Eficacia de la Resonancia Magnética en el diagnóstico de lesiones del cartílago articular
Dr. Diego Mana Pastrián, Dr. Ezequiel Benítez, Dr. Harold Simesen, Dr. Tomas Vilaseca, Dr. Jorge Guiñazu,Dr. Martin Carboni Bisso, Dr. Malcom Donaldson
RESUMEN: Objetivo: Establecer la sensibilidad de la Resonancia Magnética en la detección, graduación y localización de las lesiones condrales en la rodilla. Material y método: Un total de 43 pacientes fueron analizados.27 hombres y 14 mujeres. El cartílago articular fue clasificado en la Resonancia Magnética y en la artroscopia de acuerdo a la clasificación de Johansson.(7) Todos los pacientes fueron operados. Se comparó el diagnóstico preoperatorio con los resultados postoperatorios en cada caso. Resultados: Se diagnosticaron 116 lesiones de las 173 presentes (67,05 %). Además 93 de las lesiones encontradas no concordaron en la gradación, lo que pone en evidencia una escasa concordancia entre ambas evaluaciones (46,25 %). Conclusión: Recomendamos una valoración minuciosa de todas las superficies articulares al evaluar una RM, y en caso de visualizar algún defecto condral, éste no debe ser subestimado. Palabras claves: lesiones cartilago, Resonacia Magnética, RM, concordancia
ABSTRACT: Objective: To establish the accuracy of MRI in cartilage lesion diagnosis. Material and Method: 43 patients were analyzed. 27 men and 14 women. All of them have been operated. Cartilage lesions had been classified according to Johansson Scale at MRI and intraoperatively. Both results were then compared and shown. Results: Only 116 of the 173 cartilage lesions were identified at MRI. Forty six percent (46,25 %) of the lesions founded were well classified. Conclusion: We recommend special attention to cartilage lesions at MRI. Never under estimate them. Key Words: Cartilage lessions, MRI, Accuracy
INTRODUCCION
El cartílago articular en la rodilla tapiza las superficies de contacto de la rótula, fémur distal y tibia proximal. Su espesor es variable, y participa de la transmisión y distribución de carga en el hueso subcondral. Por sus características biológicas ofrece una superficie lisa que reduce la fricción con el movimiento. (12) La mayor parte de las lesiones del cartílago se producen de forma secundaria a traumatismos o a degeneración articular, y son muy frecuentes en personas activas. Estas se presentan con una incidencia del 63 al 66% en todos los pacientes que se someten a una artroscopia de rodilla. (14, 15) La asociación con otras lesiones intraarticulares es lo más frecuente. La frecuencia de lesiones aisladas del cartílago articular se encuentra en el orden del 4-25% según la serie. (1, 16) Las técnicas tradicionales para el tratamiento de las lesiones condrales incluyen: perforaciones óseas (2), abrasión (3), micro fracturas (2), trasplante autólogo de cartílago (4) y mosaico plastia (5). De los estudios de imágenes utilizados convencionalmente, la Resonancia Magnética (RM) es hasta el momento, el mejor método para la evaluación del cartílago articular. Sus especiales características tales como: buen contraste de partes blandas, ausencia de radiación ionizante y su reconstrucción multiplanar, la convierten en el método de elección. (6) La secuencia particular de RM que es mejor para la detección de lesiones condrales es aún tema de controversia. El objetivo del presente trabajo es establecer la sensibilidad de la RM en la detección, gradación y localización de las lesiones condrales en la rodilla; y comparar los resultados obtenidos, con aquellos identificados directamente de la inspección artroscópica y tomados como referencia.
