Reparación de lesiones meniscales horizontales. Resultados a dos años de seguimiento
Horacio F. Rivarola Etcheto,1,2 Cristian Collazo Blanchod,1,2 Marcos Meninato,1,2 Facundo Cosini,1,2 Juan M. Carraro,1,2 Matías Sava,3 Lisandro Nardin3
1. Hospital Universitario Austral, Buenos Aires, Argentina
2. Hospital Universitario Fundación Favaloro, C.A.B.A., Argentina
3. Sanatorio Mapaci, Rosario, Santa Fe, Argentina
RESUMEN
Introducción: las lesiones meniscales horizontales tipo “cleavage” se extienden desde el margen interno libre del menisco, a través de la sustancia intrameniscal, hasta la unión menisco-capsular, y dividen el menisco en láminas superiores e inferiores. Se cree que son lesiones asociadas a meniscos degenerativos, por lo que tienden a ser más comunes en pacientes mayores. El tratamiento clásico consiste en realizar una meniscectomía parcial de la lámina superior o de la inferior, generando sobrecarga compartimental, la que puede desarrollar cambios degenerativos e inestabilidad. Actualmente, trabajos científicos nos presentan la posibilidad de reparar estas lesiones con diversas técnicas. El objetivo del siguiente trabajo es mostrar los resultados clínicos de una serie de pacientes tratados con reparación de las lesiones horizontales, los detalles de las técnicas utilizadas, índices de fallas y vuelta al deporte.
Materiales y métodos: realizamos un estudio retrospectivo en el que analizamos una serie de veinticuatro pacientes con lesión meniscal horizontal tratados artroscópicamente con sutura entre 2014 y 2018 en el Hospital Universitario Austral y en el Sanatorio Mapaci.
Evaluamos la cantidad y tipo de suturas meniscales, el dolor postoperatorio a través de la escala visual análoga (EVA), y la función con la escala de Lysholm e IKDC a los dos años de seguimiento. Evaluamos también el retorno al deporte y complicaciones.
Resultados: la edad promedio fue de 27.8 años; ocho fueron mujeres y dieciséis, hombres. El menisco externo fue el más afectado con diecinueve casos y cinco fueron lesiones del menisco interno. En tres casos, cuando el menisco interno fue afectado, se realizó la técnica de “pie-crust” del ligamento colateral medial. Diez casos fueron asociados a reconstrucción del ligamento cruzado anterior. El promedio de cantidad de suturas meniscales fue de cuatro por paciente. El score de Lysholm a los dos años postoperatorio fue de 94, el IKDC postoperatorio de 88 y la escala EVA fue de 1/10. Todos los pacientes retornaron al deporte a los seis meses (casos aislados) y entre el noveno y el décimo mes (asociados a la reconstrucción del LCA).
Conclusión: la reparación meniscal horizontal proporciona buenos resultados funcionales a mediano plazo al preservar la mayor cantidad de tejido meniscal. Creemos que es momento de un cambio de enfoque para este tipo de lesiones, la meniscectomía total o parcial no debería seguir siendo la “indicación de elección” en lesiones meniscales horizontales. En cambio, la preservación meniscal debería ser nuestro objetivo principal, siempre que sea posible.
Nivel de evidencia: IV
Palabras clave: Menisco; Reparación; Lesiones Horizontales.
ABSTRACT
Introduction: horizontal-cleavage meniscus tears begin at the inner edge of the meniscus and continue toward the capsule, dividing the meniscus in to a superior and inferior surface. They are typically associated to degenerative tears, therefore mainly affect elder people. Classically, treatment consisted of partial meniscectomy of either superior or inferior surface, resulting in a compartment overload and developing degenerative changes and instability. The latest publications shows that this type of tears can be repaired with several techniques. The aim of this study was to show the treatment for horizontal cleavage meniscus tears, by displaying a detailed evolution of the used techniques in a case series, evaluating results and outcomes, failure rate and return to sport.
Materials and methods: twenty-four patients who underwent and arthroscopic repair of horizontal cleavage tears between 2014 and 2018 at Hospital Universitario Austral and Sanatorio Mapaci where retrospectively reviewed. We review the quantity and type of meniscal sutures, post-operative pain through Visual Analog Scale, Lysholm score and IKDC at two years follow-up. Also, we evaluated return to sports and complications.
