ARTÍCULO ORIGINALRELART - Vol 33 | Nº1 | Año 2026 - ISSN (en línea) 3072-8010

Evaluación clínico-funcional de artroplastia total de rodilla con alineación mecánica

Juan M. Altuna ID
, Juan M. Del Castillo ID

Clínica de Traumatología y Ortopedia, Universidad de la República. Montevideo, Uruguay.


Autor para correspondencia: Juan M. Altuna, juan.martin.altuna@gmail.com
Cómo citar: Altuna JM, Del Castillo JM. Evaluación clínico-funcional de artroplastia total de rodilla con alineación mecánica. Relart 2026;33(1):89-96
Recibido: 15/12/2025 · Aceptado: 23/02/2026 · Publicado: 1/04/2026 doi:https://doi.org/10.63403/re.v33i1.475
BY-NC-SA 4.0

RESUMEN

Introducción: la artroplastia total de rodilla (ATR) es uno de los procedimientos ortopédicos más realizados globalmente, con un crecimiento sostenido asociado al envejecimiento poblacional y al aumento de la gonartrosis y la obesidad. La alineación mecánica continúa siendo la técnica estándar, aunque han surgido alternativas como la alineación cinemática. En Uruguay, la evidencia publicada sobre los resultados clínico-funcionales de ATR con alineación mecánica es limitada.

Objetivos: el objetivo principal de este trabajo fue evaluar los resultados funcionales y las complicaciones de una serie de artroplastias totales de rodilla implantadas con alineación mecánica.

Materiales y métodos: estudio descriptivo y observacional, con recolección retrospectiva de datos. Se incluyeron pacientes mayores de 18 años sometidos a ATR primaria con alineación mecánica, operados en un Instituto de Medicina Altamente Especializado (IMAE) y controlados en la policlínica de nuestra institución entre mayo de 2022 y octubre de 2025, con un mínimo de 12 meses de seguimiento. La información se obtuvo mediante entrevista telefónica, administrando los cuestionarios WOMAC y SF-12 validados al español, además de la Escala Visual Analógica (EVA) para el dolor. Se registraron complicaciones postoperatorias y se empleó estadística descriptiva.

Resultados: se analizaron 36 artroplastias en 32 pacientes, de los cuales el 78 % fueron mujeres, con una edad promedio de 70.5 años y un seguimiento medio de 24.4 meses. El puntaje WOMAC total promedio fue de 6.0 puntos, con valores bajos de dolor y rigidez, y adecuada capacidad funcional. El SF-12 mostró un componente físico de 48.8 puntos y un componente mental de 59.3 puntos, compatibles con buena calidad de vida percibida. La EVA promedio fue de 2.1 puntos. Se registraron dos infecciones (6 %) y una reintervención por rigidez (3 %).

Conclusión: la ATR con alineación mecánica mostró buenos resultados funcionales, adecuado control del dolor y una tasa de complicaciones dentro de lo esperado en esta serie retrospectiva. Sin embargo, debido al diseño observacional, el tamaño muestral limitado y la ausencia de un grupo comparativo, los resultados deben interpretarse con cautela. Se requieren estudios prospectivos y comparativos con mayor seguimiento para confirmar estos hallazgos.



Palabras clave: Artroplastia total de rodilla; Alineación mecánica; Resultados funcionales; WOMAC; SF-12

Nivel de evidencia: IV. Estudio de cohorte retrospectiva



Clinical and Functional Evaluation of Total Knee Arthroplasty with Mechanical Alignment

ABSTRACT

Introduction: total knee arthroplasty (TKA) is one of the most commonly performed orthopedic procedures worldwide, with sustained growth associated with population aging and the increasing prevalence of knee osteoarthritis and obesity. Mechanical alignment remains the standard technique, although alternatives such as kinematic alignment have emerged. In Uruguay, published evidence on the clinical and functional outcomes of TKA with mechanical alignment is limited.

Objectives: the main objective of this study was to evaluate the functional outcomes and complications of a series of total knee arthroplasties implanted using mechanical alignment.

