RESUMEN


Introducción

Existe escasa información en la literatura sobre los resultados del tratamiento de las infecciones periprotésicas (IPP) de hombro utilizando espaciadores de cemento preformados cargados con antibióticos.

Objetivos

El objetivo de este estudio fue reportar los resultados clínicos de una serie consecutiva de pacientes con infecciones periprotésicas de hombro, tratados con el espaciador humeral proximal preformado cargado con antibióticos.

Materiales y métodos

Se realizó una revisión retrospectiva de diez pacientes a los que se les implantó un espaciador de húmero proximal preformado, cargado con antibióticos, desde enero de 2018 hasta junio de 2023, como parte de un plan de tratamiento de dos etapas para la infección periprotésica de hombro con un seguimiento mínimo de dos años. Se evaluó la erradicación clínica de la infección. Los resultados funcionales incluyeron el score de Constant, la puntuación ASES (American Shoulder and Elbow Surgeons) y el SANE (Single Assessment Numeric Evaluation). Se utilizó una escala analógica visual (EVA) para evaluar el dolor con las actividades de la vida diaria. También se controlaron las posibles complicaciones atribuidas al espaciador.

Resultados

La cohorte final quedó formada por siete mujeres y tres hombres. La edad media de los pacientes fue de cincuenta y nueve años (rango, 50-75 años). El tiempo medio de seguimiento fue de 3.6 años (rango: 2.9-5.1).

Se erradicó la infección en los diez pacientes. Hubo una mejoría estadísticamente significativa en todas las puntuaciones evaluadas. El score de Constant mejoró de 42 a 64 (p <0.001), el de ASES, de 44 a 68 (p <0.001), el de SANE, de 45 a 65 (p <0.001) y la EVA mejoró de 7.3 a 1.8 (p <0.001).

Conclusión

los espaciadores de cemento preformados cargados con antibióticos son una opción efectiva para el tratamiento de las infecciones protésicas de húmero proximal. En este estudio, los espaciadores resolvieron la infección en todos los pacientes y se observó una mejoría significativa del dolor y de los scores funcionales en comparación con la situación clínica preoperatoria.


Palabras clave: Infección Periprotésica, Hombro, Espaciadores Preformados, Prótesis de Hombro

Nivel de evidencia: IV. Estudio de Cohorte Retrospectivo.



Results of Two-Stage Treatment of Periprosthetic Shoulder Infections Using Antibiotic-Loaded Preformed Cement Spacers



ABSTRACT


Introduction

There is scant information in the literature on the outcomes of treatment of periprosthetic shoulder infections using antibiotic-loaded preformed cemented spacers.

Objective

The aim of this study was to report the clinical outcomes of a consecutive series of patients with periprosthetic shoulder infections treated with an antibiotic-loaded preformed proximal humeral preformed cement spacer.

Materials and methods

A retrospective review of ten patients who had an antibiotic-loaded proximal humeral preformed spacer implanted from January 2018 to June 2023 as part of a 2-stage treatment plan for periprosthetic shoulder infection with a minimum follow-up of two years was performed. Clinical eradication of infection was assessed. Functional scores used included the Constant score, the ASES (American Shoulder and Elbow Surgeons) score, and the SANE (Single Assessment Numeric Evaluation) score. A visual analog scale (VAS) was used to assess pain with activities of daily living. Possible complications attributed to the spacer were also monitored.

Results

The final cohort consisted of seven women and three men. The mean age of the patients was fifty-nine years (range 50-75 years). The mean follow-up time was 3.6 years (range 2.9-5.1). Infection was eradicated in all ten patients. There was a statistically significant improvement in all the scores evaluated. Constant score improved from 42 to 64 (p <0.001). The ASES score improved from 44 to 68 (p <0.001). The SANE score improved from 45 to 65 (p <0.001) and the VAS improved from 7.3 to 1.8 (p <0.001).

Conclusion

Antibiotic-loaded preformed cement spacers are an effective option for the treatment of prosthetic infections of the proximal humerus. In this study, the spacers effectively resolved all the infections and patients had significant improvement in pain and functional outcomes compared to their preoperative clinical situation.


