Lesiones de raíz meniscal: una epidemia silenciosa
Conceptos actuales
Jorge Chahla,1 Robert F. LaPrade,2 Javier Olivetto,3 Damián Arroquy,4,5
1. Midwest Orthopaedics at Rush. Rush University Medical Center, Chicago, IL, Estados Unidos
2. Twin Cities Orthopaedics. Minneapolis, MN, Estados Unidos
3. Sanatorio Americano, Rosario, Santa Fe, Argentina
4. Clínica María Auxiliadora, Olavarría, Buenos Aires, Argentina
5. Universidad Nacional del Centro, Olavarría, Buenos Aires, Argentina
RESUMEN
Las lesiones de la raíz meniscal se definen como desgarros radiales ubicados dentro del centímetro de la inserción del menisco, o como una avulsión de la raíz ósea. Esta lesión es biomecánicamente comparable a una meniscectomía total, lo que lleva a una disminución del área de contacto tibiofemoral y un aumento perjudicial de las cargas para el cartílago articular y, en última instancia, conducen al desarrollo de una artrosis precoz.
La reparación quirúrgica es el tratamiento de elección en pacientes sin artrosis significativa (grados 3 o 4 de Outerbridge). Las reparaciones de raíz mejoran los resultados clínicos, disminuyen la extrusión meniscal y enlentecen la aparición de cambios degenerativos. Aquí describimos la anatomía, biomecánica, evaluación clínica, métodos de tratamiento y resultados para los desgarros de las raíces meniscales posteriores.
Nivel de evidencia: IV
Palabras clave: Menisco Lateral; Menisco Medial; Raíz Meniscal; Desgarro de la Raíz Meniscal; Resultados; Reparación de la Raíz.
ABSTRACT
Meniscal root tears either are defined as an avulsion of the insertion of the meniscus attachment or complete radial tears that are located within 1 cm of the meniscus insertion. Untreated meniscal root tears have been reported to result in altered joint biomechanics and accelerated articular cartilage degeneration. In this regard, the "recently” recognized pathology of meniscal root tears have been reported to precipitously worsen articular cartilage degeneration, cause painful bone edema, and lead to progressive osteoarthritis if left untreated.
Meniscal root repair has been demonstrated to have high satisfaction rates and superior outcomes than arthroscopic meniscectomy for root tears. Early referral of these patients for surgery had been demonstrated to significantly decrease the progression of knee osteoarthritis and the requirement for a TKA at mid-term follow-up.
Level of evidence: IV
Keys words: Meniscal Root Tears; Meniscal Root Repair; Osteoarthritis.
INTRODUCCIÓN
En la actualidad se predice que la mitad de los adultos experimentará dolor de rodilla en algún momento de su vida. La mayoría de estos dolores serán debido a osteoartrosis (OA). Una de las causas más frecuentes que pueden comenzar la cascada degenerativa de la rodilla son las lesiones meniscales.1, 2
Las lesiones de la raíz meniscal son un tipo específico de lesión, definido como avulsiones de la raíz ósea o de tejido blando, o desgarros radiales dentro de 1 cm de la inserción de la raíz del menisco. Estas han ganado popularidad en los últimos cinco años y representan el 10-21% de todas las lesiones meniscales.3 Además, cuando esta lesión no es tratada genera una alteración de la biomecánica de la rodilla y un deterioro acelerado del cartílago articular. En este sentido, esta patología "recientemente" reconocida acelera la degeneración del cartílago articular, causa edema óseo doloroso y conduce a una artrosis progresiva que si no se trata puede culminar en un reemplazo total de rodilla en tres de cada diez pacientes a cinco años de seguimiento.4, 5
Los desgarros de la raíz posterior del menisco lateral tienen 10.3 veces más probabilidades de ocurrir asociadas a la lesión del ligamento cruzado anterior (LCA) que los desgarros de la raíz posterior del menisco medial, que tienen 5.8 veces más probabilidades de tener defectos condrales asociados.3, 4 Las lesiones de la raíz posterior del menisco medial son comúnmente degenerativas, se observan en mujeres de mediana edad, y pueden representar hasta el 21.5% de las lesiones del cuerno posterior del menisco medial.4 También se han publicado lesiones iatrogénicas de la raíz posterior del menisco medial después de la realización de un túnel tibial no anatómico en reconstrucciones del ligamento cruzado posterior (LCP).4 Las lesiones de los cuernos anteriores de los meniscos son menos comunes y con frecuencia ocurren iatrogénicamente, como durante el fresado del túnel tibial del LCA o el enclavado endomedular en las fracturas de la diáfisis tibial.4
