Reparación del Ligamento Cruzado Anterior con Utilización de Tutor Interno: Técnica Quirúrgica y Revisión de la Literatura
ARTROSCOPIA | VOL. 26, N° 2: 56-62 | 2019
Nota técnica
Reparación del Ligamento Cruzado Anterior
con Utilización de Tutor Interno:
Técnica Quirúrgica y Revisión de la Literatura
Juan Pablo Zicaro, Ignacio Garcia-Mansilla, Carlos Yacuzzi, Matias Costa-Paz
Hospital Italiano de Buenos Aires. C.A.B.A., Argentina
RESUMEN
El concepto de “preservación del ligamento” se centra en conservar la biología y los tejidos nativos. La reparación primaria del ligamento cruzado anterior (LCA) tiene una indicación muy específica en un grupo seleccionado de pacientes. Preferentemente se realiza en pacientes jóvenes con lesiones proximales, operados dentro de las 6 semanas posterior a la lesión. La preservación del ligamento nativo permite conservar mecanoreceptores propios del ligamento minimizando la morbilidad. Presentamos la técnica quirúrgica para reparación primaria del LCA utilizando una aumentación con tutor interno en pacientes con lesiones proximales.
Nivel de evidencia: V
Palabras Clave: Ligamento Cruzado Anterior, LCA, Reparación, Preservación delLigamento, Reinserción
ABSTRACT
The concept of “ligament preservation” is focused in conserving the biology and native tissue. Primary anterior cruciate ligament (ACL) repair has a very specific indication in a select group of patients. It is ideally performed in young patients with proximal ACL tears, within 6 weeks after the lesion. Retaining the native ACL allows mechanoreceptors of the ligament to be preserved minimizing morbidity. We present the surgical technique of arthroscopic primary ACL repair with an internal brace augmentation in patients with proximal tears.
Level of evidence: V
Key words: Anterior Cruciate Ligament, ACL, Repair, Ligament Preservation, Reinsertion.
Juan Pablo Zicaro
Esta dirección de correo electrónico está siendo protegida contra los robots de spam. Necesita tener JavaScript habilitado para poder verlo.
Recibido: Mayo 2019. Aceptado: Mayo 2019.
INTRODUCCIÓN
Entre las décadas del 30 y 60, las lesiones de Ligamento Cruzado Anterior (LCA) eran reparadas a través de una cirugía abierta. O´Donohue1 y Palmer2,3 popularizaron esta técnica con resultados iniciales prometedores. Sin embargo, publicaciones a mediano y largo plazo demostraron gran deterioro de los ligamentos reparados con alto índice de falla.4-6 Posiblemente esto se deba a que todas las lesiones del LCA eran tratadas con reparación (independientemente del tipo y localización de ruptura) sumado a la mayor morbilidad de la cirugía abierta y el manejo postoperatorio con inmovilización. Por este motivo, la reparación fue reemplazada por la reconstrucción del LCA que en la actualidad es el tratamiento quirúrgico de elección.
Si bien la técnica de reparación fue abandonada, en el año 1991, Sherman demostró que la reparación del LCA tenía buenos resultados en las lesiones del tercio proximal.7 La combinación entre el avance en la calidad de imágenes de resonancia magnética para determinar con mayor claridad lesiones proximales del LCA (tipo I de la clasificación Sherman)7,8 y el desarrollo de nuevas técnicas artroscópicas permite que un grupo selecto de pacientes sean buenos candidatos para una reparación del LCA.
Este cambio de paradigma en el tratamiento de las lesiones del LCA9-12 está relacionado con el concepto de “preservación del ligamento”, el cual se centra en conservar la biología y los tejidos nativos, minimizando la morbilidad quirúrgica.
El objetivo de este trabajo es describir la técnica quirúrgica de la reparación del LCA utilizando tutor interno.
Indicaciones
- Inestabilidad objetiva: maniobras de Lachman y pivot shift positivo.
- Artrometría con KT1000: diferencia lado a lado mayor a 3 mm.
- RM: lesión tipo I (clasificación de Sherman)8 o con <10% de remanente ligamentario proximal.
- Lesión aguda (menor a 45 días).*
- Paciente joven.*
*Indicación relativa. Si bien esta es la indicación recomendada, lesiones con más de 45 días con buena calidad de tejido del LCA y mayores a 40 años fueron reportados con buenos resultados.13,14
Contraindicaciones
- Lesiones tipo II o más (entre 90% proximal y distal).
- Mala calidad del tejido (evaluación intraoperatoria).
- Lesiones crónicas (por retracción y reabsorción del LCA).
TÉCNICA QUIRÚRGICA
1. Artroscopía exploradora
En primera instancia se observan ambos meniscos, el cartílago articular y, en caso de ser necesario, se tratan Posteriormente se evalúa la lesión del LCA para determinar que la lesión sea completa y se localice dentro del 10% proximal, con buena calidad de fibras remanentes, y que las mismas puedan ser reducidas al sitio de inserción en el fémur. Se puede confirmar la inestabilidad realizando cajón anterior y observando el desplazamiento de las fibras remanentes del LCA (fig. 1, video 1). Para una mejor visualización se puede realizar un portal mid-patelar de Patel.15

