ARTROSCOPIA | VOL. 18, Nº 3 : 114-119 | 2011
ARTICULO ORIGINAL
Tratamiento Artroscópico de Fracturas Desplazadas y Conminutas del Troquiter
Dr. Iván Bitar, Dr. Pablo Bruno, Dr. Damián Bustos y Dr. Lucas Marangoni
RESUMEN
Objetivo: el propósito de esta serie de casos fue evaluar los resultados clínicos de pacientes con fracturas desplazadas o conminutas del troquiter asociadas o no a luxación glenohumeral.
Hipótesis: la reducción y osteosíntesis artroscópica realizada con tornillos canulados representa una forma de tratamiento eficaz en este tipo de fracturas.
Material y Métodos: 10 pacientes con fracturas desplazadas o conminutas del troquiter fueron tratados por vía artroscópica mediante la reducción y osteosíntesis con tornillos canulados. La evaluación clínica fue realizada después de los 18 meses de seguimiento. Se evaluó reducción y consolidación de la fractura, dolor postoperatorio, rango de movimiento y resultados clínicos mediante los test de Rowe y ASES.
Resultados: todos los pacientes presentaron una correcta consolidación de la fractura, mínimo dolor y aceptables puntuaciones con los test de Rowe y ASES.
Conclusión: la reducción y osteosíntesis artroscópica de fracturas del troquiter puede alcanzar resultados clínicos y radiográficos satisfactorios.
Diseño de estudio: Serie de casos.
Nivel de evidencia: IV.
Palabras clave: troquiter, canulado, supraespinoso.
ABSTRACT
Objectives: The purpose of this retrospective study was to evaluate the clinical results of arthroscopic treatment in patients with comminuted, displaced greater tuberosity (GT) fractures with or without glenohumeral shoulder dislocation using an arthroscopic technique.
Hypothesis: The arthroscopic cannulated screw reduction and fixation represents an efficiency technique in this type of fractures.
Methods: 10 patients with cominuted, displaced greater tuberosity were fixed by arthroscopy with cannulated screws. The follow up was 18 months. We evaluated reduction and consolidation, postoperative pain, range of motion, and clinical results with the Rowe and ASES scores.
Results: At final follow up all patients reported correct fracture consolidation and minimum pain. The Rowe and ASES scores were acceptable.
Conclusion: the arthroscopic fixation with cannulated screw of comminuted, displaced greater tuberosity fractures can reach good clinical outcomes and satisfactory fracture consolidation.
Study design: therapeutic case series.
Evidence level: IV.
Key words: greater tuberosity, cannulated, supraspinatus.
INTRODUCCIÓN
Del total de fracturas que comprometen el húmero proximal, las fracturas aisladas del troquíter representan del 17 al 21% y se encuentran asociadas a luxaciones glenohumerales en un porcentaje que oscila del 15 al 30 %.1,15,16,23 Actualmente las fracturas del troquíter con desplazamiento superior a 5 mm, en cualquiera de los planos, deben ser tratadas mediante reducción y osteosíntesis quirúrgica. El uso de radiografías como método diagnóstico, generalmente, no define con exactitud la configuración de estas fracturas. Actualmente la tomografía axial computada (TAC) conreconstrucción y sustracción digitalizada de imágenes nos permite realizar un diagnóstico más preciso.12
El tratamiento de estas fracturas puede ser llevado a cabo mediante métodos de reducción abierta o cerrada y por supuesto asociado a diferentes sistemas de osteosíntesis. Es importante mencionar el uso de la radioscopia durante los pasos de reducción y fijación de la fractura. 8,14,25
Recientemente, el abordaje de esta patología por vía artroscópica representa un verdadero desafío y un avance importante no solo por la mejor visualización y manejo directode la fractura, sino también por la posibilidad de realizar un eventual tratamiento de lesiones articulares asociadas.