Materials and methods: a descriptive observational study with retrospective data collection was conducted. Patients older than 18 years who underwent primary mechanically aligned TKA at a Highly Specialized Medical Institute (IMAE) and were followed in our outpatient clinic between May 2022 and October 2025, with a minimum follow-up of 12 months, were included. Data were obtained through telephone interviews administering the Spanish validated WOMAC and SF-12 questionnaires, as well as the Visual Analog Scale (VAS) for pain. Postoperative complications were recorded, and descriptive statistics were used.

Results: a total of 36 arthroplasties in 32 patients were analyzed; 78% were women, with a mean age of 70.5 years and a mean follow-up of 24.4 months. The mean total WOMAC score was 6.0 points, indicating low pain and stiffness levels with adequate functional capacity. The SF-12 showed a physical component score of 48.8 and a mental component score of 59.3, consistent with good perceived quality of life. The mean VAS pain score was 2.1. Two infections (6%) and one reintervention for stiffness (3%) were recorded.

Conclusion: mechanically aligned TKA demonstrated favorable functional outcomes, adequate pain control, and a complication rate within expected ranges in this retrospective series. However, due to the observational design, limited sample size, and absence of a comparison group, the results should be interpreted with caution. Prospective comparative studies with longer follow-up are required to confirm these findings.



Keywords: Total knee arthroplasty; Mechanical alignment; Functional outcomes; WOMAC; SF-12

Level of Evidence: IV. Retrospective Cohort Study.


INTRODUCCIÓN

La cirugía de prótesis de rodilla es uno de los procedimientos ortopédicos más frecuentes,1,2 y su realización ha crecido exponencialmente en los últimos años principalmente debido al envejecimiento de la población, como al aumento de patologías como la obesidad y el desgaste articular.3,4 Según estimaciones globales, se realizan millones de reemplazos de rodilla de forma anual, con tasas en aumento en países desarrollados y en vías de desarrollo.5,6

Las prótesis de rodilla han revolucionado el tratamiento de enfermedades articulares degenerativas e incapacitantes como la gonartrosis, mejorando de forma significativa la calidad de vida de millones de personas en todo el mundo.7-9 Desde la década de 1960 el diseño de las prótesis de rodilla ha ido evolucionando en cuanto a tecnología, materiales y biomecánica. En la década del setenta se comenzó a trabajar con las prótesis mecánicas;10 estas buscan alinear el eje mecánico del miembro y de esta forma generar una distribución uniforme de la carga.11,12 Si bien se trata de una técnica confiable, reproducible con una buena durabilidad, se reporta un porcentaje de malos resultados en hasta un 20 % de los casos.13-16 En este contexto surgen los diseños más modernos de prótesis, los cuales buscan cambiar el paradigma del reemplazo articular de rodilla, intentando emular una función más natural de la rodilla, preservando estructuras ligamentarias y conservando la alineación original previa al reemplazo mediante una prótesis cinemática.17,18

La técnica con alineación cinemática se encuentra en proceso de consolidación, sin embargo la tendencia actual a nivel internacional se inclina por este tipo de procedimiento.19 El objetivo principal de este trabajo fue evaluar los resultados clínicos y funcionales de una serie de artroplastias totales de rodilla implantadas con alineación mecánica por un mismo cirujano en un centro público de referencia.

MATERIALES Y MÉTODOS

Diseño

Se llevó a cabo un estudio descriptivo con recolección retrospectiva de datos, evaluando una serie de pacientes tratados mediante artroplastia total de rodilla realizadas por el mismo cirujano en un centro de referencia, con mínimo 1 año de seguimiento. Todos los pacientes fueron tratados mediante prótesis con alineación mecánica.

Población

Todos los pacientes sometidos a cirugía primaria de reemplazo total de rodilla fueron mayores de 18 años.

Criterios de exclusión

Implante y técnica quirúrgica

Todas las artroplastias fueron realizadas por el mismo cirujano utilizando el mismo modelo de prótesis total de rodilla (DePuy Synthes/ SIGMA®), implantada con filosofía de alineación mecánica. La técnica quirúrgica fue estandarizada, empleando abordaje medial parapatelar, resecciones óseas guiadas por instrumental convencional y balance ligamentario intraoperatorio según criterios clínicos. No se realizó evaluación radiográfica sistemática postoperatoria para cuantificar la alineación angular obtenida, por lo que el análisis se centró en los resultados clínico-funcionales reportados por los pacientes.