Figura 1: Ligamento anterior conservado practiramente en su espesor completo (a), con gran desplazamiento al realizar maniobra de cajon anterior (b).
Video 1
2. Sutura de ambas bandas del LCA
Utilizando una pinza grasper o toma hilo se confirma que el ligamento sea reducible en su inserción femoral (el remanente del LCA puede presentar cierta retracción que no permita su reparación) (fig. 2, video 2).

Figura 2: Utilizando una pinza tipo grasper (a) o toma hilo se confirma la reducción de las fibras del LCA para su posterior reparación.
Video 2
A través del portal medial y lateral con una pinza de sutura (Scorpion,Arthrex, se realizan 2 puntos tipo lazo con sutura ultra-resistente al LCA, uno a la banda Antero-Medial y uno a la banda Postero-Lateral (fig. 3, video 3) intentando tomar la mayor cantidad de tejido ligamentario.

Figura 3: Utilizando una pinza de suturar (a) se realizan 2 puntos tipo lazo con sutura ultra-resistente al LCA, uno a la banda Antero-Medial y uno a la banda Postero-Lateral (b)
Video 3
3. Tutor interno
Se realiza un túnel femoral y tibial utilizando una mecha que permita el paso de un botón de fijación cortical (en nuestro caso 4.5 mm). El tutor interno que se utilizará para la aumentación del ligamento (en este caso utilizamos una malla entrelazada de fibras ultra-resistentes) se fijará a nivel femoral con un botón cortical regulable (ACL TightRope) (fig. 4a, video 4).
Puede resultar útil una guía femoral de afuera-adentro, que permita apoyarse directamente sobre el sitio de inserción. Para el túnel tibial la guía se puede colocar sobre el remanente ligamentario distal (fig. 4b, video 4).

Figura 4: Tunel femoral (a) y tibial (b) para pasaje del tutor interno. Se utiliza una mecha del diametro necesario para pasaje del boton cortical (en este caso, 4.5 mm).
Video 4
4. Fijación de las suturas
Se pasan las suturas del ligamento por el túnel femoral y luego el botón cortical con el tutor interno para la aumentación. Este puede pasar por delante del ligamento (realizando una incisión a las fibras distales) o por dentro de las fibras del ligamento (fig. 5, video 5).

Figura 5: Tutor interno pasado por dentro de las fibras del LCA. La maya entrelazada de fibras ultra-resistentes se fija en el femur utilizando, en este caso, un boton de fijación cortical.
Video 5
El tutor interno se puede fijar en la tibia utilizando un tornillo biocompuesto (SwiveLock) con la rodilla en extensión (video 5, fig. 6).

Figura 6: Fijación del tutor interno con la rodilla en extensión utilizando un tornillo biodegradable.
Video 5
Las suturas del LCA se fijan a la cortical femoral externa con los hilos del botón utilizando un baja-nudo (fig. 7, video 6).

Figura 7: Las suturas de ambas bandas del LCA se anudan con los hilos del botón cortical utilizando un baja nudo.
Video 6
Por último, se realizan microperforaciones en la pared interna del cóndilo externo con el objetivo de estimular la médula ósea y la liberación de factores medulares que mejorarian la cicatrización del ligamento (figura 8, video 7).

