Clasificación de la morfología del intercóndilo femoral: análisis de reproducibilidad intra e interobservador
Rodrigo Daniel Galassi, Juan Francisco Villalba, Cristian Bennett, Daniel Gutiérrez
Traumatología del Comahue, Neuquén, Argentina
RESUMEN
Introducción: Van Eck y cols. dividieron la estructura del intercóndilo en tres tipos: tipo A, U y W. El primero asociado a mayor impingement y riesgo de lesión de LCA primario o plástica. El objetivo de este estudio es analizar la reproducibilidad intra e interobservador de la clasificación de Van Eck mediante resonancia magnética.
Materiales y métodos: se evaluaron setenta imágenes de resonancia magnética de rodilla realizadas en nuestra institución, presentadas en dos tiempos. Se utilizó el índice de Kappa de Cohen (k) para evaluar la reproducibilidad intra e interobservador.
Resultados: la fiabilidad intraobservador para el referente 1 fue de k: 0.71, mientras que para el segundo referente fue de k: 0.83. Se obtuvo, en promedio, una concordancia buena a muy buena según los niveles de Landis y Koch. En tanto, la concordancia interobservador obtuvo un k: 0.39 promedio, lo que nos habla de una correlación débil. Todos los resultados fueron estadísticamente significativos p <0.05.
Discusión: en nuestro trabajo encontramos que la correlación intraobservador es fuerte, pero no así la evaluación interobservador. Destacamos la tendencia a la disparidad que se repite al estudiar el intercóndilo femoral como un factor de riesgo para las lesiones de LCA.
Conclusión: acorde a los resultados en nuestro estudio, se observó una fuerte fiabilidad intraobservador pero no así interobservador, lo cual es un punto importante para validar una herramienta de clasificación, restando validez al método.
Palabras clave: Clasificación; Intercóndilo Femoral
Nivel de evidencia: III
ABSTRACT
Introduction: the structure of the intercondyle described by Van Eck et al. It is divided into three types: A, U and W. The first is associated with greater impingement and risk of ACL injury. The objective of this study is to analyze the intra and interobserver reproducibility of the Van Eck classification using magnetic resonance.
Materials and methods: seventy knee MRI images performed at our institution, presented in two stages, were evaluated. Cohen's Kappa index was used to evaluate intra- and interobserver reproducibility.
Results: the intraobserver reliability for Referent 1 was k: 0.71, while for the second referent it was k: 0.83. Obtaining Good to Very Good agreement according to Landis and Koch levels on average. Meanwhile, the interobserver agreement obtained an average k: 0.39, which tells us about a weak correlation. All results were statistically significant p <0.05.
Discussion: in our paper we found that the intraobserver correlation is strong, but the interobserver evaluation is not. We highlight the trend of disparity that is repeated when studying the femoral intercondyle as a risk factor for ACL injuries.
Conclusion: according to the results in our study, strong intra-observer reliability was observed but not inter-observer reliability, which is an important point to validate a classification tool, reducing the validity of the method.
Keywords: Classification; Femoral Intercondyle
Level of evidence: III
INTRODUCCIÓN
El desgarro del ligamento cruzado anterior (LCA) es una de las lesiones más frecuentes en el ámbito deportivo, y muchos estudios se han realizado respecto a la identificación de factores de riesgo.1,2 Hallar asociaciones entre ciertas variables que impliquen el aumento de posibilidades de que se genere una lesión del LCA facilitaría aplicar diferentes estrategias preventivas. Múltiples posibles correlaciones de riesgo se han evaluado en diferentes estudios. Así es como se las ha dividido en causas extrínsecas e intrínsecas. Dentro de estas últimas podemos enumerar la influencia genética, sexo y variantes anatómicas.3 Respecto a este último grupo, la morfología inherente del intercóndilo femoral (IC) ha sido de gran interés en los últimos años, su estenosis es considerada como un factor de riesgo de desgarro del LCA sobre la que se debe actuar, principalmente en cirugías de revisión.4,5
Cabe destacar que, al evaluar la estenosis del IC, múltiples puntos de vista han sido propuestos, expresados en diferentes parámetros objetivados por estudios de imágenes y visión directa artroscópica, como su morfología, ancho del intercondíleo, índice del ancho, ángulo, profundidad, volumen, entre otros. Uno de los grandes conflictos que se generan en este plano es la heterogeneidad al momento de estudiar cada una de estas variables y la ausencia de consenso, incluso encontrando metaanálisis que al agrupar estudios respecto de una medición individual, hallaron discrepancia en el método de objetivación.6-8
Por lo tanto, la validación a nivel científico, incluso en estudios de alto nivel de evidencia y con variables objetivas, es dudosa. Resulta, entonces, una dificultad extrapolarla a la práctica diaria o poder utilizarla en cualquier trabajo de investigación.
