Artrodesis artroscópica de tobillo
Dr. Rafael Amadei Enghelmayer
RESUMEN: El propósito de éste estudio es comunicar nuestra experiencia en artrodesis artroscópica de tobillo (AAT), revisando la tasa de fusión, las complicaciones asociadas, y demás variables asociadas.
Se realizó un estudio retrospectivo sobre quince pacientes, a quienes les fueron efectuados dieciséis AAT en el Hospital "Gral. San Martín" de La Plata entre marzo 1998 y Enero de 2006.
Fueron evaluados ocho mujeres y siete hombres con una edad promedio de 43,37 años.
La causa más frecuente de artrosis fue la postraumática (diez casos).
El promedio total de consolidación fue de 93,75 %. con un tiempo promedio de fusión de once semanas. en los quince tobillos que se alcanzó la fusión.
Se observaron cuatro complicaciones, una neurodocitis del nervio peroneo superficial, una artritis subastragalina, un retardo de consolidación y una pseudoartrosis.
En la evaluación clínica realizada según la escala de Kitaoka, el promedio fue de 81.3.
La AAT es una alternativa aceptable en pacientes con artrosis tibioperoneastragalina sin desejes importantes. Se obtienen así, tasas de fusión comparables a las de los procedimientos abiertos, en un menor tiempo para la consolidación final, y con menor porcentaje de complicaciones.
ABSTRACT: The purpose of this study is to comunicate our experience in ankle artroscopic arthrodesis (AAA) with a review of consolidation rate, including complications and other associated variables. Sixteen AAA were made from march 1998 to January 2006.-at Gral San Martin Hospital from La Plata. They were eight women and seven men with an average age of 43.37 years.-Most common cause of surgery: Postraumatic arthrosis (ten cases).- Total fission rate was 93.75% with average consolidation time of eleven weeks in fifteen ankles where it was reached:
Four complications were found, one superficial peroneal nerve neurodocitis, one subastragaline arthritis, one delayed,frision and one non-union.-
According to the Kitaoka scare, average was 81.3.-
The AAA is an acceptable alternative in patients with ankle arthrosis without important malalignment.-.This way, we get consolidation rates comparables to those in open procedures, less consolidation time and minor complication rare.-
INTRODUCCION
Albert presentó la primer comunicación de artrodesis de tobillo en 1879 (1). Desde entonces se han publicado en la literatura más de 30 técnicas quirúrgicas para obtener la fusión de tobillo. La mayoría de éstas, requieren incisiones extensas, desbridamientos importantes de las partes blandas, resecciones óseas y osteotomías, lo que altera la anatomía normal del cuello del pié (2, 3, 4, 5, 6, 7, 8, 9).
Los resultados son muy variables según las diferentes series. La incidencia de complicaciones, particularmente de pseudoartrosis, disminuyó notablemente en los últimos tiempos gracias a la compresión entre las superficies articulares mediante el tutor externo de Charnley, (10) al avance en los métodos de osteosíntesis y a la utilización de técnicas quirúrgicas más modernas (11, 12, 13).
A medida que se desarrollaron las técnicas amoscópicas, éstas se fueron asociando a los principios generales de la cirugía a cielo abierto, con lo que se comenzaron a realizar, con resultados favorables, las artrodesis artroscópicas de tobillo (AAT) (14, 15, 16, 17, 18, 19, 20, 21, 22).
El propósito de éste estudio es comunicar nuestra experiencia en artrodesis artroscópica de tobillo, revisando la tasa de fusión, las complicaciones asociadas, el tiempo para la consolidación, y demás variables asociadas.
MATERIAL Y METODO
En el periodo comprendido entre marzo 1998 y enero de 2006, se realizaron. en el Hospital Interzonal de Agudos "Gral. San Martín" de La Plata 18 AAT. Dos pacientes no concurrieron a la evaluación por lo que realizamos un estudio retrospectivo sobre quince pacientes y dieciséis tobillos.
Fueron evaluados ocho mujeres y siete hombres con una edad promedio de 43,3 años. (rango de edad de 22 a 70).
Los pacientes fueron evaluados en su totalidad, realizando un completo examen físico y radiográfico, como así también de sus historias clínicas. Se completó una ficha de evaluación para cada paciente, analizando diferentes parámetros demográficos, y perioperatorios, y luego se volcó a una planilla para su mejor evaluación (Anexo II)
Las indicaciones para realizar la artrodesis en forma artroscópica fue la artrosis tibioperoneoastragalina con dolor importante que no respondía a, por lo menos, seis meses de tratamiento conservador, con deformidades en el plano frontal menores a 15 °, traslación antero-posterior menores a 1 cm, y articulaciones sin déficit ósea importante (14, 15, 17, 20, 22).
De los quince pacientes seis pacientes (40 %) eran fumadores.
La causa más frecuente de artrosis fue la postraumática (diez casos).(Fig. 1) Otras etiologías fueron Artritis Reumatoidea en dos casos, artropatía hemofílica dos tobillos en un paciente, secuela de poliomielitis un caso, osteocondrítis de astrágalo un caso.
En diez casos (62,5 % de los pacientes) presentaban cirugías previas en sus tobillos.
Las AAT fueron fijadas con tomillos canulados de 7 mm de diámetro en trece casos, con tornillos de esponjosa de 6,5 mm en 2 casos, y con tutor de Chanrley en 1 caso.
Los parámetros demográficos evaluados fueron edad, sexo, diagnóstico, historia de cirugías, y deformidad angular previa.

