Osteonecrosis bilateral de rodilla tratada con descompresión y concentrado de aspirado de médula ósea
Ignacio Astore, Juan Pablo Zícaro, Ignacio García Mansilla, Carlos Yacuzzi, Matías Costa Paz
Hospital Italiano de Buenos Aires, C.A.B.A., Argentina
RESUMEN
Descripta por Ahlbäck en 1968, la osteonecrosis de rodilla es una patología con un gran potencial de morbilidad. Está dividida en tres grandes grupos: primaria/espontánea, postoperatoria y secundaria/atraumática. Esta última podría estar directamente relacionada con el consumo prolongado de corticoides. Su tratamiento constituye un desafío para el cirujano ortopedista. Va a depender del estadio de la enfermedad y del colapso articular, y se intentará siempre preservar la superficie articular nativa. Dentro de las distintas opciones terapéuticas, las terapias biológicas constituyen una herramienta potencialmente valiosa como complemento al tratamiento quirúrgico, y muestran resultados clínicos esperanzadores.
Presentamos el caso de una paciente con una osteonecrosis de rodilla bilateral, secundaria al consumo crónico de corticoides, tratada con una artroscopía bilateral asociada a perforaciones subcondrales descompresivas y aplicación subcondral de concentrado de médula ósea (CMO), con evolución satisfactoria de los síntomas a los treinta meses de seguimiento en la rodilla derecha, mientras que en la rodilla izquierda presentó una evolución tórpida de los síntomas a partir de los veinticuatro meses, por lo que está en plan de reemplazo articular.
Palabras clave: Osteonecrosis; Aspirado de Médula Ósea Concentrado (AMOC)
ABSTRACT
Described by Ahlbäck in 1968, osteonecrosis of the knee is a pathology with great potential for morbidity. It is divided into three large groups: primary/spontaneous, postoperative, and secondary/atraumatic. The latter might be directly related to prolonged consumption of steroids. Its treatment is a challenge for the orthopedist. It will depend on the disease stage and articular collapse, always trying to preserve the native articular surface. Within the different therapeutic options, biological therapies are a potentially valuable tool as a complement to surgical treatment, showing encouraging clinical results.
We present the case of a female patient with bilateral osteonecrosis of the knee, secondary to chronic consumption of steroids, treated with bilateral arthroscopy associated with decompressive subchondral perforations and subchondral application of bone marrow concentrate (BMC), with a satisfactory evolution of symptoms after thirty months of follow-up in the right knee. However, the left knee showed a torpid evolution of symptoms after twenty-four months of follow-up, so she is on a joint replacement plan.
INTRODUCCIÓN
La osteonecrosis (ON) de rodilla es un infarto óseo que puede afectar distintas articulaciones, particularmente de carga. Puede ser clasificada en espontánea, postoperatoria, o secundaria.
La osteonecrosis de rodilla secundaria al uso crónico de corticoides es una patología que podría aquejar a pacientes menores de cincuenta y cinco años, con un compromiso bilateral en un 80% y con múltiples lesiones tanto en los cóndilos femorales como en los platillos tibiales.1
Genera cambios irreversibles en la articulación, desencadena cuadros de dolor e impotencia funcional llegando a ser sumamente invalidante. Generalmente se relaciona con su estadio evolutivo, según la clasificación de Ficat y Arlet, quienes proponen cuatro estadios basados en la clínica del paciente y en los hallazgos en los estudios complementarios, tanto en radiografías como en resonancia magnética (RM). En el estadio I predomina la clínica del paciente, las radiografías habitualmente son normales y en la RM se puede evidenciar un sutil edema. En el estadio II hay evidencia de esclerosis alrededor de la lesión, mientras que el estadio III muestra la progresión al colapso subcondral. El estadio IV es la etapa final del proceso necrótico, con grandes cambios degenerativos, colapso cortical y disminución del rango de movilidad. El uso de factores biológicos tales como el plasma rico en plaquetas, o aspirado de médula ósea concentrado (AMOC) ha sido objeto de estudio en la última década como complemento quirúrgico para el manejo sintomático y por su potencial de cicatrizar tejidos musculoesqueléticos.2
El AMOC es un método basado en la aspiración de médula ósea autóloga, seguido por un proceso de centrifugación de la muestra para obtener un concentrado de células madre mesenquimales (MSC, por su nombre en inglés), factores de crecimiento, entre otros productos. Estas MSC son células multipotenciales, con capacidad de autorrenovación y diferenciación en distintas colonias celulares.3
El tratamiento está enfocado, si es posible, en la preservación articular,4-7 tratando de retrasar el reemplazo articular.8,9 Se han descripto múltiples alternativas terapéuticas que dependen del estadio de la lesión y su colapso.4 En la actualidad, a pesar de existir algoritmos o protocolos de tratamiento no quirúrgico y quirúrgico establecidos de acuerdo a la evolución clínica del paciente, no hay un consenso claro en la literatura para su indicación.
El objetivo de este trabajo es presentar un caso de una paciente con una necrosis ósea avascular en ambas rodillas tratada con artroscopía bilateral asociada a la descompresión y aplicación subcondral de un aspirado de médula ósea concentrado (AMOC).
PRESENTACIÓN DEL CASO
Mujer de cincuenta y cuatro años, trasplantada pulmonar hacía cinco años y en tratamiento crónico con deltisona 6 mg/día; con un índice de masa corporal (IMC) de 28.1. Consultó hace dos años por dolor difuso y limitación funcional en ambas rodillas. Clínicamente, presentaba un dolor 8/10 según la escala visual análoga, y bloqueo articular en la rodilla derecha. Al examen físico exteriorizaba dolor en ambas interlíneas mediales, y se pudo constatar el resalto articular de su rodilla derecha, junto a una disminución del rango de movilidad en contexto del dolor.
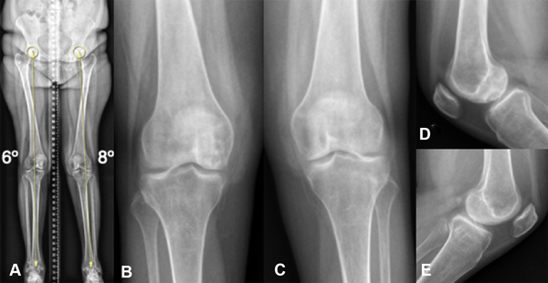
En la evaluación radiográfica se observaba un eje ligeramente valgo, de 6º en el miembro inferior izquierdo y un eje neutro con 8º en el derecho (fig. 1A), con incipientes signos de pinzamiento articular medial bilateral. Se veía una imagen radiolúcida, de contornos escleróticos proyectada en la superficie del cóndilo interno de la rodilla derecha, junto a una rarefacción ósea difusa del fémur distal y la tibia proximal bilateral (figs. 1B-C-D-E).

