Reconstrucción Artroscópica de Fracturas del Extremo Distal de Clavícula
ARTROSCOPIA | VOL. 25, N° 3: 110-114 | 2018
NOTA TÉCNICA
Pablo A. Narbona, Manuel I. Olmos, Javier S. Acosta, Marcio E. Bordón
Sanatorio Allende. Córdoba, Argentina.
RESUMEN
La fractura de clavícula representa 35 a 45 % de las fracturas de la cintura escapular, y de ellas el 15-25% comprometen el extremo distal de ella. El objetivo de esta publicación es describir nuestra técnica de reconstrucción artroscópica de las fracturas del extremo distal de clavícula con sistema AC TigthRope o sistema DogBone con sutura fibertape.
La reconstrucción y estabilización artroscópica de las fracturas inestables del extremo distal de la clavícula con sistema AC TigthRope o sistema Dogbone ambos con sutura FiberTape mas la estabilización del fragmento distal de la fractura mediante suturas transósea permite una fijación estable para la consolidación de la misma. La técnica descripta permite rápida recuperación funcional y el retorno a las actividades de la vida diaria.
Tipo de Trabajo: Técnica Quirúrgica
Nivel de Evidencia: V
Palabras Clave: Fracturas de Clavicula; DogBone; Extremo Diustal de Clavícula; AC TightRope
ABSTRACT
Fractures of the clavicle represent between 35 to 45% of all the fractures of the shoulder girdle, and 15 to 25% of these are of the distal clavicle. The purpose of this study is to describe our arthroscopic reconstruction technique of the distal clavicle using the AC Tightrope or DogBone Systems with fibertape.
The arthroscopic reconstruction and stabilization of ustable distal clavicle fractures with the AC TightRope or DogBone Systems both with Fibertape with stabilization of the unstable bone fragments with trans oseous sutures allow a stable fixation until it consolidates. The technique described allows a fast recovery and retour to the activities of daily living.
Type of Study: Surgical Technique
Level of Evidence: V
Keywords: Fractures of the Clavicle; DogBone; Distal Clavicle Fractures; AC TightRope
Pablo Narbona
Esta dirección de correo electrónico está siendo protegida contra los robots de spam. Necesita tener JavaScript habilitado para poder verlo.
Recibido: 2 de julio de 2018. Aceptado: 3 de agosto de 2018
INTRODUCCIÓN
La fractura de clavícula representa 35 a 45% de las fracturas de la cintura escapular.1 Quince al 25% comprometen el extremo distal de la clavícula2,3 y aproximadamente el 25% de estas son inestables.2,4 Anatómicamente las fracturas del extremo distal de clavícula están asociadas a lesión de los ligamentos coracoclaviculares. Neer clasifica las fracturas del extremo distal de clavícula en tres tipos,5 siendo las tipo IIB de la clasificación de Neer las que tienen mayor riesgo de lesión de los ligamento coracoclaviculares. Las fracturas tipo II de la clasificación de Neer tienen 20 a 30% de pseudoartrosis si son tratadas mediante tratamiento conservador.6,7
Han sido descriptas diferentes técnicas quirúrgicas de reducción y osteosíntesis de este tipo de fracturas como la placa gancho, clavijas percutáneos cerclajes de alambre, placas bloqueadas y no bloqueadas de extremo distal de clavícula, reconstrucción de los ligamentos coracoclaviculares con diferentes materiales de suturas o con injertos tendinosos.8-27 Más recientemente la reducción y osteosíntesis asistida por artroscopia ha sido descripta.28-34