Los parámetros operatorios analizados incluyeron tiempo de cirugía, tiempo de internación, pérdida sanguínea, y dolor.
La pérdida sanguínea fue calculada en forma subjetiva por el cirujano con un parámetro de cuatro cruces.(10-20 ml, 20-30 ml, 30-40 ml, más de 40 ml). La cantidad se midió según la apreciación del cirujano sobre la pérdida durante la cirugía, y el manchado de las gasas posoperatorias.
El dolor se midió también en cuatro cruces (leve, moderado, grave y muy grave) consultándole al paciente sobre las molestias sufridas en el postoperatorio inmediato, y evaluando según la historia clínica los requerimientos postoperatorio de opioides. El tiempo promedio de seguimiento fue de 3,3 años de promedio
En el análisis de los resultados se evaluaron diferentes parámetros posquinIrgicos como el porcentaje de fusión, tiempo requerido para la consolidación completa, la posición de fijación, y las complicaciones.
Se consideró como tobillo fusionado cuando, se observó trabéculas óseas atravesando la superficie articular en los dos planos radiográficos, y clínicamente estaba libre de dolor a la marcha y a las movil izaciones.

Figura 1 a: Rx de tobillo con osteosíntesis

Figura 1 b: artrosis secundaria 2 años después
La posición de la fusión, en cuanto al varo/valgo y equino/flexión dorsal se evaluaron en las radiografías de frente y perfil respectivamente. Las rotaciones se calcularon clínicamente (24).
Los parámetros clínicos se evaluaron tomando como referencia el cuadro de evaluación recomendada por la Sociedad Americana de Cirugía de pie y tobillo (Kitaoka) (23). Esta escala posee un valor máximo de 100 puntos, otorgándole 50 puntos a la función (limitaciones de la vida diaria, máxima distancia caminada, anormalidades de la marcha, movilidad y estabilidad), 40 puntos al dolor y 10 a la alineación,
También se tomó como método de evaluación complementaria la escala clínica de Morgan (19) que divide los resultados en excelente, bueno, regular y pobre de acuerdo a la fusión, dolor, renguera, restricciones laborales, y apariencia.
Técnica quirúrgica:
Las AAT se realizaron bajo anestesia peridural o raquídea, con el paciente en posición de decúbito dorsal, en mesa radiolúcida para la utilización del intensificador de imágenes (no en todos los casos contamos con él), colocando un pequeño realce en la zona aquileana, para tener acceso al portal postero-extemo. Con lápiz dermográfico dibujamos los reparos anatómicos para una correcta ubicación de Ios portales artroscópicos.
Como método de distracción articular se utilizó en la mayoría de los casos, un sistema no invasivo, sea a través de una fronda que toma el dorso del pie y la zona aquileana, o por medio de la tracción manual realizada por un ayudante. En dos casos se realizó una tracción transcalcánea. (Fig 2)

Figura 2: artrodesis artroscópica
No se utilizó en ningún caso la bomba de infusión, irrigando la articulación a través de presión hidrostática, colocando la solución de irrigación a dos metros de altura. A todos los casos se le realizó un drenaje venoso y colocación de manguito neumático. De rutina, utilizamos dos portales artroscópicos, el antera-medial y el antera-lateral. En forma ocasional fue necesario realizar el portal postero-externo para casos de difícil acceso posterior.
Se comienza por realizar la sinovectomía de la cámara anterior del tobillo con shaver, (Fig 3) lo cual mejora la visualización de las superficies articulares.