Por otro lado, es importante reconocer la asociación de lesiones meniscales que conducen a insuficiencia subcondral y potencialmente a osteonecrosis espontánea de rodilla. Esto último era una patología que a menudo se diagnosticaba como una osteonecrosis "idiopática" de la rodilla, antes de reconocer que esta patología era causada por una lesión meniscal.3, 4, 6, 7
La detección temprana de desgarros radiculares degenerativos en pacientes mayores de cincuenta años es crucial, ya que la carga de la articulación de la rodilla puede restaurarse a un estado casi nativo si esta lesión se diagnostica y se trata a tiempo. También es importante buscar activamente desgarros agudos de la raíz meniscal en pacientes con lesiones multiligamentarias y lesiones del LCA debido a la mayor incidencia de esta patología en este tipo de pacientes.8-10
Dados los efectos drásticos y costosos que genera la falta de tratamiento de este tipo de lesión, tanto para los pacientes como para la sociedad, se da lugar a lo que llamamos “epidemia silenciosa”, ya que en un gran número de pacientes pasa desapercibida. El propósito de este trabajo es el de señalar que se debe prestar especial atención a esta patología y proporcionar las herramientas necesarias para que todos los médicos la puedan reconocer.
ANATOMÍA
La raíz posterior del menisco medial (RPMM) se encuentra 9.6 mm posterior y 0.7 mm lateral a la eminencia tibial medial, que es la referencia ósea más reproducible.9 Además, el punto central de la RPMM se puede encontrar 3.5 mm lateral al punto de inflexión del cartílago medial y 8.2 mm directamente anterior al punto más proximal de inserción tibial del LCP, que constituyen las otras dos referencias consistentes (fig. 1).11, 12
La inserción de la raíz posterior del menisco lateral esta 1.5 mm posterior y 4.2 mm medial a la eminencia tibial lateral.11 Además, su punto central se encuentra 4.3 mm medial al punto de inflexión del cartílago lateral y 12.7 mm anterior a la cara más proximal de la inserción tibial del LCP (ver fig. 1).12
Figura 1: Imagen cadavérica de platillo tibial y ambos meniscos. LCA) Ligamento cruzado anterior. ETL) Eminencia tibial lateral. ETM) Eminencia tibial medial. LCP) Ligamento cruzado posterior. RPMM) Raíz posterior de menisco medial. RPML) Raíz posterior de menisco lateral.
La raíz anterior del menisco medial se inserta a lo largo de la cresta intercondilar anterior en la pendiente anterior de la tibia.6 Se ha reportado que su centro está a 18.2 mm anteromedial del centro de la huella tibial del LCA y a 27.5 mm anterolateral del vértice de la eminencia tibial medial (fig. 2).13 Por lo expuesto es que esta raíz está en riesgo durante el enclavado intramedular de fracturas tibiales.6, 12, 14
Con respecto a la raíz anterior del menisco lateral, LaPrade y cols. publicaron que el área promedio de inserción es de 140.7 mm2, dada la considerable superposición con la huella del LCA.15 Además, el sitio de inserción está 5.0 mm anterolateral del centro de la huella del LCA, a 14.4 mm del ápice de la eminencia tibial lateral y a 7.1 mm del borde más cercano del cartílago articular lateral. Por lo tanto, la raíz anterior del menisco lateral tiene un alto riesgo de lesión iatrogénica durante el fresado del túnel tibial del LCA (ver fig. 2).12-15

Figura 2: Imagen cadavérica de platillo tibial y ambos meniscos. LCA) Ligamento cruzado anterior. ETL) Eminencia tibial lateral. ETM) Eminencia tibial medial. LCP) Ligamento cruzado posterior. RAMM) Raíz anterior de menisco medial. RAML) Raíz anterior de menisco lateral. TAT) Tuberosidad anterior de la tibia.
