Lesiones del Labrum Acetabular de origen traumático. Tratamiento artroscópico
Dr. Miguel Angel Monges Luces
RESUMEN
Introducción: A pesar de los adelantos descriptos en cuanto a patología labral y su resolución artroscópica, no existen seguimientos a largo plazo en cuanto a preferencias sobre reparación/re fijación vs. debridamiento del labrum. El propósito de este trabajo es comparar a corto plazo el resultado obtenido en dos grupos de 10 pacientes cada uno con lesión del labrum de origen traumático.
Materiales y métodos: Según criterios de inclusión y exclusión definidos, se seleccionan 20 pacientes con antecedentes de lesión traumática de labrum de cadera tratados por artroscopía. Se los divide en dos grupos de 10. Un grupo A con lesiones fibrilares a los que se les realizo debridamiento clásico y un grupo B con rupturas longitudinales que fueron reinsertadas con arpones biodegradables de 2,3 mm de diámetro.
Evaluación y resultados: Los 2 grupos de 10 pacientes fueron evaluados con el score de Harris modificado por Byrd para artroscopía de cadera. Los resultados del grupo A fueron: 2 pacientes con puntaje excelente, 4 pacientes puntaje bueno, 2 pacientes puntaje regular y 2 pacientes con malos resultados. En cuanto al grupo B: 3 pacientes tuvieron puntaje excelente, 5 pacientes puntaje bueno y 2 pacientes puntaje regular.
Conclusiones: La resolución de los problemas del labrum retrasa sin duda la llegada de enfermedades degenerativas. Es importante progresar en la técnica quirúrgica y continuar con los seguimientos a largo plazo de los pacientes operados, lo que terminará de delinear cual es el tratamiento a seguir según el tipo de lesión.
Diseño del estudio: comparativo retrospectivo.
Nivel de evidencia: III.
Palabras clave: Lesión labral, artroscopia de cadera.
ABSTRACT
Introduction: Despite the advancements described in the field of labral pathology and its arthroscopic treatment, no long term follow-ups were made regarding labrum repair/ refixation vs. debridement preference. The purpose of this study is to compare short-term objective results obtained in two groups of 10 patients with traumatic labrum lesion.
Materials and methods: In accordance with the inclusion and exclusion criteria defined, 20 patients with hip labrum traumatic injury treated with arthroscopy were selected. Subjects were divided into two groups of 10 patients: Group A, with fibrillar lesions that were treated with classic debridement and Group B, with longitudinal ruptures reinserted with
2.3 anchors.
Evaluation and results: Both 10-patient groups were evaluated using the Harris Hip Score modified by Byrd for hip arthroscopy. The results of group A were: 2 patients with excellent score, good score 4 patients, 2 patients regular score and 2 patients with poor results. For the group B, 3 patients had an excellent score; good score 5 patients and 2 patients regular score.
Conclusions: Solving of labrum issues indisputably delays the onset of degenerative diseases. Advancement in surgical techniques and long term follow-up of surgical patients are essential to determine the adequate treatment for each type of lesion.
Study design: retrospective comparative.
Evidence leve: III.
Key words: labral injuries, hip arthroscopy.
INTRODUCCIÓN
El advenimiento de la cirugía artroscópica ha sido considerado uno de los grandes adelantos evolutivos de la medicina de las últimas décadas. Las características complejas y la ubicación de esta articulación, requieren no solo de instrumental concreto sino de un entrenamiento especial por parte del cirujano artroscopista que se ve reflejado en una extensa curva de aprendizaje.1-3
Podemos afirmar hoy que existen numerosas patologías posibles de ser tratadas por esta vía mínimamente invasiva. Dentro de las indicaciones clásicas cabe mencionar la extracción de cuerpos libres, la resolución de lesiones condrales y patología sinovial, al igual que el tratamiento de la artritis séptica y el dolor persistente de cadera.4,5
Además de estas patologías, actualmente la lesión del labrum es un problema frecuente que se presenta en pacientes jóvenes y con cierto nivel de actividad.
Autores como Paul Beule6 afirman que la artroscopía de cadera es el abordaje quirúrgico preferido para el tratamiento de las lesiones del labrum, en ausencia de anormalidades óseas estructurales sustanciales.
