Artroscopía de cadera en pacientes mayores de cincuenta años. Resultados a mediano plazo
Leonel Pérez Alamino, Daniel Veloz Serrano, Agustín Felipe Catan, Tomás Rafael Vilaseca
RESUMEN
En sus comienzos, la artroscopía de cadera evidenciaba mejores resultados en pacientes jóvenes con síndrome de fricción femoroacetabular (SFFA), pero con el tiempo las indicaciones se extendieron. Actualmente, pacientes de edad avanzada, con bajo grado de daño condral, sin artrosis severa, también presentan buenos resultados funcionales.
El propósito de este estudio es analizar los resultados clínicos y funcionales de los pacientes con edad igual o mayor de cincuenta años que fueron tratados con una artroscopía de cadera con un diagnóstico de SFFA.
Se incluyeron pacientes a partir de los cincuenta años con diagnóstico de síndrome de fricción femoroacetabular (SFFA), a los que se les realizó artroscopía de cadera y que completaron un seguimiento mínimo de tres años. Se registró la presencia de Pincer y CAM. Además, se evaluó el grado de artrosis y daño condral según la escala de Tönnis, y Outerbridge, respectivamente. Los resultados fueron medidos mediante el HHS, HOS y VAS. Se utilizó test de Spearman para evaluar el grado de correlación. Se realizó un análisis de regresión lineal para determinar asociación entre edad y HHS/VAS.
La serie finalmente quedó conformada por cuarenta y un pacientes, con una edad promedio de 54.6 ± 3.9 (50 – 64) con un seguimiento promedio de 4.2 años (3 – 5.5). Se demostró una mejoría estadísticamente significativa en el score de Harris Hip y escala visual análoga (EVA) del dolor postoperatorio (73.6 ± 6.4 versus 88.1 ± 5.1; p <0.01 y 7.2 ± 1.3 versus 2.4 ± 2.0; p <0.01).
La artroscopía de cadera es un procedimiento con muy buenos resultados clínicos y funcionales en pacientes mayores de cincuenta años.
Nivel de Evidencia: IV
Palabras Clave: Artroscopía de Cadera; Preservación Articular; Fricción Femoroacetabular; SFFA.
ABSTRACT
Hip arthroscopy has been reported to achieve great clinical outcomes in young people, and over time, this procedure expanded its indications. Currently, elderly patients, with no or minimum chondral injury, also achieves great results.
The purpose of this retrospective study was to assess patients over fifty years old, with femoro-acetabular impingement syndrome that underwent reported hip arthroscopy.
All patients underwent hip arthroscopy due to FAI syndrome and completed three years minimum follow-up. Tönnis osteoarthritis and Outerbridge chondral damage scales were used. Surgery outcomes were assessed with HHS, HOS and VAS. Correlation was assessed by Spearman test. Linear regression analysis was performed to evaluate grade of association between age and HHS/VAS.
Forty-one patients underwent full analysis, with a mean age of 54.6 ± 3.9 (50 – 64) and a mean follow up of 4.2 (3 – 5.5) years. We observed statistically significant improvement of HHS and VAS after surgery (73.6 ± 6.4 versus 88.1 ± 5.1; p <0.01 and 7.2 ± 1.3 versus 2.4 ± 2.0; p <0.01).
Hip arthroscopy achieves good clinical outcomes in patients over fifty years.
Level of Evidence: IV
Key Words: Hip Arthroscopy; Hip Preservation; FAI; Femoro-Acetabular Syndrome.
INTRODUCCIÓN
En la actualidad, con el objetivo de perfeccionar las técnicas de preservación articular, la artroscopía de cadera ha adquirido una gran reputación, demostrando excelentes resultados a mediano y largo plazo.1–4
Si bien su indicación se ha extendido desde sus comienzos, la más frecuente sigue siendo para el tratamiento del síndrome de fricción femoroacetabular (SFFA).5
Gracias al continuo esfuerzo de la investigación, hoy se conocen distintos factores que se asocian a un mal pronóstico en el tratamiento artroscópico del SFFA, como el estado previo del cartílago, el grado de artrosis, la duración de los síntomas antes de la cirugía o la edad.6
Inicialmente, la artroscopía de cadera se indicaba en pacientes jóvenes, pero en la última década aparecieron las primeras series en pacientes de edad más avanzada.7–9 Algunos autores sostienen que la edad en sí no es un factor individual de riesgo si tenemos en cuenta el estado del cartílago femoral y acetabular.10 En otras palabras, en pacientes de edad avanzada, pero con un grado bajo de daño condral, sin artrosis, también se podrían obtener buenos resultados funcionales.
