Síndrome de fricción femoroacetabular: tratamiento artroscópico. Resultados a mediano plazo, complicaciones y fallas
Leonel Pérez Alamino, Agustín Catan, Daniel Veloz Serrano, Jorge A. Chahla, Tomás R. Vilaseca
RESUMEN
El éxito de la artroscopía de cadera en el tratamiento del síndrome de fricción femoroacetabular (SFFA) ha sido reportado por múltiples autores. Sus indicaciones se han ido extendiendo, provocando un incremento sustancial en el número de complicaciones. El propósito de este estudio fue evaluar retrospectivamente los resultados clínicos-radiológicos de la artroscopía de cadera en pacientes adultos con diagnóstico de SFFA, haciendo énfasis en las complicaciones y en las causas de falla.
Se analizaron pacientes con un seguimiento mínimo de tres años. Se clasificó la severidad del desgaste articular y daño condral con la escala de Tönnis y Outerbridge, respectivamente.
Se utilizaron los scores de Harris Hip (HHS) y de Resultados de Cadera (HOS, por sus siglas en inglés). La evaluación subjetiva fue medida a través de la Escala Visual Análoga del dolor (EVA). La serie quedó conformada por ciento catorce pacientes: cincuenta y seis (49%) de sexo masculino y cincuenta y ocho de sexo femenino con una edad promedio de 42.5 (17 – 59). El score de Harris registró un incremento significativo luego de la cirugía (71.06 ± 5.68 versus 87.11 ± 5.89; p<0.05). El score subjetivo de EVA demostró un descenso estadísticamente significativo (6.55 ± 1.27 versus 1.84 ± 1.42; p<0.05). El HOS evidenció valores de 91 y 87.8% con respecto a las actividades de la vida diaria y al deporte. Hubo ocho complicaciones menores (7.01%) y tres conversiones a artroplastia (2.63%).
La artroscopía de cadera constituye una herramienta efectiva como técnica de preservación articular, con índices de satisfacción cercanos al 90%.
Nivel de Evidencia: IV
Palabras Clave: Artroscopía de Cadera; Revisión; Fallas
ABSTRACT
Hip arthroscopy success for treatment of Femoro-Acetabular Impingement (FAI) has been well reported over the past decade.
The indications of this procedure have increased over the past years, as well as complications. The purpose of this study was to assess of clinical-radiological outcomes of hip arthroscopy in adults over 50 years old with FAI, and their complications. We evaluated patients with a minimum of 3-years follow up. The presence of Pincer and/or CAM deformity was registered by analyzing anteroposterior and lateral x-rays. Articular and chondral damage severity was assessed with Tönnis and Outerbridge classifications, respectively. Objective analysis was performed using Harris Hip Score (HHS) and Hip Outcome Score (HOS). Subjective evaluation was made using Visual Analogue Pain Scale (VAS). Our study included one hundred fourteen patients: fifty-six (49%) was male and fifty-eight (51%) females with a mean of 42.5 years. We observed significant increase in HHS after surgery (71.06 ± 5.68 versus 87.11 ± 5.89; p<0.05). VAS demonstrated a statistically significant decrease (6.55 ± 1.27 versus 1.84 ± 1.42; p<0.05). HOS score yielded values of 91% for daily living activities and 87.8% for sports. We observed three patients that required conversion to total hip arthroplasty (2.64%).
Hip Arthroscopy is a highly effective tool as joint preservation technique, being able to achieve rates up to 90%, both for daily living activities and sports, after surgery.