La restauración artroscópica de los fragmentos óseos a su anatomía normal ha sido lograda, con buenos resultados, mediante diferentes sistemas de osteosíntesis. Los primeros reportes mencionan como forma ideal de tratamiento la reducción y osteosíntesis con tornillos canulados mediante el uso de abordajes abiertos o percutáneos. En ellos se menciona la dificultad en la reducción y fijación de fracturas comminutas.3,4,8,25
Actualmente la evidencia científica en el tratamiento de estas fracturas por vía artroscópica es escasa. Sin embargo recientemente Ji y col. y Bhatia y col., reportan buenos resultados mediante la fijación artroscópica de los fragmentos con anclajes colocados en doble fila.2,10,11 Song y col. reportan resultados alentadores en fracturas desplazadas del troquíter tratadas por vía artroscópica mediante anclajes en doble fila con sutura en puente.24
El propósito de esta serie de casos fue evaluar los resultados clínicos de pacientes con fracturas desplazadas y/o conminutas del troquíter, asociadas o no a luxación glenohumeral e hipotetizamos que la reducción y osteosíntesis artroscópica realizada con tornillos canulados representa una forma de tratamiento eficaz en este tipo de fracturas.
MATERIAL Y MÉTODOS
Presentamos 10 pacientes con fracturas desplazadas y/o conminutas del troquíter tratadas por artroscopía entre los años 2004 y 2009, se incluyeron 6 pacientes con fracturas del troquíter a uno o dos fragmentos con desplazamiento mayor a 5 mm y 4 pacientes presentaron fracturas conminutas. En todos ellos se realizó reducción y osteosíntesis por vía artroscópica asistida con radioscopia. Como medio defijación se utilizó, en todos los casos, tornillos canulados de 3.5 y 4.5 mm. Al momento del ingreso, todos los pacientes fueron evaluados con estudios radiográficos de frente en rotación externa e interna y axial y con tomografía axial (TAC) con reconstrucción tridimensional. Estudios por Resonancia Magnética solo fueron realizados en 6 casos. En este estudio se utilizaron las imágenes radiográficas e imágenes por TAC, con reconstrucción en 3D, con el propósito de evaluar el tipo de fractura, grado de desplazamiento, cantidad y tamaño de los fragmentos óseos. Los pacientes con fracturas del troquíter con desplazamiento de fragmentos óseos menor a 5 mm fueron excluidos de este estudio. Los mismos recibieron tratamiento conservador.
Todos los pacientes fueron de sexo masculino y el promedio de edad fue de 35.1 años (rango de 27 – 57 años). El promedio de seguimiento fue de 30.3 meses (rango 18-43). La etiología de la lesión fue: 4 caídas en motocicleta, 3 lesiones deportivas (fútbol, rugby y equitación) y 3 casos de convulsiones. Seis pacientes presentaron en forma asociada luxación anterior de hombro con ruptura del labrum anterior en resonancia magnética. El examen artroscópico reportó: 6 lesiones de Bankart, 1 lesión del labrum posterior, 2 lesiones de SLAP, 2 lesiones parciales articulares del manguito rotador, 2 lesiones parciales del tendón del bíceps.
Se realizaron controles radiográficos postoperatorios de frente en rotación externa e interna, en Y de escápula y axial para confirmar inmediatamente la reducción de la fractura y posteriormente su consolidación definitiva. El control de la reducción quirúrgica se obtuvo evaluando cualquier tipo de desplazamiento en milímetros de la reducción del troquíter en relación a la cabeza humeral, en cualquiera de los planos del espacio. También se evaluó la consolidación de la fractura con placas obtenidas entre las 8 y 15 semanas de seguimiento. Finalmente, 3 controles radiográficos fueron llevados a cabo: inmediatamente posterior a la cirugía, después de las 8 semanas hasta obtener visualización radiográfica de consolidación y después de los 18 meses. Los pacientes fueron evaluados a los 18 meses mediante escala visual analógica (VAS), rango de movimiento (ROM) y examen de ROWE y ASES (American Shoulder and Elbow Surgeons). Debido a la severidad del dolor posterior a la fractura no se realizó una evaluación clínica preoperatoria.
