![]()
ARTROSCOPIA | VOL. 19, Nº 1 : 50-61 | 2012
Manejo Actual de la Lesión SLAP
Dr. Pablo A. Narbona
RESUMEN
El dolor de hombro es un motivo de consulta frecuente en pacientes deportistas de lanzamientos o pacientes que realizan actividades por encima de la cabeza, pudiendo ser la lesión SLAP el motivo de su disfunción. La cascada patológica que lleva a la lesión SLAP consiste en una combinación de contractura capsular posteroinferior y disquinesia escapular, que producirá el fenómeno de despegamiento o peel back de la inserción de la porción larga del bíceps, resultando en la desinserción del labrum superior e inestabilidad de la unidad funcional bíceps labrum. Las diferentes maniobras de examen físico varían en sensibilidad y especificidad por lo que es útil complementar el diagnóstico con RNM o artroRNM para demostrar la alteración anatómica, pero el diagnóstico definitivo lo dará la artroscopía. Muchas de las lesiones SLAP pueden requerir de tratamiento quirúrgico para la reinserción de la unidad
funcional bíceps labrum y el tratamiento de patología asociada, pero aun es controvertido el tratamiento definitivo de la lesión SLAP.+
ABSTRACT
Shoulder pain is a frequent complaint in overhead athletes or patient with overhead activities and SLAP lesion a possible cause of their dysfunction. The pathological cascade leading to the SLAP lesion is a combination of posterior inferior
capsular contracture and scapular dyskinesia. These abnormalities are responsible for the peel back phenomenon with detachment of the biceps-labrum complex leading to biceps-labrum instability. Different sensitivity and specificity of the physical exam have been published. It is useful to complement the clinical diagnosis with MRI or MR Arthrogram
to demonstrate the lesion; however arthroscopy will confirm the diagnosis. Some of SLAP lesions may require surgical treatment to restore biceps labrum function and to treat the associated pathology, but treatment of SLAP lesion remains controversial.
INTRODUCCIÓN
Históricamente descripta en 1985 por Andrews y col.1 pero clasificada por Snyder y col.2 en 1990, la lesión SLAP (Superior Labrum Anterior to Posterior) hace referencia a la desinserción del labrum superior de posterior hacia anterior incluyendo la inserción del tendón del bíceps en el labrum superior;2-7 describiendo un patrón de inestabilidad del labrum superior que compromete la estabilidad funcional de la unidad bíceps labrum, causadas por traumas agudos, actividades deportivas, laborales o de la vida diaria, realizadas por encima de la cabeza.2,5-7,8,9,10
Históricamente la incidencia de la lesión SLAP publicada por Snyder y col.2,6-7 fue del 3,9%. Recientemente Weber y col.11 en un estudio de seguimiento de la base de dato de la American Board of Orthopaedics Surgeons, entre el 2003 y el 2008, publican una incidencia del 10,1% con una distribución según sexo del 78,8% masculinos y 21,6% femeninos, y un promedio de edad de 36,4 años para los pacientes masculinos y de 40,9 años en pacientes femeninos.
Las lesiones SLAP aislada o frecuentemente asociada a inestabilidades o rupturas del manguito rotador, puede ser la causa de la disfunción del hombro, 10,12 debido al potencial dolor, sensación de brazo muerto y rigidez subjetiva que muchas veces acompaña el cuadro del hombro doloroso.13-15
FISIOPATOLOGÍA DE LA LESIÓN SLAP
En el entendimiento de la pato-anatomía de la lesión SLAP Walch,16 describió el pinzamiento glenohumeral posterosuperior o impigment interno, como el pinzamiento que sufre el tendón del manguito rotador entre el labrum superior y el troquiter con el hombro en abducción de 90 grados con rotación externa de 90 grados. Jobe,17 dándole el crédito a Walch y col.16 como los descriptores de este síndrome; aplica este concepto en los deportistas de lanzamiento describiendo un espectro de patología de lesión del manguito rotador, el labrum superior e incluso el borde superior de la glena, haciendo referencia de que en los deportistas de lanzamiento empeoraría el pinzamiento posterosuperior debido al estiramiento repetitivo y progresivo de las estructuras capsulo ligamentarias anteriores.17 Halbrecht y col.,18 en desacuerdo con la teoría de Jobe17 de que la inestabilidad anterior empeoraría el pinzamiento posterosuperior, demostró en su trabajo que un hombro que se subluxa anteriormente tendrá menor contacto posterosuperior sin posibilidad de realizar un pinzamiento interno. Burkhart y col.19 demuestran claramente de que el proceso patológico mas importante en el deportista de lanzamiento es la perdida de rotación interna con el hombro en abducción, definiendo el déficit glenohumeral en rotación interna como GIRD (glenohumeral internal rotation deficit), proponiendo la rehabilitación de la rotación interna para impedir la cascada patológica de la lesión del deportista de lanzamiento y prevenir la lesión SLAP.
Burkhart y Morgan8 proponen el signo dinámico de despegamiento o “peel-back”, con el hombro en abducción y rotación externa como el principal indicador de disfunción del complejo bíceps-labrum. En esta posición el bíceps se posiciona mas vertical y posterior, produciendo un cambio dinámico en el vector del bíceps como así también una torsión en la base insercional del bíceps, trasmitiendo las fuerzas torsionales al labrum posterosuperior produciendo su despegamiento; recomendando la reparación artroscópica con anclajes para resistir las fuerzas torsionales del mecanismo de despegamiento o peel-back.
El síndrome de “brazo muerto”, también descripto por Burkhart et al.,8,14,15,19 reconocido como uno de los principales causantes de la disfunción del hombro que lleva al deportista de lanzamiento a la perdida de la biomecánica articular, lo podemos definir como cualquier condición patológica del hombro que por dolor o malestar le impide al deportista realizar el gesto de lanzamiento a la velocidad pre-lesional. El deportista relata la sintomatología en la fase de aceleración o en la fase final de la secuencia del lanzamiento, sintiendo un dolor agudo y punzante que da la sensación de brazo muerto sin poder realizar el lanzamiento a la velocidad habitual. Morgan et al.21,22 reportan que de 53 jugadores de beisbol, el 87% retorno a la actividad pre-lesional de lanzamiento posterior a la reparación artroscópica de lesiones SLAP tipo II.