MATERIAL Y METODO
Todos los pacientes que realizaron su RM de rodilla en el Servicio de Diagnóstico por Imágenes del Hospital Británico, y luego fueron operados de su rodilla en el mismo Centro durante el mes de Abril de 2009, fueron incluidos en el presente trabajo. Es un estudio con un diseño transversal, con recolección de datos retrospectiva, nivel de evidencia III. Un total de 43 pacientes fueron incluidos. Dos pacientes fueron excluidos del análisis por alteración de la imagen de resonancia, uno por artefacto del movimiento durante el estudio y el otro por artefacto producido por material de osteosíntesis colocado en la rodilla en una intervención previa. De los 41 pacientes evaluados en el estudio, el promedio de edad fue de 50 años (21-71). Fueron 27 hombres y 14 mujeres evaluados. El intervalo de tiempo promedio entre la realización de la RM y la cirugía fue de 63 días (6-275 d). Veintinueve pacientes (70,73 %) fueron intervenidos dentro de los 2 meses de realizada la RM. Se realizó una revisión de las historias clínicas para corroborar que ningún paciente refirió alguna lesión durante ese intervalo de tiempo. En todos los casos se realizó una RM con un equipo Philips de 1,5 Tesla, realizando en todas ellas cortes de reconstrucción axial, coronal y sagital, para evaluar adecuadamente la articulación en toda su extensión. Cada estudio de RM fue analizado en forma retrospectiva por dos observadores ciegos de los resultados obtenidos luego en la cirugía, ambos trabajaron en forma conjunta. Uno de los evaluadores (M.C) es médico de planta del Servicio de Diagnóstico por Imágenes del Hospital (especialista en RM músculo esquelética); el otro evaluador (L.C) es Jefe de Residentes de Diagnóstico por Imágenes del Hospital. Ambos estudiaron cada caso en particular, y debían valorar el cartílago en cada zona articular y establecer un único resultado. Seis superficies articulares fueron evaluadas: rótula, tróclea, cóndilo femoral medial y lateral, platillo tibial medial y lateral. El cartílago articular fue clasificado en la RM y en la artroscopia de acuerdo a la clasificación de Johansson. (7) El Grado 0 indica cartílago intacto; grado 1 ablandamiento o edema de cartílago; grado 2 fibrilación de cartílago; grado 3 ulceración superficial o fisura que comprometen menos del 50% del espesor del cartílago; grado 4 ulceración profunda o fisuras que comprometen ás del 50% del espesor de cartílago; grado 5 lesión de espesor completo con hueso expuesto; grado 6 lesión en espejo, con hueso expuesto en ambas superficie enfrentadas. Todas las lesiones condrales debieron ser confirmadas en al menos 2 cortes de RM. Se confeccionó en cada caso un registro escrito de cada paciente con los grados de lesión condral en cada superficie. (Ver Figs. 1 a 4)

Figura 1: Lesión condral de espesor completo en RMN. Corresponde a un grado 5.

Figura 2: Lesión condral de espesor mayor al 50 %. Corresponde a un grado 4.

Figura 3: Lesión condral de espesor menor al 50 %. Corresponde a un grado 3.

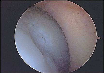
Figura 4: Lesión condral de espesor completo. Corresponde a un grado 5.
Todos los pacientes fueron operados por uno de cuatro cirujanos (M.D, M.C.B, J.G o T.V). La indicaciónde cirugía fue: lesiones meniscales, lesiones de ligamento cruzado anterior, lesiones condrales, lesiones combinadas. En todos los casos se empleó la técnica de tres portales, supero medial para irrigación, antero medial y anterolateral convencionales para visualización e instrumentación. En cada caso se evaluó cada superficie articular individualmente, y se realizó la gradación condral entre los 4 cirujanos (concordancia obligatoria). Se confeccionó en cada caso un registro escrito de cada paciente con los grados de lesión condral en cada superficie. Todos los procedimientos fueron procesados digitalmente y archivados. Fueron identificadas las siguientes lesiones interarticulares: 32 meniscos internos, 8 meniscos externos, 2 meniscos discoideos, 4 asas de balde, 10 roturas de LCA y 173 lesiones condrales. Todos los resultados fueron reunidos y evaluados por dos de los autores (M.D y B.E). Se realizó la valoración de resultados y se confeccionaron las tablas de concordancia.