Técnica Quirúrgica
Todos los pacientes fueron asistidos bajo anestesia general en decúbito lateral con el miembro a operar al cenit y bajo tracción de 3 kg. Primeramente se realizó examen artroscópico utilizando el portal posterior. Se constató en esta instancia quirúrgica lesiones articulares asociadas a la fractura del troquíter como lesiones del labrum glenoideo, lesiones articulares del manguito, lesión del tendón del bíceps, fragmentos articulares (óseos, cartílago), coágulos de sangre ypor supuesto el examen minucioso de la fractura a nivel articular. Dos portales anterior y anterosuperior fueron agregados para la palpación de las estructuras articulares y la realización de un eventual tratamiento.
Realizado el diagnóstico de lesión articular asociada se examina la fractura a nivel subacromial. Es importante realizar un correcto diagnóstico tomográfico para definir el patrón de la fractura y la ubicación de los fragmentos.
El plan preoperatorio ayuda enormemente al cirujano a la hora de realizar el posicionamiento artroscópico en la búsqueda del o los fragmentos óseos para su posterior reducción y fijación. A nuestro conocimiento es importante realizar el menor debridamiento posible de los fragmentos óseos particularmente en fracturas conminutas. Esto evita la desperiostización de los mismos y facilita su posterior reducción artroscópica. En esta serie de casos el examen articular o subacromial del lecho de la fractura no fue considerado una rutina y solo fue realizado en solo 4 casos debido a múltiples intentos fallidos en la reducción del o los fragmentos óseos por la interposición de los tejidos.
A través de la visualización artroscópica posterolateral y bajo asistencia simultánea por radioscopia con proyecciones de frente y axial, se intenta la reducción de los fragmentos óseos. La reducción de los fragmentos óseos se realiza con el gancho palpador desde cualquiera de los portales anteriores previamente realizados o a través de los portales laterales. En la mayoría de los casos mediante la utilización de la rotación externa o interna del miembro y la confección de uno o dos portales laterales, es suficiente para alcanzar un manejo aceptable de la reducción de los fragmentos óseos y finalmente de la osteosíntesis. La visualización principal durante el proceso de reducción y osteosíntesis de los fragmentos se realiza fundamentalmente a través del portal postero lateral semejante a la reparación del manguito rotador.
Si la reducción de los fragmentos es correcta en las imágenes por radioscopía, la fijación temporal de los fragmentos óseos con clavijas percutáneas es llevada a cabo. Posteriormente y según el tamaño de los fragmentos se utilizan tornillos canulados de 2.7 mm, 3,5 mm y/o 4.5 mm. Es importante remarcar nuevamente la no resección de los tejidos blandos (manguito rotador) de los fragmentos óseos. En 4casos de fracturas conminutas la reducción y osteosíntesis de los fragmentos fue lograda a través de los tejidos blandos y no del propio tejido óseo. Si la reducción de los fragmentos no es correcta la inspección del lecho de la fractura, primero a nivel articular y luego a nivel subacromial, es llevada a cabo con el fin de facilitar la misma mediante la remoción de tejidos interpuestos. En todos nuestros pacientes fueron colocados no menos de 3 tornillos de fijación (Fig. 1 y 2).
Todos nuestros casos fueron protegidos con un cabestrillo en 90 grados por 3 semanas en forma obligatoria. Durante la cuarta semana la protección fue a demanda del paciente. Movimientos pendulares y de flexoextensión de codo fueron instaurados inmediatamente. El rango de movimiento pasivo de elevación, rotación externa e interna fue permitido a partir de la tercera semana y estuvo guiado por el servicio de rehabilitación del sanatorio.


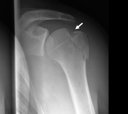
Figura 1A: Fractura con desplazamiento del troquiter mayor a 5 mm./ Figura 1B: Misma fractura en TAC 3D. Conminuta a 3 fragmentos y desplazada. Flechas: fragmentos óseos.



