ARTROSCOPIA | VOL. 19, Nº 2 : 97-103 | 2012

ARTICULO ORIGINAL

Reconstrucción Artroscópica de LCP. Se compara SB y DB Proximal, ambas Técnicas con SB a Distal

Dr. Pablo Aragona, Dr. Ignacio Paunovich, Dr. Jorge Batista y Dr. Rodrigo Maestu

RESUMEN

Introducción: Existe controversia sobre si las reconstrucciones de LCP doble banda proximal son superiores a la simple banda. Hay pocos estudios clínicos comparativos que lo demuestren. El propósito de este trabajo es comparar grupos homogéneos operados con lesiones aisladas de LCP y preguntarse con cual de las dos técnicas en nuestra casuística se obtuvieron mejores resultados. 

Material y Métodos: Fueron evaluados los pacientes operados de LCP, por dos de los autores entre el año 2000 y 2009. Se excluyeron pacientes con lesiones ligamentarias asociadas y osteocondrales severas. Se tomaron 40 de los 142 pacientes operados de LCP. Se dividieron en 2 grupos: 20 SB y 20 DB, con un seguimiento mínimo de 2 años. Fueron evaluados y comparados con test de Lysholm, IKDC y artrómetro KT 1000.

Resultados: En los test de Lysholm e IKDC y en el KT 1000 no hubo diferencias estadísticamente significativas entre los dos grupos estudiados.

Discusión: Existen pocos trabajos clínicos, y son más los experimentales, que evalúan comparativamente este tipo de lesión, rescatando criterios uniformes con respecto a las lesiones multiligamentarias donde presentan mejores resultados con doble banda, pero todavía hay controversia con las lesiones aisladas de LCP donde los grupos estudiados son muy heterogéneos.

Conclusión: Al igual que en los trabajos revisados, las reconstrucci ones Doble banda femoral y túnel tibial único no presentan ventajas estadísticamente significativas con respecto a las SB en pacientes con lesiones aisladas de LCP, cuando se comparan parámetros subjetivos y objetivos.

Diseño del estudio: Serie de casos.

Nivel de evidencia: IV

Palabras clave: LCP-SB-DB-resultados

ABSTRACT

Introduction: There is controversy whether proximal double bundle PCL is better than single bundle and there are few comparative clinical studies that are able to show it. The purpose of this paper is to compare homogeneous groups with PCL isolated lesions and to demonstrate that with double bundle techniques better results are achieved.

Material and methods: PCL operated patients were evaluated by two of the authors of this paper between 2000 and 2009. Patients with associated ligament lesions and severe osteochondral lesions were excluded. Forty (40) of the 142 patients who underwent PCL reconstruction were divided in 2 groups: 20 SB and 20 DB with a minimum 2-year follow-up. They were evaluated and compared with Lysholm and IKDC scores and with KT 1000 arthrometer.

Results: Both groups do not present statistically significant differences with Lysholm and IKDC scores and with KT 1000 arthrometer.

Discussion: There are few clinical papers on this issue which are mostly experimental where single and double bundle reconstructions are evaluated. In multiligament lesions double bundle presents better results, but there is still controversy regarding PCL isolated lesions.

Conclusion: As seen in reviewed papers, femoral DB and single tibial tunnel reconstructions do not present statistically significant advantages relative to SB in patients with PCL isolated lesions when subjective and objective parameters are compared..

Study Design: Case series.

Level of evidence: IV.

Key Words: 

INTRODUCCIÓN

Sabemos actualmente que las lesiones de LCP son más frecuentes de lo que se creía, llegando a un 3% del total de las lesiones de rodilla, y asociadas en un 95% de los casos a lesiones multiligamentarias cuando su mecanismo es traumático de alta energía.13-15 Por el contrario cuando se produce en un trauma deportivo es más común la lesión aislada de este ligamento.16,17

Muchas de estas lesiones aisladas pueden ser tratadas en forma conservadora, pero estudios recientes arrojan altos porcentajes de discapacidad a largo plazo con este tipo de tratamiento.25-28