Key words: Periprosthetic Infection, Shoulder, Preformed Spacers, Shoulder Prosthesis

Level of evidence: IV. Retrospective Cohort Study.



INTRODUCCIÓN

La infección articular periprotésica (IAP) es una complicación infrecuente, pero potencialmente devastadora de la artroplastia primaria del hombro, con una incidencia del 1 al 4 %1,2. Entre los factores de riesgo se incluyen el sexo masculino, la edad inferior a sesenta y cinco años, la artroplastia por traumatismo, la artroplastia previa fallida, las inyecciones previas de corticosteroides, la quimioterapia y la presencia de ciertas comorbilidades médicas como la diabetes, las enfermedades inflamatorias y la obesidad3.

Las opciones de tratamiento incluyen: (1) desbridamiento, antibióticos y retención del implante (DAIR, las siglas por su nombre en inglés); (2) artroplastia de revisión en una fase; (3) artroplastia de revisión en dos fases; (4) retención del espaciador antibiótico y (5) artroplastia de resección4,5 . Se ha considerado el uso de DAIR en pacientes con IPP de hombro precoz en los treinta días siguientes a la intervención de referencia o menos de tres semanas desde el inicio de los síntomas, implantes estables y organismos de baja virulencia4-7; sin embargo, se ha descripto una tasa de fracaso del 50 al 63 % y el uso a largo plazo de tratamiento antibiótico supresor puede seguir siendo necesario6-9.

La artroplastia de resección presenta altas tasas de resolución de la infección y suele estar indicada en pacientes con IPP de hombro recalcitrante10. No obstante, hasta el 50 % de estos experimentan dolor residual y una función deficiente6. En aquellos diagnosticados de IPP de hombro después de cuatro semanas desde la operación, se recomienda el retiro completo de la prótesis y el tratamiento con una artroplastia de revisión en una o dos fases5,11.

El enfoque terapéutico más conservador para la IPP de hombro es una revisión en dos tiempos que implica la colocación en primera instancia de un espaciador de cemento antibiótico y, una vez resuelta la infección, la colocación de la prótesis definitiva7. Aunque en pacientes con infecciones por organismos de baja virulencia o contraindicaciones para repetir la cirugía puede preferirse un enfoque en una fase12, se suele elegir un enfoque en dos fases en pacientes con preocupación clínica de infección por un organismo virulento4,12.

Existen pocos análisis comparativos entre las artroplastias de revisión en una y en dos fases para la IPP de hombro12. En una revisión sistemática y un metaanálisis, ambos recientes, se observó que el abordaje en una fase presentaba una tasa inferior de reinfección en comparación con la revisión en dos fases (6.3 % frente a 10.1 %)12. Sin embargo, la diferencia no era notable y se notificó una heterogeneidad moderada en los datos. Además, existía un sesgo inherente al tratamiento, ya que en el grupo de una fase había un mayor porcentaje de organismos sensibles y poco virulentos (Cutibacterium acnes) (48.7 % frente a 33.6 %) y de infecciones agudas o subagudas (63 % frente a 46.1 %), mientras que en el grupo de dos fases había un mayor porcentaje de bacterias virulentas y farmacorresistentes (Staphylococcus aureus resistente a la meticilina) (10 % frente a 2.6 %) y de infecciones crónicas (53.9 % frente a 37 %).

Objetivo

El objetivo de este estudio fue reportar los resultados clínicos de una serie consecutiva de pacientes con infecciones periprotésicas de hombro tratados con el espaciador humeral proximal preformado cargado con antibióticos.


MATERIALES Y MÉTODOS

El protocolo de este estudio fue aprobado por el Comité de Ética de nuestra Institución y todos los pacientes firmaron un consentimiento informado aceptando su participación.