Van Eck y cols.9 dividen la estructura del intercóndilo bajo visión directa artroscópica en tres tipos morfológicos: tipos A, U y W. El primero asociado a mayor impingement y riesgo de lesión de LCA primario o plástica,10 por lo que se han propuesto técnicas de intercondiloplastia para disminuir el riesgo de reruptura.11 En relación a esto, y por la heterogeneidad en las maneras de evaluar un parámetro, además de la descripción artroscópica también se ha estudiado mediante imágenes en 2D, radiográficas, topográficas y por resonancia magnética (RM). Este último es el método más aceptado y extrapolable.12,13
El objetivo de este estudio es analizar la reproducibilidad intra e interobservador de la clasificación de Van Eck mediante resonancia magnética.
MATERIALES Y MÉTODOS
Se realizó un estudio retrospectivo en el que se evaluaron setenta RM de rodilla con lesión LCA diagnosticada por especialista en diagnóstico por imágenes, y realizadas en nuestra institución desde abril a diciembre de 2022. Todas las RM estudiadas fueron hechas en resonador GE Signa Explorer 1.5 T con bobina de rodilla de 8 canales. El paciente fue posicionado con rodilla en flexión de 10° acorde al protocolo de la institución. Se seleccionaron cortes axiales en secuencias ponderadas en T1 utilizando el software Alma. Se eligieron cortes a nivel de escotadura poplítea según protocolo de Al Saeed et al.13
Los criterios de inclusión fueron el rango etario entre dieciocho y treinta y cinco años con lesión de LCA. Fueron excluidos los pacientes que presentaban: displasia articular, cartílago de crecimiento abierto, intervenciones previas, fracturas asociadas que involucraban la superficie articular de tibia, fémur o patela, signos de artrosis con osteofitos evidenciados en la imagen de RM y lesiones multiligamentarias.
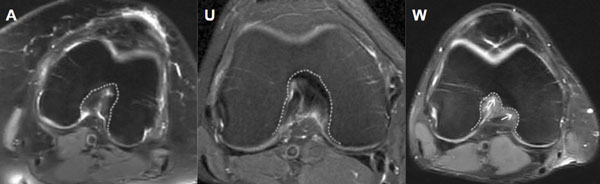
Las imágenes fueron presentadas en modo diapositivas a dos cirujanos artroscopistas, con más de diez años de experiencia. Previamente se entregó instructivo acorde con la bibliografía en relación al artículo de investigación de donde se tomó el protocolo (fig. 1), se solicitó completar una planilla seleccionando por cada corte de RM entre tres opciones: intercóndilo tipo U, tipo A, tipo W. El morfotipo A se interpreta como un intercóndilo estrecho desde la base hasta el ápex; el U donde no presenta un ahusamiento central con un mayor contorno respecto al tipo A; y el tipo W tiene las características del tipo U y dos ápices a nivel del vértice.
Las imágenes fueron analizadas en dos oportunidades por cada especialista, con un intervalo de treinta y un días. Para la segunda evaluación se utilizó la extensión Slides Randomizer, proveída por el mismo software, que permite aleatorizar el orden de todas las diapositivas.

Figura 1: Cortes axiales de RM ejemplificando tres morfologías del intercóndilo.