Results: the age average was of 27.8 years old. Eight patients where females and sixteen males. The most affected meniscus was the lateral in nineteen cases, and the medial in five. In three cases a medial collateral ligament (MCL) pie-crust technique was required when de medial meniscus was repaired. In ten cases a concomitant ACL reconstruction surgery was performed. The mean number of sutures per patient was four. Lysholm score at two years follow-up was of 94, IKDC of 88 and AVS of 1/10. The isolated cases returned to sports at six months after surgery, and the ones with ACL associated surgery between nine and ten months.
Conclusion: by preserving more meniscal tissue, meniscal repair of horizontal-cleavage tears provides good functional outcomes at mid-term follow up. We believe that it is time for a change when approaching this type of injury, "treatment of choice" in horizontal cleavage injuries should not be partial or total meniscectomy. Instead, the main goal should be, whenever possible, meniscal tissue preservation.
Level of evidence: IV
Key words: Meniscus Repair; Horizontal Tears.
INTRODUCCIÓN
Las lesiones meniscales horizontales tipo “cleavage” se extienden desde el margen interno libre del menisco, a través de la sustancia intrameniscal, hasta la unión menisco-capsular y dividen el menisco en una lámina superior e inferior. En general, comprometen significativamente la zona avascular, lo que puede afectar su capacidad de curación. Se cree que son lesiones asociadas a meniscos degenerativos, por lo que tienden a ser más comunes en pacientes mayores.1
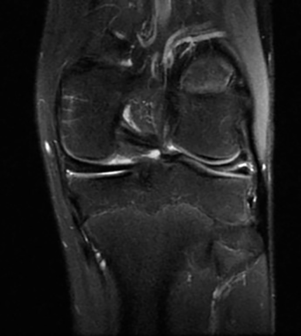
Muchas lesiones complejas comienzan con un componente de lesión horizontal. Por lo tanto, es importante arribar a un diagnóstico certero para instaurar un tratamiento temprano y evitar futuras complicaciones. Además, predisponen a la formación de quistes parameniscales.1 Se observan con mayor frecuencia en el cuerno posterior del menisco medial o en el cuerpo del menisco lateral (fig. 1).
Figura 1: RM de rodilla izquierda. Lesión horizontal del menisco externo.
Cuando se habla de estas lesiones, el punto que suscita más controversia es el tratamiento. Se discute entre realizar una meniscectomía subtotal, con la posibilidad de generar una disminución del área de contacto entre el cóndilo femoral y la meseta tibial que causa cambios degenerativos tempranos e inestabilidad a mediano y largo plazo, efectuar una meniscectomía parcial, resecando la hoja superior o inferior de la rotura horizontal, que no está exenta de generar sobrecarga compartimental y cambios degenerativos, o realizar una reparación mediante sutura meniscal, con la potencial falla de la sutura debido a diferentes tensiones entre las láminas superior e inferior además de presentar baja tasas de curación.1, 2
El objetivo del siguiente trabajo es mostrar los resultados clínicos de una serie de pacientes tratados con reparación de las lesiones horizontales, y presentar los detalles de las técnicas utilizadas, índice de fallas y vuelta al deporte. Nuestra hipótesis es que los resultados clínicos e índices de fallas no deberían ser inferiores al resto de las reparaciones en los otros patrones lesionales.
MATERIALES Y MÉTODOS
Realizamos un estudio retrospectivo en el cual analizamos una serie de pacientes con lesiones de patrón horizontal tratados artroscópicamente con sutura meniscal entre 2014 y 2018 en el Hospital Universitario Austral y en el Sanatorio Mapaci.
Dentro de los pacientes estudiados, veinticuatro cumplían con los criterios de inclusión.
Criterios de inclusión: pacientes menores de cincuenta años, con rodilla estable o estabilizable en el mismo acto quirúrgico, sin artrosis, con dolor persistente, luego de no mejorar con el tratamiento conservador (con rehabilitación kinesiológica y modificación de sus actividades) con diagnóstico de lesión meniscal horizontal, estudiados con resonancia magnética, a los que se les realizó sutura meniscal bajo tratamiento artroscópico, con un mínimo de seguimiento de veinticuatro meses.