Figura 3: Shaver
Se realiza el cruentado de todas las superficies articulares con curetas rectas y curvas, incluyendo las goteras interna y externa. Generalmente cuando se comienza a realizar el desbridamiento, se va incrementando el espacio hacia la zona posterior, lo cual permite un completo denudamiento del cartílago de esta zona.
Cuando se completa la extirpación (Fig. 4) de todo el cartílago articular, se retira el manguito neumático y se comprueba el sangrado del hueso subcondral, luego se procede a la fijación del tobillo

Figura 4: Cureta
Se coloca el tobillo en posición neutra de dorsiflexión, con un valgo de 5° y una rotación externa de 5 a 10°, tratando de imprimirle una leve traslación posterior al retropié (24).
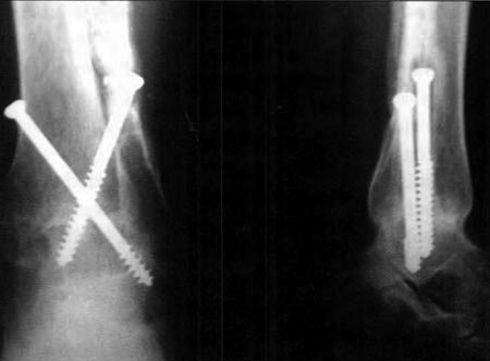
Se utilizaron, en 13 casos, tornillos canulados (Fig 5 a y b) de 7 mm de diámetro con arandelas y la ayuda del intensificador de imágenes para corroborar la posición de los tornillos, evitando que violen la articulación subastragalina. Estos son colocados en forma cruzada, desde la tibia, con dirección posteroanterior hacia el centro del cuerpo del astrágalo, con una angulación de 45° con respecto al eje tibial, realizando compresión entre las superficies cruentadas, ajustando los tornillos en forma alternada. En dos casos en que no se contó con tornillos canulados se utilizó tornillos de esponjosa de 6,5 mm En el caso restante se colocó un tutor externo clásico de Charnley tambien con buen resultado.

Figura 5a: pos. op. frente

Figura 5b: pos. op. perfil

Consolidación 8 semanas

Figura 6: aspecto postoperatorio
Terminada la fijación se cierra la piel con puntos simples, y se coloca una férula posterior corta almohadillada.(Fig. 6) Luego de las primeras curaciones se coloca una bota corta de yeso sin taco de marcha durante 4 semanas para, posteriormente pasarlo a una bota de yeso con apoyo progresivo del miembro hasta consolidación definitiva.
RESULTADOS
El promedio total de consolidación fue de 93,7 % , con un tiempo promedio de fusión de 11 semanas, en los 15 tobillos que se alcanzó la fusión.
Si consideramos los parámetros perioperatorios, el promedio de internación en las AAT fue de 2,8 días. El tiempo que se utilizó para realizar la cirugía fue en promedio 2 hs.
El dolor acusado por los pacientes fue en promedio de 1,3 cruces.
La pérdida sanguínea sufrida durante la cirugía y en el postoperatorio fue de 1 cruz.
La posición de fijación lograda en la mayoría de los casos osciló entre una posición neutra (en das casos) a 10 ° de valgo y rotación externa en la mayoría de los otros casos. Sólo en el caso en el que no se logró la consolidación (caso N° 11) la posición se desvió hacia el varo.
Se observaron cuatro complicaciones. Una neurodocitis del nervio peroneo superficial (caso N° 1), una artritis subastragalina (caso N° 9) como consecuecia de la penetración de ésta por un tornillo, un retardo de consolidación (caso N° 13) y una pseudoartrosis (caso N° 11).
En la evaluación clínica realizada según la escala de Kitaoka, el promedio de puntuación (para un total de 92 puntos en caso de artrodesis), fue de 81,3. Tomando como base la escala clínica de Morgan se obtuvo un 87,5 % de buenos y excelentes resultados.

