Enfermedad de Trevor con compromiso del tendón rotuliano. Reporte de un caso
Trevor disease with compromise of the patellar tendon. Case report
Andrés Zuain, Ignacio García Mansilla, Juan Zícaro, Carlos Yacuzzi, Matías Costa Paz
Hospital Italiano de Buenos Aires, Argentina
andres.zuain@hospitalitaliano.org.ar
Recibido: junio de 2020
RESUMEN
La enfermedad de Trevor, o displasia epifisaria hemimélica, se caracteriza por una tumoración o sobrecrecimiento osteocartilaginoso asimétrico epifisario. La presentación clínica es muy variable y depende de la localización de la lesión. Puede ser tratada de manera conservadora, y en casos sintomáticos o de un gran crecimiento, el tratamiento suele ser la resección quirúrgica. Una minuciosa evaluación, con un correcto examen físico e imágenes, es de vital importancia para la planificación y pronóstico de esta patología.
Presentamos el caso de un paciente masculino de cuarenta y nueve años con enfermedad de Trevor en la cara anterior de la rodilla que además involucra al tendón rotuliano. Se logró la resección quirúrgica de la lesión conservando la indemnidad del tendón con buenos resultados funcionales.
Nivel de evidencia: V
Palabras clave: Enfermedad de Trevor; Displasia Epifisaria Hemimélica; Tendón Rotuliano; Quiste Pretibial
Tipo de estudio: Reporte de Casos
ABSTRACT
Dysplasia epiphysealis hemimelica, also known as Trevor Fairbank disease, is characterized by asymmetrical osteochondral overgrowth of the epiphyseal cartilage. The clinical presentation of this disease is wide and variable, depending on the site of the lesion. Treatment could be conservative or surgical depending on the size of the lesion or clinical symptoms. A proper physical examination and imaging studies is vital for the preoperative planning and prognosis of this disease.
We present a 49-years old male with Trevor's disease located in the tibial tuberosity of the knee that compromises the patellar tendon. The surgical excision of the lesion was achieved preserving integrity of the tendon with very good clinical outcome.
Keywords: Trevor Disease; Dysplasia Epiphysealis Hemimelica; Patellar Tendon; Pretibial Cyst
Type of study: Case Report
Level of Evidence:V
INTRODUCCIÓN
La enfermedad de Trevor, también conocida como displasia epifisaria hemimélica (DEH), se caracteriza por un sobrecrecimiento osteocartilaginoso asimétrico epifisario. Su presentación clínica depende de la localización de la lesión y es muy variable. Puede manifestarse de manera asintomática o con dolor mecánico, con disminución del rango de movilidad o incluso gran deformidad.
Presentamos un caso con enfermedad de Trevor localizada en la tuberosidad anterior de la tibia con compromiso del tendón rotuliano.
PRESENTACIÓN DEL CASO
Evaluación del paciente
Paciente masculino de cuarenta y nueve años. Al examen físico presentaba una rodilla estable, sin derrame articular y con un rango de movilidad completo. Se palpó una gran tumoración dura, dolorosa, no móvil a nivel de la tuberosidad anterior de la tibia (TAT) (fig. 1). La única sintomatología era dolor al correr o practicar deporte (fútbol). Según refería el paciente, el tamaño de la tumoración no se había modificado en los últimos tres años, pero el dolor era cada vez más limitante.
Figura 1: Obsérvese la tumoración en TAT de la rodilla izquierda comparada con la rodilla contralateral (1a) y el diámetro de la lesión (1b).
Diagnóstico por imágenes
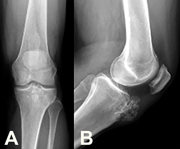
En las radiografías (Rx) se observó una tumoración vellosa con múltiples calcificaciones sobre la TAT, edema y engrosamiento del tendón rotuliano (TR). Se advirtió, además, una imagen esclerosa medular de bordes netos en la región metafiso-diafisaria distal del fémur (fig. 2).

Figura 2: Radiografía de frente (2a) y perfil (2b). Véase la tumoración a nivel anterior de la TAT con múltiples calcificaciones. Imagen en canal medular del fémur con bordes escleróticos.
La tomografía computada (TC) reveló una lesión exofítica de contornos irregulares, dependiente de la TAT. Algunas de estas calcificaciones eran subyacentes al TR y otras impresionaban intratendinosas. Además, se observó una imagen endomedular, de contornos netos escleróticos, con patrón de vidrio esmerilado, con contacto con la cortical posterior, sin causar reacción perióstica, ubicada en el sector diafiso-metafisiario distal del fémur (fig. 3).

Figura 3: Corte axial (3a) y sagital (3b) de TAC donde se observa la lesión exofítica de contornos irregulares, dependientes de la TAT. En la metáfisis femoral puede observarse además la lesión esclerosa de bordes bien delimitados (3b).
En la resonancia magnética (RM) se pudieron identificar ciertas fibras del TR indemnes, llegando a la inserción distal (fig. 4a) y otras zonas afectadas intrasustancia (fig. 4b). Además, se pudo caracterizar la imagen en el fémur como una displasia fibrosa del fémur distal (fig. 4c).