RESULTADOS
Un total de 41 pacientes reunieron los criterios de inclusión del presente trabajo, por lo que 246 superficies articulares fueron evaluadas. En la valoración artroscópica 73 superficies fueron clasificadas como normales (grado 0); 42 como grado 1; 68 como grado 2; 30 grado 3; 22 fueron grado 4; 7 grado 5 y 4 grado 6. La mayoría de las afecciones del cartílago (68 lesiones – 39,3 %) se localizaron en el compartimiento medial, seguido por la afección femoro patelar (67 lesiones – 38,7%). Menos frecuente fue la afección del compartimiento lateral (38 lesiones – 21,96%). La mayor cantidad de lesiones condrales se ubicaron en el cóndilo medial (37 lesiones) seguido de la rótula (36 lesiones). Cuando se realizó la comparación de los resultados obtenidos en la artroscopia, con los valores asignados por los evaluadores ciegos de RM, se observó que se pudieron diagnosticar 116 lesiones de las 173 presentes (67,05%). Además 93 de las lesiones encontradas no concordaron en la gradación condral asignada por los evaluadores de RM (53,75%). Lo cual pone en evidencia una escasa concordancia entre ambas evaluaciones (46,25%). (Ver Tabla 1 y 2) Desde el inicio de la evaluación de las imágenes encontramos una gran dificultad para valorar las lesiones en la RM y por artroscopia utilizando la misma clasificación para que sean comparables. Decidimos utilizar la Clasificación de Johansson porque es muy específica y descriptiva, con buena correlación interobservador. Resultó difícil o imposible identificar lesiones de tipo 1 en la resonancia, ya que no puede observarse el ablandamiento o edema condral en una imagen de RM convencional. Por lo antedicho proponemos excluír a las lesiones clasificadas como tipo 1 en la artroscopía, para no sesgar la concordancia entre ambas evaluaciones, sometiendo la RM a un tipo de lesión no visible. De esta manera considerando las lesiones grado 0 y 1 como no patológicas, aumenta la concordancia relativa entre la RM y la artroscopia al 61,06%. Dividimos las lesiones condrales en 2 grupos: 1) las que afectan menos del 50 % del espesor completo de cartílago (grados 1 a 3), y 2) aquellas que afectan más del 50 % (grados 4 a 6), y notamos una importante diferencia en la concordancia. En el primer grupo, de las 140 lesiones presentes solo 87 fueron diagnosticadas (62,14%) y, la concordancia en la estatificación es sólo del 49,28%. Como mencionamos anteriormente, si consideramos no patológicas a las lesiones de tipo 1 la concordancia obtenida fue del 70,4%. (Ver Tabla 1 y 2)


Con el segundo grupo los resultados fueron diferentes, de las 33 lesiones presentes que afectaban más
del 50% , 29 fueron diagnosticadas. La concordancia al clasificar las lesiones asciende al 87,87%. (Ver Tabla 1 y 2)
La menor sensibilidad diagnóstica fue registrada a nivel del platillo lateral, donde sólo se pudo discriminar el 50% de las afecciones presentes.
En cuanto a las lesiones que afectan más del 50% del espesor cartilaginoso (Grados 4 a 6) el cóndilo medial es el sitio de menor concordancia (58,3%), mientras que en el cóndilo lateral la concordancia fue del 100%.
DISCUSION
Blackburn y col. establecieron en 1994 que la sensibilidad de la artroscopia en la evaluación de las lesiones condrales es mayor que la de la resonancia magnética (RM) y la radiografía (Rx). Han sido muchos los autores que describieron su experiencia en la evaluación de las mismas a través de la utilización de la RM. (8)
Ochi y col. observaron en 1994 una sensibilidad de 34% en la determinación preoperatoria de las lesiones condrales, la cual aumentaba al 75% cuando las misma fueron reevaluadas luego de la cirugía (9). También Spiers y col, obtuvieron resultados del 14% de sensibilidad con un 100% de especificidad. (10)
Si bien la secuencia de estudio no invasivo de lesiones condrales en rodilla es todavía controversial, las nuevas tendencias de estudio como exponen Potter y col. (11) utilizando técnicas de alta resolución de fat-spin-echo, reportan resultados del 87% de sensibilidad y un 94% de especificidad, en comparación con los resultados obtenidos por Disler y col. a través de la utilización de técnicas de supresión grasa, donde obtuvieron un 63% de sensibilidad en el diagnóstico de las lesiones.
En el año 2007, los Dres Masquijo JJ, Narbona Py col, reportaron una serie sobre 50 rodillas en 49 pacientes, donde estudiaron la eficacia de la RM en la evaluación de las lesiones condrales en la rodilla. Para ello utilizaron la RM con secuencia de Densidad Protónica Fat Sat (DP Fat Sat). Observaron una sensibilidad del 79,4%, especificidad de 99,3%. El promedio global que reportaron de subestimación en cuanto a extensión de la lesión, y gradación, fue de 37,2%. (13)
La utilización de las técnicas modernas de diagnóstico en nuestro medio es aún limitado, no estando las mismas disponibles en la mayoría de los centros de atención de nuestro país. En la práctica cotidiana, la utilización de la RM con técnica convencional es el estudio que con más frecuencia sigue a la Rx, ante la sospecha de patología de rodilla. Parecería importante determinar su sensibilidad real en el diagnóstico de las lesiones de cartílago con los artefactos de RM disponibles en nuestro centro. El diagnóstico de las mismas permite planificar correctamente la cirugía tanto para el tratamiento artroscópico como también para la rehabilitación del paciente.
