Se ha demostrado que un tendón cuadricipital de espesor completo con taco óseo sin el retináculo soporta una carga equivalente al H-T-H ante el fracaso. Se ha encontrado que el espesor promedio del tendón cuadricipital es casi el doble del espesor del H-T-H (8.4 ± 1.5 versus 4.3 ± 0.8 mm), y que el área de la sección transversal también es dos veces más grande que para un injerto H-T-H comparable (91.2 ± 10.9 versus 48.4 ± 8.1 mm2). Aun en una comparación de tendón cuadricipital con taco óseo y otro sin taco óseo, no reveló diferencias en los resultados clínicos, la estabilidad subjetiva o las tasas de fracaso; pero sí los injertos con bloque óseo adicional pueden proporcionar una consolidación más rápida en el túnel. Refiere que el tendón cuadricipital con taco óseo también se puede usar en casos de revisión, donde H-T-H se empleó previamente y los túneles existentes son demasiado grandes para el autoinjerto de isquiotibiales. Además, la fuerza del cuádriceps postoperatorio, registrada como porcentaje de la fuerza contralateral, no mostró diferencia significativa con las tomas de injerto de espesor completo o espesor parcial del tendón cuadricipital.16
En nuestro caso reportado, tratándose de un paciente joven, deportista, hiperlaxo, con antecedentes de dos reconstrucciones fallidas, la primera con injerto H-T-H autólogo y la segunda ST-RI autólogo más aumentación tipo Lemaire, se optó realizar la re-revisión con injerto autólogo ipsilateral de tendón cuadricipital de espesor completo con taco óseo, por presentar mejores resultados clínicos y funcionales descriptos en la literatura en comparación con aloinjertos, injertos sintéticos o aun híbridos, y también con la finalidad de preservar otros potenciales sitios donantes en la rodilla contralateral, más aún tratándose de un paciente joven y en plena actividad deportiva.
Por su antecedente de cirugía primaria con injerto H-T-H autólogo ipsilateral, la rótula podría presentar debilidad ósea residual en polo inferior, debido a esto fuimos exactos, precisos y delicados en obtener el taco óseo de polo superior de la rótula junto al injerto cuadricipital con espesor completo, preservando el máximo stock óseo posible sin comprometer la resistencia ósea. Según Freddie H. Fu y cols., la incidencia de fracturas rotulianas en toma de injerto autólogo de tendón cuadricipital con taco óseo fue de 3.5% intraoperatoriamente y 8.8% a los dos años. Afirma que se necesita un cuidadoso manejo del tendón del cuádriceps y conocimiento de la anatomía rotuliana para cosechar con seguridad el taco óseo del polo superior de la rótula.17
El paciente presentaba una gran inestabilidad rotacional cuantificada con Pivot shift grado 3 asociado a recurvatum, sin alteración de la pendiente o slope tibial, por lo que el refuerzo extraarticular era mandatorio y fundamental en su planificación. Ya se había realizado en la revisión una cirugía con técnica de Lemaire modificada, con autoinjerto de fascia lata. La decisión fue entonces efectuar una aumentación extraarticular, con la reconstrucción anatómica del ligamento anterolateral (LAL). Para esto, optamos por aloinjerto de tendón tibial anterior debido a su longitud, e igual que la decisión del injerto para el LCA, con el propósito de preservar los sitios donantes de injertos autólogos en la rodilla contralateral. Debido a su naturaleza alogénica y a su diámetro de 6 mm, decidimos agregar un refuerzo con InternalBracetm, aumentando su resistencia a las fuerzas de tracción y evitando así el alargamiento en las etapas de su incorporación.
Actualmente muchos cirujanos están asociando una tenodesis lateral modificada a la reconstrucción del LCA para mejorar la estabilidad rotacional en pacientes seleccionados. El procedimiento combinado se considera una opción útil para ciertos casos, ya que diferentes estudios han demostrado que con técnicas extracapsulares que refuercen la estabilidad rotacional, en casos de revisión del LCA, se logra mejorar el resultado funcional.2 Autores como Marcacci y cols., Dejour et al., y Valada y cols., son experimentados en este tipo de procedimiento y demuestran buenos resultados en sus series de trabajos científicos. También consideran que la técnica de aumentación extraarticular descripta por nosotros ofrece como ventaja principal la reproducción fiable de la anatomía del LAL con invasión reducida, con tiempo quirúrgico adicional breve y con técnica quirúrgica accesible a equipo quirúrgico entrenado.
