Fractura de espina tibial y lesión en asa de balde de menisco interno
Horacio F. Rivarola Etcheto, Cristian Collazo Blanchod, Marcos Meninato, Juan Carraro, Facundo Cosini
Hospital Universitario Austral, Buenos Aires, Argentina
Hospital Universitario Fundación Favaloro, Buenos Aires, Argentina
Horacio Rivarola Etcheto
horaciorivarola@hotmail.com
RESUMEN
Introducción: las fracturas de la espina tibial son entidades con una baja incidencia, pero frecuentemente asociadas a lesiones concomitantes. La RM es el estudio considerado patrón de oro para estudiarlas y descartarlas.
Presentación del caso: se presenta un caso de fractura de espina tibial desplazada y lesión en asa de balde concomitante. El tratamiento artroscópico de la lesión consistió en la fijación de la fractura de espina tibial con dos pines biodegradables y sutura meniscal interna con tres sistemas todo-adentro Meniscal Cinch® y dos puntos verticales fuera-dentro con FiberWire 2.0®.
Conclusión: el paciente tuvo una excelente evolución clínica, sin presentar complicaciones inherentes a la lesión inicial ni al tratamiento implementado, con un retorno a sus actividades deportivas al mismo nivel previo a la lesión.
Palabras clave: Fractura Espina Tibial; Lesiones Asociadas; Lesiones Concomitantes; Menisco.
Tipo de estudio: Reporte de caso
ABSTRACT
Introduction: tibial eminence fractures are uncommon injuries but are frequently associated to concomitant injuries. MRI is considered the Gold Standard; it allows a detailed evaluation of any soft tissue involvement with the injury.
Case presentation: an unusual presentation case is reported: a displaced tibial spine fracture and a bucket handle medial meniscus injury. Arthroscopic reduction and fixation were performed, using two bioabsorbable pins for the tibial spine fixation; and three all-inside and two vertical outside-in sutures were needed for the medial meniscus repair.
Conclusion: the patient presented excellent clinical outcomes, without presenting inherent complications due to primary injury nor realized treatment, achieving sport activity levels prior to injury.
Key words: Tibial Eminence Fracture; Associated Lesions; Concomitant Injuries; Meniscal Lesions.
Type of study: Case report
INTRODUCCIÓN
Las fracturas avulsivas de espina tibial son relativamente infrecuentes: la incidencia descripta es de tres cada cien mil personas por año. Son más comúnmente vistas en niños dado que el LCA tracciona de la espina tibial inmadura causando una lesión por avulsión en lugar de una lesión en el LCA, como se presenta habitualmente en adultos.1
Este tipo de lesiones son fáciles de diagnosticar a partir de radiografías simples convencionales y hallazgos clínicos que incluyen dolor, limitación de su extensión, hemartrosis, e inestabilidad anterior de la rodilla.2
Hay que tener presente que pueden ocurrir lesiones concomitantes, las más descriptas son distensión de ligamentos colaterales, lesiones meniscales, del cartílago, lesión del ángulo posteroexterno y del LCP, y hay evidencia que sugiere que las lesiones asociadas son más usuales en adultos: las fracturas de la espina tibial en esta población son menos frecuentes y generalmente vinculadas a traumatismos de mayor energía, aumentando la incidencia de estas lesiones asociadas.2
El objetivo de esta presentación consiste en analizar las características clínicas y terapéuticas de un caso de observación excepcional: fractura de espina tibial grado 3 (Meyers–Mc Keever)3 asociada a lesión en asa de balde del menisco interno.
PRESENTACIÓN DEL CASO
Paciente de dieciséis años consulta por dolor de rodilla derecha y bloqueo articular luego de mecanismo traumático, pie fijo, valgo y rotación jugando al rugby. Al examen físico la rodilla presenta tumefacción local, con choque rotuliano +/+++, y manifiesta molestias frente a las maniobras semiológicas, bostezo interno doloroso, con defensa ante la maniobra de Lachman, con limitación de la movilidad por bloqueo articular y dolor en interlínea interna.
