Artroscopía de cadera para síndrome de fricción femoroacetabular. Reportes funcionales a diez años
Tomás Vilaseca,1,2 Santiago Cao1,3
1. Instituto de Tratamiento y Rehabilitación Articular (ITRA), Ciudad Autónoma de Buenos Aires, Argentina
2. Hospital Británico, Ciudad Autónoma de Buenos Aires, Argentina
3. Casa Hospital San Juan de Dios, Buenos Aires, Argentina
RESUMEN
Antecedentes y objetivos: el objetivo del estudio es evaluar los resultados funcionales de pacientes tratados con artroscopía de cadera por síndrome de fricción femoroacetabular con un período de seguimiento mayor a diez años.
Materiales y métodos: se llevó a cabo un estudio retrospectivo de cincuenta y ocho pacientes (sesenta y una caderas) que reunían nuestros criterios de inclusión de una serie de ochenta y dos pacientes intervenidos de artroscopía de cadera desde abril de 2008 a diciembre de 2013. Solo se incluyeron aquellos con un seguimiento de diez años o más. Comparamos los resultados funcionales obtenidos a largo plazo con los previos a la intervención quirúrgica. El tiempo promedio de seguimiento fue de 148.5 meses (rango, 120-177 meses). Fueron evaluados treinta y dos pacientes masculinos y veintiséis femeninos, la edad promedio al momento de la cirugía fue de 33.2 ± 7.7 (control 43.2 ± 11.1 años). Se utilizaron cuatro escalas funcionales: Harris Hip Score modificada (HHSm), Hip outcome Score-Activities of Daily Life (HOS-ADL), Hip Outcome Score Sport (HOS-SSS) y escala visual analógica del dolor (EVA).
Resultados: la puntuación en la EVA tuvo una disminución estadísticamente significativa de 7.9 a 2.2 puntos en promedio, p <0.0001. El HHSm tuvo un incremento estadísticamente significativo de 47.9 en el prequirúrgico a 72.66 en el postquirúrgico, p <0.0001. Las escalas de HOS-ADL y HOS-SSS tuvieron un incremento estadísticamente significativo de 60.9 y 46.7 a 90.45 y 86.1 puntos, respectivamente, p <0.0001. Solo dos casos fueron convertidos a reemplazo total de cadera a los tres y a los cinco años (2.43%).
Conclusiones: los pacientes tratados con artroscopía de cadera por síndrome de fricción femoroacetabular con desbridamiento o reparación labral, acetabuloplastia y osteoplastia de la deformidad de Cam muestran muy buenos resultados funcionales a largo plazo asociados a una baja tasa de conversión a reemplazo total de cadera a diez o más años.
Palabras clave: Cadera; Lesiones de la Cadera; Artroscopía; Labrum
ABSTRACT
Background and objectives: the aim of this study is to evaluate the functional outcomes of patients treated with hip arthroscopy for femoroacetabular impingement syndrome with a follow-up period of more than ten years.
Materials and methods: a retrospective study of fifty-eight patients (sixty-one hips) who met our inclusion criteria was carried out from a series of eighty-two patients who underwent hip arthroscopy from April 2008 to December 2013. Only patients with a follow-up of ten years or more were included. We compared the functional results obtained in the long term with the results of these, prior to surgery. The mean follow-up time was 148.5 months (range, 120-177 months). A total of thirty-two male and twenty-six female patients were evaluated, and the mean age of surgery was 33.2 ± 7.7 (control 43.2 ± 11.1 years). Four functional scales were used: modified Harris Hip Score (mHHS), Hip outcome Score-Activities of Daily Life (HOS-ADL), Hip Outcome Score Sport (HOS-SSS) and Visual Analog Pain Scale (VAS).
Results: the VAS score had a statistically significant decrease from 7.9 points to 2.2 points on average, p <0.0001. The HHSm had a statistically significant increase from 47.9 in the preoperative period to 72.66 in the postoperative period, p <0.0001. The HOS-ADL and HOS-SSS scales had a statistically significant increase from 60.9 and 46.7 to 90.45 and 86.1 points, respectively, p <0.0001. Only two cases were converted to total hip replacement at three and five years (2.43%).
