REPORTE DE CASO
Luxación recurrente habitual femorotibial en un paciente con síndrome de Larsen
Claudio Mingo Saluzzi, Fernando Salas
Sanatorio Mater Dei, Ciudad Autónoma de Buenos Aires, Argentina
Instituto Dupuytren de Traumatología y Ortopedia, Ciudad Autónoma de Buenos Aires, Argentina
Claudio Mingo Saluzzi
Claudiomingo@gmail.com
RESUMEN
El síndrome de Larsen (OMIM 150250) fue descripto por primera vez en 1950 como una entidad caracterizada por rasgos faciales distintos y dislocaciones de múltiples articulaciones, paladar hendido, pérdida de audición y anomalías en la columna vertebral. Se estima que la prevalencia del síndrome de Larsen es uno por cada cien mil nacidos vivos.
El manejo de múltiples luxaciones de las grandes articulaciones a menudo resulta difícil, particularmente si un paciente tiene una luxación completa de la rodilla. Tratamos a un niño con una luxación recurrente en forma habitual femorotibial completa. Según nuestro conocimiento, no hemos encontrado en la literatura ningún trabajo que describa el tratamiento de esta rara patología en un paciente que luxe completamente la tibia anteriormente sobre el fémur de manera habitual.
Palabras Claves: Luxación habitual; Recurrente; Rodilla; Larsen
ABSTRACT
Larsen syndrome (OMIM 150250) was first described in 1950 as an entity characterized by distinct facial features and dislocations of the multiple large joint, and cleft palate, hearing loss, and spinal abnormalities. The prevalence of Larsen syndrome is estimated to be one in hundred thousand live births. Management of multiple large-joint dislocations often proves difficult with a tendency toward recurrence, particularly if a patient has complete dislocation of the knee. We treated a boy with a clinical habitual recurrence femorotibial luxation. We have not found in the literature any paper in our knowledge that describes the treatment of this rare pathology of a patient who completely dislocate the tibia anteriorly on the femur in the usual way.
Key words: Recurrent dislocation; Knee; Larsen
INTRODUCCIÓN
El síndrome de Larsen fue descripto inicialmente en 19501 como una combinación de múltiples luxaciones articulares y anormalidades craneofaciales que incluyen cara plana con frente prominente, ausencia de orejas y ensanchamiento del espacio ocular. Su prevalencia es uno por cada cien mil nacidos vivos.2
El diagnóstico se establece mediante la evaluación clínica y rayos X que muestran, entre otras cosas, centros de osificación de huesos carpianos y tarsianos supernumerarios. Se confirma por análisis genético.
Probablemente la manifestación más común y difícil de tratar de este síndrome es la luxación congénita de rodilla. Muchos pacientes no responden a manipulaciones e inmovilizaciones enyesadas, por eso habitualmente el tratamiento se basa en reducciones abiertas con cuadriceplastia en V o Y, capsulotomías anteriores y liberación de la parte anterior de los ligamentos colaterales. Sin embargo, este tratamiento está expuesto a complicaciones, incluidas las reducciones incompletas, recurrentes o rigideces con mala función articular.
El caso que reportamos es el de una luxación recurrente habitual de la articulación femorotibial.
Se realizó un sondeo por la literatura utilizando los términos de búsqueda (palabras clave – mesh) tales como luxación recurrente / recidivante / habitual de rodilla, con síndrome de Larsen asociado o sin este, sin obtener resultados de un caso similar. En conclusión, y según nuestro conocimiento, no hemos encontrado descripto en la literatura un tratamiento para un paciente que luxe y reduzca completamente y en forma habitual la articulación femorotibial de la rodilla.
REPORTE DE CASO
Paciente masculino de seis años portador de síndrome de Larsen con luxación habitual de rodilla. Este movimiento anormal se producía al extender la rodilla y contraer el cuádriceps donde luxaba su tibia hacia anterior en relación con el fémur distal, y también la reducía activamente al contraer los isquiotibiales. Lo hacía en forma habitual sin dolor.
Antecedentes de la enfermedad actual
El paciente es llevado a consulta a los cuatro meses con un cuadro de genu recurvatum congénito bilateral, luxación congénita de cadera bilateral, astrágalo vertical derecho, hipertelorismo con frente prominente y puente nasal ancho (figs. 1 y 2).

Figura 1: Rx de caderas luxadas. Rx de luxación anterior de ambas rodillas.

Figura 2: RM en la que se ve la luxación congénita de ambas rodillas.
En ese momento, a la edad de cuatro meses, es intervenido quirúrgicamente con reducción de ambas caderas por un abordaje inguinal del pectíneo, reducción de rodilla derecha luxada con cuadriceplastia en V-Y, y reducción quirúrgica del astrágalo vertical luxado, todo en el mismo acto quirúrgico (fig. 3).

