Revisión de ligamento cruzado anterior aislado o asociado a plástica extraarticular lateral. Estudio comparativo de treinta y seis casos
Juan Pablo Zícaro, Carlos Yacuzzi, Matías Costa Paz
Hospital Italiano de Buenos Aires, C.A.B.A., Argentina
RESUMEN
Introducción: el objetivo primario de nuestro trabajo es analizar los resultados funcionales y retorno deportivo de una serie de pacientes operados de revisión de LCA aislado y aquellos en quien se asoció una plástica extraarticular lateral (PEAL). Como objetivo secundario analizamos la tasa de re-ruptura en ambos grupos.
Materiales y métodos: cohorte retrospectiva con recolección de datos prospectivo. Se evaluaron pacientes consecutivos operados de revisión de LCA aislado entre 2014 y 2015 (Grupo 1), y en quienes se asoció una plástica extraarticular lateral (PEAL) entre 2015 y 2016 (Grupo 2). Fueron estudiados a través de un examen clínico, escalas subjetivas de Lysholm, IKDC, evaluación artrométrica con KT-1000, retorno deportivo y una resonancia magnética (RM) al año. Analizamos la tasa de re-ruptura.
Resultados: treinta y seis pacientes, dieciocho en cada grupo con un seguimiento promedio de cincuenta y tres meses (rango 37-73). Para la PEAL se realizó una tenodesis extraarticular lateral con fascia lata en trece casos y una reconstrucción con aloinjerto en cinco casos. La mediana de edad fue de 30.5 (RIC 27-36 años) en el Grupo 1 y 26.5 (RIC 24-33 años) en el Grupo 2. La mediana de la escala de Lysholm pre y postoperatoria fue 65 (RIC 61-72) y 91 (RIC 87-98) en el Grupo 1, y 72 (RIC 53-75) y 90 (RIC 79-95) en el Grupo 2 (p 0.1). La mediana de la escala de IKDC pre y postoperatoria fue 55 (RIC 45-65) y 80 (RIC 75-94) en el Grupo 1, y 56 (RIC 48-67) y 76 (RIC 68-84) en el Grupo 2 (p 0.11). Dieciséis (89%) pacientes en cada grupo retornaron al deporte. La tasa de re-ruptura fue 17% (n = 3) para el Grupo 1 y 5.5% (n = 1) para el Grupo 2 (p >0.6) en un promedio de veinticuatro meses.
Conclusión: los resultados clínicos y de retorno al deporte han demostrado ser satisfactorios ambos grupos. Si bien la tasa de re-ruptura fue tres veces menor en el Grupo 2, esta diferencia no fue significativa. Se requiere mayor número de pacientes y tiempo para establecer una conclusión.
Tipo de estudio: Cohorte retrospectiva
Nivel de evidencia: III
Palabras claves: Ligamento Cruzado Anterior; Revisión; Ligamento Anterolateral; Tenodesis Extraarticular Lateral; Plástica Extraarticular Lateral.
ABSTRACT
Introduction: the aim of this study is to compare the clinical outcomes and return to sports of a consecutive series of patients treated for revision ACL with and without a lateral extra-articular reconstruction. The secondary objective was to analyze the failure rate in both groups.
Materials and methods: we retrospectively evaluated a series of patients treated for isolated revision ACL between 2014 and 2015 (Group 1) and revision ACL associated with a lateral extra-articular plasty from 2015 to 2016 (Group 2). All patients were evaluated with clinical examination, subjective scales of Lysholm and IKDC, return to sports, arthrometric KT-1000 evaluation, magnetic resonance (MR) at one-year follow-up and failure rate.
Results: thirty-six patients were evaluated, eighteen in each Group with a mean follow-up of fifty-three months (range 37-73). For the LEAP, in thirteen cases we performed a lateral tenodesis with ilio-tibial band and in five cases a reconstruction using allograft. The median age was 30.5 (IQR 27-36 years) for Group 1 and 26.5 (IQR 24-33 years) for Group 2. The median pre and postoperative Lysholm score was 65 (IQR 61-72) and 91 (IQR 87-98) in Group 1, and 72 (IQR 53-75) and 90 (IQR 79-95) in Group 2 (p 0.1). The median pre and postoperative IKDC score was 55 (IQR 45-65) and 80 (IQR 74-94) in Group 1, and 56 (IQR 48-67) and 76 (IQR 68-84) in Group 2 (p 0.11). Sixteen (89%) patients return to sports in each Group. The failure rate was 17% (n = 3) for Group 1 and 5.5% (n = 1) for Group 2 (p >0.6) at a mean of twenty-four months.