Fuente y recolección de datos

Los datos se obtuvieron mediante entrevistas telefónicas realizadas a los pacientes, previa obtención del consentimiento informado. Durante la comunicación se administraron los cuestionarios validados WOMAC y SF-12, con el objetivo de evaluar los resultados funcionales y la calidad de vida luego de la artroplastia total de rodilla. Asimismo, se recabó información sobre la presencia de complicaciones postoperatorias y se registró la intensidad del dolor mediante la escala verbal numérica. La obtención de la información mediante entrevistas telefónicas puede introducir sesgo de memoria o de autopercepción del paciente, lo cual fue considerado como una limitación inherente al diseño del estudio.

Variables

Se analizaron las variables sexo, edad, tiempo de seguimiento, ocurrencia de complicaciones, puntaje del cuestionario WOMAC, puntaje del cuestionario SF-12 y se evaluó el dolor mediante la Escala Visual de Dolor (EVA). El Western Ontario and McMaster Universities Osteoarthritis Index (WOMAC) es un cuestionario específico para la artrosis de rodilla y cadera, diseñado para evaluar dolor, rigidez y función física. Se trata de uno de los instrumentos más utilizados y ha sido recomendado por diversas agencias internacionales para la evaluación de resultados en esta enfermedad. El cuestionario cuenta con validación en español, lo que asegura su adecuada aplicabilidad y comprensión en población hispanohablante.20,21

El cuestionario SF-12 Health Survey es una versión abreviada (12 ítems) del SF-36, diseñada para evaluar la calidad de vida relacionada con la salud, tanto en su componente físico como en el mental. Este instrumento cubre 8 dimensiones de salud (función física, rol físico, dolor corporal, salud general, vitalidad, función social, rol emocional y salud mental) y permite calcular 2 dimensiones principales (física y mental), lo que lo hace de aplicación muy frecuente en estudios epidemiológicos y clínicos. En su versión en español se han establecido normas poblacionales de referencia y evidencias robustas de validación, lo que garantiza su adecuación para poblaciones hispanohablantes.22

La Escala Visual Analógica (EVA) es un instrumento unidimensional ampliamente utilizado para la evaluación de la intensidad del dolor. Consiste en una línea continua de 10 cm en cuyos extremos se representan los valores “ausencia de dolor” y “el peor dolor imaginable”. El paciente marca en la línea el punto que mejor refleja la intensidad de su dolor en ese momento. La EVA ha demostrado alta sensibilidad para detectar cambios clínicamente relevantes y presenta excelente reproducibilidad, convirtiéndola en una herramienta válida y confiable para la valoración del dolor en estudios clínicos y en la práctica asistencial.23 La evaluación funcional se basó en cuestionarios autoadministrados validados, sin mediciones objetivas clínicas o radiográficas complementarias, lo cual constituye una limitación metodológica del estudio.

Análisis estadístico

Para analizar las variables categóricas, se calcularon frecuencias absolutas y relativas. Para las variables cuantitativas se calcularon media y desviación estándar. Se utilizaron los programas Excel de Microsoft 365 y JASP. Dado el carácter descriptivo del estudio y el tamaño muestral, no se realizaron análisis comparativos ni inferenciales.

Consideraciones éticas

El protocolo de investigación y consentimiento informado fueron aprobados por el comité de Ética de Facultad de Medicina de la Universidad de la República del Uruguay el 28/8/25 e ingresados en el Registro de Investigaciones en Seres Humanos del Ministerio de Salud Pública de Uruguay con el número 9480301.

El estudio se ajustó a los principios éticos establecidos en la Declaración de Helsinki, cumpliendo con la normativa vigente en Uruguay para investigaciones en seres humanos. Se garantizó la confidencialidad, el respeto a la privacidad y la protección de los datos personales de los participantes, conforme a lo establecido en la Ley Nº 18331 sobre Protección de Datos Personales y Acción de Habeas Data y a la normativa del Ministerio de Salud Pública de Uruguay (MSP) en materia de investigación biomédica.

Se adoptaron medidas para asegurar la confidencialidad de los datos, mediante la anonimización de estos antes de su análisis. Solo el investigador autorizado tuvo acceso a los datos, que fueron utilizados únicamente para los fines del estudio.