El labrum (fig.1) es un fibrocartílago triangular si se realiza una sección transversal del mismo, toda su base se encuentra unida al reborde óseo, conformando su borde libre el vértice. Tiene un lado externo bien vascularizado y un lado intraarticular avascular.7,8

Figura 1: Labrum. Imagen de microscopía.
Su lado externo es más denso y tiene una altura entre 5 y 6 mm engrosándose en el sector articular posterior.
Dentro de sus principales funciones mencionamos:9-11
- Sellado articular, manteniendo la función hidrostática de los líquidos.
- Aumenta la estabilidad articular manteniendo la presión negativa.
- Importante rol en la distribución de cargas.
- Contribuye a la propiocepción articular, por poseer terminaciones nerviosas.
Clasificación de las lesiones Labrales
Las lesiones de esta estructura se pueden clasificar por su etiología12 en:
- Impacto fémoro-acetabular de cadera (FAI).
- Degenerativas.
- Displasias.
- Hiperlaxitud o inestabilidad articular.
- Traumática.
El FAI13 es la causa más frecuente de lesión reconocida con sus dos variantes. El tipo cam que consiste en una sobreelevación de la cara anterior y lateral del cuello del fémur, que origina en primer lugar una lesión por cizallamiento del cartílago, y posterior a esto la lesión labral y el tipo pincer que se trata de un aumento de la cobertura cefálica debido a un borde acetabular extendido.
Las de origen traumático ocupan el segundo lugar y diferentes autores le dan una preponderancia entre el 19% y el 56% originándose estas en actos como deslizarse, correr y girar.14-17
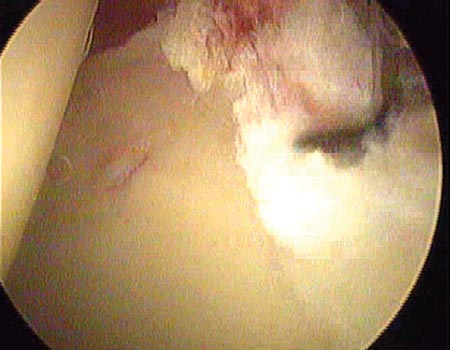
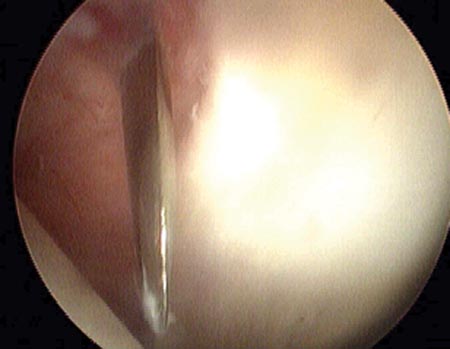
Dentro de las clasificaciones que toman en cuenta la morfología de la lesión mencionamos la enunciada por Lage,18 útil por ser artroscópica, que las divide en (fig. 2, Fig. 3):
- Rupturas radiales.
- Rupturas fibrilares.
- Rupturas longitudinales.
- Rupturas Inestables.
El propósito de este trabajo es evaluar y comparar el resultado en pacientes en los que se realizó reinserción del rodete con arpones específicos y aquellos en los que se utilizó una técnica de labrectomía parcial o remodelación del mismo. Se trata de un trabajo sin intenciones estadísticas donde se muestran los resultados a corto plazo con una técnica artroscópica novedosa aun en nuestro medio.

Figura 2: Ruptura fibrilar del labrum.

Figura 3: Ruptura longitudinal del labrum.
MATERIAL Y MÉTODOS
Entre los años 2007 y 2010 realizamos 41 artroscopías de cadera en pacientes que tenían lesiones del labrum puras, entendiendo por este término aquellos pacientes a los que no se les encontró otra lesión o deformidad, lo que nos permite ser objetivos en los resultados obtenidos sin depender de tratamientos previos ni de otras patologías asociadas o secundarias. Por lo tanto consideramos estas lesiones del labrum puras de etiología traumática caracterizándose la misma por movimientos repetidos, traumatismos recurrentes o microtraumatismos.
De los 41 pacientes con lesiones labrales puras se seleccionaron 20 pacientes, con edades entre 18 y 36 años y un origen traumático en el comienzo de sus síntomas. Estos se dividen en dos grupos, GRUPO A: 10 pacientes a los que se les reparo el labrum mediante reinserción con arpones; y GRUPO B: 10 pacientes a los que se les realizó debridamiento, labrectomía parcial o regularización de sus lesiones.
