Sobrevida y complicaciones del uso de prótesis abisagrada en artroplastia de revisión y primaria compleja de rodilla
Eduardo Abalo; Ezequiel Ortiz; Andrés Mallea; Norberto Pinotti; Juan Pablo Previgliano
Centro de Educación Médica e Investigaciones Clínicas (CEMIC), Buenos Aires, Argentina
Eduardo Abalo
badiabalo@yahoo.com
Recibido: mayo de 2020
RESUMEN
El propósito de este trabajo fue realizar una evaluación retrospectiva, clínica y radiológica, de una serie de pacientes intervenidos quirúrgicamente de una artroplastia total de rodilla con prótesis abisagrada, analizando las causas de falla y complicaciones en el corto y mediano plazo.
Se evaluaron un total de veinticuatro prótesis abisagradas de rodilla en reconstrucciones no oncológicas. Trece fueron mujeres y once, hombres, con un promedio de setenta y dos años (cincuenta y tres a ochenta y siete años). El seguimiento promedio fue de cuarenta meses (rango de veinte a setenta meses). En once pacientes la cirugía realizada fue una artroplastia primaria compleja y en trece casos, una cirugía de revisión protésica. Se realizó un examen radiográfico y una evaluación clínica y funcional en el preoperatorio y en el último control mediante la utilización del score de la Knee Society (KSS).
Siete pacientes (29%) presentaron complicaciones mayores dentro del primer año de seguimiento; tres pacientes evidenciaron una luxación patelofemoral y dos pacientes presentaron una luxación femorotibial de la prótesis por ruptura del componente abisagrado. El puntaje promedio de la evaluación clínica mediante el score del KSS fue de 36 en preoperatorio (rango 22 a 54 puntos) y de 78 puntos promedio en el último control (rango 56 a 95 puntos), lo que implica una mejora de 42 puntos. La sobrevida del implante fue de 92% a los cuarenta meses. No se observaron diferencias funcionales significativas al comparar los pacientes con artroplastias primarias con aquellos pacientes con artroplastias de revisión.
La utilización de implantes abisagrados en artroplastias complejas de rodilla primarias, o de revisión, presentó resultados funcionales y radiológicos aceptables, con una sobrevida del implante del 92% en el mediano plazo, sin embargo, se observa un elevado índice de complicaciones.
Palabras clave: Reemplazo Total Rodilla; Prótesis Abisagrada; Complicaciones; Luxación; Aparato Extensor
Nivel de evidencia: IV
Tipo de estudio: Serie de casos
ABSTRACT
The purpose of this study was to retrospectively evaluate a series of patients who underwent surgery for a total knee arthroplasty with a hinged prosthesis and determinate clinical and radiological outcomes, analyzing the causes of failure and complications in the short and medium term.
A total of twenty-four hinged knee prostheses were evaluated in non-oncological reconstructions. Thirteen were women and eleven men, with an average age of seventy-two years (fifty-three to eighty-seven years). The average follow-up was forty months (range from twenty to seventy months). In eleven cases the patients underwent a complex primary arthroplasty and in thirteen cases a prosthetic revision surgery. Radiographic control and clinical and functional evaluation are performed preoperatively and in the last control using the Knee Society Score (KSS).
Seven patients (29%) have a major complication in the first year of follow-up, three patients with an extensor mechanism dislocation and two patients with a prosthetic dislocation because a rupture of the hinged component. The average clinical evaluation KSS score was 36 in the preoperative (range 22 to 54 points) and 78 average points in the last control (range 56 to 95 points), which an improvement of 42 points. Implant survival was 92% at forty months. There are no differences between patients with primary arthroplasties with those with revision arthroplasties.
The use of hinged implants in complex primary, or revision knee arthroplasties, provides acceptable functional and radiological results with an implant survival of 92% in the medium term, however we observed a high rate of complications.
