Tumor Tenosinovial de Células Gigantes de Rodilla Retro-LCP: Resección en Bloque Artroscópica
Tumor Tenosinovial de Células Gigantes de Rodilla Retro-LCP: Resección en Bloque Artroscópica
Reporte de Caso y Revisión de Literatura
Horacio F. Rivarola Etcheto, Cristian Collazo, Gonzalo Escobar
Hospital Universitario Austral- Hospital Universitario Fundación Favaloro.
RESUMEN
Los tumores tenosinoviales de células gigantes son una patología de aparición infrecuente, con afectación a la población en edad media y distribución similar entre género. Presenta dos variantes morfológicas: localizado o difuso, pero sin diferencias histopatológicas. Su diferenciación se realiza exclusivamente mediante estudios diagnósticos. Su presentación suele preceder antecedente de sintomatología mínima, simulando lesiones más frecuentes en la rodilla. La sintomatología puede verse conformando una tríada de dolor, bloqueo articular y efusión, pero no siempre es el caso. El estándar de oro para su diagnóstico es la resonancia magnética. Cuando el diagnóstico presuntivo alcanzado es una variante localizada de tumor tenosinovial, el tratamiento puede ser artroscópico o abierto. En casos de localización posterior, cuando se origina en el ligamento cruzado posterior, la resección artroscópica se presenta como una alternativa atractiva debido a la disminución en la morbilidad del procedimiento quirúrgico y a una aproximación a la región intraarticular posterior que implica menor riesgo en términos anatómicos.
Describimos el caso de un paciente de 46 años de edad con diagnóstico de tumor tenosinovial de células gigantes con localización posterior al LCP al cual se le realizó una resección artroscópica en bloque y se encuentra libre de recurrencia a doce meses de seguimiento
Palabras clave: Tumor de Células Gigantes; Sinovitis Vellonodular Pigmentada Localizada; Resección Artróscopica, Artroscopia de Rodilla
ABSTRACT
Tenosynovial giant cell tumors are rare pathological entities that affect middle aged population and present similar distribution among genders. It presents two morphological variants that can be characterized according to imaging studies: localized or diffuse. There is no histopathological difference between these two groups. Its presentation usually precedes a history of minimal symptoms, simulating more frequent injuries in the knee. Pain can be seen associated to articular block and effusion, but this is not always the case. MRI is the gold standard for diagnosis. When a localized variant of tenosynovial tumor is suspected, proposed treatments can be open or arthroscopic. When localization is in the posterior knee, such as arising from the posterior cruciate ligament, arthroscopic resection seems an attractive option due to the decrease in morbidity and a safer approach to the posterior intraarticular region in anatomical terms. In this paper, we describe the case of a 46-year-old patient diagnosed with giant cell tenosynovial tumor arising from the posterior region of the posterior cruciate ligament. Arthroscopic block resection was performed, free of disease recurrence 12 months postoperatively.
Key words: Giant Cell Tumor; Localized Pigmented Vellonodular Synovitis; Arthroscopic Resection; Knee Arthroscopy
Horacio F. Rivarola Etcheto
Esta dirección de correo electrónico está siendo protegida contra los robots de spam. Necesita tener JavaScript habilitado para poder verlo.
INTRODUCCIÓN
Los tumores tenosinoviales de células gigantes (TTSCG) son una entidad infrecuente. Afectan generalmente pacientes menores a cuarenta años con una distribución entre géneros similar. Se distinguen dos tipos de tumores: localizados y difusos. Histológicamente no presentan diferencias; esta distinción solamente es atribuible mediante RMN. La variante localizada se ha descripto previamente como TCG de vaina tendinosa, sinovitis nodular o sinovitis vellonodular pigmentada localizada. Suelen ser lesiones circunscriptas, pequeñas, lobuladas. Su origen puede provenir de la membrana sinovial, la vaina tendinosa o bursa. El tratamiento suele ser la resección artroscópica o el abordaje abierto, con tasas similares de recurrencia descriptas entre ambas técnicas.1,2
Exceptuando los casos que se presentan en mano, los tumores tenosinoviales se presentan mayormente en la rodilla, tanto en casos localizados como difusos.1 Dentro de los casos descriptos en rodilla, la localización más frecuente es adyacente al LCA, LCP, plica mediales o grasa de Hoffa. En la literatura se han descripto únicamente 9 casos de TTSCG originados del LCP (siete provenientes del lado poplíteo del LCP y dos de fosa intercondílea).3
REPORTE DE CASO
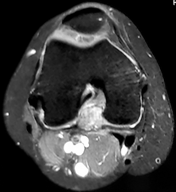
Paciente de 46 años de edad de sexo femenino consulta por dolor de rodilla derecha de dos meses de evolución, asociada a aumento de volumen, con limitación progresiva de la capacidad de realizar actividades cotidiana con episodio de bloqueo articular que resolvió espontáneamente. Al examen físico, se observa limitación de la extensión completa de 10º asociada a marcha claudicante. A la palpación se constata una pequeña masa tumoral en hueco poplíteo, dolorosa, duroelástica adherida a planos profundos. Se solicitó RMN donde se observa una masa heterogénea en T1 y T2 de naturaleza intraarticular localizada en intercóndilo posterior de la rodilla (figs. 1 y 2). Se planteó como diagnóstico diferencial sinovitis vellonodular pigmentaria o tumor tenosinovial de células gigantes. Por protocolo de servicio y para ir a la cirugía definitiva con diagnostico de certeza se realizó una biopsia guiada por TAC. La histopatología confirmó nuestra segunda hipótesis diagnóstica.