Level of Evidence: IV
Key Words: Hip Arthroscopy; FAI; Revision; Pitfalls
INTRODUCCIÓN
La cirugía de preservación articular en patología de cadera se encuentra en continuo incremento, y en este escenario la artroscopía ocupa un rol protagónico.1 Entre los años 2002 a 2009 el número de artroscopías de cadera aumentó dieciocho veces en Estados Unidos.2
El éxito reportado por distintos autores3–5 en el tratamiento del síndrome de fricción femoroacetabular (SFFA), así como el mayor entendimiento de las patologías y el avance tecnológico, permitieron que su indicación se ampliara y, actualmente, además se utiliza en lesiones labrales, condrales, cuerpos libres e inestabilidades traumáticas.6 Sin embargo, así como el número de procedimientos se elevó, en forma paralela también lo hizo el número de complicaciones.7
Uno de los pilares en los que la investigación se ha enfocado es en buscar las causas de falla de este procedimiento y cómo disminuirlas. Múltiples autores8 coinciden en que la experiencia del cirujano y la ya conocida “Curva de Aprendizaje” son elementos clave para el éxito del tratamiento. Otros han descripto en distintos reportes factores asociados a resultados menos satisfactorios,9, 10 lo que nos llevó a plantearnos la necesidad de identificar, en nuestra práctica habitual, los elementos que pudieron haber influido en forma desfavorable luego del procedimiento.
El propósito de este estudio fue evaluar los resultados clínicos-radiológicos de la artroscopía de cadera en pacientes adultos con diagnóstico de SFFA, poniendo el énfasis en las complicaciones y las causas de falla, así también proporcionar la última evidencia disponible en la literatura al respecto.
MATERIALES Y MÉTODOS
Se llevó a cabo un análisis retrospectivo descriptivo de los casos operados entre 2015 y 2016. Todas las cirugías fueron realizadas por el autor senior (TRV), en dos centros, y en pacientes mayores de diecisiete años.
En el estudio se incluyeron pacientes que se habían realizado artroscopía de cadera, con diagnóstico de SFFA, que habían efectuado tratamiento no quirúrgico al menos por seis semanas, sin mejoría (fisiokinesioterapia y AINES) y con un seguimiento mínimo de tres años.
Se excluyeron aquellos que se habían practicado artroscopía bilateral simultánea, los casos que presentaban enfermedades preexistentes que afectaran la densidad mineral ósea (vasculitis, artritis reumatoidea, lupus, tratamientos hormonales y antecedentes de cáncer) y también aquellos con cirugías previas a nivel de la cadera.
Todos los datos fueron extraídos de las historias clínicas archivadas en ambos centros.
El diagnóstico de SFFA se definió como la presencia de coxartralgia persistente junto con el hallazgo radiográficos de uno o ambos elementos descriptos a continuación:
Se documentó además en radiografías anteroposteriores de ambas caderas el grado de artrosis previo a la cirugía utilizando la escala de Tönnis.12, 13
TÉCNICA QUIRÚRGICA
El paciente es colocado en decúbito dorsal, en mesa de tracción según la técnica descripta por Byrd.14 Se realizan los portales lateral y medio-anterior (fig. 1) bajo control radioscópico

Figura 1: Imagen de cadera derecha donde se pueden observar las marcas de los distintos portales para acceder a la articulación. EIAS: espina ilíaca anterosuperior. A.L: anterolateral. A.L.D: anterolateral directo o medio-anterior.
Una vez ingresado, se procede con la capsulotomía interportal (en los casos en que la visión del compartimento periférico se dificulte o se observe una deformidad CAM grande, se realiza capsulotomía en “T”) tratando de dañar lo menos posible el ligamento iliofemoral, ingresando entre sus dos haces.
Se identifica la ceja anterior del acetábulo y se evalúa la lesión labral. Luego se resecan las partes blandas supraacetabulares de horas 3 a 12 y se realiza la reparación labral pertinente, con arpones de 2.9 mm de diámetro.
A continuación se quita la tracción y se flexiona la cadera a 45º con rotación neutra, y se realiza la resección del CAM con Burr de 4 mm a una distancia de 10 mm del reborde del labrum, según la planificación preoperatoria.15
Una vez obtenida la resección satisfactoria, se efectúa el control radioscópico. Finalmente se libera el miembro inferior de la mesa de tracción para realizar la prueba dinámica y constatar con artroscopio que no exista fricción en máxima flexión y rotación.