Key words: Total Knee Replacement; Hinged Prosthesis; Complications; Dislocation; Extensor Mechanism
Level of evidence: IV
Type of study: Case series
INTRODUCCIÓN
La artroplastia total de la rodilla es un procedimiento quirúrgico eficaz con altos índices de supervivencia, y es el tratamiento de elección en casos de estadios avanzados de artrosis de rodilla. La clave para que este resultado sea exitoso va a depender, entre otros factores, de lograr una alineación articular óptima restaurando un balance ligamentario adecuado que permita obtener una rodilla estable con un rango de movilidad normal.1-4
En general, un diseño protésico estabilizado posterior permite obtener una articulación estable de manera eficiente con liberación ligamentaria intraoperatoria, o sin esta, y es poco frecuente el uso de implantes con una estabilización aumentada en artroplastias primarias. Sin embargo, en pacientes que presentan una inestabilidad ligamentaria previa, un severo deseje o enfermedades neurológicas, es motivo de controversia el grado de constricción al momento de seleccionar el implante.5-10 Si bien una inestabilidad en el plano coronal puede ser tratada con un implante constreñido, el cual tiene un poste más ancho y alto que el estabilizado posterior, estos requieren cierto grado de suficiencia ligamentaria. Aquellos pacientes con una inestabilidad ligamentaria severa, déficits óseos masivos o un inadecuado balance ligamentario intraoperatorio pueden necesitar un grado de constricción total con la utilización de un implante abisagrado.5, 7, 8, 11, 12
Las prótesis abisagradas son mecánicamente estables en todas las direcciones y no necesitan ninguna suficiencia ligamentaria. Sin embargo, según la literatura, la tasa de complicaciones de estos implantes es elevada debido a que esta mayor constricción implicaría un mayor riesgo de aflojamiento mecánico por aumento del estrés a las interfases y, potencialmente, un mayor desgaste o ruptura de los elementos de estabilización.13-18
El objetivo de este trabajo fue realizar una evaluación retrospectiva clínica y radiológica de una serie de pacientes intervenidos quirúrgicamente de una artroplastia total de rodilla primaria o de revisión con prótesis abisagrada, analizando las causas de falla y complicaciones en el corto y mediano plazo.
MATERIAL Y MÉTODOS
Se evaluaron retrospectivamente un total de veinticuatro artroplastias totales de rodilla con prótesis abisagradas en reconstrucciones no oncológicas, tratadas quirúrgicamente en nuestra institución entre enero del 2012 y diciembre del 2017. El protocolo correspondiente fue aprobado por el comité de ética institucional respetando lo versado por la declaración de Helsinki. La base de datos fue confeccionada por dos médicos especialistas (E.O., A.M.) mediante los datos obtenidos en la historia clínica electrónica, y realizaron ellos mismos el seguimiento de los pacientes.
Trece fueron mujeres y once, hombres, con un promedio de setenta y dos años (cincuenta y tres a ochenta y siete años). El seguimiento mínimo fue de veinte meses, con un promedio de cuarenta meses (rango de veinte a setenta meses). Los criterios de inclusión para conformar la serie fueron: insuficiencia del ligamento medial o lateral, genu varo o valgo severo (mayor a 20°), defectos óseos que comprometan inserciones ligamentarias colaterales, secuela traumática de fémur distal con insuficiencia ligamentaria, disbalance ligamentario en artroplastia de revisión, enfermedades desmielinizantes y enfermedad de Parkinson. Los criterios de exclusión fueron: artrosis primarias simples y endoprótesis abisagradas por resecciones oncológicas del fémur distal o de la tibia proximal.
En once pacientes la cirugía realizada fue una artroplastia primaria compleja. Los diagnósticos al momento de la colocación de los implantes abisagrados en estas artroplastias fueron:

Figura 1: Caso 17. A y B) Paciente de setenta y ocho años con genu valgo severo. C y D) Artroplastia total de rodilla con prótesis abisagrada Endo-Model.
Trece intervenciones quirúrgicas fueron revisiones protésicas:

Figura 2: Caso 16. A y B) Paciente de setenta y dos años con un espaciador de cemento en rodilla derecha secundario a una infección protésica previa. C y D) Radiografías de frente y perfil a los tres años de seguimiento de prótesis abisagrada de rodilla Endo-Model.

