ARTROSCOPIA | VOL. 18, Nº 1 : 8-18 | 2011
ARTICULO ORIGINAL
Tratamiento Artroscópico de las Lesiones del Labrum Acetabular. Estudio Prospectivo de 68 casos con un seguimiento máximo de 9 años
Dr. Ricardo Munafo Dauccia
CETEA (Centro Estudio y Tratamiento de Enfermedades Articulares)
RESUMEN
Introducción: Durante los últimos años las lesiones del labrum acetabular se han convertido en la fuente de dolor encontrada más frecuentemente en los adultos jóvenes y deportistas. Los métodos de diagnóstico modernos y la artroscopia nos han permitido poder identificarlas y así tratarlas con mayor precisión. La artroscopia es la herramienta más adecuada para reparar estas lesiones. La reparación del labrum y sus trastornos asociados es fundamental para la preservación de la cadera en pacientes activos y deportistas. Numerosos estudios1, 2, 3, 4 han demostrado que las lesiones labrales generan cambios degenerativos precoces en la cadera. El propósito de este trabajo es mostrar el seguimiento a largo plazo de pacientes con lesiones labrales tratados mediante debridamiento simple, tal cual como se describió hace más de una década, y proponer un punto de partida frente a los conceptos actuales sobre el tratamiento de las lesiones labrales de la cadera. // Material y método: Entre julio de 2000 y julio del 2005, se realizaron 235 procedimientos artroscópicos de cadera en 233 pacientes, que presentaban dolor e impotencia funcional de un mínimo de 4 meses de evolución. 68 casos tratados con debridamiento simple del labrum fueron estudiados de manera prospectiva con un seguimiento máximo de 9 años. Usamos el score de Harris modificado en preoperatorio y post operatorio para la evaluación y seguimiento de los resultados. Los procedimientos fueron realizados con la técnica en decúbito dorsal6, 7 con mesa de tracción y control con intensificador de imágenes intraoperatorio. El protocolo de terapia física incluyo marcha protegida con muletas 15 días y movilización rápida asistida y magnetoterapia. // Resultados: Los resultados obtenidos fueron: buenos (73.5%), pobres y malos (26.4%). Dependieron fundamentalmente de dos parámetros principales asociados a las variables ambientales: grado de lesión del cartílago (Outerbridge), presencia de signos degenerativos (Osteofitos cefálico superior o inferior); estos asociados a edad, sexo, peso y respuesta biológica de los pacientes. // Conclusiones: El desbridamiento artroscópico simple de las lesiones del labrun acetabular tiene resultados satisfactorios en el largo plazo siempre que no estén asociados a otras patologías, especialmente lesiones de cartílago en cualquiera de sus formas o presencia de cambios degenerativos articulares. Así como también se debe tener en cuenta a la hora de indicar este procedimiento la edad y el nivel de actividad de los pacientes.
ABSTRACT
Introduction: In the last decade acetabular labrum lesions have become the most frequent source of pain in young and active adults. Modern diagnostic methods and arthroscopy have resulted in better identification and treatment. Arthroscopy is the most adequate tool to repair the lesions. Repairing the labrum and related disorders is key for hip preservation in active and sports-practicing patients. Numerous studies1, 2, 3, 4 have proven that labral lesions cause early degenerative changes in the hip. The purpose of this paper is to show the long-term follow-up of patients treated with simple debridement, as described over a decade ago, and propose a new starting point based on current treatment trends for hip labral lesions. // Materials and methods: Between July 2000 and July 2005 235 arthroscopic procedures were performed on 233 patients who presented with pain and functional disability of at least 4 months evolution. 