![]()
ARTROSCOPIA | VOL. 19, Nº 1 : 28-36 | 2012
Defecto Óseo Humeral
Dr. Felipe Toro, Dr. Ignacio Villalón, Dr. Claudio Moraga, Dr. Francisco Ruiz y Dr. René Pozo
RESUMEN
Diferentes factores influyen en la recidiva de luxación glenohumeral. La presencia de defectos de Hill-Sachs es frecuente tras episodios de luxaciones traumáticas de hombro. Este tipo de lesiones por si solas influyen de manera directa sobre la recidiva postoperatoria. Es por esto que técnicas habituales, como lo es la reparación capsulolabral en su forma abierta o artroscópica, son insuficientes como tratamiento definitivo. Se han descrito diferentes técnicas, algunas no anatómicas y otras que son consideradas totalmente anatómicas, con el objetivo de disminuir la tasa de recidiva. El objetivo de este estudio es describir las diferentes alternativas en técnicas quirúrgicas para el tratamiento de la luxación glenohumeral asociada a la presencia de un defecto óseo humeral, e intenta brindar un esquema terapéutico ante los diferentes escenarios que involucren esta patología.
ABSTRACT
Different factors may influence the shoulder recurrent instability. The Hill-Sachs lesion is a common finding after
traumatic anterior shoulder instability. This type of defect may affect directly the result after surgical repair, with a higher recurence rate. It is for that reason, that common procedures, for example arthroscopic or open capsulolabral repair, as a unique procedure, are not recomended. Different techniques have been developed with de aim to reduce recurrent instability, some of them are anatomic and others considered not anatomical.
The objective of this study is to describe the different techniques for the treatment of shoulder instability surgery associated to a humeral bone loss (Hill-Sachs defect) and tries to provide a therapeutic approach.
INTRODUCCIÓN
La luxación glenohumeral afecta principalmente a población joven, deportivamente activa y habitualmente es secundaria a un evento traumático.1 La inestabilidad anterior es la presentación más frecuente, representando alrededor del 95% de los casos.2 La recurrencia luego del primer episodio corresponde a la principal complicación y se reporta incluso sobre un 90%.2,3 Los factores que influencian esto son la edad (menor a 25 años), defecto articular traumático (lesiones de Hill-Sachs, lesiones de Bankart, lesiones capsulares y fracturas glenoideas) y el tipo de actividad deportiva practicada.1
La fractura compresiva en la región posterolateral de la cabeza humeral (lesiones de Hill-Sachs) puede ocurrir entre un 65% a un 71% de pacientes, luego del primer even-to traumático de luxación y este valor puede incrementarse sobre un 90% en luxaciones recurrentes.6,7 La presencia del defecto de Hill-Sachs es considerado uno de los principales factores que influyen en la recidiva de la inestabilidad glenohumeral, influyendo tanto el largo como la profundidad de la lesión.4,5,8,9
Rowe et al.10 en 1973, clasificaron los defectos de Hill-Sachs en 3 tipos dependiendo del tamaño, siendo leves (2 cm longitud x 0,3 cm de profundidad), moderadamente severo (4 cm x 0,5 cm) y severo (4 cm x 1 cm de profundidad o mayor). El autor describió la influencia del tamaño del defecto y el resultado posterior al tratamiento quirúrgico, con una recidiva de 0% en presencia de lesión de Hill-Sachs leve, 7,7% en moderada severa y 6% en severa.10
Boileau et al.8 describen un 84% de presencia de defecto de Hill-Sachs en pacientes con inestabilidad recurrente, definiéndolas como pequeñas o grandes y asocia la lesión en forma directa con la recidiva.
Hardy et al.11 midieron la profundidad y volumen de la lesión de Hill-Sachs y plantean que una reparación artroscópica no debería realizarse en situaciones en que la profundidad de la lesión sea mayor a un 16% del diámetro de la cabeza humeral o cuyo volumen supere los 1000 mm3.
Burkhart y De Beer en 194 cirugías de Bankart consecutivas, reportan que un defecto de Hill-Sachs significativo enganchante en reborde glenoideo anterior en maniobra de abducción y rotación externa, es el principal factor de recurrencia postoperatoria, llegando incluso hasta un 100% en pacientes con defecto humeral y glenoideo.4 Se incorpora el concepto de lesión enganchante o no enganchante como factor determinante en la posibilidad de recidiva. Esta alteración (defecto enganchante) es evaluable en forma dinámica durante la artroscopia y también con fluoroscopía preoperatoria.12
Itoi et al.,13 describen la relación entre el defecto humeral de Hill-Sachs y la superficie glenoidea, la que expresan con el concepto de “glenoid track”. Se basa en la medición dinámica de la zona de contacto de la glenoides y la cabeza humeral en abducción y rotación externa. Se calcula en base al ancho de la glenoides, correspondiendo a la zona de contacto (glenoid track) al 84% de ésta. Si la medida del defecto de Hill-Sachs (tomada desde la inserción del manguito rotador), es superior al 84% del ancho glenoideo, entonces el paciente esta en riesgo de sufrir un enganche del Hil-Sachs sobre el reborde anterior de la glenoides. Corresponde a una forma simple de evaluar la posibilidad de enganche de cabeza humeral. La presencia de un defeco glenoideo asociado (lesión bipolar), facilita entonces el enganche del Hill-Sachs. Lo anterior concuerda con Burkhart en que la presencia de una lesión combinada reduce el arco de superficie glenohumeral en forma significativa.12
Para la mayoría de los autores el tratamiento de elección frente a una lesión de Bankart, sin lesión ósea significativa, es la reparación capsulolabral, ya sea en forma abierta o artroscópica. Presenta escasas complicaciones, siendo la recidiva de inestabilidad la más importante con una presentación aproximada de un 10% a 5 años.4,5,14 Por otra parte, existe acuerdo en que en presencia de un defecto enganchante o asociado a un defecto óseo glenoideo, la reparación capsulolabral como procedimiento único, sería insuficiente.