Se solicitó Rx, donde se constató fractura de espina tibial grado 3 (fig. 1), además, una tomografía axial computada (fig. 2), aportando un patrón conminuto del fragmento y RM, donde se evidenció, además de la fractura de espina tibial, una lesión en asa de balde del menisco interno (fig. 3).
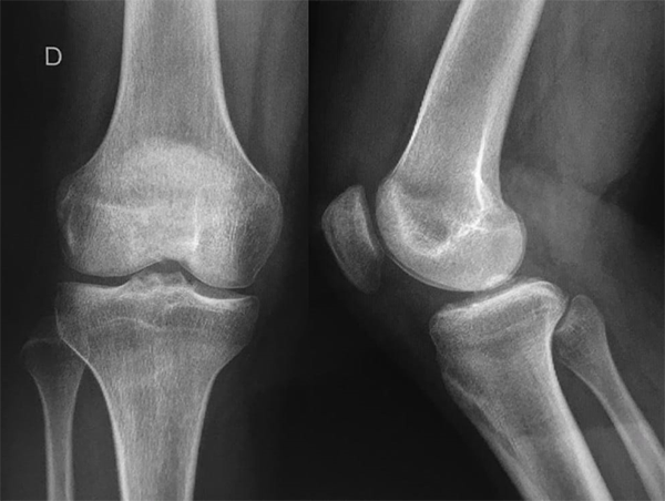
Figura 1: Radiografía de rodilla derecha frente y perfil. Nótese el déficit de extensión en el frente y la fractura avulsión de espina tibial en ambas proyecciones.

Figura 2: Tomografía axial computada de rodilla derecha. Imágenes coronales que muestran la fractura de espina tibial.

Figura 3: Resonancia magnética. A-B) Cortes coronales: distensión del ligamento colateral medial, lesión en asa de balde del menisco interno, fractura avulsión de espina tibial, “bone bruise” en compartimento lateral. C-D) Cortes sagitales: avulsión de espina tibial grado 3 y tercio posterior del menisco interno flipeado hacia anterior.
Se indicó tratamiento quirúrgico artroscópico de la lesión, planificando la síntesis de la fractura avulsión de la espina tibial y la sutura meniscal.
TÉCNICA QUIRÚRGICA
Se realizaron los portales habituales de rodilla: anteromedial y anterolateral, se evidenció lesión en asa de balde del menisco interno, luxada hacia intercóndilo asociada a fractura grado 3 de espina tibial (fig. 4).

Figura 4: Visión artroscópica de rodilla derecha. Fractura de espina tibial y asa de balde del menisco interno.
Se realizó la reducción del asa y luego se efectuó la sutura meniscal interna con tres Meniscal Cinch® (Arthrex, Naples, FL, EE. UU.) en tercio posterior y dos puntos fuera-dentro, verticales con FiberWire 2.0® (Arthrex, Naples, FL, EE. UU.) logrando una reducción y estabilidad satisfactorias (fig. 5).

Figura 5: Fijación de la lesión meniscal con cinco puntos, tres sistemas todo-adentro Meniscal Cinch® y dos puntos fuera-dentro.
Luego se efectuó un tercer portal transtendón rotuliano, y se realizó la reducción y fijación de la fractura de espina tibial con dos pines biodegradables SmartNail CONMED® de 1.5 mm de diámetro por 25 mm de longitud (fig. 6).

Figura 6: A) Fractura de espina tibial grado 3. B) Fijación con dos pines biodegradables.
El seguimiento postoperatorio comenzó con inmovilización de la rodilla por cuatro semanas con una férula inguinomaleolar, se permitieron ejercicios isométricos y de movilidad pasiva asistida 0-40° hasta la sexta semana, luego 0-90° hasta la octava semana. Al tercer mes se solicitó RM de control en la que se verificó reducción anatómica y consolidación de la fractura de espina tibial; menisco interno normoposicionado y de buena señal (figs. 7 y 8).

Figura 7: Resonancia de control. Cortes coronales, reducción anatómica y consolidación de la fractura de espina tibial. Menisco interno normoposicionado y de buena señal.

