Reparación Primaria Artroscópica del LCA en Lesión Tipo I y Sutura del Cuerno Posterior del Menisco Interno
ARTROSCOPIA | VOL. 26, N° 3: 94-103 | 2019
Reporte de caso
Reparación Primaria Artroscópica del LCA en Lesión Tipo I y Sutura del Cuerno Posterior del Menisco Interno
Ignacio Dallo, Cristian Collazo, Horacio Rivarola Etcheto
Hospital Universitario Austral- Hospital Universitario Fundación Favaloro
RESUMEN
La reparación del menisco y del ligamento cruzado anterior (LCA) son procedimientos quirúrgicos que tiene como objetivo preservar el tejido nativo y prevenir la artrosis futura. Históricamente, los resultados luego de la reparación primaria abierta de lesiones del LCA no han sido buenos. Sin embargo, haciendo un análisis en retrospectiva, la selección de los pacientes no fue la mas apropiada (es decir, lesiones proximales, agudas y con buena calidad del tejido ligamentario).
Recientemente, se ha reconocido que es posible obtener buenos resultados cuando la reparación primaria del LCA está bien indicada, en un pequeño subgrupo de pacientes. Debido al mejor conocimiento de la biología del LCA sumado a los avances actuales de las técnicas artroscópicas y del instrumental, ha generado un nuevo interés en las técnicas de preservación y reparación primaria del LCA. Preservar el LCA nativo tiene las ventajas de mantener la función propioceptiva y la biología mediante un procedimiento mínimamente invasivo que podría evitar la necesidad de una reconstrucción del LCA.
En esta publicación presentamos el caso de una paciente de sexo femenino de 43 años, esquiadora recreativa con lesión aguda del LCA (tipo I) y del cuerno posterior del menisco interno de rodilla derecha. Desarrollamos nuestro enfoque quirúrgico de preservación y reparación de ambas estructuras intraarticulares que juegan un rol crucial en el mantenimiento de la homeostasis de la rodilla. Describimos la técnica y resultados de la reparación primaria artroscópica con anclaje ventado BioCompuesto SwiveLock de 4,75 mm (Arthrex) aumentado con un refuerzo interno con Tigertape 2mm (Arthrex) combinado con la reparación fuera adentro del cuerno posterior del menisco interno.
Finalmente realizamos una actualización donde se discuten científicamente las múltiples facetas relacionadas con la reparación primaria del LCA para mejorar nuestra comprensión del problema, agudizar nuestras indicaciones y optimizar nuestra atención a los pacientes.
Tipo de Estudio: Reporte de Caso y Actualización
Nivel de evidencia: IV
Palabras clave: Ligamento Cruzado Anterior; Reparación primaria del LCA; Avulsión femoral del LCA; Reparación Meniscal
ABSTRACT
The repair of the anterior cruciate ligament (ACL) and meniscus are surgical procedures that aim to preserve the native tissues and prevent future osteoarthritis. Historically, the results after open primary repair of the ACL injuries have not been good. However, by doing a retrospective analysis, patient selection was not the most appropriate (proximal, acute and suitable quality ligament tissue lesions)
Recently, it has been recognized that it is possible to obtain good results when primary ACL repair is well indicated in a small subset of patients. Due to the better knowledge of the biology of the ACL, together with the current advances in instrumental and arthroscopic techniques, it has generated a new interest in the preservation and primary repair techniques of the ACL. Preserving the native ACL has the advantages of maintaining proprioceptive function and biology through a minimally invasive procedure that could avoid the need for an ACL reconstruction.
In this publication, we present the case of a 44-year-old female amateur skier with an acute lesion of the ACL (type I) and posterior horn of medial meniscus tear. We develop our surgical approach to preserving and repairing both intra-articular structures that play a crucial role in maintaining the homeostasis of the knee. We describe the technique, and our result of the primary arthroscopic repair with a 4.75 mm SwiveLock BioComposite suture anchor (Arthrex) augmented with TigerTape 2mm (Arthrex) as an internal brace combined with an outside-in repair of the posterior horn of the medial meniscus.
Finally, we made an update where the multiple facets related to primary ACL repair are scientifically discussed to improve our understanding of the problem, sharpen our indications, and optimize our patient care.
Study design: Case report and Update
Level of evidence: IV
Keywords: Anterior cruciate ligament; ACL primary Repair; ACL Femoral Avulsion; Meniscal Repair
Ignacio Dallo
Esta dirección de correo electrónico está siendo protegida contra los robots de spam. Necesita tener JavaScript habilitado para poder verlo.
Recibido: Julio 2019. Aceptado: Julio 2019.