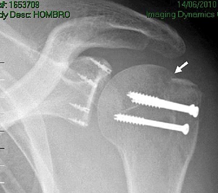
Figura 1C: Espacio subacromial. Reducción artroscópica fractura del troquíter. Se observa línea de fractura./ Figura 1D: Osteosíntesis artroscópica con tornillos canulados de 3.5 mm./ Figura 1E: Reducción y ostesíntesis con 3 tornillos canulados de 3.5 mm. Flecha: pérdida de hueso. Reparación de Bankart y SLAP asociada.



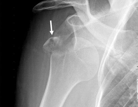
Figura 2A: Luxación anterior con fractura conminuta y desplazada del troquiter./ Figura 2B: Lesión articular asociada. Desprendimiento Anterior del labrum glenoideo hora 12 a 4./ Figura 2C: Espacio Subacromial: Reducción artroscópica de la fractura sin desperiostización del fragmento óseo.



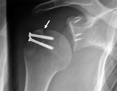
Figura 2D: Flecha negra: Clavija percutanea mantiene la reducción. Flecha Amarilla: línea de fractura./ Figura 2E: Osteosíntesis con tornillo canulado de 3.5 mm./ Figura 2F: Resultado. Escalón superior de 2 mm. Reparación de Bankart y SLAP.
RESULTADOS
La evaluación radiográfica realizada inmediatamente posterior a la cirugía dejó en evidencia un promedio de desplazamiento del troquíter en relación a la cabeza de 2.8 mm(rango 1.2 mm - 4 mm). La posibilidad de evaluar preoperatoriamente el dolor, rango de movimiento y los tests deRowe y Ases se vio dificultada por el intenso dolor que referían los pacientes. Al final del seguimiento de cada paciente y según la escala visual analógica el promedio de puntuación para el dolor fue de 1.1 (rango de 0 – 3). El promedio del test de Ases fue de 95.3 y el promedio del test de Rowefue de 91.3. Ocho pacientes presentaron resultados excelentes (90-100) y dos pacientes resultados buenos (89-75). Todos los pacientes presentaron signos de consolidación entrelas 8 y 15 semanas. A los 18 meses el promedio de elevacióndel hombro fue de 174.7 grados (rango 166 -180). El promedio de rotación externa con el codo al cuerpo fue de 61grados (rango 48-75). En cuanto a la rotación interna: seispacientes alcanzaron el nivel T7, dos el T8, uno el T9 y unoel T10 respectivamente (Tabla 1).

Lesiones Asociadas y Complicaciones
Se realizaron 6 reparaciones del labrum glenoideo anterior,2 reparaciones de SLAP, en dos casos se realizó debridamiento con shaver del tendón del supraespinoso por lesiónparcial sobre su cara articular, en un caso se realizó debridamiento del tendón del bíceps y en dos casos se extrajeron fragmentos articulares pequeños secundarios a lesión deHill Sachs y a la fractura del troquíter.
En todos nuestros pacientes se alcanzó una correcta reducción de la fractura. En ningún caso fue necesario convertir a cirugía abierta. Como complicación intraoperatoriacabe mencionar un caso con fractura comminuta a 3 fragmentos, en donde la toma ósea de los tornillos no fue realizada con la rigidez ideal debido a una mala calidad del tejido óseo. A pesar de esto se alcanzó una aceptable reducciónde la fractura.
Como complicación postoperatoria un paciente, al cuarto día de la cirugía, presentó un severo edema de todo elmiembro superior asociado a parestesias en mano y antebrazo, el mismo se recuperó en forma completa con tratamiento ortostático al duodécimo día de la cirugía.