Figura 8: A) Corte sagital, LCA de buena señal, reducción de la fractura, material de fijación en espina tibial. B-C) Cortes sagital y axial. Menisco interno normoposicionado, cambios de señal vinculados a sutura meniscal.
Al cuarto mes se logró movilidad completa y se autorizó el trote, y al sexto mes la reinserción deportiva habitual y progresiva.
Al año postoperatorio presenta una rodilla fría, seca, estable, Lachman y Pivot negativos, con rango de movilidad 0-125°. En los scores funcionales: Lysholm, 97 puntos y Tegner, 7. Se solicitó Rx de control en la que se evidenció consolidación de la fractura (fig. 9).

Figura 9: Rx control de rodilla derecha. Un año postoperatorio. Signos de consolidación completa de la fractura de espina tibial.
DISCUSIÓN
La incidencia de las fracturas por avulsión de la espina tibial en la población pediátrica es de tres cada cien mil personas por año, y representan entre el 2 al 5% de las lesiones de la rodilla. Esta lesión en adultos es mayor de lo que antes se estimaba, ya que están asociadas a traumatismos de alta energía, por lo que su incidencia va en aumento. En algunas series presentadas reportan hasta un 40% de estas fracturas en la población adulta.4-6
Debemos sospechar siempre lesiones asociadas, ya que en un alto porcentaje de las fracturas por avulsión de la espina tibial se encuentran lesiones meniscales, del cartílago y de los ligamentos colaterales. La resonancia magnética debe ser siempre solicitada para detectar estas lesiones asociadas y realizar la correcta planificación quirúrgica.6 Se considera que pasan fácilmente desapercibidas o subdiagnosticadas por profesionales no entrenados o poco familiarizados con estas lesiones.7
De no realizar un tratamiento adecuado, las principales secuelas descriptas son: inestabilidad residual, limitación funcional caracterizada principalmente por el déficit de extensión máxima y las secuelas de las lesiones asociadas. Las espinas tibiales son descriptas anatómicamente como un relieve óseo que brinda inserción a diversas estructuras anatómicas. Al prestar inserción al LCA, su fractura puede generar inestabilidad residual causada por insuficiencia del LCA, al aproximarse sus puntos de inserción o por el daño fibrilar causado por la elongación del ligamento fuera de los límites fisiológicos.4, 8-20
Para médicos entrenados, el diagnóstico de estas lesiones es relativamente sencillo dado que el paciente presenta una sintomatología muy florida y se puede realizar con métodos simples. Además, estas manifestaciones pueden enmascarar lesiones asociadas que mediante la radiografía simple o la tomografía computada pueden ser difíciles de encontrar. Es por esto que se recomienda realizar RM de forma reglada a todos los pacientes con diagnóstico de fractura de espina tibial.21
La tasa de lesiones asociadas varía del 32 al 59%. La incidencia y el tipo de lesión asociada dependen del tipo de fractura.10-22
Kocher y cols. presentaron una serie de ochenta pacientes esqueléticamente inmaduros con lesión de la espina tibial: en treinta y seis pacientes encontraron una asociación con atrapamiento del tercio anterior del menisco interno; en seis, con el ligamento intermeniscal, y en un paciente, con el tercio anterior del menisco externo. Informan lesión meniscal en el 3.8% de los casos. Concluyen que el atrapamiento meniscal en el foco de fractura de la eminencia tibial tiene una alta incidencia, y la reducción abierta o artroscópica debe ser considerada.22 Mitchell y cols.9 presentan una serie de casos en las cuales las fracturas tipo I no se asociaron con ninguna lesión de tejidos blandos. En contraste, el 29% de las fracturas de tipo II fueron acompañadas por atrapamiento meniscal, 33% por desgarros meniscales y 7% por lesión condral. Las fracturas de tipo III en esta serie tienen un riesgo aún mayor de daño tisular concomitante, donde el 48% presentó atrapamiento meniscal, el 12% tenía desgarros meniscales y el 8% experimentaba lesión condral. Es esencial identificar lesiones asociadas ya que el atrapamiento de tejidos blandos es un factor importante a la hora de planificar el método de reducción.10
El objetivo en el tratamiento de esta lesión consiste en la reducción anatómica de la fractura y una fijación estable, en procura de restablecer las condiciones funcionales del LCA con el objetivo de evitar las secuelas antes descriptas. La gama de tratamientos recomendados es diversa: desde el tratamiento incruento hasta el quirúrgico, ya sea este abierto o artroscópico, utilizando diferentes sistemas de síntesis interfragmentaria.1, 3, 11 Varias técnicas quirúrgicas artroscópicas y abiertas fueron descriptas, sin embargo, actualmente no existe consenso sobre el método óptimo de fijación.