RESULTADOS

Se analizó un total de 36 prótesis en 32 pacientes. De este total, 25 (78 %) fueron de sexo femenino y 7 (22 %), de sexo masculino. Cuatro pacientes presentaron reemplazo bilateral (Figs. 1, 2 y 3).

La edad promedio de los pacientes fue de 70.5 años (52-85 años). El seguimiento mínimo fue de 12 meses, con una media de 24.4 meses.

El puntaje promedio del cuestionario WOMAC mostró valores favorables en los 3 dominios evaluados. El componente de capacidad funcional presentó un promedio de 4.4 puntos con un DE de 3.9, el componente de dolor de 0.97 puntos con un DE de 1.6, y el de rigidez de 0.4 puntos con un DE de 0.8. El promedio total fue de 5.8 puntos con un DE de 5.7.

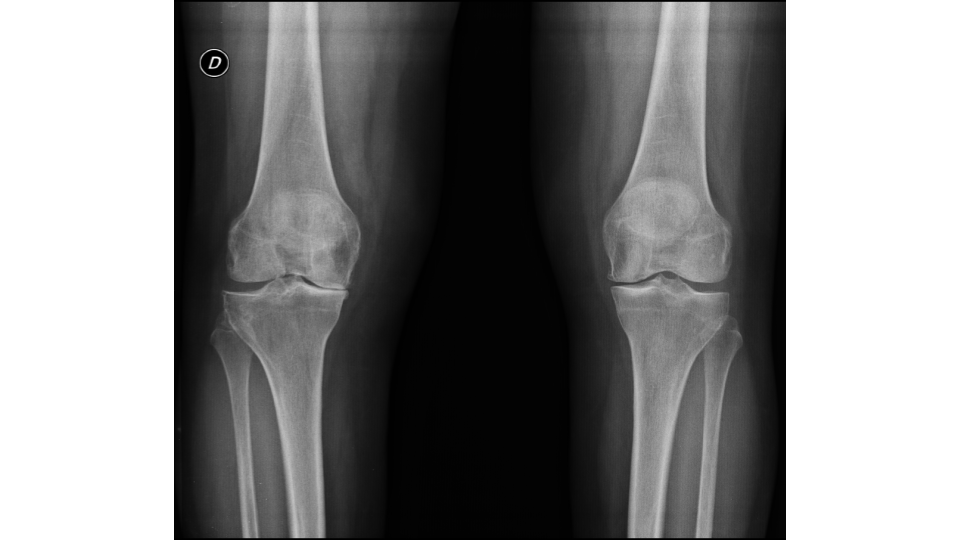
Figura 1. Radiografía anteroposterior de ambas rodillas que muestra genu valgo bilateral secundario a artrosis.

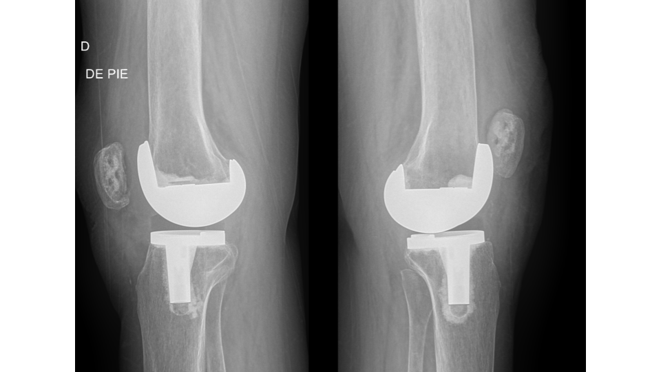
Figura 2. Radiografía anteroposterior postoperatoria tras artroplastia total de rodilla con alineación mecánica y prótesis cementada modelo SigmaTM (DePuy, Synthes/Johnson & Johnson, Warsaw, IN, EE. UU.).

Figura 3. Radiografía lateral postoperatoria tras artroplastia total de rodilla con prótesis cementada modelo Sigma (DePuy, Synthes/ Johnson & Johnson, Warsaw, IN, EE. UU.).

El puntaje promedio del componente físico del SF12 fue de 48.8 puntos, con un DE de 8.9 (rango, 20.9- 63.3) y el puntaje promedio del componente mental del SF-12 fue de 59.3 puntos con un DE de 5.6 (rango, 42.3-66.0).