Protocolo de rehabilitación
Todos los pacientes realizaron carga inmediata luego de la cirugía, según su tolerancia y asistidos por un par de muletas por catorce días.
Se les indicó un plan de fisiokinesioterapia (FKT) trisemanal que en el primer mes estuvo enfocado en obtener el rango de movilidad habitual de la cadera de forma progresiva. El segundo mes se hizo hincapié en el fortalecimiento muscular y propiocepción. El tercer mes consistió en realizar ejercicios en circuitos adaptativos progresivos, inclinados hacia la actividad deportiva que el paciente deseaba practicar.
Todos los individuos se realizaron RM en las que se especificó incluir los cortes axiales a nivel del cuello femoral y se documentaron aquellos que presentaban lesiones visibles a nivel del Labrum.11 Las evaluaciones fueron realizadas por dos de los autores en tres ocasiones.
Se registró el daño osteocondral mediante la escala descripta por Outerbridge,16 bajo visualización directa con artroscopio.
Los pacientes fueron evaluados semanalmente durante el primer mes postoperatorio; luego se realizaron controles mensuales hasta los seis meses, a los doce meses y, al no haber complicaciones, se continuó con una visita anual.
Para el análisis clínico y funcional se midieron los Rangos de Movilidad (RM) preoperatorios y se compararon con los del último control. Los valores fueron obtenidos mediante el uso de goniometría durante entrevista personal. Del mismo modo, se utilizó el score de cadera de Harris (HHS) preoperatorio y el de la última consulta.
Se utilizó el score de Resultados de Cadera, tanto en las actividades de la vida diaria como en el deporte (HOS ADL/Sports).17
También se midió el dolor con la Escala Visual Análoga del dolor (EVA) pre y postoperatoria.18 Enumeramos las complicaciones acontecidas durante el seguimiento.
Se consideró como falla a aquellos pacientes que tuvieron que realizarse artroplastia de cadera en su evolución o una nueva artroscopía por cualquier causa. Además, se registró a aquel paciente con persistencia de los síntomas luego de la cirugía.
Como punto final del análisis, se midió la sobrevida del procedimiento.
Estadística
Las variables continuas se describieron como media y desvío estándar. Las variables cualitativas fueron descriptas como porcentaje e intervalo de confianza del 95%. Se compararon los dos grupos (pre y postcirugía) de análisis mediante un T test para las variables cuantitativas y test de Fisher para las variables cualitativas, y se consideró estadísticamente significativa una diferencia <0.05. Se utilizó el software Graph Pad Prism 8.0.
RESULTADOS
Durante el período mencionado se operaron ciento veinticuatro pacientes a los que se les practicó artroscopía de cadera por diagnóstico de SFFA.
Se excluyeron diez pacientes: cuatro por haberse realizado artroscopía bilateral simultánea, y seis por haber abandonado el seguimiento. Finalmente, la serie quedó conformada por ciento catorce pacientes, de los cuales cincuenta y seis (49%) fueron de sexo masculino, y cincuenta y ocho (51%) de sexo femenino, con una edad promedio de 42.5 ± 5.2 (17 – 59). Se trataron sesenta y una caderas derechas (53.5%) y cincuenta y tres izquierdas (46.5%), con un seguimiento promedio de 45.6 meses (36 – 61).
El rango de movilidad mejoró de un promedio de 10º - 100º (rangos 0 – 15 versus 90 - 125) preoperatorio a 5° – 110º (rangos 0 – 12 versus 95 – 130) postoperatorio; la rotación interna de 30 a 45º y la rotación externa de 30 a 50º.
Según las mediciones realizadas de los ángulos Alfa y de Wiberg, la deformidad encontrada más frecuente fue la mixta con noventa casos (79.4%), y luego se observaron veinticinco casos de CAM aislado (21.9%). Doce pacientes presentaban un grado 2 en la Escala de Tönnis detectado en las radiografías (10.5%), y cuarenta y nueve eran de grado 1 (42.9%). El resto de los pacientes presentaban un grado 0. El resto de los detalles demográficos se pueden observar en la Tabla 1.