Yoo y cols. presentaron un trabajo en el cual evaluaron ciento ochenta y tres pacientes estudiados con resonancia magnética, donde cuantificaban la localización de la lesión anterolateral (proximal-femoral, tercio medio y distal-tibial) en los que habían realizado reconstrucciones del LCA usando aloinjerto con técnica transtibial modificada. Efectuaron un second look a todos los pacientes a los dos años postoperatorios y evaluaron la tensión del injerto; concluyeron que aquellos pacientes que presentaban la lesión combinada del LCA y LAL mostraron una tensión más pobre del injerto cuando se realizó el second look artroscópico.18
Geeslin, Chahla y LaPrade presentaron un trabajo robótico comparando el LAL y la reconstrucción de Lemaire modificada con la rodilla intacta. Concluyeron que luego de la reconstrucción aislada del LCA con deficiencia de LAL y fibras de Kaplan se evidenció una laxitud residual, con una traslación anterior de 2 mm y rotación tibial interna de 4° comparando con la rodilla intacta. En cambio, en los casos de combinación con reconstrucción de LAL, o tenodesis extraarticular tipo Lemaire modificada, ambos resultaron en una reducción significativa de la traslación y la rotación interna tibial hasta menor que en la rodilla intacta (sobreconstricción). Se observó una reducción significativamente mayor en la laxitud con la rotación interna y las pruebas de cambio de pivote con el procedimiento Lemaire modificado, que con la reconstrucción del LAL en comparación con el estado intacto. Combinado con la reconstrucción del LCA, ambos procedimientos extraarticulares restauraron la traslación tibial anterior a valores no significativamente diferentes del estado intacto, con la mayoría de los escenarios de prueba (generalmente dentro de 1 mm).19
El InternalBracetm es un suture tape de una cadena larga de polietileno, multibanda, con biocompatibilidad intraarticular.20 Sus primeras utilizaciones fueron en tobillo, en la reparación y aumentación de los ligamentos laterales21, 22 y luego, dado los buenos resultados, fue usado en la reparación y aumentación de los ligamentos colaterales de la rodilla.23 Sus principales indicaciones en la actualidad son: reinserciones de LCA,24 autoinjertos menores a 8 mm, utilización de aloinjertos, cirugías de revisión, reconstrucciones del ligamento cruzado posterior (LCP), reconstrucciones extraarticulares, pacientes hiperlaxos, o atletas de élite.25
Específicamente con la utilización de aloinjertos irradiados, algunas publicaciones internacionales demostraron alta tasa de falla en pacientes jóvenes, con revascularización e incorporación del injerto más lenta que en injertos autólogos.26 Path Smith y cols. describen las ventajas de asociar en estos casos el InternalBracetm ya que minimiza la elongación, presenta menos riesgos de re-ruptura, fortalece la plástica y protege en el período de vascularización y remodelación.
El InternalBracetm presenta las siguientes ventajas: tensión independiente a la del injerto, protección durante el período de ligamentización, permite una rehabilitación precoz, su tamaño es de 3 mm, es flexible, presenta técnica reproducible y es biocompatible. Como desventajas se observan la posibilidad de sobreconstreñir la articulación y la falla por estrés.27
Monaco y cols. publicaron su utilización en la reconstrucción aguda del LCA y aumentación del ligamento anterolateral con InternalBracetm. Refieren que la aumentación anterolateral con InternalBracetm protege el injerto durante su maduración y permite una rehabilitación precoz.28
No hemos encontrado en la literatura la utilización combinada de aloinjerto e InternalBracetm en la reconstrucción anatómica del ligamento anterolateral.
CONCLUSIÓN
Las cirugías de re-revisión representan un desafío incluso para el cirujano experimentado, más aún en pacientes jóvenes, activos y deportistas con altas expectativas.
No existe consenso en cómo tratar estos pacientes, pero los lineamientos tienden a orientar por el uso de autoinjertos (si es posible) para la reconstrucción articular, combinado con un refuerzo extraarticular para intentar disminuir el índice de re-ruptura.
Siguiendo esa línea, en nuestro caso creemos que el injerto autólogo de tendón cuadricipital es una excelente opción para las revisiones del LCA, aun si previamente se utilizó el injerto rotuliano. Es importante evaluar cada caso en particular ya que inevitablemente la incidencia de fractura patelar es un riesgo que debe ser considerado. Para el tratamiento de la inestabilidad anterolateral recidivada, la reconstrucción del LAL con la combinación de aloinjerto e InternalBracetm es una opción para no abordar el miembro contralateral y proteger su incorporación con el InternalBracetm.
BIBLIGRAFÍA
1- Gigante F. Resultados de la cirugía de ligamento cruzado anterior. Comparación con la cirugía primaria. Artroscopía, 2011; 18(2): 78-86.
2- Rivarola H; Zordan J; Collazo C; y cols. Ligamento antero lateral de rodilla. Reconstrucción anatómica con técnica mini-invasiva de doble incisión. Artroscopía, 2016; 23(3): 132-5.
3- Tiefenboeck TM; Hofbauer M; et al. Clinical and functional outcome after anterior cruciate ligament reconstruction using LARSTM system at a minimum follow-up of 10 years. Knee, 2015; 22(6): 565-8.
4- Cerulli G; Manfreda F; et al. ACL reconstruction: choosing the graft. Joints, 2013; 1(1): 18-24.
5- Struewer J; Frangen T et al. Second-look arthroscopic findings and clinical results after polyethylene terephthalate augmented anterior cruciate ligament reconstruction. Int Orthop, 2013; 37(2): 327-35.
