Cuerpo extraño intraarticular en rodilla de paciente pediátrico: resolución artroscópica
Horacio F. Rivarola Etcheto, Bruno Terrarossa, Cristian Collazo
Hospital Universitario Austral, Pilar, Buenos Aires
Hospital Universitario Fundación Favaloro, CABA
RESUMEN
Los cuerpos extraños intraarticulares son entidades poco frecuentes de encontrar en una consulta médica, muchas veces pueden imitar una lesión meniscal o condral y provocar episodios de dolor intenso y bloqueo articular, sobre todo en pacientes deportistas.
Se presenta el caso de una niña de diez años, quien consulta por gonalgia derecha de cuatro meses de evolución. En la anamnesis la paciente refiere exacerbación del dolor en flexión y episodios de bloqueo articular. Niega trauma reciente. Como dato adicional, relata un accidente doméstico seis meses antes del inicio de los síntomas: atravesó una puerta ventana de vidrio, lo que le provocó heridas cortantes superficiales en la rodilla. En la consulta actual, la radiografía anteroposterior mostró una imagen radiopaca a nivel del intercóndilo y la espina tibial que hizo sospechar una avulsión de esta última. Se solicitó una RM de rodilla que evidenció una espina tibial continua y ninguna lesión evidente en la articulación. Se completó el estudio con una TAC, donde se visualizaron dos cuerpos intraarticulares compatibles con vidrio, tanto en la región anterior como posterior del compartimento lateral. Se programó una artroscopía para realizar su exéresis. En nuestro reporte de caso intentaremos demostrar la importancia de la anamnesis y el examen clínico cuando se sospecha una patología, de lo difícil que puede ser el diagnóstico aun con el soporte de los exámenes complementarios y de lo demandante quirúrgicamente que puede tornarse encontrar y sacar un cuerpo extraño de estas características en una articulación.
Palabras clave: Vidrio; Cuerpo extraño; Rodilla; Artroscopía
ABSTRACT
Intraarticular foreign bodies are unusual entities that can be found in a medical consultation. They can often mimic a meniscal or condral injury by triggering episodes of intense pain and articular locking, most frequently in athletes.
We present a case of a ten year old girl, who consults with knee pain of four months of evolution. In the anamnesis the patient refers intensification of the pain with knee flexion and episodes of articular locking. She denies recent trauma, but as a remarcable fact she refers that six months before the symptoms appear, she had a domestic accident where she broke through a glass window, getting superficial wounds in her knee.
The anterior-posterior X-Ray showed a radiopaque image in the intercondylar level and the tibial spine that made us suspect an avulsion of it, that’s why a knee MRI was requested but not showing any lesion of the tibial spine or joint. We completed the study with a CT scan that enhanced two intraarticular bodies, glass compatible, in the anterior as well as the posterior area of the lateral compartment. We schedule an arthroscopy to remove both pieces.
In this case report we try to demonstrate the importance of the anamnesis and physical exam when you suspect a pathology, the difficult it can be the diagnosis even counting with complementary imaging, and the surgically demanding that can become finding and removing a glass foreign body in a joint.
Key Words: Glass, Foreign body, Knee, Arthroscopy
INTRODUCCIÓN
Los cuerpos extraños intraarticulares son entidades poco frecuentes de encontrar en una consulta médica. Se han publicado casos de hallazgos de cuerpos extraños en situaciones de guerra, por ejemplo, con esquirlas intraarticulares que debido a la gravedad del paciente se diagnosticaban de manera diferida y se trataban, en su mayoría, de forma artroscópica.1-3
Los cuerpos extraños muchas veces pueden imitar una lesión meniscal o condral, y provocar episodios de dolor intenso y bloqueo articular, sobre todo en pacientes deportistas.4
PRESENTACIÓN DEL CASO
Paciente de diez años que consulta por gonalgia derecha de cuatro meses de evolución. En la anamnesis refiere exacerbación del dolor en flexión y episodios de bloqueo articular. Niega trauma reciente. Como dato adicional, relata un accidente doméstico seis meses antes del inicio de los síntomas al atravesar una puerta ventana de vidrio que le provocó heridas cortantes superficiales en la región de la rodilla derecha.
Al examen físico presentaba leve derrame articular suprarrotuliano y trofismo muscular conservado. En la inspección de la piel se encontraron dos cicatrices de las lesiones mencionadas anteriormente (fig. 1). El eje articular y el rango de movilidad eran normales, con dolor a la flexión profunda. La rodilla se encontraba estable con maniobras de varo y valgo negativas al igual que los test de Lachman, cajón, pivot shift y McMurray para ambos meniscos.
Figura 1. Rodilla derecha. Secuela de heridas contuso cortantes.
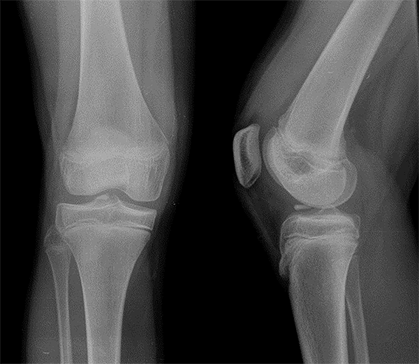
La radiografía anteroposterior mostró una imagen radiopaca a nivel del intercóndilo y la espina tibial que hizo sospechar una avulsión de esta última (fig. 2). Se solicitó una RM de rodilla que evidenció una espina tibial continua y ninguna lesión evidente en la articulación.