Las técnicas de reconstrucción de banda simple restablecen teóricamente solo el haz anteroleteral atribuyéndole parte de las fallas de esta cirugía a la falta del haz posteromedial.18-21,31-36

Existen varias técnicas quirúrgicas y no hay consenso aún de cual es la resolución ideal de esta patología, pero hay una tendencia a la inclinación por las técnicas en doble banda femoral7,11,21,35,37 y técnicas de fijación inlay en la tibia, 30,38-41 con resultados similares entre ellas en algunos estudios,29,30 ya que restablecen una biomecánica más normal sin tanta laxitud residual. Sin embargo los trabajos clínicos comparativos a largo plazo son escasos.10

Es nuestro objetivo, en este trabajo, analizar y comparar que la técnica de doble banda femoral realizada con técnicas transtibiales, en un grupo homogéneo de pacientes, tiene mejores resultados funcionales que la banda simple en un mediano plazo.

 

MATERIAL Y MÉTODO

Se realizo un trabajo nivel de evidencia IV. Serie de caso retrospectivo, comparativo, donde se evaluaron 142 pacientes con plásticas artroscópicas de LCP, operados entre 2000 y 2009, por 2 cirujanos del mismo equipo (Maestu – Batista) con técnicas de Doble y Simple banda femoral con túnel tibial único.

Se seleccionaron con criterios de inclusión y exclusión. Criterios de inclusión:

  • Seguimiento mínimo de 2 años. 

Criterios de exclusión:

  • Pacientes sedentarios.
  • Lesiones Grado I.
  • Lesiones ligamentarias asociadas que requieran tratamiento quirúrgico.
  • Lesiones condrales G III, IV (Outerbridge).
  • Desejes.
  • Menisectomias amplias.

Del total de pacientes se seleccionaron 40 que cumplían con esos criterios y se los dividió en 2 grupos. Grupo 1: plásticas con Doble Banda, 20 pacientes. Grupo 2: Simple Banda, 20 pacientes.

El promedio de edad fue de 28 años (20 a 45).

De las 40 rodillas evaluadas 23 fueron derechas y 17 izquierdas.

35 pacientes eran hombres y 5 mujeres.

El tiempo medio de realización de cirugía fue de 4 meses.

Con respecto al grado de lesión del LCP 22 pacientes presentaban lesión GII y 18 GIII, todos sintomáticos. El seguimiento mínimo fue de 2 años con un promedio de 4,5.

 

Técnica quirúrgica

Resulta fundamental la correcta colocación del paciente en la camilla de cirugía. Posición: decúbito dorsal con rodilla flexionada a 90 grados y abducción y flexión de cadera. La rodilla contralateral tiene que estar en abducción de más de 45 grados para poder trabajar con el shaver por el portal posteromedial. Una exploración bajo anestesia confirma la lesión aislada del LCP. Primero tomamos el injerto (en todos los pacientes estudiados se tomaron el semitendinoso y recto interno), y dependiendo del grosor del mismo medido cuádruple decidimos si se realizará técnica con doble o simple banda, injertos mayores de 8 doble, y menores o iguales simple. Se realizan 3 portales, anterolateral, anteromedial y posteromedial (Fig. 1). Se utilizo óptica de 30 grados. Se realiza la inspección completa de la rodilla y luego la remoción del muñón remanente del LCP en la parte lateral del cóndilo femoral medial. La perforación de los túneles femorales es de 25 a 30 mm de profundidad desde el portal anterolateral, a 6 mm del borde del cartílago y en hora 1 u 11 dependiendo si la rodilla fuera derecha o izquierda respectivamente, en la banda simple donde se reproduce el haz anterolateral (Fig. 2). Para la doble banda el túnel posteromedial se orienta en hora 4 en rodillas derechas y hora 8 en rodillas izquierdas, a 3 o 4 mm del borde articular y a unos 4 o 5 mm del hoyo anterolateral; siempre orientándolos en una posición divergente para evitar la ruptura del puente óseo entre los mismos (Fig. 3 y 4). Luego se limpia el muñón a nivel tibial hasta la visualización del músculo poplíteo o por lo menos a 2 cm del sector posterior de la tibia, se realiza el túnel tibial controlado por una visión desde el portal posteromedial (Fig. 5). Se pasa él o los injertos desde distal a proximal (Fig. 6) y se fija: banda simple primero con tornillo de interferencia romo en el fémur (Fig. 7) y luego de realizar unos ciclos de movimiento la tibia con la rodilla en flexión de 90 grados, cajón anterior y rotación externa, también con tornillo interferencial de 1 mm mayor diámetro que el túnel más grapa tipo IQL. Doble banda: en primer lugar fijamos la banda posteromedial en fémur con rodilla en 90 grados (Fig. 8), luego ambas bandas en tibia con la rodilla en flexión de 30 grados, dejando la banda anterolateral tensa pero con una posibilidad de recorrido de 10 mm. Por último fijamos la banda anterolateral en fémur en 90 grados (Fig. 9).