Figura 4: Cortes sagitales de RM en los que se observan las fibras indemnes del tendón rotuliano (4a) y aquellas comprometidas prácticamente en su totalidad por la tumoración (4b). En el corte coronal (4c) se observa la imagen característica de una displasia fibrosa en fémur distal.
Diagnósticos diferenciales
Se plantean como diagnósticos diferenciales: enfermedad de Trevor, una secuela de Osgood-Schlatter o un osteocondroma. Para establecer este diagnóstico se realizó una biopsia por punción de ambas lesiones guiada por TC (fig. 5).
El resultado de la anatomía patológica informó una proliferación osteocartilaginosa sin atipías la cual, asociada a las características radiológicas, corresponde a una displasia epifisaria hemimélica. En cuanto a la lesión del fémur, los hallazgos histológicos refieren a una displasia fibrosa.

Figura 5: Se observa el sitio de la biopsia guiada bajo TAC en un corte axial de la tibia (5a) y del fémur (5b).
TRATAMIENTO
Debido a la clínica del paciente y al tamaño de la lesión, se planteó la resección quirúrgica. El principal desafío fue lograr la resección del tumor preservando la totalidad del tendón rotuliano.
Se realizó primero una artroscopía exploratoria para evaluación del cartílago articular, meniscos y posibles cuerpos libres.
Luego, se efectuó un abordaje anterior a la TAT. La tumoración se encontraba posterior al TR. Se comenzó por resecar la porción del tumor medial y lateral al TR. Posteriormente se realizó una incisión longitudinal sobre la línea media del tendón para liberar el tercio medio de la lesión (fig. 6). Se logró conservar la indemnidad del TR ya que la tumoración se encontraba posterior al tendón, y no adherido al mismo.

Figura 6: Imágenes intraoperatorias. Resección vista anterior (a) y medial (b) al TR de la tumoración. Luego de la incisión longitudinal del TR se liberó y resecó el tercio medio de la tumoración (c) hasta su resección completa, preservando la totalidad del TR (d).
Luego de la cirugía el resultado de la anatomía patológica confirmó el diagnóstico: “proliferación osteocartilaginosa sin atipías” (fig. 7), compatible con una displasia epifisaria hemimélica o enfermedad de Trevor.

Figura 7: Imagen histológica de la anatomía patológica en la que se observa una proliferación osteocartilaginosa sin atipias. TC: tejido cartilaginoso; TO: tejido óseo.
Se efectuó un control clínico y radiográfico a los seis meses. Clínicamente, el paciente presentaba movilidad completa, sin dolor y ausencia total de la lesión (fig. 8). Ya se encontraba realizando actividad física de impacto. En la Rx se constató la resección completa de la tumoración (fig. 9).
Mediante los valores de las escalas de Lysholm, escala visual análoga (EVA) y escala de Tegner puede observarse su mejoría (Tabla 1).

Figura 8: Evolución clínica de frente (a), superior (b) y perfil (c) a tres meses postoperatorio donde se observa la ausencia de la protuberancia a nivel de la TAT (tuberosidad anterior de la tibia).