El objetivo de esta publicación es describir nuestra técnica de reconstrucción artroscópica de las fracturas del extremo distal de clavícula con sistema AC TigthRope o sistema DogBone con sutura fibertape (Arthrex inc. Naples Florida).
TÉCNICA QUIRÚRGICA
Con el paciente con bloqueo interescalénico y en posición de silla de playa con el brazo sin tracción en 10 a 20 grados de flexión y 20 a 30 grados de abducción, se introduce artroscopio por un portal posterior estándar y se realiza una artroscopia diagnostica en busca de lesiones asociadas. Se realiza un portal antero-inferior justo por encima del tendón del subescapular levemente más lateral de lo convencional con técnica de afuera-adentro y con dirección a la base de la coracoides, se realiza la colocación de cánula de 8,25 mm. Se realiza la apertura del intervalo de los rotador con shaver y electro bisturí artroscópico hasta la visualización de la punta y la base de la coracoides. Luego realizamos un nuevo portal percutáneo anterosuperolateral con técnica de afuera adentro y lo establecemos como nuevo portal de visión. Completamos la exposición de la base de la coracoides en la unión con la cara anterior del omoplato (fig. 1A) Se introduce el compás guía para AC TightRope o sistema DogBone por el portal antero inferior y se lo posiciona centrado en la coracoides a nivel de la unión de la base de la coracoides con la cara anterior del omoplato en 70 a 90 grados de angulación (fig. 1B). Se realiza un abordaje longitudinal de 2 a 3 cm a nivel del foco de fractura, se limpia foco de fractura, se reseca tejido interpuesto y se realiza la reducción de la fractura y fijación transitoria con clavijas de 1,6 mm, se controla reducción por radioscopia (fig. 2). La guía del compas es posicionada entre 25 y 30 mm medial a la articulación acromioclavicular y centrada en la clavícula para evitar lesionar la cortical anterior o posterior. Se realiza la perforación de la clavícula y la coracoides con drill pin canulado de 3 mm atravesando 4 corticales para pasar a través de la clavícula y coracoides visualizando posicionamiento por radioscopia, y control por artroscopia de la salida del drill pin en la base de la coracoides, se retira el pin del drill canulado y se introduce un alambre de nitinol que se recupera por el portal antero inferior (fig 3). Se retira el drill canulado dejando el alambre de nitinol. Si vamos a utilizar sistema AC TightRope debemos desmontar ambos botones del FiberWire y montar dos suturas FiberTape en el botón longitudinal para pasar a través del túnel coracoideo y clavicular solo los cuatro extremos suturas. Se montan los 4 extremos de las suturas FiberTape del implante subcoracoideo en el alambre de nitinol y se realiza el pasaje del mismo de distal a proximal (fig. 4). Bajo visión artroscópica directa se comprueba el pasaje y posicionamiento del botón subcoracoideo (fig. 5). Se realiza la reducción de la fractura aplicando presión inferior sobre el fragmento proximal de la fractura y contrapresión superior desde el codo para ayudar a reducir la fractura. Una vez reducida la fractura bajo control radioscópico se completa la fijación del botón clavicular del sistema AC TightRope o DogBone y con sutura FiberTape transósea se incorpora el fragmento distal de la fractura a la reconstrucción (fig. 6).
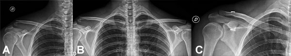
En la figura 7 podemos comparar la radiografías preoperatoria con el resultado definitivo de la reconstrucción artroscopia.