Conclusions: patients treated with hip arthroscopy for acetabular femoroacetabular impingement syndrome with labral debridement or repair, acetabuloplasty, and osteoplasty of Cam's deformity show very good long-term functional outcomes associated with a low conversion rate to total hip replacement at ten or more years.
Keywords: Hip; Hip Tears; Arthroscopy; Labrum
INTRODUCCIÓN
El síndrome de fricción femoroacetabular fue descripto por primera vez en 1968 por Carlioz y cols.,1 y luego identificado por Ganz y cols.2 Definido como un “contacto anormal repetido entre el área de la cabeza/cuello femoral y el reborde acetabular, resultando en un daño para el labrum y el cartílago articular”. Es causal de dolor invalidante en el adulto joven y fuente de artritis degenerativa precoz (patología frecuente en la población).3-5
Actualmente se cuenta con poca evidencia a largo plazo (diez años o más) sobre resultados funcionales y radiológicos del tratamiento de esta patología bajo técnica artroscópica.6-11
El objetivo del estudio es evaluar los resultados funcionales de pacientes tratados con artroscopía de cadera por síndrome de fricción femoroacetabular con un período de seguimiento mayor a diez años. Por lo tanto, realizamos un estudio retrospectivo de nuestros primeros pacientes con la hipótesis de que se puede lograr una mejoría de los resultados funcionales a largo plazo (para evaluar calidad de vida, desempeño deportivo, limitaciones).
MATERIALES Y MÉTODOS
Diseño
Llevamos a cabo un estudio retrospectivo de una serie de ochenta y dos pacientes que fueron intervenidos con artroscopía de cadera en un contexto de un síndrome de fricción femoroacetabular (SFFA), en todos los casos la cirugía fue realizada por un único cirujano entre abril de 2008 hasta diciembre de 2013.
Se tomaron los siguientes criterios de inclusión:
Fueron criterios de exclusión:
Se realizaron radiografías preoperatorias, postoperatorias y de seguimiento. Se tomaron datos demográficos como edad al momento de la cirugía, sexo, lateralidad de la cadera a operar y escalas funciones: EVA, HHSm, HOS-ADL y HOS-SSS. La anamnesis realizada a los pacientes en la primera consulta incluyó: inicio, causa, agravamiento y duración de los síntomas. Las indicaciones para el tratamiento artroscópico de la patología se basaron en el examen físico en correlación con las imágenes radiográficas obtenidas de cada paciente.
Los síntomas que se correlacionaron con el síndrome de fricción femoroacetabular (SFFA) fueron: dolor inguinal que se exacerba con la actividad, que no responde a analgesia y medidas físicas (modificación de la actividad/fisiokinesioterapia) asociado a una prueba de pinzamiento anterior positiva que recrea el dolor al colocar la cadera en flexión, aducción y rotación interna.12
Se realizaron radiografías de anteroposterior de pelvis, perfil de cadera y de Dunn para confirmar las deformidades óseas acetabulares y femorales. Una lesión tipo Cam se define como una pérdida de la esfericidad de la cabeza femoral y un offset cabeza-cuello reducido, con un ángulo alfa mayor a 55° en la radiografía de perfil de Dunn.13 En la radiografía AP de pelvis un ángulo centro borde lateral mayor a 40° es sugestivo de una lesión de Pincer.14 Las radiografías fueron evaluadas por dos cirujanos del equipo quirúrgico tanto al inicio como al final del seguimiento. Sumado a esto se realizó: TC 3D para evaluar deformidades óseas sobre todo a nivel del techo acetabular y RM con y sin contraste de cadera para evaluar alteraciones del labrum (fig. 1) y el complejo condrolabral (con el advenimiento de la RM de 1.5/3T se deja de hacer rutinariamente RM con contraste y se opta por hacerlas sin contraste).

Figura 1: Lesión del labrum en hora 12.
