Fijación artroscópica de la fractura por avulsión de espina tibial: resultados con cinco años de seguimiento
Mariano Ariel García Bistolfi; Juan Zícaro; Tomás Gorodischer; Carlos Yacuzzi; Matías Costa Paz
Hospital Italiano de Buenos Aires, C.A.B.A., Argentina
RESUMEN
Introducción: las fracturas por avulsión del ligamento cruzado anterior (LCA) en adultos son inusuales y en general se deben a traumatismos de alta energía. Nuestro objetivo fue evaluar clínica y funcionalmente una serie de pacientes adultos con avulsión de espina tibial.
Materiales y métodos: analizamos doce pacientes operados por avulsión de espina tibial entre diciembre de 2009 y diciembre de 2019 tratados con reducción y fijación artroscópica mediante suturas pull-out o tornillos canulados. Evaluamos el rango de movilidad articular (RMA) y la estabilidad postoperatoria con pruebas de Lachman, pivot shift y KT-1000, así como el retorno al deporte y resultados funcionales con las escalas de Lysholm e IKDC. Examinamos consolidación radiográfica y complicaciones postquirúrgicas.
Resultados: ocho pacientes fueron incluidos. Cuatro tratados con tornillos canulados (grupo 1) y cuatro con suturas pull-out(grupo 2) con edad promedio de veintinueve años y seguimiento promedio de setenta y ocho y cuarenta y dos meses (grupos 1 y 2, respectivamente). Todos recuperaron el RMA, presentaron Lachman y pivot shift negativos y KT-1000 <3 mm. Tres de cinco pacientes retomaron deportes de pívot. Todos los pacientes presentaron consolidación radiográfica. No se registraron complicaciones postoperatorias.
Conclusión: ambas técnicas quirúrgicas fueron efectivas para restablecer la estabilidad articular, lograr buenos resultados funcionales a corto y mediano plazo y alcanzar la consolidación radiográfica en los primeros tres meses postoperatorios.
Tipo de estudio: Serie de casos
Nivel de evidencia: IV
Palabras clave: Avulsión; Fractura; Espina Tibial; Fijación Artroscópica
ABSTRACT
Introduction: avulsion fractures of the anterior cruciate ligament (ACL) are rare in adults and generally due to high-energy trauma. The objective of this paper was to evaluate clinically and functionally a series of adult patients with anterior tibial eminence fractures treated with reduction and arthroscopic fixation using “pull-out” sutures or cannulated screws.
Materials and methods: twelve patients operated on anterior tibial eminence fractures between December of 2009 and December of 2019 were analyzed in whom arthroscopic treatment was performed with “pull-out” sutures or cannulated screws. We evaluated the joint range of motion (ROM) and postoperative stability with Lachman, Pivot-Shift, and KT-1000 tests. Return to sport and functional results were evaluated with the Lysholm and IKDC scales. We analyzed radiographic consolidation and postsurgical complications.
Results: eight patients were included. Four of them were treated with cannulated screws (group 1) and four with pull-out sutures (group 2) with a mean age of twenty-nine years and a mean follow-up of seventy-eight and forty-two months (groups 1 and 2, respectively). All of them recovered the ROM, presented negative Lachman and Pivot-Shift, and KT-1000 <3 mm at last follow-up. Three out of five patients returned to pivoting sports. The Lysholm average was 98.75 (group 1) and 91.25 (group 2). The IKDC average was 85.25 (group 1) and 74.67 (group 2). All patients presented radiographic consolidation. No postoperative complications were recorded.
Conclusion: both surgical techniques were effective in restoring joint stability, achieving good functional results in the short and medium-term, and achieving radiographic consolidation in the first three postoperative months.
Type of Study: Case series
Level of evidence: IV
Keywords: Avulsion; Fracture; Tibial Eminence; Arthroscopic Fixation
INTRODUCCIÓN
Las fracturas por avulsión del ligamento cruzado anterior (LCA) fueron descriptas por primera vez en 1875 por Poncet. Son lesiones intraarticulares que afectan principalmente a la población pediátrica como resultado de un traumatismo en flexión forzada combinada con rotación interna en un hueso inmaduro, en el que el LCA presenta mayor resistencia que la eminencia tibial aún no osificada en la cual se inserta.1 En adultos este tipo de lesiones son inusuales y en general se deben a traumatismos de alta energía, con un mecanismo de hiperextensión, valgo y rotación externa en los que es frecuente encontrar lesiones asociadas.2
En 1959 Meyers y McKeever clasificaron por primera vez este tipo de fracturas en tipo I, fracturas de desplazamiento mínimo o nulo; tipo II, desplazamiento de un tercio anterior con bisagra posterior intacta; y tipo III, desplazamiento completo del fragmento óseo.3
Zaricznyj, en 1977, agregó el tipo IV para las fracturas conminutas.4 La reducción y fijación artroscópica es la cirugía de elección en aquellas fracturas por avulsión desplazadas tipo II, III y IV.