Conclusion: clinical outcomes and return to sports were similar for both groups. Even though the failure rate was three times less in Group 2, this difference was not statistically significant. Greater number of patients and more follow-up is necessary to establish any conclusion.
Type of study: Retrospective cohort
Level of evidence: III
Keywords: Anterior Cruciate Ligament; Revision; Anterolateral Ligament; Lateral Extra-Articular Tenodesis; Lateral Extra-Articular Plasty.
INTRODUCCIÓN
La cirugía de revisión del ligamento cruzado anterior (LCA) es cada vez más frecuente. El índice de falla luego de una revisión de LCA puede alcanzar 15 a 20%1 comparado con 3 a 5% en cirugía primaria.
Diferentes factores, como una mayor incidencia de meniscectomías, la edad del paciente, el tipo de deporte que practica, o el grado de inestabilidad rotacional residual2 luego de una revisión de LCA podrían ser factores de riesgo para esta mayor tasa de re-ruptura.
Estudios biomecánicos y clínicos han demostrado que la adición de una plástica extraarticular lateral (PEAL) a la plástica del LCA podría restaurar una biomecánica similar a una rodilla intacta ya sea para la estabilidad anterior como para la rotacional,3 además de una disminución en el índice de re-ruptura tanto en cirugía primaria como de revisión.4–7
Actualmente continúa habiendo una gran controversia respecto a la indicación de esta técnica quirúrgica. Aunque, si bien son múltiples los factores que se toman en cuenta al momento de indicarla, la gran mayoría de los autores la recomiendan en el contexto de una cirugía de revisión de LCA.5, 8, 9
El objetivo primario de nuestro trabajo es analizar los resultados funcionales y el retorno al deporte de dos grupos de pacientes operados de revisión de LCA, comparando un grupo con este procedimiento único con otro al que se le asoció una PEAL. El objetivo secundario es analizar la tasa de re-ruptura de ambos grupos.
MATERIALES Y MÉTODOS
Cohorte retrospectiva con recolección prospectiva de datos. Durante 2014 y 2016 se realizó un seguimiento sistemático de pacientes operados de revisión de LCA. Entre marzo de 2014 y marzo de 2015 se realizaron cirugías de revisión de LCA aislada (Grupo 1). Desde abril de 2015 se agregó sistemáticamente a la cirugía de revisión una PEAL (Grupo 2). Todos los pacientes mayores de dieciocho años operados de revisión de LCA entre 2014 y 2016 fueron incluidos.
Se excluyeron pacientes con reconstrucciones multiligamentarias asociadas a la revisión del LCA (n = 2), más de una revisión del LCA (n = 3) y aquellos con procedimientos complementarios como una osteotomía valguizante (n = 2) y un trasplante meniscal concomitante (n = 1).
El tiempo entre la cirugía primaria y de revisión fue estratificado dentro del primer año, entre el primer y segundo año y luego de los dos años de la cirugía primaria. El injerto utilizado para la cirugía primaria y de revisión de LCA y los procedimientos asociados se detallan en la Tabla 1.
Todos fueron evaluados preoperatoriamente, a los doce meses de la cirugía, y al último seguimiento. Se realizó un examen físico y otro con artrómetro KT-1000. La evaluación artrométrica se comparó con la rodilla contralateral, se excluyeron aquellos con lesión previa de la rodilla contralateral. Se consideró una diferencia menor a 3 mm como “óptima”, entre 3-5 mm como “regular” y mayor a 5 mm, “insuficiente”.
Se analizó el tiempo de retorno al deporte y el nivel alcanzado. Para la evaluación subjetiva se utilizaron las escalas de Lysholm y el Knee Form del International Knee Documentation Committee (IKDC).
Se realizó radiografía (Rx) para estudiar el componente degenerativo de la articulación utilizando la escala de Kellgren-Lawrence y resonancia magnética (RM) al año para evaluar la intensidad de la señal del injerto del LCA y se lo clasificó en 3 grados:10
Se analizó la tasa de falla en ambos grupos y si esta fue traumática o atraumática. Consideramos falla al paciente con inestabilidad recurrente que requiera una nueva cirugía. Se registraron las complicaciones en ambos grupos.
