ARTROSCOPIA | VOL. 17, Nº 3 : 216-222 | 2010
Estrategia para la reconstrucción del LCA en pacientes con fisis abierta
Dr. Rafael Calvo, Dra. Zoy Anastasiadis, Dr. David Figueroa, Dr. Alex Vaisman
INTRODUCCION
La rotura de LCA en niños es poco frecuente, debido en parte a las características anatómicas del esqueleto inmaduro en que los ligamentos son más resistentes que la fisis adyacente. Se ha señalado que el 3, 3% de las roturas de LCA que ocurren en deportistas, son en pacientes con esqueleto inmaduro. Kellenberger (2) estudió 62 pacientes con lesiones de LCA, observó que en niños menores de 12 años el 80% de las lesiones correspondía a avulsión de las espinas tibiales, y en mayores de 12 años, el 90% correspondió a lesiones del LCA. Si bien no hay reportes actuales de su incidencia y prevalencia, se ha observado un claro aumento de su frecuencia, lo que se explica por una mayor capacidad de diagnóstico y mayor práctica de deporte competitivo a menor edad, principalmente fútbol, basquetbol, y ski.
Los niños realizan habitualmente gran actividad física, por lo que se hace difícil la restricción de ésta a pesar de la lesión. Este hecho favorece los eventos de inestabilidad, aumentando el riesgo de presentar lesiones condrales y meniscales en rodillas con rotura de LCA.
El análisis de esta patología en el niño tiene diferencias con el adulto tanto en el diagnóstico clínico, como en el estudio de imágenes y el enfoque quirúrgico; donde la edad ósea es muy relevante.
Diagnóstico clínico
La mayoría de las lesiones del LCA ocurre al igual que en los adultos, en deportes que requieren pivote, cambio de dirección, o salto con caída en hiperextensión de rodillas, provocando activación de cuádriceps y lesión en valgo sin contacto. Es posible que se produzca un chasquido audible en el momento de la lesión, seguido de dolor e impotencia funcional.
Durante la evaluación inicial se puede observar hemartrosis y ante la sospecha de inestabilidad es importante descartar una fractura avulsiva de la espina tibial.
El diagnóstico de lesión de LCA en pacientes con esqueleto inmaduro se hace más difícil que en adultos. La primera característica clínica, es el que los niños se quejan de dolor y no de inestabilidad, muchas veces con un grado de incapacidad menor al dolor que refieren. A su vez, el examen clínico es más difícil, tanto por la dificultad en la evaluación inicial de rodilla aguda, como por la laxitud ligamentosa que la mayoría presenta, dificultando la objetividad de las pruebas clínicas de inestabilidad. La práctica del examen clínico de la extremidad contra-lateral en un paciente adulto adquiere una importancia especial en el niño. Rodillas aparentemente inestables al examen físico pueden ser la laxitud fisiológica o la ausencia congénita del LCA.
Diagnóstico por imágenes
Los exámenes de imágenes nos pueden ayudar a confirmar diagnóstico, sin embargo la sospecha clínica debe ser lo más importante. La radiografía simple es muy útil en la evaluación de urgencia, en cuanto a descartar una fractura de espina tibial o lesiones osteocondrales.
La resonancia magnética es el examen de elección para el diagnóstico de lesión de LCA, sin embargo presenta mayor porcentaje de errores diagnósticos en este grupo de pacientes. Se ha reportado tasas de diagnóstico incorrecto en preadolescentes entre el 36% a 73%. (3, 4) Kocher et al (5) reportó que la sensibilidad diagnóstica para resonancia magnética en niños y adolescentes era de 72%, con especificidad de 93,5%. No encontró diferencia con el diagnóstico clínico, cuya sensibilidad fue de 71,2% con especificidad de 91,5%. Las principales discordancias se encontraron en lesión de menisco externo. Observó además que los pacientes menores de 12 años, presentaban menor sensibilidad y especificidad (61,7%; 90,2%) que los pacientes entre 12 y 16 años (95,5%; 78,2%) (Fig. 1).

Figura 1: Resonancia magnética corte sagital T1, se observa lesión completa de LCA en pacientes de 13 años.