Figura 8: Se realizan microperforaciones en la pared interna del condilo femoral externo para estimular la medula ósea y liberación de factores que estimulen la cicatrización.
Video 7
Una visión artroscópica final confirma que la rodilla se extiende completamente y las fibras del ligamento se encuentren tensas y reducidas en el fémur (fig. 9, video 8).

Figura 9: Visión final de la reparación del LCA con la rodilla en flexión (a) y en extención (b).
Video 8
5. Protocolo de rehabilitación
El protocolo de rehabilitación es similar al de una cirugía de reconstrucción del LCA. El objetivo es mantener una rodilla fría y recuperar el rango de movilidad completo las primeras 6 semanas. Hasta la tercera semana se realiza carga parcial utilizando una férula en extensión para la deambulación y el foco se centra en la flexo-extensión y la activación del cuádriceps con ejercicios isométricos. Los primeros 3 meses se realiza actividad sin impacto, movilidad y fortalecimiento progresivo estimulando la propiocepción de la rodilla. A partir del tercer mes se comienza con actividad de impacto lineal que progresa a multiplanar para el quinto mes, El alta deportiva se determina en cada paciente a partir del sexto mes acorde al tono muscular y el nivel de entrenamiento.
DISCUSIÓN
En este trabajo presentamos una técnica novedosa de reparación del Ligamento Cruzado Anterior. Se trata de una técnica artroscópica para lesiones completas que no requiere utilizar injerto y conserva el ligamento nativo preservando la vascularización y biología del tejido. Además, permite conservar mecanoreceptores propios del ligamento16 que resultarían en una mejor y más rápida recuperación de la propiocepción. Las ventajas y desventajas de la reparación artroscópica del LCA se detallan en la tabla 1.
Tabla 1: Ventajas y desventajas de la Reparación artroscópica del LCA
| Ventajas | Desventajas |
| No toma de injerto (ni complicaciones relacionadas a la toma de injerto). | Grupo muy específico / selectivo (Lesiones tipo I. Agudo. Joven) |
| Evita problemas relacionados a los túneles (mal posicionamiento, agrandamiento, quistes). | Resultados a largo plazo desconocidos (seguimiento >5 años). |
| Mínimamente invasivo. | Dificultoso en lesiones crónicas. |
| Eventual revisión es similar a una reconstrucción primaria. | Controversia en deporte de pivot. |
| Ideal en pacientes pediátricos con fisis abiertas.24,25 | |
| Rehabilitación mas rápida. | |
| Potencial mejor propiocepción. | |
| Preserva la cinemática nativa. | |
| Prevendría la artrosis (en estudios animales).26 | |
Si bien la reparación precedió a la reconstrucción ligamentaria, este concepto fue abandonado luego de los malos resultados publicados en series con seguimiento a mediano y largo plazo en 19764 y 1990.5,6 El avance en las técnicas artroscópicas para reconstrucción del LCA asociado a una rápida rehabilitación, en comparación con la necesidad de una artrotomía para realizar una reparación con posterior inmovilización prolongada, y las complicaciones propias que esto conlleva, derivaron en la reconstrucción ligamentaria como técnica de preferencia que prevalece a la fecha.
En 1991, Sherman7 informó resultados aceptables de su serie en un subgrupo de pacientes con lesiones proximales. En 2015 Taylor y col.17 presentaron una revisión sistemática sobre 26 trabajos publicados, entre 2003 y 2014. Ocho de éstos son series a largo plazo, entre ellas las mencionadas entre 1970 y 1990, que, sin bien sugieren resultados globalmente inaceptables para la reparación primaria abierta, al igual que Sherman,7 encontraron resultados aceptables para el subgrupo de pacientes con lesiones del tercio proximal. Esto retomo el interés hacia la reparación ligamentaria en un grupo específico de pacientes.
Para lograr resultados favorables, la selección del paciente es un factor clave. Esto requiere una adecuada evaluación preoperatoria y una correcta caracterización y localización de la lesión.
Sherman7 en el año 1991 presentó una clasificación que luego fue modificada por Van Der List y DiFelice en 20168 para lesiones completas del LCA donde contempla el nivel de la lesión (fig. 10). Considerando al LCA en su extensión completa como el 100%, las lesiones tipo I corresponden a las avulsiones localizadas dentro del 10% proximal (femoral). La prevalencia de estas lesiones en resonancia magnética es de aproximadamente 16% y es más frecuente en pacientes mayores de 35 años.18 Las lesiones que comprometen únicamente una banda se consideran Ia. Las tipo II corresponden al tercio proximal, entre 75 y 90% de las fibras proximales; las tipo III al tercio medio, entre 25 y 75% de las fibras del ligamento; las tipo IV son lesiones distales; las tipo V son lesiones con avulsión ósea distal. La reparación está indicada idealmente en las lesiones tipo I. A partir de las lesiones tipo II los autores sugieren reconstrucción del ligamento, y, en caso de ser posible, asociar un retensado de las fibras remanentes que conserven más del 90% de la extensión.