Cirugía de revisión del LCA
El injerto utilizado y los procedimientos asociados se resumen en la Tabla 1.
Todas las cirugías de revisión se realizaron en un solo tiempo quirúrgico. Se utilizó técnica transportal en todos los casos. En aquellos en que el túnel femoral se encontraba en el sitio anatómico, se empleó el mismo túnel. Cuando el túnel de la cirugía primaria no se encontraba en el lugar anatómico se realizó un nuevo túnel. En caso de posible confluencia a nivel articular, se utilizó una técnica fuera-dentro.
TABLA 1. RESUMEN DE INJERTO UTILIZADO EN AMBAS SERIES
Revisión |
Revisión + PEAL |
|
Tiempo primario – Revisión |
2 (11%) |
3 (17%) |
Injerto LCA primaria |
11 (61%) |
14 (78%) |
Injerto LCA Revisión |
9 (50%) |
14 (78%) |
Injerto PEAL |
|
13 (72%) |
Menisco |
10 (55%)** |
11 (61%)** |
Cartílago |
3 (17%)*** |
2 (11%)**** |
Complicaciones |
- |
- |
PEAL: plástica extraarticular lateral. LCA: ligamento cruzado anterior. ST-RI: semitendinoso – recto interno. H-T-H: hueso-tendón-hueso. *Procedimiento realizado en otro centro. **Meniscectomía parcial. ***Condroplastia. ****Mosaicoplastia.
Técnica quirúrgica para PEAL
En trece pacientes se realizó una tenodesis lateral con banda iliotibial (técnica de Lemaire modificada). A través de un abordaje de 5 cm lateral al epicóndilo lateral, se efectuó una resección de 1 cm de ancho de banda iliotibial a 1 cm del borde posterior del tendón, preservando la inserción distal. Se realizó un túnel de 7 mm posterior y proximal al epicóndilo lateral con una inclinación de 30° hacia anterior y 30° hacia proximal. Este paso se hizo observando el túnel femoral del LCA directamente con el artroscopio para asegurarse evitar la confluencia de los túneles. Se pasó el injerto por debajo del ligamento lateral externo (LLE) y se lo fijó con un tornillo biocompósito con la rodilla a 30° y con rotación neutra (fig. 1).
Figura 1: a) Injerto de banco para la reconstrucción del ligamento anterolateral. b) Fijación femoral posterior y proximal al epicóndilo. c) Se pasa luego por debajo del ligamento lateral externo y se fija con un arpón en el punto entre el peroné y el tubérculo de Gerdy con la rodilla entre 0 y 30º de flexión.
En cinco pacientes se realizó una reconstrucción anatómica del ligamento anterolateral (R-LAL) de manera percutánea con injerto de banco. A través de un abordaje de 2 cm en la tibia se colocó un arpón de 5 mm de titanio entre el tubérculo de Gerdy y el peroné y se fijó el injerto de banco para la inserción distal del LAL. Luego, a través de un abordaje lateral al epicóndilo femoral de 3 cm, se efectuó un túnel de 7 mm, posterior y proximal al epicóndilo lateral con una inclinación de 30° hacia anterior y 30° hacia proximal, también bajo visión artroscópica. Se pasó el injerto de manera percutánea y se fijó en fémur con un tornillo biocompósito con la rodilla entre 0 y 30°, con rotación neutra (fig. 2)

Figura 2: Tenodesis extraarticular lateral utilizando banda iliotibial. a) Se emplea una banda de 1 cm de ancho conservando 0.5 a 1 cm posterior. b) Se pasa por debajo del ligamento lateral externo y se fija posterior y proximal al epicóndilo con la rodilla entre 0 y 30º de flexión.
La técnica fue determinada para cada paciente según el criterio del cirujano a cargo.
Rehabilitación postoperatoria
Todos los pacientes cursaron el mismo plan de rehabilitación: las primeras cuatro semanas inmovilización con férula y muletas para deambular permitiendo carga parcial, asociado a ejercicios de movilidad pasiva e isométricos hasta completar rango de movilidad. Entrenamiento aeróbico sin impacto los primeros cuatro meses, seguido de movimientos con impacto lineal y fortalecimiento hasta el séptimo mes. Luego se comenzó con ejercicios dinámicos multiplanares. Entre el octavo y décimo mes se inició entrenamiento específico para el deporte que practicara cada paciente.