El nivel de dolor, evaluado mediante la EVA de 0 a 10, presentó un promedio de 2.1 puntos con un DE de 2.2, lo que corresponde a un grado leve de dolor en la mayoría de los pacientes al momento del seguimiento.

Se registraron 2 infecciones (6 %) y una reintervención por rigidez articular (3 %) sobre un total de 36 artroplastias primarias. Una de las infecciones fue superficial, con buena evolución tras tratamiento antibiótico vía oral. La segunda correspondió a una infección profunda, que requirió recambio protésico.

Asimismo, se documentó un caso de rigidez articular, tratado mediante liberación artroscópica. Cabe señalar que el paciente que presentó la rigidez articular coincidió con el caso de infección profunda que finalmente terminó en un recambio protésico.

El análisis realizado fue exclusivamente descriptivo, por lo que no se efectuaron comparaciones estadísticas con valores de referencia poblacionales ni con otras filosofías de alineación protésica. Si bien los puntajes obtenidos en WOMAC, SF-12 y EVA sugieren resultados funcionales favorables y bajo dolor residual, estos deben interpretarse dentro del contexto de una serie observacional sin grupo comparativo. Tampoco se exploró formalmente la asociación entre la presencia de complicaciones y los resultados funcionales, dado el tamaño muestral limitado. Con el objetivo de facilitar la interpretación global de los datos, se incorporaron tablas resumen con los principales resultados funcionales y las complicaciones registradas (Tablas 1 y 2).

DISCUSIÓN

Nuestros resultados se encuentran en concordancia con la literatura internacional. El puntaje total promedio WOMAC de 5.8 puntos observado en nuestra cohorte refleja un nivel bajo de dolor y buena función global, contrastable al descrito por Howell y cols. en 2018,22 quienes comunicaron una puntuación promedio de 7 en pacientes con alineación cinemática.

Young y cols. reportan puntaje WOMAC a 2 años entre 18 y 19.5, lo cual corresponde a un buen resultado y señalan que no hay diferencia clínica significativa entre la alineación mecánica y la cinemática.23

El componente físico del SF-12 (48.6 puntos) y el mental (58.9 puntos) evidencian una capacidad funcional y calidad de vida comparable a la población general, hallazgo coincidente con los valores reportados por Martin-Hernandez et al. en 2018, quienes reportan valores de SF-12 físico a 36 meses entre 44.2 y 54.2 y SF-12 mental entre 46.6 y 59.9.24

En la última década, múltiples estudios randomizados, metaanálisis y registros nacionales han comparado la alineación mecánica con filosofías alternativas como la alineación cinemática, sin demostrar de forma consistente superioridad clínica sostenida de una técnica sobre otra. Metaanálisis recientes señalan que, si bien la alineación cinemática puede asociarse con diferencias discretas en algunos puntajes funcionales a corto plazo, estas no alcanzan relevancia clínica significativa y tienden a desaparecer en el seguimiento a medio y largo plazo.22,25,26

Los grandes registros internacionales de artroplastia, incluidos el Australian Orthopaedic Association National Joint Replacement Registry y el National Joint Registry del Reino Unido, continúan mostrando tasas de supervivencia protésica excelentes con alineación mecánica convencional, lo que respalda su reproducibilidad y seguridad.27,28 Desde el punto de vista clínico, los valores obtenidos en WOMAC, SF-12 y EVA en nuestra serie se ubican dentro de rangos considerados compatibles con función satisfactoria y bajo dolor residual, lo que sugiere que los pacientes alcanzaron resultados clínicamente relevantes más allá de la comparación numérica con otras cohortes.

La persistencia de buenos resultados con alineación mecánica puede explicarse por su carácter estandarizado, su amplia validación histórica y la capacidad de reproducir ejes biomecánicos previsibles, reduciendo la variabilidad quirúrgica. Si bien las nuevas filosofías de alineación representan avances conceptuales interesantes, la evidencia acumulada indica que la alineación mecánica continúa siendo una estrategia confiable, especialmente en contextos de salud pública donde la reproducibilidad técnica y la seguridad a largo plazo son factores prioritarios.