Figura 10: Clasificación propuesta por Sherman modificada por DiFelice. Lesiones tipo I (a), avulsiones dentro del 10% proximal; las lesiones que comprometen únicamente una banda se consideran Ia (b); las tipo II (c) entre 75 y 90% de las fibras proximales; las tipo III (d) entre 25 y 75% de las fibras del ligamento; las tipo IV (e) son lesiones distales; las tipo V (f) lesiones con avulsión ósea distal.
Si bien la mayoría de los autores recomiendan este procedimiento dentro de las primeras 6 semanas,14 Van Der List y cols. publicaron en el 2017 una reparación primaria exitosa luego de 11 años de la lesión.19
Van Eck14 en una revisión de la literatura, encontró mejores resultados en pacientes jóvenes y con fisis abierta. Por otro lado, DiFelice13 describe buenos resultados en su serie con un promedio de edad de 33.5 años.
El índice de falla aún es incierto ya que son escasas las series a mediano y largo plazo publicadas. DiFelice y cols. presentaron en 2015 y 2018 una serie de 11 pacientes a los 3,5 y 6 años de seguimiento respectivamente20,21 utilizando una técnica de reparación de ambas bandas con 2 anclajes. Diez pacientes (91%) presentaron muy buenos resultados clínicos con recuperación de la estabilidad articular y retorno al deporte; un paciente presentó una falla atraumática a los 3 meses y un paciente fue re-operado a los 2.5 años por una lesión meniscal. Los mismos autores publicaron recientemente 13 su serie de 56 pacientes con un seguimiento promedio de 3.2 años e informan una falla de la reparación en 6 casos (10.7%), 4 fueron tratados con una reconstrucción del LCA a 1 año promedio postoperatorio.
Achtnich y col.,22 compararon los resultados clínicos y radiográficos de reparación primaria utilizando una técnica con 1 anclaje versus reconstrucción anatómica simple banda en 40 pacientes con lesiones agudas proximales del LCA. Con un seguimiento promedio de 28 meses, no encontraron diferencias significativas entre los grupos en cuanto a estabilidad articular y los resultados funcionales (Lysholm e IKDC). En el grupo de reparación 3 pacientes (15%) fueron considerados falla debido a inestabilidad clínica; uno de ellos fue re-operado con una reconstrucción luego de un nuevo episodio practicando fútbol 3 meses posterior a la reparación. Ningún paciente fue re-operado en el grupo de reconstrucción.
Se han descrito distintas técnicas para reparación del LCA. Dentro de las más utilizadas se encuentran la reparación de ambas bandas y fijación femoral con 122 o 2 anclajes biodegradables,23 o utilizando 2 puntos y fijandolo a un botón cortical asociándoloa un tutor interno.13 Si bien los resultados se inclinan hacia mejores resultados utilizando un tutor interno,13 esta diferencia no es significativa.
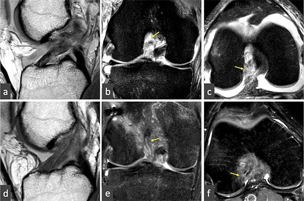
En nuestra experiencia inicial, los pacientes fueron operados antes del mes de la lesión. Realizaron una evaluación previa con kinesioterapia hasta lograr movilidad completa previo a la reparación. Clínicamente presentaban maniobras de inestabilidad positivas y resonancia magnética en la que se evidenció una lesión dentro del 10% proximal (fig. 11a). Como se describió previamente, la técnica que se utilizó fue fijación de las fibras del LCA con un botón cortical adicionando un tutor interno. Evolucionaron inicialmente con una rápida recuperación del rango de movilidad y del tono muscular del cuádriceps dentro del primer mes postoperatorio. La RM control a los 3 meses evidenció un LCA en proceso de cicatrización (fig. 11b).