Análisis estadístico
Las variables cuantitativas se presentan como media y desvío estándar o mediana e intervalo intercuartil de acuerdo con la distribución observada. Se presentan las variables categóricas como proporciones y se calculan los intervalos de confianza del 95% para cada uno de los estimadores.
Para la comparación de datos continuos entre dos grupos se empleó la prueba de Mann-Withney-Wilcoxon por su distribución. El análisis de datos categóricos se realizó con la prueba de chi-cuadrado. Se consideró estadísticamente significativo un valor p inferior a 0.05. Se utilizó el software Stata® versión 13.
RESULTADOS
Dieciocho pacientes fueron evaluados en cada grupo con un seguimiento general promedio de cincuenta y tres meses (rango 37-73). Todos hombres en el Grupo 1 con una mediana de edad de 30.5 (RIC 27-36 años) y un seguimiento promedio de sesenta y seis meses (rango 61-63) y diecisiete hombres en el Grupo 2 con con una mediana de edad de 26.5 (RIC 24-33 años) y un seguimiento promedio de cuarenta y dos meses (rango 37-50).
Evaluación clínica
En la prueba artrométrica con KT-1000 realizada al año de la cirugía, obtuvimos un resultado óptimo en 83% de los pacientes del Grupo 1 y 75% del Grupo 2; en los restantes obtuvimos un resultado regular. Al año, en la evaluación de salto monopodálico, 55% de los pacientes del Grupo 1 y 57% del Grupo 2 tuvieron un resultado entre 90 y 100% respecto a la contralateral. Al último seguimiento, todos los pacientes que retomaron actividad deportiva presentaban una evaluación de salto entre 90 y 100% en ambos grupos (Tabla 2).
TABLA 2. RETORNO AL DEPORTE Y EVALUACIÓN OBJETIVA DE LOS PACIENTES
|
Grupo 1 |
Grupo 2 |
||
|
1 año |
Último seguimiento |
1 año |
Último seguimiento |
Test de salto >90% |
55% |
*93% |
57% |
*88% |
Retorno al deporte |
8 (44%) |
16 (89%) |
7 (38%) |
16 (89%) |
KT-1000 (dif. lado-a-lado) |
83% <3 mm |
75% <3 mm |
||
*El porcentaje representa al 100% de los que retomaron actividad deportiva a su mismo nivel.
Retorno al deporte y evaluación subjetiva
El tipo de actividad deportiva de cada grupo se resume en la Tabla 3. En la evaluación al año de operados, 44% (n = 8) en el Grupo 1 y 38% (n = 7) en el Grupo 2 habían logrado retomar el deporte que practicaban previamente. Al último seguimiento, 89% (n = 16) de pacientes en cada grupo retomaron la actividad deportiva en un tiempo promedio de 12.8 meses (DS 3.6) en el Grupo 1, y 12.6 meses (DS 4.1) en el Grupo 2 (p 0.93).
TABLA 3. TIPO DE DEPORTE QUE PRACTICAN LOS PACIENTES EN CADA GRUPO
Deporte |
Grupo 1 (n) |
Grupo 2 (n) |
Fútbol |
12* |
13* |
Rugby |
1 |
1 |
Tenis |
2 |
1 |
Voley |
- |
1 |
Funcional / entrenamiento |
3 |
2 |
*Dos pacientes de cada grupo no retomaron actividad deportiva.
Cuatro pacientes (dos en cada Grupo) no retomaron su actividad deportiva previa. Un paciente del Grupo 1 fue reoperado por persistir con síntomas de inestabilidad tres años luego de la cirugía de revisión. Los restantes tres continuaron con actividad de bajo impacto sin retomar ejercicios de pívot; los tres refirieron que no retornaron por elección propia. El injerto en estos cuatro pacientes fue: un H-T-H autólogo y un isquiotibial autólogo en el Grupo 1; y un H-T-H autólogo y un tibial anterior de banco en el Grupo 2.
Los resultados de las escalas funcionales de Lysholm e IKDC pre y postoperatorios se resumen en la Tabla 4.