En Uruguay, el Fondo Nacional de Recursos publica periódicamente informes de evaluación de las artroplastias de rodilla. El Informe de Artroplastias de Rodilla 2022 analizó 6552 procedimientos realizados entre 2018 y junio de 2021 en 5 centros IMAE, abarcando tanto el sector público como el privado. El informe incluye prótesis primarias así como de revisión y describe características demográficas, comorbilidades, complicaciones y mortalidad asociada, pero no incluye evaluaciones funcionales mediante escalas específicas como WOMAC o SF-12.29 Constituye una fuente epidemiológica nacional valiosa para dimensionar el volumen y la distribución de las artroplastias, aunque no permite comparar resultados clínicos funcionales con series que aplican instrumentos validados de calidad de vida o función articular.

La incidencia de complicaciones (6 % de infecciones y 3 % de rigidez con necesidad de reintervención) también se encuentra dentro del rango esperado para artroplastias primarias. Diversas series internacionales reportan tasas de infección entre 0.4 y 2 %, y rigidez clínicamente significativa entre 1 y 5.3 %.30-32

La ligera diferencia observada podría explicarse por el tamaño poblacional limitado y la inclusión de pacientes de mayor edad promedio (70.5 años), factores asociados a mayor riesgo de complicaciones en la literatura.

Tabla 1. Resultados funcionales en el seguimiento mínimo de un año
Variable Promedio DE Rango
WOMAC total 5.8 5.7
SF-12 físico 48.8 8.9 20.9-63.3
SF-12 mental 59.3 5.6 42.3-66.0
EVA 2.1 2.2

Promedio 24.4 meses. DE: derivación estándar. EVA: escala visual analógica

Tabla 2. Complicaciones postoperatorias en el seguimiento mínimo de un año
Complicación n %
Infección superficial 1 3
Infección profunda 1 3
Rigidez articular 1 3

Promedio 24.4 meses

Limitaciones del estudio

El trabajo comparte las limitaciones inherentes a los estudios observacionales descriptivos y de serie de casos. En primer lugar, el tamaño poblacional relativamente reducido (36 artroplastias en 32 pacientes) limita la posibilidad de realizar análisis estadísticos inferenciales o establecer asociaciones sólidas entre variables clínicas, funcionales y demográficas. En segundo lugar, el diseño no comparativo y la ausencia de un grupo control impide valorar de forma directa si los resultados observados difieren significativamente frente a otros métodos de alineación. Otra limitación se relaciona con la evaluación de los resultados funcionales mediante entrevistas telefónicas, lo cual, si bien facilita el reclutamiento de pacientes, puede introducir cierto sesgo de recuerdo o interpretación subjetiva por parte de los pacientes.

Figura 4. A) Lesión pararrenal a la valva anterior del riñón derecho (flecha blanca) isodensa en la fase sin contraste. B) Fase arterial que muestra realce progresivo de la lesión. C) Fase tardía que evidencia homogeneización de esta. D) Pieza de macroscopia que muestra una masa sólida, bronceada y encapsulada.

Figura 5. A) Lesión pararrenal a la valva anterior del riñón derecho (flecha blanca) isodensa en la fase sin contraste. B) Fase arterial que muestra realce progresivo de la lesión. C) Fase tardía que evidencia homogeneización de esta. D) Pieza de macroscopia que muestra una masa sólida, bronceada y encapsulada.

Finalmente, la ausencia de análisis radiográficos sistemáticos limita la posibilidad de correlacionar los resultados clínicos con parámetros objetivos de alineación y balance. No obstante estas limitaciones, la consistencia interna de los datos y la homogeneidad del procedimiento quirúrgico otorgan solidez a las conclusiones descriptivas del estudio. En conjunto, los resultados de nuestra cohorte respaldan la eficacia de la alineación mecánica convencional para lograr una función satisfactoria y un nivel de dolor residual bajo, sin incremento relevante en el porcentaje de complicaciones. Estos hallazgos son concordantes con la evidencia que sostiene la vigencia de la alineación mecánica como estrategia reproducible y segura.

La validez externa de este estudio es moderada y debe interpretarse en función de las características de la población analizada. Si bien la serie incluye pacientes intervenidos en un mismo centro y bajo un protocolo quirúrgico, la generalización a otras poblaciones puede verse limitada por el tamaño muestral reducido (Figs. 4 y 5).