FISIOPATOLOGÍA Y CLASIFICACIÓN
Las lesiones de la raíz meniscal se definen como una avulsión de la inserción del menisco, o desgarros radiales completos que se encuentran hasta 1 cm de su inserción.11, 13 Los desgarros de la raíz meniscal se han clasificado previamente en cinco tipos:
Debido al reconocimiento reciente de las secuelas de esta patología, se ha hecho énfasis en caracterizar los efectos de las lesiones de la raíz meniscal incluyendo el diagnóstico temprano, las consecuencias biomecánicas, las técnicas óptimas para su reparación y los resultados obtenidos a largo plazo.
Estudios biomecánicos han demostrado que las lesiones de la raíz del menisco interrumpen la continuidad de las fibras circunferenciales y, por lo tanto, conducen a una falla de la función meniscal normal para convertir las cargas axiales en tensiones transversales de aro.9, 15-17 Un desgarro de la raíz da como resultado la ruptura de su adherencia y puede conducir a la extrusión del menisco, lo que resultaría en un aumento de la presión intraarticular en los compartimentos medial y lateral de la rodilla durante la carga, que finalmente puede conducir a OA.9, 18 Con el tiempo, el aumento de la presión de contacto articular es perjudicial, tanto para el cartílago articular como para el hueso de soporte subyacente, y puede provocar cambios degenerativos rápidos, comparables a los cambios artrósicos observados después de una meniscectomía total.4 Los efectos deletéreos de una meniscectomía se conocen desde hace mucho tiempo, tal como lo describió Fairbank en 1948.19

Figura 3: Tipos de lesiones de raíz meniscal reproducidas en preparados cadavéricos. 1) Lesión parcial de la raíz. 2) Lesión de la raíz radial completa. 3) Lesión completa de la raíz con un desgarro de menisco en asa de balde. 4) Lesión oblicua en la inserción de la raíz. 5) Fractura por avulsión de la raíz.
DIAGNÓSTICO
Un historial de dolor repentino en la parte posterior de la rodilla, especialmente después de una flexión profunda o en cuclillas, debe alertar al médico sobre la posibilidad de un desgarro de la raíz del menisco. La mayoría de los pacientes con lesiones en la raíz del menisco recuerdan el momento preciso en el que comenzó el dolor y, a menudo, ocurre tras un evento traumático menor.6 Los síntomas de presentación más comunes son el dolor posterior de la rodilla y la sensibilidad en la línea articular, especialmente con sentadillas profundas.12 Otro síntoma común es un chasquido que se escucha en actividades como subir escaleras o ponerse en cuclillas. También se ha descripto una prueba que ha demostrado ser útil para diagnosticar los desgarros de raíz del menisco medial: consiste en aplicar una tensión en varo a la rodilla mientras está relajada y en extensión completa mientras se palpa la línea articular anteromedial. Cuando hay una avulsión de la raíz meniscal medial, la extrusión meniscal puede palparse en la línea articular medial y desaparece cuando la rodilla se mueve de nuevo a su posición anatómica normal.11, 12 Además, al realizar el examen físico es importante identificar si el paciente tiene una alineación en varo o un índice de masa corporal (IMC) elevado porque se ha descripto que estos son factores de riesgo significativos para los desgarros de la raíz del menisco medial.12, 13
Los signos positivos al examen físico deben despertar la sospecha de un desgarro de la raíz del menisco y el médico debe considerar solicitar una resonancia magnética o una derivación a un especialista, ya que muchos se pasan por alto solo con el examen físico.15 Sin embargo, siempre se deben solicitar radiografías de rodilla con carga de peso para evaluar el eje mecánico y la presencia, o no, de signos degenerativos.