Figura 1: Radiografía de ambas rodillas. A) Escanograma frente, eje mecánico neutro. B) Rodilla derecha frente. C) Rodilla izquierda frente. D) Rodilla derecha perfil con imagen radiolúcida en la superficie del cóndilo interno, junto a rarefacción ósea difusa. E) Rodilla izquierda perfil con rarefacción ósea difusa.
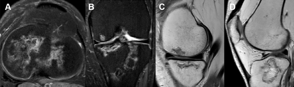
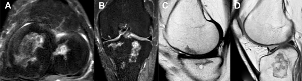
La resonancia magnética (RM) de la rodilla derecha evidenciaba imágenes compatibles con infartos óseos en metáfisis femoral, metáfisis tibial, tróclea femoral externa y meseta tibial homolateral que corresponde a un estadio II de la clasificación de Ficat y Arlet (fig. 2). En la RM de la rodilla izquierda se observaban múltiples infartos óseos en ambas mesetas tibiales, metáfisis tibial y metáfisis femoral, junto a foco de osteonecrosis en cara inferior del cóndilo femoral interno (fig. 3) que corresponde a un estadio III de la clasificación de Ficat y Arlet.

Figura 2: Resonancia magnética de rodilla derecha. A) Corte axial. B) Corte coronal. C y D) Cortes sagitales con focos osteonecróticos en ambos cóndilos femorales y en metáfisis femoral y tibial.

Figura 3: RM de rodilla izquierda. A) Corte axial. B) Corte coronal. C y D) Cortes sagitales. Múltiples infartos óseos difusos. Pequeño foco de osteonecrosis en la cara inferior del cóndilo femoral interno. Mayor afectación en mesetas y metáfisis tibial.
La gammagrafía ósea mostraba imágenes hipercaptantes a predominio del cóndilo femoral interno derecho y platillo tibial externo izquierdo (fig. 4).

