Luxación acromioclavicular tipo V tratada con tenosuspensión coracoclavicular y cerclaje acromioclavicular asistida por artroscopía
Fernando Lossada Finol,1 Julio Alberto Carruyo Ávila2
1. Policlínica Maracaibo, Maracaibo, Zulia, Venezuela
2. Hospital General del Sur “Dr. Pedro Iturbe”, Maracaibo, Zulia, Venezuela
RESUMEN
El tratamiento de las luxaciones acromioclaviculares busca reducir y controlar la inestabilidad vertical, horizontal y rotacional. El uso de los sistemas de tenosuspensión con botones ofrece buenos resultados. A pesar de ello, se presentan molestias y dolor en la región supraclavicular, los que son motivo de consulta postquirúrgica y necesidad de revisión para retiro.
Presentamos el caso de un paciente de sexo masculino, de treinta y nueve años, quien luego de una caída desde su bicicleta sufre una luxación acromioclavicular tipo V, la que fue tratada mediante sistema de tenosuspensión coracoclavicular y cerclaje acromioclavicular asistida por artroscopía, con buenos resultados.
Palabras clave: Luxación Acromioclavicular; Tenosuspensión Coracoclavicular; Articulación Acromioclavicular
Nivel de Evidencia: IV
ABSTRACT
Treatment of acromioclavicular dislocations seeks to reduce and control vertical, horizontal, and rotational instability. The use of tenosuspension systems with buttons offers good results. Despite this, there is discomfort and pain in the supraclavicular region, which are the reason for post-surgical consultation and the need for revision for removal.
We present a case of a thirty-nine-year-old male patient who suffered a type V acromioclavicular dislocation after falling from a bicycle, which was treated with a coracoclavicular tenosuspension system and arthroscopically assisted acromioclavicular cerclage with good results.
Keywords: Acromioclavicular Dislocation; Coracoclavicular Tenosuspension; Acromioclavicular Joint
Level of Evidence: IV
INTRODUCCIÓN
Las luxaciones acromioclaviculares son lesiones que ocurren frecuentemente y que afectan la movilidad de la cintura escapular. Estas son producidas por caídas sobre el hombro, generando diferentes desplazamientos de la articulación acromioclavicular.1,2
Su tratamiento varía según el grado de luxación. Demandas del paciente, su edad y el tiempo de evolución de la lesión, son algunas de las características para seleccionarlo. Clasificar la lesión permite aplicar el tratamiento orientado en reducir y controlar la inestabilidad vertical, horizontal y rotacional que pudiera existir.3-5 Hay diferentes técnicas para tratar estas lesiones, todas dirigidas a reducir de forma anatómica la articulación y brindar estabilidad en los diferentes planos.6,7 Una de las técnicas empleadas para la reparación de esta patología, es la tenosuspensión coracoclavicular asociada al cerclaje acromioclavicular, esta presenta buenos resultados clínicos en comparación con los sistemas de tenosuspensión con botones, los que pueden acarrear molestias y dolor en la región supraclavicular y son motivo de consulta postquirúrgica y necesidad de revisión para retiro.7 Esta técnica permite una estabilización tanto en el plano vertical como en el horizontal, mejorando los resultados y scores.8
Presentamos un caso de una luxación acromioclavicular tipo V, la cual fue tratada de forma aguda mediante sistema de tenosuspensión coracoclavicular y cerclaje acromioclavicular asistida por artroscopía.
PRESENTACIÓN DEL CASO
Valoración del paciente
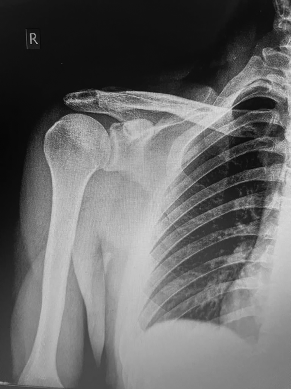
Paciente de sexo masculino, de treinta y nueve años, deportista, quien sufre caída desde su bicicleta, presenta dolor y limitación funcional para la abducción en hombro derecho. Al examen físico, dolor de fuerte intensidad a la digitopresión acompañado de aumento de volumen y deformidad en la articulación acromioclavicular, con signo de la tecla positivo (+) para luxación acromioclavicular. Se confirma el diagnóstico mediante estudio de imágenes basadas en Rx anteroposterior de hombro y proyección de Alexander, donde se clasificó, según Rockwood, en grado V (fig. 1).