68 cases treated with simple labral debridement were prospectively studied with a maximum follow-up of 9 years. We used the modified Harris Score pre and post-op to assess the results and follow-up. Patients were placed in the dorsal decubitus position6, 7 on a traction table, and were controlled with the image-intensifier intra-op. The physical therapy protocol included walking with crutches for 15 days and assisted mobilization and magnet therapy. // Results: The results were: good (73.5%), fair and poor (26.4%). They related mainly to two parameters associated to environmental variables: Degree of cartilage damage (Outerbridge), Presence of degenerative signs (Upper or lower cephalic osteophyte). These were associated to patients’ age, sex, weight and biologic response. // Conclusions: Simple arthroscopic debridement of acetabular labral lesions yields satisfactory long-term results when no other pathologies are associated, especially cartilage lesions or the presence of degenerative articular changes. When indicating this procedure, patients’ age and activity level should also be borne in mind.
INTRODUCCIÓN
El labrum acetabular, componente anatómico de la articulación fémoro-acetabular, se encuentra bien descripto en todos los tratados de anatomía. Solamente en los últimos años ha adquirido vuelo propio constituyéndose en una de las patologías más frecuentemente encontradas en las publicaciones, pero debemos ser mesurados a la hora de diagnosticar causas de dolor articular de cadera en adultos jóvenes. Todavía siguen existiendo las pubalgias, las hernias inguinales, los trastornos pelvianos en mujeres, los dolores irradiados lumbares, etc.
Los motivos son la aparición de nuevas causas de dolor de cadera en el adulto joven que involucran al labrum como el actor principal,8 sin embargo estos hechos tienen un origen multifactorial y el labrum acetabular parece ser la victima de estos factores que contribuyen para producirle un daño progresivo y posterior deterioro posibilitando cambios degenerativos articulares. Los trastornos morfológicos de la extremidad proximal del fémur llamados “cam” o “leva”, o el del acetábulo llamado “pincer” o pinza, son los que hoy consideramos entre otros como las principales causas de daño labral, aunque aquellas artrosis de causa desconocida también lo involucran en el deterioro progresivo de la articulación.
ANATOMÍA Y FISIOLOGÍA
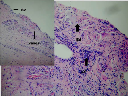
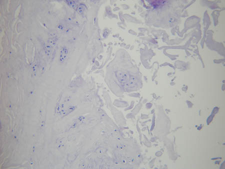
El labrum acetabular es un fibrocartílago circunferencial con una sección de corte trasversal triangular cuya base se inserta en el reborde óseo del acetábulo (Fig. 1). Su borde libre contacta con la cabeza femoral y en su aspecto inferior se fusiona con el ligamento transverso. Su vascularización es muy importante en su periferia en la unión con la capsula en contraste con su cara articular, que se encuentra en contacto con la sinovial, por lo tanto su capacidad de reparación es mucho más importante en su unión con la articular (Fig. 2). Más superficial en su cara anterior y ligeramente lateral tiene una íntima relación con el ligamento de Bertin o ligamento en “Y” de Bigelow. Esto debe tenerse en cuenta dado que dicho ligamento tiene una participación activa durante la marcha (Fig. 3). Su función es mantener estable la articulación coxofemoral durante la fase de apoyo monopodálico, por lo tanto, un engrosamiento “funcional” o degenerativo de la cápsula en ese punto podría afectar el labrum. La altura del labrum oscila entre 5cm y 6cm y es más grueso en su aspecto postero superior. Si bien se discute la fisiología del labrum en la dinámica articular de la cadera, algunos de los aspectos importantes comprobados son:9, 10, 11, 12
-
Aumentar la superficie de contacto de la cabeza femoral con el tejido cartilaginoso para poder absorber impactos.
-
Mantener presurizado el compartimiento de fricción articular céfalo acetabular, permitiendo la función hidrostática de los líquidos articulres.
-
Mantener la presión negativa en ese compartimiento para contribuir con la estabilidad de la articulación.
-
Cumplir la función de propioceptor articular.
Seldes y col. describieron 2 tipos fundamentales de lesión labral en el cadáver. Tipo-I en la zona de transición del fibrocartílago del labrum con el cartílago articular, y las Tipo-II, producidas en la substancia del labrum con diferentes profundidades.