INTRODUCCIÓN
El menisco interno y el ligamento cruzado anterior (LCA) son considerados estructuras vitales que trabajan en forma sinérgica junto con el resto de las estructuras intraarticulares y la morfología ósea para facilitar la biomecánica y el mantenimiento biológico de una rodilla sana.1-3
Múltiples estudios han demostrado que el tercio externo del menisco contiene el plexo capilar perimeniscal (zona roja) que promueve y favorece la cicatrización. Es por esto que, para las lesiones periféricas, el tipo de técnica podría no ser tan relevante porque el potencial de cicatrización es alto, siempre y cuando se realice una reparación que contemple los 3 elementos vitales: preparación/aumentación biológica, reducción anatómica y compresión circunferencial.4,5
A diferencia del ligamento cruzado posterior (LCP) y el ligamento colateral medial (LCM), se cree que el LCA posee una capacidad intrínseca limitada para la cicatrización espontánea después de una lesión.6,7 Los primeros informes de reparación primaria del LCA con sutura culminaron en tasas de fracaso del 40-100%.8 Se ha especulado que la pobre capacidad de cicatrización del LCA es consecuencia de su ubicación intra-articular y su delgada membrana sinovial.9 Por lo general, las lesiones ligamentarias desencadenan la liberación de citoquinas proinflamatorias que inician la formación de un andamio biológico (coágulo-fibrina-plaquetas) que es reemplazado rápidamente por tejido de granulación, y semanas después, por fibras de colágeno paralelas inmaduras.10 Si bien, se han reportado casos de cicatrización espontánea luego de una lesión del LCA11-13 y estudios histológicos como el de Nguyen y col.14 en remanentes de LCA humanos demostraron que el tercio proximal tiene características histológicas similares a las de una respuesta de cicatrización del LCM. Sin embargo, varios trabajos han afirmado que el líquido sinovial de la rodilla inhibe la formación del coágulo de fibrina-plaquetas y la migración de los fibroblastos del ligamento en pacientes que sufren una lesión del LCA.8,10,15 Por lo tanto, en los últimos 30 años, la reconstrucción quirúrgica para recuperar la estabilidad de la rodilla ha sido el tratamiento standard de oro.7
Si bien se reportaron resultados excelentes y un alto rendimiento deportivo después de la reconstrucción del LCA,16-18 un metanálisis de Biau y col.19 informó que solo el 40% de los pacientes con reconstrucción del LCA lograron una recuperación completa independientemente de la técnica quirúrgica. Del mismo modo, Kartus y col.20 informaron que el 65% de los pacientes tenían dolor anterior en la rodilla y alteración de la sensibilidad en la cara anterior de la rodilla causada por lesión intraoperatoria del nervio infrapatelar después de la reconstrucción del LCA con autoinjerto de tendón rotuliano. En otro estudio con seguimiento a largo plazo, Barenius y col.,21 informaron que el 57% de los casos de reconstrucción del LCA desarrollarán osteoartritis en un seguimiento de 14 años en la rodilla operada, contra el 18% en la rodilla no operada. Por todo lo descripto antes, sumado al mayor conocimiento de los aspectos biológicos de la cicatrización del LCA y mejoras en las técnicas artroscópicas, debido a la evolución del instrumental y la destreza de los cirujanos, se ha renovado el interés en el desarrollo de técnicas de tratamiento para prevenir cambios degenerativos en un grupo seleccionado de pacientes con lesiones del LCA.9,22,23 A la luz de estos desarrollos recientes, es importante que los médicos comprendan las características de la resonancia magnética preoperatoria (localización de la lesión, calidad y longitud del remanente del LCA) para poder seleccionar mejor los potenciales pacientes candidatos a la reparación primaria de LCA.24,25
Estas alternativas a las actuales técnicas de reconstrucción quirúrgica tienen el potencial de preservar el sitio nativo de inserción de las fibras remanentes, manteniendo así las propiedades biológicas del LCA, propiocepción y vascularización, que a su vez podría conducir a una biomecánica más natural.26,27
La reparación primaria artroscópica del LCA es un procedimiento relativamente corto, que evita la morbilidad del sitio donante del injerto. Es menos invasivo, generando menor reacción inflamatoria con reducción de derrame, dolor, rigidez e inhibición muscular artrogénica (Tabla I). La recuperación podría ser más rápida que la reconstrucción del LCA (sin embargo, se necesitan más estudios y mayor seguimiento para demostrarlo).
Tabla I: Predictores de reparabilidad y ventajas de la reparación del LCA
| Predictores de Reparabilidad | Ventajas |
| Edad superior a 35 años | Preservar fibras remanentes y sus propiedades biomecánicas complejas |
| Lesión tipo I, buena longitud y calidad del remanente del LCA | Preservar propiedades biológicas (Propiocepción y Vascularización) |
| Lesión aguda (< de 4 semanas) | Sin morbilidad del sitio donante del injerto. |
| Sin lesión del menisco externo | Menor reacción inflamatoria, derrame, dolor y rigidez. |
| IMC menor de 26 | Biomecánica más natural |
| Cobertura sinovial del LCA intacta | Preserva el cartílago de crecimiento en pacientes pediátricos |
PRESENTACIÓN DEL CASO
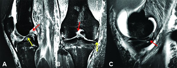
Paciente femenino de 44 años, esquiadora recreativa, que consulta a nuestra institución el 22 de julio del año 2018, por un cuadro de dolor, limitación funcional e inestabilidad anterior de rodilla derecha posterior a un traumatismo deportivo (ski en nieve) de 1 semana de evolución. El examen físico reveló una prueba de Lachman positiva (++), pivot shift positivo (+), derrame articular con choque rotuliano positivo (+++) y test de McMurray (+) para menisco interno. El diagnóstico de lesión completa tipo I (avulsión femoral) del LCA según la clasificación de Sherman28 (fig. 1) y lesión vertical longitudinal periférica del cuerno posterior del menisco interno, se confirmó por resonancia magnética nuclear (RMN) de rodilla (fig. 2).

Figura 1: Clasificación de Lesiones completas del LCA según Sherman y col.24

Figura 2: A) Imagen que muestra un corte sagital de Resonancia Magnética Nuclear (RMN) de rodilla donde se observa la avulsión proximal y el remanente del LCA. Flecha Roja (FR): Avulsión Femoral del LCA. Flecha Amarilla (FA): Remanente Completo del LCA. B) Imagen que muestra un corte coronal de Resonancia Magnética Nuclear (RMN) de rodilla derecha donde se observa la avulsión del LCA en su inserción proximal femoral y la lesión del Menisco interno. FR: Avulsión femoral del LCA. FA: Lesión del menisco interno. C) Imagen que muestra un corte sagital de Resonancia Magnética Nuclear (RMN) de rodilla derecha donde se observa la lesión del cuerno posterior del Menisco interno. FR: Lesión del cuerno Post. del Menisco Int.
Hasta donde sabemos, este es el primer reporte de caso y actualización en esta revista sobre la técnica de reparación primaria del LCA para pacientes con lesión tipo I.
Técnica Quirúrgica
Luego de la aprobación por el comité de ética del hospital se decidió realizar la reparación primaria del LCA y la sutura del cuerno posterior del menisco interno por vía artroscópica. La misma se realizó a las 4 semanas de la lesión.