Figura 1: Guía de posicionamiento AC TightRope Subcoracoidea en la unión de la Base de la coracoides con la cara anterior del omoplato.

Figura 2: Abordaje longitudinal de 2-3 cm a nivel del foco de fractura. Se realiza reducción de la fractura y fijación transitoria con clavijas de 1,6 mm.Abordaje longitudinal de 2-3 cm a nivel del foco de fractura. Se realiza reducción de la fractura y fijación transitoria con clavijas de 1,6 mm.

Figura 3: Control Radioscópico de drill canulado

Figura 4: Pasaje de Nitinol y Suturas FiberTape pasaje del implante Subcoracoideo de distal a proximal.

Figura 5: Posicionamiento del botón subcoracoideo.

Figura 6: Fijación botón clavicular y sutura transosea del extremo distal de la fractura.

Figura 7: Resultado Final comparativo Rx Pre operatoria y Postoperatorio.
DISCUSIÓN
La reconstrucción artroscópica de la fractura del extremo distal de clavícula con sistema AC TightRope o DogBone, ambos con sutura FiberTape mas estabilización con suturas con técnica transósea interfragmentarias, aporta suficiente estabilidad en el foco de fractura para permitirá la consolidación de la fractura.
Una de las principales ventajas de la reconstrucción artroscópica de las fracturas inestable del extremo distal de clavícula sobre el tratamiento abierto es que la reconstrucción artroscópica permite el tratamiento de posibles lesiones asociadas que se podrían encontrar durante la artroscopia diagnóstica.
Debido a los malos resultados en el tratamiento no quirúrgico de las fracturas inestables del extremo distal de clavícula y el alto índice de retardo de consolidación o pseudoartrosis, se recomienda el tratamiento quirúrgico para estabilizar este tipo de lesiones.5,6,10-19,21,22,29-32 Existe poca evidencia bibliográfica que demuestra la estabilización con sistema de botones para el tratamiento de las fracturas del extremo distal de clavicula.29-34 Dentro de las principales ventajas de la técnica de reconstrucción artroscópica que proponemos para el tratamiento de este tipo de fracturas es que además de su naturaleza mínimamente invasiva, no invade la articulación acromioclavicular, permite identificar y tratar patología asociada intraarticular glenohumeral, y que el implantes utilizado en los sistemas de botones son de bajo perfil por lo cual no requieren remoción del implante.
Pujol y col.34 describieron una técnica similar de reconstrucción de fracturas del extremo distal de clavícula asistida por artroscopia. Ellos describen retardo de consolidación o pseudoartrosis en cuatro pacientes tratado con su técnica; esto puede deberse a que su técnica carece de fijación adicional anteroposterior o latero medial del fragmento distal de la fractura.
En contraposición con Robinson y col.36 opinamos que la preparación y exposición de la base de la coracoides por artroscopia ofrece mejor visualización de la misma para realizar los túneles transóseos que la técnica a cielo abierto.
CONCLUSIÓN
La reconstrucción y estabilización artroscópica de las fracturas inestables del extremo distal de la clavícula con sistema AC TigthRope o sistema Dogbone ambos con sutura FiberTape mas la estabilización del fragmento distal de la fractura mediante suturas transósea permite una fijación estable para la consolidación de la misma.
La técnica descripta permite rápida recuperación funcional y el retorno a las actividades de la vida diaria.
BIBLIOGRAFÍA
- Postacchini F, Gumina S, De Santis P, Albo F. Epidemiology of clavicle fractures. J Shoulder Elbow Surg 2002; 11:452-456.
- Nordqvist A, Petersson C. The incidence of fractures of the clavicle. Clin Orthop Relat Res 1994; 300:127-132.
- Pecci M, Kreher JB. Clavicle fractures. Am Fam Physician 2008; 77:65-70.
- Robinson CM. Fractures of the clavicle in the adult. Epidemiology and classification. J Bone Joint Surg Br 1998;80:476-84.
- Neer CS, 2nd. Fractures of the distal third of the clavicle. Clin Orthop Relat Res 1968; 58:43-50.
- Anderson K. Evaluation and treatment of distal clavicle fractures. Clin Sports Med 2003; 22:319-326.
- Neer CS 2nd. Fracture of the distal clavicle with detachment of the coracoclavicular ligaments in adults. J Trauma 1963; 3:99–110.
- Altamimi SA, McKee MD. Nonoperative treatment compared with plate fixation of displaced midshaft clavicular fractures. Surgical technique. J Bone Joint Surg Am 2008; 90 Suppl 2:1-8.
- Canadian Orthopaedic Trauma Society. Nonoperative treatment compared with plate fixation of displaced midshaft clavicular fractures. A multicenter, radomized clinical trial. J Bone Joint Surg Am 2007; 89:1-10.
- Ballmer FT, Gerber C. Coracoclavicular screw fixation for unstable fractures of the distal clavicle. A report of five cases. J Bone Joint Surg Br 1991; 73:291-294.