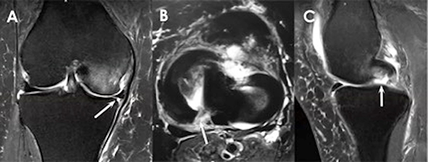
Los signos de resonancia magnética para las lesiones de la raíz del menisco medial incluyen:
La extrusión del menisco, sin embargo, no es patognomónica de un desgarro de la raíz, porque otras patologías del menisco o del cartílago articular pueden causarla.12

Figura 4: Signos de resonancia magnética para las lesiones de la raíz del menisco medial. A) Extrusión meniscal medial de ≥3 mm en un corte coronal. B) Imagen hiperintensa en la región posterior de la raíz meniscal al evaluar un corte axial. C) El "signo fantasma", que es la ausencia de un menisco identificable en el plano sagital.
REPARACIÓN DE LA RAÍZ DEL MENISCO CON TÉCNICA “PULL OUT”
Para restaurar la función del menisco después de los desgarros de la raíz se utiliza con mayor frecuencia la técnica de reparación transósea, e implica el paso de dos suturas simples a través del borde lesionado y luego a través de túneles óseos para su fijación en la tibia proximal (fig. 5).6, 20, 21 Después de pasar las suturas a través de dos túneles tibiales, se atan sobre un puente óseo o un botón quirúrgico6, 22, 23 (fig. 6). La técnica de reparación de dos túneles permite obtener una amplia huella anatómica para maximizar el potencial de curación y la liberación de factores biológicos para mejorar las chances de cicatrización de la raíz del menisco.9, 24-30

Figura 5: Imagen esquemática en la cual se detalla la localización y dirección de los dos túneles óseos en tibia proximal para el paso posterior de las suturas.

Figura 6: Imagen esquemática en la cual se representan las suturas pasadas por los túneles óseos y atadas sobre un botón quirúrgico.
EVIDENCIA CLÍNICA
Los hallazgos obtenidos en estudios biomecánicos sobre los efectos que generan los desgarros de la raíz meniscal en las cargas de contacto articular han sido respaldados por estudios clínicos.9, 14, 16-18 Chung y cols. publicaron que las reparaciones de la raíz del menisco medial desaceleraron la progresión de los cambios degenerativos intraarticulares en comparación con los pacientes que se sometieron a una meniscectomía parcial.31 Además de la diferencia general en los cambios artrósicos, el 35% de los pacientes a los que se les había realizado una meniscectomía para tratar un desgarro de la raíz debió someterse a una conversión a artroplastia total de rodilla (ATR) dentro de los cinco años de seguimiento, mientras que ninguno de los pacientes del grupo de reparación de raíz requirió una conversión a ATR.31 Para respaldar aún más la importancia de reconocer y reparar los desgarros de la raíz meniscal, Krych y cols. publicaron resultados clínicos deficientes, agravamiento de la artrosis y una conversión del 31% a artroplastia en cincuenta y dos pacientes tratados de forma conservadora por desgarros de la raíz con un seguimiento medio de cinco años.5
En un estudio de ciento noventa y siete ATR consecutivas, el 92.8% de los pacientes menores de sesenta años tenía un desgarro de la raíz meniscal como principal factor identificado que condujo al desarrollo de OA.30 La posibilidad de progresión temprana a la OA de rodilla, que culmina en una ATR después de un desgarro de la raíz tratada de manera no operatoria o mediante meniscectomía, tiene grandes implicaciones dado su alto costo. Al respecto, aunque una ATR es un tratamiento rentable en comparación con el no quirúrgico para la OA en etapas avanzadas, el tratamiento de los desgarros de la raíz del menisco medial de forma conservadora, o con meniscectomía, probablemente acelerará el aumento en el volumen proyectado de casos de ATR, lo que ejercerá una mayor presión sobre el sistema de salud. Esto es particularmente importante porque la OA causada por desgarros de la raíz del menisco se puede prevenir mediante un diagnóstico y tratamiento temprano.29, 30
CONSIDERACIONES QUIRÚRGICAS CLAVES
Es importante reparar las lesiones de la raíz posterior del menisco medial en su sitio de inserción anatómico para restaurar los patrones normales de carga articular. Los estudios biomecánicos han informado que un posicionamiento no anatómico de 3 mm altera significativamente la función meniscal al no restaurar la carga articular y las áreas de contacto.32, 33 Esto ha sido respaldado por hallazgos clínicos de que la extrusión meniscal >3 mm se asoció con cambios degenerativos en la articulación.6 Se han informado otros problemas potenciales con las técnicas de reparación actuales. Estos incluyen la resistencia general del constructo y el riesgo de desplazamiento de la reparación meniscal con la carga de peso temprana.25, 32
ÁREAS DE INCERTIDUMBRE
Se ha publicado que las reparaciones de los desgarros de la raíz posterior del menisco medial mejoran los resultados clínicos y retrasan la progresión de la OA.10, 21, 31, 33 Sin embargo, estos estudios también han demostrado que la progresión a la OA no disminuye por completo, lo que puede reflejar una mala selección de pacientes para la reparación. Aquellos pacientes con obesidad (IMC >30), mala alineación no corregida o cambios avanzados en el cartílago al momento de la presentación pueden no beneficiarse con una reparación.33 Además, la reparación no anatómica de la raíz del menisco no restaura adecuadamente las fuerzas de contacto en la articulación.32 También, la mala cicatrización y el desplazamiento cíclico durante la carga pueden hacer que la reparación de la sutura se afloje causando una extrusión del menisco, lo que puede conducir a una ineficacia en la función de tensión del aro meniscal y, a su vez, anular los efectos beneficiosos de la reparación.