Técnica quirúrgica y cuidados postoperatorios
Con el paciente colocado en posición supina en mesa de tracción bajo control radiográfico se procedió a traccionar al paciente y corroborar diástasis del espacio articular de 1 cm aproximadamente.15 El portal anterolateral se realizó bajo guía radioscópica y el anterior modificado bajo visualización artroscópica directa con aguja espinal. Se efectuó capsulotomía de 2 a 4 cm entre ambos portales con bisturí artroscópico para un mejor manejo del compartimento central. Tras confirmar la ruptura del labrum bajo visión artroscópica se resecó o reparó, según el año en el que se hizo la cirugía.
Desde abril de 2008 hasta concluir el 2011 el cirujano mayor realizó un desbridamiento labral cuando este se encontraba dañado. A partir de 2011 y hasta concluir el 2013 se realizó una reparación de este con la siguiente técnica: en un primer momento se hizo un desbridamiento del reborde acetabular con punta de shaver y burr de 4 mm para luego colocar tres arpones separados por una distancia de 1 cm entre sí y a 2-3 mm por encima de la superficie articular realizando suturas perilabrales.
Luego de haber completado el procedimiento en el compartimento central, se liberó la tracción y, flexionando la cadera en unos 30-45°, se visualizó el compartimento periférico. Según el caso, se realizó capsulotomía en T para acceder de mejor manera al cuello femoral. Las lesiones de tipo Cam se trabajaron con burr de 4 mm respetando los límites de hora 6 a 12 y dejando 1 cm desde el reborde acetabular hacia periferia. Bajo examinación dinámica con RxTV se corroboró una correcta resección de la deformidad de Cam, ausencia de impingement y restauración del offset cabeza-cuello. Cabe recordar que en el período mencionado, donde se comenzó con este procedimiento por parte del equipo tratante, el manejo de la cápsula (capsulotomías extensas) era el procedimiento habitual, no siendo así el que realizamos hoy en día.16,17
Postoperatoriamente, se les indicó el alta hospitalaria a los pacientes según tolerancia al dolor dentro de las primeras veinticuatro horas. Se determinó carga parcial con muletas dentro de la primera semana evitando movimientos de flexión y rotación máxima. Se comenzó tratamiento kinésico luego de la primera semana y control postoperatorio. Una vez retirados los puntos de sutura (dos semanas del postoperatorio) se le permitió al paciente la realización de actividad física sin carga (natación o bicicleta) habilitando la incorporación deportiva habitual hacia el tercer o cuarto mes de efectuada la cirugía.
RESULTADOS
Medición de resultados clínicos y estadísticos
Se realizaron evaluaciones clínicas y radiológicas en la primera semana luego de la cirugía. En el primer mes se controló nuevamente a los pacientes con una nueva radiografía. Finalmente se realizó otro a los tres, seis y doce meses. A partir de este momento se evaluó a los mismos con control radiográfico y físico una vez al año.
Para la evaluación clínica se utilizaron diferentes escalas: una escala visual analógica del dolor (EVA), la escala de Harris hip modificada (HHSm), Hip outcome Score daily activity (HOS-ADL) y su subescala, orientada al deporte (HOS-SSS). Los resultados de estas escalas tomadas a diez años o más fueron comparados con valores preoperatorios. Para la medición de los resultados finales se utilizó el software GraphPad Prism 8.01. Para la evaluación de los resultados funcionales, los valores preoperatorios fueron comparados con resultados obtenidos a diez años o más.
De los ochenta y dos pacientes intervenidos, veintidós (26.5%) se perdieron en el seguimiento a largo plazo y dos (2.43%) fueron intervenidos a los tres y cinco años con un reemplazo total de cadera considerándose fallos en el tratamiento inicial. Un total de cincuenta y ocho pacientes (sesenta y una caderas) estuvieron disponibles para la evaluación de datos funcionales. La muestra de pacientes estuvo compuesta por treinta y dos hombres (55.18%) y veintiséis mujeres (44.82%), con una edad media de 33.2 años (± 7.7) al momento de la cirugía de cadera (gráf. 1).

Gráfico 1: Selección de pacientes.