Boileau y otros autores han estudiado los factores asociados a la recidiva posterior a una reparación de Bankart aislada, describiendo el instability severity index score (ISIS), en el cual describen 5 factores asociados que aumentan la posibilidad de recidiva post reparación de Bankart. Entre ellos, el defecto óseo humeral y/o glenoideo es uno de los principales.15
Por lo anteriormente mencionado, ante la presencia de un defecto de Hill-Sachs significativo, se debe asociar otro procedimiento, siendo aquí donde aparecen como alternativas el remplissage, la cirugía de Bristow o de Latarjet o el uso de injertos libre, todas orientadas a evitar el enganche del defecto humeral sobre el reborde anterior de la glenoides.
HISTORIA CLÍNICA Y EXAMEN FÍSICO
La historia clínica habitual de pacientes con inestabilidad glenohumeral anterior traumática se inicia posterior a un mecanismo indirecto de abducción y rotación externa violento del hombro. Con una inestabilidad traumática se puede presentar en forma asociada fractura de glenoides, de cabeza de húmero o ambas. La presencia de luxaciones recurrentes es mayor ante presencia de defectos óseos.8,9
Es importante obtener información como mecanismo de la luxación, historia de convulsiones y otros factores que predispongan nuevos episodios de luxación.
Al examen físico resulta importante evidenciar la presencia de aprehensión, la cual se suele manifestar al llevar el hombro en abducción y rotación externa. La posición del brazo orienta hacia el lugar del defecto, si la aprehensión es mayor en abducción sobre 90 grados, significa que la lesión está ubicada en la porción inferior de la glenoides y que el defecto humeral está ubicado en una posición superior.
Evaluar la fuerza del deltoides y manguito rotador es crucial con el fin de establecer presencia de lesión del nervio axilar y lesión del manguito rotador asociada.
Una adecuada cavidad glenoidea puede ser evaluada al examen físico mediante el test de “load and swift”, en el cual se aplica una fuerza a la cabeza humeral comprimiéndola hacia el centro de la glenoideas. Luego, otra fuerza se aplica a la cabeza humeral realizando movimientos de traslación hacia anterior y posterior. Un defecto glenoideo antero inferior presenta una menor resistencia a la traslación antero inferior. Las limitaciones de esta prueba suelen ser la aprehensión y dolor.
La laxitud del complejo ligamentoso inferior puede ser evaluada con el test de Gagey,16 en el cual se observa una abducción mayor al mantener el examinador presión sobre la escápula.
IMÁGENES
Todo estudio imagenológico de paciente con historia de inestabilidad traumática recurrente de hombro, debe iniciarse con radiografías simples en proyecciones anteroposterior, axilar y axial de escápula. En éstas, se evidencia la relación de la cabeza humeral con la glenoides y la presencia de lesiones óseas. También se puede apreciar fracturas de las tuberosidades, el espacio articular, presencia de osteofitos y ascenso de la cabeza humeral en contexto de lesión del manguito rotador. Con el fin de evaluar la presencia, tamaño y orientación del defecto de Hill-Sachs, se puede realizar la proyección de Stryker, la cual se obtiene posicionando la mano en la cabeza del paciente con los dedos en la región posterior craneocervical y el rayo con una inclinación de 10 grados a cefálico. La radiografía en proyección AP, en rotación interna, es también de gran utilidad para evaluar el defecto de Hill Sachs. La proyección de Bernageau17 resulta óptima para visualizar el defecto glenoideo anterior.
Sin embargo, la interpretación y exactitud en la evaluación del defecto óseo suele ser dificultoso, por lo cual la tomografía axial computada (TAC) se realiza ante cualquier sospecha de lesión ósea. Permite diagnosticar con certeza el defecto de Hill-Sachs, su tamaño y orientación. Al utilizarse con contraste, puede ser el estudio único para evaluación precisa del defecto óseo y para estudiar el defecto labral.
La resonancia magnética (RM) por su parte, permite evaluar ligamentos, tendones del manguito rotador y la lesión de Hill-Sachs, lo cual es de suma importancia a la hora de decidir el adecuado tratamiento (Fig. 1).
Figura 1: A: Radiografía en proyección AP con rotación interna. Se observa defecto Hill Sach. B: TAC de hombro, efecto posterolateral de la cabeza humeral .