Se han descripto múltiples técnicas quirúrgicas: suturas hacia afuera, tornillos canulados retrógrados y anterógrados, clavos biodegradables, suturas metálicas y arpones.5-8 No hay consenso respecto a si algún método de fijación artroscópico es superior a otro.9, 10 Las técnicas más utilizadas en la actualidad son la sutura hacia afuera (pull-out) y los tornillos canulados.9, 10
El objetivo principal de este trabajo fue realizar una evaluación clínica funcional de una serie de pacientes adultos con fractura por avulsión de espina tibial tratados con reducción y fijación artroscópica mediante suturas hacia afuera o tornillos canulados.
MATERIALES Y MÉTODOS
Se analizó de manera retrospectiva una serie de pacientes operados por avulsión de espina tibial entre los meses de diciembre de 2009 y 2019. Todos los procedimientos fueron efectuados en nuestra institución por el mismo equipo quirúrgico.
La búsqueda se realizó a través de una base de datos de la Historia Clínica Electrónica de nuestro hospital. Se incluyeron pacientes con madurez esquelética, mayores a diecisiete años con un seguimiento mínimo de doce meses. Se excluyeron pacientes con avulsión del ligamento cruzado posterior (LCP).
Se clasificaron las fracturas según Meyers y McKeevers utilizando el par radiográfico frente y perfil de rodilla.3, 4 Se solicitó resonancia magnética (RM) para descartar lesiones meniscales, ligamentarias y del cartílago asociadas y una tomografía computada (TC) para confirmar el tipo de avulsión, el grado de conminución y para realizar el planeamiento quirúrgico.
Se analizaron las distintas técnicas quirúrgicas. La indicación se determinó según el tamaño y fragmentación de la lesión. Se dividió la serie en dos grupos acorde al tratamiento indicado: en las fracturas que preservaron un fragmento completo mayor a 15 mm se indicaron tornillos tipo Herbert (grupo 1); en los casos de conminución, fijación con suturas tipo pull-out (hacia afuera) de alta resistencia (grupo 2).
Para la evaluación clínica se estudió en la última consulta el rango de movilidad articular (RMA) con goniómetro, se consideró completo entre 0 y 120°. La estabilidad anterior se evaluó con la maniobra de Lachman y pivot shift y de forma objetiva con el artrómetro de rodilla KT-1000 (MEDMetric, San Diego, CA). Se calificó el LCA como “insuficiente” cuando la diferencia entre ambas rodillas fue mayor a 5 mm utilizando la fuerza manual máxima.11 Diferencias menores a 3 mm fueron consideradas como “óptimas” y entre 3-5 mm como “regulares”.12 Se analizó también el retorno a la actividad deportiva.
La evaluación subjetiva se realizó mediante la escala de Lysholm y el formulario de la International Knee Documentation Committee (IKDC).
Se solicitó el par radiográfico frente y perfil de rodilla a los tres y seis meses para evaluar signos de consolidación.
Se registraron las siguientes complicaciones postquirúrgicas: pseudoartrosis, laxitud residual, artrofibrosis, infección superficial o profunda.
TÉCNICA QUIRÚRGICA
Todos los pacientes fueron intervenidos quirúrgicamente con bloqueo selectivo asociado a sedación. El procedimiento fue realizado con el paciente en decúbito dorsal con soporte de rodilla en 90° de flexión y manguito hemostático.
En primera instancia se efectuó una artroscopía utilizando portales habituales artroscópicos parapatelar lateral y medial para evaluación del cartílago y ambos meniscos y se los trató en caso de ser necesario.
Utilizando el gancho palpador se identificó la fractura y luego con un shaver se hizo un desbridamiento del foco y resección del tejido interpuesto. Luego se redujo la espina tibial con gancho palpador y pinza artroscópica de tejido y se definió la fijación.