El propósito de este estudio es analizar retrospectivamente el tratamiento artroscópico del SFFA en pacientes mayores de cincuenta años, enfocándonos en su evolución clínico-radiológica. Nuestra hipótesis es que estos individuos obtienen una mejoría clínica y de satisfacción significativa.
MATERIALES Y MÉTODOS
Se recopilaron datos de individuos operados en nuestro centro entre 2010 y 2017. Todos intervenidos por el mismo cirujano con la misma técnica quirúrgica. En nuestro análisis se incluyeron pacientes a partir de los cincuenta años a los que se les había realizado artroscopía de cadera por un diagnóstico de síndrome de fricción femoroacetabular, y que habían completado un seguimiento mínimo de tres años.
Se excluyeron aquellos que presentaron antecedentes clínicos de artritis reumatoidea, fibromialgia, insuficiencia renal, cáncer o cirugías de cadera previas. Además, no se tuvo en cuenta a los que se habían realizado artroscopía bilateral.
El diagnóstico de SFFA se definió como la presencia de coxartralgia en el examen físico asociado a la presencia de las deformidades tipo Pincer o CAM, que se describen a continuación.11
Análisis radiográfico preoperatorio
Se utilizaron radiografías anteroposterior (AP) y perfil de Dunn.
Se definió como CAM aquellas que presentaban un ángulo alfa en el perfil >50º y Pincer si presentaban alguna de las siguientes características:12
Además se documentó el grado de artrosis según Tönnis utilizando la proyección AP (Tabla 1).13
TABLA 1. ESCALA RADIOGRÁFICA DE TÖNNIS
Grados |
Cambios radiográficos |
0 |
|
1 |
|
2 |
|
3 |
|
Todas las mediciones fueron llevadas a cabo con el software SYNAPSE® (Fujifilm Medical System, EE. UU.) y cuando no se tuvo disponibilidad de las imágenes digitales, las mediciones fueron realizadas con goniómetro por el primer autor.
Se documentó la presencia de lesiones en el labrum por medio de resonancia magnética. En el pedido de estudio se aclaró incluir todos los cortes pertinentes, haciendo énfasis en los cortes axiales a nivel del cuello femoral.
Al momento de realizar el procedimiento se evaluaron las lesiones condrales tanto a nivel femoral como acetabular según la clasificación propuesta por Outerbridge.14
Análisis clínico-funcional
Todos los pacientes que cumplían con los criterios de elegibilidad fueron citados vía telefónica y completaron cuestionarios para evaluar los resultados postoperatorios mediante entrevistas personales. En los casos que no pudieron asistir a consulta, se realizó una entrevista telefónica.
Se utilizaron los scores de Harris Hip15 y escala visual análoga del dolor (EVA).16 En esta última, el rango de puntajes pasibles de elección fue de 0 (sin dolor alguno) a 10 (dolor máximo). En ambos casos se compararon con los valores preoperatorios.
Además, se completó el score de resultados de cadera (HOS, por sus siglas en inglés)17 para actividades de la vida diaria (ADL) y deportiva (Sp) postoperatorios.
Se definió como falla aquel caso en el que existía persistencia de los síntomas luego de nueve meses postoperatorios o que había requerido una nueva intervención, ya sea una nueva artroscopía, osteotomía o artroplastia.
Análisis estadístico
Las variables numéricas se describieron como media y desvío estándar. Las variables categóricas fueron definidas como porcentajes e intervalos de confianza del 95%. Para evaluar la normalidad de las variables continuas utilizamos el test de Schapiro-Wilk. Se compararon los dos grupos (pre y postcirugía) de análisis mediante prueba “t” de Student para las variables continuas, y test de X2 o Fisher para las variables categóricas. El grado de correlación de las variables de edad con HHS y con EVA fue llevado a cabo mediante test de Spearman. Un análisis de regresión lineal fue realizado para evaluar el grado de asociación de la edad con los puntajes de VAS o HHS. Consideramos como significativa una diferencia estadística de p <0.05.
Se utilizó el software Graph Pad Prism 8.0 para el cálculo de datos.