Se realizó una revisión retrospectiva de los datos recopilados prospectivamente de una base de datos institucional. Se incluyeron diez pacientes a los que se les implantó un espaciador preformado de húmero proximal cargado con antibióticos, desde enero de 2018 hasta junio de 2023, como parte de un plan de tratamiento de dos etapas para la infección. Solo se incluyeron pacientes que completaron el tratamiento de revisión de dos etapas y tuvieron un período de seguimiento mínimo de veinticuatro meses desde la implantación del espaciador.

Las diez artroplastias infectadas incluían cuatro artroplastias anatómicas totales de hombro, tres hemiartroplastias y tres artroplastias inversas totales de hombro. El diagnóstico de infección se basó en una combinación de síntomas, hallazgos clínicos y pruebas de laboratorio. Para el diagnóstico de infección periprotésica, se utilizaron los criterios de la MusculoSkeletal Infection Society12. Antes de la primera fase, se obtuvieron radiografías preoperatorias de cada paciente consistentes en una vista anteroposterior en rotación interna y una vista axilar. El espaciador antibiótico comercial utilizado fue el de hombro prefabricado de cemento de polimetilmetacrilato (PMMA) impregnado de gentamicina (Subiton®, Laboratorios SL, Buenos Aires, Argentina) (Fig. 1). Todos los pacientes fueron tratados con antibióticos intravenosos específicos para cultivo en consulta con un especialista en enfermedades infecciosas.

Evaluación clínica

Para la evaluación clínica, cada paciente completó un cuestionario que consistía en estimaciones de resultados estandarizadas al inicio y al final del seguimiento.

Los scores funcionales empleados fueron la puntuación Constant, la de ASES (American Shoulder and Elbow Surgeons) y la SANE (Single Assessment Numeric Evaluation). Se utilizó una escala analógica visual (EVA) para evaluar el dolor con las actividades de la vida diaria. También se controlaron las posibles complicaciones atribuidas al espaciador.

Técnica quirúrgica y tratamiento postoperatorio

En todos los casos se realizó un abordaje deltopectoral.

Una vez alcanzada la cápsula, se hizo una aspiración.

Se penetró en la cápsula y se obtuvieron cultivos. Las muestras se enviaron a sección congelada para su evaluación microscópica por un patólogo. A continuación, se expuso el húmero proximal con una técnica de desinserción del subescapular hasta que se visualizó la cabeza humeral, o el implante humeral proximal.

En las revisiones de prótesis totales anatómicas, primero se extrajo la cabeza humeral. Posteriormente, se extrajeron los componentes glenoideos, teniendo cuidado de conservar la mayor cantidad posible de hueso glenoideo (Fig. 2). En el caso de la artroplastia total de hombro reversa, se retiraron la cubierta metálica metafisaria y los componentes de polietileno, seguidos de la esfera glenoidea. Luego, se sacaron las placas base, conservando la mayor cantidad posible de hueso glenoideo. Dado que la mayoría de los vástagos humerales estaban cementados, se extrajeron con osteótomos y, cuando fue necesario, se utilizó una osteotomía del vástago humeral proximal.

Seguidamente se retiró cuidadosamente el vástago humeral. Se empleó fluoroscopia de la diáfisis humeral al retirar el cemento, o cuando había una capa de hueso en la diáfisis que impedía determinar el diámetro de esta. En todos los casos se utilizó un espaciador de prueba para establecer el tamaño adecuado del implante. Se prestó atención a la colocación de un espaciador antibiótico con el vástago más grande posible en el vástago humeral para proporcionar una construcción estable, pero que también permitiera retirar el espaciador fácilmente con la mano. Cuando hubo discordancia entre las dimensiones de la cabeza humeral y del vástago, se seleccionó el espaciador en función del mayor diámetro de la cabeza humeral, en lugar del tamaño del vástago para evitar la inestabilidad del implante respecto de la glenoides. Se probó el implante para comprobar el ajuste seguro del vástago humeral en el eje humeral y el ajuste de la cabeza humeral en la glenoides. A continuación, se colocó el hombro en una amplitud de movimiento para verificar que el implante no estuviera demasiado apretado y que fuera estable a las fuerzas de traslación anterior y posterior.