La mayoría de las lesiones SLAP, reportadas en la literatura, generalmente son lesiones asociadas a otras patologías del hombro como ruptura del manguito rotador o inestabilidad8,13-15,19 reportando en la literatura que tan solo el 28% de las lesiones SLAP fueron aisladas como principal causa de la sintomatologia.7
Se han descripto ciertas variantes anatómicas del labrum, especialmente en su porción anterosuperior,23-25 que deben ser correctamente identificadas para no confundirlas con lesiones del mismo. Estas variantes incluyen agujero sublabral, complejo de Bufford, ligamento glenohumeral medio cordonal e inserción meniscoides del labrum.23-25 La importancia diagnóstica del reconocimiento de las variantes anatómicas, es que una reparación errónea de la misma podría generar una importante perdida de la rotación externa y por ello alterar la biomecánica articular.23-25
PRODUCCIÓN DE LA LESIÓN SLAP
La lesión SLAP se produce de manera traumática por caídas con el brazo en extensión o con mecanismo de compresión asociadas o no a luxación glenohumeral. También, por mecanismo de tracción al levantar algo pesado, se puede desinsertar la unidad funcional bíceps labrum. En pacientes deportistas o trabajadores la lesión, generalmente, se produce por sobreuso al realizadar actividades repetitivas por encima de la cabeza o por detrás de la espalda. En el paciente deportista de lanzamiento cuando el hombro esta en posición de máxima abducción y rotación externa combinada, la banda posterior del ligamento glenohumeral inferior se localiza debajo de la cabeza humeral. Si la capsula posteroinferior se encuentra contracturada e hipertrófica produciendo GIRD, empujara la cabeza del humero como una cuerda sobre el labrum posterosuperior. Estas fuerzas cizallantes sobre el labrum superior en la máxima posición de abducción y rotación externa, combinadas a las fuerzas rotacionales del mecanismo de despegamiento o peel-back exponen el hombro al riesgo de lesión del labrum superior produciendo una lesión SLAP. 8,13-15,19
DIAGNÓSTICO CLÍNICO
Clínicamente la lesión SLAP se manifiesta con un dolor inespecífico y frecuentemente esta asociado a sintomatología mecánica, como crepitaciones o click, que generalmente empeoran al realizar actividades por encima de la cabeza o por detrás de la espalda. Ocasionalmente pacientes deportistas de lanzamiento pueden describir una sensación de brazo muerto.15
Existen múltiples maniobras para evaluar la amplia variedad de patología funcional y estructural del hombro. Diferentes estudios generalmente indican que las lesiones SLAP son de difícil diagnóstico clínico, y que las diferentes maniobras como Speed´s test, la maniobra de recolocación de Jobe y O´Brien test no son especificas.2,6,7,14,15 Aunque O´Brien y col.26 en su estudio de 53 lesiones SLAP publican una sensibilidad del 100%, especificidad del 98,5%, con un VPP del 94,4% y un VPN del 100%, debemos tener en cuenta que en este trabajo incluyen todo tipo de lesión del labrum y no exclusivamente lesiones SLAP puras. Morgan y col.19,21 sugieren que las maniobras de Speed´s y O´Brien son de utilidad en el diagnóstico de lesiones SLAP anteriores, con una sensibilidad del 100% y 88%, una especificidad del 70 y 42% respectivamente, mientras que la maniobra de recolocación de Jobe fue particularmente útil para el diagnóstico de la lesión SLAP tipo II posterior con el 85% de sensibilidad y el 68% de especificidad. Guanche y Jones27 compararon 7 maniobras clínicas para lesiones del complejo bíceps labrum superior con correlación artroscópica, y no encontraron diferencias estadísticamente significativas en un test individual ni en la combinación de las diferentes maniobras, recomendando que la decisión de tratamiento quirúrgico no debería basarse exclusivamente en el examen clínico. En un estudio similar, Parentis y col.,28 evaluaron la validez de múltiples maniobras clínicas para el diagnóstico de lesión SLAP y no encontraron ningún test con diferencias estadísticamente significativas en cuanto a sensibilidad y especificidad. En este estudio examinaron 132 pacientes consecutivos con lesión SLAP reportando una sensibilidad del 62,5%, 40% y 50%, y una especificidad del 50%, 67,4% y 53,3% para las maniobras de O´Brien, Speed´s y test de recolocación de Jobe respectivamente. Holtby R, y col.,29 estudiaron en forma prospectiva 50 pacientes evaluando la eficacia del Speed´s test y Yergason´s test, correlacionado con artroscopia. La sensibilidad y especificidad del Yergason´s test fue del 43% y 79% respectivamente, mientras que para el Speed´s test la sensibilidad fue del 32% y la especificidad del 75%. La eficacia diagnóstica fue del 63% y del 56% para el Yergason´s y Speed´s test, respectivamente.
Dos de los estudios recientemente publicados, basados en una revisión bibliográfica acerca de la eficacia diagnóstica de las diferentes pruebas de examen clínico para el diagnóstico de lesión SLAP son el de Hegedus y col.30 y Jones y Galluch .31 En ambos estudios los autores encontraron de limitado valor diagnóstico las diferentes maniobras de examen clínico, concluyendo que debido a la poca fiabilidad diagnóstica se requiere de RNM o ARTRORNM, para una mejor predicción de la lesión SLAP antes de indicar un tratamiento quirúrgico.
Ebinger et al.32 describieron el test de flexión supina contra resistencia, demostrando que es menos sensitivo (80%) que el O´Brien test (94%), cuando la lesión SLAP esta asociada a otra patología del hombro; pero en los pacientes que presentan lesión SLAP aislada tiene mayor sensibilidad 92% comparado al 83% del O´Brien test o al 58% del Speed´s test.
Narbona33 en un articulo donde se evalúa la eficacia diagnóstica de las maniobras de O´Brien, Speed´s y el test de recolocación de Jobe para el diagnóstico de la lesión SLAP asociada a rupturas del manguito rotador, reporta una sensibilidad de 60%, 48% y 20% con una especificidad de 50%, 33,3% y 83,3% y una exactitud diagnóstica del 58%, 45,2% y 32,3% respectivamente para las maniobras de O´Brian, Speed y recolocación de Jobe. Estos resultados indican que no hay maniobras con la suficiente especificidad, sensibilidad y exactitud diagnóstica para el diagnóstico clínico de la lesión SLAP aislada o cuando esta se encuentra en el entorno de patologías asociadas a ruptura del manguito rotador, probablemente, debido a la gran cantidad de falsos positivos o negativos y que la artroscopía continua realizando el diagnóstico definitivo de la lesión SLAP.
DIAGNÓSTICO IMAGENOLÓGICO
Puede ser difícil realizar un diagnóstico preciso de la lesión SLAP debido a la baja sensibilidad, especificidad y exactitud diagnóstica del examen físico y de los diferentes métodos imagenológico, siendo la artroscopía el gold estándar para el diagnóstico definitivo.33-37
El par radiográfico utilizado en inestabilidad de hombro no aporta datos significativos para el diagnóstico de lesión SLAP, pero si para posibles patologías asociadas. La artroRNM (Resonancia Nuclear Magnética con contraste) es el método de diagnóstico más sensible y especifico para el diagnóstico de la lesión SLAP, ya que la RNM presenta baja sensibilidad y especificidad para su diagnóstico. Sin embargo Connell y col.34 utilizando la artroscopia como gold estándar, publicaron una sensibilidad del 98% (100 de 102), especificidad del 89,5% (34 de 38) y una exactitud diagnóstica del 95,7% (134 de 140), para el diagnóstico de las lesiones del labrum superior con RNM sin contraste. Herold y col.,35 en un estudio prospectivo del diagnóstico de las lesiones SLAP con RNM, informan una sensibilidad del 73%, especificidad del 85% con una exactitud diagnóstica del 77%. En un estudio de 88 pacientes, también utilizando la artroscopia como patrón de referencia, Legan JM et col.36 publican una sensibilidad del 75% con una especificidad del 99% y una exactitud diagnóstica del 95%, informando que su especificidad fue mas alta de lo habitual debido a la gran cantidad de falsos positivos.