RESULTADOS
Entre 2010 y 2017 se realizaron ciento noventa y ocho artroscopías de cadera, de las cuales cincuenta y tres tuvieron lugar en pacientes con cincuenta años o más. De estos, se excluyeron doce (uno por tratarse de una artritis séptica y once se perdieron en el seguimiento). Nuestra serie finalmente quedó conformada por cuarenta y un pacientes, con una edad promedio de 54.6 ± 3.9 (rango 50 – 64); diecinueve (46.3%) de sexo masculino, y veintidós (53.7%) de sexo femenino, con un seguimiento promedio de 4.2 años (rango 3 – 5.5).
Todos los pacientes habían presentado un patrón mixto (Pincer y CAM). Los valores promedio del ángulo alfa y de Wiberg preoperatorio fueron de 62.65° (rango 50 – 75°) y 39.58° (rango 36 – 45°), respectivamente. Según la escala de Tönnis, el grado 1 fue el que se observó con mayor frecuencia (53.6%). Luego se observaron ocho (19.5%) pacientes con grado 0, y ocho (19.5%) con grado 2.
Se advirtió en resonancia la presencia de lesiones en el labrum anterosuperior en el 100% de los pacientes.
Las lesiones condrales constatadas durante el procedimiento se detallan en la Tabla 2.
TABLA 2. MÉTODO DE OUTERBRIDGE
Paciente |
Sexo |
Edad |
Outerbridge |
||
Fémur |
Acetábulo |
|
|||
|
|||||
1 |
M |
57 |
S/P |
Delaminación |
|
2 |
M |
50 |
S/P |
II |
|
3 |
M |
52 |
S/P |
Delaminación |
|
4 |
M |
57 |
S/P |
II |
|
5 |
F |
59 |
S/P |
Delaminación |
|
6 |
F |
57 |
S/P |
Delaminación |
|
7 |
M |
52 |
S/P |
Delaminación |
|
8 |
F |
61 |
II |
III |
|
9 |
F |
58 |
S/P |
S/P |
|
10 |
M |
57 |
S/P |
Delaminación |
|
11 |
F |
57 |
S/P |
II |
|
12 |
F |
50 |
S/P |
I |
|
13 |
F |
56 |
III |
III |
|
14 |
F |
51 |
II |
II |
|
15 |
F |
66 |
S/P |
II |
|
16 |
F |
57 |
S/P |
II |
|
17 |
F |
55 |
S/P |
II |
|
18 |
F |
54 |
S/P |
S/P |
|
19 |
F |
56 |
S/P |
II |
|
20 |
M |
51 |
S/P |
II |
|
21 |
F |
51 |
S/P |
II |
|
22 |
M |
59 |
S/P |
S/P |
|
23 |
M |
54 |
S/P |
Delaminación |
|
24 |
F |
51 |
S/P |
S/P |
|
25 |
M |
50 |
S/P |
S/P |
|
26 |
M |
52 |
S/P |
II |
|
27 |
M |
64 |
S/P |
Delaminación |
|
28 |
F |
56 |
S/P |
Delaminación |
|
29 |
M |
50 |
S/P |
S/P |
|
30 |
F |
57 |
III |
IV |
|
31 |
M |
50 |
S/P |
II |
|
32 |
M |
57 |
IV |
IV |
|
33 |
F |
54 |
S/P |
IV |
|
34 |
M |
56 |
S/P |
S/P |
|
35 |
M |
54 |
S/P |
IV |
|
36 |
F |
51 |
S/P |
S/P |
|
37 |
F |
52 |
S/P |
II |
|
38 |
F |
50 |
S/P |
II |
|
39 |
M |
50 |
S/P |
S/P |
|
40 |
F |
51 |
S/P |
I |
|
41 |
M |
57 |
S/P |
II |
|
Distribución de pacientes involucrados en el análisis, según sexo, edad y lesiones condrales acorde el método. S/P: sin patología.
La evaluación objetiva demostró una mejoría estadísticamente significativa en el score de Harris postoperatorio (73.6 ± 6.4 versus 88.1 ± 5.1; p <0.01) (fig. 1).
Con respecto a la escala visual análoga del dolor, observamos un descenso estadísticamente significativo (7.2 ± 1.3 versus 2.4 ± 2.0; p <0.01) (fig. 2).
Figura 1: A) Se observa el ascenso significativo de los valores postoperatorios. B) Se muestra un gráfico de análisis pareado de puntos en el que se constata que todos los pacientes presentaron un ascenso del valor postoperatorio con respecto al preoperatorio.

Figura 2: A) Se puede observar un descenso significativo postoperatorio. B) Se muestra un gráfico pareado de puntos en el que se observa cómo todos los individuos, excepto dos, presentaron una disminución del valor de EVA en el postoperatorio. VAS: visual analog scale (EVA, por sus siglas en castellano).