Las lesiones fueron analizadas a través de RM, la que permitió detectar una alteración de la señal en el labrum anterosuperior en todos los casos.
TABLA 1. DATOS DEMOGRÁFICOS DE POBLACIÓN INCLUIDA EN EL ANÁLISIS
Variable |
N (%) |
Edad, DE |
42 ± 5.2 |
Sexo |
|
Masculino |
56 (49) |
Femenino |
58 (51) |
Tönnis |
|
0 |
53 (46.5) |
I |
49 (43.0) |
II |
12 (10.5) |
Daño Condral |
|
Fémur |
|
0 |
105 (92.1) |
I |
3 (2.6) |
II |
3 (2.6) |
III |
2 (1.7) |
IV |
1 (0.9) |
Acetábulo |
|
0 |
35 (30.7) |
Delaminación |
15 (13.1) |
I |
11 (9.6) |
II |
43 (37.7) |
III |
6 (5.3) |
IV |
4 (3.5) |
Con respecto al score de Harris se observó un incremento significativo luego de la cirugía (71.06 ± 5.68 versus 87.11 ± 5.89; p<0.05) (fig. 2).

Figura 2: se observan los valores individuales pre y postoperatorios alrededor de la media del HHS. Se puede apreciar la mejoría significativa con un valor de p<0.05.
El análisis del score de Resultados de Cadera (HOS) se detalla en la Tabla 2. El score subjetivo de EVA demostró un descenso estadísticamente significativo (6.55 ± 1,27 versus 1.84 ± 1.42; p<0.05).
TABLA 2. SCORE DE RESULTADOS DE CADERA (HOS)
Score de HOS(17) |
(%) |
HOS actividades de la vida diaria |
91.00 |
Satisfacción en la vida diaria |
85.30 |
HOS deportes |
87.80 |
Satisfacción en deportes |
86.00 |
Se pueden observar los excelentes resultados, tanto para las actividades cotidianas como para el retorno deportivo.
En cuanto a las complicaciones, ocho pacientes (7.01%) evolucionaron con neuropraxia del nervio pudendo. Todas se resolvieron en forma espontánea en un tiempo promedio de dieciocho días (14 – 26) sin secuelas al momento del último control.
Se documentó además la persistencia de los síntomas en ocho pacientes luego de haberse realizado la artroscopía (7.01%), en un promedio de 6.5 meses (4 – 14).
De estos, tres requirieron artroplastia total de cadera (2.63%), y uno (0.87%) se realizó una revisión (figs. 3, 4 y 5). En tres oportunidades se trataba de pacientes con un grado 2 de Tönnis y el restante presentaba un grado 1. Al analizar la relación entre reoperación y el grado 1 y 2 de Tönnis, se encontró un incremento estadísticamente significativo en este último grupo (2.04% versus 25%; p=0.02).
La sobrevida del procedimiento fue del 96.49% a 3.8 años.

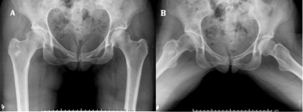
Figura 3: Radiografías preoperatorias de ambas caderas de paciente femenina de cincuenta y seis años. A) Frente: se puede observar la esclerosis subcondral y osteofito medial, los cuales son elementos predictivos de pobres resultados. B) Se constata el aplanamiento del cuello femoral.

Figura 4: Siete meses postoperatorios. A) Se observa aumento de esclerosis subcondral y disminución de la luz articular. B) Perfil de ambas caderas donde se visualiza el estrechamiento articular en polo superior.

Figura 5: Nueve meses postoperatorios. Se realizó la artroplastia total de cadera.
DISCUSIÓN
El hallazgo más importante de este estudio fue que hubo una tasa elevada de buenos resultados, con un bajo índice de reoperaciones (2.63%).