Criterios de exclusión: pacientes mayores de cincuenta años, a los que se les realizó tratamiento incruento, con seguimiento menor a veinticuatro meses; a los que presentaban lesiones multiligamentarias; a los que presentaban cambios degenerativos Outerbridge grado 3 o más y a los que tenían una baja calidad de tejido meniscal para ser reparado (definida intraoperatoriamente).
Todos los pacientes presentaban al examen físico un test de McMurray positivo y dolor en interlínea articular; antes de indicar el tratamiento quirúrgico artroscópico, realizaron tratamiento kinesiológico, crioterapia y analgésicos por al menos un mes, el que no tuvo resultados satisfactorios.
La edad media de los pacientes fue de 27.8 años (rango 14 a 45), dieciséis (66.6%) fueron de sexo masculino y ocho (33.3%), de sexo femenino. El menisco lateral fue el más frecuente con diecinueve casos (79.2%) y el medial con cinco casos (20.8%).
Evaluamos la cantidad y tipo de suturas meniscales. Los pacientes fueron contactados a los dos años de la cirugía para que concurrieran a control médico. Se les preguntó por la vuelta a la actividad deportiva y se les realizaron los scores de EVA, Lysholm e IKDC. Se consideraron buenos resultados cuando estos fueron superiores al 85%.
Técnica quirúrgica
Las cirugías fueron realizadas por dos equipos quirúrgicos (HR, CC, MP, por un lado y por LN, MS, por otro).
En estudio de resonancia magnética se cuantifica la lesión meniscal horizontal para tratarla artroscópicamente (ver la fig.1).
Se coloca al paciente en decúbito dorsal, con anestesia regional y sedación. Profilaxis antibiótica según protocolo institucional. Se procede a la colocación de manguito neumático a 300 mmHg en rodilla a intervenir.
En el quirófano, se efectúa el lavado prequirúrgico previo de todo el miembro inferior con clorhexidina jabonosa. Se realiza la asepsia y antisepsia, embrocado de todo el miembro inferior con solución de clorhexidina alcohólica y colocación de campos quirúrgicos. Se hacen los portales artroscópicos anterolateral y con aguja 50 x 8 mm se observa el ángulo de ataque para realizar el portal de acceso anteromedial. La exploración articular comienza con inspección de todos los compartimentos. Luego de que la lesión horizontal es identificada, se procede cuidadosamente a evaluar su extensión anterior y posterior con palpador.
El borde central avascular y las porciones de fragmentos libres o flaps avasculares, tanto de la hoja superior como inferior, se debridan para lograr un correcto balance. Se realiza una aumentación biológica raspando el interior de la lesión con shaver con puntas no abrasivas y raspas específicas, se busca estimular el aporte vascular para luego efectuar la reparación meniscal.
Para el tercio posterior y cuerpo, utilizamos la técnica de reparación todo-adentro con la pinza “Knee Scorpion TM Suture Passer” (Arthrex, Fl. EE. UU.). Se carga el dispositivo con sutura Fiberwire 2.0® y se realizan puntos circunferenciales reduciendo ambas hojas meniscales. Se ejecuta nudo artroscópico deslizado con un bajanudos y se corta el remanente con tijera artroscópica (fig. 2).

Figura 2: Visión artroscópica de rodilla izquierda. A) Lesión horizontal del menisco lateral. B-C) Utilización de pinza “Knee Scorpion TM” para dar el primer punto circunferencial cercano a la raíz meniscal. D-E) Realización del segundo y tercer punto circunferencial. E) Visión final de la reparación con tres puntos
En los casos de lesión meniscal medial, habitualmente realizamos la técnica de “pie-crust”, con aguja de 50 x 8 mm, relajando el ligamento colateral medial y aumentando el espacio a nivel del compartimento interno. Luego se efectúa la reparación: utilizamos la técnica fuera-dentro usando, según el caso, suturas absorbibles o no absorbibles, Fiberwire 2.0® o Vicryl N1. Los puntos se hacen con una distancia entre sí de 3 a 4 mm aproximadamente, buscando una correcta reducción y compresión de ambas hojas. Luego palpamos toda la superficie meniscal para comprobar el resultado correcto (fig. 3).