Figura 1: Anatomía del labrum acetabular.

Figura 2: Vascularización de Labrun. Cara capsular.

Figura 3: Ligamento en “Y” de Bigellow-Bertin y su relación con el labrum.
PRESENTACIÓN CLÍNICA
En general son pacientes que refieren meses de “disconfort” y molestias en la región inguinal, atrapamiento, resalto y bloqueos asociados a dolor agudo, dolores nocturnos o pérdida del nivel habitual de actividad física, estos son algunos de los puntos más importantes que surgen del interrogatorio. Es muy importante descartar causas asociadas, de las estructuras vecinas, es decir dolor de origen extra articular. Tener en cuenta patología vertebral lumbar, de la pared abdominal tales como pubalgia o hernia inguinal, de las partes blandas periarticulares: inflamación del tendón del musculo Psoas, bursitis trocantéricas, patología intraabdominal o pelviana. Un completo examen clínico de estas estructuras ayudara a descartar patologías asociadas. El examen general debe incluir también la marcha, las anormalidades en la columna lumbar, articulaciones sacroilíacas y de la pared abdominal, evaluación neurológica, discrepancia de longitud de miembros inferiores y rodillas.
Las maniobras semiológicas específicas son fundamentales para determinar la fuente del dolor. Para el diagnóstico de lesión del labrum existen maniobras que muestran clara evidencia de dolor intraarticular, el test de Byrd: flexión, rotación interna y adducción; el test de Mc Carthy, con las dos caderas en extensión el dolor se produce cuando se extiende la cadera afectada en rotación interna y luego en rotación externa; la maniobra de Patrik-Faber: flexión, abducción y rotación externa; así como también para descartar patologías asociadas puede realizarse: en decúbito dorsal, en posición sentado, en decúbito ventral y además en posición de pie para la evaluación de la marcha.
SECUENCIA DE IMÁGENES
Los estudios por imágenes en casos de dolor en la cadera deben comenzar por las RX simples, pelvis frente, caderas panorámica frente, tomadas según el método de Siebenrock et al.13 (15° de rotación interna con la distancia entre la sínfisis pubiana y el coxis de 32mm en los hombres y 47mm en las mujeres), perfil quirúrgico bilateral y perfil de Louestein y el perfil de Lequesne (falso perfil) permite evaluar cobertura anterior en posición fisiológica. La correcta interpretación de estas imágenes y su correlación con el cuadro clínico, nos van a sugerir la necesidad de otros estudios que nos permitan aclarar el diagnóstico: la tomografía computada con reconstrucción tridimensional (TAC 3D), la RMN sin contraste. En la actualidad solicitamos siempre RX de pelvis frente, caderas panorámica, perfil quirúrgico, perfil de Dunn, (caderas en 90° de flexión y 20° de abducción), TAC 3D y en casos seleccionados la RMN con contraste (Figs. 4, 5, 6, 7a y 7b).14, 15, 16
Le damos mucha importancia a las RX simples tomadas según la propuesta de Lequesnne15, 17 y al perfil quirúrgico o lateral verdadero, ya que nos aportan datos muy importantes a la hora de realizar la coxometría (medición de ángulos de la cadera), con ello descartamos trastornos morfológicos congénitos tales como las displasias, o trastornos severos adquiridos tales como secuelas de la enfermedad de Perthes-Calve o de Epifisiólisis. Además nos permitirán encontrar trastornos morfológicos de la extremidad proximal del fémur lesiones leva (cam), el signo del “cross over” (entrecruzamiento de los bordes anterior y posterior del acetábulo) presente en los tipo pinza (pincer).17, 18 Es muy común encontrar alguna anormalidad en estas imágenes en casos con lesión del labrum comprobada. La resonancia con contraste, si bien es un estudio con una alta sensibilidad y especificidad para esta patología, es un estudio invasivo con índice de complicaciones propio no muy alto, pero que en caso de darse (infecciones) pueden llegar a ser muy graves, por lo tanto recomendamos la utilización de este estudio cuando el cuadro clínico sea confuso y no se tenga claro el diagnóstico según el resto de los estudios complementarios y fundamentalmente el examen clínico.