El tratamiento del SFFA por medio de artroscopía de cadera persigue un continuo crecimiento desde los años noventa.19 Para explicar este hecho, podemos mencionar el avance tecnológico, el perfeccionamiento de la técnica quirúrgica y los excelentes resultados clínicos obtenidos en distintas series.20, 21 Todo esto ha permitido que se transforme en una herramienta primordial, dirigida a preservar la articulación.
El HHS mejoró 16 puntos, lo que representó un incremento estadísticamente significativo en nuestra serie (de 71.06 que luego de la cirugía ascendió a 87.11). También, el score de HOS mostró excelentes resultados al momento del último control, tanto en las actividades de la vida diaria como para el retorno al deporte, con 91% y casi 88%, respectivamente. Estos valores concuerdan con evidencia previa, como la serie de Menge,21 donde reportaron porcentajes de 96 y 87%, luego del procedimiento.
Se ha registrado que el daño condral avanzado preexistente disminuye en forma significativa el éxito de la cirugía22, 23 y esto muchas veces es difícil de determinar previo a la artroscopía, ya que al ingresar a la articulación nos encontramos con daños más severos que los que podemos apreciar en los estudios como la resonancia, en especial en adultos mayores. En nuestro análisis pudimos observar que la incidencia de lesiones severas (grados III-IV) a nivel femoral y acetabular fueron de 2.63% y 8.77%. Asumimos que la baja incidencia de estas lesiones se podría explicar por el correcto análisis preoperatorio y selección del paciente, lo que constituye un motivo más a favor de los resultados clínicos satisfactorios obtenidos.
Distintos autores24–28 describieron otros factores que se suelen asociar a pobres resultados luego del procedimiento. En 2009, Phillipon29 publicó una serie en la cual determinó que aquellos pacientes con un espacio articular entre el fémur y el acetábulo de <2 mm tenían mayor riesgo de persistir con síntomas luego de la artroscopía debido a progresión de la artrosis. En nuestra serie se respalda esta afirmación, ya que de los ocho pacientes con dolor luego de la artroscopía, seis presentaban una distancia menor que 2 mm. Debemos destacar, además, que en tres ocasiones (2.63%) la degeneración articular progresó, por lo que ameritaron la artroplastia total de cadera. Este es un porcentaje que se condice con la literatura, como el 2.3% reportado por Harris en una revisión sistemática de 2013.30 Atribuimos esto a la selección precisa del paciente candidato para el procedimiento y el bajo número de casos comparado con las series analizadas.
Como dato adicional, si tenemos en cuenta la escala de Tönnis, todos los individuos que precisaron de un reemplazo total de cadera presentaban un grado 2 previo a la artroscopía, y esto también se condice con la literatura donde se reporta actualmente que un grado tan avanzado de artrosis se asocia con un incremento significativo de posibilidades de evolucionar a una artroplastia dentro de los dos años si los comparamos con los grados 0 y 1.31
La artroscopía de cadera reporta tasas bajas de complicaciones que rondan entre 1 a 7% y, afortunadamente, la gran mayoría de ellas son transitorias y no afectarán el resultado a largo plazo.8
En nuestro estudio no hubo complicaciones mayores como fracturas de cuello femoral o síndrome compartimental, pero sí se registraron complicaciones menores como las neuropraxias del pudendo. Todas recuperaron en forma espontánea sin necesidad de un tratamiento adyuvante.
La mayoría de las series estiman que entre el 1 al 10% de los pacientes operados sufren algún tipo de disfunción transitoria del nervio.32 En la serie que nos ocupa afectó al 7% (ocho neuropraxias del nervio pudendo).
Nuestro análisis presenta las limitaciones propias de ser un estudio retrospectivo donde trata una población heterogénea. Dentro de las fortalezas encontramos que son cirugías realizadas por el mismo cirujano, con la misma técnica quirúrgica y en los mismos centros, con seguimiento de 3.8 años promedio y un número de pacientes que nos permite realizar una asociación estadística y nos invita a continuar el análisis y seguimiento para poder evaluar los resultados a largo plazo.