En una revisión sistemática reciente de los resultados de las reparaciones de la raíz posterior del menisco medial, evaluadas por resonancia magnética (RM) se demostró que la extrusión del menisco medial se redujo en solo el 56% de los pacientes. Además, la artroscopía en un segundo tiempo reveló que el estado de curación fue completo en el 62%, parcial en 34% y fallido en 3%.10 En otro estudio reciente, los resultados clínicos se correlacionaron con la reducción de la extrusión del menisco.11 Por lo tanto, deben aplicarse técnicas de reparación de raíz que logren reducir la extrusión meniscal para mejorar los resultados del paciente.
RECOMENDACIONES DE TRATAMIENTO
La clave para un tratamiento exitoso es reconocer la presencia de un desgarro de la raíz meniscal. El médico debe mantener un alto nivel de sospecha y obtener una resonancia magnética al comienzo del cuadro clínico cuando sea apropiado y antes de que se inicie la rápida progresión de la artrosis. Se recomienda el tratamiento no quirúrgico en pacientes con comorbilidades importantes y aquellos con osteoartrosis avanzada (grado Kellgren-Lawrence ≥3). Para este subconjunto de pacientes, el tratamiento con analgésicos y una rodillera de descarga del compartimento medial puede ayudar a aliviar la sintomatología. Para los pacientes que progresan a osteoartrosis de rodilla y fracasan en el tratamiento no quirúrgico, se puede considerar una ATR, o parcial, según el caso.
Los pacientes activos, independientemente de su edad, deben considerarse para una reparación de la raíz meniscal. Las indicaciones para la reparación de la raíz del menisco incluyen desgarros agudos y traumáticos en pacientes con cartílago normal, y desgarros sintomáticos crónicos en pacientes jóvenes o de mediana edad sin OA preexistente significativa.
Se ha demostrado que la reparación de la raíz del menisco se asocia a altas tasas de satisfacción y resultados superiores a los de la meniscectomía artroscópica.3, 21, 33-34 También se ha observado que la derivación temprana de estos pacientes a cirugía disminuye significativamente la progresión de la artrosis de rodilla y la necesidad de una ATR en el seguimiento a mediano plazo.6, 31, 32
BIBLIOGRAFÍA
1. Grover M. Evaluating acutely injured patients for internal derangement of the knee. American family physician, 2012; 85(3): 247-52.
2. Barbour KE HC; Theis KA; Murphy LB; Hootman JM; Brady; Cheng YJ. Prevalence of doctor-diagnosed arthritis and arthritis-attributable activity limitation—United States, 2010-2012. MMWR, 2013; 62(44): 869-73.
