ARTROSCOPIA | VOL. 22, Nº 4 : 142-145 | 2015
REPORTE DE CASO
Tratamiento Artroscópico de las Calcificaciones del Subescapular Reporte de un Caso y Revisión de la Bibliografía
Luciano Andrés Rossi, Adrián Nicolás Sirio, Ignacio Tanoira, Santiago Luis Bongiovanni, Gastón Maignón, Maximiliano Ranalletta
Instituto de Ortopedia y Traumatología “Carlos E. Ottolenghi” Hospital Italiano de Buenos Aires. Argentina.
Esta dirección de correo electrónico está siendo protegida contra los robots de spam. Necesita tener JavaScript habilitado para poder verlo.
RESUMEN
Las calcificaciones del manguito rotador afectan mayormente al tendón del supraespinoso.
El compromiso del tendón del subescapular es menos frecuente y sólo unos pocos casos han sido reportados. Presentamos un caso de una calcificación del subescapular en un paciente sin respuesta al tratamiento conservador, que fue tratado con la remoción completa de la misma y la posterior reparación del defecto residual con un arpón de doble sutura reforzada.
Un año luego de la cirugía el paciente se presentaba sin dolor, con movilidad completa y sin restos de calcio en los estudios postoperatorios. La combinación de la remoción completa de la calcificación y la subsecuente reparación del defecto con arpones en forma artroscópica puede resultar en excelentes resultados funcionales, sin comprometer la integridad del manguito rotador en pacientes con calcificaciones del subescapular.
Nivel de Evidencia: V.
Tipo de Trabajo: Reporte de Caso.
Palabras clave: Subescapular; Cacsificación; Tendinitis
ABSTRACT
The supraestinatus tendon is the most common tendon associated with the calcific tendinosis of the rotator cuff. The subscapularis tendon is rarely affected, and only a few prior cases have been reported. We present a case of a subscapularis tendon calcification in a patient with a failed conservative treatment that was treated arthroscopically with complete removal of the calcific deposit and posterior repair of the defect with suture anchors. One year after surgery the patient had no pain, he had full range of motion and there were not residual calcium deposits in the postoperative studies. The combination of complete calcium removal and posterior repair with suture anchors can led to excellent functional outcomes without compromising the integrity of the rotator cuff in patients with calcifications of the subscapularis tendon.
Level Of Evidence: V.
Type of Study: Case Report.
Key words: Subescapularis; Calcific Tendinosis
INTRODUCCIÓN
Las calcificaciones del manguito rotador son frecuentes, con una prevalencia que varía entre el 2.7% al 22%, afectando mayormente a mujeres entre 30 y 50 años de edad.1,2 El tendón del supraespinoso es el más frecuentemente involucrado.2 El tratamiento no quirúrgico es efectivo en aproximadamente el 90% de los casos.3 El tratamiento quirúrgico se reserva para los pacientes en los cuales el tratamiento conservador prolongado falla y en los que los depósitos de calcio no muestran signos de reabsorción espontánea en las radiografías.3,4
Diferentes estudios han reportado los resultados favorables de la remoción artroscópica de los depósitos de calcio del supraespinoso.5,6 En un estudio de 54 pacientes en los que se realizó remoción de las calcificaciones, el 92% de los pacientes tuvieron resultados favorables a los 2 años de seguimiento.6 Sin embargo, hay escasa información en la literatura sobre los resultados del tratamiento de las calcificaciones del tendón del subescapular.7,8
En este trabajo reportamos un caso de un paciente con una calcificación del subescapular al que se le realizó la extracción completa de la misma, con la posterior reparación del defecto por vía artroscópica debido al fallo del tratamiento conservador.
CASO CLÍNICO
Un jugador de tenis de 43 años de edad consulta a nuestra institución por un dolor de hombro izquierdo de varias semanas de evolución que no cedía con antiinflamatorios no esteroideos.
El paciente entrenaba 2 veces por semana y competía los fines de semana. Sin embargo, notó una disminución en su rendimiento debido al dolor durante y después de los partidos. Al examen físico presentaba dolor a la palpación del troquín. La movilidad pasiva y activa era prácticamente completa pero dolorosa con la rotación externa pasiva. Las maniobras para evaluar el tendón del subescapular eran positivas, incluyendo la prueba del abrazo de oso y la prueba del despegue.9,10
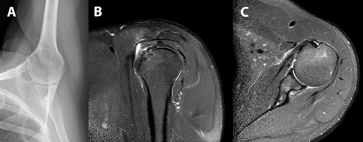
Las radiografías y la resonancia del hombro izquierdo preoperatorias mostraban una calcificación dentro del músculo subescapular (fig. 1 a-c). Luego de 2 meses de tratamiento conservador fallido que incluyó crioterapia, kinesiología y una infiltración con corticoides, se indicó la remoción artroscópica de la calcificación del subescapular.