Inmovilizamos la rodilla con una férula con antepulsión de la tibia durante 6 semanas con carga parcial, y luego 2 a 4 semanas más de rodillera.

Los parámetros evaluados fueron examen físico, laxitud ligamentaria y scores funcionales de rodilla.

Un médico externo a nuestro equipo les realizo a todos los pacientes un examen físico, donde se avaluó inestabilidad y pérdida de movilidad. Se utilizaron los test de Lys-holm e IKDC para medir scores funcionales y artrometría (KT 1000) para cuantificar laxitud residual.

 

maestu1_fig1

Figura 1: Cánula ubicada en portal posteromedial, vista artroscópica desde portal anterolateral en una rodilla derecha.

 

maestu1_fig2

Figura 2: Vista artroscópica desde portal anterolateral de túnel en cóndilo medial para plástica a una banda de LCP en una rodilla izquierda.

 

maestu1_fig3

Figura 3: vista artroscópica desde portal anterolateral del túnel anterolateral y marcado del túnel posteromedial en una rodilla izquierda.

 

maestu1_fig4

Figura 4: vista artroscópica desde portal anterolateral de túneles femorales para bandas anterolateral y posteromedial en una rodilla izquierda.

 

maestu1_fig5

Figura 5: vista artroscópica desde portal posteromedial de guía para realizar túnel tibial en una rodilla izquierda.

 

maestu1_fig6

Figura 6: vista artroscópica desde portal anterolateral de pasajes injertos en una rodilla izquierda.

 

maestu1_fig7

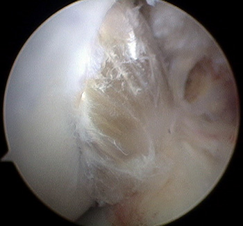
Figura 7: vista artroscópica desde portal anterolateral de fijación femoral en simple banda en una rodilla izquierda.

 

RESULTADOS

Con respecto a la evaluación funcional se encontró que la estabilidad clínica objetivada por la maniobra de Lachman inverso y cajón posterior, presentó en ambos grupos laxitud residual, pero la sensación del examinador fue que en el grupo de Doble fascículo era de menor magnitud. Cuando se comparó el rango de movilidad el grupo de Doble banda presentó una disminución leve (no significativa) de la flexión máxima y no se encontraron diferencias con respecto al dolor.

Notamos en las pruebas funcionales que la sensación de estabilidad en los pacientes con técnica de Doble banda fue levemente superior, tanto en el test de Lysholm e  

IKDC, pero esta diferencia no fue estadísticamente significativa al igual que los demás parámetros analizados (Tabla 1).

 

maestu1_fig8

Figura 8: vista artroscópica desde portal anterolateral en una rodilla derecha de guía de tornillo para fijación banda posteromedial.

 

maestu1_fig9

Figura 9: vista artroscópica desde portal anterolateral de fijación femoral en simple banda en una rodilla izquierda.

 

Los resultados de la artrometría fueron resumidos en la tabla 2. Encontramos menor laxitud en el grupo de Doble banda pero tampoco fue estadísticamente significativo. Creemos que los buenos resultados de esta serie se deben en parte a que los grupos estudiados no presentaban lesiones graves asociadas y el tiempo máximo de indicación quirúrgica fue de 6 meses.