3. LaPrade RF; Ho CP; James E; et al. Diagnostic accuracy of 3.0 T magnetic resonance imaging for the detection of meniscus posterior root pathology. Knee Surg Sports Traumatol Arthrosc, 2015; 23(1): 152-7. DOI:10.1007/s00167-014-3395-5
4. Sung JH; Ha JK; Lee DW; et al. Meniscal extrusion and spontaneous osteonecrosis with root tear of medial meniscus: comparison with horizontal tear. Arthroscopy, 2013; 29(4): 726-32. DOI:10.1016/j.arthro.2012.11.016
5. Krych AJ; Reardon PJ; Johnson NR; et al. Non-operative management of medial meniscus posterior horn root tears is associated with worsening arthritis and poor clinical outcome at 5-year follow-up. Knee Surg Sports Traumatol Arthrosc, 2017; 25(2): 383-9. DOI:10.1007/s00167-016-4359-8 [published online first: 2016/10/21].
6. Bhatia S; LaPrade CM; Ellman MB; et al. Meniscal root tears: significance, diagnosis, and treatment. Am J Sports Med, 2014; 42(12): 3016-30. DOI:10.1177/0363546514524162
7. Koo JH; Choi SH; Lee SA; et al. Comparison of medial and lateral meniscus root tears. PLOS One, 2015; 10(10): e0141021. DOI:10.1371/journal.pone.0141021
8. Hussain ZB; Chahla J; Mandelbaum BR; et al. The role of meniscal tears in spontaneous osteonecrosis of the knee: A systematic review of suspected etiology and a call to revisit nomenclature. Am J Sports Med, 2017: 363546517743734. DOI:10.1177/0363546517743734
9. Padalecki JR; Jansson KS; Smith SD; et al. Biomechanical consequences of a complete radial tear adjacent to the medial meniscus posterior root attachment site: in situ pull-out repair restores derangement of joint mechanics. Am J Sports Med, 2014; 42(3): 699-707. DOI:10.1177/0363546513499314
10. Feucht MJ; Kuhle J; Bode G; et al. Arthroscopic transtibial pullout repair for posterior medial meniscus root tears: A systematic review of clinical, radiographic, and second-look arthroscopic results. Arthroscopy, 2015; 31(9): 1808-16. DOI:10.1016/j.arthro.2015.03.022
11. Johannsen AM; Goldsmith MT; Wijdicks CA; LaPrade RF. Qualitative and quantitative anatomic analysis of the posterior root atachments of de medial and lateral menisci. Am J Sports Med, 2012; 40(10): 2342-7.
12. Pache S; Aman ZS; Kennedy M; Nakama GY; Moatshe G; Ziegler C; LaPrade RF. Meniscal root tears: Current concepts review. Arch Bone Jt Surg, 2018; 6(4): 250-9.
13. LaPrade CM; Ellman MB; Rasmussen MT; et al. Anatomy of the anterior root attachments of the medial and lateral menisci: a quantitative analysis. Am J Sports Med, 2014; 42(10): 2386-92. DOI:10.1177/0363546514544678
14. LaPrade CM; James EW; Cram TR; et al. Meniscal root tears: a classification system based on tear morphology. Am J Sports Med, 2015; 43(2): 363-9. DOI:10.1177/0363546514559684
15. LaPrade CM; Jansson KS; Dornan G; et al. Altered tibiofemoral contact mechanics due to lateral meniscus posterior horn root avulsions and radial tears can be restored with in situ pull-out suture repairs. J Bone Joint Surg Am, 2014; 96(6): 471-9. DOI:10.2106/jbjs.l.01252
16. Marzo JM; Gurske-DePerio J. Effects of medial meniscus posterior horn avulsion and repair on tibiofemoral contact area and peak contact pressure with clinical implications. Am J Sports Med, 2009; 37(1): 124-9. DOI:10.1177/0363546508323254
17. Schillhammer CK; Werner FW; Scuderi MG; et al. Repair of lateral meniscus posterior horn detachment lesions: a biomechanical evaluation. Am J Sports Med, 2012; 40(11): 2604-9. DOI:10.1177/0363546512458574
18. Geeslin AG; Civitarese D; Turnbull TL; et al. Influence of lateral meniscal posterior root avulsions and the meniscofemoral ligaments on tibiofemoral contact mechanics. Knee Surg Sports Traumatol Arthrosc, 2016; 24(5): 1469-77. DOI:10.1007/s00167-015-3742-1 [published online first: 2015/08/08].
