ARTÍCULO ORIGINAL
Doble injerto de tendón cuadricipital autólogo para reconstrucción multiligamentaria de rodilla. Una opción para reconstrucción del LCA – LCP monobanda
Emiliano Álvarez Salinas1, Leandro Civetta2, Javier Reparaz1, Ezequiel Benítez1, Patricio Pruyas1, Juan Cupelli3, Jorge Civetta2
1 Sanatorio del Norte, Corrientes, Argentina
2 Centro Accidentológico Privado, Cardiocentro. Corrientes, Argentina
3 TC 2000, Corrientes, Argentina
Emiliano Álvarez Salinas
dralvarezsalinas@gmail.com
RESUMEN
Este trabajo describe la técnica de obtención, preparación, implementación y el resultado final del doble injerto de tendón cuadricipital (DTC) en una lesión multiligamentaria de rodilla, con compromiso del ligamento cruzado anterior (LCA), cruzado posterior (LCP) y colateral medial (LCM), secundaria a trauma de alta energía.
El tratamiento consistió en reconstrucción mediante un injerto cuadricipital autólogo único, dividido en dos para la reconstrucción artroscópica monobanda del LCA y LCP en el mismo tiempo quirúrgico. De esta forma se evitó la toma de injerto múltiple, se disminuyó la morbilidad de sitio donante y la necesidad de utilizar aloinjerto. Otro punto a favor de aplicar esta técnica fue mantener como opción los tendones isquiotibiales para una reconstrucción del complejo ligamentario medial.
Proponemos esta técnica de obtención y preparación del injerto doble del tendón cuadricipital (DTC) autólogo para las reconstrucciones monobanda de los ligamentos cruzados (LCA y LCP) en pacientes de baja demanda, con lesiones ligamentarias asociadas, o sin estas. Es un procedimiento original, no descripto en la literatura, técnicamente fácil de reproducir y aplicable.
Palabras claves: Artroscopía de rodilla; Reconstrucción LCA / LCP simultánea; Doble injerto tendón cuadricipital
ABSTRACT
This paper describes an original technique of harvesting, preparation, application and final results of the Double Tendon Quadriceps Graft (DTQ) in a multiligamentary (ACL, PCL and MCL) knee injury, secondary to a high energy trauma.
An arthroscopic single bundle ACL/PCL reconstruction was performed with the single autologous quadriceps tendon graft, divided into two applying DTQ technique, at the same surgical time.
With the DTQ graft technique multiple grafting, donor site morbidity was avoided and even reduced the allograft need. Another advantage of this technique was to keep the Hamstrings tendons as an option for a medial ligament reconstruction.
We propose the autologous Double Tendon Quadriceps graft (DTQ) for single-bundle ACL/PCL arthroscopic reconstructions in low-demand patients, with or without associated collateral ligaments injuries.
An original procedure, not described in the literature, technically easy to reproduce and applicable.
Keywords: Knee Arthroscopy; Simultaneous ACL/PCL reconstruction; Double quad tendon
INTRODUCCIÓN
Las lesiones combinadas de ligamento cruzado anterior (LCA) y ligamento cruzado posterior (LCP) son lesiones secundarias a traumatismo de alta energía, usualmente asociadas a una luxación de rodilla. La luxación de rodilla es un evento poco frecuente reportado como el 0.02 – 0.2% de las lesiones traumáticas.1 Se asocian a complicaciones neurovasculares y fracturas, comúnmente en el contexto de pacientes politraumatizados.