Con la paciente en posición supina en la mesa de operaciones y después de la inducción de la anestesia general, se realizó un examen bilateral de rodilla para observar y evaluar anomalías en comparación con el lado no lesionado. Se colocó el torniquete neumático bien acolchado y proximal en el muslo a operar con la rodilla a 90° de flexión con un soporte de pie para permitir un rango completo de movimiento y mayor comodidad para facilitar el procedimiento. El primer paso fue realizar una evaluación artroscópica estándar de la rodilla. Utilizamos un portal parapatelar lateral alto estándar para el artroscopio y un portal parapatelar medial para el instrumental. Se recomienda la colocación de una cánula maleable PassPort (Arthrex, Naples, FL) en el portal anteromedial para maximizar la visibilidad y el manejo de la sutura dentro y fuera del espacio de trabajo artroscópico. En este caso se detectó una lesión completa grado I del LCA con buena longitud y calidad de tejido del remanente (fig. 3A) y una lesión vertical longitudinal periférica del cuerno posterior del menisco interno (fig. 3B).

Figura 3: A) Imagen artroscópica de rodilla derecha, vista desde el portal anterolateral, con el paciente en posición supina y la rodilla a 90° de flexión que muestra la lesión tipo I del LCA. I: Cóndilo Femoral Externo. II: Remanente del LCA. III: Palpador. IV: LCA. V: Pared Medial. B) Imagen artroscópica, vista desde el portal anteromedial que muestra la lesión vertical circunferencial periférica del cuerno posterior del menisco interno. I: Cuerno Post. Menisco Int. II: Palpador. III: Lesión Vertical Longitudinal. IV: Meseta Tibial Interna.
En un primer tiempo se realizó la reparación del cuerno posterior del menisco interno. Para obtener un acceso con mejor visión y mas seguro realizamos la técnica de pie-crust sobre el LCM. Se preparan con shaver los bordes de la lesión, para mejorar el potencial de cicatrización.29 Luego se realiza la sutura meniscal fuera-adentro, con 3 puntos verticales ubicados cada 3 a 5 mm, utilizando aguja espinal de (18 gauge) precargada con sutura no absorbible, polidioxanona número 1 (PDS) a través de un portal postero medial estándar que se creó bajo la visualización artroscópica directa de la cápsula posteromedial. Logrando de esta forma la reducción anatómica y compresión circunferencial del menisco (fig. 4).

Figura 4: Imagen artroscópica de rodilla derecha, vista desde el portal anteromedial que muestra que muestra la sutura meniscal fuera- adentro con 3 puntos verticales de sutura no absorbible, polidioxanona N° 1 (PDS). I: Cóndilo Femoral Interno. II: Puntos Verticales con PDS en Curno Post. Menisco Int. III: Meseta Tibial Interna.
En un segundo tiempo, se requiere palpar y observar con detenimiento el patrón de ruptura y medir con precisión la longitud del remanente del LCA, observando la capacidad para ser presentado en la huella femoral.
Se identifican los haces anteromedial (AM) y posterolateral (PL) del LCA. Se realizan los puntos a través del haz anteromedial utilizando una pinza FastPass Scorpion (Arthrex) con una sutura FiberWire número 2 (Arthrex) desde el extremo distal intacto en un patrón alternante de tipo Bunnell hacia el extremo proximal (fig. 5A). Se realizaron 3 pases hasta que se alcanzó el extremo proximal. Los puntos para el haz posterolateral se realizaron de forma similar con una sutura FiberWire número 2 (Arthrex) (fig. 5B). Luego se confeccionan pequeñas microfracturas en la cara interna del cóndilo femoral lateral, utilizando un punzón sin afectar la huella del LCA, para estimular la médula ósea como estrategia de aumento biológico que intenta promover la quimiotaxis, la proliferación celular y/o la producción de matriz en el sitio de la reparación del LCA y el menisco ayudando a superar las limitaciones de cicatrización.29-33 Con la rodilla en 90° de flexión, se crea un portal anteromedial inferior accesorio para el abordaje directo a la huella femoral. Se creó un túnel de 3,5 por 20 mm, en el origen femoral del haz AM. Las suturas de FiberWire del haz anteromedial se pasan a través del ojal de un anclaje ventado BioCompuesto SwiveLock de 4,75 mm (Arthrex) precargado con Tigertape 2 mm (Arthrex) que luego se utilizó como internal brace (fig. 5C). De esta forma, el primer anclaje se fija en el fémur hacia el origen anteromedial con la rodilla en 90° de flexión, mientras se tensa el resto del LCA hacia la pared para evitar la formación de un gap. Este procedimiento se repitió luego para el haz posterolateral con las suturas FiberWire y un anclaje ventado BioCompuesto SwiveLock de 4,75 mm que se insertó a 110° de flexión. Logrando de esta manera una fijación y tensado independiente de cada haz del LCA. Finalmente se cortan los extremos libres de las suturas de reparación con un cortador de sutura de extremo abierto (Arthrex).
Luego se dirigió la atención para fijar el internal brace distalmente. En primer lugar, se utilizó una guía de LCA para perforar con una broca de 2.4 mm hacia arriba a través de la tibia desde la cortical anteromedial hasta el centro de la inserción tibial del LCA. Luego se cambió por un lazo recto de micro sutura (Arthrex), y se retiró el Tigertape a través de la tibia donde se fijó en extensión completa con un anclaje ventado BioCompuesto SwiveLock de 4,75 mm (Arthrex) en el aspecto anteromedial de la rodilla después de ciclar la misma y tensar el internal brace (Tabla II).
Por último, se constata bajo visión artroscópica la posición final del LCA reinsertado en su huella femoral (fig. 5D).