Nuestro análisis indica que no habría relación entre los valores postoperatorios de EVA y HHS con la edad, con un coeficiente de Spearman r = 0.25 (CI95% -0.06 - 0.53); p = 0.10, y r = 0.03 (CI95% = -0.35 a 0.28); p = 0.80, respectivamente (fig. 3).

Figura 3: A) Análisis de regresión lineal entre valores de EVA (VAS) postoperatorios y la edad, sin asociación demostrable. B) Mismo diseño de gráfico que en A, se evidencia que no existe relación entre los valores postoperatorios de HHS y edad.
El score de HOS mostró una puntuación promedio de 89.2 ± 11.4 (rango 30 - 100) para las actividades de la vida diaria y 88.9 ± 15.8 (rango 30 – 100) para el retorno deportivo. Debemos destacar que de los cuarenta y un pacientes operados, diez (24.4%) reportaron que no realizaban deportes antes de la cirugía.
Se detectaron seis fallas (14.6%): dos casos progresaron a reemplazo total de cadera a los nueve y catorce meses postoperatorios (fig. 4), y cuatro presentaban síntomas persistentes luego de los nueve meses de la cirugía, los cuales, a la fecha, no requirieron de un procedimiento adicional.
La sobrevida de la cirugía libre de revisión a los 4.2 años promedio fue del 95.2%.

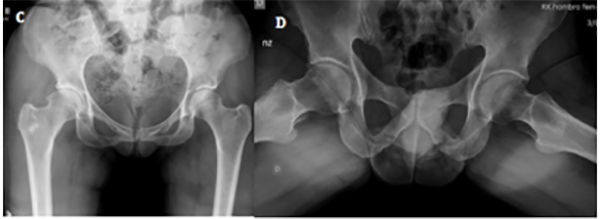
Figura 4: Paciente femenina, cincuenta y siete años. A) Rx frente de ambas caderas, se observa esclerosis subcondral acentuada y signo de cross-over. B) Rx perfil de ambas caderas. Se visualiza el aplanamiento de la transición cabeza-cuello en ambos fémures. C) Rx ambas caderas, frente. Evolución a los tres meses postoperatorios. Se observa pinzamiento de la luz articular de cadera derecha. D) En la radiografía de perfil se constata una buena resección del CAM y del quiste de impacto en cabeza femoral, con progresión de la artrosis. E) Rx de ambas caderas, frente. A los seis meses de la cirugía se presenta a la consulta con coxartrosis polar superior. F) En el perfil se puede observar luz articular colapsada en el borde superoexterno de cadera derecha. G) Rx frente de ambas caderas. A los nueve meses de evolución se realizó la artroplastia total de cadera derecha.
DISCUSIÓN
El hallazgo más relevante de nuestro análisis fue que se observó un incremento estadísticamente significativo de los valores de HHS asociado a un descenso significativo de la escala EVA en pacientes mayores de cincuenta años, con un seguimiento promedio de 4.2 años luego del procedimiento. Esto se condice con otras series reportadas en la literatura, como la de Domb18 y Perets,19 quienes previamente describieron que la artroscopía de cadera puede obtener buenos resultados en este grupo etario.
Se ha señalado que la edad avanzada es un factor de riesgo predisponente de falla del procedimiento5, 20 y que podría asociarse a una mayor tasa de conversión a prótesis de cadera.21–23
Con los datos de nuestra población en estudio, al realizar los análisis de regresión lineal, impresiona que habría una tendencia a que los valores de la escala subjetiva del dolor (EVA) se incrementarían conforme con la edad del paciente al momento de realizarse el procedimiento. Debemos ser cautos con este análisis y comprender que para demostrar esto con certeza hacen falta estudios randomizados y controlados, que involucren una mayor población.
El score de HOS ha sido descripto como un instrumento de medición confiable para evaluar los resultados de los pacientes que se realizaron una artroscopía de cadera, y su validez y reproducibilidad se ha reportado en múltiples oportunidades.17, 24 En nuestra serie pudimos observar una media postoperatoria de 89.2 para las AVD y 88.9 para deportes. Anteriormente, otros autores obtuvieron resultados similares, como el grupo de Lee, que recientemente describió la evaluación de ciento ochenta y nueve pacientes mayores de cuarenta años, con un seguimiento mínimo de tres años y observaron una media de 79.5 y 82, respectivamente.8
En nuestro estudio hubo seis fallas (14.6%), con una tasa de conversión a prótesis total de cadera del 4.8% (dos casos). Las tasas de falla pueden llegar hasta el 20-25% en este grupo etario según algunos reportes.19, 25, 26 Creemos que el hecho de que se observen valores menores se debe principalmente al bajo número de pacientes en comparación con otros reportes (153 versus 41).