El tratamiento actual de este tipo de lesiones incluye la reconstrucción ligamentaria con técnicas cada vez más anatómicas con el objetivo de restituir la función lo más pronto posible. Estas reportan excelentes resultados funcionales.1, 2
Los injertos descriptos utilizados para la reconstrucción del pívot central (LCA y LCP) habitualmente son el injerto Hueso-Tendón-Hueso (HTH), los isquiotibiales semitendinoso y recto interno (ST/RI) y como tercera opción el injerto de tendón cuadricipital (TC).3, 4
Las lesiones multiligamentarias requieren de la utilización de múltiples injertos. Las opciones son utilizar injertos autólogos, ya sea de la misma rodilla lesionada o de la contralateral, o injertos alogénicos.4
La desventaja de utilizar injertos autólogos en lesiones múltiples, podría ser la de agregar morbilidad de las zonas donantes en una rodilla ya dañada por el trauma inicial, o invadir su rodilla contralateral. Por otro lado, el acceso a injertos alogénicos presenta ventajas: disminuye el tiempo quirúrgico y la morbilidad postcirugía; sin embargo, por falta de disponibilidad en el medio y/o por su elevado costo, no siempre es posible acceder a estos.5
El objetivo de este trabajo consiste en presentar una variante técnica original para obtener dos injertos de buena calidad a partir de un único tendón cuadricipital autólogo (DTC). Con dicho injerto ha sido posible la reconstrucción quirúrgica del pívot central (LCA – LCP) en un paciente con una asociación lesional de rodilla (LCA – LCP – LCM) en la cual se planteó un tratamiento en dos tiempos.
Describiremos los detalles quirúrgicos de la técnica del injerto DTQ y su aplicación.
PRESENTACIÓN DEL CASO
Paciente de sexo masculino de cincuenta y cuatro años, trabajador administrativo, sin antecedentes de relevancia clínica relacionados con la enfermedad. Sufrió un accidente en motocicleta, en el que fue embestido por otra moto. Como consecuencia presentó un traumatismo de cráneo encefálico leve (TEC) sin pérdida de conocimiento, fracturas expuestas del cuarto y quinto metacarpiano en mano izquierda y fracturas múltiples expuestas en pie izquierdo (clasificación de Gustilo II). Además, inestabilidad aguda de rodilla izquierda compatible con lesión multiligamentaria (clasificación de Schenck KD IIIM — lesión aguda del LCA y LCP, lesión completa del LCM).
Tras recibir atención inicial hospitalaria fue derivado por la Aseguradora de Riesgo de Trabajo a nuestro centro para tratamiento definitivo por equipo especializado.
Al ingresar, cuarenta y ocho horas posteriores al accidente, se descartó la presencia de compromiso vascular, nervioso y compresivo. Se realizó el tratamiento quirúrgico pertinente de las fracturas expuestas y se difirió el de la rodilla izquierda. Se la trató con inmovilización mediante férula en extensión y ejercicios de movilidad activa y pasiva controlada a partir de la cuarta semana.
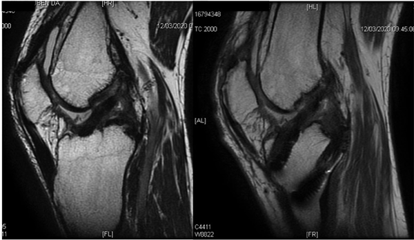
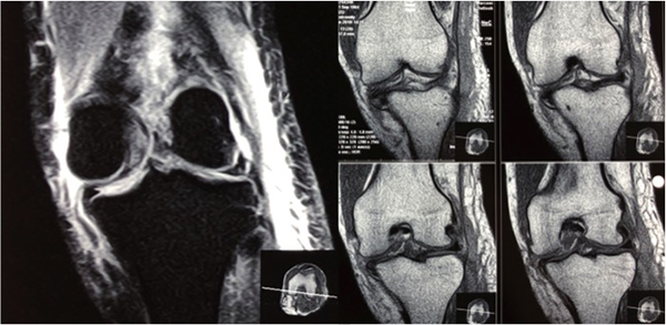
A los tres meses del accidente, una vez rehabilitadas las fracturas expuestas en mano y pie izquierdo, la rodilla presentó un examen físico compatible con secuela de lesión inestable de ligamento colateral interno con bostezo grado II (++/+++) con tope laxo en 30° de flexión y en extensión completa. No presentó derrame articular. Se observó desplazamiento posterior de tibia estructurado. Cajón posterior grado III (sin tope neto) y Godfrey positivo. Lachman positivo con pivot shift positivo. Rango de movilidad completo sin bloqueo. Dolor en compartimiento interno tercio posterior. El score de Lysholm Tegner preoperatorio de 10 y 1 respectivamente. El estudio por resonancia magnética (RM) confirmó el diagnóstico (figs. 1 y 2). El espesor medido del tendón cuadricipital a 30, 40 y 50 mm de inserción proximal en rótula por este estudio en cortes sagitales fue de 10.2 – 9.1 – 8.7 mm, respectivamente (fig. 3).