Figura 5: Imagen artroscópica de rodilla derecha, vista desde el portal anterolateral, con el paciente en posición supina y la rodilla a 90 ° de flexión. A) La sutura del haz anteromedial (AM) con FiberWire N1. I: Pared Medial Cóndilo Ext. II: Remanente Haz AM. III: Sutura. IV: LCP. B) La sutura del haz posterolateral (PL) con TigerWire No.1. I: Remanente Haz PL. II: Sutura. III: Pinza Scorplo. C) La colocación del ancla ventado BioCompuesto SwiveLock 4,75 mm para fijar el haz anteromedial con el TigerTape 2mm (Internal Brace) carcado en el ojal. I: Pared Medial del Cóndilo Ext. II: Sutura Haz AM. III: SwiveLock 4.75 mm Biocompuesto. IV: TigerTape 2mm (Internal Brace). D) La reinserción del LCA en su huella femoral. I: Cóndilo Femoral Externos. II: LCA Reinsertado. III: LCP. IV: Cóndilo Femoral Interno.
Tabla II: Tips de recomendación para la técnica artroscópica de reparación del LCA
| Tips: Reparación primaria artroscópica del LCA |
| Utilice cánula tipo Passport en el portal anteromedial para el mejor manejo de la sutura |
| Utilice una pinza de auto recuperación (Scorpion) para pasar fácilmente los puntos en el LCA |
| Sea cuidadoso al pasar los puntos para evitar lesionar el cartílago de los cóndilos |
| Utilice un portal AM inferior accesorio para optimizar la colocación del anclaje |
| Cargue el internal brace en el ojal del anclaje del la bandahaz AM |
| Coloque el anclaje para el haz AM con la rodilla en flexión de 90º y en 110º para el haz PL |
| Fije distalmente el internal brace en extensión, luego de ciclar la rodilla |
Post operatorio y Rehabilitación
Los objetivos principales del post-operatorio y la rehabilitación son, controlar el edema y obtener un buen rango de movilidad temprana. Aplicamos una rodillera articulada en posición de extensión y se permitió carga parcial con muletas por 2 semanas. Se indicó profilaxis antitrombótica con heparina de bajo peso molecular por 3 semanas. Nuestro protocolo de rehabilitación incluye activación muscular isométrica a partir del primer día postoperatorio. Debido a la reparación del menisco, la flexión se limitó a 60° durante 4 semanas y a 90° durante 2 semanas adicionales. A partir de la semana 5, los ejercicios de cadena cerrada se realizan bajo la orientación del fisioterapeuta. Después de 8 semanas, se inician los ejercicios combinados con entrenamiento propioceptivo y muscular.
RESULTADO
La paciente fue controlada de forma rutinaria en el hospital a la semana, 1 mes, 3 meses, 6 meses, 11 meses, los hallazgos del examen físico siempre mostraron estabilidad anterior clínica (Lachman, cajón anterior y pivot shift negativos) sin derrame articular, dolor tolerable durante la primera semana. En la última consulta a los 11 meses presentó un rango de movimiento completo y rodilla estable, con una RMN con imagen continua del LCA pero un poco heterogénea e hiperintensa (fig. 6).

Figura 6: Imágenes de RMN de rodilla derecha a los 11 meses luego de la reparación primaria del LCA. A) Corte sagital que muestra una imagen continua, heterogénea e hiperintensa del LCA. Flecha: LCA reinsertado. B) Corte coronal que muestra una imagen continua, heterogénea e hiperintensa en casi toda la extensión del LCA. Flecha: LCA reinsertado.
DISCUSIÓN
Múltiples estudios clínicos, han demostrado una excelente cicatrización de las lesiones meniscales periféricas,35,36 y la distancia de (0 a 2 mm) de la lesión a la unión menisco capsular se ha identificado como el predictor más importante para la cicatrización.37
La reparación del menisco proporciona mejores resultados a largo plazo, mejores puntuaciones clínicas y cambios degenerativos menos graves observados radiográficamente en comparación con la meniscectomía parcial. Los avances en las técnicas quirúrgicas han ampliado la capacidad de reparación del menisco. Es fundamental que los cirujanos que tratan las lesiones del menisco estén familiarizados con las técnicas de reparación en evolución para optimizar la salud y la longevidad de la articulación de la rodilla.29
Los datos clínicos históricos sugirieron que las reparaciones primarias abiertas del LCA tienen una tasa de fracaso excesivamente alta.38,39 Feagin informó buenos resultados a un mínimo de 2 años de seguimiento en 25 de 30 cadetes militares. Sin embargo, a los 5 años de seguimiento, el 71% de estos pacientes tenía dolor residual y el 94% tenía inestabilidad de la rodilla.40 Estos hallazgos llevaron a la conclusión que la reparación primaria del LCA tuvo buenos resultados en solo un tercio de los pacientes tratados en esta cohorte.39 Es importante destacar que los pacientes con resultados iniciales satisfactorios parecían conservar buenos resultados a los 30 años después de la operación. Este concepto llevó a la creencia de que hay un pequeño subconjunto de pacientes que podrían beneficiarse de una reparación primaria del LCA si se indica adecuadamente. Además, los hallazgos de Murray y col.41 demostraron una reducción significativa del daño macroscópico del cartílago con la reparación primaria en comparación con la reconstrucción convencional del LCA en un modelo porcino a los 12 meses.42
El dogma ortopédico que el LCA “no puede cicatrizar” se basaba en protocolos quirúrgicos y de rehabilitación más bien históricos.43 En pocas palabras, algunas lesiones del LCA bien seleccionadas pueden cicatrizar.44 Según van del List y col.44,45 las lesiones tipo I son las terceras en frecuencia de todas las lesiones del LCA, con una incidencia del 16% y no hay diferencias significativas según el deporte practicado. Los estudios indican que la intervención temprana, es clave para mantener las propiedades biomecánicas y biológicas de los LCA reparados.23,49
Se han publicado en la literatura diferentes técnicas modernas de reparación para lesiones proximales del LCA (Tabla 3): con fijación cortical, fijación completa del muñón del LCA, fijación individual de cada haz del LCA, técnicas de reparación más aumento con internal brace, con el uso de una estabilización dinámica intra-ligamentaria (DIS) y técnicas combinadas.