El paciente se colocó en posición de silla de playa luego de un bloqueo regional. Se realizó una artroscopia diagnóstica por un portal posterior estándar. Luego de descartar patologías asociadas intraarticulares o en el espacio subacromial, se realizaron 2 portales accesorios uno anterolateral y uno anterior (fig. 2). Luego la cámara se cambió hacia el portal anterolateral, y utilizamos el portal anterior para crear un espacio virtual entre el tendón conjunto y el subescapular con la radiofrecuencia. De esta manera encontramos la calcificación con facilidad y removimos la misma en forma completa. Una vez removido el depósito de calcio se realizó la reparación del defecto con un arpón biodegradable de 5.5 mm con doble sutura reforzada. El paciente utilizó un cabestrillo por 4 semanas. Los ejercicios de codo muñeca y mano se autorizaron desde el primer día postoperatorio, y a partir de la cuarta semana el paciente comenzó con rehabilitación. Luego de la sexta semana se autorizaron ejercicios de movilidad activa y a la octava semana se comenzó con un programa de fortalecimiento muscular progresivo. El paciente se encontraba sin dolor y con movilidad completa a los 3 meses de la cirugía. Los estudios postoperatorios a los 4 meses de la cirugía mostraban la ausencia de depósitos de calcio remanentes y la integridad del tendón reparado (fig. 3). El paciente retomó los entrenamientos de tenis al cuarto mes y la competencia a los 5 meses de la cirugía. En el último control al año de la cirugía el paciente continuaba asintomático y jugando al tenis al mismo nivel que antes de la lesión.
Figura 1: A) Radiografía de hombro izquierdo preoperatoria en proyección axilar donde se observa la calcificación del subescapular. B y C ) Cortes sagital y axial respectivamente de la resonancia nuclear magnética preoperatoria demostrando el depósito de calcio por delante del tendón del subescapular.
Figura 2: Imagen intraoperatoria que muestra la posición del portal anterolateral utilizado para la visualización de la lesión y del portal anterior utilizados como portal de trabajo para la liberación de partes blandas y para la extracción del calcio.
Figura 3: A) Radiografía de hombro izquierdo 1 semana luego de la cirugía que muestra la ausencia de calcio remanente. B y C) Cortes sagital y axial respectivamente de la resonancia nuclear magnética 3 meses luego de la cirugía demostrando la ausencia del depósito de calcio y la indemnidad del tendón reparado.
DISCUSIÓN
El tratamiento quirúrgico de las calcificaciones del manguito rotador está reservado para aquellos pacientes en los cuales el tratamiento conservador es inefectivo y los depósitos de calcio no muestran signos de reabsorción en las radiografías.3,4,11
Existen algunos puntos controvertidos en la literatura respecto al manejo artroscópico de estas lesiones. En primer lugar se discute la necesidad de remover en forma completa los depósitos, con algunos estudios que muestran resultados favorables removiendo todo el depósito12-14 y otros con la remoción parcial de los mismos.7,15-17
En nuestros pacientes intentamos remover todo el depósito de calcio y el tejido degenerativo que rodea la lesión, ya que creemos que esto acelera la recuperación al facilitar el proceso de cicatrización. Sumado a esto, diferentes autores publicaron mejores resultados cuando se remueve en forma completa el depósito.1,13,14 Porcellini y col.12 evaluaron 63 pacientes a los cuales se les realizó la remoción artroscópica de las calcificaciones del manguito con un seguimiento promedio de 36 meses. En ese estudio, los autores mostraron que las mejorías en el score de Constant se relacionaban inversamente con el número y el tamaño de calcificaciones remanentes.
También es motivo de debate en la literatura si los defectos remanentes luego de la extracción del calcio deben ser reparados. Algunos investigadores no realizan en forma rutinaria la reparación de los defectos y confían en la capacidad auto-cicatrización del tendón.14 Sin embargo, Seil y cols.6 evaluaron una serie de pacientes tratados con la remoción de los depósitos de calcio sin reparación de los defectos remanentes y el 31% de los pacientes tenían un defecto en el tendón en los controles realizados con ecografía a los 24 meses del postoperatorio. Por otra parte, en un estudio reciente, Balke y cols.18 reevaluaron 48 pacientes que habían sido sometidos a la remoción artroscópica de las calcificaciones sin reparación de los tendones y evaluaron a los mismos con ecografía en el seguimiento. Once pacientes (23%) presentaban una lesión parcial del supraespinoso en el seguimiento. Nosotros preferimos reparar los defectos del tendón para facilitar el proceso de cicatrización. En nuestro paciente realizamos la reparación artroscópica del defecto remanente con un arpón de doble sutura al igual que lo realizamos cuando tratamos las calcificaciones del supraespinoso. En los controles postoperatorios se puede observar el tendón cicatrizado en la resonancia (fig. 3).