Figura 4: Centellograma óseo, hipercaptación a predominio del cóndilo femoral interno derecho y platillo tibial externo izquierdo.
Se indicó en primera instancia tratamiento conservador con fisiokinesioterapia por más de un año sin lograr buenos resultados.
En su ciudad de origen, le indicaron una artroplastia bilateral. Al negarse a que le colocaran una prótesis de rodilla, nos consulta en busca de otra alternativa de tratamiento. En este contexto, dado de que se trata de una paciente joven, activa, con muy buena predisposición, se indicó realizar una artroscopía bilateral asociada a la descompresión y aplicación subcondral e intraarticular de un aspirado de médula ósea concentrado.
Aspirado de médula ósea y preparación de concentrado de médula ósea (AMOC)
Paciente en decúbito dorsal, bajo anestesia general y raquídea. Mesa quirúrgica con materiales necesarios para el procedimiento de punción-aspiración (fig. 5A). Se realiza el aspirado de médula ósea mediante punción-aspiración con aguja entrefina de cresta ilíaca (fig. 5B). Se obtienen 20 ml heparinizados (fig. 5C) y se separan con Ficoll®. Las muestras se envían a centrifugado y preparación para concentrado de médula ósea. Se centrifuga a 2000 revoluciones/min durante veinte minutos y 4000 revoluciones/min durante otros veinte minutos. Se extrae capa leucocitaria en campana de flujo laminar. Se envía muestra para recuento de células totales y determinación de grupo de diferenciación de 34 y viabilidad por citometría de flujo (fig. 5D).

Figura 5: A) Mesa quirúrgica, materiales necesarios para la punción. B) Punto de entrada sobre cresta ilíaca. Punción-aspiración con aguja fina para extracción de médula ósea. C) Resultado de la muestra: 20 ml, distribuidos en dos jeringas de 10 ml cada una, previa separación con Ficoll®. D) Producto final: aspirado de concentrado de médula ósea.
Las características del aspirado de médula ósea concentrado se describen en la Tabla 1.
TABLA 1. CARACTERÍSTICAS DEL AMOC
| Producto | 6 ml |
| Células mononucleares | 4.1 x 106 |
| Células CD34+ | 1.96 x 102 |
| Viabilidad | 97.35% |
Luego del aspirado de médula ósea se realiza una artroscopía exploradora de la rodilla izquierda. Se observó una rodilla sin compromiso del cartílago y ambos meniscos sin lesión (fig. 6A). Posteriormente, bajo guía radioscópica (fig. 6B) se efectuaron perforaciones descompresivas tipo forage con mecha de 3.2 mm en platillo tibial (fig. 6C) y se colocaron 2 ml de concentrado de médula ósea.

Figura 6: Rodilla izquierda. A) Imagen intraoperatoria artroscópica. Meseta tibial interna (debajo), cuerpo del menisco interno y cóndilo femoral interno sin alteraciones. B) Control con radioscopia previa descompresión. C) Perforación-descompresión con mecha de 3.2 mm en platillo tibial.
En la evaluación artroscópica de la rodilla derecha se observó una lesión osteocondral extensa en el cóndilo femoral interno de aproximadamente 4 cm2 (fig. 7A). A pesar de que por la superficie de la lesión una opción viable era un trasplante osteocondral, se decidió extraer el fragmento (fig. 7B), realizar microperforaciones al lecho de la lesión y se colocar 2 ml de aspirado de médula ósea concentrado intraarticular y 2 ml en lecho lesional a través del portal artroscópico (fig. 7C).