Figura 3: Imágenes quirúrgicas de cuadriceplastia en V de la rodilla.
La rodilla izquierda, que había sido reducida previamente con manipulaciones e inmovilización, se luxa nuevamente al comenzar la deambulación, un año después, por lo que se realizó también una reducción quirúrgica con cuadriceplastia en V-Y con buen resultado en lo que respecta a la reducción.
A los seis años consultó por una luxación recurrente habitual de rodilla derecha, luxando la tibia hacia anterior en relación con el fémur al extender la rodilla y con reducción activa de la tibia al flexionarla (video 1).
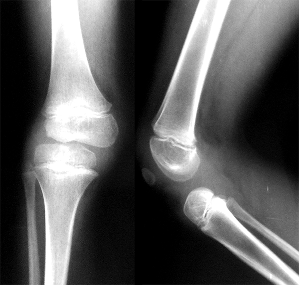
Los estudios radiológicos confirmaron el diagnóstico clínico (figs. 4 y 5). Se decidió el tratamiento quirúrgico de la luxación femorotibial de su rodilla derecha.

Figura 4: Rx de frente y perfil en la que se puede apreciar la luxación anterior de rodilla.

Figura 5: Imágenes tomográficas que confirman luxación anterior femorotibial.
TÉCNICA QUIRÚRGICA
Se posiciona al paciente en decúbito dorsal. Se realiza anestesia general y colocación de venda de Esmarch estéril suave bien acolchada en raíz del muslo. Los campos quirúrgicos son preparados de tal manera que se pueda abordar todo el miembro. Sobre la cicatriz previa en la cara anterior se realiza una artrotomía interna en la articulación de la rodilla. Prolongando el abordaje a distal se individualizan los tendones de la pata de ganso, se libera el semitendinoso con un extractor stripper abierto y dejándolo insertado a distal se secciona a proximal con una longitud de 20 cm (fig. 6).

Figura 6: Extracción del semitendinoso.
Luego se realiza un abordaje amplio sobre la cara lateral de la rodilla, se extrae una lonja posterior de la fascia lata de 1 cm de ancho siguiendo sus fibras y dejándola insertada a distal en el tubérculo de Gerdy. El borde posterior de esta se deja indemne para facilitar el cierre. Se preparan ambos extremos libres con una cintilla china con puntos de material fuerte reabsorbible.
Posteriormente se procede a pasar el extremo libre del semitendinoso a través de la articulación saliendo posteroexterno en el cóndilo externo en posición a lo alto (over the top), y luego de rodear el cóndilo se dirige anterior y distal en dirección al tubérculo de Gerdy por la cara lateral de la rodilla. La fascia lata se pasa en sentido inverso siguiendo el mismo recorrido, de posteroexterno hacia anterior, rodeando el cóndilo externo pasando luego intraarticular se extrae en la cara anterior de la tibia (fig. 7). Se procede a tensar ambos extremos tratando de llegar a la máxima extensión posible de la rodilla, pero controlando y evitando la luxación anterior de la tibia sobre el fémur (fig. 8).

Figura 7: Pasaje del injerto de fascia lata de posteroexterno y su salida luego de pasar por la articulación en la cara anterior de rodilla.

Figura 8: Luego de pasar ambos injertos llevando la rodilla a la extensión con estos en máxima tensión.
En esa posición, alrededor de 10° de flexión y con la articulación femorotibial reducida se suturan los extremos tendinosos a la cara anterior de la tibia con dos arpones y se suturan los tendones entre sí para lograr mayor fijación. La extensión lograda es de –10° y la flexión es completa (fig. 9).