DISCUSIÓN
Las fracturas conminutas y/o desplazadas del troquíter representan un actual desafío para el cirujano artroscopista, nosolo en cuanto a la decisión de llevar a cabo un tratamiento quirúrgico sino también en cuanto a la elección de la técnicaquirúrgica a desarrollar. 2,20,24
El desplazamiento y la conminución de la fractura son deextrema importancia en el diagnóstico debido a que desplazamientos de los fragmentos óseos que superan los 5 mmdeterminan el tratamiento quirúrgico. A nuestro conocimiento los estudios radiográficos habituales, son en la mayoría de los casos, suficientes para determinar el tipo de tratamiento a seguir. Sin embargo la TAC con reconstrucciónen 3D nos permite realizar un diagnóstico con certeza e inclusive cuantificar con total exactitud el desplazamiento o elgrado de conminución de la fractura. Jurik y col. reporta queel diagnóstico de la fractura llevado a cabo por TAC permite mejorar la decisión del tipo de tratamiento a seguir, comoasí también ayuda a un mejor planeamiento quirúrgico.12
La decisión de llevar a cabo un tratamiento quirúrgico oconservador será determinada por el nivel de conminución o el grado de desplazamiento de la fractura. Kim y col. reporta dolor crónico en pacientes con fracturas del troquítercon mínimo desplazamiento tratadas ortopédicamente.13-14 Por el contrario Platzer P., sugiere realizar tratamiento conservador a fracturas con un desplazamiento inferior a los 3mm. Además, reportó en un estudio comparativo que lasfracturas desplazadas del troquíter mejoran en términosde función con tratamiento quirúrgico.18,19 Park y col. recomienda un tratamiento quirúrgico pero solo en pacientes deportistas o en trabajadores con alta demanda física.20,21 Neer realiza reducción y fijación abierta de fracturas del troquíter con un desplazamiento mayor a 1 cm.17 Bigliani y col.recomienda el tratamiento quirúrgico en fracturas del troquíter cuyo desplazamiento supera los 5 mm.3
Diferentes formas de tratamiento quirúrgico y mediosde fijación han sido utilizados para fracturas desplazadas yconminutas del troquíter. El tamaño y desplazamiento delos fragmentos, el grado de conminución y la calidad del tejido óseo influyen en la elección de la técnica quirúrgica aemplear.7,24 La reducción y osteosíntesis por vía artroscópica puede ser lograda con tornillos canulados o con anclajesy suturas de alta resistencia. En ambos casos la radioscopiapuede ser de gran ayuda durante la reducción y fijación dela fractura. La reducción y osteosíntesis con tornillos canulados probablemente ha sido uno de los primeros métodosde fijación utilizado en este tipo de fractura.4,25 Esta técnica puede ser desarrollada por vía artroscópica reportando resultados alentadores.13,24 Sin embargo, existen reportes quedesalientan la utilización de tornillos canulados principalmente en fracturas conminutas a pequeños fragmentos o entejidos con mala calidad ósea, debido a la imposibilidad delograr una reducción y fijación aceptable de los fragmentosóseos, o lo que es peor destruir el fragmento cuando el mismo es atravesado por el tornillo.9 En esta serie de casos la mayoría de nuestros pacientes fueron jóvenes con buena calidad de su tejido óseo. Sin embargo en fracturas conminutas a pequeños fragmentos es posible remarcar que el tornillo no necesariamente debe atravesar al fragmento óseopara lograr la reducción y fijación del mismo. En el lechode la fractura los múltiples fragmentos óseos se encuentranagrupados y sostenidos por las fibras del manguito rotador,de manera tal que una vez que el lecho de la fractura se encuentra limpio de detritus, el implante puede atravesar altejido blando, y no necesariamente al fragmento óseo, logrando una correcta reducción y fijación del mismo. A pesar de que han sido descriptos aflojamientos de los tornillo o pérdida de arandelas en la articulación, en nuestra serie noreportamos esta complicación y no hemos utilizado arandelas asociadas al tornillo de fijación.9 Además, en ningúnpaciente de esta serie fue necesario realizar la extracción delmaterial de osteosíntesis utilizado. La fijación artroscópica o abierta de estas fracturas mediante la utilización de anclajes y suturas no absorbibles de alta resistencia, aplicando técnicas en simple fila o doble fila han sido descriptascon resultados alentadores.2,7,9-11,14 Sin embargo en nuestraserie, aún en fracturas conminutas, no fue necesaria la utilización de esta técnica para lograr la reducción y fijación dela fractura. Existen estudios que alientan la utilización deesta técnica particularmente en fracturas conminutas o conmala calidad ósea. Además, se reporta como ventaja sobre los tornillos que la fijación con anclajes particularmente endoble fila otorga un mayor contacto con el lecho de la fractura, una reducción más anatómica y por ende una mayor fijación del fragmento al lecho de la fractura.10,11,22 No existen a la fecha estudios de alto nivel científico capaz de sostenertal afirmación.