 

DISCUSIÓN

El LCP se ensancha a medida que asciende hacia el fémur, diferenciándose en dos fascículos o bandas, la anterolateral que se tensa en flexión y la posteromedial que se tensa en extensión. Clínicamente el injerto es por lo general de forma y tamaño uniforme en toda su longitud, por lo tanto el tendón del injerto sin tener en cuenta la fuente, no reproduce el LCP normal en su morfología. El impacto de esta discrepancia, en cuanto a la morfología del injerto sobre los resultados, es desconocido.10

 

TABLA 1: RESULTADOS FUNCIONALES

19_02_03_tabla1

 

TABLA 2: RESULTADOS DE LAXITUD POR ARTRO MATRÍA

19_02_03_tabla2

 

Muchos estudios han reportado resultados clínicos favorables de reconstrucción de LCP con doble banda usando diferentes tipos de injertos, inclusive con allograft; sin embargo se ha observado, a pesar de tener buenos resultados funcionales, en la mayoría de los casos laxitud del LCP recurrente, estrechamiento del espacio articular y atrofia del cuadriceps.10,11 De hecho, en un trabajo experimental realizado por Whiddon y col.,24 en el 2008, llegaron a la conclusión que en las rodillas con el ángulo posterolateral intacto, con reconstrucciones en doble banda, se genera una hiperpresión durante las rotaciones con la rodilla en 30 grados de flexión y no mejora la traslación anteroposterior con respecto a las técnicas simple banda.

También encontramos similitudes en la bibliografía revisada, cuando se comparan resultados de técnicas de Doble Banda y Simple Banda con fijación tibial inlay donde no encuentran diferencias significativas cuando solo presentan lesiones aisladas de LCP y se inclinan hacia la reconstrucción con doble fascículo cuando se asocian a lesiones del ángulo posteroexterno.24,29

Ching -Jen Wang y col.10 mostraron que en 30 de 35 rodillas presentaban laxitud posterolateral antes de la reconstrucción del LCP, y la laxitud era espontánea, corrigiendo después de la reconstrucción de LCP con 1 o 2 fascículos sin necesidad de la reconstrucción del ángulo posterolateral.

En un estudio cadavérico se demostró que la sección del LCP produce una leve laxitud posterolateral de la rodilla, además de la traslación posterior de la tibia sobre el fémur, en rodillas con lesión del ángulo posterolateral, la magnitud de la laxitud posterolateral es mayor, y está laxitud no es corregida solamente con la reconstrucción del LCP, por lo que la reconstrucción del ángulo posterolateral esta indicada.12

Un estudio de Kyoung Ho Yoon y col.42 realizado en forma prospectiva entre un grupo simple banda (SB) y otro doble banda (DB) preservando las fibras remanentes del LCP, se encontró que los resultados del grupo DB fueron superiores al SB en las evaluaciones objetivas de estabilidad posterior, las pruebas radiológicas y el IKDC, pero no hubo otras diferencias entre los dos grupos.

Keith y col.,43 evidenciaron que la necesidad de una banda posteromedial en la reconstrucción del LCP, es cuestionada si tenemos en cuenta las altas fuerzas del injerto que se generan en la extensión total de la rodilla, lo que podría causar una elongación permanente del injerto con el tiempo y si se realiza la reconstrucción con doble banda no hay ninguna ventaja en realizar un puente óseo entre los túneles de menos de 3 mm.

Diversos estudios reportan que la lesión crónica del LCP está asociada a un aumento de la incidencia de cambios degenerativos de la rodilla en el compartimiento medial, patelofemoral y compartimiento lateral, en ese orden.1,8 No es el objetivo de nuestro trabajo documentar con estudios de imágenes esta incidencia de cambios degenerativos de la rodilla, pero se ha observado resultados funcionales satisfactorios con ambas técnicas, no habiendo encontrado diferencias clínicamente significativas al respecto en los dos grupos.