Figura 1 y 2: Localización tumoral retro LCP en cortes axiales y sagitales.
Técnica Quirúrgica
El paciente fue derivado al equipo de artroscopia de rodilla para evaluar la resección artroscópica de la misma. Se realizaron tres portales. El portal AL y AM estándar con objetivo el desbridamiento periférico en región anterior con preservación marginal. El portal PM con el objeto del desbridamiento periférico posterior y la exéresis en bloque de la pieza, lo cual se logro sin dificultad ni necesidad de realizar artrotomía (figs. 3, 4 y 5).



Figuras 3, 4 y 5: Superior derecha e izquierda: Se observa visión artroscópica por portal anterolateral y posteromedial, localización retro LCP. Inferior: Visualización artroscópica posterior a exéresis completa.
La anatomía patológica intraoperatoria reveló márgenes libres y confirmo el diagnostico de TCG (fig. 6).
El paciente evolucionó favorablemente en el postoperatorio, con resolución de dolor y de déficit de extensión completa. Se realizó una RMN control en el 6to mes postoperatorio, donde no se observan masas residuales. El paciente actualmente lleva 12 meses postoperatorios, sin evidencia de recidiva local.

Figura 6: Pieza quirúrgica, Visión Macroscópica.
DISCUSIÓN
Los tumores tenosinoviales de células gigantes en extremidades son patologías de incidencia extremadamente baja, 10 casos por millón de personas por año para el tipo de variantes articulares localizadas. La localización articular predilecta para las formas localizadas es la rodilla según registros recientes, representando un 46% del total de los casos. La edad media de presentación para este tipo de variantes es de 45 (34-56 años), con una distribución masculino: femenino de 1: 1.5.1 En la rodilla, la presentación más frecuente suele ser intraarticular, con una prevalencia infrapatelar de 67%, suprapatelar de 24%, y solamente un 10% del total de casos se encuentran en intercóndilo posterior.2
Este tipo de lesiones suelen tener forma nodular o polipoide, son generalmente menores a 4 cm, suelen hallarse recubiertas por una cápsula densa, en ausencia de efusión, sinovitis o impregnación por hemosiderina.6 Esto lleva a que clínicamente, los pacientes suelen presentarse asintomáticos o presentan un tumor de partes blandas palpable en determinadas circunstancias.2 Debido al crecimiento lento de este tipo de lesiones, los casos reportados usualmente presentan historia de meses a años de evolución de síntomas sutiles hasta la consulta médica. En este tipo de casos, la localización en intercóndilo puede desarrollar bloqueo mecánico o restricción del rango de movilidad debido al efecto de masa.3 Es debido a ello, que la RMN adquiere valor para el diagnóstico de este tipo de entidades.