Los trabajos previos evaluando el tratamiento artroscópico de las calcificaciones del subescapular aisladas son escasos.19,20 En ambos reportes los pacientes obtuvieron alivio del dolor y recuperación completa de la función como en nuestro paciente.
CONCLUSIÓN
Este trabajo muestra que en los pacientes con calcificaciones del subscapular que no responden favorablemente al tratamiento conservador, la remoción artroscópica del depósito de calcio con la subsecuente reparación del defecto residual puede ser una alternativa válida para lograr la mejoría clínica de los pacientes.
BIBLIOGRAFÍA
- Bosworth B. Calcium deposits in the shoulder and subacromial bursitis; a survey of 12122 shoulders. JAMA. 1941;116:2477-2482.
- Uhthoff H, Loehr J. Calcific tendinopathy of the rotator cuff: pathogenesis, diagnosis, and management. J Am Acad Orthop Surg. 1997;5:183-191.
- Oliva F, Via AG, Maffulli N. Calcific tendinopathy of the rotator cuff tendons. Sports Med Arthrosc. 2011;19:237-243.
- Suzuki K, Potts A, Anakwenze O, Singh A. Calcific Tendinitis of the Rotator Cuff: Management Options. J Am Acad Orthop Surg. 2014 Nov;22(11):707-717. Review.
- Rebuzzi E, Coletti N, Schiavetti S, Giusto F: Arthroscopy surgery versus shock wave therapy for chronic calcifying tendinitis of the shoulder. J Orthop Traumatol 2008;9 (4):179-185.
- Seil R, Litzenburger H, Kohn D, Rupp S: Arthroscopic treatment of chronically painful calcifying tendinitis of the supraspinatus tendon. Arthroscopy 2006; 22(5):521-527.
- Arrigoni P, Brady PC, Burkhart SS. Calcific tendonitis of the subscapularis tendon causing subcoracoid stenosis and coracoid impingement. Arthroscopy 2006;22:1139.e1-1139 e3.
- Mitsui Y, Gotoh M, Tanesue R, et al. Calcific tendonitis of the rotator cuff: An unusual case. Case Rep Orthop 2012;2012:806769.
- Gerber, O. Hersche, and A. Farron, “Isolated rupture of the subscapularis tendon: results of operative repair,” Journal of Bone and Joint Surgery A, vol. 78, no. 7, pp. 1015–1023, 1996.
- M. Scheibel, P. Magosch, M. Pritsch, S. Lichtenberg, and P. Habermeyer, “The belly-off sign: a new clinical diagnostic sign for subscapularis lesions,” Arthroscopy, vol. 21, no. 10, pp. 1229–1235, 2005.
- Jerosch J, Strauss JM, Schmiel S. Arthroscopic treatment of calcific tendinitis of the shoulder. J Shoulder Elbow Surg. 1998;7:30-37.
- Porcellini G, Paladini P, Campi F, Paganelli M. Arthroscopic treatment of calcifying tendinitis of the shoulder: clinical and ultrasonographic follow-up findings at two to five years. J Shoulder Elbow Surg. 2004;13:503-508.
- Rizzello G, Franceschi F, Longo UG, et al. Arthroscopic management of calcific tendinopathy of the shoulder—do we need to remove all the deposit? Bull NYU Hosp Joint Dis. 2009;67:330-333.
- Hurt G, Baker CL. Calcific tendinitis of the shoulder. Orthop Clin North Am. 2003;34:567-575.
- Ark JW, Flock TJ, Flatow EL, Bigliani LU. Arthroscopic treatment of calcific tendinitis of the shoulder. Arthroscopy. 1992;8:183-188.
- Hofstee D-J, Gosens T, Bonnet M, De Waal Malefijt J. Calcifications in the cuff: take it or leave it? Br J Sports Med. 2007;41:832-835.
- Maier D, Jaeger M, Izadpanah K, Bornebusch L, Suedkamp NP, Ogon P. Rotator cuff preservation in arthroscopic treatment of calcific tendinitis. Arthroscopy. 2013;29:824-831.
- Balke M, Bielefeld R, Schmidt C, Dedy N, Liem D. Calcifying tendinitis of the shoulder: midterm results after arthroscopic treatment. Am J Sports Med. 2012;40:657-661.
- Arrigoni P, Brady PC, Burkhart SS. Calcific tendonitis of the subscapularis tendon causing subcoracoid stenosis and coracoid impingement. Arthroscopy 2006;22:1139.e1-1139. e3.
- Mitsui Y, Gotoh M, Tanesue R, et al. Calcific tendonitis of the rotator cuff: An unusual case. Case Rep Orthop 2012;2012:806769.



