Glomangioma de rodilla
Horacio F. Rivarola Etcheto, Marcelo Libertini, Carlos Mendoza, Marcos Meninato, Cristian Collazo Blanchod
Hospital Universitario Austral, Buenos Aires, Argentina
Hospital Universitario Fundación Favaloro, C.A.B.A., Argentina
RESUMEN
El tumor glómico es una neoplasia benigna poco común que surge del aparato glómico de la piel. Ocurre con mayor frecuencia en los dedos de manos y pies y representa el 1.6% de todos los tumores de tejidos blandos. El diagnóstico clínico puede resultar difícil si el tumor aparece en una ubicación extradigital.
Presentamos un caso de tumor glómico de tipo vascular (glomangioma) de localización atípica, suprapatelar externa y de presentación inusual ya que no evidenciaba cambios de color en la superficie, indicando su componente vascular.
Palabras clave: Glomangioma; Tumor Glómico; Rodilla; Extradigital
ABSTRACT
Glomus tumor are rare benign tumor of the glomus body from the skin. Often occurring in the subungual region and it represents 1.6% of all soft tissue tumors. Clinical diagnosis may result difficult if the tumor occurs in an extra digital location.
We report a case of a solitary vascular Glomus Tumor (Glomangioma) with an atypical localization, suprapatellar external and unusual presentation because it did not present with surface color change, indicating the vascular component.
Keywords: Glomangioma; Glomus Tumor; Knee; Extradigital
INTRODUCCIÓN
El tumor glómico fue descripto por primera vez por Wood en 1812, pero fue Masson quien le dio su nombre en 1924. Se trata de un tumor vascular benigno raro que deriva de las estructuras llamadas “cuerpos glómicos”. Estos son aparatos neuromioarteriales encargados de la regulación del flujo sanguíneo local y la termorregulación. Están localizados en la dermis de cualquier parte del tegumento, pero se concentran más en las manos y los pies. Hasta el 80% se encuentra en las extremidades superiores, y son especialmente frecuentes en la región subungueal.
Se observa con menos frecuencia el glomangioma, una variante de los tumores glómicos benignos, determinada histológicamente por una abundancia de estructuras vasculares. Los tumores glómicos afectan más a pacientes de edad media, pero se han descripto en todas las edades. Es característica la tríada clínica de dolor paroxístico intenso, localización exquisita del punto doloroso y sensibilidad al frío. La presencia de estos síntomas es bastante sugestiva del diagnóstico, pero en muchos casos este se demora, por lo que no es infrecuente que los pacientes consulten por un intenso dolor subungueal con años de evolución.
PRESENTACIÓN DEL CASO
Paciente de sexo masculino de cuarenta y nueve años, que consulta el servicio de rodilla por gonalgia izquierda, dolor en interlínea interna y dolor exquisito a la palpación en región suprapatelar lateral sobre masa tumoral y sensibilidad al frío. Como antecedente refiere reconstrucción del ligamento cruzado anterior de rodilla izquierda de tres años de evolución.
Al examen físico se constatan maniobras de Bragard y Steinmann positivas (+) para compartimento interno y frote patelofemoral (+). Rodilla estable, Lachman negativo con tope neto y corto. Además, se verifica a nivel suprapatelar externo una pequeña tumoración blanda, superficial y dolorosa a la palpación (fig. 1).
En la resonancia magnética se evidencia reconstrucción de ligamento cruzado anterior, lesión meniscal interna y una masa hipointensa en secuencias ponderadas en T1 y una masa hiperintensa en las ponderadas en T2, en región suprapatelar externa (fig. 2).

Figura 1: Rodilla izquierda. Se localiza y marca la masa tumoral suprapatelar lateral.

Figura 2: Resonancia magnética de rodilla izquierda. A) Imagen hiperintensa en T2 en corte sagital. B) Imagen hipointensa en T1 en corte sagital. C) Imagen hiperintensa en T2 en corte axial.
Se realizó tratamiento artroscópico de la rodilla a través de dos portales habituales AM y AL. Se constató plástica de LCA en pívot central y lesión meniscal interna, para la cual se realiza meniscectomía parcial. A continuación, se efectuó cirugía abierta, abordaje sobre masa tumoral y biopsia excisional de la pieza, de color parduzco que presenta bordes irregulares de 0.7 × 0.5 × 0.2 (figs. 3 y 4). El informe de anatomía patológica informa glomangioma como diagnóstico de la pieza enviada (figs. 5 y 6).

Figura 3: Rodilla izquierda. Biopsia excisional de la tumoración.

Figura 4: Pieza quirúrgica que se envía para su estudio anatomopatológico.

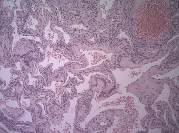
Figura 5: Glomangioma. Microfotografía teñida con H-E. 10X. Se observan vasos dilatados rodeados por capas de células glómicas.