Figura 4: RX Frente.

Figura 5: TAC cadera. Trastorno morfológico en la unión del cuello con la cabeza.

Figura 6: RMN. Lesión labral en corte axial.

Figura 7a: Mecanismo “Cam”.

Figura 7b: Rx de un paciente de 48 años con cartílago aparentemente sano y calcificación del labrun.
Etiología de las Lesiones del Labrum
Es absolutamente necesario establecer la etiología de las lesiones labrales para poder aplicar la estrategia terapéutica adecuada. Las principales causas descriptas en orden de frecuencia son:
-
Impacto fémoro-acetabular anterior de cadera.
-
Traumáticas.
-
Degenerativas.
-
Displasias.
-
Conflicto con tendones musculares.
-
Hipermovilidad articular.
Impacto Femoroacetabular anterior de cadera
Se trata de un anormal funcionamiento de la articulación de la cadera provocado por trastornos morfológicos de la extremidad proximal del fémur o del acetábulo, que dan una limitación de la movilidad, especialmente de la rotación interna. Existen dos tipos descriptos (Fig. 7a y 8a):
-
Leva (Cam). Elevación en la cara anterior principalmente, lateral e inferior del cuello femoral, que provoca un choque con el reborde acetabular (labrum) generando una lesión en el labrum por múltiples impactos provocados durante la función articular.
-
Pinza (Pincer). Es una anormal saliencia del reborde acetabular que provoca un choque con el cuello femoral generando la lesión del labrum por impacto. Esto es debido a una retroversión acetabular o a una coxa profunda.
Este impacto provocado por las formas descriptas en algunos casos se hace extensivo al cartílago generando lesiones de diferentes grados. Este malfuncionamiento articular pone en marcha un proceso degenerativo, con cambios en la articulación, como calcificación del labrum lesiones condrales de diferentes tipos. La lesión Pinza (Cam) desplaza al labrum sobre el cartílago hialino en el porción supero lateral, generando cargas desproporcionadas que lesionan el cartílago. En muchos casos el impacto es de tipo mixto, es decir que predominan trastornos tanto a nivel femoral como acetabular, 86% según Siebenrock et al.19, 29
El Choque Femoroacetabular es la principal causa de dolor, bajo rendimiento, disminución del rango de movilidad en deportistas de elite. En nuestra casuística tenis, ballet y artes marciales encabezan la lista, siguen golf, paddle y otros.20, 31
En el momento de diagnosticar, se deben descartar todas aquellas lesiones degenerativas que provoquen trastornos morfológicos en la cara anterior del cuello femoral (Figs. 7b y 8b), sobre todo porque estas se presentan cuando la articulación ya tiene cambios, y esto incluye al cartílago hialino, en este caso se trataría de osteofitos, no de Leva, aunque el efecto pueda ser el mismo, su resección no detendrá el proceso degenerativo articular ya iniciado, aunque puede mejorar el cuadro clínico de manera transitoria.
Traumáticas
Los múltiples traumatismos de baja energía que se producen en los deportistas, es una de las causas más comunes de lesión labral después del choque femoroacetabular anterior de la cadera.5, 21 En algunos deportes se hace más evidente como en el tenis, las artes marciales, así como también, en algunas disciplinas como la danza y la gimnasia.6, 22 En este caso, se trata de lesiones labrales puras sin la presencia de factores etiológicos asociados, aunque con el tiempo comienzan a aparecer signos de enfermedad degenerativa en curso (calcificación del labrun, pincer). Esto ocurre, en la mayoría de los casos, porque no se hizo el diagnóstico en el momento oportuno.
Otra forma de lesión traumática son los mecanismos de alta energía que pueden provocar graves lesiones articulares en la cadera, luxaciones traumáticas que involucran entre otros al labrun.
Degenerativas
Habitualmente estan relacionadas con los grupos etiológicos anteriormente descriptos, múltiples traumatismos o un mal funcionamiento articular por “cam” o “pincer”, que en las etapas finales ya muestran signos de enfermedad degenerativa en curso.7, 23 El labrum sufre cambios estructurales que lo llevan a perder su elasticidad (calcificación) que comienzan en su base, produciendo un efecto pincer. La lesión labral en estos casos es intrasubstancia (Seldes tipo-II). En otros casos los procesos degenerativos articulares involucran al labrun, pero se trata de procesos globales que siempre se acompañan de algún grado de pinzamiento articular.
El éxito del tratamiento artroscópico (debridamiento) dependerá del grado de lesión del cartílago. En los grados Tönnis III y IV los resultados son de corto plazo y no es aconsejable realizar artroscopia.47, 48 Otros tratamientos como las osteotomías y los reemplazos articulares son aplicables con mejores perspectivas en estos casos.24, 25
Displasias
En las displasias existen publicaciones que muestran algunos resultados satisfactorios con el debridamiento, pero en general no son buenos y dependiendo de tipo de displasia es recomendable hacer otro tipo de tratamientos. La reparación labral es de corto plazo, dado que la sobrecarga que le genera la falta de cobertura de la cabeza femoral vuelve a lesionarlo. Desaconsejamos la artroscopia en algunos casos de displasia.
Conflictos con tendones
Los conflictos entre el labrum y las estructuras de partes vecinas fueron motivo de diversas publicaciones,26, 27 referidas al tendón del Psoas y al tendón reflejo del Recto Anterior. Este último en un engrosamiento capsular y tiene íntima relación anatómica con el Labrun, por lo tanto cualquier trauma que involucre a este lo afectaría. El otro conflicto con tendones que, involucra al Psoas Iliaco, es más antero medial que el del Recto anterior, tal cual como lo recomiendan Kelly B. et al, cuando se trabaja en el compartimiento central es recomendable realizar una tenotomía en el momento de hacer la capsulotomía anterior, que involucre a los dos músculos Recto Anteriory Psoas Iliaco.
Hipermovilidad articular
La lesión labral relacionada a la hipermovilidad articular está ligada a un tipo particular de causas traumáticas. Esta movilidad a normal, produce una secuencia permanente de traumatismo que van deteriorando al labrun. Algunas disciplinas como la danza, la gimnasia, el golf y las artes marciales suelen involucrar estos mecanismos. Otras causas de enfermedades sistémicas también pueden provocar laxitud articular. El rol de la artroscopia, en estos casos, debe ser tratar las lesiones del compartimiento central de la cadera y luego corregir las causas que produzcan los mecanismos, retensado capsular mediante una plica.

Figura 8a: Área de lesión labral en el mecanismo “Cam”.