Figura 3: Visión artroscópica de rodilla izquierda. A-B-C) Lesión horizontal amplia del menisco medial. D-E-F) Luego de realizar técnica de “pie-crust”, reparación meniscal con ocho puntos verticales con Fiberwire 2.0® o Vicryl N1, logrando estabilización y cierre de la lesión.
Protocolo de rehabilitación
En la sutura meniscal aislada, indicamos férula en extensión por tres semanas y uso de muletas para evitar la carga de peso. De la tercera a la sexta semana, se ordena carga parcial, con movilidad de 0 a 90° y a partir de la sexta semana, la carga completa de peso con movilidad progresiva asistida. Al sexto mes postoperatorio, comienza con fortalecimiento muscular para volver al deporte de contacto.
En las suturas meniscales asociadas a la reconstrucción del LCA, se respetó el protocolo de este último, con un retorno deportivo al noveno mes postoperatorio.
RESULTADOS
La serie quedó conformada por veinticuatro pacientes. La edad promedio fue de 27.8 años (14-45), ocho fueron mujeres (33.3%) y dieciséis, hombres (66.6%). El menisco externo fue el más afectado con diecinueve casos (79.2%), diez suturas se realizaron con pinza “Knee Scorpion TM” y nueve con técnica fuera-dentro (mínimo tres puntos y máximo seis). El menisco interno fue afectado en cuatro casos (20.8%), a tres casos se les realizó la técnica de “pie-crust” del colateral medial y sutura con “Knee Scorpion TM” y a dos casos con técnica fuera-dentro. Catorce casos fueron aislados del menisco externo. En diez se asociaron a la reconstrucción del LCA (seis del menisco externo - cuatro del menisco interno). El promedio de puntos para realizar la reparación fue de cuatro (mín. tres, máx. ocho puntos). El seguimiento promedio fue de treinta meses (mín. veinticuatro y máx. treinta y seis) (Tabla 1).
TABLA 1. RESULTADOS
| Seguimiento (meses) | 30 meses (rango 24 - 36) |
| Edad | 27.8 años (rango 14 – 45) |
| Sexo | |
| Hombre | 16 (66.6%) |
| Mujer | 8 (33.3%) |
| Lado de la lesión | |
| Menisco medial | 5 (20.8%) |
| Menisco lateral | 19 (79.2%) |
La escala de Lysholm a los dos años posoperatorio promedio fue de 94, el IKDC subjetivo postoperatorio 88 y la escala EVA fue de 1/10 (Tabla 2).
TABLA 2. DATOS
Preoperatorio |
Rango |
Promedio |
Lysholm |
62 – 75 |
68.7 |
IKDC |
65 – 78 |
74.6 |
24 meses postoperatorio |
Rango |
Promedio |
Lysholm |
87 – 96 |
94 |
IKDC |
84 – 92 |
88 |
A la fecha, no se identificaron fallas en la reparación en esta serie estudiada.
Todos los pacientes (100%) retornaron al deporte, a los seis meses las reparaciones aisladas y entre los nueve y diez meses las reparaciones asociadas a la reconstrucción del LCA.
DISCUSIÓN
Las lesiones meniscales son unas de las patologías más frecuentemente diagnosticadas en nuestro medio. Además, debemos tener en cuenta que muchas de estas lesiones son asintomáticas, principalmente en población adulta. Un estudio presentado en The New England Journal, en el que se estudiaron más de mil personas mayores de cincuenta años, sugiere que se puede encontrar daño meniscal en el 35% de las personas de mediana edad y las personas de edad avanzada, independientemente de los síntomas de rodilla. Además, demuestra que las lesiones degenerativas son más habituales en el menisco medial que en el lateral, con una prevalencia de 28% versus 12%, respectivamente.3
En 2017, la ESSKA elaboró un consenso para definir las lesiones degenerativas: se definió como una lesión de menisco que ocurre sin antecedente traumático específico de rodilla en un paciente mayor a treinta y cinco años. Se excluyeron las lesiones congénitas, los desgarros de menisco traumáticos y las lesiones degenerativas que ocurren en pacientes jóvenes, especialmente en atletas.4
Las indicaciones de reparación meniscal horizontal tienden a su expansión, dado los buenos resultados obtenidos comparativamente similares a los de otros patrones meniscales en pacientes jóvenes, sanos y activos. El candidato ideal es el adulto joven (<50 años), con rodilla estable, sin artrosis, con dolor persistente, luego de no mejorar con el tratamiento conservador (con rehabilitación kinesiológica y modificación de sus actividades). Algunos autores describen resultados inferiores con el aumento de la edad. Las contraindicaciones para la reparación son la edad avanzada, artrosis, inestabilidad, y la incapacidad de cumplir con el protocolo de rehabilitación. Las lesiones complejas, multiplanares, con flap avascular que tienen muy poco potencial de cicatrización son tratadas con meniscectomía parcial.2, 5
En 2002, Peter Myers y Kevin Boyd1 presentaron una revisión bibliográfica que describe a las lesiones meniscales horizontales como difíciles de manejar y no adecuadas para la reparación. Recomendaban, en ese momento, la escisión de la hoja inferior del menisco, tratando de dejar la hoja superior intacta.