Figura 7: Rodilla derecha. A) Imagen artroscópica en la que se evidencia la lesión osteocondral extensa en el cóndilo femoral interno. B) Pieza quirúrgica resecada, de aproximadamente 4 cm2. C) Colocación de aspirado de concentrado de médula ósea por el portal artroscópico.
Rehabilitación postoperatoria
El objetivo de la rehabilitación fue recuperar el rango de movilidad completo las primeras tres a seis semanas. Hasta la tercera semana se indicó descarga completa de la rodilla derecha y movilización con silla de ruedas. Debido a que se trató de una cirugía bilateral, con el objetivo de la movilización precoz, a partir de la tercera semana se le permitió carga con la izquierda. El foco se centró en la flexo-extensión y la activación del cuádriceps con ejercicios isométricos, estimulando la propiocepción de la rodilla.
Seguimiento postoperatorio
Se realizaron controles al primer y sexto mes. Al año, año y medio, dos años y a los treinta meses postoperatorios.
La paciente presentó una buena evolución clínica con una escala visual análoga de 2/10, para una previa de 8/10, lo que le permitió mejorar su calidad de vida. Sin embargo, en su rodilla izquierda, a partir de los dieciocho meses comenzó nuevamente con mayor dolor, de intensidad 6/10, por lo que está en plan de reemplazo articular. La evaluación clínica mejoró la escala subjetiva de IKDC de 12 puntos preoperatorios a 62 postoperatorios.
En las radiografías a los dieciocho meses (fig. 8), se observa menor rarefacción ósea en ambas rodillas a nivel de los focos de necrosis y mayor congruencia articular en la lesión osteocondral del cóndilo interno de la rodilla derecha. Sin cambios degenerativos precoces.

Figura 8: Control radiográfico de ambas rodillas a los dieciocho meses postoperatorios. A) Rodilla derecha. Rx frente. B) Rodilla izquierda. Rx frente. C) Rodilla derecha. Rx perfil. D) Rodilla izquierda. Rx perfil.
Realizamos resonancia magnética de control a los veinticuatro meses. Tanto en los cortes axiales, sagitales como coronales de la rodilla derecha (fig. 9) como de la rodilla izquierda (fig. 10) no evidenciamos grandes cambios en relación a una posible mejoría, tampoco una probable progresión de la enfermedad en relación con las múltiples imágenes compatibles con infartos óseos que ya veíamos en la RM preoperatoria.

Figura 9: RM rodilla derecha. A) Corte axial. B) Corte coronal. C y D) Cortes sagitales. Focos osteonecróticos, tanto en fémur como tibia, ya conocidos en imágenes preoperatorias, sin grandes cambios evolutivos.