Figura 8b: Cabeza femoral (a). Lesión del cartílago (b). Osteofito del cuello(c). Labrum calcificado.
MATERIAL Y MÉTODO
Entre julio de 2000 y julio del 2005 se realizaros 235 procedimientos artroscópicos de cadera en 233 pacientes, que presentaban dolor e impotencia funcional de un mínimo de 4 meses de evolución. Todos los casos se estudiaron con RX simples: frente de caderas siguiendo los criterios de Siebenrock, frente de pelvis, perfil del cuello femoral (Louestein-Quirúrgico), TAC 3D, resonancia magnética simple y artroresonancia. Tomamos un grupo hegemónico de 68 casos tratados con debridamiento selectivo simple del labrum, que fueron estudiados de manera prospectiva con un seguimiento máximo de 9 años, en este grupo se tuvo en cuenta el cuadro clínico, fecha de aparición de los síntomas, localización de los síntomas y nivel de actividad. Los datos fueron recolectados y analizados con el software Orthowave Srtryker Corp, usamos el score de Harris modificado en pre y post operatorio. Para la evaluación de los resultados se tomaron los variables dolor, función y rango de movimiento. Los procedimientos fueron realizados con la técnica artroscópica estándar en decúbito dorsal,6, 7, 8con mesa de tracción y control con intensificador de imágenes intraoperatorio y los tres portales clásicos: anterior, lateral y posterior. El protocolo de rehabilitación postoperatorio fue de 15 días con marcha protegida y terapia física diaria (magnetoterapia), intensificando la movilidad pasiva protegiendo la flexión adducción y rotación interna fase analgsica, luego del retiro de puntos (15 días) comenzamos con terapia en agua, bicicleta y ejercicios de cadena cerrada (fase 2), la última etapa (fase 3) comienza a trabajar con aumento progresivo de la carga y ejercicios de cadena abierta. Tres meses en promedio para el comienzo de actividades deportivas.
RESULTADOS
El seguimiento máximo fue de 108 meses y el seguimiento mínimo de 41 meses (promedio 74.5 meses). 5 pacientes no completaron los controles porque fueron perdidos en su seguimiento en 35; 40; 42; 47 y 60 meses respectivamente. Los controles fueron realizados anualmente en el consultorio y por encuesta telefónica. La edad promedio fue de 35.9 años (19-50), 28 fueron mujeres y 48 varones (Tabla 1).
La aparición de los síntomas fue: agudos 60.2% (n=41) (p< 0.0001), insidioso 27% (n=19) y traumáticos 11.7% (n=8).
La localización de los síntomas se distribuyó de la siguiente manera: dolor inguinal 95.5% (n=65) (p <0.0001), muslo/rodilla 51.4% (n=34) (p 0.81) lateral trocantérico 58.8% (n=40) (p 0.15).
La localización de las lesiones se distribuyó de la siguiente forma:
-
95% Anteriores, anterolaterales y superiores.
-
5% Laterales puras y posteriores.
Respecto a su morfología usamos la clasificación de Lage et al.28 (Figs. 9, 10 y 11) que se distribuyeron de la siguiente manera:
-
58.6% Colgajo radial.
-
26.1% Fibrilada.
-
14.2% Longitudinal periférica.
-
1.1% Inestables.
En cuanto a las lesiones asociadas encontradas:
Condrales (Outerbridge):29
-
Grado IV 1 caso (1.47%).
-
Grado III 2 casos (2.91%).
-
Grado II 2 casos (2.91%).
Degenerativos (Tönnis) modificada:4, 16, 30
-
Grado II 2 casos (2.91%).
El Score de Harris mostro mejoras substanciales sobre todo en aquellos casos que tenían poca patología asociada.
Para una mejor interpretación de los resultados y establecer parámetros comparables, dividimos al grupo de 68 casos en 4 subgrupos: con lesión de cartílago (Outerbridge), sin lesión de cartílago, con artrosis (Tönnis) y sin artrosis.
Los subgrupos fueron divididos teniendo en cuenta los hallazgos intraoperatorios en el caso de las lesiones condrales, y los signos indirectos radiológicos en los grados de Tönnis, le damos mucha importancia al colapso del espacio articular, disminución radiológica del espacio, porque muestra el monto de cartílago remanente, elemento fundamental para poder restituir el normal funcionamiento articular, además de ser referente de la durabilidad de los tratamientos de preservación articular. Por otro lado, también se tuvo en cuenta la presencia de osteofitos, estos cuando se encuentran en el margen inferior de la cabeza femoral asociados a calcificación del ligamento transverso, son de muy mal pronóstico a la hora de evaluar la posibilidad de realizar el tratamiento.
La evolución fue significativamente mejor en el máximo periodo de seguimiento; 9 años en los subgrupos que no presentaban patologías asociadas, (sin artrosis y sin lesiones condrales). En el subgrupo “sin lesiones de cartílago” el Harris se mantuvo 30 puntos por arriba de los valores preoperatorio,57, 87 en el subgrupo “sin artrosis” obtuvimos el mismo valor, 30 puntos.59, 89
También en la evolución a 8 semanas y 12 meses, encontramos diferencias entre el grupo sin patología asociada y el grupo con patología asociada (Gráfico 1 y 2). Ambos grupos evolucionan de manera similar hasta el año de seguimiento, esto se debe principalmente al efecto de lavado articular y denervación que provoca el tratamiento artroscópico, pero luego del año comienzan a separarse, los grupos con patología asociada empiezan con sintomatología dependiendo del grado de actividad desarrollada por los pacientes.
En los 3 (4.41%) casos con lesiones Outerbridge Grado III y IV, fue necesario la colocación de una prótesis total en un promedio de 60 meses (10-75), 1 caso (1.47 %) Outerbridge II con resultado pobre debió cambiar sus hábitos deportivos, 2 casos (2.91%) Tönnis II con lesiones degenerativas y pinzamiento articular está en espera para convertirlos en reemplazo total de cadera, 11 casos (16.17%) evolucionaron de Tönnis Grado II a Grado III.
En general el 73.5% (n=50) evolucionaron favorablemente con un incremento del Harris de 30 puntos, en un seguimiento promedio de 74.5 meses (41-108 meses) para los subgrupos sin lesiones asociadas, y un incremento Harris de 21 puntos en el mismo periodo de tiempo en los subgrupos con lesiones asociadas.


Figura 9: Lesión labral fibrilar.