Suturas hacia afuera
Se efectuaron dos túneles tibiales con una mecha de 4.5 mm, uno medial y otro lateral al fragmento avulsionado (fig. 1A). Luego se pasaron dos suturas de alta resistencia (Fiberwire®) N° 2 no reabsorbibles a través de las fibras del LCA con una aguja curva o “cola de chancho”, inmediatamente proximal al fragmento avulsionado tomando la mayor cantidad de tejido posible (fig. 1B).13
Otra alternativa a la descripta puede ser atravesar el fragmento óseo,14 en ese caso, se debe realizar un túnel más en el centro del lecho de la fractura para bajar las suturas.
Posteriormente se “cruzan” las suturas de manera que el LCA y el fragmento óseo quede “abrazado” por estas (fig. 1C), y se retiran a través de los túneles medial y lateral. Para la fijación en la cara anterior de la tibia (fig. 1D), se utiliza un botón cortical con la rodilla flexionada a 30°.5
Figura 1: Secuencia artroscópica de reducción y fijación con suturas pull-out.
A) Avulsión de espina tibial. B) Apertura de ojal a través de la sustancia del LCA. C) Tracción y reducción mediante suturas. D) Confección de túneles tibiales para luego atravesar la sutura de alta resistencia.
Reducción y osteosíntesis con tornillos de Herbert
Para la colocación de los tornillos canulados anterógrados, una vez reducido el fragmento avulsionado, a través del portal medio-patelar de Patel y con la rodilla flexionada a 90°, colocamos una guía roscada AO de 1.25 mm (fig. 2A). Introducimos luego uno o dos tornillos canulados tipo Herbert de 3.5 mm a través de la guía (fig. 2B),7 dependiendo del tamaño del fragmento óseo, para darle compresión (fig. 2C) y lograr su adecuada reducción (fig. 2D).
Figura 2: Reducción y osteosíntesis con tornillos Herbert anterógrados. A) Reducción con grasper y fijación con dos clavijas del fragmento avulsionado, una por medial y otra por lateral. B) Realización del túnel con mecha para tornillo de 3.5 mm. C) Compresión del fragmento. D) Imagen final de la reducción alcanzada.
Rehabilitación postoperatoria
Todos los pacientes utilizaron férula en extensión de rodilla y restricción de carga por seis semanas. Se indicaron ejercicios de movilidad pasiva de 0 a 45° y fortalecimiento muscular isométrico del cuádriceps desde el tercer día postoperatorio. Se progresó el rango de movilidad según tolerancia con el objetivo de alcanzar un RMA completo antes de las seis semanas.
Se indicó carga parcial entre la sexta y la octava semana según el control radiográfico.
El retorno a la actividad sin impacto comenzó entre la octava y la duodécima semana, para progresar a la de impacto luego del cuarto mes. Se estimó el retorno deportivo entre el sexto y el séptimo mes.
RESULTADOS
Doce pacientes cumplieron con los criterios de inclusión. Cuatro de ellos se perdieron en el seguimiento, por lo que finalmente cuatro fueron incluidos en el análisis. Siete de ellos fueron hombres. Siete rodillas izquierdas. El tipo de fractura por avulsión de cada paciente se detalla en la Tabla 1. Cuatro fueron tratados con tornillos canulados tipo Herbert de 3.5 mm (grupo 1) y cuatro con sutura hacia afuera (pull-out) (grupo 2). La edad promedio al momento de la cirugía fue de veintinueve años (rango de diecisiete a cuarenta y cinco años), con un seguimiento medio de setenta y ocho meses (rango de treinta y seis a ciento veinte) para el grupo 1 y de cuarenta y dos meses (rango de doce a sesenta) para el grupo 2.
En ningún caso hubo que realizar extracción del material de osteosíntesis por intolerancia o dolor.
En la evaluación clínica al último seguimiento, todos los pacientes recuperaron el rango de movilidad completo. Todos los pacientes presentaron maniobra de Lachman con un tope claro y pivot shift negativo. En la evaluación objetiva con KT 1000, todos presentaron un resultado óptimo (Tabla 1).