En esta serie de casos se han reportado dos complicaciones, una de ellas fue intraoperatoria y ocurrió en un paciente adulto joven con fractura conminuta en la cual la tomaósea de los tornillos no fue la óptima al momento de la fijación. A pesar de esto, los tornillos se mantuvieron en el lecho de la fractura cumpliendo su función y no fue necesariala extracción de los mismos. Tampoco fue alterado el protocolo de rehabilitación de este paciente. Un paciente presentó al cuarto día de la cirugía, un edema de partes blandas en todo el miembro superior con pérdida completa de laanatomía exterior del miembro y parestesias en antebrazo ymano. El paciente se recuperó al duodécimo día solamentecon la aplicación de medidas ortostáticas.
La reducción y osteosíntesis artroscópica con tornilloscanulados en fracturas del troquíter demanda de una ciertaexperiencia en cirugía artroscópica del hombro, es necesario realizar un correcto diagnóstico preoperatorio, preferentemente con imágenes por TAC, con el objetivo de evaluar eltipo de fractura, conminución y desplazamiento de los fragmentos.
Nuestro estudio presenta una serie de limitaciones, en primer lugar es una serie de casos con solo 10 pacientes y enla cuál no se efectúa ningún tipo de comparación. Debidoa la pobre casuística mundial en el manejo artroscópico deestas fracturas se necesitará de un mayor tiempo de esperapara obtener conclusiones de estudios de mayor credibilidadcientífica. Futuros estudios deberán plantear como objetivos la comparación de los resultados de técnicas quirúrgicasabiertas versus artroscópicas y además la comparación de losdiferentes sistemas de fijación.
CONCLUSIÓN
La reducción y osteosíntesis artroscópica de fracturas desplazadas y conminutas del troquíter mediante el uso de tornillos canulados puede alcanzar resultados clínicos y radiográficos alentadores.
BIBLIOGRAFÍA
- 1.Bahrs C, Lingenfelter E, Fischer F, Walters EM, Schnabel M. Mechanism of injury and morphology of the greater tuberosity fracture. J Shoulder Elbow Surg 2006;15:140-147.
- 2.Bhatia DN, Van Rooyen KS, et al. Surgical treatment of comminuted,displaced fractures of the greater tuberosity of the proximal humerus: Anew technique of double-row suture-anchor fixation and long-term results. Injury 2006;37:946-952.
- 3.Bigliani LU, Pollock RG. The shoulder. Philadelphia: WB Saunders,1998.
- 4.Bonsell S, Buford DA Jr. Arthroscopic reduction and internal fixation of a greater tuberosity fracture of the shoulder: A case report. J Shoulder Elbow Surg 2003;12:397- 400.
- 5.Cadet ER, Ahmad CS. Arthroscopic reduction and suture anchor fixation for a displaced greater tuberosity fracture: A case report. J ShoulderElbow Surg 2007;16:e6-e9.
- 6.Carrera EF, Matsumoto MH, Netto NA, Faloppa F. Fixation of greatertuberosity fractures. Arthroscopy 2004;20:e24.
- 7.Cummins CA, Appleyard RC, et al. Rotator cuff repair: An ex vivoanalysis of suture anchor repair techniques on initial load to failure.Arthroscopy 2005;21:1236-1241.