Narbona33 en un articulo donde se analizo la eficacia diagnóstica de la RNM sin contraste para el diagnóstico de la lesión SLAP, obtuvo como resultado una sensibilidad del 84% con una especificidad del 50%, un VPP de 87,5%, VPN de 42,9% y una exactitud diagnóstica del 77,4%; aunque comparando con la artroscopia no obtuvimos una diferencia estadísticamente significativa.
Debido a la baja sensibilidad, especificidad y exactitud diagnóstica de la RNM sin contraste, pareciera esencial la utilización de artroRNM o RNM con contraste. La realización de una artroRNM mejoraría la habilidad diagnóstica de la lesión SLAP, pero en la bibliografía aun hay un amplio rango de resultados que varia entre el 67,5% al 92% y del 42% al 91% de sensibilidad y especificidad respectivamente.38-40
Pandya y col.41 en un análisis de la sensibilidad, evaluó prospectivamente 51 pacientes con RNM (18 ptes.) y con ARTRORNM (33 ptes.) con una sensibilidad del 67% y del 72%, respectivamente, sin encontrar diferencias estadísticamente significativas entre la RNM y la ARTRORNM. La limitación de este artículo es que no evalúa especificidad ni exactitud diagnóstica. Waldt y col.42 evaluaron 197 ArtroRNM retrospectivamente utilizando la artroscopía como gold standard, demostrando una sensibilidad del 82% y una especificidad del 98% para el diagnóstico de la lesión SLAP (Tabla 1).
Debemos tener en cuenta que en muchos pacientes se puede evidenciar lesión SLAP en la RNM o ArtroRNM con ausencia de sintomatología; por este motivo los hallazgos Imagenológicos deben ser interpretados conjuntamente con la historia clínica, el examen físico y las limitaciones funcionales del paciente antes de indicar un tratamiento quirúrgico.
CLASIFICACIÓN
La clasificación original y mas comúnmente utilizada es
la clasificación descripta por Snyder y col.2,6,7en 1990 basadas en hallazgos artroscópicos de las lesiones del labrum superior (Figura 1); clasificando la lesión SLAP en 4 tipos donde el tipo I es una abrasión o deflecamiento del labrum superior sin evidenciar inestabilidad de la unidad funcional bíceps labrum; la desinserción del labrum superior que compromete la inserción y la estabilidad de la porción larga del bíceps es la lesión tipo II, es importante reconocer la inserción meniscoide (Figura 2) del labrum superior y su inserción medial en la glena, como una variante anatómica normal que no debe ser confundida con una desinserción del labrum superior. La desinserción del labrum superior en asa de balde que no compromete la estabilidad de la inserción del bíceps, es la lesión SLAP tipo III, pero puede producir síntomas mecánicos; y la lesión en asa de balde que se extiende a la porción larga del bíceps, es la lesión SLAP tipo IV. Luego de la clasificación de Snyder y col.2,6,7 se incorporaron otras clasificaciones para incluir lesiones más complejas que no habían sido incorporadas en la clasificación original. Maffet y col.,43 en 1995, expandieron la clasificación de Snyder describiendo como lesión SLAP tipo V a la continuación de la lesión SLAP II con una lesión de Bankart, la lesión tipo VI es la lesión SLAP tipo II combinada con un flap en la base del bíceps y la lesión SLAP tipo VII es la lesión SLAP tipo II que se extiende al ligamento glenohumeral medio. Posteriormente Morgan et al.21 subdividen la lesión tipo II en tres subtipos, lesión tipo II anterior, posterior y combinada anterior y posterior; este articulo fue significativo para entender el mecanismo de la lesión SLAP tipo II y la importancia clínica de esta subdivisión es que demostraron que las lesiones tipo II que se extienden a posterior, son las que en el tiempo pueden evolucionar a una lesión parcial profunda del manguito rotador, recomendando la reparación con arpones.13,15,19,21
TABLA 1: COMPARACIÓN DE LOS PORCENTAJES DE SENSIBILIDAD, ESPECIFICIDAD Y EFICACIA DIAGNÓSTICA DEL DIAGNÓSTICO IMAGENOLÓGICO SEGÚN DIFERENTES AUTORES.
Abreviaturas: RNM: Resonancia Nuclear Magnética, ARTRORNM: Resonancia Nuclear Magnética con contraste.
Figura 1: Clasificación SLAP, Snyder. Visualización Artroscópica: A: Tipo I B: Tipo II C: Tipo III D: Tipo IV.
Figura 2: Inserción Meniscoides
En el 2004 Powell y col.44 agregaron 3 tipos mas a la clasificación original como: lesión SLAP tipo VIII que es una lesión SLAP tipo II que se extiende al labrum posterior, la lesión tipo IX que es una lesión SLAP II que se extiende circunferencialmente en todo el labrum y la lesión tipo X que es una lesión SLAP tipo II que se extiende a posterior e inferior (Tabla 2).
Sin embargo, mas allá de las diferentes clasificaciones propuestas, los primeros 4 tipos de lesión SLAP descriptos por Snyder y col.2,6,7 en 1990 y las subdivisión propuesta por Morgan et al.21son los que influenciaron en el entendimiento y el tratamiento médico quirúrgico de la lesión SLAP, definiendo que la lesión tipo I representa cambios degenerativos del labrum superior que no compromete la estabilidad de la unidad bíceps labrum, debiendo ser tratado con desbridamiento en caso de hallazgo artroscópico. La lesión tipo II es la mas frecuente y debe ser tratada mediante la reinserción con arpones del labrum superior, para restablecer la estabilidad de la unidad funcional bíceps labrum o según el estado del tendón del bíceps mediante tenodesis del bíceps. En la lesión SLAP tipo III se debe realizar un desbridamiento artroscópico del asa de balde. La lesión tipo IV va a depender del estado del bíceps, la estabilidad del labrum superior, la edad y nivel de actividad del paciente; generalmente esta lesión es tratada mediante tenotomía o tenodesis con o sin reparación del labrum superior.2,6,7,13,15,19,21
TABLA 2: CLASIFICACIÓN LESIÓN SLAP SEGÚN DIFERENTES AUTORES.
Abreviaturas: Reconst.: Reconstrucción, Tenot.: Tenotomía bíceps, Tenod.: Tenodesis del Bíceps, LGHM: Ligamento glenohumeral medio.
Figura 3: Estiramiento Capsular Posteroinferior. A: Sleeper Strech. Comienzo. B: Final. C: Estiramiento por detrás de la espalda. Comienzo. D: Final.