CONCLUSIÓN
La artroscopía de cadera constituye una herramienta efectiva como técnica frente al síndrome de fricción femoroacetabular, con un porcentaje elevado de buenos resultados, cercanos al 90%, tanto para las actividades de la vida diaria como para el retorno al deporte, y una tasa baja de reoperación.
BIBLIOGRAFÍA
1. Lubowitz JH; Poehling G. Hip arthroscopy: An emerging gold standard. Arthroscopy, 2006; 22: 1257–9.
2. Colvin AC; Harrast J; Harner C. Trends in hip arthroscopy. J Bone Joint Surg, 2012; 23: 1–5.
3. Robertson WJ; Kadrmas WR; Kelly BT. Arthroscopic management of labral tears in the hip a systematic review. Clin Orthop Relat Res, 2006; (455): 88–92.
4. Piuzzi N; Oñativia I; Buttaro M; Piccaluga F; Zannoti G; Comba F. Artroscopía de revisión en pacientes con fracaso de artroscopía de cadera primaria. Artroscopía, 2013; 20(2): 54–9.
5. Byrd JWT; Jones KS. Prospective analysis of hip arthroscopy with 2-year follow-up. J Arthrosc Relat Surg, 2000; 16(6): 578–87.
6. Vilaseca T; Chahla J. Artroscopía de cadera: indicaciones; resultados y complicaciones. Revisión bibliógrafica y experiencia personal. Artroscopía, 2015; 22(3): 107–13.
7. Burrus MT; Cowan JB; Bedi A. Avoiding failure in hip arthroscopy. complication, pearls, and pitfalls. Clin Sports Med, 2016; 1–15. Disponible en: http://dx.doi.org/10.1016/j.csm.2016.02.011
8. Gupta A; Redmond JM; Hammarstedt JE; Schwindel L; Domb BG. Safety measures in hip arthroscopy and their ef fi cacy in minimizing complications : a systematic review of the evidence. J Arthrosc Relat Surg, 2014; 30(10): 1342–8.
9. Saadat E; Martin SD; Thornhill TS; Brownlee SA; Losina E; Katz JN. Failure of surgical treatment for femoroacetabular impingement: review of the literature. Am J Sports Med, 2014; 42(6): 1487–95.
10. Gedouin J; May O; Bonin N; Nogier A; Boyer T; Sadri H; et al. Assessment of arthroscopic management of femoroacetabular impingement. A prospective multicenter study. Orthop Traumatol Surg Res, 2010; 96: 59–67.
11 . Armfield D; Towers J; Robertson D. Radiographic and mr imaging of the athletic hip. Clin Sports Med, 2006; 25: 211–39.
12. Kovalenko B; Bremjit P; Fernando N. Classifications in brief : Tönnis classification of hip osteoarthritis. Clin Orthop Relat Res, 2018; (476): 1680–4.
13. Clohisy BJC; Carlisle JC; Beaulé PE; Kim Y; Trousdale RT; Sierra RJ; et al. A systematic approach to plan radiographic evaluation of the young adult hip. J Bone Joint Surg, 2008; 90(4): 47–66.
14. Byrd JWT. Hip arthroscopy utilizing the supine position. Arthroscopy, 1994; 10(3): 275–80.
15. Locks R; Chahla J; Mitchell JJ; Soares E; Philippon MJ. Impingement during hip arthroscopy. Arthrosc Tech, 2016; 5(6): e1367–72. Disponible en: http://dx.doi.org/10.1016/j.eats.2016.08.011
16. Outerbridge R. The etiology of chondromalacia patellae. J Bone Joint Surg Br, 1961; 43: 752–7.
17. Martin RL; Kelly BT; Philippon MJ. Evidence of validity for the hip outcome score. Arthroscopy, 2006; 22(12): 1304–11.