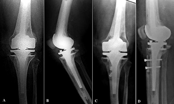
Figura 3: Caso 22. Artroplastia de rodilla derecha a los veintitrés años de seguimiento. A y B) Radiografías frente y perfil donde se observan signos de aflojamiento y de incompetencia del ligamento colateral medial en la radiografía con estrés. C y D) Control radiográfico frente y perfil de implante protésico abisagrado a los veintidós meses de seguimiento.
Excluimos de esta serie aquellos pacientes en los cuales utilizamos endoprótesis abisagradas por resecciones oncológicas del fémur distal o de la tibia proximal.
Se utilizaron distintos modelos protésicos: diecinueve prótesis abisagradas rotatorias (Endo-Model®; Link en quince casos; y Rotax, FII SA®, Saint-Just-Malmont, Francia, en cuatro oportunidades), y cinco endoprótesis abisagradas de fémur distal (Tabla 1).
TABLA 1. DATOS DEMOGRÁFICOS, COMPLICACIONES Y RESULTADOS
|
G |
Edad |
Seg (m) |
Cirugía |
Diagnóstico |
Implante |
Complicaciones |
KSS |
1 |
M |
75 |
70 |
Revisión |
Aflojamiento protésico |
Endo-Model |
- |
80 |
2 |
F |
67 |
64 |
Revisión |
Inestabilidad protésica |
Rotax |
Luxación protésica |
56 |
3 |
F |
67 |
60 |
Revisión |
Inestabilidad protésica |
Endo-Model |
- |
90 |
4 |
F |
70 |
58 |
Revisión |
Infección protésica |
Endo-Model |
Ruptura cuádriceps |
75 |
5 |
M |
54 |
56 |
Primaria |
Secuela fractura fémur |
Endo-Model |
- |
77 |
6 |
M |
53 |
53 |
Primaria |
Anquilosis rodilla |
Endo-Model |
- |
79 |
7 |
F |
65 |
50 |
Primaria |
Genu valgo severo |
Rotax |
Luxación protésica |
73 |
8 |
F |
82 |
50 |
Revisión |
Infección protésica |
Endoprótesis |
- |
92 |
9 |
M |
85 |
49 |
Revisión |
Infección protésica |
Rotax |
- |
88 |
10 |
F |
86 |
48 |
Revisión |
Fractura periprotésica |
Endoprótesis |
Luxación rotuliana |
58 |
11 |
M |
87 |
44 |
Revisión |
Infección protésica |
Rotax |
- |
77 |
12 |
F |
60 |
41 |
Revisión |
Inestabilidad protésica |
Endo-Model |
Luxación rotuliana |
74 |
13 |
M |
58 |
39 |
Primaria |
Enf. neurológica |
Endo-Model |
- |
93 |
14 |
M |
87 |
38 |
Primaria |
Genu valgo severo |
Endo-Model |
Luxación rotuliana |
65 |
15 |
F |
71 |
38 |
Primaria |
Secuela fractura fémur |
Endoprótesis |
- |
79 |
16 |
M |
72 |
35 |
Revisión |
Infección protésica |
Endo-Model |
- |
81 |
17 |
F |
78 |
27 |
Primaria |
Genu valgo severo |
Endo-Model |
- |
81 |
18 |
F |
67 |
26 |
Revisión |
Infección protésica |
Endo-Model |
- |
79 |
19 |
F |
76 |
26 |
Primaria |
Secuela fractura fémur |
Endo-Model |
- |
68 |
20 |
M |
73 |
24 |
Primaria |
Enf. Parkinson |
Endo-Model |
- |
95 |
21 |
M |
58 |
24 |
Primaria |
Enf. neurológica |
Endo-Model |
- |
95 |
22 |
F |
79 |
22 |
Revisión |
Aflojamiento protésico |
Endo-Model |
- |
90 |
23 |
M |
72 |
20 |
Revisión |
Secuela de fractura |
Endoprótesis |
- |
74 |
24 |
F |
78 |
20 |
Primaria |
Secuela de fractura |
Endoprótesis |
Rigidez |
64 |
En las seis revisiones por infección periprotésica previa, la intervención se realizó en dos tiempos. En el primer tiempo quirúrgico se retiró el implante primario y se colocó un espaciador de cemento articulado, y posteriormente se efectuó el tratamiento antibiótico indicado por el servicio de infectología. Una vez normalizados los parámetros de laboratorio (proteína C reactiva, eritrosedimentación y eventualmente dímero D) y previa toma de muestras para cultivos con resultados negativos, se realizó el reimplante protésico en un segundo tiempo.