Figura 1. Espaciador de hombro prefabricado de cemento de polimetilmetacrilato (PMMA) impregnado de gentamicina (Subiton®)


Figura 2. Fotografías intraoperatorias que muestran el abordaje deltopectoral ampliado utilizado para retirar una artroplastia de hombro infectada (A); y una vez que el implante y el cemento ya habían sido retirados del canal medular humeral (B)

Rehabilitación

A todos los pacientes se les permitió el movimiento inmediato de dedos, muñeca y codo, pero se les restringió el movimiento del hombro durante cuatro a seis semanas mediante un inmovilizador, seguido de ejercicios de péndulo y la capacidad de alimentarse por sí mismos con esa extremidad. A los tres meses, se habilitó la amplitud de movimiento activo sin limitaciones, excepto en la rotación interna, que se restringió durante seis meses, o hasta después de la segunda fase de revisión. Para cada paciente se realizaron radiografías con las mismas vistas del protocolo preoperatorio en cinco momentos: inmediatamente después de la cirugía, entre los ocho y diez días postoperatorios, a las seis semanas, a los tres meses y en el último seguimiento.

Los criterios para la reimplantación fueron:

  • Ausencia de signos de infección clínica aguda activa (por ejemplo: eritema –aumento de la temperatura–, fístulas locales, dolor).
  • Normalización en el laboratorio del conteo de leucocitos, la eritrosedimientación y la proteína C reactiva de control.

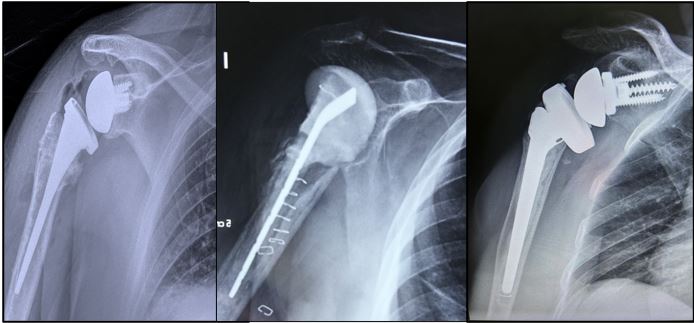
Figura 3. Radiografías, de izquierda a derecha: Rx postoperatorias con prótesis infectada, se puede observar el espaciador Subiton® de hombro prefabricado en posición. Rx postoperatorias con prótesis de revisión

Análisis estadístico

Se realizaron estadísticas descriptivas para resumir los datos. Las variables continuas se presentaron como media y desviación estándar, según la distribución observada. Las variables categóricas se presentaron con la frecuencia absoluta y relativa en porcentaje. Los valores de p inferiores a 0.05 se consideraron estadísticamente significativos.

Se compararon las puntuaciones Constant, VAS y SANE y ASES en el preoperatorio y en el último seguimiento. Todos los análisis estadísticos se realizaron con el programa estadístico Stata (versión 14 [2015]; StataCorp, College Station, TX, EE. UU.).


RESULTADOS

Tras un intervalo medio de tres meses (rango de 2-8 meses), nueve pacientes completaron el plan de tratamiento inicial de una revisión de segunda fase (RTSA en todos los casos). Un paciente rechazó una nueva intervención quirúrgica y conservó el espaciador. Ninguno se perdió durante el seguimiento. El paciente que conservó el espaciador tuvo un período medio de seguimiento de treinta meses. No hubo infecciones recurrentes.

La cohorte final quedó formada por siete mujeres y tres hombres. La edad media de los participantes fue de cincuenta y nueve años (rango de 50-75 años). El lado derecho estaba afectado en seis pacientes. Seis fueron operados del brazo dominante. El índice de masa corporal medio fue de 27.8 (rango de 22-39). El tiempo medio de seguimiento fue de 3.6 años (rango de 2.9-5.1). Dos pacientes tenían diabetes tipo 2 y uno consumía tabaco de forma activa.