Tabla III: Estudios con distintas técnicas de reparación primaria del LCA
| Autor | Técnica | n:Pacientes | Seguimiento | Scores Clínicos | Inestabilidad |
| Mackay y col. | Internal Brace con TightRope (un único haz) | n: 68 | 1 año | Resultados tempranos comparables a la reconstrucción. Mejores tasas de retorno deportivo. | 1 caso de re-ruptura |
| Difelice y col. | 2 SwiveLock (4.75mm). Uno para cada haz del LCA | n: 11 | 3.5 años Promedio | Lysholm promedio (93.2) Cincinnati media (91.5) | |
| Tegner pre-op. se mantuvo en (8 de 10 pacientes) | 7 de 8 diferencia de (< de 3 mm) | ||||
| 1 mostró diferencia de (6 mm) | |||||
| Hoffmann y col. | 1 PushLock (2.9mm). Un único haz | n:12 | 6.5 años Promedio | Lysholm media (85). IKDC (87.3). Cincinnati (83.8) | Rolímetro promedio diferencia lado a lado de (2 mm) |
| Smith y col. | 2 SutureTack (3mm). Tensión independiente de cada haz del LCA | - | - | - | - |
| Weninger y col. | 2 PushLock (2.9mm) + Microfracturas (dos haces) | - | - | - | - |
| Atchnich y col. | 1 PushLock (2.9mm) + Microfracturas (un solo Haz) | n: 41 | Resultados funcionales comparables con grupo control de reconstrucción del LCA. | Estabilidad comparable con grupo control de reconstrucción del LCA. | |
| Henle y col. | Dispositivo de estabilización dinámica intraligamentario (DIS) | n: 278 | 1 año | IKDC (93.6) | |
| Lysholm (96.2) | |||||
| Tegner (4.9) | |||||
| VAS (8.8) | 2.8% de re-ruptura | ||||
| Jonkergouw y col. | 2 SwiveLock (4.75mm) + Internal Brace (Técnica combinada) | n: 56 | 2 años | Sin diferencias significativas en los scores clínicos con la técnica sin Internal brace | Re-ruptura (7,4% con refuerzo int.) (13,8% sin refuerzo int.) |
Mackay y col.50 revisaron a 68 pacientes consecutivos que se sometieron a una reparación del LCA con un internal brace cargado en un sistema de fijación suspensorio cortical femoral, TightRope (Arthrex). Los autores informaron resultados tempranos comparables a la reconstrucción, con mejores tasas de retorno deportivo. Recientemente, Difelice y col.22 realizaron una revisión retrospectiva con un seguimiento temprano de 11 casos consecutivos de reparación primaria del LCA con una fijación de anclaje separada para cada haz del LCA. Los pacientes se incluyeron si tenían una lesión por avulsión proximal y se confirmó mediante artroscopia que la calidad del tejido era adecuada para la reparación. Diez de los once pacientes tuvieron una buena evaluación subjetiva (la puntuación media de Lysholm fue de 93,2; la puntuación media de Cincinnati modificada fue de 91,5; la puntuación preoperatoria de la actividad de Tegner se mantuvo después de la operación en 8 de 10 pacientes) y los resultados objetivos (7 de 8 mostraron una diferencia de menos de 3 mm con la rodilla contralateral sana en las pruebas manuales máximas y 1 mostró una diferencia de 6 mm) después de la cirugía de reparación del LCA con un seguimiento medio de 3,5 años.
Hoffmann y col.50 informaron, sobre 12 pacientes con una nueva reparación primaria con anclaje sin nudo de 2.9 mm, una mejoría funcional (puntuación de Lysholm media de 85 puntos, puntuación subjetiva de IKDC de 87.3 puntos, y puntaje promedio de Cincinnati modificado de 83.8 puntos) y resultados objetivos (Rolímetro promedio de diferencia lado a lado de 2 mm) a los 79 meses. Es de destacar que un paciente sufrió una nueva lesión temprana y un paciente sufrió un desgarro adicional del tendón patelar. Smith y col.51 publicaron una técnica quirúrgica de reparación primaria de LCA con una tensión independiente que permite que el haz AM se fije en flexión utilizando un dispositivo de fijación cortical femoral suspensorio TightRope RT (Arthrex) cargado con el internal brace y el haz PL en extensión completa utilizando un anclaje sin nudo BioCompuesto SutureTack (Arthrex) de 3mm. reproduciendo la cinemática normal del LCA. De manera similar, Weninger y col.52 describieron una técnica quirúrgica que combina la “técnica de respuesta de cicatrización” de Steadman31 con una reinserción del LCA de doble haz anatómico para lesiones de tipo avulsión proximal usando suturas no absorbibles No. 2 y anclajes PushLock (Arthrex) sin nudos de 2.9 mm. Atchnich y col. utilizaron una técnica muy similar en 41 pacientes, pero con una reinserción del LCA en un solo haz utilizando un anclaje de sutura sin nudos PushLock de 2.9 mm y microfracturas. Ellos concluyeron que su técnica restaura la estabilidad de la rodilla y con resultados funcionales comparables a un grupo de control tratado con reconstrucción de LCA.53 Es de destacar que no se informaron resultados ni para las técnicas Smith51 ni Weninger.52
Henle y col.55 presentaron el dispositivo de estabilización dinámica intraligamentario (DIS), mecanismo dinámico de resorte helicoidal que empuja la tibia hacia una traslación posterior en cada grado de flexión, asegurando que los muñones del ligamento se aproximan en todo momento, para el tratamiento de lesiones agudas del LCA en 278 pacientes con 3 años de seguimiento. Después del tratamiento con DIS, las puntuaciones medias de IKDC, Lysholm y Tegner durante 12 meses fueron de 93.6, 96.2 y 4.9 puntos, respectivamente, y la diferencia media de traslación antero-posterior fue de 2.3 mm. Todos estos resultados fueron comparables a los valores preoperatorios o rodilla sanas contralaterales (p <0,0001). La satisfacción media de los pacientes fue de 8,8 (VAS 0-10). Reportaron 2,8% de re-rupturas del LCA y el 1% de los pacientes informaron una estabilidad subjetiva insuficiente de la rodilla al final del período de estudio.