En nuestro análisis, un caso de los que tuvieron que convertirse a prótesis se trató de una mujer de cincuenta y siete años, en el cual la luz articular comenzó a mostrar colapso a los tres meses. Debemos mencionar que en la radiografía preoperatoria se observan alteraciones de la forma y estructura compatibles con un grado 2 de la escala de Tönnis, sumado al hallazgo intraoperatorio de lesiones condrales grados 3 y 4, en acetábulo y fémur, respectivamente. Recientemente se ha reportado que un grado avanzado de artrosis y de lesiones condrales predispone a la falla. Esto está respaldado por distintos autores, quienes señalan que mientras más severas sean las lesiones, existen más posibilidades de precisar una artroplastia a mediano plazo.27–30
En nuestra serie incluimos pacientes operados durante los comienzos de la curva de aprendizaje del cirujano, donde estos conceptos no estaban suficientemente respaldados. Los autores de este análisis creen que la edad, como parámetro aislado, no define la indicación de la cirugía. Entendemos que en individuos mayores es lógico que exista un incremento en la incidencia de lesiones condrales más severas, y es aquí donde debemos hacer hincapié para poder detectarlas y así tener la menor tasa de complicaciones posibles.
Entre las limitaciones que presenta nuestro estudio debemos mencionar las propias de tratarse de un análisis retrospectivo, que en algunas ocasiones las mediciones fueron hechas con goniómetro, lo que puede esconder algún grado de sesgo de precisión y que se incluyeron ocho pacientes con un grado de Tönnis 2, que en la actualidad es considerado una contraindicación.
Entre las fortalezas, destacamos que el análisis se basa en una población que ha sido descripta pocas veces en la literatura y que todas las cirugías fueron realizadas por el autor senior de esta presentación, en el mismo centro y con una media de seguimiento de 4.2 años.
CONCLUSIÓN
La artroscopía de cadera es un procedimiento confiable con buenos resultados clínicos y funcionales en pacientes mayores de cincuenta años con dolor debido a síndrome de fricción femoroacetabular.
El presente estudio debe motivarnos a continuar el seguimiento para poder evaluar los resultados a largo plazo.
Conflictos de interés
Ninguno de los autores recibió ningún beneficio por el presente estudio.
BIBLIOGRAFÍA
1. Wierks CH; Philippon MJ; et al. Comparative systematic review of the open dislocation, mini-open, and arthroscopic surgeries for femoroacetabular impingement. Arthroscopy, 2011; 27(2): 252–69.
2. Nasser R; Domb B. Hip arthroscopy for femoroacetabular impingement. Effort Open Rev, 2018; 3(4): 121–9.
3. Byrd JWT; Jones KS. Prospective analysis of hip arthroscopy with 10-year followup. Clin Orthop Relat Res, 2010; 468(3): 741-6.
4. Olach M; Gerhard P; Giesinger K; Lampert C; Erhardt JB. Clinical and radiological outcome at mean follow-up of 11 years after hip arthroscopy. Arch Orthop Trauma Surg, 2019; 139(1): 1-6.
5. Lieberman JR. Hip arthroscopy for femoroacetabular impingement. Arthroscopy, 2019; 35(9): 2759–60.
6. Saadat E; et al. Factors associated with the failure of surgical treatment for femoroacetabular impingement: Review of the literature. Am J Sports Med, 2014; 42(6): 1487–95.
7. Safran MR; Philippon MJ; Ayeni OR; et al. Hip arthroscopy in patients age 40 or older : A systematic review. Arthroscopy, 2017; 33(2): 464-75. DOI:10.1016/j.arthro.2016.06.044
8. Lee J; Hwang D; Kang C; Hwang J. Midterm-clinical outcomes after hip arthroscopy in middle-aged patients with early osteoarthritis. Hip pelvis, 2020; 32(1): 17–25.
9. Capogna BM; et al. Clinical outcomes of hip arthroscopy in patients 60 or older: a minimum of 2-year follow up. Arthroscopy, 2016; 32(12): 2505–10.