Este registro de 20 pacientes divididos en dos grupos,está compuesto en su mayor parte por deportistas y bailarines con diferentes grados de exigencia en cuanto a las prácticas, distribuyéndose en: Danzas (7 pacientes), gimnasia deportiva (4 pacientes), fútbol (2 pacientes), tenis (3 pacientes), hockey (1 paciente), artes marciales (1 paciente) y gimnasia y yoga (2 pacientes).
Se tomaron como criterios de exclusión lesiones tipo Cam o lesiones tipo Pincer asociadas, pacientes mayores de 36 años y antecedentes de luxaciones y fracturas.
En cuanto a los criterios de inclusión estos fueron: edad entre 18 y 36 años, la existencia de un antecedente traumático claro y la resolución artroscópica del problema.
En esta selección hubo prevalencia del sexo femenino en número de 12 (60%) contra 8 (40%) masculinos. Tuvimos 13 caderas derechas (65%) y 7 caderas izquierdas (35%). El tiempo de seguimiento mínimo fue de 3 meses y el máximo de 24, con un promedio de 15 meses. El tiempo transcurrido que refieren los pacientes entre el comienzo de los síntomas y el diagnóstico de certeza fue de entre 3 meses y 6 años con un promedio de 18,75 meses. La presentación clínica más frecuente fue dolor en la ingle y en algunos casos en la región posterior de la cadera; pero lo que orienta hacia la lesión del labrum es cuando el paciente relata síntomas mecánicos como chasquidos, bloqueos
o atrapamientos. Los dolores se exacerban con las actividades, los cambios de posición o al estar mucho tiempo parados. Es habitual que el paciente indique la zona del dolor colocando su dedo índice en la ingle y el pulgar en la cara posterior conformando el signo de la “C” o pinzamiento.19,20 Durante el examen físico se evaluó la marcha y la postura, existiendo en gran porcentaje claudicación al iniciar la caminata. En todos los pacientes la cadera afectada presentó limitaciones de la abducción en rotación externa (test de FABER+) (Fig. 4).21

Figura 4: Test de Faber.
El test de McCarthy, que es la maniobra considerada más específica para las lesiones del labrum acetabular, también fue positivo en estos pacientes.
Todos los pacientes fueron estudiados con radiografías en posición de frente y “Cross table”, Tomografía Axial Computada, Resonancia Magnética Nuclear y Artroresonancia (Fig. 5 y 6).

Figura 5: Artroresonancia, corte axial. Lesión del Labrum./ Figura 6: Artroresonancia, corte coronal. Lesión del Labrum.
Técnica Quirúrgica
Para realizar las artroscopía de cadera utilizamos anestesia raquídea combinada con sedación profunda del paciente. El correcto posicionamiento en decúbito dorsal del paciente sobre mesa de tracción es el primer paso hacia un procedimiento exitoso (Fig. 7).4

Figura 7: Posición decúbito dorsal. Mesa de tracción.

Figura 8: Vista radioscópica, distracción.
La tracción aplicada al miembro afectado oscila entre 11 y 23 Kilogramos, obteniendo aproximadamente un centímetro de distracción femoroacetabular (Fig. 8).
Para la resolución de las lesiones labrales de nuestra casuística usamos los portales antero lateral, postero lateral y anterior estándar, no teniendo que usar otros portales para la visión o colocación de anclas.25,26
La cámara y la óptica de 70 grados ingresan primero por el portal antero lateral, por donde se puede realizar una visualización completa del espacio intraarticular con su trasfondo y la mayor parte de la cabeza femoral. A partir de este gesto se visualiza el triángulo de seguridad hacia superior y bajo visión directa se labra el acceso anterior (Fig.9). Una vez conformes con este portal realizamos una capsulotomía lo que nos brinda mejor maniobrabilidad intraarticular (Fig. 10).

Figura 9: Ingreso al portal Anterior. Cadera derecha./ Figura 10: Capsulotomia anterior, bisturí banana.
Todas las lesiones labrales en concordancia con los trabajos de McCarthy se localizaron entre las horas 11 y 13,zona que según este autor, es considerada histológicamente como una zona de debilidad. 27
Las lesiones del grupo A consistían en rupturas labrales del tipo radial o fibrilar, no reinsertables a nuestro criterio,por lo que se realiza debridamiento labral. Las lesiones del grupo B, fueron reinsertadas con arpones biodegradables ya que todas eran lesiones del tipo longitudinal, reinsertables a nuestro criterio.