Desde 2002, la mayoría de los ensayos controlados aleatorios que abordan el tratamiento de las lesiones degenerativas no demostró ningún beneficio adicional de la meniscectomía parcial en comparación con el tratamiento no quirúrgico en un seguimiento a corto y mediano plazo.2, 4-10, 13, 14
En 2013, Yim y cols.13 estudiaron ciento dos pacientes con lesión horizontal de menisco medial. A la mitad le realizaron una meniscectomía parcial y a la otra mitad, tratamiento médico (analgesia, ejercicios y fortalecimiento). Concluyeron que no existió diferencia significativa entre la meniscectomía parcial artroscópica y el manejo no quirúrgico en términos de alivio del dolor, mejoría de la función o mayor satisfacción después de dos años de seguimiento, por lo que desaconsejaban el tratamiento quirúrgico.
A su vez, como ya mencionamos, sabemos que no todas las lesiones horizontales afectan solo a personas mayores. En algunos casos, pacientes jóvenes atletas presentan este tipo de lesiones, no son traumáticas, pero tampoco son estrictamente degenerativas. La etiología sigue siendo desconocida, pero puede deberse a la sobrecarga articular. Es importante diferenciar estos casos ya que se verían más beneficiados con un tratamiento quirúrgico. Así asegura Pujols y cols.11 en una revisión publicada en 2013. Observaron que la reparación meniscal abierta arrojó un 75–80% de resultados buenos a excelentes. Refuerza la corriente de que la reparación meniscal horizontal proporciona buenos resultados funcionales a mediano plazo, al preservar la mayor cantidad de tejido meniscal.
En las últimas dos décadas, con la adopción general de la artroscopía, ha habido una mejora en las técnicas quirúrgicas para evaluar y tratar la patología meniscal. Estas mejoras, junto con una mejor comprensión de las propiedades biomecánicas de los meniscos, han llevado a un cambio en el tratamiento de las lesiones meniscales con una tendencia hacia su preservación. La preservación meniscal incluye no tratar quirúrgicamente pequeños desgarros o lesiones parciales, la meniscectomía parcial y las técnicas de reparación meniscal.
Al principio de los 2000 estas lesiones eran tratadas con más frecuencia con meniscectomía parcial resecando la hoja inferior; luego, comenzamos con las reparaciones de este tipo de lesión cuando hacíamos la meniscoplastia en meniscos externos discoideos, los cuales habitualmente se asocian con lesiones en hoja de libro amplias, y su remoción deja meniscos muy débiles y finos. Con esta experiencia, y sus buenos resultados, nos entusiasmamos y ampliamos la indicación para pacientes jóvenes y deportistas.
Diversas técnicas han sido descriptas para la reparación meniscal de las lesiones horizontales tipo clivaje, incluyendo la técnica abierta, dentro-fuera y todo-adentro.15-17 La técnica todo-adentro tiene la ventaja de disminuir la lesión con la aguja, reduce el tiempo quirúrgico y presenta menos dificultades técnicas cuando se la compara con la técnica dentro-fuera. De todas maneras, no hay diferencias en resultados funcionales, complicaciones o tasa de falla.18-20 Poder contar con pinzas tipo “Knee Scorpion TM” (Arthrex, Fl., EE. UU.) de rodilla ha expandido las indicaciones con técnicas todo-adentro, permitiéndonos realizar reparaciones con puntos de compresión circunferencial con este simple instrumento. Esta configuración de puntos permite una compresión entre la hoja superior y la inferior y crea un mejor escenario para promover y estimular la cicatrización meniscal. Además, esta configuración demuestra tener mayor resistencia a la carga y falla de todos los patrones de reparación.21 En estos casos, comenzamos aplicando la técnica fuera-dentro usando Vicryl N1, y actualmente contamos con la posibilidad de realizar reparaciones todo adentro con la pinza “Knee Scorpion TM Suture Passer” (Arthrex).