ALTERNATIVAS DE TRATAMIENTO
El tratamiento quirúrgico está indicado para aquellos pacientes con inestabilidad de hombro recurrente que no respondan a tratamiento conservador, o en pacientes que presentan recidiva posterior a una cirugía de inestabilidad. De acuerdo a la literatura el tratamiento quirúrgico considerado como estándar de oro es la reparación abierta, con un alto grado de satisfacción funcional, y un bajo porcentaje de complicaciones.14 Trabajos que comparan la cirugía abierta con la técnica artroscópica han mostrado un menor porcentaje de recidiva en la primera. La comparación debiera ser realizada en relación a la descripción del procedimiento quirúrgico realizado más que el abordaje empleado. Al comparar procedimientos similares (reparación capsulolabral artroscópica versus abierta) varios autores no han mostrado diferencias significativas.19,20
Figura 2: Reparación capsulolabral artroscópica en luxación anterior traumática.
Tres suturas de anclaje en reborde glenoideo anterior. Ancla inferior doble cargada.
La reparación de Bankart o capsulolabral, ya sea abierta o artroscópica, presenta buenos resultados cuando no existen alteraciones óseas tanto en glenoides o de Hill-Sachs. La literatura reporta elevada tasa de recidiva al existir lesiones óseas asociadas.12,17,19,20 Se describe un porcentaje variable de recidiva en la literatura, con trabajos que describen un 2% y otros que presentan sobre un 40%.12,14 Stranhovnik et al.21 describen un 12% de recidiva en Bankart abierto a 9 años de seguimiento. Lo anterior se puede explicar por la falta de uniformidad en la selección de pacientes a evaluar (Fig. 2).
INESTABILIDAD Y DEFECTO ÓSEO HUMERAL ALTERNATIVAS DE TRATAMIENTO
Con el objetivo de evitar el “enganche” o recuperar el arco de superficie disminuido en un defecto de Hill-Sachs, se han descrito diferentes técnicas, algunas no anatómicas y otras consideradas totalmente anatómicas.
Técnicas no anatómicas
El objetivo es evitar el enganche del defecto sobre el reborde glenoideo anterior produciendo una alteración anatómica o funcional secundaria.
1. Osteotomía desrotadora
Descrita originalmente por Weber,22 consiste en realizar una osteotomía proximal del húmero, aumentando la retroversión de la cabeza humeral. De esta manera se evita el contacto del defecto posterolateral de la cabeza humeral sobre la glenoides anterior. Implica el uso de una placa de fijación y si bien se ha reportado una tasa de recidiva cercana al 5%, produce una limitación de la rotación externa y una sobrecarga glenoidea posterior con posibles consecuencias a largo plazo. Se describen complicaciones como la no unión y necesidad de retiro de material de osteosíntesis.
2. Capsulorafia anterior
Técnica que se basa en la limitación de la rotación externa a través de una plicatura capsular anterior exagerada. Si bien es una técnica posible de realizar por vía artroscópica, por definición su resultado se basa en la limitación funcional obtenida, lo que la deja como una alternativa poco recomendada especialmente en el grupo de deportistas. La limitación de la rotación externa, como objetivo de tratamiento, no la hace recomendable como tratamiento quirúrgico.
Técnicas para aumentar el arco de superficie
Corresponde a técnicas quirúrgicas que buscan principalmente aumentar el arco de superficie glenoideo, evitando de esa forma el enganche del defecto humeral sobre el reborde glenoideo anterior. Algunas de ellas presentan efectos asociados como un reforzamiento dinámico anterior en abducción y rotación externa.
1.Injertos óseos
La utilización de autoinjertos óseos en glenoides anterior fue descrita por Eden en 191823 y luego por Hybbinette24 en 1932. Este procedimiento fue inicialmente realizado con el uso de injerto posicionándolo en el déficit óseo glenoideo y separado del labrum. En la actualidad, lo más utilizado es el uso de injerto de cresta ilíaca situado a nivel subperióstico y fijado con tornillos de 3,5 mm. Churchill et al.25 en un grupo de 21 pacientes, con un seguimiento de 8 a 64 meses, reportaron un 95% de buenos resultados. Ningún paciente presentó episodios de inestabilidad recurrente. Warner et al.26 presentaron resultados similares en 11 pacientes con un seguimiento mínimo de 2 años, a los que se les aportó autoinjerto de cresta ilíaca tricortical. No presentaron complicaciones y se registró al final del seguimiento una pérdida de rotación externa de 14 grados. Rahme et al .27 en un grupo de 77 pacientes operados con un seguimiento promedio de 29 años, presentaron un 83% de resultados buenos y excelentes basados en el score de Rowe, sin embargo, un 20% de los pacientes presentaron inestabilidad recurrente, de los cuales un 8% requirió una nueva cirugía. La mayoría de los pacientes reportó pérdida de rotación externa. Un total de un 47% de los pacientes presentó artrosis glenohumeral, sin embargo, no se logró concluir la naturaleza de esta.