Se utilizaron para la reinserción, arpones biodegradables con sutura simple de alta resistencia. Se colocaron entre uno y tres arpones según la extensión de la lesión.
No se usaron nudos corredizos, debida a la profundidad en la localización de la cadera, y el pasaje de la sutura se hizo por la base de la lesión (Fig. 11 y 12).28,29
Todos los pacientes tuvieron 1 día de internación post cirugía, con 15 días de uso de muletas restringiendo la flexión a menos de 90 grados y la rotación interna. Se retiran los puntos a las 2 semanas, comenzando el trabajo asistido con kinesiología consistente en ejercicios de cadena cerrada, combinados con magnetoterapia, fundamentalmente, y aumento progresivo de la intensidad de los ejercicios según evolución.

Figura 11: Pasaje de la sutura por la base de la lesión./ Figura 12: Reparación estable del labrum.
Evaluación
Se evaluaron los veinte pacientes con el score de Harris modificado por Byrd30 para artroscopía de cadera, que evalúa dolor con un máximo de 44 puntos en pacientes sin este síntoma, a 0 en aquellos permanentemente incapacitados por su afección. Evalúa también la función con un máximo de 47 puntos en pacientes con la misma completa y normal, a 0 en aquellos con el peor resultado. Dentro del ítem Función existen sub ítems que evalúan: claudicación,el uso de muletas o bastón, distancia ambulada, escaleras, la dificultad para ponerse zapatos o medias, los tiempos y el tipo de silla en el que permanece sentado y el uso o no de transporte público (Tabla1).
Los resultados se multiplican por un factor de corrección de 1,1 que permite un máximo de 100, clasificándose los resultados según el esquema original de Harris en:
-
Excelente: entre 90 y 100 puntos.
-
Bueno: entre 80 y 90 puntos.
-
Regular: entre 70 y 80 puntos.
-
Malo: menor de 70.


RESULTADOS
Los resultados correspondientes al grupo A, tratados mediante labrectomía parcial y remodelación, fueron de: 2 pacientes con resultado excelente (90-100), 4 con puntaje bueno (80-90), 2 con puntaje regular (70-80), y es en este grupo se vieron 2 pacientes con malos resultados (<70).
A su vez los resultados del grupo B tratado con reinserción labral mediante arpones fueron de: 3 pacientes con puntaje excelentes (score 90-100), 5 con puntaje buenos (score 80-90) y 2 con puntajes regulares (score 70-80).
En cuanto a complicaciones, tuvimos dos pacientes con dolor perineal y dos pacientes con dolor en el dorso del pie traccionado. Estos cuadros cedieron espontáneamente.Las cuatro complicaciones se registraron en el grupo B de reinserción labral, probablemente creemos, relacionado al mayor tiempo de exposición quirúrgica.
En uno de los pacientes con resultado malo se vio una deformidad del acetábulo poco característica en su unión labral la cual se decidió no tocar por parecer la misma no adquirida, realizándose solo la remodelación del rodete,permaneciendo el paciente con dolor a la movilidad y el apoyo.
DISCUSIÓN
La llegada de la cirugía artroscópica implementada a la cadera está tomando cada vez más fuerza en nuestro medio. No quedan dudas de que además de las clásicas indicaciones, hoy las llamadas lesiones pre-artrósicas, como las que ocurren a nivel del labrum, pueden ser solucionadas por esta vía, aunque se requiera de un importante entrenamiento, lo cual lleva una larga curva de aprendizaje; y es preferible, aunque no excluyente, que el cirujano tenga formación artroscópica previa en articulaciones más amplias como el hombro o la rodilla. Esto sin dudas traerá aparejado mejorar tiempos quirúrgicos y progresar en las etapas de entrenamiento.
Dentro de las personas factibles de ser tratadas por esta técnica, nos encontramos en general con adultos jóvenes con historia de actividad deportiva en su mayoría, como los pacientes registrados en este trabajo a los que se les realizó una artroscopía de cadera por lesión del labrum puro. Consideramos que al no existir en estos casos patologías asociadas se trata de lesiones traumáticas o micro traumatismos repetidos.