Consideraciones para el tratamiento de las lesiones del LCA en niños
La toma de decisiones en el tratamiento de lesión de LCA en niños está basada en la clínica y en la repercusión de la lesión en la actividad del niño. La controversia está en ofrecer un enfoque conservador o un tratamiento quirúrgico, existiendo diferencias específicas en relación a los resultados y a las complicaciones de cada una de estas tendencias.
Al momento de tomar una decisión se debe evaluar la posibilidad de complicaciones asociadas al tratamiento conservador versus el riesgo de alguna alteración del crecimiento, descrito para algunas técnicas quirúrgicas.
Se sabe que el crecimiento longitudinal de la extremidad inferior está dado en un 65% por la fisis femoral distal y tibial proximal. Las complicaciones que se buscan evitar son epifisiodesis temprana de fémur o tibia, deformaciones angulares en varo o valgo, recurvatum (por epifisiodesis anterior de la tibia) o dismetría de extremidades. Todas ellas presentan mayor riesgo de suceder si nos enfrentamos a pacientes con mayor potencial de crecimiento.
Edad ósea y cirugía
Entendemos por edad ósea la madurez esquelética del paciente y su proyección de crecimiento. La probabilidad de alteración del crecimiento es menor en pacientes con mayor madurez. Se han usado diversos métodos para determinar la edad ósea, tales como: radiografías de rodilla para evaluar la fisis, radiografías de mano para observar madurez esquelética, radiografías de pelvis para establecer estadio de Risser según osificación de la cresta ilíaca, proyección de crecimiento según estatura de los padres, proyección del crecimiento según método multiplicador de Paley y escala de Tanner. Sin embargo, no existe ningún método predictivo de crecimiento de certeza, dado la variabilidad del proceso y su multifactorialidad.
Sasaki et al (12), evaluó con resonancia magnética el patrón de cierre de la fisis de fémur distal y tibia proximal en niños. Observó que la tasa de desaparición de la placa fisiaria era 0% a los 11 años, 5% a los 12 años, 34% a los 13 años, 53% a los 14 años, 94% a los 15 años y 100% a los 16 años. Notó además que la porción central de la fisis de tibia proximal cerraba más precozmente que la poción periférica, lo que es de gran importancia para definir la ubicación de los túneles en una cirugía de reconstrucción. Además se ha visto que el crecimiento está completo alrededor de los 14 años en mujeres y de los 16 años, en hombres.
Nuestra conducta es detallar el estudio de crecimiento según la escala de Tanner (Tabla 1), edad ósea en radiografía de mano y altura de los padres.

Es fundamental brindarles la información a los padres sobre eventuales alteraciones en la fisis y realizar el seguimiento hasta el término del crecimiento.
Tratamiento conservador
El manejo conservador de lesiones de LCA se ha descrito tradicionalmente con el uso de órtesis, rehabilitación de cuádriceps e isquiotibiales y modificaciones de la actividad deportiva. La actividad física propia de la conducta de los pacientes de esta edad hace difícil la restricción de actividades. Los reportes en la literatura con este enfoque de tratamiento han mostrado pobres resultados. Los malos resultados a largo plazo tomaron relevancia entre la década de 1980 y principios de 1990. Diversos estudios mostraron bajas tasas de satisfacción, con puntuaciones bajas en función de la rodilla, persistencia de inestabilidad y dolor, altas tasas de nuevas lesiones meniscales, lesiones condrales, cambios degenerativos precoces y la imposibilidad de retomar el mismo nivel deportivo previo. (3, 6, 7, 8)
Ante los malos resultados del manejo ortopédico existe consenso en la literatura respecto al manejo quirúrgico de estas lesiones como tratamiento definitivo. Sin embargo la reconstrucción del LCA sigue siendo controversial. El punto de discusión se centra en el momento oportuno de ofrecer una cirugía, con el objetivo de evitar al paciente las lesiones futuras asociadas al manejo conservador, pero con el mínimo riesgo de presentar una alteración del crecimiento.
Tratamiento quirúrgico
Se han publicado distintas técnicas quirúrgicas con el objetivo de recuperar la estabilidad sin dañar la fisis: reparaciones primarias, reconstrucción extraarticulares, técnicas transfisiarias parciales y reconstrucción transfisiaria con modificaciones específicas para esqueleto inmaduro. Las reparaciones primarias intrasustancia (13) han reportado malos resultados y en la actualidad no se utilizan.