TABLA 4. RESULTADO DE ESCALAS SUBJETIVAS AL ÚLTIMO SEGUIMIENTO
|
Grupo 1 |
Grupo 2 |
|
||
|
Pre |
Post |
Pre |
Post |
p |
Lysholm* |
65 (61-72) |
91 (87-98) |
72 (53-75) |
90 (79-95) |
0.10 |
IKDC* |
55 (45-65) |
80 (75-94) |
56 (48-67) |
76 (68-84) |
0.11 |
*valores expresados en mediana (rango intercuartil). IKDC: International Knee Documentation Committee.
Evaluación radiológica
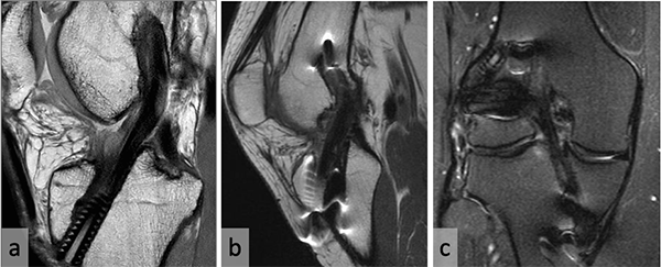
En la evaluación radiográfica de ambos grupos no se observaron cambios degenerativos. En la RM, al cumplir un año de la cirugía, 66% del Grupo 1 (Fig. 3a), y 61% del Grupo 2 (Figs. 3b y 3c) presentaban una intensidad homogénea (grado 1) del neoligamento.

Figura 3. a) Resonancia magnética al año postoperatorio de revisión de LCA. b y c) RM de revisión de LCA más plástica extraarticular lateral. Nótese el neoligamento homogéneo y continuo en ambos pacientes.
Tasa de falla
Tres pacientes del Grupo 1 (17%) a los cincuenta y siete, treinta y uno, y veintiún meses y un paciente del Grupo 2 (5.5%) a los veinticuatro meses sufrieron una re-ruptura y fueron reoperados (p 0.6).
De los tres que fallaron en el Grupo 1, dos habían sido operados con H-T-H autólogo y uno con tibial anterior de banco. Dos retomaron su actividad deportiva a los once meses (rugby) y dieciséis (fútbol) y la re-ruptura fue a los cincuenta y siete y treinta y un meses, respectivamente. La resonancia de estos pacientes al año presentaba un injerto homogéneo. El tercer paciente nunca retomó su actividad deportiva debido a una mala rehabilitación, su RM, al año, se presentaba heterogénea.
El paciente que falló del Grupo 2 fue operado con injerto de isquiotibiales autólogo para el LCA y una técnica de reconstrucción anatómica del LAL con injerto de banco. La RM al año presentaba un injerto homogéneo. Retomó su actividad deportiva a los doce meses (fútbol) y la re-ruptura fue a los veinticuatro meses.
En los tres pacientes que retomaron actividad deportiva, la re-ruptura fue traumática.
Complicaciones
No observamos complicaciones en el postoperatorio de ningún paciente de ningún grupo.
DISCUSIÓN
Presentamos dos técnicas quirúrgicas para una PEAL en el contexto de una revisión de LCA y analizamos nuestros resultados comparativos con una serie previa, sin PEAL, con un seguimiento promedio de 4.4 años. El retorno al deporte y las evaluaciones subjetivas fueron similares en ambos grupos. Si bien el índice de re-ruptura fue tres veces menor en pacientes con PEAL, esto no fue estadísticamente significativo, probablemente debido al bajo número de pacientes.
La PEAL continúa siendo tema de gran controversia en la literatura.5 A través de diferentes estudios biomecánicos se ha demostrado que la lesión de las estructuras anterolaterales conduce a un mayor grado de inestabilidad.11 Guenther y cols.3 demostraron que añadiendo una tenodesis extraarticular a la reconstrucción intraarticular del LCA se podría restaurar una cinemática comparable a la de una rodilla sin lesión, mejorando la que se obtiene con una reconstrucción únicamente articular del LCA. Por otro lado, Novaretti y cols.,12 en un trabajo reciente, demostraron que una R-LAL no solo no produce mayor constricción al compartimento lateral, sino que disminuye la carga sobre el LCA, siendo un factor de protección.