- Bezer M, Aydin N, Guven O. The treatment of distal clavicle fractures with coracoclavicular ligament disruption: a report of 10 cases. J Orthop Trauma 2005; 19:524-528.
- Fann CY, Chiu FY, Chuang TY, Chen CM, Chen TH. Transacromial Knowles pin in the treatment of Neer type2 distal clavicle fractures. A prospective evaluation of 32 cases. J Trauma 2004; 56:1102-1106.
- Fazal MA, Saksena J, Haddad FS. Temporary coracoclavicular screw fixation for displaced distal clavicle fractures. J Orthop Surg (HongKong) 2007; 15:9-11.
- Goldberg JA, Bruce WJ, Sonnabend DH, Walsh WR. Type 2 fractures of the distal clavicle: a new surgical technique. J Shoulder Elbow Surg 1997; 6:380-382.
- Kalamaras M, Cutbush K, Robinson M. A method for internal fixation of unstable distal clavicle fractures: early observations using a new technique. J Shoulder Elbow Surg 2008; 17:60-62.
- Levy O. Simple, minimally invasive surgical technique for treatment of type 2 fractures of the distal clavicle. J Shoulder Elbow Surg 2003; 12:24-28.
- Macheras G, Kateros KT, Savvidou OD, Sofianos J, Fawzy EA, Papagelopoulos PJ. Coracoclavicular screw fixation for unstable distal clavicle fractures. Orthopedics 2005; 28:693-696.
- Mall JW, Jacobi CA, Philipp AW, Peter FJ. Surgical treatment of fractures of the distal clavicle with polydioxanone suture tension band wiring: an alternative osteosynthesis. J Orthop Sci 2002; 7:535-537.
- Muramatsu K,Shigetomi M, Matsunaga T, Murata Y, Taguchi T. Use of the AO hookplate for treatment of unstable fractures of the distal clavicle. Arch Orthop Trauma Surg 2007; 127:191-194.
- Scadden JE, Richards R. Intramedullary fixation of Neer type 2 fractures of the distal clavicle with an AO/ASIF screw. Injury 2005; 36:1172-1175.
- Tambe AD, Motkur P, Qamar A, Drew S, Turner SM. Fractures of the distal third of the clavicle treated by hook plating. Int Orthop 2006; 30:7-10.
- Tsou PM. Percutaneous cannulated screw coracoclavicular fixation for acute acromioclavicular dislocations. Clin Orthop Relat Res 1989; 243:112-121.
- Kashii M, Inui H, Yamamoto K. Surgical treatment of distal clavicle fractures using the clavicular hook plate. Clin Orthop Relat Res 2006; 447:158-164.
- Kao FC, Chao EK, Chen CH, Yu SW, Chen CY, Yen CY. Treatment of distal clavicle fracture using Kirschner wires and tension-band wires. J Trauma 2001; 51:522- 525.
- Flinkkila T, Ristiniemi J, Hyvonen P, Hamalainen M. Surgical treatment of unstable fractures of the distal clavicle: a comparative study of Kirschner wire and clavicular hook plate fixation. Acta Orthop Scand 2002; 73:50-53.
- Regel JP, Pospiech J, Aalders TA, Ruchholtz S. Intraspinal migration of a Kirschner wire 3 months after clavicular fracture fixation. Neurosurg Rev 2002; 25:110-112.
- Klein SM, Badman BL, Keating CJ, Devinney DS, Frankle MA, Mighell MA. Results of surgical treatment for unstable distal clavicle fractures. J Shoulder Elbow Surg 2010; 19:1049-1055.
- Checchia SL, Doneux PS, Miyazaki AN, Fregoneze M, Silva LA. Treatment of distal clavicle fractures using an arthroscopic technique. J Shoulder Elbow Surg 2008; 17:395-398.
- Nourissat G, Kakuda C, Dumontier C, Sautet A, Doursounian L. Arthroscopic stabilization of Neer Type 2 fracture of the distal part of the clavicle. Arthroscopy 2007; 23:674.e1-674.e4.
- Quereshi F HA, Potter D. Arthroscopic “TightRope®” stabilization of Neer type 2 clavicle fractures. Injury Extra 2007; 38:133-4.
- Richards A PD, Learmonth D, Tennent D. Arthroscopic stabilisation of acute distal clavicle fractures and dislocations using the TightRope® syndesmosis repair system. Presented at the Annual Meeting of the Arthroscopy Association of North America, Vancouver, BC, May 2005.
- Richards A,Tennent D. Arthroscopic stabilisation of actute distal clavicle fractures and dislocations using the TightRope® syndesmosis repair system. Presented at the 10th International Congress of Shoulder and Elbow Surgery, La Bahia, Brazil, September 2007.
- Pandya NK, Hosalkar HS, Babatunde OM, Huffman GR. Distal third clavicle fracture fixation: A new arthroscopically-assisted technique. Curr Orthop Pract 2009; 20:454-457.
- Pujol N, Philippeau JM, Richou J, Lespagnol F, Graveleau N, Hardy P. Arthroscopic treatment of distal clavicle fractures: A technical note. Knee Surg Sports Traumatol Arthrosc 2008; 16:884-886.
- Arthrex Inc. Arthroscopic stabilization of acute acromioclavicular joint dislocation using the TightRope® system: surgical technique. Naples, FL; Arthex, 2006.
- Robinson CM, Akhtar MA, Jenkins PJ, Sharpe T, Ray A, Olabi B. Open reduction and EndoButton fixation of displaced fractures of the lateral end of the clavicle in younger patients. J Bone Joint Surg Br 2010;92:811-6.
- Zanca P. Shoulder pain: involvement of the acromioclavicular joint: analysis of 1,000 cases. AJR Am J Roentgenol 1971;112:493-506.