RESULTADOS
El análisis de datos se realizó con el software MedCalc. Para evaluar la reproducibilidad inter e intraobservador se obtuvo el valor de Kappa de Cohen (k). Este índice nos indica la fiabilidad entre dos observadores ante el análisis de una variable. De esta manera, se expresa que acorde al valor de k es la fuerza de la concordancia, según la estratificación por Landis y Koch (Tabla 1).14,15
TABLA 1. CATEGORIZACIÓN DE KAPPA POR LANDIS Y KOCH
k |
Fuerza de concordancia |
<0.2 |
Pobre |
0.21-0.4 |
Débil |
0.41-0.60 |
Moderada |
0.61-0.8 |
Buena |
0.81-1 |
Muy buena |
La fiabilidad intraobservador para el referente 1 fue de k: 0.71, mientras que para el segundo referente fue de k: 0.83. Se obtuvo, en promedio, una concordancia buena a muy buena según los niveles de Landis y Koch. En tanto para la concordancia interobservador se obtuvo un k: 0.39 promedio, lo que nos habla de una correlación débil o discrepancia.
Todos los resultados fueron estadísticamente significativos p <0.05.
DISCUSIÓN
Al Saeed et al.,13 en su trabajo retrospectivo donde evaluaron tanto el índice del intercóndilo como la forma, encontraron que esta última tenía una asociación estadísticamente significativa con las lesiones de LCA cuando era la forma A; este es uno de los pocos trabajos donde se pudo abstraer una asociación fuerte. Esta variable, más allá de tener una guía de cómo seleccionar, no deja de ser algo subjetiva a la valoración del evaluador. En nuestro trabajo encontramos que la correlación intraobservador sí es fuerte, con un valor estadístico k: 0.73 promedio, pero no así la evaluación interobservador, con un valor medio de k: 0.39. Esto nos habla de la poca reproducibilidad, algo fundamental para la valoración entre pares. De esta manera, destacamos la tendencia a la disparidad que se repite al estudiar el intercóndilo femoral como un factor de riesgo para las lesiones de LCA.
Tashmann S., en su comentario editorial, destaca la poca claridad que hay para el estudio del intercóndilo, y lo remarca como uno de los tantos factores no modificables que contribuyen a la ruptura del LCA, con una difícil aplicación práctica como medida preventiva.16 Otros autores, como Cote MP, resaltan la acumulación de “errores entre estudios” cuando se quiere llegar a una conclusión estadísticamente significativa habiendo tanta heterogeneidad en el método de estimar las diferentes variables.17
Entre los varios componentes anatómicos que se pueden estudiar, la morfología de intercóndilo femoral es considerada un factor de riesgo para rupturas del LCA por algunos autores. Una tendencia a la estenosis de este llevaría a que haya mayores posibilidades de lesión.18 Para esto existen dos teorías: primero se considera que, ante un intercóndilo de menores dimensiones, hay un LCA de menor tamaño y delgado, el que es más vulnerable a los mecanismos de estrés, la segunda hipótesis es el impingement sobre el ligamento que el intercóndilo puede generar.19,20 Esta característica predisponente ha intentado ser objetivada de diferentes maneras. Varios parámetros imagenológicos en dos dimensiones se han estudiado, como el ancho, índice, ángulo o profundidad del intercóndilo, entre otros. A su vez, como ya se mencionó, esta estenosis está ponderada en la morfología tipo A, y para valorar todas estas variables existe gran diversidad y los resultados son muy heterogéneos en todo aspecto.
Dentro de las limitaciones de este estudio destacamos el factor retrospectivo, haber sido solo dos cirujanos los que participaron como observadores y la diferencia de experiencia entre ambos. Cabe resaltar que es de los pocos estudios donde se pone a prueba un método de valoración para una variable aceptada.
CONCLUSIÓN
Acorde a los resultados en nuestro estudio, se observó una fuerte fiabilidad intraobservador pero no así interobservador, este es un punto importante para validar la herramienta de clasificación, restando fuerza al método. Cabe destacar la importante variabilidad que hay para el estudio del intercóndilo femoral en general, ya sea el método imagenológico para evaluar las diferentes variables hasta los puntos de corte propuestos y resultados de asociación. Por ende, se enfatiza en la necesidad de obtener un método fidedigno para la evaluación integral del intercóndilo femoral en relación a las lesiones de ligamento cruzado anterior.
BIBLIOGRAFÍA