Existen pocos trabajos clínicos y son más los experimentales que evalúan comparativamente pacientes operados con lesiones aisladas de LCP, con las técnicas simple vs doble banda, rescatando criterios uniformes con respecto a las lesiones multiligamentarias, donde los resultados con doble banda presentan mejores resultados, pero todavía hay controversia con las lesiones aisladas de LCP donde los grupos estudiados son muy heterogéneos quizás para sacar conclusiones significativas.

Una debilidad del presente trabajo es que se utilizaron solo injertos de isquiotibiales autólogos y eso determino la técnica. Actualmente tratamos de utilizar injertos de ban-co (Aquiles, tibial anterior) en la doble banda para poderelegir el diámetro del injerto independientemente o no del paciente.

 

maestu1_fig10

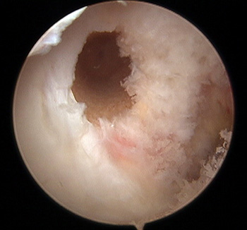
Figura 10: vista artroscópica desde portal anteromedial de doble banda en una rodilla izquierda.

 

CONCLUSIONES

Al igual que en los trabajos revisados las reconstrucciones doble banda femoral y túnel tibial único no presentan ventajas estadísticamente significativas con respecto a las SB en pacientes con lesiones aisladas de LCP, cuando se comparan parámetros subjetivos; pero si encontramos mejores resultados en la artrometría.

 

Relevancia clínica: En pacientes con baja demanda deportiva con lesiones aisladas de LCP, las técnicas de banda simple son suficientes para restablecer una biomecánica normal, pero realizamos reconstrucciones con doble túnel femoral (Fig. 10) en aquellos deportistas de elite o con alta exigencia.

Faltan trabajos clínicos, comparativos, prospectivos y randomizados a largo plazo con evaluación de parámetros objetivos y subjetivos, para poder aseverar que las técnicas modernas tienen mejores resultados.

 