6- Lubowitz J. Editorial Commentary: Synthetic ACL grafts are more important than clinical nonbelievers may realize. Arthroscopy, 2015; 31(5): 969-70.
7- Muren O; Dalén N; et al. Gross osteolytic tibia tunnel widening with the use of Gore-Tex anterior cruciate ligament prosthesis. Acta Orthop, 2005; 76(2): 270-4.
8- Noonan BC; Bachmaier S; Wijdicks CA; Bedi A. Independent suture tape reinforcement of tripled smaller-diameter and quadrupled grafts for anterior cruciate ligament reconstruction with tibial screw fixation: a biomechanical full construct model. Arthroscopy, 2020; 36(2): 481–9.
9- Lubowitz JH; MacKay G; Gilmer B. Knee medial collateral ligament and posteromedial corner anatomic repair with internal bracing. Arthrosc Tech, 2014; 3(4): e505-8.
10- Mauch F; y cols. Differences in the placement of the tibial tunnel during reconstruction of the anterior cruciate ligament with and without computer-assisted navigation. Am J Sports Med, 2007; 35(11): 1824-32.
11- Denti M; y cols. Revision anterior cruciate ligament reconstruction: Causes of failure, surgical technique, and clinicals results. Am J Sports Med; 2008; 36(10): 1896-902.
12- Nissen K; et al. Allograft use results in higher re-revision rate for revision anterior cruciate ligament reconstruction. Orthop J Sports Med, 2018; 6(6): 2325967118775381.
13- Galan H; Slullitel D. Reconstrucción del ligamento cruzado anterior con tendón cuadricipital. Evaluación a 5 años. Artroscopía, 2019; 26(4): 108-12.
14- Slullitel D; Ojeda V. Reconstrucción del LCA “todo adentro” con tendón cuadricipital. Perforación y fijación por vía retrógrada. Artroscopía, 2008; 15(1): 52-6.
15- Slullitel D; Blasco A; Periotti G. Full-thickness quadriceps tendon: An easy cruciate reconstruction graft. Arthroscopy, 2001; 17(7): 781–3.
16- Diermeier T; Tisherman R; Hughes J; Tulman M; Baum Coffey E; Fink C; et al. Quadriceps tendon anterior cruciate ligament reconstruction. Knee, 2020; Published online: 18 February 2020.
17- Fu FH; Rabuck SJ; West RV; Tashman S; Irrgang JJ. Patellar fractures after the harvest of a quadriceps tendon autograft with a bone block a case series. Orthop J Sports Med, 2019; 7(3): 2325967119829051.
18- Yoo Jae-Sung; Kim Sung-Hyun; Park Hee-Gon; Yoon Sung-Hyun; Park Seung-Gwan. Influence of anterolateral ligament injuries on stability and second-look arthroscopic findings after allograft transtibial anterior cruciate ligament reconstruction. Knee, 2019; 26(1): 132-41.
19- Geeslin A; Chahla J; LaPrade R. Anterolateral knee extra-articular stabilizers: A robotic study comparing anterolateral ligament reconstruction and modified Lemaire lateral extra-articular tenodesis. Am J Sports Med, 2018; 47(3): 607-16.
20- Smith PA; Bozynski CC; Kuroki K; Henrich SM; Wijdicks CA; Cook JL. Intra-articular biocompatibility of multistranded, long-chain polyethylene suture tape in a canine ACL model. J Knee Surg, 2019; 32(6): 525-31.
21- Acevedo J; Vora A. Anatomic reconstruction of the spring ligament complex: “internal brace” augmentation technique. Tech Foot Ankle Surg, 2014; 13: 8993.
22- Mackay G; Ribbans W. The addition of an “Internal Brace” to augment the Broström technique for lateral ankle ligament instability. Tech Foot Ankle Surg, 2016; 15(1): 47–56.
23- Bachmaier S; Smith PA; Bley J; Wijdicks CA. Independent suture tape reinforcement of small and standard diameter grafts for anterior cruciate ligament reconstruction: A biomechanical full construct model. Arthroscopy, 2018; 34(2): 490-9.
24- Jonkergouw A; van der List JP; DiFelice GS. Arthroscopic primary repair of proximal ACL tears: outcomes of the first 56 consecutive patients and the role of additional internal bracing. Knee Surg Sports Traumatol Arthrosc, 2019; 27(1): 21-8.
25- Dabis J; Wilson A; et al. Repair and augmentation with internal brace in the multiligament injured knee. Clin Sports Med, 2019; 38(2): 275-83.
26- Insler J; Sherman O. Proposed autograft superiority to allograft use in return to sport rates following revision ACL reconstruction: A literature review. Sports Injr Med, 2018; 18(1): 1-5.
27- Smith PA; Bley J. Allograft anterior cruciate ligament reconstruction utilizing internal brace augmentation. Arthrosc Tech, 2016; 5(5): e1143-7.
28- Monaco E; Mazza D; Redler A; Drogo P; Wolf MR; Ferretti A. Anterolateral ligament repair augmented with suture tape in acute anterior cruciate ligament reconstruction. Arthrosc Tech, 2019; 8(4): e369-73.