10. Gedouin J; et al. Assessment of arthroscopic management of femoroacetabular impingement. A prospective multicenter study. Orthop Traumatol Surg Res, 2010; 96(8 Suppl): 59–67.
11. Griffin DR; et al. The Warwick Agreement on femoroacetabular impingement syndrome (FAI syndrome ): an international consensus statement. Br J Sports Med, 2016; 50(19): 1169–76.
12. Armfield D; Towers J; Robertson D. Radiographic and MR imaging of the athletic hip. Clin Sports Med, 2006; 25(2): 211–39.
13. Clohisy BJC; et al. A systematic approach to plan radiographic evaluation of the young adult hip. J Bone Joint Surg Am, 2008; 90(Suppl 4): 47–66.
14. Outerbridge R. The etiology of chondromalacia patellae. J Bone Joint Surg Br, 1961; 43-B: 752–7.
15. Harris WH. Traumatic arthritis of the hip after dislocation and acetabular fractures: Treatment by mold arthroplasty. An end-result study using a new method of result evaluation. J Bone Joint Surg Am, 1969; 51(4): 737–55.
16. Boonstra AM; Schiphorst HR; Reneman MF; Posthumus JB; Stewart RE. Reliability and validity of the visual analogue scale for disability in patients with chronic musculoskeletal pain. Int J Rehabil Res, 2008; 31(2): 165–9.
17. Martin RL; Kelly BT; Philippon MJ. Evidence of validity for the hip outcome score. Arthroscopy, 2006; 22(12): 1304–11.
18. Domb BG; et al. Outcomes of hip arthroscopy in patients aged 50 years or older compared with a matched-pair control of patients aged 30 years or younger. Arthroscopy, 2015; 31(2): 231–8.
19. Perets I; et al. Hip arthroscopy in patients ages 50 years or older: minimum 5-year outcomes, survivorship, and risk factors for conversion to total hip replacement. Arthroscopy, 2018; 34(11): 3001–9. DOI:10.1016/j.arthro.2018.05.034
20. Frank RM; et al. Outcomes for hip arthroscopy according to sex and age. a comparative matched-group analysis. J Bone Joint Surg Am, 2016; 98(10): 797–804.
21. Comba F; Ali P; Zanotti G; Buttaro M; Piccaluga F. Preservación articular post-artroscopía de cadera a 5 años mínimo de seguimiento. Artroscopía, 2014; Vol. 21, N° 4: 115–20.
22. Philippon M; Briggs K; Kuppersmith DA. Outcomes following hip arthroscopy for femoroacetabular impingement with associated chondrolabral dysfunction. Minimum two-year follow up. J Bone Joint Surg Br, 2009; 91(1): 16–23.
23. Mccarthy B; Ackerman IN; Steiger RD. Progression to total hip arthroplasty following hip arthroscopy. ANZ J Surg, 2018; 1–5. DOI:10.1111/ans.14672
24. Naal FD; Impellizzeri FM; t al. Reproducibility, validity, and responsiveness of the hip outcome score in patients with end-stage. Arthritis Care Res, 2012; 64: 1770–5.
25. Menge TJ; Briggs KK; Dornan GJ; McNamara SC; Philippon MJ. Survivorship and outcomes 10 years following hip arthroscopy for femoroacetabular impingement. J Bone Joint Surg Am, 2017; 99(12): 997–1004.
26. Philippon MJ; Schroder BG; Briggs KK. Hip arthroscopy for femoroacetabular impingement in patients aged 50 years or older. Arthroscopy, 2012; 28(1): 59-65.
27. Utsunomiya H; et al. Predicting severe cartilage damage in the hip: a model using patient-specific data from 2,396 hip arthroscopies. Arthroscopy, 2019; 35(7): 2051-60.e13.
28. Chaharbakhshi E; Perets I; Lall AC; Domb BG. Do larger acetabular chondral defects portend inferior outcomes in patients undergoing arthroscopic acetabular microfracture? A matched-controlled study. Arthroscopy, 2019; 35(7): 2037–47.
29. Trask DJ; Keene JS. Analysis of the current indications for microfracture of chondral lesions in the hip joint. Am J Sports Med, 2016; 44(12): 1–7. DOI:10.1177/0363546516655141
30. Dwyer MK; Lee J; Mccarthy JC. Cartilage status at time of arthroscopy predicts failure in patients with hip dysplasia. J Arthroplasty, 2015; 30(9 Suppl): 121-4. DOI:10.1016/j.arth.2014.12.034