Figura 9: Posición final de ambos injertos y cierre.
Se coloca una inmovilización enyesada en la extensión máxima lograda por un período de seis semanas y no se permite el apoyo. Al retirar la inmovilización se indican ejercicios suaves y apoyo progresivo para recuperar la movilidad.
A los cuatro meses, el paciente recupera la movilidad y la extensión normal, mantiene estable su rodilla sin que se detecte inestabilidad objetiva (video 2).
DISCUSIÓN
El síndrome de Larsen es una displasia esquelética rara, caracterizada por luxaciones articulares congénitas, deformidad en los pies, en columna cervical, escoliosis, falanges distales en forma de espátula y anomalías craneofaciales como fisura del paladar.
Esta enfermedad no es muy habitual. Es causada por un defecto genético en el gen que codifica la filamina B, una proteína citoplasmática importante en la regulación de la estructura y actividad del citoesqueleto.
El gen causante de la enfermedad se encuentra bien descripto en la literatura, ubicado en una región en la que también se encuentra el gen que codifica el colágeno humano tipo VII.3
El diagnóstico diferencial incluye otros trastornos más graves o mortales relacionados con el gen FLNB como son la atelogénesis de tipo I y III y displasia en boomerang. Otros cuadros relacionados descriptos en publicaciones son el síndrome oto-palato-digital de tipo I y displasia esquelética asociada a CHST3; condrodisplasia con dislocaciones articulares de tipo gPAPP; síndrome tipo Larsen de tipo B3GAT3; síndrome de Larsen de la Isla de la Reunión y síndrome de Desbuquois.3
La luxación congénita de rodilla incluye tres entidades clínicas diferentes: hiperextensión simple, subluxación de la tibia en relación con el fémur y luxación completa de la tibia sobre el fémur.4
Fibrosis y acortamiento del cuádriceps están asociados a la elongación del ligamento cruzado anterior, habitualmente presente en estos síndromes donde los isquiotibiales se desplazan anteriormente y favorecen la luxación anterior de la tibia. Normalmente están comprometidas también otras articulaciones, como la cadera y el pie, que agravan el cuadro clínico.5
La reducción abierta de la luxación congénita de rodilla es el segundo procedimiento quirúrgico más frecuente después de la estabilización de la columna cervical, con mejores resultados si se realiza antes de los dos años.
La mayoría de los estudios revisados, referidos al síndrome de Larsen, están mayoritariamente enfocados en el tratamiento de la luxación de una única articulación, como la rodilla o la columna cervical. Y la mayoría de los procedimientos descriptos para la rodilla se basan en técnicas quirúrgicas tendientes a reducir la articulación que está congénitamente luxada en forma irreductible.
El caso que reportamos es un paciente con múltiples articulaciones involucradas, que fue intervenido quirúrgicamente en varias oportunidades. Tal como fue descripto, su rodilla derecha fue tratada inicialmente con manipulaciones y yeso a los cuatro meses de vida y frente a la recidiva al comenzar la deambulación fue intervenida quirúrgicamente con una cuadriceplastia. Al cumplir seis años, el paciente permanecía con una luxación habitual femorotibial y fue intervenido nuevamente con la técnica descripta.
No hemos encontrado en la bibliografía ninguna publicación que reporte un caso similar o algún tratamiento propuesto para esta patología, la luxación habitual completa recidivante de la articulación de la rodilla (luxación habitual femorotibial completa), por lo que hemos tratado de resolverla realizando un procedimiento de estabilización intra y extraarticular basado en una modificación personal de la técnica de doble fascículo descripta en 1985 por Bertram Zarins para estabilizar la rodilla.6
Los injertos de semitendinosos y de la fascia lata pasados a través de la articulación rodeando el cóndilo externo y fijados en la cara anterior de la tibia con la tensión suficiente permitieron extender la rodilla, pero con una limitación a la translación anterior excesiva y la luxación de la tibia sobre el fémur que el paciente realizaba en forma habitual cuando estiraba su rodilla mediante la contracción activa del cuádriceps.
El resultado postoperatorio satisfactorio inmediato se sostuvo en el tiempo manteniendo la rodilla estable, la capacidad de ambulación normal y actividades recreativas deportivas con pivoteo, con un seguimiento de diez años. El paciente a la edad actual de dieciséis años anda en bicicleta, corre, juega al tenis, nada y surfea (fig. 10) (video 3).

Figura 10: Paciente de dieciséis años surfeando olas en el mar.
BIBLIOGRAFÍA
1- Larsen LJ; et al Multiple congenital dislocation associated with characteristic facial abnormality. J pediatr, 1950; 37: 574-81.
2- Dobbs MB; Boehm S; Grange DK; Gurnett CA. Case report: Congenital knee dislocation in a patient with Larsen syndrome and a novel filamin B mutation. Clin Orthop Relat Res, 2008; Jun; 466(6): 1503-9. DOI: 10.1007/s11999-008-0196-5.
3- Vujic M; et al. Localization of a gene for autosomal dominant Larsen syndrome to chromosome region 3p21.1-14.1 in the proximity of, but distinct from, the COL7A1 locus. Am J Hum Genet, 1995; 57(5): 1104-13.
4- Kaissi AA; Ganger R; Klaushofer K; Grill F. The management of knee dislocation in a child with Larsen syndrome. Clinics (São Paulo), 2011; 66(7): 1295-9.
5 - Mei H; He R; Liu K; Wu J; Tang J; Yan A. Presumed Larsen syndrome in a child: a case with a 12-year follow-up. J Pediatr Orthop B, 2015; May; 24(3): 268-73. DOI: 10.1097/BPB.0000000000000126
6- Zarins B; et al Combined intra-articular and extra-articular reconstructions for anterior tibial subluxation. Orthop Clin North Am, 1985; 16(2): 223-6.