TABLA 1: DATOS DEMOGRÁFICOS, QUIRÚRGICOS, ESCALAS SUBJETIVAS Y PRUEBAS DE ESTABILIDAD
Paciente |
Edad (años) |
Clasificación Meyers y McKeevers |
Método |
IKDC |
Lysholm |
KT1000* (mm) |
1 |
17 |
2 |
Sutura |
81 |
80 |
1 |
2 |
19 |
2 |
Tornillos Herbert |
94 |
100 |
1 |
3 |
34 |
4 |
Sutura |
80 |
93 |
3 |
4 |
33 |
3A |
Sutura |
69 |
100 |
0 |
5 |
29 |
3A |
Sutura |
67 |
92 |
1 |
6 |
29 |
4 |
Tornillos Herbert |
86 |
91 |
1 |
7 |
45 |
3B |
Tornillos Herbert |
67 |
99 |
0 |
8 |
29 |
2 |
Tornillos Herbert |
94 |
100 |
3 |
* Los valores refieren a la diferencia de traslación anterior en mm en comparación con la rodilla sana contralateral.
Cinco pacientes jugaban al fútbol antes de la lesión y tres practicaban deportes de impacto sin pívot (corredor y ejercicio funcional). Tres de los cinco que realizaban deporte de pívot retomaron su actividad deportiva. Los dos restantes no volvieron a practicar fútbol, uno por decisión propia y otro por referir inestabilidad subjetiva.
En la escala de Lysholm postoperatoria obtuvimos un promedio de 94 puntos (rango 80-100) y en el IKDC de 80 (rango 67-94). El promedio de la escala de Lysholm en el grupo 1 fue 98.75 y en el grupo 2, 91.25. El promedio de la escala de IKDC en el grupo 1 fue 85.25 y en el grupo 2, 74.67.
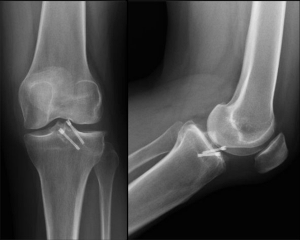
Se constató consolidación radiográfica de la avulsión en todos los casos (fig. 3).
No se registraron complicaciones a corto o mediano plazo en ninguno de los pacientes.
Figura 3: Radiografía de rodilla izquierda frente y perfil. Consolidación de la fractura por avulsión de espina tibial tratada con dos tornillos Herbert anterógrados.
DISCUSIÓN
Lo más importante para destacar en nuestra serie es que todos los pacientes evolucionaron con consolidación de la avulsión del LCA, y recuperaron la estabilidad articular con ambas técnicas quirúrgicas.
Independientemente del tipo de avulsión, la indicación quirúrgica es para aquellos casos con desplazamiento completo,3, 4 cuando presentan inestabilidad clínica y para aquellas en las que inicialmente el manejo fue conservador y luego perdieron su reducción.
Para la fijación del fragmento se han descripto suturas de alta resistencia, tornillos anterógrados y retrógrados, e incluso clavijas biodegradables. Estudios biomecánicos para los diferentes métodos de fijación no encuentran resultados categóricos hacia una técnica u otra. Un estudio cadavérico publicado por Bong y cols.15 concluyó que la sutura Fiberwire® presenta mayor resistencia que la osteosíntesis con tornillo Herbert (p = 0.0038). Por otro lado, Tsukada y cols.16 evaluaron la traslación anterior de la tibia en quince rodillas cadavéricas y determinaron que la suturas pull-out fueron las que menor resistencia a la traslación presentaron (2.2 ± 0.8 mm) en comparación con tornillos retrógrados (2.0 ± 0.6 mm) y anterógrados (1.0 ± 0.2 mm). En términos de propiedades biomecánicas ambas son técnicas comparables y efectivas en el tratamiento de fracturas por avulsión de la eminencia tibial.16, 17
Un parámetro importante a la hora de definir la estrategia quirúrgica son las lesiones asociadas y la interposición de partes blandas que habitualmente encontramos en las lesiones de alta energía. Según la serie publicada por Kocher y cols.,17 un 26% de las fracturas tipo II y un 65% del tipo III presentaron atrapamiento de partes blandas, y el cuerno anterior del menisco interno fue el de mayor frecuencia. Lowe y cols.18 demostraron que la irreductibilidad del fragmento en muchas oportunidades se debe a un mecanismo de cuerda de arco en el que el fragmento óseo avulsionado queda unido, tanto al LCA como al cuerno anterior del menisco externo.