TRATAMIENTO MÉDICO-KINÉSICO
Kliber B.K20 evaluó prospectivamente, durante 2 años, tenistas de alto nivel competitivo y los dividió en 2 grupos; el grupo de estudio realizo diariamente ejercicios de estiramiento de la capsula posteroinferior para minimizar el GIRD y el grupo control no los realizó. A los 2 años de seguimiento, el grupo de estudio había aumentado significativamente la movilidad en rotación interna y tuvo 38% menos de incidencia de lesiones de hombro que el grupo control.
Con un programa de rehabilitación correcto, centrado en el estiramiento de la capsula posteroinferior, aproximadamente el 10% de lo pacientes que realizan actividades repetitivas, por encima de la cabeza en forma crónica no responderán favorablemente al tratamiento médico y podrían ser candidato a tratamiento quirúrgico.19,45
El manejo no quirúrgico de la lesión SLAP ha sido reportado con buenos resultados cuando este tratamiento se lo aplica en la etapa preventiva de la contractura capsular posteroinferior, mediante ejercicios de estiramiento para mejorar o eliminar el GIRD, ya que el paciente que se encuentra en la etapa de contractura posteroinferior con perdida de la rotación interna (GIRD), disquinesia escapular y riesgo de pinzamiento interno, será el que estará expuesto a lesión SLAP denominándolo como el hombro en riesgo.19,45
La rehabilitación se debería basar, principalmente, en los ejercicios de estiramiento de la capsula posteroinferior en el que el paciente se recuesta, sobre el lado afectado con el hombro y codo flexionado a 90 grados mientras que con la mano contralateral se realiza rotación interna pasiva para producir estiramiento de la capsula posteroinferior;19 ejercicios de aducción y flexión cruzando el brazo al hombro contralateral y ejercicios de movilización capsular por detrás de la espalda con toalla o bastón (Figura 3).20
Además de los ejercicios de estiramiento de la capsula posteroinferior, la rehabilitación también debería acompañarse de ejercicios de fortalecimiento del manguito rotador y de los músculos peri-escapulares con ejercicios de cadena cinemática cerrada de pro-tracción, retracción, elevación y depresión.45,46
INDICACIÓN QUIRÚRGICA
La indicación quirúrgica depende de múltiples factores como: edad, actividades deportivas o laborales y cronicidad de la sintomatología; debiendo considerarla luego de que el tratamiento médico no diera buenos resultados al menos durante 3 meses. En deportista de lanzamiento o pacientes con sobreuso en actividades por encima de la cabeza, este tratamiento debería incluir un periodo de repo-so del gesto deportivo o laboral que provoque la sintomatología.
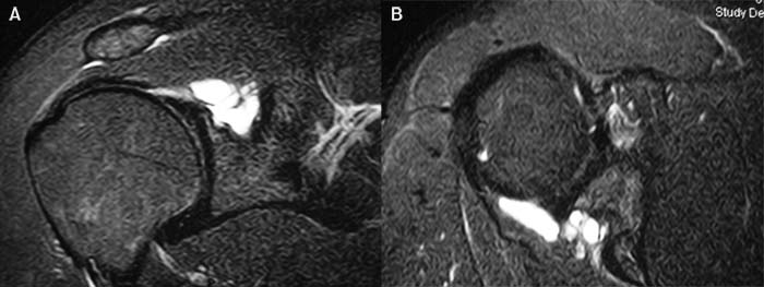
La indicación temprana de la cirugía se debe realizar en pacientes que presentan signos de compresión del nervio supraescapular secundario a ganglión en la fosa espinoglenoidea (Figura 4).47
TRATAMIENTO QUIRÚRGICO, DIAGNÓSTICO ARTROSCÓPICO Y TÉCNICA QUIRÚRGICA
Figura 4: Ganglión Espinoglenoideo con compresión del Nervio Supraescapular.
La reparación artroscópica de la lesión SLAP la realizamos en posición de silla de playa con el brazo en tracción manual por un asistente, con 30-40 de Abducción y 20 grados de flexión anterior. Con bloqueo anestésico interescalenico del plexo braquial, más sedación con infusión de propofol y con bomba de infusión continua a 30-35 mmHg. Por un portal posterior estándar para visualización, se realiza una evaluación de la unidad funcional bíceps labrum con un gancho palpador en busca de inestabilidad de la inserción del labrum superior, signo de despegamiento o peel-back, signo de drive through o paso a través. Una vez que se realiza el diagnóstico de lesión SLAP y se decide realizar la reconstrucción artroscópica, se realizan los portales accesorios antero inferior justo por encima del borde superior del subescapular y portal antero supero lateral justo por encima del tendón del bíceps, entrando a nivel del borde antero lateral del acromion. Ambos portales se realizan de afuera adentro, la localización correcta se busca mediante una aguja espinal y se realiza la colocación de cánulas de 7,25 mm con sistema de guías de dilatación progresiva (Arthrex inc. Naples Florida). La cánula antero inferior se la utiliza para manejo de sutura e instrumental y la cánula antero supero lateral para la colocación de los implantes y pasaje de sutura e instrumental. Por la cánula antero inferior se realiza el desbridamiento y cruentado de la lesión utilizando legras, raspas artroscópicas y shaver motorizado; para la preparación del lecho óseo por debajo del labrum desinsertado para mejor aporte biológico. La fijación de la lesión se realiza con arpones de titanio Fastak de 2,8 mm (Arthrex inc. Naples Florida) o preferiblemente con arpones bioabsorvibles BioSuture-Tak de 3 mm (Arthrex inc. Naples Florida). La colocación de los implantes se realiza de posterior a anterior. El primer arpón se coloca con guía de colocación del implante por la cánula antero supero lateral por detrás de la inserción del bíceps; si la lesión SLAP es muy posterior o la anatomía del portal antero supero lateral, no permite llegar con ángulo correcto de colocación del implante al cuadrante posterosuperior de la glena; se realiza la colocación del implante a través del portal de Wilmington directamente con la guía de colocación del implante con técnica transtendón en la unión músculo tendinosa, sin la colocación de cánulas artroscópicas para no dañar el manguito rotador. Luego de la colocación del implante se retira la sutura que se utilizara como poste por el portal antero inferior, por el portal antero supero lateral se realiza el pasaje de sutura con técnica de suture lazo; luego se realiza el anudado artroscópico desde el portal antero supero lateral. Según el tipo de lesión SLAP se realiza la colocación de 1 arpón por detrás y otro por delante del tendón del bíceps o 2 arpones por detrás de la inserción del bíceps. Para constatar la estabilidad de la reconstrucción, debemos corroborar la corrección del signo de despegamiento o peel-back y del signo de paso a través o drive through (Figura 5) (Ver video en pagina web).
Figura 5: A: Jugador de Rugby 20 años con SLAP tipo II combinado. B: Combinación de punto vertical y horizontal de 2 arpones por detrás de la inserción del bíceps. C: Resultado Final 2 arpones por detrás del bíceps y 1 arpón por delante del bíceps.