En cuanto a la técnica quirúrgica, se utilizó anestesia raquídea asociada a bloqueo femoral. Se realizó un abordaje anterior de rodilla, seguido de una artrotomía pararrotuliana medial y luxación de la rótula hacia lateral. En un primer momento se preparó el fémur distal mediante una esqueletización de los cóndilos posteriores, prestando especial cuidado en las estructuras vasculares vecinas. Mediante fresas manuales se labró el canal femoral para colocar el vástago y luego se realizaron los cortes anteriores, distales y posteriores para colocar el implante definitivo, respetando su óptima rotación. Para ello, como referencia, se empleó el eje bicondíleo y la línea áspera de la cortical posterior del fémur. El corte tibial se realizó con guía endomedular, respetando la rotación para un correcto encarrilamiento patelar. Por último, se comprobó el tamaño, la estabilidad y la movilidad articular con los componentes de prueba para, finalmente, colocar los implantes definitivos que fueron cementados en todos los casos. El cementado se efectuó en dos tiempos mediante técnica presurizante, y se colocó un drenaje hemosuctor por las primeras veinticuatro a cuarenta y ocho horas.
La rehabilitación postoperatoria consistió en movilidad articular precoz a las veinticuatro horas de la cirugía, con movimientos de flexo-extensión y contracción isométrica del cuádriceps. A las cuarenta y ocho horas promedio, deambulación con andador. Todos los pacientes siguieron el mismo protocolo de rehabilitación.
Se realizaron exámenes clínicos funcionales y radiográficos a los tres, seis y nueve meses del procedimiento quirúrgico y, posteriormente, anuales hasta finalizar el seguimiento. Los resultados fueron evaluados en el preoperatorio y en el último control mediante la utilización del score de la Knee Society validada al español (KSS© by The Knee Society), que consta de un primer puntaje de la rodilla que evalúa dolor, estabilidad y rango de movilidad, del 0 al 100, y con un segundo puntaje otorgado para la función de la rodilla con los mismos valores.19 Los cambios en el KSS se evaluaron mediante la prueba t de Student y el nivel de significancia se estableció en p<0.05. Se compararon los resultados funcionales y el índice de complicaciones entre los pacientes con artroplastias primarias y aquellos con artroplastias de revisión.
Se realizaron controles radiológicos de los componentes mediante la utilización de radiografías anteroposteriores, laterales y axiales de la rodilla en el último control. Mediante la utilización del sistema Vue Motion Carestream digital, se analizó la posición del implante y se objetivaron los signos de radiolucencias o presencia de áreas de osteólisis en los componentes del fémur y la tibia. Se definió como línea de radiolucencia a la distancia entre el hueso y el cemento mayor a 2 mm, y estas fueron comparadas con radiografías previas para determinar evidencia de progresión y posible aflojamiento.20
Se evaluó la estimación de la función de supervivencia del implante por el método de Kaplan-Meier (no paramétrico), el punto de corte fue el aflojamiento aséptico con la consecuente revisión del implante protésico o su ruptura.