Cabe destacar que la clínica y los estudios por imágenes fueron muy importantes para arribar al diagnóstico, siendo la artroresonancia el estudio complementario más importante para el diagnóstico de la lesión labral con una sensibilidad y exactitud que varía del 92% al 100% y del 93% al 96%, respectivamente.22,23
Aquellos pacientes en los que la RM está contraindicada se puede usar la artro TAC, la cual presenta una sensibilidad para lesiones del labrum del 92,3% con especificidad del 100% y certeza del 95,2% en series de Yamamoto y cols.24
En este estudio de veinte pacientes divididos en los dos grupos ya mencionados, no encontramos marcadas diferencias en cuanto a resultados obtenidos, aunque estos parámetros pueden ir cambiando con el paso del tiempo y por otros factores como la depuración de la técnica quirúrgica y las características de curación de cada paciente,lo que nos obliga a nuevas evaluaciones a plazos más alejados, por lo que es un punto débil de este trabajo la escasa casuística y el poco seguimiento.
Coincidimos con trabajos como el de Burnett que afirma que estos pacientes consultan un promedio de 3,3 médicos y conllevan sus síntomas un promedio de veintiún meses hasta arribar al diagnóstico.31
Numerosos autores describieron resultados más que alentadores en cuanto al debridamiento labral. Kelly relata buenos resultados en 90 % de sus pacientes, Farjo y cols.hacen lo mismo en número del 75 % y T. Byrd reporta un 82% de buenos resultados con 10 años de seguimiento.32,33
En contra partida a esto no se dispone de datos de seguimiento a largo plazo, en cuanto a preferencias sobre reparación/re fijación vs. debridamiento del labrum.6
Al igual que en la patología meniscal de la rodilla debemos tender a respetar y preservar el labrum que tiene funciones muy específicas en la cadera, lo que sin duda retrasará o eliminará patologías degenerativas futuras en estos pacientes.
CONCLUSIÓN
Esta evaluación de pacientes con patología labral, nos muestra la importancia de un diagnóstico preciso ya que en su mayoría se trata de pacientes jóvenes con larga expectativa de vida y por ende de intensa actividad, que en la mayoría de los casos no son tratados inmediatamente.La correcta resolución de los problemas del labrum sin duda retrasa la llegada de enfermedades degenerativas en la cadera, siendo los resultados muy buenos. Es ahí donde toma real magnitud e importancia la artroscopía de cadera como método terapéutico mínimamente invasivo, lo cual redundará, en menores complicaciones para los pacientes.No debemos obstinarnos con métodos antiguos y debemos buscar el progreso en esta técnica quirúrgica que aunque por cierto difícil, nos ayuda a un mejor entendimiento de las lesiones labrales, lo que nos permitirá decidir cuál es el camino más acertado a tomar.
BIBLIOGRAFÍA
- Byrd T. Operative Hip Arthroscopy. Second Edition; 2004.
- Byrd JWT. Diagnostic and operative arthroscopy of the hip.In: Andrews J,Timmerman L, eds.
- Diagnostic and operative arthroscopy. Philadelphia, WB Saunders,1997;209-224.
- Zancolli E. A., Munafo-Dauccia R. M. Artroscopía de cadera: Técnica en decúbito dorsal con tracción. Principales indicaciones. Rev.Asoc. Arg. Ortop.Traumatol. 2003;68(4):312-28.
- Byrd JWT. Indications and contraindications. In: Byrd JWT,ed. Operative hip arthroscopy. New York: Thieme, 1998;7-24.
- Paul E. Beaulé, MD, FRCSC J Bone Joint Surg Am. 2009:701-710.
- Seldes RM, Tan V, Hunt J, Katz M, Winiarsky R, Fitzgerald RH Jr.Anatomy, histologic features and vascularity of the adult acetabularlabrum. Clin Orthop Relat Res. 2001;382:232-40.
- Petersen W, Petersen F, Tillmann B. Structure and vascularization of the acetabular labrum with regard to the pathogenesis and healing oflabral lesions. Arch Orthop Trauma Surg. 2003;123:283-8.
- Ferguson SJ, Bryant JT, Ganz R, Ito K. The acetabularlabrum seal: aproelastic finite element model.Clin Biomech (Bristol, Avon). 2000;15(6):463-8.
- Kim YT, Azuma H, The nerve endings of the acetabularlabrum.CORR. 1995(320):176-81.