DISCUSIÓN
La artrodesis tibioperoneoastragalina ha probado ser, a través del tiempo, un método aceptado para la enfermedad degenerativa del tobillo.
Durante las últimas décadas se han descrito en la literatura, más de 30 técnicas diferentes para fusionar el tobillo.
Los procedimientos a cielo abierto generalmente utilizan abordajes amplios, con desbridamientos extensos de los tejidos blandos y varios de ellos recomiendan diferentes tipos de osteotomias maleolares, lo que lleva a una alteración de la arquitectura del tobillo (2, 3, 4, 5, 6, 7, 8, 9,).
Con estas técnicas se han informado diferentes tipos de complicaciones, como consolidaciones viciosas, pseudoartrosis, protrución de los materiales de osteosíntesis, dehiscencia de herida e infección (4, 5, 6, 8).
Muchas publicaciones como, por ejemplo, los de Mauerer, Myerson y Paremain (25, 26, 27) han demostrado que las artrodesis con técnicas abiertas utilizando técnicas mini-invasivas son efectivas, mejorando las tasas de fusión, y evitando las complicaciones de las técnicas mas agresivas.
A medida que se desarrollaron las técnicas artroscópicas para tratamientos de patologías intrarticulares, también se las comenzó a utilizar para preparar las superficies articulares previo a una artrodesis. Los autores que proponen éstas técnicas (14, 15, 16, 17, 18, 19, 20, 21, 22) sugieren que la combinación del cruentado artroscópico de las superficies articulares, junto con la fijación interna compresiva percutánea, minimiza el trauma quirúrgico, preserva la anatomía de la articulación y disminuye el índice de complicaciones. Se obtiene así tasas de fusión, al menos comparables, a las de los procedimientos abiertos.
Son muchos los trabajos que informan la eficacia de las técnicas artroscópicas, utilizando los tornillos transmaleolares como técnica de fijación compresiva.(3. 9, 11, 16, 17, 18, 19, 20.22) Turan y col (21), Corso y Zimmer (17), Dent y coi (15), y O'Brien (20) muestran altas tasas de consolidación. Estos autores están de acuerdo en que la técnica artroscópica posee una curva de aprendizaje larga, que el procedimiento puede requerir bastante tiempo para su realización, y que está contraindicada cuando existe ciertas desalineaciones en el eje anatómico o pérdida importante del capital óseo.
Myerson y Quill en 1991 (26) y más tarde O'Brien en 1999 (20), realizaron trabajos comparativos entre procedimietos abiertos versus artroscópicos, demostrando ampliamente la superioridad de la técnica artroscópica sobre las técnicas a cielo abierto.
Winson (22). recintemente informó una tasa de fusión de artrodesis artroscópica de 92,4 % con una media de tiempo para la fusión de 12 semanas, sobre 116 pacientes
Nosotros realizamos este trabajo en forma retrospectiva, analizando las AAT, que pudieron evaluarse clínica y radiográficamente, realizadas desde el año 1998 hasta la fecha.
Realizamos la evaluación de los pacientes con respecto a resultados, complicaciones y diferentes parámetros perioperatorios.
No existió diferencias significativas con respecto a la edad, y distribución por sexo.
En total, se obtuvo 93,75 % de consolidaciones, con un promedio de tiempo de fusión de 11 semanas. Si bien el número de pacientes estudiados es reducida como para sacar alguna conclusión estadística, consideramos que la tasa de fusión conseguida es comparable a las mejores series publicadas.
Con respecto al tiempo que demandó la fusión encontramos un promedio de I 1 semanas, si bien en la mayoría de los casos se observaron trabéculas óseas atravesando la interlínea ya en la sexta semana. Estamos convencidos, que esto se debe al menor daño quirúrgico y menor desbridamiento de los tejidos, lo que produce una mejor preservación de la vascularizacián ósea.
Si observamos la tabla de evaluación (Anexo II) encontramos que a medida que fuimos ganando experiencia en la técnica y estandarizamos los pasos quirúrgicos el tiempo quirúrgico se fue mejorando. Hay coincidencia en la literatura consultada en que las AAT poseen una larga curva de aprendizaje (14, 15, 16, 17, 18, 19, 20 21, 22).