Figura 2. Rx de rodilla derecha frente y perfil. Imagen radiopaca que impresiona avulsión de espina tibial.
Debido a esto, se decidió una interconsulta con el servicio de Diagnóstico por Imágenes de nuestro hospital, que sugirió la realización de una TAC. La cual se programó de forma ambulatoria.
Previo a realizar la tomografía, la paciente reconsultó por aumento del dolor y el derrame articular. Esta vez presentaba déficit a la extensión y maniobra de McMurray positiva. Se realizó el estudio de imagen en el que se visualizaron dos cuerpos intraarticulares compatibles con vidrio, tanto en la región anterior como posterior del compartimento lateral (figs. 3 y 4).

Figura 3. TAC de rodilla derecha. A: Corte coronal. B y C: cortes sagitales. D: corte axial. Se constatan dos fragmentos intraarticulares en el compartimento lateral.

Figura 4. Intensificación de fragmentos en TAC con reconstrucción 3D.
Sobre la base de la evolución clínica, e interpretando los exámenes complementarios, lo que inicialmente en la radiografía se asumió como una lesión de la espina tibial era un fragmento único de vidrio localizado en la región anterior del intercóndilo, y luego en la TAC posterior a la exacerbación de los síntomas mecánicos dicha pieza se encontraba fragmentada y desplazada hacia el compartimento externo.
Por lo previamente mencionado, y con el consentimiento de los padres se programó la exploración artroscópica de la rodilla derecha.
Bajo anestesia general y regional, por portales estándar anteromedial y anterolateral se exploró el compartimento medial sin lesión meniscal, pero con condrolisis generada por la impronta del vidrio a ese nivel (fig. 5A), en intercóndilo LCA y LCP sin particularidades. A nivel de compartimento lateral se evidenció lesión condral del cóndilo femoral y del platillo tibial como impronta de un cuerpo extraño (fig. 5B), menisco lateral sin lesión y de características normales (fig. 5C). Se ubicó un fragmento de vidrio de 4 mm en la región inframeniscal del tercio anterior del menisco lateral y se lo retiró (fig. 5D).