Las técnicas de reparación más comunes utilizan la reducción artroscópica con fijación con sutura o tornillos. Múltiples trabajos comparan estas dos técnicas sin hallar diferencias significativas en sus resultados clínicos.12-14 Callanan y cols.,15 en un estudio comparativo del 2019, concluyen que a pesar de no haber diferencias significativas en cuanto a los resultados clínicos, hallaron que las suturas de la espina tibial cedían con el tiempo sin generar cambios clínicos, y que la fijación con tornillos, en ciertos casos, requeriría de una nueva cirugía para retiro de material. Por tal motivo, creemos que es una buena alternativa la utilización de los pines biodegradables, ya que proporcionan la fijación propia de un tornillo, pero sin la necesidad de retirar el material en el futuro. Este implante tiene características propias de componentes y diseño que proveen propiedades ventajosas: al ser biodegradable se evita de necesidad de remoción secundaria; el diseño (cabeza y trama antideslizante) confiere capacidad compresiva a la vez que reduce la posibilidad de migración. Por otro lado, resulta ventajoso un mejor seguimiento imagenológico al evitar los cambios de señal en la RM, en tal sentido, representa el método de elección para el seguimiento de este tipo de lesiones.16, 17
Rivarola y cols.4 presentaron una serie de seis pacientes con fracturas avulsivas de espina tibial con fisis abierta tratados con pines biodegradables, en la que lograron la consolidación en todos los casos, con recuperación completa de la movilidad; la maniobra de Lachman fue negativa en cinco casos y de grado 1 en un caso y la maniobra de Pivot negativa en todos los casos. Objetivaron estos resultados con el score de Lysholm y IKDC con resultados excelentes en toda la serie. Concluyen que la utilización de estos implantes brinda resultados óptimos.
Para la sutura meniscal, se solicitó sistema all inside, por ser ideal para las lesiones del tercio posterior del menisco, dada su magnitud e inestabilidad se utilizaron tres Meniscal Cinch®, con figuración vertical, y un punto fuera-dentro vertical con FiberWire 2.0®, logrando una reducción y estabilidad satisfactorias.
CONCLUSIÓN
Se presentó un caso inusual, de fractura de espina tibial desplazada y lesión en asa de balde del menisco interno tratado por vía artroscópica en el mismo acto quirúrgico.
El tratamiento implementado mostró excelentes resultados clínicos permitiendo al paciente retorno a la actividad deportiva al mismo nivel previo a la lesión.
BIBLIOGRAFÍA
1. Aderinto J; Walmsley P; Keating JF. Fractures of the tibial spine: Epidemiology and outcome. Knee, 2008; 15(3): 164-7.
2. Ishibashi Y; Tsuda E; Sasaki T; Toh S. Magnetic resonance imaging AIDS in detecting concomitant injuries in patients with tibial spine fractures. Clin Orthop Relat Res, 2005; 434: 207-12.
3. Meyers MH; McKeever FM. Fracture of the Intercondylar Eminence of the Tibia. J Bone Joint Surg Am, 1970.
4. Rivarola HF; Collazo CC; Raimondi N; Autorino CM. Fractura osteocondral de rótula con fragmento libre intra-articular. Fijación con implantes biodegradables. Artroscopía, 2009; 16(1): 62-8.