En apoyo a esta corriente de tratamiento, una revisión bibliográfica de 2014 presentada por Kurzweil y cols.2 evaluó noventa y ocho pacientes a los que se les realizó reparación meniscal por lesiones horizontales cuyo éxito general fue del 76%. Concluyen que la literatura no apoya la hipótesis de que las lesiones horizontales reparadas quirúrgicamente tienen una tasa de éxito inaceptablemente baja. Más bien, muestran una tasa de éxito comparable a la reparación de otros tipos de desgarros meniscales.
Para finalizar, encontramos un trabajo biomecánico presentado en 2020 por Chao-Hua Fang y cols.12 que nos pareció interesante ya que busca poner en duda la teoría descripta previamente por Peter Myers y Kevin Boyd1 en 2002. En este estudio se evaluó la presión máxima del compartimento medial en alineación neutra, cuyos resultados son significativos teniendo en cuenta la relación directa de este tipo de lesiones con la osteoartritis articular: 1.95 ± 0.57 MPa con el menisco intacto, 2.45 ± 0.87 MPa con resección de una sola hoja y 2.54 ± 0.76 MPa con resección de las dos hojas. Se entiende que, en términos de sobrecarga, no hay diferencia significativa con la resección parcial de una o ambas hojas del menisco.
La cirugía de menisco ha recorrido un largo camino desde el viejo eslogan "si está roto, sáquelo", al actualmente aceptado "si está roto, repárelo”, con el objetivo de salvar el menisco que ahora guía los métodos de tratamiento modernos en evolución para las lesiones meniscales. "Save the meniscus" es el eslogan que probablemente constituirá la base de los nuevos métodos alternativos de tratamiento biológico en el futuro.
Creemos que nuestro trabajo aporta una serie grande para este tipo de reparaciones, si bien tiene las limitaciones metodológicas de ser retrospectivo, sin grupo control y con un N bajo para el análisis estadístico, es comprensible por la baja incidencia de este tipo de reparaciones. Aclaramos que no excluimos a los pacientes a los que se les realizó concomitantemente plástica del LCA ya que las publicaciones actuales de reparaciones meniscales no muestran resultados inferiores en estos.
Por otro lado, no se realizó control con RM de rutina ya que su interpretación ha resultado ser muy dificultosa.22
CONCLUSIÓN
La reparación meniscal horizontal proporciona buenos resultados funcionales a mediano plazo al preservar la mayor cantidad de tejido meniscal.
Creemos que es momento de un cambio de enfoque en este tipo de lesiones, la meniscectomía total o parcial no debería seguir siendo la “indicación de elección” en lesiones meniscales horizontales. En cambio, la preservación meniscal debería ser nuestro objetivo principal siempre que sea posible.
BIBLIOGRAFÍA
1. Boyd KT; Myers PT. Meniscus preservation; rationale, repair techniques and results. Knee, 2003; Mar; 10(1): 1-11. DOI:10.1016/s0968-0160(02)00147-3. Review.
2. Kurzweil PR; Lynch NM; Coleman S; Kearney B. Repair of horizontal meniscus tears: A systematic review. Arthroscopy, 2014; 30(11): 1513–9.
3. Englund M; Guermazi A; Gale D; Hunter DJ; Aliabadi P; Clancy M; Felson DT. Incidental meniscal findings on knee MRI in middle-aged and elderly persons. N Engl J Med, 2008; 359(11): 1108–15.
4. Beaufils Ph; Becker R; Kopf S; Englund M; Verdonk R; Ollivier M; Seil R. Surgical management of degenerative meniscus lesions: the 2016 ESSKA meniscus consensus. Knee Surg Sports Traumatol Arthrosc, 2017; 25(2): 335–46.