Figura 5. Visión artroscópica de rodilla derecha. A: Condrolisis en compartimento medial. B: Condrolisis de compartimento lateral. C: Menisco externo sin lesión. D: Exéresis de vidrio ubicado inframeniscal externo.
Luego de una búsqueda exhaustiva, al no visualizarse el segundo fragmento, se utilizó el intensificador de imagen intraoperatorio que ubicó este cuerpo extraño en la región posterior y lateral del compartimento lateral (figs. 6A y 6B). Por visión radioscópica y artroscópica simultánea no se había conseguido visualizar el fragmento (fig. 6C), pero artroscópicamente se logró palparlo en forma percutánea con una aguja: se localizó a nivel del ojal del poplíteo, incluido en el espesor de la sinovial y ligamento meniscofemoral (fig. 6D).
Se realizaron dos portales laterales accesorios (fig. 7A), se efectuó la apertura sinovial (fig. 7B), e identificó el fragmento por debajo y posterior del cuerno posterior del menisco externo. Se procedió a una apertura longitudinal del ligamento meniscofemoral posterior, empujando el tejido con un palpador desde el portal anteromedial (fig. 7C) y a través de uno de los portales laterales se realizó la exéresis del segundo fragmento de 8 mm (fig. 7D). Así, fueron removidos los dos fragmentos de vidrio (fig. 8).

Figura 6. A y B: Visión por intensificador de imágenes, cuerpo extraño en la región posterior y lateral del compartimento lateral. C: Visión artroscópica y radioscópica simultánea. D: Visión artroscópica, palpación del vidrio intratisular.

Figura 7. A: Abordaje lateral por detrás del tendón del poplíteo. B: Apertura longitudinal de la sinovial y ligamento meniscofemoral. C: Se constata el vidrio intratisular, se lo expone. D: Remoción del vidrio con pinza de biopsia por portal posterolateral.

Figura 8. Visión macroscópica de los dos fragmentos de vidrio removidos de la articulación de la rodilla.
Para culminar el procedimiento, se efectuó desbridamiento con elemento motorizado (shaver) en la almohadilla grasa de Hoffa para eliminar las esquirlas de vidrio.
En el postoperatorio inmediato, la paciente se encontraba sin dolor y con movilidad articular completa. No se restringió movilidad ni descarga de peso.
DISCUSIÓN
Los cuerpos extraños intraarticulares en la rodilla son raros. Según la literatura, la mayoría de las causas son de origen traumático, aunque en pacientes pediátricos muchas veces resulta difícil encontrar el causante. Adicionalmente, se han publicado casos iatrogénicos con fragmentos intraarticulares metálicos que corresponderían al instrumental artroscópico.1, 5, 6
Como se mencionó anteriormente, es difícil saber la causa de la lesión en pacientes de edad pediátrica. En nuestro caso las cicatrices de la piel nos indujeron a pensar en la puerta de entrada de los cuerpos extraños. Además, estos elementos solo serán sintomáticos cuando se encuentren dentro de la articulación, por lo que, de hallarse en un plano subcutáneo o en alguna estructura inmóvil previo a la migración intraarticular, no podrán ser percibidos.
Las lesiones de la espina tibial con fragmentos libres producen dolor y sinovitis repetidas.1 La complejidad de nuestro caso radicó en que la radiografía de rodilla mostró una sombra opaca compatible con una avulsión de la espina. Cabe destacar que estas estructuras óseas, como también elementos de origen vegetal (espinas), material de sutura y tornillos biodegradables pueden ser visualizadas con una RM.7
Los cuerpos extraños intraarticulares pueden semejar una patología tanto meniscal como condral. Por eso es importante pensar en esta entidad cuando se nos presenta un paciente con bloqueo articular, dolor de comienzo agudo, etc.4 Un cuerpo extraño intraarticular es indicación absoluta de cirugía.8
El tiempo en la articulación es directamente proporcional con la cantidad de lesión condral, y más aún en un paciente activo y con una larga expectativa de vida.
CONCLUSIÓN
En nuestro reporte de caso intentamos demostrar la importancia de la anamnesis y el examen clínico cuando se sospecha una patología, de lo difícil que puede ser el diagnóstico, aun con el soporte de los exámenes complementarios, y lo demandante quirúrgicamente que puede tornarse encontrar y extraer un cuerpo extraño de estas características en una articulación. Para visualizar cuerpos extraños intraarticulares es indispensable tener a disposición las herramientas adecuadas y manejarlas con templanza. Se requiere de destreza por parte del equipo quirúrgico para la exéresis de estos cuerpos extraños sin dañar tejido sano.
BIBLIOGRAFÍA