Figura 11: Corte sagital (a), coronal (b) y axial (c) de resonancia magnética donde se observa lesión proximal del LCA. La lesión se ubica dentro del 10% proximal de las fibras del ligamento. Observese la continuidad lineal, la regularización de los bordes y homogeneidad de las fibras del LCA 3 meses posterior a la reparación en el corte sagital (d), coronal (e) y axial (f).
CONCLUSIÓN
Los resultados favorables en la reparación del LCA se deben principalmente a una adecuada selección de pacientes, un avance en las técnicas artroscópicas y rehabilitación enfocada en la movilización temprana; de todos modos, aún son necesarios mayor número de estudios de investigación y con mayor seguimiento. En este artículo describimos una de las técnicas utilizando un anclaje cortical asociando un tutor interno.
Si bien aún faltan resultados a largo plazo, consideramos que la reparación del LCA debería ser tomada en consideración para las lesiones proximales tipo I.
BIBLIOGRAFÍA
- O’Donoghue DH. Surgical treatment of fresh injuries to the major ligaments of the knee. J Bone Jt Surg Am. 1950;32 A(A):721-738.
- Palmer I. On the Injuries to the Ligaments of the Knee Joint. Clin Orthop Relat Res. 2007;454:17-22. doi:10.1097/BLO.0b013e31802c7915
- Palmer I. On the injuries to the ligaments of the knee joint. Acta Chir Scand. 1938;53.
- Feagin JA, Curl WW. Isolated tear of the anterior cruciate ligament: five-year follow-up study. Am J Sports Med. 1976;4:95-100.
- Kaplan N, Wickiewicz TL, Warren RF. Primary surgical treatment of anterior cruciate ligament ruptures: A long-term follow-up study. Am J Sports Med. 1990;18(4):354-358. doi:10.1177/036354659001800404
- Engebretsen L, Benum P, Fasting O, Molster A, Strand T. A prospective, randomized study of three surgical techniques for treatment of acute ruptures of the anterior cruciate ligament. Am J Sports Med. 1990;18(6):585-590. http://www.embase.com/search/results?subaction=viewrecord&from=export&id=L21009737.
- Sherman MF, Lieber L, Bonamo JR, Podesta L, Reiter I. The long-term followup of primary anterior cruciate ligament repair. Am J Sports Med. 1991;19(3):243-255. doi:10.1177/036354659101900307
- Van der list JP, DiFelice G. Preservation of the Anterior Cruciate Ligament: A Treatment Algorithm Based on Tear Location and Tissue Quality. Am J Orthop. 2016;45(7):E393-E405.
- Van der List JP, DiFelice GS. Primary repair of the anterior cruciate ligament: A paradigm shift. Surgeon. 2017;15(3):161-168. doi:10.1016/j.surge.2016.09.006.
- Mahapatra P, Horriat S, Anand BS. Anterior cruciate ligament repair – past, present and future. J Exp Orthop. 2018;5(1):20. doi:10.1186/s40634-018-0136-6.
- Hohmann E. Editorial Commentary: Renaissance of Primary Anterior Cruciate Ligament Repair: Is History Repeating Itself? Arthrosc J Arthrosc Relat Surg. 2016;32(12):2570-2571. doi:10.1016/j.arthro.2016.09.022.
- Ahmad SS, Difelice GS, List JP Van Der, Ateschrang A, Hirschmann MT. Primary repair of the anterior cruciate ligament : real innovation or reinvention of the wheel ? Knee Surgery, Sport Traumatol Arthrosc. 2018;0(0):0. doi:10.1007/s00167-018-5312-9.