En nuestra serie predominó levemente la lateralidad derecha (veintinueve derechas, veintiséis izquierdas y tres bilaterales) y el sexo masculino (treinta y dos masculinos y veintiséis femeninos). El seguimiento medio fue de 12.37 años (rango entre 120-177 meses).
Solo se incluyeron pacientes con cuestionarios completos previos a la cirugía y a más de diez años de realizada. En cuanto a los resultados finales con las escalas utilizadas observamos una mejoría en los puntajes a diez años de realizada la cirugía en la mayoría de los pacientes. El HHSm tuvo un aumento de 47.9 (± 17.2) a 72.66 (± 8.3), p <0.0001 (fig. 2). El HOS-ADL tuvo un incremento de 60.9 (± 24.4) a 90.45 (± 9.3), p <0.0001 y el HOS-SSS de 46.7 (± 27.9) a 86.1 (± 15.4) p <0.0001. Observamos también una mejoría de la escala visual analógica del dolor (EVA) que pasó de 7.9 (± 1.4) a 2.2 (± 2.1), p <0.0001 (gráf. 2) (Tabla 1).

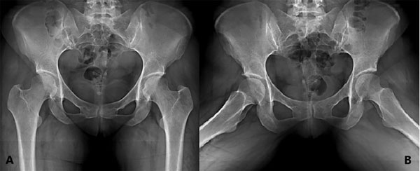
Figura 2: Paciente femenino de veintinueve años quien se sometió a artroscopía de cadera izquierda. A) Radiografía donde se evidencia lesión de Pincer y Cam. B) Radiografía de control donde se aprecia la correcta osteoplastia.

Gráfico 2: Gráficos Dot-plot y Bland-Altman plot con resultados pre y postquirúrgicos.
TABLA 1. RESULTADOS DE ESCALAS FUNCIONALES PREQUIRÚRGICAS Y A 10 AÑOS
|
PREQX |
10 AÑOS |
VAS |
7.9 |
2.2 |
HHSm |
47.9 |
72.66 |
HOS-ADL |
60.9 |
90.45 |
HOS-SSS |
46.7 |
86.1 |
Solo dos pacientes de toda la serie se consideraron fallas (2.43%) ya que tuvieron que ser reintervenidos para realizarles un reemplazo total de cadera: uno intervenido en el 2008, se le efectuó un reemplazo total de cadera a los cinco años, el mismo padecía Parkinson como enfermedad de base; y otro en 2013 que fue convertido a reemplazo total de cadera a los tres años, en él se observó una delaminación de la zona de carga a nivel acetabular. No se presentaron complicaciones mayores en la serie estudiada (infección profunda, fractura o necrosis del cuello femoral, trombosis venosa profunda, extravasación de líquido a abdomen), solo complicaciones menores: parestesias que tuvieron recuperación íntegra al cabo de un corto período de tiempo (dos semanas o más).
DISCUSIÓN
En este trabajo presentamos los resultados funcionales de pacientes tratados con artroscopía de cadera por síndrome de fricción femoroacetabular (SFFA) con un seguimiento de diez años o más (120-177 meses). Actualmente la literatura cuenta con poca evidencia sobre seguimiento a largo plazo de artroscopía de cadera por este síndrome exclusivamente; la evidencia actual es sobre casos que incluyen SFFA, sinovitis vellonodular, cuerpos libres, lesiones condrales o artritis. A la fecha, según nuestra evidencia, se trata de una de las series con mayor seguimiento registrada en la bibliografía actual.
Los pacientes aquí expresados muestran mejoras significativas en los resultados funcionales entre el pre y postoperatorio a diez años, sin hacer diferencia en la técnica que se usó para el tratamiento de la patología labral (desbridamiento o reparación).
Menge,18 que en su estudio a diez años reportó resultados en escalas funcionales similares a nuestros resultados, dividió a los pacientes en dos grupos: uno tratado con desbridamiento y otro con reparación labral. En ambos grupos se obtuvieron excelentes resultados; aquellos tratados con desbridamiento tuvieron un incremento de 62 a 90 en HHSm, el HOS-ADL incrementó de 71 a 96 y el HOS-SSS de 42 a 89. EL grupo tratado con reparación labral arrojó los siguientes resultados: HHSm 65 a 85, HOS-ADL de 71 a 96, y HOS-SSS de 47 a 87. A pesar de diferentes tratamientos para la misma patología se observaron resultados funcionales muy similares.