BIBLIOGRAFÍA

  1. Becker R, Ropke M, Nebelung W. Clinical outcome of arthroscopic posterior cruciate ligament-plasty. Unfallchirurg 1999; 102:354-8.
  2. Covey CD, Sepega AA. Current concepts review. Injures of the posterior cruciate ligament. J Bone Joint Surg 1993; 75A:1376-86.
  3. Fanelli GC, Edson CJ. Posterior cruciate injuries in trauma patients. Arthroscopy 1995; 11(5):526-9.
  4. Kim SJ, Kim HK, Kim HJ. Arthroscopic posterior cruciate ligament reconstruction using a one-incision technique. Clin Orthop 1999; 359:156-66.
  5. Lobenhoffer P. Chronic instability after posterior cruciate ligament injury. Tactics, techniques and results. Unfallchirurg 1999; 102:824- 38.
  6. Ohkoshi Y, Nagasaki S, Ishida R, Yamane S. A new endoscopic PCL reconstruction: minimization of graft angulation. Arthroscopy 2001; 17(3):258-63.
  7. Stahelin AC, Sudkamp NP, Weiler A. Anatomic double bundle posterior cruciate ligament reconstruction using hamstring tendons. Arthroscopy 2001; 17(1):88-97.
  8. Wang CJ, Chen HS, Huang TW. Outcome of arthroscopic single bundle reconstruction for complete posterior cruciate ligament Tear. Injury 2003; 34(10):747-51.
  9. Wirth CJ, JagerM. Dynamic double tendon replacement of the posterior cruciate ligament. AmJ Sports Med 1984; 12:39-43.
  10. Ching -Jen Wang, Lin-Hsiu Weng, Chia-Chen Hsu, Yi-Sheng Chan. Arthroscopic single- versus double-bundle posterior cruciate ligament reconstructions using hamstring autograft Injury(2004) 35,1293-1299.
  11. Wirth CJ, JagerM. Dynamic double tendon replacement of the posterior cruciate ligament. AmJ Sports Med 1984; 12:39-43.
  12. Wang CJ, Chen CYC, Chen LM, Yeh WL. Posterior cruciate ligament and coupled posterolateral instabilities of the knee. A cadaver knee study. Arch Ortho Traum Surg 2000; 120(9):525-8.
  13. Fanelli GC. Posterior cruciate ligament injuries in trauma patients. Arthroscopy 1993; 9:291-294
  14. Miller MD, Bergfeld JA, FowlercPJ, et al. The posterior cruciate ligament injured knee: principles of evaluation and treatment. Instructional course of lectures. Vol 48. AAOS, 1999: 199-207.
  15. Fanelli GC, Edson CJ, Posterior cruciate ligament injuries in trauma patients. Part II. Arthroscopy 1995; 11:526-529
  16. Fowler PJ, Messiah SS, Isolated posterior cruciate ligament injuries in athletes. Am J Sport Med 1987; 15:553-557.
  17. Bach BR, Daluga DJ, Mikosz R, Andriacchi TP, Seid IR. Force. Displacement characteristics of the posterior cruciate ligament. Am J Sports Med 1992;20:67-72.
  18. Bomberg BC, Acker JH, Boyle J, Zarins B. The effect of Posterior cruciate ligament loss and reconstruction on the knee. Am J Knee Surg 1990;3:85-96.
  19. Burns WCII, Draganich LH, Pyevich M, Reider B. The effect of femoral tunnel position and graft tensioning technique on posterior laxity of the posterior cruciate ligament reconstructed knee. Am J Sports Med 1995;23(4):424-30.
  20. Covey DC, Sapega AA, Sherman GM. Testing for isometry during reconstruction of the posterior cruciate ligament. Anatomic and biomechanical considerations. Am J Sports Med 1996;24(6):740—6.
  21. Harner CD, Xerogeanes JW, Livesay GA, Carlin GJ, Smith BA, Kasayama T, et al. The human posterior cruciate ligament complex: an interdisciplinary study. Ligament morphology and biomechanical evaluation. Am J Sports Med 1995;23(6): 736-45.
  22. Wang CJ, Chen CYC, Chen LM, Yeh WL. Posterior cruciate ligament and coupled posterolateral instabilities of the knee. A cadaver knee study. Arch Ortho Traum Surg 2000; 120(9):525-8.
  23. Wang CJ, Chen HH, Chen HS. Effects of knee position, graft tension and mode of fixation failure in posterior cruciate ligament reconstruction. A cadaver knee study. Arthroscopy 2002;18(5):496-501.
  24. David R. Whiddon, Chad T. Zehms, Mark D. Miller, J. Scott Quin-by, Scott L. Montgomery and Jon K. Sekiya. Double Compared with Single-Bundle Open Inlay Posterior Cruciate Ligament Reconstruction in a Cadaver Model. J Bone Joint Surg Am. 2008;90:1820-1829.
  25. Shelbourne KD, Davis TJ, Patel DV. The natural history of acute, isolated, nonoperatively treated posterior cruciate ligament injuries: a prospective study. Am J Sports Med 1999;27:276-83.