Si bien en la actualidad la mayoría de los especialistas considera que un pivot grado 3 y una revisión de LCA son una buena indicación para realizar una PEAL,5 no existe consenso claro respecto a cuándo indicarla.13–15
Desde 2015, adicionamos en la gran mayoría de las revisiones del LCA una PEAL con el objetivo de disminuir nuestra tasa de re-ruptura. Actualmente para indicar una PEAL utilizamos una guía con cinco criterios mayores y nueve criterios menores (Tabla 5), todos basados en el mayor riesgo de una re-ruptura. Si el paciente sumara 10 puntos, se debería asociar una PEAL a la plástica articular.
TABLA 5. GUÍA PARA LA PEAL DISEÑADA POR EL HIBA
Criterios mayores 2 puntos cada uno (excepto*) |
Criterios menores |
|
|
|
|
|
|
|
|
|
|
|
|
|
|
|
|
|
|
*El criterio mayor “revisión de LCA” suma 5 puntos. LCA: ligamento cruzado anterior. IMC: índice de masa corporal. HIBA: Hospital Italiano de Buenos Aires.
La cirugía de revisión del LCA presenta un índice de falla tres a cinco veces mayor que en cirugía primaria.1 Ausencia parcial o completa de los meniscos, un aumento en la traslación anterior y persistencia en la rotación interna serían los principales factores de riesgo. Diversos autores refieren haber reducido el número de re-rupturas asociando una PEAL, tanto en cirugía primaria del LCA4, 7 como en revisión del LCA.5, 6, 16
Porter y cols.13 presentaron una serie de treinta y ocho revisiones de LCA en la que al final del procedimiento (posterior a la fijación del injerto), en aquellos con un pivot grado 2 o 3 evaluado bajo navegación computada, se adicionó una tenodesis extraarticular (Lemaire); todos los pacientes recobraron un pivot negativo. En un estudio similar publicado por Porter y cols.,7 pero en cirugía primaria del LCA, los pacientes con pivot positivo luego de la fijación articular fueron randomizados para realizar, o no, una PEAL, y obtuvieron un descenso significativo del índice de re-ruptura.
En nuestra serie la tasa de re-ruptura fue tres veces menor con una PEAL, lo que condice con los resultados publicados por dichos autores. En una serie comparativa de revisión con tenodesis extraarticular lateral y sin esta, Lee y cols.17 no encontraron diferencias en los resultados clínicos, pero sí mayor índice de retorno al mismo nivel deportivo en aquellos pacientes a los que se les realizó la tenodesis lateral.
Se han descripto buenos resultados con todas las técnicas quirúrgicas para PEAL: técnica over-the-top,14, 15, 18 a través de un único túnel femoral fuera-dentro,18 tenodesis extraarticular de Lemaire13, 19 o modificada por Coker-Arnold.6, 16, 20 No hay un consenso claro en cuanto a la indicación de una tenodesis o una reconstrucción anatómica del ligamento anterolateral utilizando injerto. Estudios comparativos recientes han reportado resultados similares en trabajos biomecánicos cadavéricos,21 clínicos22 y por resonancia magnética.23 Nuestra serie cuenta con ambas técnicas y, si bien no fue el objetivo primario de nuestro trabajo, al igual que lo reportado en la literatura, no encontramos diferencias en cuanto a estabilidad, complicaciones, ni retorno al deporte.
Respecto de este último punto, en la evaluación al año en nuestra serie el retorno fue cercano al 40% en ambos grupos, similar al 49% descrito por Lefevre y cols.19 en una cohorte prospectiva de cincuenta y cinco revisiones de LCA, también evaluados al año. Al examinar nuevamente a los pacientes con más de cuatro años promedio de seguimiento, observamos que cerca del 90%, en ambos grupos, retomó la actividad deportiva en un promedio de tiempo cercano a los trece meses. Estos resultados se asemejan a los reportados por Botto,24 Zanovello18 y Mirouse,25 quienes describen un retorno al deporte entre 90 y 100% con un seguimiento promedio de 2.3, 2.5 y 4.6 años, respectivamente. De todas maneras, 12% (n = 4) de los que retomaron la actividad deportiva no lo hicieron al mismo nivel que antes, manteniendo únicamente actividad sin impacto.