Figura 10: Lesión labral por mecanismo Pincer.

Figura 11.

Gráfico 1: HHS Evolutivo 8 semanas. Post-operatorio. Cuadro evolutivo comparando pacientes <50 años y >50 años.

Gráfico 2: HHS Evolutivo 12 meses. Post-operatorio. Cuadro evolutivo comparando pacientes <50 años y >50 años.
DISCUSIÓN
El tratamiento artroscopico de las lesiones se ha constituido en un hecho habitual en estos tiempos, numerosos reportes se publican mensualmente mostrando los beneficios de esta tendencia. Otros estudios han mostrado los resultados del desbridamiento labral simple en el mediano y largo plazo. Byrd y Jones publicaron 29 casos seguidos 100% a 10 años, con 29 puntos de mejora en el score de Harris; Villar reportó un promedio de satisfacción del 69% con un seguimiento de 3 a 4 años.31, 32, 33 El desbridamiento labral simple fue un procedimiento que se realizó en los comienzos de la década de los 90.8, 9, 10 Cabe destacar que la tecnología y los conceptos que se manejaban en esa época difieren de lo que corrientemente se aplica en estos días.
El pinzamiento femoroacetabular no había sido descripto en profundidad como causa de lesiones del labrum,13, 34 ni tampoco se habían desarrollado los métodos de reparación labral con los que hoy contamos.11, 12 35, 36
En nuestra serie el tratamiento artroscópico fue indicado en todos los casos, luego de una historia de dolor y discapacidad funcional, en la que los tratamientos conservadores no dieron los resultados esperados.7, 14, 37 La técnica empleada fue desbridamiento labral con shaver, no realizamos amplia capsulotomía como lo preconizara Glick y Sampson,16, 38 con radiofrecuencia se buscó darle tensado al labrun remanente para lograr estabilidad y así mismo en todos los casos con signos degenerativos asociados tratamos el ligamento redondo y la fosa. Consideramos, en ese momento al labrun, como la única causa capaz de provocar dolor sin comprender completamente los mecanismos que podrían generar mal funcionamiento articular.20, 39
Los avances de la última década en el conocimiento de la fisiología y biomecánica articular, en particular del labrum, nos han permitido profundizar las estrategias terapéuticas y seleccionar mejor los casos para lograr resultados definitivos más duraderos. El labrun acetabular se ha convertido en uno de los elementos anatómicos que más publicaciones ha tenido en esta última década, pero por otro lado no debemos pasar la línea de la lógica en el momento de analizar las causas de dolor articular de cadera, ahora el pellizcamiento femoroacetabular paso de ser un mecanismo poco conocido a la única causa capaz de dañar al labrum y generar dolor y discapacidad funcional en la cadera.
Es importante destacar algunas enseñanzas que nos dejan nuestras primeras experiencias. En primer lugar no es posible considerar que un trauma o una repetición de micro traumas puedan provocar la lesión de un labrum sano, es necesario la asociación de otros factores. En nuestro primer reporte del año 2003 llamamos la atención sobre esto, no es simplemente el conflicto entre dos huesos componentes de una articulación,15, 27 siempre deben ser buscados estos factores.
El simple desbridamiento en presencia de estos factores tiene una durabilidad limitada, dependerá exclusivamente de la presencia o no de cambios degenerativos, es nuestro grupo esos cambios, como las lesiones condrales fueron los indicadores de pobres resultados y pronósticos en comparación con el grupo sin lesiones asociadas.17, 18, 19, 40, 41, 42 Sin embargo en casos debidamente seleccionados sin presencia de cambios degenerativos es posible lograr resultados satisfactorios con el desbridamiento labral simple.21, 43
Es importante encontrar las causas que puedan provocar artrosis. Displasias, antecedentes de enfermedades del cartílago, enfermedades metabólicas como la hiperuricemia (Condrocalcinosis) etc. y evidenciarlas con los estudios por imágenes: pinzamiento del espacio articular en todas sus formas (superior, medial, anterior y posterior), osteofitos superior e inferior de la cabeza, esclerosis subcondral, geodas, calcificación del ligamento transverso. La artroscopia no debe ser usada como modo de diagnóstico para detectar los cambios degenerativos. Las posibilidades de éxito están muy limitadas, dado que estos cambios son indicadores de pobres resultados. La edad también juega un rol importante, en general luego de los 55 años los resultados no son satisfactorios.