En la instancia de la colocación de la cámara espaciadora de cemento antibiótico, se identificaron cultivos positivos en todos los pacientes menos en uno. En el momento de su ingreso en nuestro centro, presentaba marcadores inflamatorios elevados y se realizó una aspiración compatible con una infección crónica (recuento elevado de leucocitos), la sección congelada intraoperatoria fue positiva y el vástago humeral estaba suelto. Las bacterias más comunes identificadas fueron Cutibacterium acnes (Tabla 1).

En la Tabla 2 se presenta un resumen de los resultados funcionales. No hubo episodios de inestabilidad o rotura de la cámara espaciadora que requirieran intervención.

Ningún paciente permaneció con antibióticos supresores crónicos y no hubo signos clínicos de infección o toxicidad en ningún paciente al momento del seguimiento final. También se obtuvieron radiografías seriadas y no se observaron signos de aflojamiento, o fallo de la prótesis, o fractura ósea en el seguimiento clínico final. No se evidenciaron reacciones alérgicas atribuibles al espaciador ni signos de desbridamiento de la fosa glenoidea.



Tabla 1. Datos completos de los patógenos


Tabla 2. Resumen de los resultados funcionales

DISCUSIÓN

La posibilidad de un reimplante de hombro por etapas se adoptó a partir de la experiencia con artroplastias de cadera y rodilla infectadas13,14. Los implantes con vástago y sin este son los dos tipos principales de espaciadores de cemento utilizados en la artroplastia de hombro de revisión en dos fases.

Los espaciadores de cemento también pueden clasificarse en función del modo de construcción: prefabricados11,15-17 o hechos a mano intraoperatoriamente. Los espaciadores hechos a mano pueden fabricarse utilizando cemento antibiótico solo o cemento antibiótico con el uso de clavos de Steinmann16, placas de compresión dinámica,16 o implantes de artroplastia de hombro18. Las ventajas de los espaciadores prefabricados incluyen un diseño más anatómico que permite mejorar el movimiento y la función del hombro, una elución más predecible de los antibióticos, reducción del tiempo quirúrgico, una menor destrucción de la superficie articular de la glenoides antes de la cirugía de revisión y la reinserción de los tendones del manguito rotador en el vástago, evitando así su retracción y atrofia16,17.

Varios estudios han demostrado la efectividad del tratamiento en dos tiempos para la erradicación de la infección periprotésica de hombro, con alivio significativo del dolor y mejoría de los resultados funcionales18-22. Este tratamiento implica la extracción de todos los implantes protésicos y el cemento, el desbridamiento de la membrana sinovial infectada con biopsia de tejido y la inserción de un espaciador con antibióticos, seguido de un reimplante tras seis semanas de tratamiento antibiótico intravenoso específico. En nuestro estudio obtuvimos resultados similares. Aunque la movilidad y las puntuaciones funcionales son peores que las obtenidas tras una prótesis inversa primaria, la mayoría de los pacientes consiguen recuperar una buena función del hombro que les permite realizar la mayoría de las actividades de la vida diaria sin dolor.

Pequeños estudios de cohortes retrospectivos y prospectivos han demostrado que los pacientes con baja demanda que consiguen una función y un alivio del dolor satisfactorios con la implantación del espaciador pueden declinar someterse a una reimplantación del implante de artroplastia de hombro16,18,22,23.

Esto ocurrió en un paciente de nuestra serie: tenía una resolución clínica y de laboratorio de su infección primaria tras una artroplastia total de hombro anatómica, y era capaz de realizar la mayoría de las actividades de la vida diaria, por lo tanto, optó por no efectuar una tercera intervención quirúrgica y permanecer con el espaciador.

Stine et al11. estudiaron a treinta pacientes médicamente frágiles y de baja demanda con infecciones crónicas de hombro (cuatro primarias y veintiséis postoperatorias) tratados con un espaciador articulado fijo cargado con antibióticos. Un total de quince pacientes conservaron los espaciadores en una media de 2.4 años y experimentaron resultados funcionales aceptables que no fueron estadísticamente diferentes de los que se sometieron a reimplantación.