Limitaciones
La principal limitación se da por el escaso número de pacientes evaluados y que los grupos no fueron randomizados, además de la heterogeneidad de la serie en cuanto a técnica quirúrgica y elección de implantes. Esta limitación es propia de la baja frecuencia de este tipo de cirugías.
Fortalezas
La recolección prospectiva de los datos y un seguimiento mayor a cuatro años nos permitió una correcta y completa evaluación de estos, sin pérdidas en el seguimiento.
CONCLUSIÓN
Los resultados clínicos y retorno al deporte resultaron satisfactorios en los dos grupos de revisión del LCA. El grupo con PEAL asociada mostró tres veces menor tasa de re-ruptura que el grupo aislado luego de cuatro años de seguimiento promedio. Aun así, la serie es pequeña para establecer conclusiones. Consideramos la PEAL como un procedimiento seguro que aporta estabilidad rotacional para, potencialmente, lograr disminuir la tasa de falla en pacientes con mayor riesgo. Se requiere un mayor número de pacientes y continuar con el seguimiento para determinar la utilidad, o no, de adicionar una PEAL a una revisión de LCA, particularmente respecto al índice de re-ruptura.
BIBLIOGRAFÍA
1. Grassi A; Kim C; Marcheggiani Muccioli GM; Zaffagnini S; Amendola A. What is the mid-term failure rate of revision ACL reconstruction? A systematic review. Clin Orthop Relat Res, 2017; 475(10): 2484–99.
2. Leys T; Salmon L; Waller A; Linklater J; Pinczewski L. Clinical results and risk factors for reinjury 15 years after anterior cruciate ligament reconstruction: a prospective study of hamstring and patellar tendon grafts. Am J Sports Med, 2012; 40(3): 595–605.
3. Guenther D; Irarrázaval S; Bell KM; Rahnemai-Azar AA; Fu FH; Debski RE; et al. The Role of extra-articular tenodesis in combined ACL and anterolateral capsular injury. J Bone Joint Surg Am, 2017; 99(19): 1654–60.
4. Sonnery-Cottet B; Vieira TD; Ouanezar H. Anterolateral ligament of the knee: diagnosis, indications, technique, outcomes. Arthroscopy, 2019; 35(2): 302–3.
5. Musahl V; Getgood A; Neyret P; Claes S; Burnham JM; Batailler C; et al. Contributions of the anterolateral complex and the anterolateral ligament to rotatory knee stability in the setting of ACL Injury: a roundtable discussion. Knee Surg Sports Traumatol Arthrosc, 2017; 25(4): 997–1008.
6. Redler A; Iorio R; Monaco E; Puglia F; Wolf MR; Mazza D; et al. Revision anterior cruciate ligament reconstruction with hamstrings and extra-articular tenodesis: a mid- to long-term clinical and radiological study. Arthroscopy, 2018; 34(12): 3204–13.
7. Porter M; Shadbolt B. Modified iliotibial band tenodesis is indicated to correct intraoperative residual pivot shift after anterior cruciate ligament reconstruction using an autologous hamstring tendon graft: a prospective randomized controlled trial. Am J Sports Med, 2020; 48(5): 1069–77. Disponible en: http://dx.doi.org/10.1177/0363546520910148.
8. Cerciello S; Batailler C; Darwich N; Neyret P. Extra-Articular tenodesis in combination with anterior cruciate ligament reconstruction: an overview. Clin Sports Med, 2018; 37(1): 87–100.
9. Weber AE; Zuke W; Mayer EN; Forsythe B; Getgood A; Verma NN; et al. Lateral augmentation procedures in anterior cruciate ligament reconstruction: anatomic, biomechanical, imaging, and clinical evidence. Am J Sports Med, 2019; 47(3): 740–52.
10. Costa Paz M. Evaluación de la reconstrucción del ligamento cruzado anterior con resonancia magnética. Rev Asoc Arg Ortop y Traumatol, 1995; 60(4): 299–307.
11. Carr JB; Yildirim B; Richter DL; Etier BE; Diduch DR; Anderson MW; et al. Primary anterolateral ligament rupture in patients requiring revision anterior cruciate ligament reconstruction: a retrospective magnetic resonance imaging review. Orthop J Sports Med, 2017; Jul; 5(7 suppl6): 2325967117S00318.