Si bien cada técnica tiene sus ventajas y desventajas no hay evidencia suficiente que asegure que un método de fijación es mejor que otro en cuanto a tiempos de consolidación o resultados funcionales.9, 10, 19
En nuestra serie todos los pacientes en ambos grupos presentaron consolidación radiográfica a los tres meses de seguimiento. Esto condice con los resultados publicados por Pan y cols., quienes reportaron setenta y nueve días promedio (rango 69-102) con tornillos canulados y de 79.7 (rango 60-98) para las suturas pull-out (p = 0.757).10
En la literatura, los resultados funcionales son similares entre las distintas series. Aunque Pan y cols.10 reportaron resultados levemente superiores en la escala de Lysholm, IKDC y Tegner para los pacientes tratados con tornillos canulados, Hunter y Willis20 publicaron mejores resultados funcionales con suturas pull-out, particularmente en pacientes jóvenes. Sin embargo, podría tratarse de un sesgo de selección, ya que la edad promedio de los pacientes tratados con sutura fue de 12.4 años (rango 7-25) y la del grupo tratado con tornillos canulados fue de 39.5 años (rango 16-60).
Si bien la laxitud residual postoperatoria es la complicación más frecuente,21 la mayoría concluye que esta no es sintomática y que los pacientes no presentan inestabilidad subjetiva.20, 22 Lee y cols. encontraron que cuatro de sus ocho pacientes tenían laxitud clínica en las pruebas de KT-1000 y debilidad muscular en el estudio isocinético (Cybex) en un promedio de cuarenta y ocho meses después de la cirugía.23 Willis y cols. también encontraron laxitud ligamentaria residual medida con KT-1000 en treinta y siete de cincuenta pacientes con un seguimiento promedio de cuarenta y ocho meses; sin embargo, ninguno de sus pacientes manifestó inestabilidad sintomática independientemente del tipo de tratamiento utilizado.22
En nuestra serie las maniobras para inestabilidad fueron negativas en todos los pacientes y la medición de la diferencia lado a lado tomada con el KT-1000 fue menor a 3 mm en ambos grupos. Solo un paciente refirió sensación de inestabilidad, por lo que abandonó la práctica deportiva.
Dentro de otras complicaciones, la pseudoartrosis presenta una incidencia del 1.7% y se ve habitualmente en fracturas tipo III tratadas de manera conservadora.24 Distintos autores reportaron un déficit de extensión y flexión promedio de 1.5° y 2.7° respectivamente.20 La pérdida de más de 10° del ROM se debe principalmente al pinzamiento mecánico o bien a la artrofibrosis.25
Las principales limitaciones de nuestro trabajo son aquellas propias de una serie retrospectiva y con un bajo número de pacientes, que no nos permite establecer comparaciones ni conclusiones contundentes.
CONCLUSIÓN
Ambos métodos quirúrgicos utilizados para la fijación de fracturas por avulsión de la eminencia tibial fueron efectivos para restablecer la estabilidad articular, y lograron un resultado funcional satisfactorio luego de cinco años de seguimiento promedio.
Conflicto de interés
Los autores declaran no tener ningún conflicto de interés en el presente artículo.
BIBLIOGRAFÍA
1. Scrimshire AB; Gawad M; Davies R; George H. Management and outcomes of isolated paediatric tibial spine fractures. Injury, 2018; Feb; 49(2): 437–42.
2. Anderson CN; Anderson AF. Tibial eminence fractures. Clin Sports Med, 2011; Oct; 30(4): 727–42.
3. Meyers MH; McKeever FM. Fracture of the intercondylar eminence of the tibia. J Bone Joint Surg Am, 1959; Mar; 41-A(2): 209–20; discussion 220-2.
4. Zaricznyj B. Avulsion fracture of the tibial eminence: treatment by open reduction and pinning. J Bone Joint Surg Am, 1977; Dec; 59(8): 1111–4.
5. Pandey V; Cps S; Acharya K; Rao SK. Arthroscopic suture pull-out fixation of displaced tibial spine avulsion fracture. J Knee Surg, 2017; Jan; 30(1): 28–35.
6. Gigante A; Setaro N; Rotini M; Finzi SS; Marinelli M. Intercondylar eminence fracture treated by resorbable magnesium screws osteosynthesis: A case series. Injury, 2018; Nov; 49 Suppl 3: S48–53.
7. Wiegand N; Naumov I; Vámhidy L; Nöt LG. Arthroscopic treatment of tibial spine fracture in children with a cannulated Herbert screw. Knee, 2014; Mar; 21(2): 481–5.
8. Li J; Li Z-L; Liao W-X; Zhang H; Wang K-T; Yang Y-M. Clinical research on suture anchor fixation for the treatment of avulsion fracture of tibial intercondylar eminence under arthroscopy. Zhongguo Gu Shang (China journal of orthopaedics and traumatology), 2017; Nov 25; 30(11): 1023–8.