Los parámetros posoperatorios evaluados fueron el dolor y la pérdida sanguínea. Si bien se trata de síntomas subjetivos, tanto por parte del paciente, como por parte del médico, no tuvimos en ningún caso un dolor que requiera opioides, ni tampoco algún sangrado profuso que obligara aI cambio de gasas en el primer día.
Debido al bajo número de complicaciones posoperatorias inmediatas, creemos que obtuvimos un promedio de internación muy bajo comparado con otros trabajos (2,8 días). Esto se tradujo también en un menor gasto para nuestro nosocomio.
No observamos ninguna relación entre los pacientes fumadores y la ocurrencia de las complicaciones, ya que el paciente que terminó con pseudoartrosis no fumaba, y el que sufrió un retardo de consolidación era fumador de cinco cigarrillos al día.
En la serie se contabilizaron cuatro complicaciones.
La mas simple fue una neurodocitis del ramo externo de nervio peroneo superficial (Caso N° 1), debido a la realización del portal antera-externo sin la divulsión de partes blandas necesaria. Esto fue resuelto con dos infiltraciones sucesivas. Otra de las complicaciones fue una artritis de la articulación subastragalina que ocurrió como consecuencia de la protrusion de uno de los tornillos canulados dentro de la articulación (Caso N° 4). Se realizó el retiro del tornillo a la 12° semana, luego de conseguida la consolidación, con resolución parcial de la sintomatología. No sabemos la repercusión a largo plazo que tendrá esto.
Es de destacar que no tuvimos ninguna complicación infecciosa posoperatoria con las AAT. Tuvimos un retardo de consolidación (Caso N° 13). Se trataba de una mujer de 69 años, que había sufrido una fractura bimaleolar de tobillo, y se le había realizado en otro Servicio una osteosíntesis, la cual evolucionó séptica y con pérdida de reducción. A nuestro Servicio ingresó con un tutor externo de configuración tringular. Se le realizaron dos limpiezas quirúrgicas y tratamiento antibiótico adecuado con resolución del cuadro infeccioso. Debido a la afectación articuIar sufrida, y a la baja demanda del paciente, se decidió realizó una artrodesis, la cual fue exitosa, pero se tuvo que proteger y esperar durante cuatro meses. Creemos que éste retardo, fue fruto de una mala condición local y general de la paciente.
La única pseudoartrosis que tuvimos fue un caso muy particular. Se trataba de un paciente que sufrió una herida contuso-cortante, en la zona antero externa del cuello del pié, con fractura sin desplazamiento del peroné, y lesiones tendinosas que se repararon por guardia. El paciente, curiosamente, evolucionó con una necrosis parcelar, superior del cuerpo del astrágalo, pero con gran dolor e incapacidad. En éste caso se decidió realizar una artrodesis artroscópica para evitar mayor daño a la vascularización del astrágalo, ya que no se observaba desviaciones del eje, ni pérdidas óseas importantes. Se realizó la técnica de rutina, con dos tornillos canulados, pero en el momento del retiro del manguito hemostático no se observó un buen sangrado del lecho astragalino.
Quizá, la falta de consolidación no haya sido por las limitaciones que tiene la técnica, si no por causa de una mala selección del paciente. Creemos que éste caso hubiera necesitado una mayor limpieza del tejido necrótico del astrágalo a cielo abierto, con aporte de injerto óseo autólogo.
En la evaluación radiográfica a largo plazo no se observaron cambios amos-ices importantes en las articulaciones vecinas. Obviamente, esto es un resultado que se tendrá que analizar en posteriores evaluaciones, ya que son numerosas las publicaciones que informan que los resultados de las artrodesis de tobillo van disminuyendo a medida que pasa el tiempo (2, 3,4, 5, 9, 12, 15, 16, 19, 25, 26).