- 8.Flatow EL, et al. Open reduction and internal fixation of two-part displaced fractures of the greater tuberosity of the proximal part of the humerus. J Bone Joint Surg Am 1991;73:1213-1218.
- 9.Green A, Izzi Jr J. Isolated fractures of the greater tuberosity of theproximal humerus. J Shoulder Elbow Surg 2003;12:641-649.
- 10.Ji JH, Kim WY, Ra KH. Arthroscopic double-row suture anchor fixation of minimally displaced greater tuberosity fractures. Arthroscopy2007;23:e1131-e1134.
- 11.Ji Jong Hun et al. Arthroscopic fixation technique for comminuteddisplaced greater tuberosity fracture. The Journal of Arthroscopic andRelated Surg 2010; 26:600-609.
- 12.Jurik AG, Albrechtsen J. The use of computed tomography with two-and three-dimensional reconstructions in the diagnosis of three- andfour-part fractures of the proximal humerus. Clin Radiol 1994;49:800.804.
- 13.Kim SH, Ha KI. Arthroscopic treatment of symptomaticwith minimally displaced greater tuberosity fracture. Arthroscopy 2000;16:695-700.
- 14.Kim DH, Elattrache NS, Tibone JE, et al. Biomechanical comparisonof a single-row versus double-row suture anchortechnique for rotatorcuff repair. Am J Sports Med 2006;34:407-414.
- 15.Kristiansen B, Barfod G, Bredesen J, et al. Epidemiology of proximalhumeral fractures. Acta Orthop Scand 1987;58:75-77.
- 16.Lind T, Kroner K, Jensen J.The epidemiology of fractures of the proximal humerus. Arch Orthop Trauma Surg 1989;108:285-287.
- 17.Neer CSI. Displaced proximal humeral fractures. I. Classification andevaluation. J Bone Joint Surg Am 1970;52:1077-1089.
- 18.Platzer P, et al. The influence of displacement on shoulder function inpatients with minimally displaced fractures of the greater tuberosity.Injury 2005;36:1185-1189.
- 19.Platzer P, Thalhammer G, Oberleitner G, et al. Displaced fractures ofthe greater tuberosity: A comparison of operative and nonoperative treatment. J Trauma 2008;65:843-848.
- 20.Park MC, ElAttrache NS, Ahmad CS, Tibone JE. “Transosseousequivalent” rotator cuff repair technique. Arthroscopy 2006;22:1360. e1-1360.e5.
- 21.Park TS, Choi IY, et al. A new suggestion for the treatment of minimally displaced fractures of the greater tuberosity of the proximal humerus. Bull Hosp Joint Dis 1997;56:171-176.
- 22.Park MC, et al. Two-part and three-part fractures of the proximal humerus treated with suture fixation. J Orthop Trauma 2003; 17:319-325.
- 23.Rowe CR. Prognosis in dislocations of the shoulder. J Bone Joint SurgAm 1956;38:957-977.
- 24.Song H et al. Arthroscopic reduction and fixation with suture bridgetechnique for displaced or comminuted greater tuberosity fractures.TheJournal of Arthroscopic and Related Surgery 2008;24:956-960.
- 25.Taverna E, Sansone V, Battistella F. Arthroscopic treatment for greater tuberosity fractures: Rationale and surgical technique.Arthroscopy2004;20:e53-e57.
- 26.Tuoheti Y, Itoi E, Yamamoto N, et al. Contact area, contact pressure,and pressure patterns of the tendon-bone interface after rotator cuff repair. Am J Sports Med 2005;33:1869-1874.
Dr. Iván Bitar
Sanatorio Allende.
Av. Hipólito Yrigoyen 384, Córdoba, Argentina.
Tel.: +54 351 6170743
Esta dirección de correo electrónico está siendo protegida contra los robots de spam. Necesita tener JavaScript habilitado para poder verlo.