La técnica quirúrgica y la edad ósea del paciente son relevantes a la hora de tomar decisiones. Si bien algunos autores promueven la reconstrucción precoz del LCA para prevenir futuras lesiones agregadas y permitir un temprano retorno deportivo (9), otros autores defienden la reconstrucción diferida para prevenir alteraciones del crecimiento inducidas por la cirugía. (10, 11). Discutiremos las técnicas quirúrgicas más utilizadas según el estadío de Tanner del paciente.
Técnica de reconstrucción LCA en Estadio Tanner 0 y I
Las técnicas de reconstrucción que respetan la fisis se han descrito para ser utilizadas de preferencia en pacientes con esqueletos inmaduros, Tanner 0 y I, en los cuales por lesión meniscal asociada a la rotura de LCA se prefiere una resolución quirúrgica precoz. Parker et al (14) reportó una serie de 6 pacientes en que realizó la reconstrucción del LCA a través de un túnel tibial en la epífisis proximal anterior, paso de injerto isquiotibial y fijación femoral sobre el cóndilo en una zona de inserción que no dañe la periferia de la fisis femoral. Los resultados fueron favorables a 2 años de seguimiento. Brief (15) describió otra técnica de reconstrucción del LCA en que se hace pasar un injerto de tendón isquiotibial desde la parte anterior de la tibia por debajo del ligamento coronario meniscal hacia el fémur, fijándolo también sobre el cóndilo. El autor no ofrece datos objetivos respecto al resultado funcional de esta técnica. La reconstrucción extraarticular con tenodesis de la banda iliotibial también ha sido utilizada. (16) Consideramos a ésta última como una buena alternativa de reconstrucción en pacientes que por su edad no son candidatos a técnicas transfisiarias, aunque sabemos que mejora sólo parcialmente la estabilidad de la rodilla lesionada, (17) y su indicación es motivo de discusión.
Técnica de reconstrucción LCA en Estadio Tanner II
Las técnicas transfisiarias parciales se han descrito para pacientes en estadio II de Tanner. La técnica plantea el uso de un túnel tibial transfisiario y fijación femoral sobre el cóndilo. (18) Tanto las técnicas que respetan la fisis como las transfisiarias parciales han sido publicadas en series de pocos pacientes, con resultados a mediano plazo y si bien intentan proporcionar estabilidad a la traslación anterior de la tibia, presentan la desventaja de no lograr una colocación anatómica del nuevo ligamento. En general, la utilización de éstas técnicas es sólo en casos muy seleccionados.
Técnica de reconstrucción LCA en Estadio Tanner III
Las técnicas transfisiarias convencionales son la que mejor restablecen la estabilidad de la rodilla logrando una colocación anatómica de los túneles. (19) El uso de técnicas transfisiarias se prefiere en paciente en estadio III de Tanner en adelante, en que el crecimiento restante de la fisis tibial y femoral es limitado. Se ha publicado el uso de estas técnicas en pacientes menores. Streich et al (20) reportó el uso de técnicas transfisiarias en 12 pacientes en estadio de Tanner 1 y 2, con edades entre 9 y 12 años, con un seguimiento de 70 meses en que no observó deformidades angulares ni discrepancia de longitud. El temor al daño de la fisis por el procedimiento quirúrgico ha sido estudiado en animales. Los resultados sugieren un túnel transfisiario que comprometa el 9% de la superficie fisiaria central y se rellene con tejido de partes blandas que no permita el crecimiento óseo, no causa epifisiodesis temprana ni deformaciones angulares. Existen ciertas consideraciones técnicas que se deben tener en cuenta al momento de la técnica transfisiaria para disminuir el riesgo de efectos iatrogénicos, como son: elección de injerto, posición de los túneles y fijación (Figs. 2 y 3).
![]() |
![]() |
|
| Figura 2: Técnica quirúrgica de la reconstrucción LCA transfisiaria. El túnel debe ser en posición más vertical de ancho 7 mm, con fijaciones alejadas de la fisis y túnel completamente relleno con injerto. | Figura 3: Errores de la técnica quirúrgica, colocación de tonillos interferenciales a través de la fisis. |
a) Elección del injerto:
Se han descrito diversos tipos de injertos para la reconstrucción de LCA en niños. El autoinjerto de isquiotibiales es el más utilizado, seguido de autoinjerto de tendón patelar y con menor frecuencia autoinjerto cuadricipital o aloinjertos.