5. Tengrootenhuysen M; Meermans G; Pittoors K; van Riet R; Victor J. Long-term outcome after meniscal repair. Knee Surg Sports Traumatol Arthrosc, 2011; 19: 236–41.
6. Herrlin SV; Wange PO; Lapidus G; Hållander M; Werner S; Weidenhielm L. Is arthroscopic surgery beneficial in treating non-traumatic, degenerative medial meniscal tears? A five year follow-up. Knee Surg Sports Traumatol Arthrosc, 2013; 21: 358–64.
7. Katz JN; Brophy RH; Chaisson CE; de Chaves L; et al. Surgery versus physical therapy for a meniscal tear and osteoarthritis. N Engl J Med, 2013; 368: 1675–84.
8. Kirkley A; Birmingham TB; Litchfield RB; Giffin JR; Willits KR; Wong CJ; Feagan BG; Donner A; Griffin SH; D’Ascanio LM; Pope JE; Fowler PJ. A randomized trial of arthroscopic surgery for osteoarthritis of the knee. N Engl J Med, 2008; 359: 1097–107.
9. Sihvonen R; Paavola M; Malmivaara A; et al. Arthroscopic partial meniscectomy versus sham surgery for a degenerative meniscal tear. N Engl J Med, 2013; 369: 2515–24.
11. Beaufils P; Pujol N. Management of traumatic meniscal tear and degenerative meniscal lesions. Save the meniscus. Orthop Traumatol Surg Res, 2017; 103(8): S237–S244.
12. Chao-Hua Fang; Hua Liu; Zheng-Lin Di; Jun-Hui Zhang. Arthroscopic all-inside repair with suture hook for horizontal tear of the lateral meniscus at the popliteal hiatus region: A preliminary report. BMCMusculoskeletDisord, 2020; Jan 29; 21(1): 52.
13. Yim JH; Seon JK; Song EK; Choi JI; Kim MC; Lee KB; Seo HY. A comparative study of meniscectomy and nonoperative treatment for degenerative horizontal tears of the medial meniscus. Am J Sports Med, 2013; Jul; 41(7): 1565-70.
14. Herrlin S; Hållander M; Wange P; Weidenhielm L; Werner S. Arthroscopic or conservative treatment of degenerative medial meniscal tears: a prospective randomised trial. Knee Surg Sports Traumatol Arthrosc, 2007; 15: 393–401. DOI:10.1007/s00167-006-0243-2
15. Saliman JD. The circumferential compression stitch for meniscus repair. Arthrosc Tech, 2013; 2: e257–e264.
16. Pujol N; Bohu Y; Boisrenoult P; Macdes A; Beaufils P. Clinical outcomes of open meniscal repair of horizontal meniscal tears in young patients. Knee Surg Sports Traumatol Arthrosc, 2013; 21: 1530–3.
17. Rubman MH; Noyes FR; Barber-Westin SD. Arthroscopic repair of meniscal tears that extend into the avascular zone. A review of 198 single and complex tears. Am J Sports Med, 1998; 26: 87–95.
18. Grant JA; Wilde J; Miller BS; Bedi A. Comparison of inside-out and all-inside techniques for the repair of isolated meniscal tears: A systematic review. Am J Sports Med, 2012; 40: 459–68.
19. Fillingham YA; Riboh JC; Erickson BJ; Bach BR Jr; Yanke AB. Inside-out versus all-inside repair of isolated meniscal tears. Am J Sports Med, 2017; 45: 234–42.
20. Ayeni O; Peterson D; Chan K; Javidan A; Gandhi R. Suture repair versus arrow repair for symptomatic meniscus tears of the knee: A systematic review. JKnee Surg, 2012; 25: 397–402.
21. Aşík M; Sener N. Failure strength of repair devices versus meniscus suturing techniques. Knee Surg Sports Traumatol Arthrosc, 2002; 10: 25–9.
22. Hantes ME; Zachos VC; Zibis AH; Papanagiotou P; Karachalios T; Malizos KN; Karantanas AH. Evaluation of meniscal repair with serial magnetic resonance imaging: a comparative study between conventional MRI and indirect MR arthrography. Eur J Radiol, 2004; 50: 231-7.