2.Latarjet
En presencia de lesiones óseas significativas en glenoides y/o húmero proximal, se realiza una transferencia de coracoides con el tendón conjunto e inserción de 10 mm del ligamento coracoacromial hacia el reborde glenoideo anteroinferior. El objetivo es incrementar la estabilidad en posición de abducción y rotación externa a través de un triple efecto: aumentar la superficie ósea glenoidea, efecto estabilizador dinámico del tendón conjunto sobre la porción inferior del tendón subescapular y ligamento glenohumeral inferior y el reforzamiento capsular con la sutura del ligamento coracoacromial mantenido en la coracoides. Está técnica quirúrgica consiste en una osteotomía del extremo distal de la coracoides justo distal a la inserción de los ligamentos coracoclaviculares y “trasplantar” esta estructura con el tendón conjunto hacia el reborde glenoideo anteroinferior fijándola con 2 tornillos. Se realiza un adecuado acceso hacia el reborde glenoideo con una incisión horizontal (desinserción) o vertical (split) del tendón subescapular.28 En la técnica descrita por Walch,29 el autor no reinserta la cápsula al reborde glenoideo anterior, suturando ésta al ligamento coracoacromial trasplantado con la coracoides. De ésta manera el injerto queda en posición intra articular. Reporta un 1% de reluxación, con un 22% de aprehensión en actividades deportivas y una limitación moderada de rotación en el 38% de los casos. Un total de 81% de pacientes se encontraron muy satisfechos y 17% satisfechos tras la cirugía.
Otros autores como Burkhart, recomiendan la reinserción de la capsula al reborde anterior de la glenoides con suturas de anclaje y realizan un reforzamiento de la cápsula con el ligamento coracoacromial trasplantado. Burkhart et al .30 en un seguimiento realizado a 102 pacientes con defecto óseo significativo, tratados con técnica de Latarjet en un período de 6 años, describen un 5% de inestabilidad glenohumeral residual y un 4% de episodios de luxaciones recurrentes. Un total de 47 pacientes estuvieron disponibles al seguimiento de 6 años, de estos, en promedio se produjo una pérdida de 5 grados de rotación externa comparándola con la preoperatoria. Los puntajes funcionales fueron excelentes y la recurrencia de inestabilidad fue menor, comparándola con pacientes con lesiones similares tratados con técnica de Bankart artroscópico (5% versus 67% de recurrencia). Allain et al .31 revisaron 56 pacientes (58 hombros) opera-dos de inestabilidad glenohumeral con técnica de Latarjet con un período de 14,3 años de seguimiento, focalizándose en la presencia de artrosis y factores que influirían en su desarrollo. Utilizando el score funcional de Rowe, un 88% presentaron resultados buenos y excelentes. Ningún paciente presentó luxación recurrente, sin embargo, un 12% refirió síntomas de inestabilidad residual. La pérdida de rotación externa fue en promedio de 21 grados comparándola con el lado contralateral y un 62% presentó artrosis glenohumeral al final del seguimiento. Posicionar el injerto de coracoides demasiado lateral y la presencia de reparación de manguito rotador previa, fueron factores que influyeron en el desarrollo de artrosis glenohumeral. Otras complicaciones como la no unión o la fractura de la coracoides son reportadas infrecuenemente.29 Ladermann describe la relación de la punta del tornillo con la salida del supraescapular, recomendando una inclinación de los tornillos no mayor a 10 grados en relación a la glenoides .
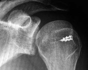
Figura 3: Radiografía de Hombro posterior a Cirugía de Latarjet. A: Radiografía anteroposterior, B: radiografía axial de escápula. Se observan 2 tornillos maleolares.
Lafosse et al.33 plantean realizar este procedimiento en forma completa vía artroscópica, no presentando mayores complicaciones, obteniéndose resultados buenos y excelentes con un seguimiento a corto y mediano plazo (Fig. 3 y 4).
3. Bristow
Descrita por Helfet34 en 1958, se basa en la transferencia del extremo distal de la coracoides distal a la inserción del músculo pectoral menor con el tendón conjunto hacia la porción anterioinferior de la glenoides.
Yamashita et al.35 revisaron 126 pacientes con inestabilidad glenohumeral anterionferior, a los que se les realizó procedimiento de Bankart y Bristow. Reportaron 90% de buenos y excelentes resultados con 2 pacientes que presentaron recidiva. Reportan una pérdida de rotación externa que fue en promedio 13 grados. Hovelius et al .36 reportan resultados a largo plazo del procedimiento de Bristow; un total de 98% de los pacientes reportan satisfacción y un 13,6% episodios de inestabilidad recurrente.
Boileau et al .37 en una serie consecutiva de 47 pacientes con defecto óseo significativo, fueron sometidos a una operación de Bristow-Latarjet en forma artroscópica. De éstos, un 12% se tuvo que convertir a cirugía abierta. El seguimiento promedio fue de 16 meses. No describen recidiva. Presentaron un score de Rowe de 88 puntos y de Walch-
Duplay de 87,6 puntos. El injerto óseo se posicionó subecuatorial en un 98% de los casos y lateral en un 2%. Concluyen que es un procedimiento sencillo y sin mayores complicaciones.
Técnicas sobre el defecto Hill-Sach
Corresponde a técnicas quirúrgicas que buscan principalmente evitar el enganche, ya sea a través de un recubrimiento con partes blandas o con la restitución con injerto óseo. Esta última corresponde a una técnica completamente anatómica.
