Tumor benigno de la vaina neural en rodilla. Reporte de caso y revisión bibliográfica
Horacio F. Rivarola Etcheto, Carlos Mendoza Puello, Lautaro Avogadro Cavero, Marcos Meninato, Cristian Collazo Blanchod
Hospital Universitario Austral, Buenos Aires, Argentina
Hospital Universitario Fundación Favaloro, C.A.B.A., Argentina
RESUMEN
El schwannoma es el tumor benigno de nervio periférico más frecuente. Su presencia en los nervios de miembros inferiores es excepcional, donde representan el 1% de todos los schwannomas. Presentamos el caso de una mujer de treinta y un años que consulta por dolor en la cara anterior de la rodilla derecha, donde se palpa una masa blanda, dolorosa, de 1 cm aproximadamente y dolor en interlínea externa con signo de McMurray positivo. La RM evidenció una estructura ovoidea de señal quística, superficial al retináculo medial en su tercio proximal, de 10 × 8 × 8 mm y lesión del menisco externo en su tercio medio. Se realizó tratamiento artroscópico de la lesión meniscal externa y por vía abierta la exéresis marginal quirúrgica del tumor de partes blandas, con diagnóstico histopatológico de schwannoma.
Los schwannomas de nervio periférico, aunque sean una entidad poco frecuente, deben considerarse en el diagnóstico diferencial de las masas dolorosas de la rodilla. Su tratamiento es la exéresis quirúrgica.
Palabras clave: Dolor de Rodilla; Tumor de la Vaina Neural; Nervio Safeno; Schwannoma
ABSTRACT
Schwannoma is the most common benign peripheral nerve tumor, its presence being exceptional in the nerves of the lower limbs, where it represents 1% of all schwannomas. We present the case of a thirty-one-year-old woman who consulted for anterior knee pain, where a soft, painful mass of approximately 1cm and pain on the lateral joint line was assessed. McMurray's sign was positive. MRI showed an ovoid structure with a cystic signal, superficial and proximal to the medial retinaculum, measuring 10 × 8 × 8 mm and a tear in the body and posterior horn of the lateral meniscus. Arthroscopic treatment for the lateral meniscus tear and open surgical marginal excision of the soft tissue tumor were performed, with pathological diagnosis of schwannoma.
Peripheral nerve schwannomas, although a rare entity, should be considered in the differential diagnosis of painful knee masses, their treatment being surgical excision.
Keywords: Knee Pain; Peripheral Nerves Tumors; Schwannoma
INTRODUCCIÓN
Los schwannomas son tumores sólidos benignos de la vaina nerviosa que crecen muy lentamente y están compuestos íntegramente por células neoplásicas de Schwann.1,2 Pueden crecer durante años sin ningún síntoma si no existen estructuras anatómicas que limiten su crecimiento. Este tumor se presenta más frecuentemente en los nervios de los miembros superiores, incluido el plexo braquial (69%) y solo el 24% en las extremidades inferiores.3,4
Microscópicamente tiene una verdadera cápsula compuesta de epineuro y puede extirparse con un riesgo aceptable de lesiones en el nervio. Una alta incidencia de déficits neurológicos transitorios se ha informado después de la extirpación quirúrgica del tumor, sin embargo, cuando la escisión es cuidadosa o la tumoración es solitaria no se han reportado casos de déficit transitorio ni permanente.5,6
PRESENTACIÓN DEL CASO
Paciente de sexo femenino, de treinta y un años, sin antecedentes patológicos, que consulta por gonalgia derecha y tumoración palpable dolorosa de dos años de evolución en cara anteromedial de rodilla; al interrogatorio refiere dolor y molestias para las actividades de la vida diaria.
Al examen físico, el eje articular y rango de movilidad eran normales, con dolor a la flexo-extensión profunda a predominio en cara anteromedial y dolor a la palpación en interlínea articular externa con McMurray positivo. La rodilla se encontraba estable con maniobras de varo y valgo negativas al igual que los test de Lachman, cajón y pivot shif. Se palpa masa de 1 cm, dolorosa, móvil, impresiona no adherida a planos profundos, circunscripta y homogénea. No presenta signos de flogosis peritumoral.
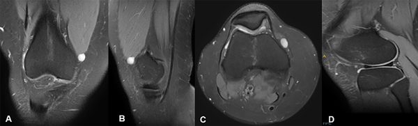
Trae el resultado de una ecografía con impresión diagnóstica de ganglión. Solicitamos una RM donde se evidencia e informan una estructura ovoidea de señal quística, superficial al retináculo medial en su tercio proximal, de 10 × 8 × 8 mm y lesión en el menisco externo, en cuerno medio y posterior (fig. 1).

Figura 1: RM de rodilla derecha. A) Corte coronal. B) Corte sagital. C) Corte axial. Imagen de aspecto quístico en relación con el retináculo medial. D). Corte sagital. Lesión radial del menisco externo en la unión del tercio medio y anterior.
Sobre la base de la evolución clínica, examen físico e interpretando los estudios imagenológicos complementarios, se programó la exploración artroscópica de la rodilla derecha y, acto seguido, la resección quirúrgica de la masa tumoral.
TÉCNICA QUIRÚRGICA
Bajo anestesia general y regional, por portales estándar anteromedial y anterolateral, se explora el compartimento medial, sin lesión meniscal ni condral; el intercóndilo, con el LCA y el LCP sin particularidades; en el compartimento lateral se evidencia lesión radial del menisco externo en zona blanca-blanca a nivel de tercio medio, se realiza meniscoplastia mínima, seguida de sellado con radiofrecuencia conservando casi su totalidad (fig. 2).