Figura 10: RM rodilla izquierda. A) Corte axial. B) Corte coronal. C y D) Cortes sagitales. Múltiples infartos óseos difusos ya diagnosticados en imágenes preoperatorias, sin grandes cambios evolutivos.
DISCUSIÓN
Presentamos una paciente con NOA bilateral de rodilla tratada con descompresión del foco de necrosis y colocación de aspirado de médula ósea concentrado. La paciente cursó un postoperatorio satisfactorio con mejoría de su evaluación clínica de los síntomas a los veinticuatro meses de seguimiento.
El tratamiento habitual para las lesiones en estadio I y II (precolapso) de Ficat y Arlet en pacientes sintomáticos se enfoca en descomprimir y recuperar la estructura ósea en el área necrótica. En caso de presentar un deseje, por ejemplo, se trata con una osteotomía. La artroscopía está destinada al tratamiento de las lesiones concomitantes articulares. Marulanda y cols.4 han demostrado buenos resultados clínicos a tres años realizando descompresión subcondral con múltiples perforaciones percutáneas.
En caso de lesiones en estadio III o IV, donde se presenta un colapso articular con compromiso osteocondral, el tratamiento se enfoca en reemplazar la superficie articular. Sin embargo, en pacientes jóvenes, menores de cincuenta años, Early y cols. han reportado buenos resultados con una mosaicoplastia con once años de seguimiento promedio en un estudio retrospectivo que incluyó veintiséis pacientes, y treinta y cuatro rodillas, es decir, que en seis casos se realizó el tratamiento de forma bilateral. Solamente un 27% de su serie requirió una nueva intervención quirúrgica.5
Pacientes mayores de sesenta años son mejores candidatos a reemplazos parciales o totales de rodilla ya que, habitualmente, presentan cambios degenerativos avanzados tanto unicompartimentales como bicompartimentales y tricompartimentales, con una sobrevida del implante de más de diez años,8,9 con una notable mejoría de la sintomatología. En general, cuando la afectación es unicompartimental, independientemente de que sea lateral o medial, la primera opción es el reemplazo parcial de la articulación. Chalmers y cols. encontraron también que la conversión de una prótesis parcial a una total era secundaria a una progresión de la enfermedad y no a una falla del implante.8
En la actualidad hay controversia respecto de los resultados obtenidos con la utilización de terapias biológicas para el manejo sintomático de la osteoartritis de rodilla. Hunter et al.,10 en un ensayo clínico aleatorizado, no encontraron diferencias significativas en los síntomas a doce meses de seguimiento en pacientes tratados con PRP en comparación con inyección de solución salina (placebo). En contrapartida, Sabatier et al.11 han obtenido buenos resultados clínicos a seis meses de seguimiento en una serie de cincuenta y cuatro pacientes con osteoartritis de rodilla tratados con PRP y ácido hialurónico.
Por otro lado, es escasa la evidencia clínica sobre el uso de aspirado de médula ósea concentrado para el tratamiento en la patología ortopédica.12 La mayor parte de los trabajos publicados son recientes y prácticamente todos son estudios experimentales. Hernigou y cols., en un ensayo clínico prospectivo randomizado, evaluaron ciento dieciséis pacientes con osteonecrosis de cadera tratados con CMO junto a descompresión del foco de necrosis. Compararon los resultados del uso de CMO subcondral con un reemplazo total en la rodilla contralateral en pacientes con ON bilateral secundaria. La media de unidad formadora de colonias fue de 25 x 103, observando mejores resultados en pacientes con un mayor número de células progenitoras trasplantadas.13 Todos los pacientes presentaron una notable mejoría de las escalas funcionales y solamente treinta y cuatro caderas de ciento ochenta y nueve tratadas requirieron un reemplazo articular debido a la progresión de la enfermedad. Luego de doce años de seguimiento promedio, seis pacientes en el grupo tratado con PTR requirieron una revisión de PTR y uno tratado con CMO requirió una PTR,13 con una menor tasa de complicaciones postoperatorias en el grupo tratado con CMO.
Savvidou et al.,14 en su estudio retrospectivo de ciento veintiún pacientes, concluyeron que una sola inyección intraarticular de CMO es un procedimiento seguro y confiable que resulta en una mejoría clínica de la osteoartritis de rodilla grado III y IV, con una media de seguimiento de once meses, con un cambio estadísticamente significativo en la escala visual análoga de dolor inicial de 8.33, y postratamiento de 4.49.
La indicación actual para la aplicación de concentrado de médula ósea intenta proporcionar una mayor efectividad a la descompresión. Se han descripto resultados clínicos favorables con el uso de CMO6,7 para ON de rodilla. Goodman y Hwang presentaron una serie de once pacientes con ON sin colapso tratados con colocación de concentrado de médula ósea de cresta ilíaca a través de una ventana ósea, con un seguimiento promedio de cinco años. Los pacientes no tuvieron cirugías subsecuentes y un KSS promedio de 87 puntos.15
En una revisión sistemática reciente, Piuzzi y cols. reportaron una gran variabilidad y heterogeneidad en las formulaciones celulares, ya que ningún trabajo informó los ítems del procesamiento de la muestra, y solamente el 30% reportó la composición final del CMO,16 lo que dificulta la comparación de los resultados entre las distintas series. Esta falta de estandarización del procesamiento de las muestras hace que resulten diversas, y sabiendo que la composición final del CMO estaría directamente relacionada a su eficacia clínica, hace que el resultado terapéutico varíe en cada paciente. Algo similar fue reportado por Murray y cols.17 en una revisión sistemática de cuarenta y seis artículos; ninguno de ellos proporcionó información adecuada para permitir la replicación precisa de los protocolos de preparación. Se concluye que los estudios clínicos existentes en la literatura que evalúan el CMO para aplicaciones de medicina ortopédica o deportiva están limitados por la falta de informes adecuados, tanto de los protocolos de preparación como de las composiciones finales.
CONCLUSIÓN
La aplicación subcondral de células de CMO es una herramienta que podría ser utilizada como complemento a la descompresión subcondral en osteonecrosis de rodilla. Aunque aún son escasos los resultados clínicos en la literatura.
En este trabajo, describimos un caso de ON de rodilla bilateral tratado con CMO con mejoría de los síntomas hasta los veinticuatro meses de seguimiento. Sin embargo, consideramos que hace falta un mayor nivel de evidencia científica para respaldar el uso de CMO en este tipo de patología, ya que la falta de información sobre los protocolos de preparación y de composición final, así como de los diversos resultados finales en el manejo sintomático en la osteoartritis de rodilla deberían ser analizados en futuros estudios prospectivos con un seguimiento promedio mayor.
BIBLIOGRAFÍA