El uso de autoinjerto de semitendinoso y gracilis es la preferencia en pacientes con esqueleto inmaduro. Los tendones flexores presentan baja tasa de complicaciones respecto a la toma del injerto y permiten le uso de fijaciones alejadas de la fisis. El tendón patelar ofrece ventajas en cuanto a su resistencia inicial y su rápida incorporación, pero presenta los riesgos potenciales de daño a la apófisis de la tuberosidad tibial anterior y de que el tarugo óseo cruce la fisis provocando una epifisiodesis precoz (21).
En relación a los aloinjertos, Andrews et al (22) publicó una serie en que utilizó aloinjerto de tendón de Aquiles, con resultados buenos y excelentes en 7 de 8 pacientes. Sin embargo el riesgo potencial de transmisión de infecciones virales y bacterianas hace al aloinjerto una alternativa menos atractiva, especialmente al discutir la indicación con familiares que aceptan en menor grado este tipo de injertos en niños.
Aloinjertos de semitendinoso, tibial anterior y posterior, y cuadicipital nos parecen una buena alternativa, sin embargo no ha sido posible aplicarlo en nuestra casuística por lo ya señalado. La elección de injertos con menores resistencias se asocia a mayor riesgo de fallas.
b) Realización de los túneles:
Los túneles se deben realizar en posición vertical para ser perpendiculares a la fisis. Deben ser además centrales y de diámetro pequeño (7 mm). Se ha estudiado con resonancia magnética realizada en 31 pacientes entre 10 y 15 años, (23) que el volumen de la fisis tibial es en promedio de 12,683.1 microL y el de la fisis femoral, 14,708.3 microL. Los túneles de 8 mm remueven el 2,5% de fisis femoral distal y 2,4% de la fisis tibial proximal. Los túneles de 11 mm pueden remover hasta el 7,8% de la fisis. Además se vio que por cada 5º de aumento del ángulo de los túneles disminuye en 0,2% la cantidad de fisis removida y que un ángulo de 65° del túnel tibial permitiría mantener una distancia de 20 mm desde la fisis tibial proximal hasta la entrada del túnel. Siempre se debe cuidar tener un llene completo con tejidos blandos para evitar la formación de puentes óseos. Es motivo de discusión la colocación de injertos a tensión, sobre todo a través de la tibia, ya que podrían aumentar el riesgo de deformidades angulares.
c) Fijación:
Una fijación adecuada tanto femoral como tibial debe ser alejada de la fisis. Las fijaciones femorales más utilizadas han sido de tipo cortical transversal (Transfix® y Endobuttom®), ya que permiten una ubicación alejada de la fisis dejando sólo partes blandas en los túneles. En la tibia se ha utilizado doble grapa, washer lock, doble grapa o tornillo cortical con amarra (poste).
Los implantes contraindicados en pacientes con esqueleto inmaduro son tornillos interferenciales, ya sea metálicos o reabsorbibles que queden ubicados a través de la fisis dentro del túnel (16) (Fig. 4).

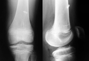
Figura 4: Radiografías post operatorias de paciente de 11 años (fisis abierta) en que se realizó reconstrucción transfisiaria del LCA. Se utilizó túneles pequeños verticales y fijaciones alejadas de la fisis.
Rehabilitación
En relación a la rehabilitación se siguen las mismas pautas que con adultos. Los pacientes inician su rehabilitación al día siguiente de la cirugía con ejercicios isométricos, movilización activa y movilizador pasivo continuo. Se debe considerar el uso de brace por un periodo de 4 a 6 semanas en niños muy laxos o si utilizamos una fijación tibial tipo poste.
Se indica marcha con bastones entre 1 y 3 semanas según sintomatología, ejercicios de fortalecimiento muscular y propiocepción en forma progresiva. Al mes de evolución se inician ejercicios de bicicleta y a los 2 meses se inicia trote. Los deportes de contacto se autorizan luego de 6 a 8 meses de evolución si existe un adecuado estado muscular a la evaluación clínica. En los pacientes en que se realiza meniscorresis se prolonga el uso de bastones por 6 semanas y se restringe la flexión a 90º durante ese período.