Figura 1: RM de rodilla izquierda. Secuencia T2 y T1 en cortes coronales. Se observa lesión completa del ligamento colateral interno con compromiso de componente menisco femoral (hoja profunda) al momento del trauma.

Figura 2: RM cortes sagitales secuencia T1. Se observa la traslación posterior de la tibia. Tendón rotuliano laxo como signo de inestabilidad posterior. Lesión grado III del cuerno posterior del menisco interno, trazo oblicuo asociado a luxación de la tibia. Lesión completa de ambos ligamentos cruzados (LCA – LCP). Menisco externo sin lesión objetiva.

Figura 3: Corte sagital de RM. Medición de espesor de tendón a 30, 40 y 50 mm de inserción en rótula.
PLAN TERAPÉUTICO
Los tres grupos ligamentarios serían reparados utilizando injertos autólogos.
Se planificó la reconstrucción con asistencia artroscópica en dos tiempos reconstructivos anestésicos diferidos:
1.er tiempo: reconstrucción del pívot central (LCA y LCP).
2.do tiempo (eventual, según evolución): reconstrucción del LCM con técnica extraarticular anatómica.
Planificación del tratamiento
Primer tiempo
Reconstrucción del pívot central (LCA y LCP) con injerto autólogo. Injerto cuadricipital de espesor completo con taco óseo. División longitudinal, se generaron entonces dos piezas osteotendinosas disponibles para injertar (DTC).
En este primer tiempo se preservaron los tendones ST RI, disponibles según necesidad para un eventual tiempo reconstructivo ulterior.
Evaluación artroscópica del estado articular y grado de cicatrización del complejo ligamentario medial.
Procedimiento
El paciente fue posicionado en decúbito dorsal, con rodilla en soporte, colgando en 90° de flexión y manguito hemostático en raíz de muslo. Se aplicó anestesia raquídea asociada a un bloqueo del nervio femoral (ecoguiado) y un esquema de analgesia multimodal.
Exposición quirúrgica anterior longitudinal suprarrotuliana de 4 cm, desde el borde superior de la rótula hacia proximal (fig. 4 A). Disección suprafascial roma facultando la excursión de ventana cutánea con libertad.
Se identificó el tendón cuadricipital. Se contaba con un ancho tendinoso que superaba los 2 cm a nivel inserción en rótula. Se tomaron 15 mm de ancho a nivel tendinoso suprarrotuliano con regla y se talló el injerto por misma ventana cutánea (fig. 4 B).

Figura 4: A) Incisión longitudinal de 4 cm suprarrotuliana. Rodilla en flexión de 90°. B) Visión de tendón rotuliano. Línea punteada de incisión con espesor de 15 mm.
Nota técnica
Obtención de injerto doble de tendón cuadricipital (DTC): tomando el centro del tendón cuadricipital (espesor completo) con un ancho entre 10 y 15 mm se podrían obtener dos tendones. Cada uno con un ancho de 5 mm o más y un espesor de más de 10 mm en su porción central, con una extensión de 8 a 10 cm de longitud (incluso mayor extensión, pero disminuyendo de espesor, según la variante anatómica). Incluiremos en la técnica un taco óseo realizado con microsierra o escoplo, de 1 cm de longitud máxima, con un ancho menor al del tendón para evitar una debilidad en rótula. Esto aportaría 1 cm de longitud al injerto. La profundidad del taco óseo debería respetar la superficie condral y preservaría un margen tendinoso sano a ambos lados del injerto obtenido para el posterior cierre (fig. 5). Sobre la mesa accesoria se realiza la preparación del injerto DTC. Se bifurca el injerto obtenido de forma longitudinal en el plano sagital, separando dos partes iguales (fig. 6). Preparación de los extremos de los injertos con sutura híbrida (sutura de alta resistencia – reabsorbible). Los extremos tendinosos serán moldeados con la sutura tipo Krakow para hacerlos uniformes y facilitar el ingreso a los túneles y su pasaje.