En nuestro estudio se aprecia una significativa mejora en los resultados funcionales a pesar de no realizar una diferenciación en el tratamiento de la patología labral. Byrd y Jones19 observaron un incremento a diez años en 25 puntos del HHSm desde valores de 56 en el preoperatorio a 81 puntos en el postoperatorio. Los resultados expresados en este estudio comprenden a un grupo de pacientes más heterogéneo, ya que incluyen aquellos tratados con artroscopía de cadera por lesiones labrales (desbridamiento), cuerpos libres, sinovitis, artritis, patología condral o necrosis avascular.
Lee,6 en su estudio de cuarenta y un casos tratados con artroscopía de cadera desde 2008 a 2010 y seguimiento a siete y diez años, observó un incremento del HHSm (59.5 a 86.9), HOS-ADL (58.3 a 85.2) y HHS-SSS (51.2 a 82.4). En cuanto al VAS reportó resultados similares con una disminución de 6.4 en el prequirúrgico a 1.8 en el postquirúrgico en los casos reportados a largo plazo.
En cuanto a la tasa de conversión a RTC, nuestro estudio mostró una baja tasa del 2.43% (dos pacientes). Esto se puede deber a los criterios de selección de los pacientes para realizar este tratamiento. En nuestra muestra, la falla de estos se debió a la selección de pacientes y no al tipo de tratamiento del labrum. Una tasa menor comparada a otros trabajos en los cuales las tasas más altas a conversión a RTC se debieron a pacientes cuya edad era mayor, un espacio articular <2 mm y en los cuales se efectuaron microfracturas en el acetábulo debido a su daño condral. Phillipon20 demostró en su trabajo que un espacio articular menor o igual a 2 mm en pacientes mayores de cincuenta años es el mejor predictor de conversión a RTC. Sumado a esto, Menge18 observó que los pacientes en quienes se realizaron microfracturas en la unión condrolabral con desbridamiento estaban asociados a mayor riesgo a progresión a RTC. Estudios previos demostraron que la ubicación de las lesiones labrales tenían estrecha relación con el daño condral. Tamura21 advirtió que las lesiones labrales de la unión condrolabral estaban asociadas a mayor daño condral comparadas con las rupturas labrales intrasustancia: 42% de daño condral en las lesiones del base comparado contra un 12% en las rupturas intrasustancia.
Limitaciones del trabajo
Nuestro estudio cuenta con ciertas limitaciones. Una de las principales es la falta de un grupo control tratado con tratamiento conservador y otra es que al tratarse de un estudio retrospectivo puede haber sesgos en la información proporcionada por los pacientes involucrados en el estudio. Otra es que, al ser un estudio retrospectivo a más de diez años, tuvimos un tasa de pérdida de seguimiento del 29.3%, sin saber la progresión de esta patología y los resultados funcionales en estos pacientes.
En cuanto a los datos apuntados durante la cirugía, no se registraron ni localizaron las lesiones condrales, las que están en estrecha relación con la progresión a artrosis.
CONCLUSIONES
Los pacientes tratados con artroscopía de cadera por síndrome de fricción femoroacetabular con desbridamiento o reparación labral, acetabuloplastia y osteoplastia de la deformidad de Cam muestran muy buenos resultados funcionales a largo plazo asociados a una baja tasa de conversión a reemplazo total de cadera a diez o más años.
Los buenos resultados funcionales obtenidos a diez años o más podrían estar relacionados no solo con el tratamiento de la patología labral, sino también a las osteoplastias de las deformidades de Pincer y Cam.
Estos resultados se mantuvieron sin que se produzca una progresión significativa de artrosis, lo que se puede deber a la selección de pacientes con Tönnis menor a 2. Actualmente recomendamos la reparación labral sobre el desbridamiento sobre la base de lo demostrado en la bibliografía actual.
BIBLIOGRAFÍA