- Ferguson S. J., Bryant J. T., Ganz R., Ito K. The influence of the acetabularlabrum on hip joint cartilage consolidation: a poroelastic finiteelement model. J Biomech. 2000;33(8):953-60.
- Kelly B, Weiland D, Schenker M, Philippon M. Arthroscopic labralrepair in the hip: surgical technique and review of the literature. J Arthroscopy 2005; 21(12): 1496-504.
- Ganz R, Parvizi J, Leunig M. Femoro-acetabular impingement: animportant cause of early osteoarthritis of the hip. Clin Orthop RelatRes 2003; 417: 112-20.
- Fitzgerald RH Jr. Acetabular labrum tears. Diagnosis and treatment.Clin Orthop Relat Res. 1995;311:60-8.
- Lage LA, Patel JV, Villar RN. The acetabular labral tear: an arthroscopic classification. Arthroscopy. 1996;12:269-72.
- Santori N, Villar RN. Acetabular labral tears: result of arthroscopicpartial limbectomy. Arthroscopy. 2000;16:11-5.
- Farjo LA, Glick JM, Sampson TG. Hip arthroscopy for acetabularlabral tears. Arthroscopy. 1999;15:132-7.
- Lage L, Patel J, Villar R. The acetabular labral tear; An Arthroscopyclassification.The Journal of Arthroscopic and Related Surgery. 1996; Vol 12: 269-72.
- Byrd T. Operative Hip Arthroscopy. Second Edition;2004.
- McCarthy JC, Lee JA. Hip Arthroscopy: indications,outcomes andComplications. Instr courselect. 2006; 55:301-8.
- Kubiak-Langer M, Tannast M, Murphy S, Siebenrock KA, LanglotzF.Range of motion in anterior femoroacetabular impingement.ClinOrthop Relat Res 2007; 458: 117-29.
- Chan YS, Lien LC, Hsu HL, Wan YL, Lee MS, Hsu KY, Shih CH. Evaluating hip labral tears using magnetic resonance arthrography: aprospective study comparing hip arthroscopy and magnetic resonancearthrography diagnosis. Arthroscopy. 2005;21:1250.
- Freedman BA, Potter BK, Dinauer PA, Giuliani JR, Kuklo TR, Murphy KP. Prognostic value of magnetic resonance arthrography for Czerny stage II and III acetabularlabral tears. Arthroscopy.2006;22:742-7.
- Yamamoto Y, Tonotsuka H, Ueda T, Hamada Y. Usefulness of radial contrast-enhanced computed tomography for the diagnosis of ace-tabular labrum injury. J Arthroscopy 2007; 23(12): 1290-4.
- Byrd J. W. Portal Anatomy. In: Byrd T, ed. Operative Hip Arthroscopy. New York, NY. 2005, Springer, 2005:110-116.
- Kelly BT, Weiland DE, Schenker ML, Philippon MJ. Arthroscopiclabral repair in the hip: Surgical technique and reviewof the literature. Arthroscopy 2005;21:1496-1504.
- McCarthy JC, Noble PC, Schuck MR, Wright J, Lee J. The watershed labral lesion: its relationship to early arthritis of the hip. J Arthroplasty. 2001;16(8 Suppl1):81-7.
- Kelly BT, Weiland DE, Schenker ML, Philippon MJ. Arthroscopiclabral repair in the hip: Surgical technique and reviewof the literature. Arthroscopy 2005;21:1496-1504.
- Larson CM, Guanche CA, Kelly BT, Clohisy JC, Ranawat AS.Advanced techniques in hip arthroscopy. Instr Course Lect 2009;58:423-436.
- Byrd JW, Jones KS. Prospective analysis of hip arthroscopy with2-year follow-up. Arthroscopy. 2000;16:578-87.
- Burnett RS, Della Rocca GJ, Prather H, Curry M, Maloney WJ, Clohisy JC. Clinical presentation of patients with tears of the acetabularlabrum. J Bone Joint Surg Am. 2006;88:1448-57.
- Farjo LA, Glick JM, Sampson TG. Hip arthroscopyfor acetabularlabral tears. Arthroscopy.1999;15:132-7.
- Byrd T, Jones K. Hip arthroscopy and labral pathology: Prospectiveanalysis with 10-year follow-up. Arthroscopy 2009;25:365-368.