Figura 5: Injerto cuadricipital en mesa accesoria previo a la preparación. Se muestra el ancho y la longitud del injerto obtenido.

Figura 6: Preparación del injerto doble de tendón cuadricipital (DTC). LCP: ligamento cruzado posterior. LCA: ligamento cruzado anterior.
En el caso presentado obtuvimos un injerto de espesor completo de 15 mm de ancho con un taco de polo superior de rótula de 8 mm de ancho, 9 mm de largo y espesor anteroposterior de 5 mm (cortical anterior de rótula) respetando la superficie condral (ver fig. 5).
Luego de la obtención del injerto se procedió al cierre de la brecha tendinosa para evitar extravasación de líquido articular que perjudicara el campo operatorio, especialmente el tiempo de reconstrucción del LCP.
Sobre la mesa accesoria se realizó la preparación del injerto DTC.
Obtuvimos dos injertos DTC de 7 mm de ancho y un espesor mayor sobre la región distal de los injertos (13 mm) afinándose a proximal, como se describe en trabajos anatómicos (9 mm).
El diámetro de ambos tendones preparados fue de 10 mm. Uno de los injertos presentaba una mayor extensión debido a que poseía taco óseo. Este se utilizó en la reconstrucción del LCP, debido al mayor recorrido que requería la técnica empleada (ver fig. 6).
La reconstrucción artroscópica del LCP - LCA utilizada fue mediante técnica monobanda con túneles anatómicos.
Se respetaron los tendones de la pata de ganso para la reconstrucción ligamentaria medial. Completamos según técnica la realización de túneles tibial y femoral anatómicos monobanda del LCP. La reconstrucción del LCA se realizó mediante una técnica transtibial modificada (TTM). Se fijaron ambas plásticas con tornillos de interferencia de titanio (South American Implant) (figs. 7 y 8).

Figura 7: Visión artroscópica final de la reconstrucción ligamentaria de LCA y LCP con DTC.

Figura 8: Rx frente y perfil: Resultado luego de la reconstrucción anatómica de LCA y LCP. Rx perfil: detalle de huella de toma de taco óseo sobre polo superior de rotula de la toma del injerto DTC.
Indicación para la utilización del injerto DTC y su aplicabilidad
MANEJO POSTOPERATORIO
Durante el período postoperatorio el paciente permaneció veinticuatro horas internado completando esquema analgésico y profilaxis antibiótica. A las cuarenta y ocho horas del procedimiento comenzó con ejercicios de movilidad en rango 0 a 90° en forma pasiva.
Inmovilización de rodilla en extensión con férula y control de descarga de peso con muletas por cuatro semanas.
Ejercicios de activación de cuádriceps. Al mes se lograron 90° de flexión y se removieron las muletas, se pasó a ejercicios de flexoextensión activos y se sacó la férula a las seis semanas (fig. 9).
En la semana ocho se realizó nuevamente la evaluación del estado articular. Al examen físico se evidenció un bostezo medial en extensión negativo con tope neto, bostezo medial en 30° de flexión grado I (tope neto con apertura escasa en el examen comparativo). Cajón posterior negativo. Maniobras de Lachman y pivot shift negativos. Rango de movilidad completo sin dolor. Extensión activa de rodilla con fuerza muscular contra resistencia. Marcha sin asistencia con estabilidad y dinámica adecuada. Escala Lysholm y Tegner de 94 y 5, respectivamente.

Figura 9: Movilidad activa durante el primer mes postoperatorio.
Dada la buena evolución clínica del complejo ligamentario medial, se desistió de realizar el tiempo reconstructivo previamente planeado.
El paciente completó el período de rehabilitación y a los cinco meses del procedimiento se otorgó el alta laboral (figs. 10 y 11).