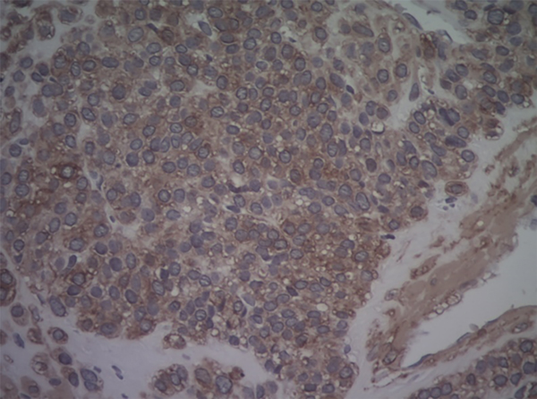
Figura 6: Glomangioma. 40X. AML.
DISCUSIÓN
El tumor glómico es una neoplasia benigna poco común que se origina en el aparato glómico de la piel. Ocurre con mayor frecuencia en los dedos de manos y pies y representa el 1.6% de todos los tumores de tejidos blandos.1 El diagnóstico clínico puede resultar difícil si el tumor se presenta en una ubicación digital adicional.2
Fueron descriptos clínicamente por primera vez por Wood en 1812,3 y luego explicados en detalle por Masson.4 Son tumores benignos raros de los canales de Sucquet-Hoyer dentro del cuerpo glómico (un sistema de canales neuromioarteriales que es responsable del flujo sanguíneo a la piel y la termorregulación). La hiperplasia local o el crecimiento excesivo de este tejido neuroangiomatoso pueden dar lugar a tumores que producen dolor paroxístico inducido por un estímulo mecánico o térmico. Estos ocurren con mayor frecuencia en las extremidades distales, particularmente en el área subungueal,5 sin embargo, se pueden observar sitios extradigitales atípicos, que incluyen la cabeza y el cuello, los pulmones, el mediastino, el estómago, el mesenterio, los intestinos, los huesos y el sistema venoso.6 Hay informes de múltiples ubicaciones posibles alrededor de la rodilla: subcutánea, subsinovial, en el ligamento rotuliano, dentro de la almohadilla grasa, en el área poplítea o en la cabeza del peroné.7,8 Las revisiones de los tumores glómicos en la mano han indicado un predominio femenino de 2:1,9 pero los extradigitales parecen ser más comunes en los hombres.10 Estos tumores son típicamente solitarios y se acompañan de la tríada clásica de dolor, sensibilidad al frío y sensibilidad puntual.2,9,11,12 Los síntomas suelen ser desproporcionados al tamaño del tumor, y el mecanismo del dolor aún requiere una mayor aclaración:13 los estudios sugieren que la contracción de los miofilamentos de las células glómicas, debido a las bajas temperaturas, puede resultar en un aumento de la presión intracapsular que conduciría a la percepción del dolor por transmisión a través de fibras nerviosas amielínicas.14 Los tumores extradigitales suelen ser más difíciles de diagnosticar debido a la ausencia de síntomas clásicos (inicialmente, solo del 9 al 20% se diagnostican correctamente).2,15
Se observan diferencias importantes en los tumores glómicos en niños en comparación con los adultos. En los niños, los tumores suelen ser multifocales, infiltrativos y se ven con menos frecuencia en localizaciones subungueales. Los tejidos blandos superficiales de las extremidades suelen estar afectados. Además, se puede observar un patrón de herencia autosómico dominante y algunos tumores en niños pueden estar asociados con neurofibromatosis tipo 1.16
Según la Organización Mundial de la Salud, se reconocen tres tipos distintivos de patrones de tumores glómicos: tipo sólido, con escasa vasculatura y un componente muscular mínimo (la variante más común); un tipo angiomatoso llamado glomangioma, formado por un componente vascular prominente; y un tipo sólido con diferenciación de células fusiformes miomatosas denominado glomangiomioma (con componentes prominentes de músculo liso y vascular).17 Los glomangiomas representan aproximadamente el 20% de todos los tumores glómicos y el 1-5% de todos los tumores de tejidos blandos de la mano.6,17 Los estudios de imágenes preoperatorios con ecografía doppler color y resonancia magnética pueden proporcionar información sobre el tamaño, la forma y la ubicación anatómica precisa del tumor.18,19
Las tasas de recurrencia de los tumores solitarios oscilan entre el 12% y el 33%.2,15 La malignidad es extremadamente rara y se basa principalmente en características histológicas (figuras mitóticas atípicas, grado nuclear moderado a alto y ≥5 figuras mitóticas por 50 campos de gran aumento), más que en hallazgos clínicos (ubicación profunda y tamaño >2 cm), enfatizando la importancia de la resección marginal quirúrgica.20
CONCLUSIÓN
Este reporte de caso detalla una presentación atípica de un glomangioma benigno suprapatelar en rodilla, sin cambios en la coloración superficial, en un paciente que consulta por síndrome meniscal interno y tumoración suprapatelar. El diagnóstico fue sugerido por la presentación clínica y la resonancia magnética, y se confirmó histológicamente. La aparición de tumores glómicos en localizaciones extradigitales supone un desafío aún mayor. En el caso que nos ocupa, el dolor de rodilla recordaba muchas afecciones musculoesqueléticas comunes, como desgarros de menisco, sinovitis o distensiones y esguinces de ligamentos, lo que inducía a error a los médicos y retrasaba el diagnóstico correcto. Esto ilustra la importancia de mantener un alto índice de sospecha para el diagnóstico de un tumor glómico extradigital. También, el hecho de que la distribución inusual de los signos y síntomas clínicos proporciona la pista más importante para el diagnóstico preciso.
BIBLIOGRAFÍA