1. Remplissage
El remplissage corresponde a un procedimiento descrito para las lesiones de Hill-Sachs significativas, en el cual, el defecto humeral es rellenado mediante tenodesis del infraespinoso y capsulodesis posterior.38 Descrito inicialmente por Connolly39 en 1972, quien describe la cirugía con técnica abierta, sin reparación asociada del defecto de Bankart. Con esta técnica se logra rellenar el defecto con partes blandas, evitando así el enganche.38 Sigue el principio de avance del subescapular descrito por McLaughlin en el tratamiento de la inestabilidad posterior con Hill Sach reverso.40 El au-tor describe una recidiva cercana al 7% y menciona no encontrar limitación de la rotación.
Posteriormente, Purchase y Wolff38 describen la técnica por vía artroscópica con ventajas asociadas y la inclusión de la reparación de Bankart estándar. También describen la escasa repercusión funcional encontrada. La cirugía es posible de realizar sólo con visión articular artroscópica .39,41
De acuerdo a la literatura estaría indicado sobre todo en pacientes que no presentan defectos glenoideos significativos asociados (defecto unipolar). Ofrece la ventaja que se puede realizar en forma artroscópica y por lo tanto se puede realizar la reparación de Bankart u otras lesiones articulares encontradas en el mismo procedimiento.38,41,42
Se plantea que el efecto de la tenodesis del tendón infraespinoso y de la capsulodesis posterior, actuaría como un bloque mecánico a la rotación externa y la limitación del rango de movilidad sería una complicación esperable tras la realización de este procedimiento quirúrgico. Sin embargo, existen pocos reportes en la literatura que evalúen del resultado funcional posterior a la reparación de Bankart asociado a remplissage. Deutsch et al.43 muestran una pérdida significativa y progresiva de la rotación externa tras haber realizado un remplissage. Purchase et al.38 no muestran complicaciones ni pérdidas significativas en el rango de movilidad articular. Boileau et al.44 describen un alto porcentaje de cicatrización de la tenodesis y capsulodesis al estudiar con artro -TAC a 29 pacientes operados. Al menos un 75% de ellos tiene cicatrización completa. Tampoco describen compromiso del resultado funcional.
Park et al.45 reportan buenos resultados funcionales tras la realización de reparación de Bankart asociado a remplissage, en 20 pacientes, con un promedio de seguimiento de 29,2 meses, presentando una recidiva de 15% tras la realización de este procedimiento. Purchase et al.38 también muestran resultados funcionales similares tras la realización de este procedimiento. Existen escasas referencias respecto del resultado en términos de recidiva de inestabilidad con la técnica de remplissage. En la serie del autor al comparar el resultado del tratamiento en dos grupos de pacientes deportistas de contacto con lesión de Bankart y defecto de Hill Sachs, encuentra una significativa disminución de la recidiva en el grupo con remplissage. Sin embargo, es necesario esperar nuevas publicaciones que describan finalmente el efecto del remplissage sobre la recidiva de inestabilidad a largo plazo (Fig. 5 A-B, 6 y 7).
2. Aloinjerto óseo humeral
Indicado ante la presencia de defectos masivos de la cabeza humeral, corresponde a una técnica anatómica, en la cual se recupera el arco de superficie humeral. Existen pocos reportes en la literatura, destacando la experiencia de Miniaci et al.46 quienes publican 21 casos.
Requiere de un abordaje anterior amplio y desinserción del tendón subescapular, lo que para algunos representa una desventaja. Se describe un porcentaje de no consolidación, reabsorción y revisión por problema de material de osteosíntesis. Está descrito como una alternativa para defectos de gran tamaño, en pacientes jóvenes no candidatos a remplazo protésico.
Brañes,47 describe el uso injerto autólogo para recuperar la esfericidad de la cabeza humeral, técnica que realizó en forma abierta a través de un abordaje posterior directo. Reportó buenos resultados, con baja tasa de recidiva.
Figura 4: Cirugía de Latarjet, se observa la fijación con 2 tornillos de la coracoides y el remanente de ligamento CA preparado para reforzamiento capsular. Se observa sutura de anclaje en reborde glenoideo).
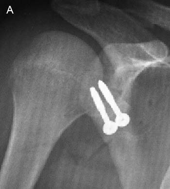
Figura 5: A: Esquema de cirugía de remplissage, fijación capsula posterior e infraespinoso en defecto de Hill Sach. B: Visión artroscópica desde el portal anterosuperior, se observa cobertura del defecto posterior a remplissage.
Figura 6: Visión artroscópica desde el portal anterosuperior, se observa, defecto de Hill-Sach y la colocación de primera sutura de anclaje en el defecto.
Con el mismo concepto, Uribe et al.48 describen el uso de prótesis de superficie parcial para cubrir el defecto de Hill Sach y recuperar el arco de superficie. No hay nuevos trabajos que reporten resultados a largo plazo.
3. Desinpactación trans-ósea del defecto
Existe escasa experiencia de esta técnica reportada en la literatura, correspondiendo una de ellas a una nota técnica en cadáveres49 y a otra con pacientes en sólo 4 casos.50 Consiste en la desimpactación a través de un túnel óseo del defecto de Hill-Sachs y posterior relleno con injerto óseo. En am-bas publicaciones se logra disminuir en forma significativa el volumen del defecto óseo.