A medida que avanzamos y profundizamos los conocimientos de estas patologías, sabemos que el simple desbridamiento labral no es la técnica de elección para resolverlas. El diagnóstico temprano y la detección de los mecanismos nos permiten actuar a tiempo para evitar tratarlas en el periodo de secuelas.23, 44
Este estudio tiene como punto débil, el escaso número de casos y la falta de un score que pueda reflejar los resultados de los tratamientos artroscópicos y no una adaptación de una tabla de seguimientos de reemplazos articulares.24, 45 Pero por otro lado se presenta un seguimiento promedio interesante de 74.5 meses.
CONCLUSIÓN
La artroscopía de cadera es una herramienta eficaz para tratar las lesiones del labrum y sus patologías asociadas. Los métodos de diagnóstico y el examen clínico son críticos para la adecuada selección de pacientes. El desbridamiento labral simple, si bien cada vez tiene menos lugar, todavía puede ser un arma eficaz para tratar determinados y bien seleccionados casos de lesión sintomática del labrum. Los cambios degenerativos en todas sus formas son indicadores de resultados malos en el corto plazo. La artroscopia en estos casos puede llegar a acelerar esos cambios porque llega a desestabilizar la articulación y conducir a una cirugía de reemplazo articular en el mediano plazo.
BIBLIOGRAFÍA
-
Ganz R., Parvizi J., Beck M., Leunig M., Nötzli H., Siebenrock K. A. Femoroacetabular impingement: a cause for osteoarthritis of the hip. Clin Orthop Relat Res. 2003;417:112-20.
-
Tönnis D., Heinecke A. Acetabular and femoral anteversion: relationship with osteoarthritis of the hip. J Bone Joint Surg Am.1999;81(12):1747-70.
-
Wenger D. E. , Kendell K. R., Miner M. R., Trousdale R. T. Acetabular labral tears rarely occur in the absence of bony abnormalities. Clin Orthop. 2004;426:145-50.
-
McCarthy J.C., Noble P. C., Schuck M. R., Wright J., Lee J. The role of labral lesions to development of early degenerative hip disease. Clin Orthop Relat Res. 2001;393:25-37.
-
Siebenrock K. A., Kalbermatten D. F., Ganz R. Effect of pelvic tilt on acetabularretroversion: a study of pelves from cadavers. Clin Orthop Relat Res. 2003;407:241-8.
-
Byrd J. W. T. The supine position. In: Byrd JWT, ed. Operativehip arthroscopy. New York: Thieme, 1998:123-138.
-
Zancolli E. A., Munafo-Dauccia R. M. Artroscopia de cadera: Técnica en decúbito dorsal con tracción. Principales indicaciones. Rev. Asoc. Arg. Ortop. Traumatol. 2003;68(4):312-28.
-
Byrd J. W. T. Labral lesions, an elusive source of hip pain: Casereports and review of the literature. Arthroscopy 1996;12:603-612.
-
Ferguson S. J., Bryant J. T., Ganz R., Ito K. The influence of the acetabularlabrum on hip joint cartilage consolidation: a poroelastic finite element model. J Biomech. 2000;33(8):953-60.
-
Ferguson S. J., Bryant J. T., Ganz R., Ito K. The acetabular labrum seal: a poroelastic finite element model. Clin Biomech (Bristol,Avon). 2000;15(6):463.
-
Ito K., Leunig M., Ganz R. Histopathologic features of the acetabular labrum in femoroacetabular impingement. Clin Orthop Relat Res. 2004(429):262-71.
-
Kim Y. T., Azuma H. The nerve endings of the acetabular labrum. Clin Orthop Relat Res. 1995(320):176-81.
-
Siebenrock K. A., Schoeniger R., Ganz R. Anterior femoro-acetabular impingement due to acetabular retroversion. Treatment with periacetabular osteotomy. J Bone Joint Surg Am. 2003;85:278-86.
-
Siebenrock K. A., Kalbermatten D. F., Ganz R. Effect of pelvic tilt on acetabular retroversion: a study of pelves from cadavers. Clin Orthop Relat Res. 2003(407):241-8.
-
MacDonald S. J., Garbuz D., Ganz R. Clinical evaluation of the symptomatic young adult hip. Semin Arthroplasty. 1997;8:3.
-
Munafo Dauccia, Ricardo. Impacto femoroacetabular de caderaTratamiento con artroscopia y abordaje mínimo de Zancolli, Rev Asoc Argent Ortop Traumatol, 1972:143-000.
-
Manaster B. J., Zakel S. Imaging of femoral acetabular impingement syndrome. Clin Sports Med. 2006;25:635-57.
-
Wenger D. E., Kendell K. R., Miner M. R., Trousdale R. T. Acetabular labral tearsrarely occur in the absence of bony abnormalities. Clin Orthop Relat Res. 2004;426:145-50.
-
Siebenrock K. A., Wahab K. H., Werlen S., Kalhor M., Leunig M., Ganz R. Abnormal extension of the femoral head epiphysis as a cause of cam impingement. Clin Orthop Relat Res. 2004;418:54-60.