- Jonkergouw A, van der List JP, DiFelice GS. Arthroscopic primary repair of proximal anterior cruciate ligament tears: outcomes of the first 56 consecutive patients and the role of additional internal bracing. Knee Surgery, Sport Traumatol Arthrosc. 2019;0(0):0. doi:10.1007/s00167-018-5338-z.
- Van Eck CF, Limpisvasti O, ElAttrache NS. Is There a Role for Internal Bracing and Repair of the Anterior Cruciate Ligament? A Systematic Literature Review. Am J Sports Med. 2018;46(9):2291-2298. doi:10.1177/0363546517717956.
- Zícaro JP, Yacuzzi C, Paz MC. Indicaciones y Ventajas del Portal Medio Patelar Interno y Externo. 2017;24:126-132.
- Gao F, Zhou J, He C, et al. A Morphologic and Quantitative Study of Mechanoreceptors in the Remnant Stump of the Human Anterior Cruciate Ligament. Arthrosc J Arthrosc Relat Surg. 2016;32(2):273-280. doi:10.1016/j.arthro.2015.07.010.
- Taylor SA, Khair MM, Roberts TR, Difelice GS. Primary Repair of the Anterior Cruciate Ligament: A Systematic Review. Arthrosc - J Arthrosc Relat Surg. 2015;31(11):2233-2247. doi:10.1016/j.arthro.2015.05.007.
- Van der List JP, Mintz DN, DiFelice GS. The Location of Anterior Cruciate Ligament Tears: A Prevalence Study Using Magnetic Resonance Imaging. Orthop J Sport Med. 2017;5(6):1-9. doi:10.1177/2325967117709966
- Van der List JP, DiFelice GS. Successful Arthroscopic Primary Repair of a Chronic Anterior Cruciate Ligament Tear 11 Years Following Injury. HSS J ®. 2017;13(1):90-95. doi:10.1007/s11420-016-9530-8.
- DiFelice GS, Villegas C, Taylor S. Anterior Cruciate Ligament Preservation: Early Results of a Novel Arthroscopic Technique for Suture Anchor Primary Anterior Cruciate Ligament Repair. Arthrosc - J Arthrosc Relat Surg. 2015;31(11):2162-2171. doi:10.1016/j.arthro.2015.08.010.
- DiFelice GS, van der List JP. Clinical Outcomes of Arthroscopic Primary Repair of Proximal Anterior Cruciate Ligament Tears Are Maintained at Mid-term Follow-up. Arthrosc - J Arthrosc Relat Surg. 2018;34(4):1085-1093. doi:10.1016/j.arthro.2017.10.028.
- Achtnich A, Herbst E, Forkel P, et al. Acute Proximal Anterior Cruciate Ligament Tears: Outcomes After Arthroscopic Suture Anchor Repair Versus Anatomic Single-Bundle Reconstruction. Arthrosc - J Arthrosc Relat Surg. 2016;32(12):2562-2569. doi:10.1016/j.arthro.2016.04.031.
- Van der List JP, DiFelice GS. Arthroscopic Primary Anterior Cruciate Ligament Repair With Suture Augmentation. Arthrosc Tech. 2017;6(5):e1685-e1690. doi:10.1016/j.eats.2017.06.024.
- Bigoni M, Gaddi D, Gorla M, et al. Arthroscopic anterior cruciate ligament repair for proximal anterior cruciate ligament tears in skeletally immature patients: Surgical technique and preliminary results. Knee. 2017;24(1):40-48. doi:10.1016/j.knee.2016.09.017.
- Smith JO, Yasen SK, Palmer HC, Lord BR, Britton EM, Wilson AJ. Paediatric ACL repair reinforced with temporary internal bracing. Knee Surgery, Sport Traumatol Arthrosc. 2016;24(6):1845-1851. doi:10.1007/s00167-016-4150-x.
- Murray MM, Fleming BC. Use of a bioactive scaffold to stimulate anterior cruciate ligament healing also minimizes posttraumatic osteoarthritis after surgery. Am J Sports Med. 2013;41(8):1762-1770. doi:10.1177/0363546513483446.