Figura 9: Imagen de radiografía comparativa preoperatoria (a) y a los tres meses postoperatorios (b). Nótese la resección completa de la tumoración preservando la altura rotuliana.
Tabla 1: Escalas pre y postoperatorias. EVA: escala visual análoga
Tabla 1: Escalas pre y postoperatorias. EVA: escala visual análoga |
||
|
Preoperatorio |
Postoperatorio |
Lysholm |
64 |
94 |
EVA |
8 / 10 |
1 / 10 |
Tegner |
5 |
7 |
DISCUSIÓN
La enfermedad de Trevor es un raro desorden del desarrollo, caracterizada por sobrecrecimiento osteocondral epifisario asimétrico. La etiología no es del todo clara y se supone producto de una alteración congénita que afecta las etapas tempranas del desarrollo durante la vida fetal o por proliferación anormal de condrocitos. No se la considera una enfermedad hereditaria y no ha sido reportada una transformación maligna. Las articulaciones más afectadas son el tarso y la rodilla, donde suele ser unicompartimental.
La frecuencia se estima en una por millón de nacimientos y es más frecuente en varones en una proporción de 3:1. Algunos estudios coinciden en que quizás la incidencia sea algo mayor, pero por un diagnóstico inadecuado sea tratada como osteocondromas (tumores benignos) aislados.1
Su presentación clínica es muy variable y depende de la localización de la lesión.2 Cuando se encuentra próxima a una articulación, suele ser asintomática, limitar el rango de movilidad y presentarse como deformidad. En nuestro caso la principal manifestación clínica fue dolor localizado en la tumoración.
Lang y cols. remarcaron la importancia de estudiar esta patología con RM complementaria a las radiografías. La RM permite demostrar con mayor detalle la estirpe cartilaginosa de la lesión, el origen epifisario y principalmente la localización y el plano de clivaje, fundamentales para la planificación quirúrgica.3, 4
En la programación preoperatoria de nuestro caso, la RM fue fundamental para delimitar la relación entre la tumoración y el tendón rotuliano. Si bien en la planificación el compromiso del TR parecía importante, después de la extracción de la tumoración no fue necesaria una reinserción del mismo.
Luego de una evaluación artroscópica de la articulación, la resección de la tumoración se realizó por una mini-incisión, por los laterales y a través del TR, sin necesidad de desinsertarlo. No hemos encontrado reportes similares en la literatura. Mammoto y cols., y Wheeldon y cols. obtuvieron buenos resultados postoperatorios en dos casos en los que, además de la tumoración extraarticular, se presentaban cuerpos libres y una tumoración intraarticular, requiriendo una resección abierta y artroscópica.5, 6 A su vez, en la literatura se han reportado recurrencias luego de un tratamiento quirúrgico inicial. Anthony y cols. presentaron un caso en el que una artroscopía inicial evolucionó con una recurrencia a los ocho meses, y necesitó una cirugía abierta con artrotomía asociada a un trasplante osteocondral por una lesión extensa de cartílago.7 El otro caso fue un paciente adulto en el cual un curetaje inicial de la lesión tuvo una recidiva a los tres años de seguimiento.8
El tratamiento de esta patología no está definido debido a la baja prevalencia. La recomendación general suele ser la observación y control para aquellas lesiones asintomáticas. En los casos sintomáticos, de gran crecimiento, que afectan el rango de movilidad, la resección quirúrgica es el tratamiento de elección.9–13
CONCLUSIÓN
Presentamos un caso de un paciente con enfermedad de Trevor a nivel de la TAT con compromiso parcial del tendón rotuliano, tratado con cirugía abierta y preservando la indemnidad del tendón. Se trata de una patología de baja incidencia, con un patrón de imágenes característico y una localización poco frecuente, asociada a una anatomía patológica compatible.
BIBLIOGRAFÍA
1. Takagi M; Kiyoshige Y; Ishikawa A; Ogino T. Multiple occurrence of osteochondromas in dysplasia epiphysealis hemimelica. Arch Orthop Trauma Surg, 2000; 120(5–6): 358–60.
2. Clarke DO. Trevor’s Disease: management difficulties and proposed classification. Orthopaedics, 2016: Sep. 1; 39(5): e967-9.
3. Lang IM; Azouz EM. MRI appearances of dysplasia epiphysealis hemimelica of the knee. Skeletal Radiol, 1997; Apr; 26(4): 226–9.
4. Degnan AJ; Ho-Fung VM. More than epiphyseal osteochondromas: updated understanding of imaging findings in dysplasia epiphysealis hemimelica (Trevor Disease). AJR Am J Roentgenol, 2018; Aug 30; 211(4): 910–9.
5. Mammoto T; Hirano A. Arthroscopic treatment of intra-articular dysplasia epiphysealis hemimelica of the knee. SAGE Open Med Case Rep, 2018; Jul 26; 6: 2050313X18790166.
6. Wheeldon G; Altiok H. Dysplasia epiphysealis hemimelica of the knee: an unusual presentation with intra-articular loose bodies and literature review. J Pediatr Orthop B, 2015; Jul; 24(4): 326–9.
7. Anthony CA; Wolf BR. Dysplasia epiphysealis hemimelica treated with osteochondral allograft: a case report. Iowa Orthop J, 2015; 35: 42–8.
8. Khalsa AS; Kumar NS; Chin MA; Lackman RD. Novel Case of Trevor’s Disease: Adult onset and later Recurrence. World J Orthop, 2017; Jan 18; 8(1): 77–81.
9. Gökkuş K; Atmaca H; Sagtas E; Saylik M; Aydin AT. Trevor’s Disease: up-to-date review of the literature with case series. J Pediatr Orthop B, 2017; Nov; 26(6): 532-45.
10. Celıkyay RY; Celikyay F; Bilgic E; Ascı M; Koseoglu D. Dysplasia epiphysealis hemimelica of the lower limb. Skeletal Radiol, 2017; Jan; 46(1): 111–5.
11. Struijs PAA; Kerkhoffs GMMJ; Besselaar PP. Treatment of dysplasia epiphysealis hemimelica: a systematic review of published reports and a report of seven patients. J Foot Ankle Surg, 2012; Oct; 51(5): 620–6.
12. Skripitz R; Lüssenhop S; Meiss AL. Wedge excision chondroplasty of the knee in dysplasia epiphysealis hemimelica-report of 2 cases. Acta Orthop Scand, 2003; Apr; 74(2): 225–9.
13. Shinozaki T; Ohfuchi T; Watanabe H; Aoki J; Fukuda T; Takagishi K. Dysplasia epiphysealis hemimelica of the proximal tibia showing epiphyseal osteochondroma in an adult. Clin Imaging, 1999; Jun; 23(3): 168–71.