-
Philippon M. J., Schenker M. L. Arthroscopy for the treatment of femoroacetabular impingement in the athlete. Clin Sports Med. 2006;25:299-308, ix.
-
Dorrell J. H., Catterall A. The torn acetabular labrum. J Bone Joint Surg Br.1986;68:400-3.
-
Mason J. B. Acetabular labral tears in the athlete. Clin Sports Med.2001;20:779-90.
-
Ganz R., Parvizi J., Beck M., Leunig M., Notzli H., Siebenrock K. A. Femoroacetabular impingement: a cause for osteoarthritis of the hip. Clin Orthop Relat Res. 2003;417:112-20.
-
McCarthy J. C., Lee J. A. Arthroscopic intervention in early hip disease. Clin OrthopRelat Res. 2004;429:157-62.
-
Walton N. P., Jahromi I., Lewis P. L. Chondral degeneration and therapeutic hip arthroscopy. Int Orthop. 2004;28:354-6.
-
Ganz R., Parvizi J., Beck M., Leunig M., Notzli H., Siebenrock K. A. Femoroacetabular impingement: a cause for osteoarthritis of the hip. Clin Orthop Relat Res. 2003;417:112-20.
-
Zancolli E. A., Munafo-Dauccia R. M. Artroscopia de cadera: Técnica en decúbito dorsal con tracción. Principales indicaciones.Rev Asoc Argent Ortop Traumatol. 2003;68(4):312-28.
-
Lage L. A., Patel J. V., Villar R. N. The acetabular labral tear: An arthroscopic classification. Arthroscopy 1996;12:269-72.
-
Outerbridge R. Etiology of chondromalacia patella. J. BonJoint Surg Br 1961;43:752-754.
-
Tönnis D., Heinecke A. Acetabular anteversion: relationship with osteoathritis of the hip, J Bond Joint Surg Am . 1999;81(12):1747-70.
-
Santori N., Villar R. N. Acetabular labral tears: Result of arthroscopicpartial limbectomy. Arthroscopy 2000;16:11-15.
-
Farjo L. A., Glick J. M., Sampson T. G. Hip arthroscopy for acetabularlabral tears. Arthroscopy 1999;15:132-137.
-
Byrd J. W. T., Jones K. The Journal of Arthroscopic and Related Surgery, Vol 25, No 4 (April), 2009:365-368.
-
Notzli H. P., Wyss T. F., Stoecklin C. H., Schmid M. R., Treiber K., Hodler J. The contourof the femoral head-neck junction as a predictor for the risk of anterior impingement. J Bone Joint Surg Br. 2002;84:556-60.
-
Murphy K. P., Ross A. E., Javernick M. A., Lehman R. A. Jr. Repair ofthe adult acetabular labrum. Arthroscopy 2006;22:567.el-567.e3.
-
Kelly B. T., Weiland D. E., Schenker M. L., Philippon M. J. Arthroscopiclabral repair in the hip: Surgical technique and reviewof the literature. Arthroscopy 2005;21:1496-1504.
-
Byrd J. W. T., Jones K. S. Prospective analysis of hip arthroscopywith two year follow-up. Arthroscopy 2000;16:578-587.
-
Farjo L. A., Glick J. M., Sampson T. G. Hip arthroscopy for acetabular labral tears. Arthroscopy. 1999;15:132-7.
-
Byrd J. W. Labral lesions: an elusive source of hip pain case reports and literature review. Arthroscopy. 1996;12:603-12.
-
Peelle M. W., Della Rocca G. J., Maloney W. J., Curry M. C., Clohisy J. C. Acetabular and femoral radiographic abnormalities associated with labral tears. Clin Orthop Relat Res. 2005;441:327-33.
-
MacDonald S. J., Garbuz D., Ganz R. Clinical evaluation of the symptomaticyoung adult hip. Semin Arthroplasty. 1997;8:3-9.
-
Tonnis D., Heinecke A. Acetabular and femoral anteversion: relationship with osteoarthritis of the hip. J Bone Joint Surg Am. 1999;81:1747-70.
-
Byrd J. W. T., Jones K. S. Prospective analysis of hip arthroscopy with 10-year follow-up. Proceedings of the American Academy of Orthopaedic Surgeons 74th Annual Meeting, San Diego, CA. February 16, 2007. Rosemont, IL: American Academy of Orthopaedic Surgeons, p.641.
-
MacDonald S. J., Garbuz D., Ganz R. Clinical evaluation of the symptomatic young adult hip. Semin Arthroplasty. 1997;8:3-9.
-
Schemitsch E., Waddell J. How do traditional hip scoringsystems correlate with validated disease specific and generalhealth outcome measures? Proceedings of the American Academy of Orthopaedic Surgeons 67th Annual Meeting, Orlando, FL. March 19, 2000. Rosemont, IL: American Academy of Orthopaedic Surgeons, p. 583.
TRATAMIENTO ARTROSCÓPICO DE LAS LESIONES DEL LABRUM ACETABULAR
Dr. Ricardo Munafo Dauccia
ARTROSCOPIA | VOL. 18, Nº 1 : 8-18 | 2011
Dr. Ricardo Munafo Dauccia.
CETEA (Centro Estudio y Tratamiento de Enfermedades Articulares).
Dirección: Cerviño 4449 - piso 9 “B”. CABA, Bs. As., Arg.
Teléfono: +54 11 5291-1407 al 10
E-mail: Esta dirección de correo electrónico está siendo protegida contra los robots de spam. Necesita tener JavaScript habilitado para poder verlo.