19. Fairbank TJ. Knee joint changes after meniscectomy. J Bone Joint Surg Br, 1948; 30b(4): 664-70.
20. Chahla J; Moulton SG; LaPrade CM; et al. Posterior meniscal root repair: the transtibial double tunnel pullout technique. Arthrosc Tech, 2016; 5(2): e291-6. DOI:10.1016/j.eats.2016.01.006
21. LaPrade RF; Matheny LM; Moulton SG; et al. Posterior meniscal root repairs: outcomes of an anatomic transtibial pull-out technique. Am J Sports Med, 2017; 45(4): 884-91. DOI:10.1177/0363546516673996 [published online first: 2016/12/07].
22. Kim YM; Rhee KJ; Lee JK; et al. Arthroscopic pullout repair of a complete radial tear of the tibial attachment site of the medial meniscus posterior horn. Arthroscopy, 2006; 22(7): 795.e1-4.
23. Ahn JH; Wang JH; Yoo JC; et al. A pull out suture for transection of the posterior horn of the medial meniscus: using a posterior trans-septal portal. Knee Surg Sports Traumatol Arthrosc, 2007; 15(12): 1510-3. DOI:10.1007/s00167-007-0310-3
24. LaPrade CM; LaPrade MD; Turnbull TL; et al. Biomechanical evaluation of the transtibial pull-out technique for posterior medial meniscal root repairs using 1 and 2 transtibial bone tunnels. Am J Sports Med, 2015; 43(4): 899-904. DOI:10.1177/0363546514563278
25. LaPrade RF; LaPrade CM; Ellman MB; et al. Cyclic displacement after meniscal root repair fixation: a human biomechanical evaluation. Am J Sports Med, 2015; 43(4): 892-8. DOI:10.1177/0363546514562554
26. de Girolamo L; Galliera E; Volpi P; et al. Why menisci show higher healing rate when repaired during ACL reconstruction? Growth factors release can be the explanation. Knee Surg Sports Traumatol Arthrosc, 2015; 23(1): 90-6. DOI:10.1007/s00167-013-2712-8
27. Murrell WD; Anz AW; Badsha H; et al. Regenerative treatments to enhance orthopedic surgical outcome. PM&R, 2015; 7(4, Suppl): S41-S52. DOI:http://dx.doi.org/10.1016/j.pmrj.2015.01.015
28. Delos D; Rodeo SA. Enhancing meniscal repair through biology: platelet-rich plasma as an alternative strategy. Instr Course Lect, 2011; 60: 453-60.
29. Halpern B; Chaudhury S; Rodeo SA; et al. Clinical and MRI outcomes after platelet-rich plasma treatment for knee osteoarthritis. Clin J Sport Med, 2013; 23(3): 238-9. DOI:10.1097/JSM.0b013e31827c3846
30. Hutchinson ID; Rodeo SA; Perrone GS; et al. Can platelet-rich plasma enhance anterior cruciate ligament and meniscal repair? J Knee Surg, 2015; 28(1): 19-28. DOI:10.1055/s-0034-1387166
31. Chung KS; Ha JK; Yeom CH; et al. Comparison of clinical and radiologic results between partial meniscectomy and refixation of medial meniscus posterior root tears: A minimum 5-year follow-up. Arthroscopy, 2015; 31(10): 1941-50. DOI:10.1016/j.arthro.2015.03.035
32. Cerminara AJ; LaPrade CM; Smith SD; et al. Biomechanical evaluation of a transtibial pull-out meniscal root repair: challenging the bungee effect. Am J Sports Med, 2014; 42(12): 2988-95. DOI:10.1177/0363546514549447
33. Chung KS; Ha JK; Ra HJ; et al. A meta-analysis of clinical and radiographic outcomes of posterior horn medial meniscus root repairs. Knee Surg Sports Traumatol Arthrosc, 2016; 24(5): 1455-68. DOI:10.1007/s00167-015-3832-0
34. Nogueira-Barbosa MH; Gregio-Junior E; Lorenzato MM; et al. Ultrasound assessment of medial meniscal extrusion: a validation study using MRI as reference standard. AJR Am J Roentgenol, 2015; 204(3): 584-8. DOI:10.2214/ajr.14.12522