En nuestra experiencia, la sensibilidad en el diagnóstico de las lesiones condrales utilizando técnicas convencionales de RM fue del 67%, pero la concordancia de las mismas en cuanto al grado de lesión que presentaban en comparación con la gradación artroscópica fue sólo del 53%. Obtuvimos mejores resultados parciales al separar los resultados en base al grado de afección del cartílago, obteniendo una concordancia cercana al 90% en lesiones que comprometen más de la mitad del espesor del cartílago. Si bien el último valor resulta atractivo en términos estadísticos, debemos tener en cuenta que hay más de un 10% de lesiones graves que comprometen severamente al cartílago, que no fueron advertidas antes de la cirugía.
Valorando nuestros propios resultados notamos que la RM permite un adecuado acercamiento al diagnostico de las lesiones condrales, pero un buen porcentaje de lesiones pasan inadvertidas o son subvaloradas.
Recomendamos una valoración minuciosa de todas las superficies articulares al evaluar una RM, y en caso de visualizar algún defecto condral, éste no debe ser subestimado. No contamos aún con técnicas de rutina en RM que permitan una sensibilidad satisfactoria en el diagnóstico de esta entidad.
REFERENCIAS
- Terry GC et al: Isolated chondral fractures of the knee. Clin Orthop. 1998; 234:170-177.
- Mitchell N et al: The resurfacing of adult rabbit articular cartilage by multiple perforations through the subchondral bone. J. Bone Joint Surg. 1976; 58-A: 230-233.
- Johnson, L. L.: Arthroscopic abrasion arthroplasty historical and pathologic perspective: present status. Arthroscopy. 1986; 2: 54-69.
- Brittberg, M.; Lindahl, A.; Nilsson, A.; Ohlsson, C.; Isaksson, O.; and Peterson, L.: Treatment of deep cartilage defects in the knee with autologous chondrocyte transplantation. New England J. Med. 1994; 331: 889-895.
- Hangody, L., and Karpati, Z.: A new surgical treatment of localized cartilaginous defects of the knee. Hungarian J. Orthop. Trauma. 1994; 37:237-242.
- Linklater, J., and Potter, H. G.: Imaging of chondral defects. Op. Tech. Orthop. 1997; 7: 279-288.
- Johansson. Articular cartilage clasiffication. Oral comunication AANA 2004.
- Blackburn, W. D. et al: Arthroscopic evaluation of knee articular cartilage: a comparison with plain radiographs and magnetic resonance imaging. J. Rheumatol. 1994; 21: 675-679.
- Ochi, M. et al.: The diagnostic value and limitation of magnetic resonance imaging on chondral lesions in the knee joint. J. Arthroscopy. 1994; 10: 176-183.
- Spiers, A. S. D. et al: Can MRI of the knee affect arthroscopic practice? A prospective study of 58 patients. J. Bone and Joint Surg. 1993;75-B(1): 49-52.
- Potter H. G. et al: Magnetic Resonance Imaging of Articular Cartilage in the Knee an evaluation with use of a fast-spin-echo imaging. J. Bone and Joint Surg. 1998; 80-A(9): 1276-1284.
- Wong M, Hunziker EB. Biología y biomecánica del cartílago articular en: “Cirugía de la Rodilla”, 3º edición, cap 12, Insall & Scott. Editorial Malbrán, Madrid (España), 2004: 317-25.
- Masquijo JJ, Narbona Py col. Eficacia de la resonancia magnética de rodilla en la evaluación de lesiones condrales. Rev Artroscopía. 2007, Vol 14 (1): 21- 27.
- Aroen A, Loken S, Heir S, et al. Articular cartilage lesions in 993 consecutive knee arthroscopies. Am J Sports Med. 2004, 32: 211-15.
- Hjelle K, Solheim E, Strand T, et al. Articular cartilage defects in 1000 knee arthroscopies. Arthroscopy. 2002, 18: 730-34.
- Disler DG, McCauley TR, Kelman CG, et al. Fatsuppressed three-dimensional spoiled gradient-echo MR imaging of hyaline cartilage defects in the knee: comparison with standard MR imaging and arthroscopy. Am J Roentgenol. 1996, 167: 127-32.