Figura 1: Luxación acromioclavicular tipo V vista por Rx anteroposterior.
Se realizó ultrasonido para valorar el manguito rotador y la porción larga del bíceps braquial, los que se encontraban indemnes. Además, se aplicó la escala de Constant, con la que se obtuvo un resultado menor de 50 puntos (malo).
Procedimiento quirúrgico
Se llevó a cabo la intervención quirúrgica en fase aguda, previo consentimiento informado del paciente. Este fue posicionado en mesa quirúrgica en silla de playa, bajo bloqueo del plexo braquial a nivel interescalénico guiado por ultrasonido y neuroestimulación y anestesia general, previa asepsia y antisepsia y colocación de campos estériles.
Se asiste la cirugía mediante artroscopía de hombro. Luego de realizar los portales artroscópicos (posterior, lateral y anterior), se verificó intraarticularmente la ausencia de lesiones asociadas, seguidamente se inició esqueletización al proceso coracoideo desde lateral a medial, respetando el tendón conjunto y se colocó el paso de sutura FiberTape® (Arthrex, Naples, Fl., EE. UU.) en región subcoracoidea de medial a lateral.
Se efectuó un abordaje superior al hombro de aproximadamente 4 cm sobre la articulación acromioclavicular, con tunelización clavicular de 2.7 mm a 2 y 4 cm, respectivamente, del margen lateral de la clavícula en sentido anteroposterior y bajo visualización directa (fig. 2). Se recuperó el cabo medial de sutura en túnel clavicular lateral y cabo lateral de sutura en túnel clavicular medial obteniendo una configuración en 8. Se redujo manualmente la luxación acromioclavicular en la región supraclavicular bajo guía fluoroscópica y se anudó en la región clavicular posterior.

Figura 2: Abordaje superior a la articulación acromioclavicular derecha asistida por artroscopía.
Posteriormente, se tunelizó el acromion de lateral a medial bajo visión fluoroscópica y se procedió al paso de un cabo de FiberTape® (Arthrex, Naples, Fl., EE. UU.) de medial a lateral, anudando y logrando estabilización acromioclavicular con sistema continuo de suspensión (fig. 3). Se exploró y reparó fascia deltotrapezoidal y se cerró por planos hasta piel.

Figura 3: Resultado postoperatorio de tenosuspensión coracoclavicular y cerclaje acromioclavicular por artroscopía.
En el postoperatorio se indicó inmovilización tipo cabestrillo por veintiún días y luego ejercicios pasivos hasta la sexta semana. Se aplicó escala Constant, con la que se obtuvo resultados excelentes por encima de los 80 puntos a los tres meses. No se presentaron complicaciones.
DISCUSIÓN
El uso de la artroscopía en la reparación de la luxación acromioclavicular permite descartar lesiones asociadas que pudieran omitirse en una cirugía abierta. Tal como refieren Ibañez et al., la artroscopía de hombro en el tratamiento de esta patología identifica la presencia, o no, de otras lesiones asociadas (manguito rotador, lesión de SLAP, entre otras), esto concuerda con nuestro estudio: se utilizó la artroscopía de hombro en el tratamiento de la luxación acromioclavicular, y se pudo descartar lesiones intraarticulares.9
Adicionar un cerclaje acromioclavicular, tal como lo plantean Jordan et al. y Hann et al., ofrece estabilidad en el plano horizontal, que se relaciona con menos incidencia de fallas y mejora en los scores aplicados,2,10 lo que implica disminuir la incidencia de traslación en los diferentes planos con la estabilización coracoclavicular y acromioclavicular. Martetschläger, en 2019, resalta durante la técnica quirúrgica adicionarle estabilización horizontal. Por su parte, Saier et al., en 2015, sugieren que sólo la reconstrucción combinada de la articulación acromio y coracoclavicular con cinta de sutura puede restablecer adecuadamente la estabilidad fisiológica horizontal de la articulación acromioclavicular horizontal.11 Estos planteamientos se relacionan con la estabilidad en el plano horizontal que se agregó en el caso con el cerclaje acromioclavicular.8
Durante la reconstrucción de la anatomía acromioclavicular se logra la estabilidad tanto en el plano coronal como en el plano axial, lo cual se expresa obteniendo mejores resultados en los scores. Podemos corroborar esto en los excelentes puntajes de este caso, por ejemplo, posterior a la estabilización de la lesión.9 Por lo cual, Allahabadi y Chahla, en 2023, señalan que hay una mejor estabilidad con la reconstrucción con fijación flexible de doble fascículo, que con una fijación rígida única.12 Según plantean Srimongkolpitak et al, en 2022, la falla de la estabilidad de la articulación se reduce al estabilizar la articulación acromio y coracoclavicular.13
CONCLUSIÓN
En el presente caso, la luxación acromioclavicular tipo V tratada mediante tenosuspensión coracoclavicular con cerclaje acromioclavicular asistida por artroscopía brinda excelentes resultados clínicos, logra estabilización de la articulación acromioclavicular sin presentar pérdida de la reducción y sin dolor en la región superior de clavícula que amerite su revisión quirúrgica.
BIBLIOGRAFÍA