En la experiencia del autor, se ha realizado el procedimiento sólo en casos de luxación posterior y defecto de Hill-Sachs reverso, con excelente resultado imagenológico y funcional (Fig. 8).
TÉCNICA PREFERIDA POR EL AUTOR: “LECCIONES APRENDIDAS”
Estudios biomecánicos, desarrollo de las imágenes y técnicas quirúrgicas, pero principalmente la experiencia clínica en el seguimiento a largo plazo, han permitido comprender mejor y diferenciar grupos de pacientes que son sometidos a tratamiento quirúrgico.
En la experiencia del autor, el enfoque de tratamiento era inicialmente identificar a los pacientes con inestabilidad anterior recidivante sintomática y manejarlos con una cirugía abierta de Bankart. Durante ese período no se clasificó a los pacientes respecto a la presencia de lesiones asociadas, enfocándose a incluir pacientes con inestabilidad anterior de origen traumático.
Los resultados obtenidos fueron satisfactorios, con una baja incidencia de complicaciones, una recuperación funcional muy satisfactoria, medida en pérdida de rotación externa de 10 grados y retorno deportivo “satisfactorio”. Se presentó la experiencia con un seguimiento a 3 años encontrándose un 8% de recidiva global.
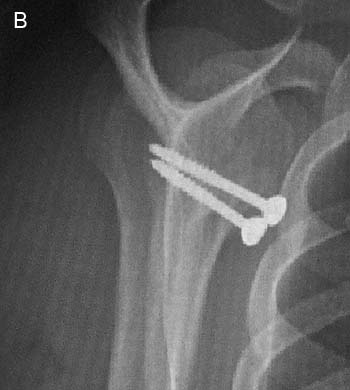
Figura 7: Radiografía anteroposterior de Hombro, se observa sutura de anclaje en defecto de Hill-Sach.
Figura 8: Radiografia anteroposterior, se observa alo injerto humeral fijado con 2 tornillos.
Sin embargo, el seguimiento a mayor plazo, nos mostró un aumento en la recidiva a porcentajes cercanos al 15%.
Al revisar las causas de recidiva, se identificó la presencia del defeco óseo y la práctica de deporte de colisión, encontrando una diferencia en la recidiva altamente significativa. El grupo con lesión de Bankart, deportistas de contacto y con lesión de Hall-Sachs mostró una recidiva sobre el 50%.51
En la década del 2000, el desarrollo de la cirugía artroscópica nos permitió realizar la cirugía de Bankart con técnica artroscópica, con resultados funcionales muy satisfactorios y escasas complicaciones, similares a los descritos con técnica abierta.
La visión artroscópica permitió identificar lesiones asociadas, como los defectos de Hill-Sachs enganchantes con el reborde glenoideo anterior.
Por éste motivo incorporamos la técnica de remplissage el año 2007, con el objetivo de disminuir la recidiva en aquellos pacientes con defecto de Hill-Sachs.
El año 2010, se evalúan los pacientes en quienes se realiza la técnica de remplissage asociada a la reparación de Bankart, encontrándose una disminución significativa de la recidiva. Al igual que lo publicado por Burkhart, los pacientes con insuficiencia ósea en quienes se realiza sólo reparación de Bankart (ya sea abierta o artroscópica), presentan un 50% de recidiva; sin embargo, el grupo de pacientes en que se asocia remplissage, este porcentaje disminuye a un 12%.52
Si bien este porcentaje es estadísticamente significativo (p<0,05), encontramos que aún es significativo, por lo cual reservamos actualmente el remplissage sólo a aquellos pacientes con inestabilidad asociada a defecto óseo unifocal y que no realizan deporte de colisión.
Para los pacientes con defecto unifocal humeral y/o que realizan deporte de colisión, indicamos actualmente una técnica de injerto óseo anterior, siendo la cirugía de Latarjet nuestra principal indicación. Pacientes con Hill-Sachs pero de baja demanda funcional, indicamos la reparación artroscópica asociada al remplissage.
BIBLIOGRAFÍA
- Kralinger F, Golser K, Wischatta R, Wambacher M, Sperner G. Predicting recurrence after primary anterior shoulder dislocation. Am J Sports Med 2002; 30:116-120.
- Rowe CR. Prognosis in dislocations of the shoulder. J Bone Joint Surg 1956;38A:957-977.
- Arciero RA, Wheeler JH, Ryan JB, et al. Arthroscopic Bankart repair versus nonoperative treatment for acute, initial anterior shoulder dislocations. Am J Sports Med 1994;22:589-594.
- Burkhart S, De Beer J. Traumatic glenohumeral bone defects and their relationship to failure of arthroscopic Bankart repairs. Arthroscopy 2000;16:677-694.
- Rowe CR, Sakellarides HT. Factors related to recurrences of anterior dislocations of the shoulder. Clin Orthop 1961;20:40-48.
- Antonio GE, Griffith JF, Yu AB, Young PS, Chan KM, Ahuja AT. First time shoulder dislocation: High prevalence of labral injury and age related differences revealed by MR arthrography. J Magnet Res Imag 2007;26:983-991.