Figura 10: Examen físico previo al alta.

Figura 11: RM (cortes sagitales secuencia T1) de control a los cuatro meses de la reconstrucción artroscópica del LCA/LCP simple banda. Se observa ubicación anatómica de túneles. Injertos continuos en posición anatómica con intensidad heterogénea compatible con tiempo quirúrgico. Señal homogénea de tendón cuadricipital remanente sobre el aparato extensor.
DISCUSIÓN
Describimos la obtención del injerto cuadricipital ya conocida, con una variante técnica que nos permitió utilizar dos injertos independientes (DTC), lo cual hace original la presentación. Además, detallamos su preparación y aplicación. Esto nos permitió obtener injertos de calidad de un solo sitio donante de la misma rodilla lesionada y aplicarlos para reconstrucción quirúrgica del LCA y LCP. Así evitamos sumar morbilidad a un sitio “sano”.
El injerto de tendón cuadricipital (TC), comparado con el HTH o ST RI, es el menos estudiado y utilizado entre los cirujanos ortopédicos. Sin embargo, a partir de los últimos años este injerto incrementa su popularidad y se puede observar un aumento sostenido del número de publicaciones; con esta tendencia tendremos información de calidad disponible para optimizar su utilización y aplicabilidad.
El injerto de TC bifurcado en forma de “Y” con taco óseo se convirtió en el elegido para aplicar las técnicas de reconstrucción doble banda tanto del LCA como del LCP. Esto es gracias a que presenta propiedades de resistencia superiores al ligamento nativo y menor morbilidad comparado al HTH.6 En trabajos biomecánicos, el TC dividido en forma de “Y” presenta similar fuerza tensil y resistencia, tanto en el plano coronal como sagital.6-8
En nuestro caso dividimos en dos al injerto en el plano sagital para su aplicación por separado, en reconstrucciones de banda simple de LCA y LCP.
Trabajos anatómicos describen que la longitud del TC con la rodilla flexionada es en promedio de 85 mm (95% de intervalo de confianza, 78 a 95 mm) medido desde el polo superior de la rótula hasta la unión miotendinosa del recto anterior.9 El ancho promedio del tendón a nivel de inserción distal en rótula es de 27 mm, mientras que a nivel central es, en promedio, de 12 mm. El espesor anteroposterior en la zona de inserción distal medido es de 16 mm (+/- 2 mm) en mujeres y 18 mm (+/- 3 mm) en hombres.10 Sobre estas bases anatómicas sustentamos el concepto para la obtención y preparación del injerto DTC.
Un aspecto medular de discusión es sobre la potencial morbilidad del sitio donante, la que eventualmente puede generar:
a) déficit motor o fuerza en el aparato extensor y;
b) aumento del riesgo de lesión completa de este.
Trabajos biomecánicos describen las dimensiones del TC cosechado y el déficit de fuerza generado. Estos evalúan anchos de injerto central del TC de 10 mm, sin reportar diferencias significativas tomando un taco óseo o solo injerto tendinoso. Sí existen diferencias con la incidencia de complicación, describiendo la fractura al tomar el taco óseo en rótula.4
Una reciente revisión sistemática sobre resultados clínicos (Nivel de evidencia II y III) utilizando este injerto en reconstrucciones de LCA concluye en que es un injerto seguro y versátil, el cual debería ser considerado en futuros estudios.11
Comparado con los injertos ST RI y HTH autólogos, el TC reporta menor pérdida de fuerza a los seis meses y al año, también menor dolor en la región anterior de la rodilla.12-14
En el reciente trabajo de Galan y col. se reportan buenos resultados funcionales a cinco años en pacientes en los cuales se ha utilizado el TC para la reconstrucción del LCA. La descripción clásica plantea la toma de un ancho de tendón de 10 mm o mayor.15 A diferencia de esta técnica descripta por los autores, nosotros utilizamos una incisión longitudinal suprarrotuliana; esto, tal como explicamos en el caso, nos brindó la posibilidad de extender la longitud del injerto a proximal. Luego de la preparación de cada injerto logramos que pasen sin dificultad por túneles de 10 mm de ancho. Esto supera el diámetro sugerido para evitar las fallas reportadas en trabajos biomecánicos de plásticas ligamentarias.16
En el presente caso la evolución funcional fue excelente en el corto plazo. Consideramos que en pacientes de baja demanda funcional y deportiva el aumentar unos milímetros la configuración del injerto clásicamente descripta nos permite obtener dos injertos a partir de una pieza quirúrgica, sin generar un déficit motor significativo del cuádriceps, y tampoco aumentar el riesgo de lesión del aparato extensor.