El uso de espaciadores antibióticos para la IPP de hombro no está exento de riesgos24,25. McFarland et al15. realizaron la mayor revisión de complicaciones relacionadas con el espaciador antibiótico en cincuenta y tres pacientes. Tras un intervalo medio de seis meses, se registraron dieciocho complicaciones en catorce pacientes. Todas ocurrieron entre la implantación y la retirada del espaciador: ocho erosiones óseas (seis glenoideas y dos de la diáfisis humeral), cuatro fracturas del espaciador, tres rotaciones del espaciador y tres fracturas de la diáfisis humeral.

Las complicaciones sistémicas derivadas del uso de espaciadores con cemento antibiótico son poco frecuentes. En la literatura sobre cadera y rodilla se han descripto pocos casos de insuficiencia renal aguda, supresión transitoria de la médula ósea y disfunción hepática en pacientes con concentraciones sistémicas mensurables de vancomicina y aminoglucósidos.

En nuestra serie no tuvimos ninguna de estas complicaciones. Aunque esto podría deberse, en parte, al número limitado de pacientes evaluados, también tiene que ver con factores preventivos fundamentales relacionados con la elección del paciente y las características del espaciador. En primer lugar, una de las complicaciones reportadas es la luxación debida a la inestabilidad del espaciador. El error más frecuente es elegir un espaciador pequeño que pueda moverse y, en consecuencia, luxarse1,6,24,25. En segundo lugar, es importante que una vez que el paciente presente signos clínicos y de laboratorio de resolución de la infección, se retire el espaciador, ya que su fricción con la cavidad glenoidea podría desgastarlo, generando un defecto óseo secundario24-25. En tercer lugar, una ventaja de los espaciadores preformados es que la liberación del antibiótico es más uniforme y predecible, lo cual es importante para evitar efectos adversos como la ototoxicidad o la nefrotoxicidad de la gentamicina. También es aconsejable realizar una evaluación de la función renal antes de la colocación del espaciador, y en caso de que el paciente tenga una función renal deficiente, evitar estos dispositivos o ajustar la dosis de antibióticos. En cuarto lugar, es importante preguntar al paciente sobre antecedentes de alergias a antibióticos o al cemento óseo, ya que, aunque estos efectos adversos son poco frecuentes, podrían requerir la retirada de la cámara espaciadora y comprometer el tratamiento24-25. Por último, una complicación descripta asociada al uso de cámaras espaciadoras son las fracturas periprotésicas, para evitarlas en el intraoperatorio, es importante obviar la colocación de espaciadores muy grandes que puedan generar una fractura cortical en el momento de la impactación, especialmente en pacientes con osteoporosis avanzada. En este sentido, los espaciadores preformados, como el utilizado en nuestra serie, tienen la ventaja de disponer de espaciadores de prueba de fácil uso y bien identificados en diferentes tamaños para adaptarse a la talla de cada paciente.

Este estudio presenta algunas limitaciones que deberían tenerse en cuenta al momento de analizar los resultados. En primer lugar, esta es una seria limitada de pacientes, por lo tanto, queda por demostrar en futuros estudios si la efectividad encontrada en nuestra cohorte también se reproduce para otros gérmenes y para pacientes con otras comorbilidades. En segundo lugar, esta serie no tuvo un grupo control comparativo, por ejemplo, de pacientes tratados con otro tipo de espaciador. Finalmente, se incluyeron tanto prótesis totales anatómicas como hemiartroplastias y prótesis reversas infectadas.

Futuras investigaciones con mayor número de pacientes podrían ayudar a realizar un análisis funcional por subgrupos y poder determinar si existe alguna diferencia en los resultados del tratamiento según el tipo de cirugía primaria.


CONCLUSIÓN

Los espaciadores de cemento preformados cargados con antibióticos son una opción efectiva para el tratamiento de las infecciones protésicas de húmero proximal. En este estudio, los espaciadores resolvieron la infección en todos los pacientes y se observó una mejoría significativa del dolor y de los scores funcionales en comparación con la situación clínica preoperatoria.