18. Collins SL; Moore RA; Mcquay HJ. The visual analogue pain intensity scale: what is moderate pain in millimetres? Pain, 1997; 72: 95–7.
19. Byrd JWT; Jones KS. Prospective analysis of hip arthroscopy with 10-year followup. Clin Orthop Relat Res, 2010; 468: 741-6.
20. Sawyer GA; Briggs KK; Dornan GJ; Ommen ND; Philippon MJ; Ommen ND; et al. Clinical outcomes after arthroscopic hip labral repair using looped versus pierced suture techniques. Am J Sports Med, 2015; 1–6.
21. Menge TJ; Briggs KK; Dornan GJ; Mcnamara SC; Philippon MJ. Survivorship and outcomes 10 years following hip arthroscopy for femoroacetabular impingement. J Bone Joint Surg, 2017; (99): 997–1004.
22. Dwyer MK; Lee J; Mccarthy JC. Cartilage Status at time of arthroscopy predicts failure in patients with hip dysplasia. J Arthroplasty, 2015; 10–3. Disponible en: http://dx.doi.org/10.1016/j.arth.2014.12.034
23. Gupta A; Redmond JM; Stake CE; Dunne KF; Domb BG. Does primary hip arthroscopy result in improved clinical outcomes?: 2-year clinical follow-up on a mixed group of 738 consecutive primary hip arthroscopies performed at a high-volum referral center. Am J Sports Med, 2015; 1–9.
24. Nepple JJ; Carlisle JC; Nunley RM; Clohisy JC. Clinical and radiographic predictors of intra-articular hip disease in arthroscopy. Am J Sports Med, 2011; 39(2): 296–303.
25. Larson CM; Giveans MR. Does arthroscopic fai correction improve function with radiographic arthritis? Clin Orthop Relat Res, 2011; (469): 1667–76.
26. McCarthy JC; Jarrett BT; Ojeifo O; Lee JA; Bragdon CR. What factors influence long-term survivorship after hip arthroscopy? Clin Orthop Relat Res, 2011; 469(2): 362–71.
27. Beck EC; Chahla J; Gowd AK; Rasio J; Nho SJ; et al. Preoperative duration of symptoms is associated with outcomes 5 years after hip arthroscopy for femoroacetabular impingement syndrome. Arthroscopy, 2019; 1–8. Disponible en: https://doi.org/10.1016/j.arthro.2019.08.032
28. Philippon MJ; Briggs KK; Carlisle JC; Paterson DC. Joint space predicts THA after hip arthroscopy in patients 50 years and older. Clin Orthop Relat Res, 2013; 471(8): 2492–6.
29. Philippon M; Briggs K; Kuppersmith DA. Outcomes following hip arthroscopy for femoroacetabular impingement with associated chondrolabral dysfunction. Minimum Two-Year Follow Up. J Bone Joint Surg Br, 2009; 91: 16–23.
30. Than M; Harris JD; McCormick FM; Abrams GD; Bush-Joseph CA; Nho SJ. Complications and reoperations during and after hip arthroscopy: A systematic review of 92 studies and more than 6,000 patients. Arthroscopy, 2013; 29(3): 589–95. Disponible en: http://dx.doi.org/10.1016/j.arthro.2012.11.003
31. Chandrasekaran S; Darwish N; Gui C; Lodhia P; Suarez-Ahedo C; Domb BG. Outcomes of hip arthroscopy in patients with Tönnis grade-2 osteoarthritis at a mean 2-year follow-up: Evaluation using a matched-pair analysis with Tönnis grade-0 and grade-1 cohorts. J Bone Joint Surg Am, 2016; 98(12): 973–82.
32. Dippmann C; Thorborg K; Kraemer O; et al. Symptoms of nerve dysfunction after hip arthroscopy: An under-reported complication? Arthroscopy, 2014; 30(2): 202–7. Disponible en: http://dx.doi.org/10.1016/j.arthro.2013.11.014