Es recomendable mantener un margen tendinoso de al menos 2 mm a cada lado de la toma del injerto para la síntesis posterior. Se considera de buena técnica el cierre inmediato de la brecha (puntos de tensión en X con sutura reabsorbible) tan pronto obtenida la pieza dadora, clausurando así la comunicación articular con el exterior y de esta forma evitar la pérdida de líquido para el tiempo artroscópico.
Como complicaciones probables de la técnica se describe que el tallado excesivamente ancho del injerto expondría a la lesión de las arterias y venas que penetran medial y lateralmente el tendón cuadricipital (unión miotendinosa de los músculos vastus medialis y lateralis). Si hubiera una hemorragia intraarticular extravasada, podría generar dehiscencia del aparato extensor asociado con hematomas postoperatorias una vez retirado el manguito hemostático.17
En nuestro caso no se registró una complicación por sangrado en la zona del sitio donante.
Un aspecto importante para considerar es la secuencia quirúrgica en esta variedad de lesiones multiligamentarias de rodilla. Dependerá en cada caso de múltiples variables: la condición clínica del paciente, la disponibilidad de injertos, el estatus articular al momento del procedimiento y el grado de entrenamiento del equipo tratante. En general, hay consenso de tratar las lesiones articulares, meniscos, LCA y LCP y condrales en el primer tiempo quirúrgico.18 En el caso presentado se jerarquizó preservar los tendones ST RI ante la lesión inicial del complejo ligamentario medial, quedando disponibles para un eventual segundo tiempo reconstructivo.
Se reportan buenos resultados con la utilización de injertos alogénicos para tratar lesiones multiligamentarias. Sin embargo, en la literatura se describen complicaciones como la transmisión de enfermedades, mayor índice de fallas (mayor en pacientes jóvenes) y porcentaje aumentado de infecciones reportadas, comparadas con los grupos de pacientes en los cuales se utilizaron injertos autólogos. Además, el injerto alogénico presenta tiempos más prolongados para su integración.11
En muchos centros nacionales existen barreras de acceso a la obtención de las piezas dadoras provistas por los Bancos de Tejidos Musculoesqueléticos. La técnica que describimos de DTC puede ser de ayuda en casos donde no se puede acceder a material de banco de tejidos y no se cuenta con equipo entrenado en reconstrucciones multiligamentarias. Permite, además, prescindir de la gestión de la pieza alogénica, evita la toma múltiple de injertos de la misma rodilla, así como sumar morbilidad en una rodilla sana.
Se reconoce como limitante de este trabajo el hecho de que es la presentación de un solo caso con buenos resultados a corto plazo. Con el objetivo de obtener conclusiones sólidas desde el punto de vista metodológico, sería necesario contar con serie de casos más representativas.
CONCLUSIÓN
Describimos la obtención de dos injertos de calidad autólogos, tomados a partir de un único injerto cuadricipital mediante técnica DTC no descripta en la literatura. Se detalló la preparación para utilización en la reconstrucción artroscópica del pívot central (LCA y LCP) en un paciente de baja demanda. Es un procedimiento técnicamente fácil de reproducir y aplicable.
Presentamos la técnica como opción ante lesiones multiligamentarias de rodilla evitando mayor morbilidad del sitio donante, así como para los casos en los cuales no se pudiera contar con la posibilidad de acceso a injertos alogénicos. La evolución a corto plazo es óptima.
Se debería evaluar un mayor número de pacientes a fin de determinar el impacto funcional aplicando esta técnica.
BIBLIOGRAFÍA