RESULTADOS
Se evaluaron retrospectivamente veinticuatro rodillas en veintitrés pacientes. Siete pacientes (29%) presentaron complicaciones mayores dentro del primer año de seguimiento: tres pacientes presentaron una luxación patelofemoral (12%); dos pacientes, una luxación femorotibial de la prótesis por ruptura del componente abisagrado (8%); uno presentó una disrupción del tendón del cuádriceps; y en un caso se observó un déficit de extensión severo. Los dos pacientes que presentaron una falla mecánica temprana del implante, manifestándose como una luxación protésica, fueron con el mismo modelo (Rotax, FII SA®, Saint-Just-Malmont, Francia). Se observó la ruptura del buje de polietileno de la bisagra en ambos pacientes al momento de realizar la revisión quirúrgica. Uno de ellos fue resuelto con una revisión de la prótesis con otro implante abisagrado rotatorio Endo-Model® (Link), mientras que en la paciente restante se optó por cambiar el buje de polietileno dañado. De los tres casos de luxación patelofemoral, en un paciente se realizó una anteromedialización de la tuberosidad tibial anterior con buenos resultados al último control (fig. 4); mientras que los dos pacientes restantes no aceptaron ningún tratamiento quirúrgico y fueron tratados de forma conservadora mediante rehabilitación y soporte externo. Cuatro de estas complicaciones ocurrieron en cirugía de revisión y tres, en artroplastias primarias. No se registraron infecciones en la serie estudiada.

Figura 4: Caso 12. A y B) Paciente de sesenta años con implante abisagrado que presenta una inestabilidad rotuliana con múltiples episodios de luxación patelofemoral. C y D) Control postoperatorio donde se observa una osteotomía con medialización de la tuberosidad anterior de la tibia.
El puntaje promedio de la evaluación clínica mediante el Knee Society Score mejoró (p<0.001) de 36 puntos en el preoperatorio (rango 22 a 54 puntos) y de 78 puntos promedio en el último control (rango 56 a 95 puntos), lo que implica una mejoría de 42 puntos. El resultado respecto a la escala de la KSS fue considerado excelente o bueno en dieciocho casos (75%); regular, en cuatro (17%); y pobre, en dos pacientes (8%). El puntaje funcional según el score de la KSS mejoró de un promedio de 37 puntos en el preoperatorio (rango de 20 a 50 puntos) a un promedio de 80 puntos en el último control (rango 55 a 100 puntos) (p<0.001).
Al analizar los resultados clínicos según el score de KSS en el último control, no hubo diferencias significativas al comparar los pacientes con artroplastias primarias (79 puntos promedio, rango 64 a 95 puntos) con aquellos pacientes con artroplastias de revisión (77 puntos promedio, rango 56 a 92 puntos) (p= 0.893).
En la evaluación radiológica, se detectaron líneas radiolúcidas menores a 2 mm en seis pacientes alrededor de los vástagos, sin embargo, estas líneas no fueron progresivas al compararlas con estudios iniciales. No se observaron evidencias radiográficas de osteólisis masivas o de desgaste del polietileno.
La sobrevida del implante fue de 92% a los cuarenta meses (Tabla 2).
TABLA 2. GRÁFICO DE KAPLAN-MEYER

Tabla 2: Se observa una sobrevida del implante del 92.3 % a los cuarenta meses de seguimiento.
DISCUSIÓN
La inestabilidad posterior a una artroplastia de rodilla primaria o de revisión es una de las causas más frecuentes de falla de dicho procedimiento. Esta complicación puede prevenirse con una correcta técnica quirúrgica que permita obtener un óptimo balance ligamentario y una adecuada selección del implante. La utilización de una prótesis abisagrada fue inicialmente considerada en la literatura como un procedimiento de salvataje en pacientes de baja demanda con deficiencia ligamentaria severa, con resultados poco alentadores. Esto se debe, probablemente, a que los primeros diseños consistían en verdaderas bisagras que solo permitían movimientos de flexo-extensión, transmitían de esta manera las fuerzas torsionales directamente hacia la interfaz hueso-implante generando un mayor riesgo de aflojamiento mecánico y potencialmente un mayor desgaste o ruptura de los elementos de estabilización.21-23
Las prótesis abisagradas rotatorias actuales permiten movimientos de rotación imitando la biomecánica normal de la marcha, y disminuyen las fuerzas transmitidas a la interfaz cemento-hueso. Estas mejoras en el diseño de los implantes de tercera generación han logrado disminuir los índices de falla mencionados previamente, y según estudios recientes publicados en la literatura, optimizaron los resultados a largo plazo.7, 8, 11, 12, 24, 25