Es fundamental durante la rehabilitación iniciar actividades deportivas de bajo impacto precozmente, que incentiven el entusiasmo del niño al tratamiento. La participación de los familiares es relevante tanto en el control de las actividades como con la realización de los ejercicios indicados.
RESULTADOS y COMPLICACIONES
Los objetivos del tratamiento del LCA en niños son prevenir los cambios degenerativos, garantizar estabilidad articular, lograr ausencia de dolor y permitir el retorno deportivo.
La historia natural de las lesiones de LCA en niños fue publicada por Aichroth, (9) en una serie de 23 pacientes con seguimiento de 72 meses, demostró inestabilidad clínica persistente en todos los pacientes, deterioro significativo de los scores funcionales y cambios degenerativos radiográficos (osteofitos) en 10 pacientes. La literatura demuestra que los resultados del manejo conservador son insatisfactorios en lograr cumplir los objetivos del tratamiento. Mc Carroll et al (1) estudió un grupo de 16 adolescentes con esqueleto inmaduro tratados en forma conservadora. Sólo 7 pacientes lograron el retorno deportivo, describiendo episodios recurrentes de inestabilidad, derrame articular y dolor.
El mismo Mc Carroll (24) presentó más tarde los resultados de 14 pacientes a quienes se les realizó una reconstrucción transfisiaria femoral y tibial con tendón patelar. Refiere resultados excelentes, sin discrepancias de longitud de extremidades inferiores al final del crecimiento. Otros autores también han demostrado mejores resultados con tratamiento quirúrgico transfisiario. Pressman (25) comparó los resultados de pacientes sometidos a manejo conservador, reparación primaria y reconstrucción transfisiaria. Demostró mejoría clínica significativa en los pacientes a los que se les realizó reconstrucción, sin dismetría de extremidades mayor a 1 cm. Edwards (26) le realizó a 20 pacientes una reconstrucción transfisiaria con autoinjerto de isquiotibiales o tendón patelar, reportó resultados excelentes en 16 pacientes y 19 retomaron su nivel deportivo previo. Refiere que 2 pacientes requirieron cirugía de revisión por re-rotura al año de seguimiento.
En un estudio realizado en nuestro centro (27) se evaluó a 24 pacientes, en etapas 2 a 4 de Tanner, con reconstrucción transfisiaria de LCA utilizando autoinjerto de isquiotibiales. El 95,8% presentó un score de Lysholm bueno o excelente. El 71,4% no presentó signos de inestabilidad (KT-1000 con diferencia con el lado opuesto menor o igual a 5 mm). No se reportó al final del seguimiento alteración de ejes de extremidades inferiores ni discrepancia de longitud de extremidades mayor a 1cm. En cuanto al retorno deportivo, se observó qué sólo 13 de 24 pacientes retomaron su nivel deportivo. Si bien un 45,8% no se reintegró a su actividad prelesional, sólo 2 de ellos no lo hicieron por síntomas de rodilla. Este menor reintegro deportivo respecto a otras series, podría explicarse por un menor nivel competitivo del grupo de pacientes estudiado.
Streich et al (20) reportó 12 pacientes en estadio I y II de Tanner a los que realizó reconstrucción tranfisiaria de LCA y comparó con 16 pacientes tratados en forma conservadora. Los pacientes operados presentaron resultados significativamente mejores en cuanto a la estabilidad (KT-1000 y pivot-shift) y a los scores funcionales de Lysholm, Tegner e IKDC. Al final de seguimiento no observó diferencias en relación al crecimiento residual promedio en ambos grupos, ni a la discrepancia de longitud.
Respecto a las complicaciones existen escasos reportes clínicos. Lipscomb (28) en una serie de 24 casos, a los que realizó una reconstrucción transfisiaria usando isquiotibiales (asociado a grapa transfisiaria), reportó 1 paciente con acortamiento de 20mm. Koman (29) describe un caso de valgo femoral distal en un adolescente de 14 años post reconstrucción transfisiaria con túneles de 9 mm y autoinjerto de semitendinoso-gracilis. El paciente requirió osteotomía y epifisiodesis contralateral. Kocher (30) publicó una serie de 15 pacientes con alteración del crecimiento después de reconstrucción transfisiaria del LCA. Las alteraciones incluían deformidad en varo y valgo, discrepancia de longitud y recurvatum. Los factores asociados a estas complicaciones fueron errores técnicos tales como implantes y tarugos óseos a través de la fisis, túneles anchos y compromiso de la tuberosidad tibial anterior al realizar el túnel tibial.