Figura 2: Visión artroscópica del compartimento lateral de la rodilla derecha. A) Lesión del menisco externo. B) Luego de meniscoplastia externa, sellado con radiofrecuencia. C) Visión final del menisco externo.
Luego, se localiza masa palpable correspondiente a tumoración, se efectúa incisión horizontal de piel y TCS; siguiendo las líneas de Langerhans, se evidencia nódulo bien delimitado, capsulado de consistencia firme, el cual se extrae en su totalidad con disección prolija y minuciosa, con su vaina en forma marginal (fig. 3). Se envía la pieza para su estudio anatomopatológico, con diagnóstico diferido de schwannoma (fig. 4).
En el postoperatorio inmediato, la paciente se encuentra sin dolor y con movilidad articular completa. No se restringió la movilidad ni descarga de peso.

Figura 3: Rodilla derecha. A) Localización de la masa tumoral. B) Resección marginal tumoral, pieza quirúrgica, visión macroscópica.

Figura 4: Visión microscópica. 10X: cuerpos de Verocay (empalizada nuclear).
DISCUSIÓN
El schwannoma, también conocido como neurilemoma, es un tumor benigno derivado de la vaina neural, de las células de Schwann,7 generalmente solitario y de pequeño tamaño. Aparece habitualmente en torno a la cuarta década de la vida y con igual propensión en hombres y en mujeres (aunque algunas series hablan de una ligera predominancia femenina).8
La incidencia real de schwannomas no se conoce con exactitud. Se aproxima en algunas series a 0.6 casos por cada cien mil habitantes. De todos los tumores benignos ciáticos, 60% están representados por neurofibromas y 38% por schwannomas; el resto, por otros tipos histológicos.9 Pueden aparecer en cualquier nervio, pero son más frecuentes en los pares craneales y en la médula espinal.7,8,10 Constituye aproximadamente un 5% de las neoplasias benignas de los tejidos blandos.
La presentación clínica consiste en una tumoración de crecimiento lento que con frecuencia termina por hacerse dolorosa: este es el rasgo característico. Suelen presentar un signo de Tinel positivo y permitir su movilización en dirección transversa a la situación anatómica del nervio implicado. Los individuos afectados pueden manifestar parestesias, y es rara la aparición de un déficit neurológico establecido. El diagnóstico diferencial puede resultar difícil, lo que deriva en un diagnóstico incorrecto hasta en el 75-80% de los casos. Es el ganglión la patología con la que más frecuentemente se confunde, debido a su consistencia quística.5
El diagnóstico diferencial del dolor de rodilla es extenso, pero puede reducirse con una historia detallada, exámenes físicos y neurológicos y con el uso apropiado de imágenes por resonancia magnética. Es importante tener en cuenta las características del dolor: su inicio, ubicación (rodilla anterior, medial, lateral o posterior), duración y calidad. Si bien en este caso los estudios imagenológicos no fueron de gran ayuda diagnóstica, la ecografía puede ser utilizada como herramienta diagnóstica única cuando se demuestra continuidad de lesión con un nervio, lo que produce un aspecto caracterizado por una masa sólida fusiforme, hipoecogénica, vascularizada, bien definida y excéntrica al eje del nervio.11 Si no es posible demostrar la continuidad de la masa con la estructura neural, es útil la RM en la que puede aparecer una masa de características similares que en la ecografía (sólida, vascularizada) con signos propios de las neoplasias de vaina neural (el centro de la lesión se comporta hipointenso y la periferia hiperintensa en secuencias potenciadas en T2). Histológicamente, presentan áreas celulares (Antoni A) y áreas hipocelulares (Antoni B), con alto contenido mixoide, lo que se correlaciona con su aspecto radiológico.12
Aunque normalmente son de características benignas, se han descripto casos de degeneración maligna (las series lo cifran en menos del 0.001%), especialmente en aquellos asociados a enfermedades genéticas como la neurofibromatosis.13 El diagnóstico diferencial del schwannoma es, principalmente, con los neurofibromas. Por lo general, son solitarios, bien circunscritos, tumores encapsulados, situados excéntricamente sobre las raíces nerviosas, procedentes de los nervios proximales o raíces nerviosas espinales, dato que lo diferencia del neurofibroma y que le confiere un tratamiento y un pronóstico diferentes y mucho más favorables que en el caso del neurofibroma.
El tratamiento de elección es la resección marginal de la tumoración, preservando anatomía y funcionalidad del nervio.
CONCLUSIÓN
Los schwannomas de nervio periférico, aunque sean una entidad poco frecuente, deben considerarse en el diagnóstico diferencial de las masas dolorosas de la rodilla. Su tratamiento es la exéresis quirúrgica.
BIBLIOGRAFÍA