12. Novaretti JV; Arner JW; Chan CK; Polamalu S; Harner CD; Debski RE; et al. Does lateral extra-articular tenodesis of the knee affect anterior cruciate ligament graft in situ forces and tibiofemoral contact pressures? Arthroscopy, 2020; Vol. 36, Issue 5: 1365–73. Disponible en: http://dx.doi.org/10.1016/j.arthro.2020.01.051.
13. Porter MD; Shadbolt B; Pomroy S. The augmentation of revision anterior cruciate ligament reconstruction with modified iliotibial band tenodesis to correct the pivot shift: a computer navigation study. Am J Sports Med, 2018; 46(4): 839–45.
14. Buda R; Ruffilli A; Di Caprio F; Ferruzzi A; Faldini C; Cavallo M; et al. Allograft salvage procedure in multiple-revision anterior cruciate ligament reconstruction. Am J Sports Med, 2013; 41(2): 402–10.
15. Zaffagnini S; Bonanzinga T; Grassi A; Marcheggiani Muccioli GM; Musiani C; Raggi F; et al. Combined ACL reconstruction and closing-wedge HTO for varus angulated ACL-deficient knees. Knee Surg Sports Traumatol Arthrosc, 2013; 21(4): 934–41.
16. Ferretti A; Conteduca F; Monaco E; De Carli A; D’Arrigo C. Revision anterior cruciate ligament reconstruction with doubled semitendinosus and gracilis tendons and lateral extra-articular reconstruction. J Bone Joint Surg Am, 2006; 88(11): 2373–9.
17. Lee DW; Kim JG; Kim HT; Cho SI. Evaluation of anterolateral ligament healing after anatomic anterior cruciate ligament reconstruction. Am J Sports Med, 2020; 48(5): 1078–87. Disponible en: http://dx.doi.org/10.1177/0363546520908805.
18. Zanovello J; Rosso F; Bistolfi A; Rossi R; Castoldi F. Combined intra- and extra-articular technique in revision anterior cruciate ligament reconstruction. Joints, 2017; 5(3): 156–63.
19. Lefevre N; Klouche S; Mirouse G; Herman S; Gerometta A; Bohu Y. Return to sport after primary and revision anterior cruciate ligament reconstruction: a prospective comparative study of 552 patients from the FAST cohort. Am J Sports Med, 2017; 45(1): 34–41.
20. Alessio-Mazzola M; Formica M; Russo A; Sanguineti F; Capello AG; Lovisolo S; et al. Outcome after combined lateral extra-articular tenodesis and anterior cruciate ligament revision in professional soccer players. J Knee Surg, 2019; 32(9): 906–10.
21. Delaloye J-R; Hartog C; Blatter S; Schläppi M; Müller D; Denzler D; et al. Anterolateral ligament reconstruction and modified Lemaire lateral extra-articular tenodesis improve knee stability after anterior cruciate ligament reconstruction: a biomechanical study. Arthroscopy, 2020; 36(7): 1942-50. Disponible en: http://dx.doi.org/10.1016/j.arthro.2020.03.027.
22. Ra HJ; Kim J-H; Lee D-H. Comparative clinical outcomes of anterolateral ligament reconstruction versus lateral extra-articular tenodesis in combination with anterior cruciate ligament reconstruction: systematic review and meta-analysis. Arch Orthop Trauma Surg, 2020; 140(7): 923-31. Disponible en: http://dx.doi.org/10.1007/s00402-020-03393-8.
23. Lôbo CFT; Helito PVP; Bordalo-Rodrigues M; Helito CP. Computed tomography (CT), X-ray, and MRI evaluation of two anterolateral knee reconstruction techniques: lateral extra-articular tenodesis (LET) and the anterolateral ligament (ALL) reconstruction. Skeletal Radiol, 2020; 49(7): 1037–49.
24. Botto G; Solessio J; Nogueira M; Alonso CL; Garate F. Revisión de LCA con aumentación extraarticular de Lemaire en deportistas de contacto con alta exigencia Reporte preliminar de casos y descripción de técnica quirúrgica. Artroscopía, 2016; 23(2): 70-6.
25. Mirouse G; Rousseau R; Casabianca L; Ettori MA; Granger B; Pascal-Moussellard H; et al. Return to sports and functional results after revision anterior cruciate ligament reconstruction by fascia lata autograft. Orthop Traumatol Surg Res, 2016; 102(7): 863–6.