Gehrke y cols. reportaron un aflojamiento del 0.5% en doscientos treinta y ocho casos de artroplastias primarias con prótesis abisagradas a los trece años de seguimiento.11 En otra publicación actual, los autores reportaron una tasa de revisión del 4.5% de aflojamiento aséptico a los diez años de seguimiento.26 Petrou y cols. evaluaron cien pacientes a los once años de seguimiento utilizando la prótesis Endo-model y obtuvieron un 91% de resultados buenos o excelentes.24 Joshi y cols. utilizaron una prótesis abisagrada rotatoria en setenta y ocho artroplastias de revisión por aflojamiento aséptico y se observó un 73% de excelentes resultados con extensión completa y un rango de flexión de 104° promedio.5
Aunque los resultados funcionales son alentadores en publicaciones actuales, la utilización de las prótesis abisagradas continúa siendo controvertida, principalmente en artroplastias primarias y en pacientes jóvenes. Deformidades severas en varo o en valgo irreductibles, insuficiencia de los ligamentos colaterales, enfermedades neuromusculares o severa rigidez articular son principalmente las indicaciones descriptas por distintos autores para su uso en artroplastias primarias. En casos de revisión protésica, la inestabilidad ligamentaria luego de una artroplastia primaria, un defecto óseo significativo que afecte la inserción ligamentaria o un inadecuado balance de la brecha de flexión y extensión son situaciones en las cuales es necesaria una constricción total.6, 11, 12, 24-26
De los veinticuatro pacientes evaluados en nuestra serie, trece fueron revisiones complejas, la mayoría secundaria a una infección periprotésica previa. La indicación del uso del componente abisagrado en estos casos se basó principalmente en la pérdida de la estabilidad articular previa por deficiencia ligamentaria o por déficit óseo severo que comprometía estructuras estabilizadoras. En las once artroplastias primarias, se consideró la utilización de una prótesis de constricción total en aquellos desejes severos con incompetencia ligamentaria, en casos con necesidad de resecciones amplias debido a secuelas traumáticas, o en pacientes con enfermedad neuromuscular. No se observaron diferencias significativas en los resultados funcionales, sobrevida del implante o complicaciones al comparar las artroplastias primarias con las de revisión.
Deehan y cols. reportaron resultados favorables con el uso de prótesis rotatorias abisagradas en cirugías reconstructivas de salvataje, incluidas quince artroplastias primarias y cincuenta y siete cirugías de revisión, sin diferencias entre ambos grupos.9 Sanguineti comparó los resultados clínicos en cuarenta y cinco pacientes operados con implante Endo-Model, veinticinco casos en cirugía primaria y veinte en cirugía de revisión, con una sobrevida del 93% a los cinco años de seguimiento.27
Una revisión bibliográfica reciente reporta que los implantes abisagrados rotatorios actuales tienen una adecuada sobrevida entre 51 a 92% a los diez años, con índices de complicaciones que van desde el 9 al 63%.28 Aquellos autores que han reportado elevados índices de complicaciones a corto y mediano plazo con implantes abisagrados destacan, además del aflojamiento mecánico, la infección, la luxación protésica y los trastornos del aparato extensor como las complicaciones más frecuentes.13-18, 29, 30, 32, 34 Ghenoun y cols. reportaron 28% de complicaciones en ochenta y cinco pacientes, con nueve infecciones y cuatro fallas patelofemorales.13 Westrich y cols. observaron 12% de complicaciones en veinticuatro rodillas a los tres años de seguimiento;29 y Smith y cols., un 46% en ciento once artroplastias abisagradas rotatorias, y el riesgo de falla fue mayor en pacientes con secuelas traumáticas previas.15 En otro estudio, los autores encontraron un alto índice de mortalidad y complicaciones (38% a los cinco años) y las principales fueron la infección y las fallas del aparato extensor.30
En nuestra serie encontramos una mejoría en cuanto a la función, clínica, dolor y rango de movilidad comparado con el preoperatorio con una sobrevida del implante del 92% a los cuarenta meses, aunque casi el 30% de los pacientes evaluados presentaron alguna complicación mayor dentro del primer año postoperatorio, lo cual coincide con la literatura. Un mayor seguimiento es necesario para determinar y objetivar complicaciones tardías relacionadas con este tipo de implante y evaluar su supervivencia a largo plazo.