CASUÍSTICA Y EXPERIENCIA PERSONAL
De un total de 891 reconstrucciones artroscópicas de hombro realizadas entre los años 2006 y 2010, en 88 casos se observaron lesiones de SLAP, de los cuales 68 correspondieron a lesión SLAP aislada, con una incidencia del 7,63% en nuestra población. De ellos analizamos 60 pacientes de ambos sexos, entre 15 y 40 años de edad, con lesión SLAP sin patología asociada. Excluimos todos los pacientes que presentaron cualquier tipo de lesión asociada.
Se realizaron estudios clínico-funcionales del hombro utilizando el test de Constant modificado, prueba simple de hombro, ASES, Rowe y Rowe modificado; a los 6 meses y con un seguimiento promedio de 26 meses (12-60 meses).
De los 60 pacientes, 40 pacientes eran de sexo masculino (66,6%) y 20 de sexo femenino (33,3%), con una edad media de 29 años. Fueron afectados 35 hombros derechos (58%) y 25 hombros izquierdos (42%); 45 hombros dominantes (75%) y 15 no dominantes (25%).
En el pre-operatorio se encontraron resultados deficientes y malos (ASES y Constant), con una media de 7 puntos en SST. A los 6 meses del postoperatorio se obtuvo un Constant aceptable (media 71), con un ASES de 91 y un SST de 11 puntos de media.
En el último seguimiento obteniendo una evaluación excelente, con un test de Constant de 74,5, un ASES 99,3 y SST de 11,9 puntos de media. Con un seguimiento promedio de 26,5 meses (Tabla 3). Los resultados funcionales según la escala de Rowe y Rowe modificado se expresan en la tabla 4 y 5.
DISCUSIÓN
La lesión SLAP fue aumentando de importancia desde que Snyder y col.2 la describieron por primera vez, principalmente relacionada a lesiones deportivas, con una incidencia que varia del 3,9 al 10,1%.2,6-7,11 En nuestro medio la incidencia de lesión SLAP es similar a los datos publicados en la bibliografía con una incidencia del 7,63% en la casuística personal (68 lesiones SLAP aisladas de 891 artroscopias de hombro).
Diferentes mecanismos han sido propuestos en la patogénesis de la lesión SLAP. Comúnmente los mecanismos más reconocidos son los traumatismos con el brazo en extensión, traumas por compresión compartiendo mecanismo con la luxación acromioclavicular, fuerzas de tracción o lesiones por sobreuso por actividades repetitivas deportivas o laborales realizadas por encima de la cabeza o por detrás de la espalda.2,5-7,8,9,10 Handelberg y col.,48 en un estudio multicentrico, sugieren que los diferentes mecanismo de lesión resultan en diferentes tipos de lesión SLAP. En su trabajo el 75% de las lesiones SLAP II aisladas tuvieron relación a actividades deportivas realizadas por encima de la cabeza; el 57% de las lesiones SLAP III y el 50% de las lesiones SLAP IV, el mecanismo lesional fue por traumatismo por caída con el brazo en extensión; mientras que el 95% de las lesiones SLAP II asociadas a lesión de Bankart el mecanismo lesional fue secundario a episodios de inestabilidad agudas o crónicas, considerando la lesión de Bankart como lesión principal y la lesión SLAP como lesión asociada. Las lesiones SLAP tipo I se presentaron como lesiones por sobreuso en deportistas de lanzamiento o lesiones degenerativas en pacientes mayores.
TABLA 3: RESULTADOS CLÍNICOS FUNCIONALES RECONSTRUCCIÓN ARTROSCÓPICA LESIÓN SLAP.
ASES: American Shoulder and Elbow Score.
SST: Simple Shoulder Test.
FU: último seguimiento (Promedio de seguimiento 26,5 meses)
TABLA 4: RESULTADOS CLÍNICOS FUNCIONALES RECONSTRUCCIÓN ARTROSCÓPICA LESIÓN SLAP.
FU: último seguimiento (Promedio de seguimiento 26,5 meses)
TABLA 5: RESULTADOS CLÍNICOS FUNCIONALES RECONSTRUCCIÓN ARTROSCÓPICA LESIÓN SLAP. ESCALA DE ROWE MODIFICADO.
FU: último seguimiento (Promedio de seguimiento 26,5 meses)
Si bien la función del labrum superior aun es discutida, la mayoría de los estudios cadavéricos apoyan la teoría de que participa en la estabilidad de la articulación glenohumeral, principalmente en la posición de abducción y rotación externa máxima. Estudios cadavéricos que reproducen una lesión SLAP tipo II, demuestran que esta lesión produce un aumento en la tensión del ligamento glenohumeral inferior, con lo cual disminuye la capacidad para resistir las fuerzas en abducción y rotación externa, permitiendo un aumento de la traslación anterior e inferior de la cabeza humeral.49-52
Pradham y col.,53 en un estudio cadavérico, midieron la tensión del labrum superior en cada una de las fases del lanzamiento, llegando a la conclusión de que la mayor tensión se produce en la fase final del lanzamiento. Mientras que Shepard y col.,54 también en un estudio cadavérico, simularon el mecanismo de despegamiento hasta la carga máxima y demostraron que el fallo siempre termina en lesión SLAP tipo II en la posición de abducción y rotación externa forzada; mientras que si la carga máxima se realiza en el sentido del tendón del bíceps la falla se produce a nivel del tendón sin generar lesión SLAP. Los trabajos publicados por Shepard y col.54 y Khun y col.,49 también demostraron que el hombro es significativamente mas débil (hasta un 20%) durante el mecanismo de despegamiento en la posición máxima de abducción y rotación externa combinadas. Estos resultados apoyan la teoría del despegamiento o peel-back descripta por Burkhart y Morgan,8 sobre el mecanismo predominante de la lesión SLAP tipo II en los deportistas de lanzamiento.
Debido a que el desbridamiento artroscópico aporta resultados impredecibles, la reconstrucción artroscópica de la lesión SLAP es el tratamiento de elección. Diferentes métodos de fijación han demostrado resultados funcionales buenos a excelentes en el 75% al 95% de los pacientes.2,6,7,13-16,19,21,22,23,55 En contraste, en los deportistas delanzamiento, los resultados con la reparación artroscópica para retornar a la actividad deportiva al mismo nivel prelesional son muy variables. Idea y col.55 publican un retorno deportivo del 60% al 75% al mismo nivel prelesional, luego de la reparación artroscópica; mientras que Kim y col.,56 luego de analizar 139 pacientes con reparación artroscópica de lesión SLAP, tuvo un retorno a la actividad deportiva del 91% pero solo el 22% de retorno deportivo al mismo nivel prelesional. Boileau y col.,57 en el 2009, en un estudio prospectivo no randomizado también demuestran un bajo porcentaje de satisfacción del paciente (40%) y del retorno deportivo (20%), con la reconstrucción artroscópica de la lesión SLAP y proponen la tenodesis del bíceps como tratamiento de la lesión SLAP, con un alto índice de satisfacción del paciente (93%) y del retorno a la actividad deportiva (87%). La limitación del estudio de Boileau y col.,57 es que la serie en estudio solo incluyo 25 pacientes, de los cuales comparo 10 pacientes con reconstrucción artroscópica con arpones con un promedio de edad de 37 años y 15 pacientes con tenodesis del bíceps con un promedio de edad de 52 años. Por lo tanto este trabajo no tiene suficiente poder estadístico para concluir que la tenodesis del bíceps es el tratamiento recomendado para la lesión SLAP tipo II.