En un estudio reciente, con una técnica combinada, igual a la que describimos en nuestro reporte de caso (fig. 7), evaluó los resultados y el papel del aumento adicional con refuerzo interno (internal brace) en una cohorte más grande de 56 pacientes, las tasas de re-ruptura fueron del 7,4% y del 13,8% sin refuerzo interno (P = 0,672). No hubo diferencias estadísticamente significativas o clínicamente relevantes en los resultados subjetivos.54

Figura 7: Dibujo que muestra el resultado final con la técnica de reparación primaria artroscópica con fijación femoral independiente de cada haz con 2 anclajes ventados BioCompuestos SwiveLock de 4,75 mm (Arthrex) aumentado con Tigertape 2mm (Arthrex) como internal brace fijado en la tibia con un anclaje SwiveLock de 4,75 mm. I: SwiveLock 4.75 mm. II: TigerTape 2mm (Internal Brace). III: SwiveLock 4.75 mm.
Otra estrategia para proteger la reparación del LCA es la adición de un procedimiento extra-articular lateral.56 Esto parece ser aún más importante hoy en día, dado que hemos mejorado nuestra comprensión reciente de la anatomía y la función del ligamento antero lateral (LAL), mas los excelentes resultados clínicos de la reconstrucción del LAL con respecto a la reducción en las tasas de ruptura del injerto del LCA y la mejora en el retorno al deporte.57
El primer trabajo que estudió el papel de la resonancia magnética nuclear (RMN) para evaluar la graduación de la continuidad y la maduración postoperatoria del ligamento después de la reparación artroscópica primaria de LCA, concluyó que los ligamentos eran generalmente hiperintensos (< del 50% similar al LCP) dentro de un año de la cirugía, isointensos (> del 50% similar al LCP) entre uno y dos años e hipointensos (similar al LCP) después de los dos años.34
Un estudio retrospectivo de casos y controles de 361 pacientes con inestabilidad anterior de rodilla mostró que el 44% de todos los pacientes eran elegibles intraoperatoriamente y se sometieron a una reparación artroscópica de LCA primaria. Los predictores independientes de la posibilidad de una reparación primaria de LCA eran: edad superior a 35 años, un IMC menor de 26, mientras que la presencia de una lesión del menisco lateral disminuía la probabilidad de reparación (Tabla: I).
Se ha observado una curva de aprendizaje significativa para la elegibilidad de la reparación primaria.58
Todos los estudios citados tienen una observación en común: es probable que las lesiones proximales con longitud de tejido suficiente para alcanzar la huella femoral sin dejar espacio en el sitio de la ruptura brinden resultados prometedores luego de la reparación. Por el contrario, un estudio reciente que compara la reparación de LCA con la reconstrucción en adolescentes (7 -18 años de edad) informaron una incidencia de 48.8% de falla del injerto en los primeros 3 años después de la cirugía en el grupo de reparación, en comparación con el 4.7% en el grupo de reconstrucción.59 También está claro que el uso indiscriminado de la reparación primaria del LCA, independientemente de la técnica utilizada, podría aumentar significativamente el número de re-rupturas. Ya se ha demostrado que con una selección óptima del paciente y con indicaciones estrictas, se podrían reducir las tasas de re-lesiones y fallos44,51,52,60-62 Por lo tanto, debemos reenfocar nuestro esfuerzo de investigación en la identificación de los factores clave que determinan los resultados de la reparación primaria del LCA. Además, la revisión de una reparación primaria fallida es técnicamente como una reconstrucción primaria del LCA.
La reparación primaria artroscópica de LCA es una pieza del rompecabezas en un enfoque individualizado y a la carta para el tratamiento del paciente con lesión del LCA.
CONCLUSIONES
La reparación del menisco y del LCA es un procedimiento quirúrgico que tiene como objetivo preservar el tejido nativo, su biomecánica y función para potencialmente prevenir la artrosis futura. Los resultados históricos de la reparación primaria del LCA son controvertidos, y esto podría atribuirse en parte a la selección inadecuada del paciente, la cirugía relativamente invasiva y la inmovilización postoperatoria. Actualmente, sin embargo, se están reportando mejores resultados debido a una mejoría en la selección del paciente con la ayuda de mejores imágenes de resonancia magnética, avances en el instrumental y técnicas artroscópicas. La mayor destreza de los cirujanos artroscopistas y la rehabilitación centrada en el rango de movimiento temprano. Nuestro reporte de caso es un ejemplo a corto plazo con un resultado prometedor. Sin embargo, tenemos que ser cautos, se necesitan estudios con mayor numero de pacientes y con resultados a largo plazo para determinar con certeza los criterios de selección y beneficios reales de la reparación primaria del LCA.
BIBLIOGRAFÍA
- Zhang, A.L., et al., Tibiofemoral contact pressures in radial tears of the meniscus treated with all-inside repair, inside-out repair and partial meniscectomy. Knee, 2015. 22(5): p. 400-4.
- Hede, A., E. Larsen, and H. Sandberg, The long term outcome of open total and partial meniscectomy related to the quantity and site of the meniscus removed. Int Orthop, 1992. 16(2): p. 122-5.
- Burnham, J.M. and F.H. Fu, The importance of individualized, anatomic anterior cruciate ligament (ACL) reconstruction—for Annals of Joint Special ACL Edition. Annals of Joint, 2017. 2(7).
- Chahla, J., et al., Review of Arnoczky and Warren on the microvasculature of the human meniscus. Journal of ISAKOS: Joint Disorders & Orthopaedic Sports Medicine, 2017. 2(4): p. 229-232.
- Arnoczky, S.P. and R.F. Warren, Microvasculature of the human meniscus. Am J Sports Med, 1982. 10(2): p. 90-5.
- M.M. Murray, The potential for primary repair of the ACL. Sports Med Arthrosc Rev, 2011. 19(1): p. 44-9.
- Woo, S.L., T.M. Vogrin, and S.D. Abramowitch, Healing and repair of ligament injuries in the knee. J Am Acad Orthop Surg, 2000. 8(6): p. 364-72.