CONCLUSIÓN

La ATR con alineación mecánica mostró buenos resultados funcionales, adecuado control del dolor y una tasa de complicaciones dentro de lo esperado en esta serie retrospectiva. Sin embargo, debido al diseño observacional, el tamaño muestral limitado y la ausencia de un grupo comparativo, los resultados deben interpretarse con cautela. Se requieren estudios prospectivos y comparativos con mayor seguimiento para confirmar estos hallazgos.


Contribuciones de autoría: Conceptualización, Metodología, Recursos (JDC, JMA). Software, Análisis formal, Investigación, Curación de datos. Escritura- Borrador original (JMA). Escritura- Revisión y edición, Escritura- Revisión y edición, Visualización, Supervisión, Administración de proyectos (JDC).
Agradecimientos: Dra. Alicia Gonzalez Lamé
Conflictos de intereses: los autores declaran no tener conflictos de interés relacionados con este estudio.
Financiamiento: los autores declaran que no hubo financiamiento para la realización de este estudio.

REFERENCIAS

  1. Price AJ, Alvand A, Troelsen A, et al. Knee replacement. Lancet. 2018;392(10158):1672-1682. )32344-4 open_in_new
  2. Maradit Kremers H, Larson DR, Crowson CS,et al.. Prevalence of total hip and Knee replacement in the United States. J Bone Joint Surg Am. 2015;97(17):1386-1397 open_in_new
  3. Singh JA. Epidemiology of knee and hip arthroplasty: a systematic review. Open Orthop J. 2011;5:80-85 open_in_new
  4. American Academy of Orthopaedic Surgeons. Knee replacement surgery by the numbers [internet]. Illinois: The center. [citado 2025 Nov 15]. Disponible en: open_in_new
  5. Inacio MCS, Paxton EW, Graves SE, Namba RS, Nemes S. Projected increase in total knee arthroplasty in the United States - an alternative projection model. Osteoarthritis Cartilage. 2017;25(11):1797-1803 open_in_new
  6. Ackerman IN, Bohensky MA, de Steiger R, et al. Lifetime risk of primary total hip replacement surgery for osteoarthritis from 2003 to 2013: a multinational analysis using national registry data. Arthritis Care Res (Hoboken). 2017;69(11):1659-1667 open_in_new
  7. Shan L, Shan B, Suzuki A, Nouh F, Saxena A. Intermediate and long-term quality of life after total knee replacement: a systematic review and meta-analysis: a systematic review and meta-analysis. J Bone Joint Surg Am. 2015;97(2):156-168 open_in_new
  8. Skou ST, Roos EM, Laursen MB, et al. A randomized, controlled trial of total knee replacement. N Engl J Med. 2015;373(17):1597-606 open_in_new
  9. Bourne RB, Chesworth BM, Davis AM, Mahomed NN, Charron KDJ. Patient satisfaction after total knee arthroplasty: who is satisfied and who is not? Clin Orthop Relat Res. 2010;468(1):57–63 open_in_new
  10. Ranawat CS, Flynn WF Jr, Saddler S, Hansraj KK, Maynard MJ. Long-term results of the total condylar knee arthroplasty. A 15-year survivorship study. Clin Orthop Relat Res. 1993;(286):94-102
  11. Hofmann AA, Bachus KN, Wyatt RW. Effect of the tibial cut on subsidence following total knee arthroplasty. Clin Orthop Relat Res. 1991;269(269):63–69
  12. Dennis D, Komistek R, Scuderi G, et al. In vivo threedimensional determination of kinematics for subjects with a normal knee or a unicompartmental or total knee replacement. J Bone Joint Surg Am. 2001;83-A(Suppl 2 Pt 2):104-115 open_in_new
  13. Nam D, Nunley RM, Barrack RL. Patient dissatisfaction following total knee replacement: a growing concern? Bone Joint J. 2014;96-B(11 Suppl A):96-100 open_in_new
  14. Baker PN, van der Meulen JH, Lewsey J, Gregg PJ; National Joint Registry for England and Wales. The role of pain and function in determining patient satisfaction after total knee replacement. Data from the National Joint Registry for England and Wales. J Bone Joint Surg Br. 2007;89(7):893-900 open_in_new