Mejores resultados clínicos han sido publicados en la reparación artroscópica con arpones en cuanto al dolor y función, pero el resultado del retorno al mismo nivel de actividad deportiva prelesional es impredecible. Morgan y col.21 publican el 97% de buenos a excelentes resultados con la reparación artroscópica con arpones, con el 84% de retorno deportivo, en una serie de 102 pacientes con un promedio de edad de 33 años.
Estudios recientes como el de Oh y col.,58 en el 2008, evaluaron 58 pacientes retrospectivamente reportando excelentes resultados clínicos utilizando la reparación con arpones. Brockmeier y col.59 en el 2009, evaluaron prospectivamente el resultado de la reconstrucción artroscópica de la lesión SLAP tipo II en 47 pacientes, con un promedio de seguimiento de 2,7 años, con mejorías en el score de ASES de 62 a 97 y aumento del score de L´Insalata de 65 a 93. En está serie un alto porcentaje de deportistas que presentaban lesión SLAP traumáticas se reintegraron a la actividad deportiva prelesional, comparados con los deportistas en que la lesión SLAP era atraumática (92% vs. 64%), mientras que el retorno a nivel prelesional de los deportistas competitivos fue del 71% (20 de 28 deportistas) que realizaban deportes por encima de la cabeza y del 64% (7 de 11 deportistas) en jugadores del beisbol. Silberberg y col.,60 en el 2011, en un estudio prospectivo randomizado doble ciego nivel I de evidencia, evaluaron 32 pacientes y compararon 2 técnicas de suturas (vertical vs. horizontal) para la reparación de la lesión SLAP tipo II, con un seguimiento promedio de 37 meses y un retorno del 90% a sus actividades laborales y deportivas recreacionales prelesional con ambas técnicas de suturas.
En nuestra casuística, de 60 pacientes con lesión SLAP tipo II aislada, 28 realizaban deportes competitivos con alto porcentaje de retorno deportivo al mismo nivel prelesional 82,14% (23 de 28 pacientes), y del total de pacientes el 86,6% (52 de 60 pacientes) tuvieron un alto índice de satisfacción.
La prevalencia de hallazgos patológicos asociados a la lesión SLAP y las características clínicas pueden variar con la población de pacientes estudiados. Frecuentemente, la lesión SLAP puede estar asociada a rupturas del manguito rotador siendo de difícil decisión el tratamiento definitivo de esta asociación lesional. Morgan y col.21 en su estudio de 102 pacientes tuvieron una asociación lesional del 31% de rupturas completas del manguito rotador, recomendando con buenos resultados la reparación artroscópica de ambas lesiones; hay que destacar que esta serie de pacientes tenían un promedio de edad de 33 años. Voos y col.,61 en el 2007, evaluaron retrospectivamente una serie de 30 pacientes con un promedio de edad de 48 años, con asociación lesional del labrum (SLAP o Bankart) más ruptura del manguito rotador, concluyendo que el manejo artroscópico de ambas lesiones permite buenos resultados clínicos, restaurando la movilidad y con un alto índice de satisfacción del paciente.
En consecuencia, cuando la lesión SLAP esta asociada a otra patología, es difícil saber cual es la causa del éxito o la falla del tratamiento, si esta se debe al manejo de la lesión SLAP o al manejo de la patología asociada.
Franceschi y col.,62 en el 2008, publican el primer trabajo de lesión SLAP asociado a rupturas del manguito rotador, en pacientes mayores de 50 años de nivel I de evidencia. Este estudio comparativo prospectivo randomizado evalúa 63 pacientes con esta asociación lesional; a 31 pacientes se les realizo reconstrucción artroscópica del manguito rotador más reparación de la lesión SLAP y en 32 pacientes se realizo la reparación artroscópica del manguito rotador más tenotomía del bíceps, de los 63 pacientes evaluados, 56 tuvieron un seguimiento promedio de 5,2 años. El grupo de pacientes al que se les realizo la reconstrucción artroscópica del manguito rotador más la tenotomía del bíceps, tuvo mejores resultados estadísticamente significativos en función, flexión anterior, satisfacción del paciente y score de UCLA con un valor p <.05; recomendando realizar tenotomía del bíceps en lugar de reparación de la lesión SLAP en pacientes mayores de 50 años cuando la lesión SLAP se encuentra asociada a ruptura del manguito rotador, ya que la tenotomía brinda mejores resultados clínicos comparados con la reparación de la lesión SLAP tipo II.
Gorantla y col.63 realizaron una revisión sistemática de la bibliografía y encontraron que la mayoría de los estudios son nivel III y IV de evidencia científica, y concluyen
que la reparación artroscópica de la lesión SLAP tipo II con arpones brinda excelentes resultados en pacientes que no realizan actividades deportivas de lanzamiento y en pacientes con lesiones asociadas. Sin embargo en los pacientes que realizan deportes de lanzamientos los resultados no son predecibles.
La reparación artroscópica con anclajes óseos es el tratamiento quirúrgico más efectivo, con un índice de retorno a las actividades deportivas y laborales al nivel prelesional que varia entre el 40% y 94%.2,6,7,13-16,19,21,22,23,55,58-61
CONCLUSIÓN
El diagnóstico definitivo de la lesión SLAP en ausencia de inestabilidad glenohumeral, puede presentar un dilema en el tratamiento médico quirúrgico debiendo interpretar cuidadosamente el examen físico, los métodos de diagnósticos imagenológico y el contexto del paciente, como la historia clínica, la edad y el nivel de actividad.
Es importante identificar los diferentes tipos de lesiones SLAP para tomar la decisión del tratamiento correcto, ya que las lesiones SLAP tipo II y IV cuando el tendón del bíceps presenta buena calidad se recomienda reconstrucción, mientras que las lesión SLAP tipo III se recomienda resección de la lesión y las lesiones SLAP tipo I, al ser cambios degenerativos del labrum superior, no necesitan de tratamiento quirúrgico. 2-8,14-17,19,21,22
La reconstrucción artroscópica de la lesión SLAP da excelentes resultados en pacientes que no realizan deportes de lanzamiento y resultados no predictivos en deportistas de lanzamiento. Se necesitan estudios prospectivos randomizados nivel I de evidencia para determinar de manera predictiva resultados a largo plazo.
BIBLIOGRAFÍA
- Andrews JR, Carson WG, et al.: Glenoid Labrum Tears Related to the long head of the Biceps. Am J Sports Med 13:337-341, 1985.