- Mastrangelo, A.N., et al., The effect of skeletal maturity on the regenerative function of intrinsic ACL cells. J Orthop Res, 2010. 28(5): p. 644-51.
- Dallo, I., et al., Biologic Approaches for the Treatment of Partial Tears of the Anterior Cruciate Ligament: A Current Concepts Review. Orthop J Sports Med, 2017. 5(1): p. 2325967116681724.
- Vavken, P. and M.M. Murray, The potential for primary repair of the ACL. Sports Med Arthrosc, 2011. 19(1): p. 44-9.
- Costa-Paz, M., et al., Spontaneous healing in complete ACL ruptures: a clinical and MRI study. Clin Orthop Relat Res, 2012. 470(4): p. 979-85.
- Kurosaka, M., et al., Spontaneous healing of a tear of the anterior cruciate ligament. A report of two cases. J Bone Joint Surg Am, 1998. 80(8): p. 1200-3.
- Roe, J., et al., Spontaneous Healing of the Ruptured Anterior Cruciate Ligament: A Case Series of 21 Patients. Orthopaedic Journal of Sports Medicine, 2016. 4(7 suppl5): p. 2325967116S00080.
- Nguyen, D.T., et al., Intrinsic healing response of the human anterior cruciate ligament: an histological study of reattached ACL remnants. J Orthop Res, 2014. 32(2): p. 296-301.
- Rosc, D., et al., Post-traumatic plasminogenesis in intraarticular exudate in the knee joint. Med Sci Monit, 2002. 8(5): p. Cr371-8.
- Chen, H., et al., Anteromedial versus transtibial technique in single-bundle autologous hamstring ACL reconstruction: a meta-analysis of prospective randomized controlled trials. J Orthop Surg Res, 2017. 12(1): p. 167.
- Kay, J., et al., Over 90% of children and adolescents return to sport after anterior cruciate ligament reconstruction: a systematic review and meta-analysis. Knee Surg Sports Traumatol Arthrosc, 2018. 26(4): p. 1019-1036.
- Lee, Y.S., et al., Effect of the Timing of Anterior Cruciate Ligament Reconstruction on Clinical and Stability Outcomes: A Systematic Review and Meta-analysis. Arthroscopy, 2018. 34(2): p. 592-602.
- Biau, D.J., et al., ACL reconstruction: a meta-analysis of functional scores. Clin Orthop Relat Res, 2007. 458: p. 180-7.
- Kartus, J., T. Movin, and J. Karlsson, Donor-site morbidity and anterior knee problems after anterior cruciate ligament reconstruction using autografts. Arthroscopy. 17(9): p. 971-980.
- Barenius, B., et al., Increased risk of osteoarthritis after anterior cruciate ligament reconstruction: a 14-year follow-up study of a randomized controlled trial. Am J Sports Med, 2014. 42(5): p. 1049-57.
- DiFelice, G.S., C. Villegas, and S. Taylor, Anterior Cruciate Ligament Preservation: Early Results of a Novel Arthroscopic Technique for Suture Anchor Primary Anterior Cruciate Ligament Repair. Arthroscopy, 2015. 31(11): p. 2162-71.
- Seitz, H., et al., Histological evaluation of the healing potential of the anterior cruciate ligament by means of augmented and non-augmented repair: an in vivo animal study. Knee Surg Sports Traumatol Arthrosc, 2008. 16(12): p. 1087-93.
- Daniels, S.P., et al., Arthroscopic primary repair of the anterior cruciate ligament: what the radiologist needs to know. Skeletal Radiol, 2018. 47(5): p. 619-629.
- van der List, J.P. and G.S. DiFelice, Preoperative magnetic resonance imaging predicts eligibility for arthroscopic primary anterior cruciate ligament repair. Knee Surg Sports Traumatol Arthrosc, 2018. 26(2): p. 660-671.
- Li, H., et al., Quantitative magnetic resonance imaging assessment of cartilage status: a comparison between young men with and without anterior cruciate ligament reconstruction. Arthroscopy, 2013. 29(12): p. 2012-9.
- Murray, M.M., et al., Collagen-platelet rich plasma hydrogel enhances primary repair of the porcine anterior cruciate ligament. J Orthop Res, 2007. 25(1): p. 81-91.
- Sherman, M.F., et al., The long-term followup of primary anterior cruciate ligament repair. Defining a rationale for augmentation. Am J Sports Med, 1991. 19(3): p. 243-55.
- Woodmass, J.M., et al., Meniscal Repair: Reconsidering Indications, Techniques, and Biologic Augmentation. J Bone Joint Surg Am, 2017. 99(14): p. 1222-1231.
- Steadman, J.R., et al., A minimally invasive technique (“healing response”) to treat proximal ACL injuries in skeletally immature athletes. J Knee Surg, 2006. 19(1): p. 8-13.
- Steadman, J.R., et al., Outcomes following healing response in older, active patients: a primary anterior cruciate ligament repair technique. J Knee Surg, 2012. 25(3): p. 255-60.
- Moran, C.J., et al., Biological augmentation and tissue engineering approaches in meniscus surgery. Arthroscopy, 2015. 31(5): p. 944-55.
- Gobbi, A. and G.P. Whyte, Long-term Outcomes of Primary Repair of the Anterior Cruciate Ligament Combined With Biologic Healing Augmentation to Treat Incomplete Tears. Am J Sports Med, 2018. 46(14): p. 3368-3377.
- van der List, J.P., D.N. Mintz, and G.S. DiFelice, Postoperative Magnetic Resonance Imaging following Arthroscopic Primary Anterior Cruciate Ligament Repair. Adv Orthop, 2019. 2019: p. 5940195.
- Grant, J.A., et al., Comparison of inside-out and all-inside techniques for the repair of isolated meniscal tears: a systematic review. Am J Sports Med, 2012. 40(2): p. 459-68.
- Ayeni, O., et al., Suture repair versus arrow repair for symptomatic meniscus tears of the knee: a systematic review. J Knee Surg, 2012. 25(5): p. 397-402.