CONCLUSIONES
Los resultados de la artroplastías totales de tobillo siguen mejorando, pero todavía la supervivencia a largo plazo son muy inferiores a las artroplastías de cadera o rodilla. Esto, sumado a la alta incidencia de problemas con las partes blandas que existen en las artritis pos-traumáticas, y la baja edad de aparición, la artrodesis seguirá siendo, por ahora, el tratamiento de elección.
Según nuestra corta experiencia, la artrodesis artroscópica de tobillo es una alternativa aceptable en pacientes con artrosis de tobillo sin desejes importantes, ya que minimiza el trauma quirúrgico, produce una menor desvascularización ósea y preserva la anatomía de la articulación.
Se obtienen así, tasas de fusión comparables a las de los procedimientos abiertos, en un menor tiempo para la consolidación final, y con menor porcentaje de complicaciones.
BIBLIOGRAFIA
- Albert E: Zur resektion des Kniegelenkes. Wien. Med. Press, 20:705, 1879
- Colgrove RC, Bruffey JD.: Ankle arthrodesis: combined internal-external fixation: Foot Ankle Int; 22(2):92-7.2001 Feb
- Abidi NA, Gruen GS, Conti SF: Ankle arthrodesis: indications and techniques. J. Am. Acad. Orthop. Surg;8(3):200-9, 2000 May-Jun
- Mann RA, Van Manen JW, Wapner K, and Martin J; Ankle fusion. Clin. Orthop; 268:49-55, 19915
- Morrey BF, and Wiedeman GP: Complications and long-term results of ankle arthrodesis following trauma J. Bone Joint Surg; 62 A: 777-784, [980
- Horwitz T: The use of transfibular approach in arthrodesis of the ankle joint. Am. J. Surg, 55:550, 1942
- Scranton PE: Use of Internal compression in arthrodesis of the ankle. J. Bone Joint Surg; 67 A: 550-555. 1985
- Verhelst MP, Mulier JC. Hoogmartens MJ, and Spaas F: Arthrodesis of the ankle joint with complete removal of the distal part of the fibula: experience with the transfibular aproach and three different types of fixation. Clin. Orthop; 118:93-99,1976
- Rockett MS, Guimet M: Posttraumatic ankle arthrosis. Clin Podiair Med Surg 1;18(3):515-35, 2001 Ju
- Charnley J: Compresion arthrodeis of the ankle and shoulder. J. Bone Joint Surg, 33 B: 180-186. 1951.
- Holt ES, Hansen ST, Mayo KA, and Sangeorzan BJ: Ankle artrhrodesis using internal screw fixation. Clin. Orthop, 268:21-28, 1991.
- Buchner M. Sabo D: Ankle fusion attributable to posttraumatic arthrosis: a long-term followup of 48Knee Surg Sports Traumatol Arthrosc;1 l (1):469, 2003 Jan
- Coester Lisa M. Charles L, Saltzman, John Leupold, and William Pontarelli,: What's New in Foot and Ankle Surgery. J. Bone Joint Surg. Am; 84(3): 504 —509, March 1, 2002.
- Carson W G, Andrews JR: Arthroscopy of the ankle. Clin Sports Med 6 503-512, 1987
- Dent CM, Patil M. and Fairclough JA: Arthroscopic ankle arthrodesis. J. Bone Joint Surg; 75B:830-832, 1990.
- Cameron SE, Llllrich P: Arthroscopic Arthrodesis of the Ankle Joint. The Journal of Arthroscopic & Related Surgery; Vol.16, Issue 1: 21-26. Jan 2000
- Corso SJ, and Zimmer TJ: Technique and clinical evaluation of arthroscopic ankle arthrodesis. Arthroscopy 11: 585-590, 1995.
- Glick JM, Morgan CD, Myerson MS, Sampson TG, Mann JA ; Ankle arthrodesis using an arthroscopic method. The Journal of Arthroscopic & Related Surgery 12-4: 428-434, Aug 1996.
- Morgan CD. Tasto JP, Frey C, Laimans P. Mason RJ, Stone JW: Arthroscopic ankle arthrodesis. Instr Course Lect;49:259-80. 2000
- O'Brien TS, Hart TS, Shereff MJ. Stone J. and Johnson J: Open versus arthroscopic ankle arthrodesis: a comparative study. F. Ankle I. Vol 20 No6 368-374, 1999
- Turan 1, Wredmark T, and Fellander Tsai L: Arthroscopic ankle arthrodesis in rheumatoid arthritis. Clin. Orthop., 320:110-114, 1995
- Winson IG, Robinson DE, Allen PE. Arthroscopic ankle arthrodesis.J Bone Joint Surg Br.;87(3):343-7, 2005 Mar.
- Kitaoka HB, Alexander lJ, Adelaar RS; Clinical rating systems for the ankle-hindfoot, midfoot, hallux, and lesser toes, Foot Ankle Int. 15:349-353, 1994
- Buck P, Money BF, y Chao E:The optimum position of arthrodesis of the knee and ankle. J. Bone Joint Surg; 69A 1052-1062. 1987.
- Mauerer RD. Cimino WR, Cox CV, and Satow GK: Transarticular cross-screw fixation: a technique of ankle arthrodesis. Clin. Orthop. 268:56-59, 1991
- Myerson, BF, Quill, G: Ankle arthrodesis: a comparison of an arthroscopic and open method of tratment. Clin Orthop., 268: 84-95, 1991.
- Paremain GD. Miller SD, and Myerson MS: Ankle arthrodesis: results after the miniarthrotomy technique. Foot Ankle Int:17:247-251, 1996
Castelli 192 Lobos
rafaelamadei18@hotmail.com
Hospital San Martin de La Plata