- Snyder SJ, Karzel RP, Del Pizzo W, et al. SLAP lesion of the shoulder. Arthroscopy 6: 274-279, 1990.
- Ellis K Nam, Stephen Snyder. The Diagnosis and Treatment of Superior Labrum, Anterior and Posterior (SLAP) Lesions. Am J Sports Med 31:5, 798-810. 2003.
- Connell DA, Hollis PG, et al. Noncontrast magnetic resonance imaging of superior labral lesion: 102 cases confirmed at arthroscopic surgery. Am J Sports Med 27:208-213, 1999.
- Kreitner KF, Botchen K, Rude J, et al. Superior labrum and labral bicipital complex: MR Imaging with pathologic-Anatomic and histologic correlation. AJR: 170: 599-605. 1998.
- Snyder Stephen J. Superior Labrum, anterior to posterior lesion of the shoulder. Shoulder Arthroscopy, second edition. Lippincott Williams and Wilkins, 2003, pp 147-165.
- Snyder SJ, Banas MP, Karzel RP. An analysis of 140 injuries to the
-
superior glenoid labrum. J Shoulder Elbow Surg 4:243-248, 1995.
Burkhart SS, Morgan CD. Technical note: The peel back mechanism: Its role in producing and extending posterior type II SLAP lesions and its effect on SLAP repair rehabilitation. Arthroscopy 14: 637- 640, 1998. - Gallagher Oxner K. MD: Magnetic Resonance Imaging of the Musculoskeletal System. Clin Orthop 334: 354-373, 1997.
- Hodler J, Snyder SJ, Resnick D, et al. Injuries of the superior portion of the glenoid labrum involving the insertion of the biceps tendon: MR Imaging finding in nine cases. AJR: 159: 565-568. 1992.
- Weber S.C., Payvandi S., Martin D.F., Harrast J.J. SLAP Lesions of the Shoulder: Incidence Rates, Complications, and Outcomes as Reported by ABOS Part II Candidates (SS-19). Arthroscopy:26,6, Supplement, Pages e9-e10, June 2010.
- Gartsman GM, Steven MH. Full Thickness Tears: Arthroscopic Repair. . Orthop Clin North Am The Rotator cuff Part I 28; 1; 83-98, 1997.
- Burkhart SS, Morgan CD. Lesiones SLAP en el Atleta Lanzador.
-
Orthop Clin North Am Edición en Español; 1; 3; 439-450, 2001.
Burkhart SS, Morgan CD, Kibler WB. Shoulder injuries in overhead athletes: The “dead arm” revisited. Clin Sport Med 19:125-158, 2000. - Burkhart SS, Parten PM: Dead Arm Syndrome: Torsional SLAP Lesion versus Internal Impigment. Technique in Shoulder and Elbow Surgery 2:74-84, 2001.
- Walch G, Boileau J, Noel E, et al. Impigment of the deep surface of the supraspinatus tendon on the posterior superior glenoid rim: An arthroscopic study. J Shoulder Elbow Surg 1:238-243, 1992.
- Jobe CM. Posterior Superior Glenoid Impigment: Expanded Expectrum. Arthroscopy 11: 530-537, 1995.
- Halbrecht JL, Tirman P, Atkin D. Internal impingement of the shoulder: Comparison of findings between the throwing and nonthrowing shoulders of college baseball players. Arthroscopy;15:253-258, 1999.
- Burkhart SS, Morgan CD, Kliber B: The Disabled Throwing Shoulder: Spectrum of Patology Part I: Pathoanatomy and Biomechanics. Arthroscopy 19, 4: 404-420, 2003.
- Kibler WB. The relationship of glenohumeral internal rotation deficit to shoulder and elbow injuries in tennis players: A prospective evaluation of posterior capsular stretching. Presented at the Annual closed meeting of the American Shoulder and Elbow Surgeons, New York, October 1998.
- Morgan CD, Burkhart SS, Palmeri M, et al. Type II SLAP lesions: Three subtypes and their relationship to superior instability and rotator cuff tears. Arthroscopy 1998;14:553-565.
- Burkhart SS, Morgan CD. SLAP lesions in the overhead athlete. Orthop Clin North Am 2001;32:431-441.
- Williams MM, Snyder Sj, Buford D Jr. The Buford complex – the ”cord-like” middle glenohumeral ligament and absent anterosuperior labrum complex: a normal anatomic capsulolabral variant. Arthrosco¬py. 10:241-247,1994.
- Rao AG, Kim TK, Chronopoulos E, McFarland EG: Anatomical variants in the anterosuperior aspect of the glenoid labrum: A statistical analysis of seventythree cases. J Bone Joint Surg Am; 85:653- 659 2003.
- Narbona PA., Ferreyra A, Minig M., Toledo I., Martínez Gallino R., López Flores JC., Marchegiani S., Allende GJ. Variantes Anatómicas del Hombro: Parte I Eficacia de la Artro-Resonancia para el Diagnóstico de las Variantes Anatómicas del Labrum Glenoideo. Artroscopia 18,2:30-36 2011.
- O`Brien SJ, Pagnani MJ, et al: The Active Compression Test: A New and Effective Test for Diagnosing Labral Tears and Acromioclavicular Joint Abnormality. Am J Sports Med 26, 5:610-614, 1998.
- Guanche CA, Jones DC. Clinical testing for tears of the glenoid labrum. Arthroscopy 2003;19:517-523.
- Parentis MA, Mohr KJ, et al: Disorders of the Superior Labrum: Review and Treatment Guidelines. Clin Orthop 400: 77-87, 2002.
- Holtby R, Raznjou H: Accuracy of the Speed and Yearson`s Test in Detecting Biceps Pathology and SLAP Lesions: Comparison with Arthroscopic Finfings. Arthroscopy 20, 3: 231-236, 2004.
- Hegedus EJ, Goode A, Campbell S, et al. Physical examination tests of the shoulder: A systematic review with metaanalysis of individual tests. Br J Sports Med in press, available online 24 August, 2007.
- Jones GL, Galluch DB. Clinical assessment of superior glenoid labral lesions: A systematic review. Clin Orthop Relat Res 2007;455:45-51.
- Ebinger N., Magosch P., Lichtenberg S., Habermeyer P. A New SLAP Test: The Supine Flexion Resistance Test. Arthroscopy 24, 5: 500-505, 2008.
- Narbona PA., Diagnostico de la Lesión SLAP en las Rupturas del Manguito Rotador: Eficacia del Examen Físico y de la RNM sin Contraste. Artroscopia 14,2: 96-102, 2007.
- Connell DA, Hollis PG, et al. Noncontrast magnetic resonance imaging of superior labral lesion: 102 cases confirmed at arthroscopic surgery. Am J Sports Med 27:208-213, 1999.
- Herold T, Hente R, Paetzel C, et al. Indirect MR-arthrography of the shoulder, value in the detection of SLAP lesions. Rofo. Nov; 175(11):1508-14, 2003.