- Scott, G.A., B.L. Jolly, and C.E. Henning, Combined posterior incision and arthroscopic intra-articular repair of the meniscus. An examination of factors affecting healing. J Bone Joint Surg Am, 1986. 68(6): p. 847-61.
- Strand, T., et al., Long-term follow-up after primary repair of the anterior cruciate ligament: clinical and radiological evaluation 15–23 years postoperatively. Archives of Orthopaedic and Trauma Surgery, 2005. 125(4): p. 217-221.
- Taylor, D.C., et al., Isolated tears of the anterior cruciate ligament: over 30-year follow-up of patients treated with arthrotomy and primary repair. Am J Sports Med, 2009. 37(1): p. 65-71.
- Feagin, J.A. and W.W. Curl, Isolated tear of the anterior cruciate ligament: five-year follow-up study. J Orthop Sports Phys Ther, 1990. 12(6): p. 232-6.
- Murray, M.M. and B.C. Fleming, Use of a bioactive scaffold to stimulate anterior cruciate ligament healing also minimizes posttraumatic osteoarthritis after surgery. Am J Sports Med, 2013. 41(8): p. 1762-70.
- van der List, J.P. and G.S. DiFelice, Range of motion and complications following primary repair versus reconstruction of the anterior cruciate ligament. Knee, 2017. 24(4): p. 798-807.
- van der List, J.P. and G.S. DiFelice, Primary repair of the anterior cruciate ligament: A paradigm shift. Surgeon, 2017. 15(3): p. 161-168.
- van der List, J.P. and G.S. DiFelice, Role of tear location on outcomes of open primary repair of the anterior cruciate ligament: A systematic review of historical studies. Knee, 2017. 24(5): p. 898-908.
- van der List, J.P., D.N. Mintz, and G.S. DiFelice, The Location of Anterior Cruciate Ligament Tears: A Prevalence Study Using Magnetic Resonance Imaging. Orthopaedic Journal of Sports Medicine, 2017. 5(6): p. 2325967117709966.
- Ateschrang, A., et al., Improved results of ACL primary repair in one-part tears with intact synovial coverage. Knee Surg Sports Traumatol Arthrosc, 2019. 27(1): p. 37-43.
- Kohl, S., et al., Dynamic intraligamentary stabilisation: initial experience with treatment of acute ACL ruptures. Bone Joint J, 2016. 98-b(6): p. 793-8.
- Meister, M., et al., ACL suturing using dynamic intraligamentary stabilisation showing good clinical outcome but a high reoperation rate: a retrospective independent study. Knee Surg Sports Traumatol Arthrosc, 2018. 26(2): p. 655-659.
- Murray, M.M., et al., Bone-to-bone fixation enhances functional healing of the porcine anterior cruciate ligament using a collagen-platelet composite. Arthroscopy, 2010. 26(9 Suppl): p. S49-57.
- Hoffmann, C., et al., Primary single suture anchor re-fixation of anterior cruciate ligament proximal avulsion tears leads to good functional mid-term results: a preliminary study in 12 patients. J Orthop Surg Res, 2017. 12(1): p. 171.
- Smith, P.A. and J.A. Bley, Anterior Cruciate Ligament Primary Repair With Independent Tensioning of the Anteromedial and Posterolateral Bundles. Arthrosc Tech, 2017. 6(6): p. e2123-e2128.
- Weninger, P., et al., Anatomic Double-Bundle Reinsertion After Acute Proximal Anterior Cruciate Ligament Injury Using Knotless PushLock Anchors. Arthrosc Tech, 2015. 4(1): p. e1-6.
- Achtnich, A., et al., Acute Proximal Anterior Cruciate Ligament Tears: Outcomes After Arthroscopic Suture Anchor Repair Versus Anatomic Single-Bundle Reconstruction. Arthroscopy, 2016. 32(12): p. 2562-2569.
- Jonkergouw, A., J.P. van der List, and G.S. DiFelice, Arthroscopic primary repair of proximal anterior cruciate ligament tears: outcomes of the first 56 consecutive patients and the role of additional internal bracing. Knee Surg Sports Traumatol Arthrosc, 2019. 27(1): p. 21-28.
- Henle, P., et al., Dynamic Intraligamentary Stabilization (DIS) for treatment of acute anterior cruciate ligament ruptures: case series experience of the first three years. BMC Musculoskelet Disord, 2015. 16: p. 27.
- Delaloye, J.R., et al., Combined Anterior Cruciate Ligament Repair and Anterolateral Ligament Reconstruction. Arthrosc Tech, 2019. 8(1): p. e23-e29.
- Sonnery-Cottet, B., et al., Anterolateral Ligament Reconstruction Is Associated With Significantly Reduced ACL Graft Rupture Rates at a Minimum Follow-up of 2 Years: A Prospective Comparative Study of 502 Patients From the SANTI Study Group. Am J Sports Med, 2017. 45(7): p. 1547-1557.
- van der List, J.P., et al., Identifying candidates for arthroscopic primary repair of the anterior cruciate ligament: A case-control study. Knee, 2019. 26(3): p. 619-627.
- Gagliardi, A.G., et al., ACL Repair With Suture Ligament Augmentation Is Associated With a High Failure Rate Among Adolescent Patients. Am J Sports Med, 2019. 47(3): p. 560-566.
- Krismer, A.M., et al., Factors influencing the success of anterior cruciate ligament repair with dynamic intraligamentary stabilisation. Knee Surg Sports Traumatol Arthrosc, 2017. 25(12): p. 3923-3928.
- Taylor, S.A., et al., Primary Repair of the Anterior Cruciate Ligament: A Systematic Review. Arthroscopy, 2015. 31(11): p. 2233-47.
- DiFelice, G.S. and J.P. van der List, Clinical Outcomes of Arthroscopic Primary Repair of Proximal Anterior Cruciate Ligament Tears Are Maintained at Mid-term Follow-up. Arthroscopy, 2018. 34(4): p. 1085-1093.