Si bien los diseños actuales han mejorado la congruencia patelofemoral, los trastornos del aparato extensor son relativamente frecuentes en las prótesis abisagradas; Springer y cols. reportaron un 13% de complicaciones rotulianas en una serie de ciento ochenta y ocho pacientes;31 y Rand y cols. publicaron un 22% de complicaciones del aparato extensor en treinta y ocho pacientes.4
Este mayor índice de complicaciones rotulianas probablemente se deba, entre otros factores, al mayor estrés soportado por el aparato extensor secundario a la rigidez que genera la constricción total del implante.17 En nuestra serie reportamos cuatro pacientes con problemas del aparato extensor (15%): tres casos con una luxación patelofemoral recidivante y uno con una ruptura del tendón del cuádriceps.
La luxación protésica por falla del mecanismo abisagrado esta descripta en la literatura con una incidencia del 2 al 10%. La ruptura del buje de polietileno, la ruptura del poste metálico o del inserto tibial por fatiga, o la ruptura del mecanismo antiluxación son causas que pueden producir esta grave complicación.14, 16, 17, 32, 34 Wang y cols. reportaron la ruptura del buje de polietileno del componente femoral de la bisagra a los cinco meses de implantar una prótesis Endo-Model;14 y otros autores, en una serie de noventa y ocho pacientes, reportaron nueve casos de ruptura del mecanismo abisagrado.33 En nuestra serie informamos dos pacientes (8%) con una luxación protésica secundaria a la ruptura del buje de polietileno del mecanismo de bisagra, un porcentaje similar al descripto en la literatura (fig. 5). Ambos casos ocurrieron con la utilización del mismo tipo de implante (Rotax, FII SA®, Saint-Just-Malmont, Francia), lo que representa el 50% de los pacientes con dicho implante de nuestra serie. Similar complicación con este implante fue reportada por Gómez y cols. del Hospital Británico de Buenos Aires.34

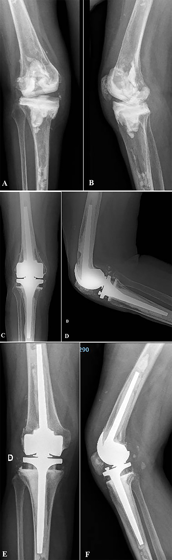
Figura 5: Caso 2. A y B) Paciente de sesenta y siete años con prótesis abisagrada Rotax, FII SA®, Saint-Just-Malmont, Francia. Radiografía de frente y perfil donde se observa una luxación posterior de rodilla. C) Imagen clínica de la luxación protésica. D) Imagen intraoperatoria donde se observa la ruptura del polietileno del componente femoral. E y F) Revisión protésica con prótesis abisagrada Endo-Model, seguimiento a los cinco años.
CONCLUSIÓN
Nuestro estudio tiene algunas limitaciones; es un diseño retrospectivo no controlado, que combina un grupo de pacientes con distintos diagnósticos preoperatorios en los cuales se utilizaron diferentes modelos de implantes.
El uso de una prótesis abisagrada en pacientes no oncológicos es considerado en la literatura como un procedimiento de salvataje y, generalmente, debe limitarse su indicación a rodillas inestables con deficiencia ligamentaria severa o revisiones complejas con defectos óseos que afecten las estructuras ligamentarias.35 Aunque los reportes actuales con bisagras rotatorias son alentadores en cuanto a resultados funcionales y sobrevida del implante, las tasas de revisión y de complicaciones continúan siendo elevadas. La utilización de implantes abisagrados rotatorios en artroplastias de rodilla primarias o de revisión presentó resultados funcionales y radiológicos aceptables a corto y mediano plazo, con una sobrevida del implante del 92%.
Si bien en la serie de casos evaluada observamos un elevado índice de complicaciones, consideramos que es una opción recomendable en casos seleccionados con incompetencia ligamentaria o defectos óseos en los cuales no es factible implementar un menor nivel de constricción.
BIBLIOGRAFÍA