Las variantes nodulares y difusas de los tumores tenosinoviales de la rodilla no presentan diferencias histológicas.1 En la resonancia magnética, se observan diferencias sutiles relacionadas a la proporción de estroma hiperplásico, hialinización de colágeno y penetración de hemosiderina. Ambas formas son iso–hipointensas frente al músculo en T1, pero pueden ser hipo - iso o hiperintensas en secuencias T2. El diagnóstico diferencial entre casos localizados y difusos radica en las diferencias en depósito de hemosiderina de la variante difusa, que le otorga un aspecto heterogéneo, en comparación con la variante nodular.6 Los diagnósticos diferenciales deben incluir gangliones, hemangioma, sarcoma sinoviales y granulomas que usualmente, presentan secuencias hiperintensas en T2.2
Para el tratamiento quirúrgico de los tumores tenosinoviales localizados se presentan dos alternativas: la resección abierta o artroscópica. Según un estudio reciente retrospectivo realizado en Países Bajos, la preferencia del cirujano es del 65% para resecciones abiertas frente a artroscópicas, y la tasa de sobrevida general para las variantes localizadas es de 90% a 2 y 85% a 5 años.1 No obstante, en los reportes de caso de tumores tenosinoviales en región posterior de rodilla, la opción artroscópica es una opción lógica debido a la distribución anatómica de la región y la morbilidad asociada a los procedimientos abiertos en el hueco poplíteo.2-9 De los cuatro casos reportados de tratamiento artroscópico, ninguno presentó recurrencia local publicada a la fecha. Esta información es consistente con nuestra experiencia.
La resección de este tipo de tumores debe ser en bloque debido a la alta tasa de recurrencia. Es trascendental la planificación de portales posteriores que puedan ser extendidos o ampliados a una técnica mínimamente invasiva en caso de que lo requiera debido al tamaño tumoral. (Tabla 1). Futuros estudios comparativos con un número suficiente de casos serían necesarios para evidenciar diferencias estadísticamente significativas en recurrencia frente a técnicas artroscópicas donde se vulnera el margen tumoral.
Tabla 1: Revisión de literatura de tumores tenosinoviales de células gigantes en región posterior de rodilla

CONCLUSIÓN
Los tumores tenosinoviales de células gigantes pueden originarse de forma retro-LCP o localizarse en fosa intercondílea. Estos casos pueden verse asociados a sintomatología mecánica que precipita la consulta. Debe realizarse diagnóstico diferencial en RMN con otras patologías. De realizarse un diagnóstico de variante nodular, la técnica artroscópica de resección en bloque es una alternativa de tratamiento que no presenta mayor tasa de recidiva que otras técnicas en la bibliografía publicada.
BIBLIOGRAFÍA
- Mastboom M, Verspoor F, Verschoor A, Uittenbogaard D, Nemeth B, Mastboom W et al. Higher incidence rates than previously known in tenosynovial giant cell tumors. Acta Orthopaedica. 2017;88(6):688-694.
- Guarnizo A., Velasco S., Gómez R., Palau M., Rivero Ó. Giant Cell Tumor of the Tendon Sheath in the Posterior Intercondylar Region of the Knee: Case Report. Revista Colombiana de Radiologia (online). 2017;11:4486-4488.
- Xu Z, Mao P, Chen D, Shi D, Dai J, Yao Y, Jiang Q. Tenosynovial giant cell tumor arising from the posterior cruciate ligament: a case report and literature review Int J Clin Exp Pathol 2015;8(6):6835-6840.
- Camillieri G, Di Sanzo V, Ferretti M, Calderaro C, Calvisi V. Intra-articular Tenosynovial Giant Cell Tumor Arising From the Posterior Cruciate Ligament. Orthopedics. 2012;35(7):e1116-e1118.
- Kim R, Lee J, Lee K. Localized pigmented villonodular synovitis attached to the posterior cruciate ligament of the knee. Arthroscopy: The Journal of Arthroscopic & Related Surgery. 2003;19(6):e32-e35.
- Sheppard D, Kim E, Yasko A, Ayala A. Giant-cell tumor of the tendon sheath arising from the posterior cruciate ligament of the knee. Clinical Imaging. 1998;22(6):428-430.
- Yavuz S, Çiftdemir M, Taştekin E, Taştekin N. Arka çapraz bağdan köken alan tenosinovyal dev hücreli tümör. Cukurova Medical Journal (Çukurova Üniversitesi Tıp Fakültesi Dergisi). 2017;42(3):606-607.
- Aksoy B, Ertürer E, Toker S, Seçkin F, Sener B. Tenosynovial giant cell tumour of the posterior cruciate ligament and its arthroscopic treatment. Singapore Med. 2009; 50(6): e204-205.
- Makino A, Muscolo L, Costa Paz M, Ayerza M. Sinovitis vellonodular pigmentada localizada de rodilla: diagnóstico con resonancia magnética y su tratamiento artroscópico. Rev. Asoc. Arg. Ortop. y Traumatol.. 1997; 62(2): 257-263.