  26. Boynton MD, Tietjens BR. Long-term follow-up of the untreated isolated posterior cruciate ligament-deficient knee. Am J Sports Med 1996;24:306
  27. Guoan Li, PhD, Ramprasad Papannagari, MS, Meng Li, MS, Jeffrey Bingham, MS, Kyung W. Nha, MD, Dain Allred, MD, and Thomas Gill, MD. Effect of Posterior Cruciate Ligament Deficiency on In Vivo Translation and Rotation of the Knee During Weightbearing Flexion. Am J Sports Med 2008 36: 474.
  28. Samuel K. Van de Velde, Jeffrey T. Bingham, Thomas J. Gill and Guoan Li. Cruciate Ligament-Deficient Knee Analysis of Tibiofemoral Cartilage Deformation in the Posterior. J Bone Joint Surg Am. 2009;91:167-175.
  29. John A. Bergfeld, Scott M. Graham, Richard D. Parker, Antonio D. C. Valdevit and Helen E. Kambic. A Biomechanical Comparison of Posterior Cruciate Ligament Reconstructions Using Single- and Double-Bundle Tibial Inlay Techniques. Am J Sports Med 2005 33: 976.
  30. David R. Whiddon, Chad T. Zehms, Mark D. Miller, J. Scott Quin-by, Scott L. Montgomery and Jon K. Sekiya Double Compared with Single-Bundle Open Inlay Posterior Cruciate Ligament Reconstruction in a Cadaver Model. J Bone Joint Surg Am. 2008;90:1820-1829.
  31. Galloway M, Mehalik J, Grood ES, Levy M, Noyes F. Tibia displacement following reconstruction of the posterior cruciate ligament. The effect of the knee position during graft fixation. Orthop Trans 1993;17:225.
  32. Grood ES, Hefzy MS, Lindenfield TN. Factors affecting the region of most isometric femoral attachments. Part I. The posterior cruciate ligament. Am J Sports Med 1989;17: 197-207.
  33. Markolf KL, Slauterbeck JR, Armstrong KL, Shapiro MS, Finerman GAM. A biomechanical study of replacement of the posterior cruciate ligament with a graft. Part I. Isometry, pre-tension of the graft, and anterior posterior laxity. J Bone Joint Surg 1997;79(A):375-9.
  34. Ogata K, McCarthy JA. Measurements of length and tension patterns during reconstruction of the posterior cruciate ligament. Am J Sports Med 1992;21:351-5.
  35. Race A, Amis AA. Mechanical properties of the two bundles of the human posterior cruciate ligament. Orthop Trans 1992;17:124.
  36. Saddler SC, Noyes FR, Grood ES, Knochenmuss DR, Hefzy MS. PCL anatomy and length-tension behavior of PCL surface fibres. Am J Knee Surg 1996;9(4):171.
  37. Harner CD, Janaushek MA, Kanamovi A, Yagi M, Vogrin TM, Woo SL. Biomechanical analysis of a double-bundle posterior cruciate ligament reconstruction. Am J Sports Med 2000; 28:144-51.
  38. Frank R. Noyes and Sue Barber-Westin Posterior Cruciate Ligament Replacement with a Two-Strand Quadriceps Tendon-Patellar Bone Autograft and a Tibial Inlay Technique J. Bone Joint Surg. Am., Jun 2005; 87: 1241-52.
  39. Daniel A. Oakes, Keith L. Markolf, Justin McWilliams, Charles R. Young, and David R. McAllister. Biomechanical Comparison of Tibial Inlay and Tibial Tunnel Techniques for Reconstruction of the Posterior Cruciate Ligament : Analysis of Graft Forces J. Bone Joint Surg. Am., Jun 2002; 84: 938-44.
  40. Sung -Jae Kim, Tae-Eun Kim, Seung-Bae Jo, and Yun-Pei Kung. Comparison of the Clinical Results of Three Posterior Cruciate Ligament Reconstruction Techniques J. Bone Joint Surg. Am., Nov 2009; 91: 2543-49.
  41. Christopher D. Harner, Jeffrey A. Rihn, and Tracy M. Vogrin What’s New in Sports Medicine J. Bone Joint Surg. Am., Jun 2003; 85: 1173- 81.
  42. Kyoung Ho Yoon, et al. A Prospective Randomized Study Comparing Arthroscopic Single-Bundle and Double-Bundle Posterior Cruciate Ligament Reconstructions Preserving Remnant Fibers. Investigation performed at Department of Orthopaedic Surgery, School of Medicine, Kyung Hee University, Seoul, Korea. Am J Sports Med 2011 39: 474.
  43. Keith L. Markolf, Steven R. Jackson and David R. McAllister. Tunnel Separation Single- Versus Double-Bundle Posterior Cruciate Ligament Reconstruction : Effects of Femoral. Am J Sports Med 2010 38: 1141. 

 


Rodrigo Maestu

CETEA. Cerviño 4449 piso 9, CABA.

Teléfono: 529114-08.

Esta dirección de correo electrónico está siendo protegida contra los robots de spam. Necesita tener JavaScript habilitado para poder verlo.