9. Seon JK; Park SJ; Lee KB; Gadikota HR; Kozanek M; Oh LS; et al. A clinical comparison of screw and suture fixation of anterior cruciate ligament tibial avulsion fractures. Am J Sports Med, 2009; Dec; 37(12): 2334–9.
10. Pan R-Y; Yang J-J; Chang J-H; Shen H-C; Lin L-C; Lian Y-T. Clinical outcome of arthroscopic fixation of anterior tibial eminence avulsion fractures in skeletally mature patients: a comparison of suture and screw fixation technique. J Trauma Acute Care Surg, 2012; Feb; 72(2): E88-93.
11. Makino A; Costa Paz M. Evaluación artrométrica de rodilla con KT 1000 en pacientes con ruptura del L.C.A. sin y con anestesia. Artroscopía, 1998; Vol. 5; No 1: 40–3.
12. Rangger C; Daniel DM; Stone ML; Kaufman K. Diagnosis of an ACL disruption with KT-1000 arthrometer measurements. Knee Surg Sports Traumatol Arthrosc, 1993; 1(1): 60–6.
13. Lehman RA; Murphy KP; Machen MS; Kuklo TR. Modified arthroscopic suture fixation of a displaced tibial eminence fracture. Arthroscopy, 2003; Feb; 19(2): E6.
14. Jung YB; Yum JK; Koo BH. A new method for arthroscopic treatment of tibial eminence fractures with eyed Steinmann pins. Arthroscopy, 1999; Sep; 15(6): 672–5.
15. Bong MR; Romero A; Kubiak E; Iesaka K; Heywood CS; Kummer F; et al. Suture versus screw fixation of displaced tibial eminence fractures: a biomechanical comparison. Arthroscopy, 2005; Oct; 21(10): 1172–6.
16. Tsukada H; Ishibashi Y; Tsuda E; Hiraga Y; Toh S. A biomechanical comparison of repair techniques for anterior cruciate ligament tibial avulsion fracture under cyclic loading. Arthroscopy, 2005; Oct; 21(10): 1197–201.
17. Kocher MS; Micheli LJ; Gerbino P; Hresko MT. Tibial eminence fractures in children: prevalence of meniscal entrapment. Am J Sports Med, 2003; Jun; 31(3): 404–7.
18. Lowe J; Chaimsky G; Freedman A; Zion I; Howard C. The anatomy of tibial eminence fractures: arthroscopic observations following failed closed reduction. J Bone Joint Surg Am, 2002; Nov; 84(11): 1933–8.
19. Astoul Bonorino J; Makino A; Costa Paz M; Ayerza M. Tratamiento artroscópico de las fracturas de espina tibial con tornillos canulados tipo Herbert. RAATD [Internet], 2007; Feb; 141(1): 24–7. Consultado el 19 de junio de 2020. Disponible en: https://pesquisa.bvsalud.org/portal/resource/pt/lil-490457
20. Hunter RE; Willis JA. Arthroscopic fixation of avulsion fractures of the tibial eminence: technique and outcome. Arthroscopy, 2004; Feb; 20(2): 113–21.
21. Edmonds EW; Fornari ED; Dashe J; Roocroft JH; King MM; Pennock AT. Results of displaced pediatric tibial spine fractures: A comparison between open, arthroscopic, and closed management. J Pediatr Orthop, 2015; Nov; 35(7): 651–6.
22. Willis RB; Blokker C; Stoll TM; Paterson DC; Galpin RD. Long-term follow-up of anterior tibial eminence fractures. J Pediatr Orthop, 1993; Jun; 13(3): 361–4.
23. Lee YH; Chin LS; Wang NH; Hou CH; Lo WH. Anterior tibial spine fracture in children: follow-up evaluation by biomechanical studies. Zhonghua Yi Xue Za Zhi (Taipei, Chinese Medical Journal), 1996; Sep; 58(3): 183–9.
24. Tuca M; Bernal N; Luderowski E; Green DW. Tibial spine avulsion fractures: treatment update. Curr Opin Pediatr, 2019; 31(1): 103–11.
25. Koukoulias NE; Germanou E; Lola D; Papavasiliou AV; Papastergiou SG. Clinical outcome of arthroscopic suture fixation for tibial eminence fractures in adults. Arthroscopy, 2012; Oct; 28(10): 1472–80.