- Yiannakopoulos CK, Mataragas E, Antonogiannakis E. A comparison of the spectrum of intra-articular lesions in acute and chronic anterior shoulder instability. Arthroscopy 2007;23:985-990.
- Boileau P, Villalba M, Hery JY, Balg F, Ahrens P, Neyton L. Risk factors for recurrence shoulder instability after arthroscopic Bankart repair. J Bone Joint Surg Am 2006;88:1755-1763.
- Cetik O, Uslu M, Ozsar BK. The relationship between Hill-Sachs lesion and recurrent anterior shoulder dislocation. Acta Orthop Belg 2007;73:175-178.
- Rowe CR, Zarins B, Ciullo JV. Recurrent anterior dislocation of the shoulder after surgical repair. Apparent causes of failure and treatment. J Bone Joint Surg Am 1984;66:159-168.
- Hardy P. Bony lesions influence on the result of the arthroscopic treatment of glenohumeral instability. Symposium: Shoulder instabilitylimits of arthroscopic surgery: bone deficiency, shrinkage, acute instability. Presented at the 5th International Society of Arthroscopy, Knee surgery and Orthopaedic Sports Medicine Congress, March 10 – 14, 2003, Auckland, New Zeland.
- Burkhart SS, Danaceau SM. Articular arc length mismatch as a cause of failed Bankart repair. Arthroscopy 2000;16:740-744.
- Yamamoto N, Itoi E, Abe H, Minagawa H, Seki N, Shimada Y, Okada K. Contact Between the glenoid and the humeral head in abduction, external rotation and horizontal extension: A new concept of glenoid track. J Shoulder Elbow Surg 2007;16:649-656.
- Wheeler JH, Ryan JB, Arciero RA, et al. Arthroscopic versus nonoperative treatment of acute shoulder dislocations in young athletes. Arthroscopy 1989;5:213-217.
- Balg F, Boileau P. The instability severity index score: a simple pre-operative score to select patients for arthroscopic or open shoulder stabilization. J Bone Joint Surg Br 2007;89-B:1470-1477.
- Gagey OJ, Bonfait H, Gillot C, Mazas F. Functional and mechanical anatomy of arm elevation. Rev Chir Orthop Reparatrice Appar Mot 1988;74:209-18.
- Bernageau J., Patte D. Diagnostic radiologique des luxaions recidivantes de lépaule. Rev Chir Orthop 1979, 65:101-7
- Sperber A, Hamberg P, Karlsson J, Sward L, Wredmark T. Comparison of an arthroscopic and an open procedure for posttraumatic instability of the shoulder: a prospective, randomized multicenter study. J Shoulder Elbow Surg. 2001;10:105-108.
- Bottoni CR, Smith EL, Berkowitz MJ, Towle RB, Moore JH. Arthroscopic versus open shoulder stabilization for recurrent anterior instability. A porspective randomized clinical trial. Am J Sports Med. 2006;34:1730-1737.
- Cole B, L’insalata J, Irrgang J, Warner J. Comparison of arthroscopic and open anterior shoulder stabilization. J Bone Joint Surg. 2000;82A:1108-1114.
- Strahovnik A, Fokter SK. Long-term results after open Bankart operation for anterior shoulder instability. A 3 to 16 year follow up. Wien Klin Wochenschr 2006;2:58-61.
- Weber BG, Simpson LA, Hardegger F. Rotational humeral osteotomy for recurrent anterior dislocation of the shoulder associated with a large Hill-Sachs lesion. J Bone Joint Surg Am 1984;66:1443-1450.
- Eden R. Zur operation der habituellen schulterluxation unter mitteilung eines neuen verfahrens bei abriss am inneren pfannernrande. Detsch Ztschr Chir 1918;144:269.
- Hybbinette S. De la transplantation d’un fragment osseux pour remendier aux luxations recidivantes de l’epaule: constatioins et resultats operatoires. Acta Chir Scand 1932;71:411-445.
- Churchill RS, Moskal MJ, Lippitt SB, Matsen FA III. Extracapsular anatomically contoured anterior glenoid bone grafting for complex glenohumeral instability. Tech Shoulder Elbow Surg 2001;2:210-218.
- Warner JJ, Gill TJ, O’Hollerhan JD, Pathare N, Millett PJ. Anatomical glenoid reconstruction for recurrent anterior glenohumeral instability with glenoid deficiency using an autogenous tricortical iliac crest bone graft. Am J Sports Med 2006;34:205-212.
- 28.Rahme H, Wikblad L, Nowak J, Larsson S. Long-term clinical and radiologic results after Eden-Hybbinette operation for anterior instability of the shoulder. J Shoulder Elbow Surg 2003;12:15-19.
- Bradley-Edwards T., Walch G. The Latarjet procedure for recurrent anterior shoulder instability: rationale and technique. Operative techniques in Sports Medicine 2002;10:25-32.
- Walch G., Boileau P. Latarjet-Bristow procedure for recurrent anterior instability. Tech Shoulder Elbow Surg 2000, 1(4) 256-261.