- Legan JM, Burkard TK, et al: Tears of the Glenoid Labrum: MR Imaging of 88 Arthroscopically confirmed cases. Radiology, 179: 241- 246, 1991.
- Mileski RA, Snyder SJ. Superior labral lesions in the shoulder: pathoanatomy and surgical management. J Am Acad Orthop Surg 1998;6:121-131.
- Stetson WB, Templin K. The crank test, the O’Brien’s test, and routine magnetic resonance imaging scans in the diagnosis of labral tears. Am J Sports Med 2002;30:806-809.
- Reuss BL, Schwartzberg R, Ziatkin MB, Cooperman A, Dixon JR. Magnetic resonance imaging accuracy for the diagnosis of superior labrum anterior-posterior lesions in the community setting: Eighty-three arthroscopically confirmed cases. J Shoulder Elbow Surg 2006;15:580-585.
- Jee WH, McCauley TR, Katz LD, Matheny JM, Ruwe PA, Daigneault JP. Superior labral anterior posterior (SLAP) lesions of the glenoid labrum: Reliability and accuracy of MR arthrography for diagnosis. Radiology 2001;218:127-132.
- Pandya NK, M.D., Colton A, M.D., Webner D, M.D., Sennett b, M.D., Huffman GR, M.D., M.P.H. Physical Examination and Magnetic Resonance Imaging in the Diagnosis of Superior Labrum Anterior-Posterior Lesions of the Shoulder: A Sensitivity Analysis Arthroscopy: 24,3:311-317, 2008
- Waldt S, Burkart A, Lange P, et al. Diagnostic performance of MR arthrography in the assessment of superior labral anteroposterior lesions of the shoulder. AJR Am J Roentgenol;182:1271–8, 2004
- Maffet MW, Gartsman GM, Moseley B. Superior labrum-biceps tendón complex lesions of the shoulder. Am J Sports Med.;23:93-98 1995.
- Powell SE, Nord KD, Ryu RKN. The diagnosis, classification, and treatment of SLAP lesions. Operative Techniques in Sports 12,2:99- 110,2004.
- Burkhart SS, Morgan CD, Kliber B: The Disabled Throwing Shoulder: Spectrum of Patology Part III: The SICK Scapula, Scapular Dyskinesis, the Kinetic Chain, and rehabilitation 19, 6: 641-661, 2003.
- Geoffrey D Abrams, Marc R Safran. Diagnosis and management of superior labrum anterior posterior lesions in overhead athletes. Br J Sports Med;44:311–318, 2010.
- Keener JD., Brophy Rh, Superior Labral Tears of the Shoulder: pathogenesis, Evaluation, and Treatment. J Am Acad Orthop Surg 17:10,627-637,2009
- Handelberg F, Willems S, Shahabpour M, Huskin JP, Kuta J. SLAP lesions: a retrospective multicenter study. Arthroscopy;14:856–862,1998
- Kuhn JE, Lindholm SR, Huston LJ, Soslowsky LJ, Blasier RB: Failure of the biceps superior labral complex: A cadaveric biomechanical investigation comparing the late cocking and early deceleration positions of throwing. Arthroscopy 2003;19:373-379.
- 50.Burkart A, Debski RE, Musahl V, McMahon PJ: Glenohumeral translations are only partially restored after repair of a simulated type II superior labral lesion. Am J Sports Med; 31:56-63,2003.
- Pagnani MJ, Deng XH, Warren RF, Torzilli PA, Altchek DW: Effect of lesions of the superior portion of the glenoid labrum on glenohumeral translation. J Bone Joint Surg Am; 77:1003-1010,1995.
- Youm T, Tibone JE, ElAttrache NS, McGarry MH, Lee TQ: Simulated type II superior labral anterior posterior lesions do not alter the path of glenohumeral articulation: A cadaveric biomechanical study. Am J Sports Med; 36:767-774,2008.
- Pradhan RL, Itoi E, Hatakeyama Y, Urayama M, Sato K. Superior labral strain during the throwing motion. A cadaveric study. Am J Sports Med. 29:488-492,2001.
- Shepard MF, Dugas JR, Zeng N, Andrews JR. Differences in the ultimate strength of the bíceps anchor and the generation of type II superior labral anterior posterior lesions in a cadaveric model. Am J Sports Med. 32:1197-1201,2004.
- Idea J, Maeda S, Takagi K. Sports activity after arthroscopic superior labral repair using suture anchors in overhead-throwing athletes. Am J Sports Med. 33,4:507-514,2005.
- Kim TK, Queale WS, Cosgarea AJ, McFarland EG. Clinical features of the different types of SLAP lesions: an analysis of one hundred and thirty-nine cases. J Bone Joint Surg Am.;85,1:66-71,2003.
- Boileau P., Parratte S., Chuinard C., Roussanne Y., Shia D. Bicknell R. Arthroscopic Treatment of Isolated Type II SLAP Lesions Biceps Tenodesis as an Alternative to Reinsertion Am J Sports Med. 37,5:929-936, 2009.
- Oh JH, Kim SH, Lee HK, Jo KH, Bae KJ: Trans-rotator cuff portal is safe for arthroscopic superior labral anterior and posterior lesion repair: Clinical and radiological analysis of 58 SLAP lesions. Am J Sports Med. 36:1913-1921,2008.
- Brockmeier SF, Voos JE, Williams RJ III, Altchek DW, Cordasco FA, Allen AA. Outcomes after arthroscopic repair of type-II SLAP lesions. J Bone Joint Surg Am;91:1595-1603,2009.
- Silberberg J.M., Moya Angeler J., Martín E., Leyes M., Forriol F. Vertical Versus Horizontal Suture Configuration for the Repair of Isolated Type II SLAP Lesion Through a Single Anterior Portal: A Randomized Controlled Trial. Arthroscopy 27:12,1605-1613,2011.
- Voos JE, Pearle AD, Mattern CJ, Cordasco FA, Allen AA, Warren RF. Outcomes of combined arthroscopic rotator cuff and labral repair. Am J Sports Med. 2007;35:1174-1179.
- Franceschi F., Longo U.G., Ruzzini L., Rizzello G., Maffulli N., Denaro V. No Advantages in Repairing a Type II Superior Labrum Anterior and Posterior (SLAP) Lesion When Associated With Rotator Cuff Repair in Patients Over Age 50: A Randomized Controlled Trial Am. J. Sports Med. 36; 247,2008.
- Gorantla K, Gill C., Wright R.W. The Outcome of Type II SLAP Repair: A Systematic Review. Arthroscopy, 26,4:537-545,2010
Dr. Pablo A. Narbona
Jefe del Departamento de Cirugía de Hombro
Sanatorio Allende, Independencia 757 1er Piso, Córdoba, Argentina
+54 351 4269201 // +54 9351 6195141
Esta dirección de correo electrónico está siendo protegida contra los robots de spam. Necesita tener JavaScript habilitado para poder verlo.