5. Hayes JM; Masear VR. Avulsion fracture of the tibial eminence associated with severe medial ligamentous injury in an adolescent: a case report and literature review. Am J Sports Med, 1984; 12(4): 330–3.
6. Joshi A; Nagmani S; Basukala B; et al. Tibial spine avulsion of anterior cruciate ligament: current trend and management. July 2019, chapter 4; 12:09:13.
7. Hargrove R; Parsons S; Payne R. Anterior tibial spine fracture — an easy fracture to miss. Accid Emerg Nurs, 2004; 12(3): 173-5.
8. Noyes FR; Torvik PJ; Hyde WB; DeLucas JL. Biomechanics of ligament failure, II: an analysis of immobilization, exercise, and reconditioning effects in primates. J Bone Joint Surg Am, 1974; 56(2): 236-53.
9. Mitchell JJ; Sjostrom R; Mansour AA; et al. Incidence of meniscal injury and chondral pathology in anterior tibial spine fractures of children. J Pediatr Orthop, 2015; 35(2): 130-5.
10. Tuca M; Bernal N; Luderowski E; Green DW. Tibial spine avulsion fractures: treatment update. Curr Opin Pediatr, 2019; 31(1): 103-11.
11. Ahn JH; Yoo JC. Clinical outcome of arthroscopic reduction and suture for displaced acute and chronic tibial spine fractures. Knee Surg Sports Traumatol Arthrosc, 2005; 13(2): 116-21.
12. Gans I; Baldwin KD; Ganley TJ. Treatment and management out-comes of tibial eminence fractures in pediatric patients: a systematic review. Am J Sports Med, 2014; 42(7): 1743-50.
13. May JH; Levy BA; Guse D; Shah J; Stuart MJ; Dahm DL. ACL tibial spine avulsion: mid-term outcomes and rehabilitation. Orthopedics, 2011; 34(2): 89.
14. Hin YW; Uppstrom TJ; Haskel JD; Green DW. The tibial eminence fracture in skeletally immature patients. Curr Opin Pediatr, 2015; 27(1): 50-7.
15. Callanan M; Allen J; Flutie B; Tepolt F; Miller PE; Kramer D; Kocher MS. Suture versus screw fixation of tibial spine fractures in children and adolescents: A comparative study. Orthop J Sports Med, 2019; 7(11): 2325967119881961.
16. Mason H; Larson RL; Jones DC. “Fractures and dislocations of the knee”. En: Rockwood C Jr; Green DP (eds). Fractures in adults, (2.nd Ed). Philadelphia, JB Lippincott, 1984.
17. Lange RH; Vanderby R; Engber WD; Glad RW; Purnell ML. Biomechanical and histological evaluation of the Herbert screw. J Orthop Trauma, 1990; 4(3): 275-82.
18. Senekovic V; Veselko M. Anterograde arthroscopic fixation of avulsion fractures of the tibial eminence with a cannulated screw: five-year results. Arthroscopy, 2003; 19(1): 54-61.
19. Berg EE. Comminuted tibial eminence anterior cruciate ligament avulsion fractures: failure of arthroscopic treatment. Arthroscopy. 1993.
20. Bong MR; Romero A; Kubiak E et al. Suture versus screw fixation of displaced tibial eminence fractures: a biomechanical comparison. Arthroscopy, 2005; 9(4): 446-50.
21. Mitchell J; Sjostrom R; Mansour AA; Irion B; et al. Incidence of meniscal injury and chondral pathology in anterior tibial spine fractures of children. J Pediatr Orthop, 2015; 35(2): 130-5.
22. Kocher MS; Micheli LJ; Gerbino P; Hresko MT. Tibial eminence fractures in children, prevalence of meniscal entrapment. Am J Sports Med, 2003; 31(3): 404-7.
23. White EA; Patel DB; Matcuk GR; et al. Cruciate ligament avulsion fractures: Anatomy, biomechanics, injury patterns, and approach to management. Am Soc Emergency Radiol, 2013; 20(5): 429-40.