- Burkhart SS, De Beer JF, Barth JR, Criswell T, Roberts C, Richards DP. Results of modified Latarjet reconstruction in patients with anteroinferior instability and significant bone loss. Arthroscopy 2007;23:1033-1041.
- Allain J, Goutallier D, Glorion C. Long-term results of the Latarjet procedure for the treatment of anterior instability of the shoulder. J Bone Joint Surg Am 1998;80:841-852.
- Ladermann A, Denard P, Burkhart S. Injury of the supraescapular nerve during Latarjet procedure: An anatomic study. Arthroscopy 2012;28:316-321.
- Lafosse L, Boyle S, Gutierrez-Aramberri M, Shah A, Meller R. Arthroscopic Latarjet procedure. Orthop Clin North Am 2010;41:393- 405.
- Helfet AJ. Coracoid transplantation for recurring dislocation of the shoulder. J Bone Joint Surg Br 1958;40-B:198-202.
- Yamashita T, Okamura K, Hotta T, Wada T, Aoki M, Ishii S. Good clinical outcome of combined Bankart-Bristow procedure of for recurrent shoulder instability: 126 patients followed for 2 – 6 years. Acta Orthop Scand 2002;73:553-557.
- Hovelius L, Sandstrom B, Sundgren K, Saebo M. One hundred eighteen Bristow-Latarjet repairs for recurrent anterior dislocation of the shoulder prospectively followed for fifteen years: study I-clinical results. J Shoulder Elbow Surg 2004;13:509-516.
- Boilleau P, Mercier N, Roussanne Y, Thélu CÉ, Old J. Arthrocopic bankart-bristow-latarjet procedure: the development and early results of a safe and reproducible technique. Arthroscopy 2010;26:1434- 1450.
- Purchase RJ, Wolf EM, Hobgood ER, Pollock ME, Smalley CC. Hill-Sachs “remplissage”: An arthroscopic solution for the engaging Hill-Sachs lesion. Arthroscopy 2008;24:723-726.
- Connolly JF. Humeral head defects associated with shoulder dislocation. Their diagnostic and surgical significance. Instr Course Lect 1972;21:42-54.
- McLaughlin HL. Posterior dislocation of the shoulder. J Bone Joint Surg Am 1952;34:584–590
- Toro F, Meleán P, Moraga C, Ruiz F, González F, Vaisman A. Remplissage: Infraspinatus tenodesis and posterior capsulodesis for the treatment of Hill-Sachs lesions: An all intraarticular technique. Tech Shoulder Elbow Surg 2008;9:188-192.
- Zhu YM, Lu Y, Zhang J, Shen JW, Jiang CY. Arthroscopic Ban-kart repair combined with remplissage technique for the treatment of anterior shoulder instability with engaging Hill-Sachs lesion: a report of 49 cases with a minimum 2-year follow-up. Am J Sports Med 2011;39:1640-1647.
- Deutsch AA, Kroll DG. Decreased range of motion following arthroscopic remplissage. Orthopedics 2008;31:492.
- Old J, Boileau P, Pinedo M, Vargas P, Zumstein M. Arthroscopic “Hill-Sachs remplissage”: capsulotenodesis healing and range of motion in 29 patients at short-term follow-up. J Bone Joint Surg Br 2011;93-B:569.
- Park MJ, Tjoumakaris FP, Garcia G, Patel A, Kelly IV JD. Arthroscopic remplissage with Bankart repair for the treatment of glenohumeral instability with Hill-Sachs defects. Arthroscopy 2011;27:1187-1194.
- Miniaci A, Berlet G. Recurrent anterior instability following failed surgical repair: Allograft reconstruction of large humeral head defects. J Bone Joint Surg Br 2001;83:19-20.
- Brañes J. Tratamiento de las luxaciones recidivantes de la articulación escápulo humeral. Presented at the IV Congress of Simposia Latino Americana Ortopedica y Traumatologia, Santiago, Chile, 1969.
- Uribe JW, Botto-van Bemden A. Partial humeral head resurfacing for osteonecrosis. J Shoulder Elbow Surg 2009;18:711-716.
- Kazel MD, Sekiya JK, Greene JA, Bruker CT. Percutaneous correction (humeroplasty) of humeral head defects (Hill-Sachs) associated with anterior shoulder instability: a cadaveric study. Arthroscopy 2005;12:1473-1478.
- Re P, Gallo RA, Richmond JC. Transhumeral head plasty for large Hill-Sachs lesions. Arthroscopy 2006;22:e1-4.
- Toro F, Villalón I, Olmedo C, Ruiz F, Morga C, Pozo R. Análisis de recidiva en luxación glenohumeral. Rev Chilena Ortop y Traum 2011; 52:119-125.
- Toro F, Villalón I, Anastasiadis Z, Ruiz F, Moraga C, Pozo R. Resultado funcional de Bankart artroscópico asociado a remplissage. Presented at the XVII Latinoamerican congress of shoulder and elbow surgery, Rosario, Argentina, 2011.
Dr. Felipe Toro
Jefe Departamento de Traumatología, Clínica Alemana de Santiago Esta dirección de correo electrónico está siendo protegida contra los robots de spam. Necesita tener JavaScript habilitado para poder verlo.
+00569 94329754