  15. Gunaratne R, Pratt DN, Banda J, Fick DP, Khan RJK, Robertson BW. Patient dissatisfaction following total knee arthroplasty: a systematic review of the literature. J Arthroplasty. 2017;32(12):3854-3860 open_in_new
  16. Choi YJ, Ra HJ. Patient satisfaction after total knee arthroplasty. Knee Surg Relat Res. 2016;28(1):1-15 open_in_new
  17. Rivière C, Iranpour F, Auvinet E, et al. Alignment options for total knee arthroplasty: a systematic review. Orthop Traumatol Surg Res. 2017;103(7):1047-1056 open_in_new
  18. Howell SM, Hodapp EE, Vernace JV, Hull ML, Meade TD. Are undesirable contact kinematics minimized after kinematically aligned total knee arthroplasty? An intersurgeon analysis of consecutive patients. Knee Surg Sports Traumatol Arthrosc. 2013;21(10):2281-2287 open_in_new
  19. Hiranaka T. Current concept: personalized alignment total knee arthroplasty as a contrast to classical mechanical alignment total knee arthroplasty. Arthroplasty. 2024;6(1):23 open_in_new
  20. Escobar A, Quintana JM, Bilbao A, Azkárate J, Güenaga JI. Validation of the Spanish version of the WOMAC questionnaire for patients with hip or knee osteoarthritis. Western Ontario and McMaster Universities Osteoarthritis Index. Clin Rheumatol. 2002;21(6):466-471 open_in_new
  21. Batlle-Gualda E, Esteve-Vives J, Riera MP, Hargreaves R, Cutts J. Traducción y adaptación al español del cuestionario WOMAC específico para artrosis de rodilla y cadera. Rev Esp Reumatol.1999;26(2):0
  22. Howell SM, Shelton TJ, Hull ML. implant survival and function ten years after kinematically aligned total knee arthroplasty. Arthroplasty. 2018;33(12):3678-3684 open_in_new
  23. Young SW, Sullivan NPT, Walker ML, Holland S, Bayan A, Farrington B. No difference in 5-year clinical or radiographic outcomes between kinematic and mechanical alignment in TKA: a randomized controlled trial. Clin Orthop Relat Res. 2020;478(6):1271-1279 open_in_new
  24. Martín-Hernández C, Sanz-Sainz M, Revenga-Giertych C, et al. Navigated versus conventional total knee arthroplasty: a prospective study at three years follow-up. Rev Esp Cir Ortop Traumatol (Engl Ed). 2018;62(4):282-289 open_in_new
  25. Young SW, Walker ML, Bayan A, Briant-Evans T, Pavlou P, Farrington B. The Chitranjan S. Ranawat Award: no difference in 2-year functional outcomes using kinematic versus mechanical alignment in tka: a randomized controlled clinical trial. Clin Orthop Relat Res. 2017;475(1):9-20 open_in_new
  26. Tian G, Wang L, Liu L, Zhang Y, Zuo L, Li J. Kinematic alignment versus mechanical alignment in total knee arthroplasty: an up-to-date meta-analysis. J Orthop Surg (Hong Kong). 2022;30(3):10225536221125952 open_in_new
  27. Achakri H, Ben-Shlomo Y, Biant L, et al. The National Joint Registry 22nd Annual Report 2025. London: National Joint Registry; 2024 Dec
  28. Lewis PL, Gill DR, McAuliffe MJ, Stoney JD, Vertullo CJ. Hip, Knee and Shoulder Arthroplasty: 2023 Annual Report. Sydney: Australian Orthopaedic Association; 2025 open_in_new
  29. Guirado M, Saona G, Fernández G. Fondo Nacional de Recursos. Evaluación de artoplastia de rodilla. Año 2021 [Internet]. 2022. Available from: open_in_new
  30. Archunan M, Swamy G, Ramasamy A. Stiffness after total knee arthroplasty: prevalence and treatment outcome. Cureus. 2021;13(9):e18271 open_in_new
  31. Mercurio M, Gasparini G, Cofano E, Zappia A, Familiari F, Galasso O. Knee arthrodesis for periprosthetic knee infection: fusion rate, complications, and limb salvage-a systematic review. Healthcare (Basel). 2024;12(7):804 open_in_new
  32. Rodríguez-Merchán EC. The stiff total knee arthroplasty: causes, treatment modalities and results. EFORT Open Rev. 2019;4(10):602-610 open_in_new