Preferencias del autor
En nuestra práctica, el manejo de la lesión de LCA en pacientes con esqueleto inmaduro se determina según edad del paciente y lesiones asociadas. En pacientes prepúberes, Tanner 0 y I:
- Ante ausencia de daño condral o meniscal: preferimos optar por cambio de actividad deportiva y esperar la mayor madurez posible para realizar una reconstrucción lo más anatómica posible. Recomendamos el uso de brace, rehabilitación kinésica y cambio de hábitos deportivos, realizando controles periódicos.
- En pacientes con daño condral o meniscal: optamos por el tratamiento quirúrgico de la lesión asociada y reconstrucción con puenteo de la fisis con técnica de banda iliotibial.
En púberes y adolescentes con amplio potencial de crecimiento, Tanner II y III:
- Recomendamos la reconstrucción Transfisiaria con fijación alejada de la fisis, usando autoinjerto de semitendinoso y gracilis. Usamos un túnel central de 7 mm, relleno completo de los túneles y fijación alejada de la fisis (Fig. 5).
En adolescentes cerca de madurez esquelética:
-Usamos técnica estándar al igual que en adultos (HTH o ST-G).

Figura 5: Corte sagital de control con resonancia magnética de paciente con reconstrucción de LCA con técnica transfisiaria. Se utilizó Transfix® y tornillo bioabsorbible que respeta la fisis.
REFERENCIAS
-
McCarroll JR, Rettig AC, Shelbourne KD. Anterior cruciate ligament injuries in the young athlete with open physes. Am J Sports Med. 1988;16:44-47.
-
Kellenberger R, Von Laer L: Nonosseous lesions of the anterior cruciate ligaments in childhood and adolescence. Prog Pediatr Surg 1990;25:123–131.
-
Angel K R, Hall D. Anterior Cruciate ligament injury in children and adolescents. Arthroscopy 1989 5:197.
-
Suman RK, Stother IG, Illingworth G. Diagnostic arthroscopy of the knee in children. J Bone Joint Surg Br. 1984 Aug; 66(4):535-7.
-
Kocher MS, DiCanzio J, Zurakowski D, Micheli LJ. Diagnostic performance of clinical examination and selective magnetic resonance imaging in the evaluation of intraarticular knee disorders in children and adolescents. Am J Sports Med. 2001 May-Jun; 29(3):292-6.
-
Graf BK, Lange RH, Fujisaki CK, et al: Anterior cruciate ligament tears in skeletally immature patients: Meniscal pathology at presentation and after attempted conservative treatment. Arthroscopy 1992;8:229–233.
-
Mc Carroll JR, Shelbourne KD, Porter DA, et al: Patellar tendon graft reconstruction for midsubstance anterior cruciate ligament rupture in junior high school athletes: An algorithm for management. Am J Sports Med 1994;22:478–484.
-
Mizuta H, Kubota K, Shiraishi M, et al: The conservative treatment of complete tears of the anterior cruciate ligament in skeletally immature patients. J Bone Joint Surg 1995;77B:890–894.
-
Aicroth PM, Patel DV, Zorrilla. The natural history and treatment of rupture of the anterior cruciate ligament in children and adolescents: a prospective review. J Bone Joint Surg Br 2002;84:38-41.
-
Sanders JO. Anterior cruciate ligament reconstruction in the skeletally immature high-performance athlete: what to do and when to do it?. Arthroscopy 2000 ;16:393–394.
-
Woods GW, O’Connor DP. Delayed anterior cruciate ligament reconstruction in adolescents with open physes. Am J Sports Med 2004;32:201–210.
-
Sasaki T, Ishibashi Y, Okamura Y, Toh S, Sasaki T. MRI evaluation of growth plate closure rate and pattern in the normal knee joint. J Knee Surg. 2002;15:72-76.
-
Engebretsen L., Svenningsen S., Benum P.: Poor results of anterior cruciate ligament repair in adolescence. Acta Orthop Scand 1988;59:684–686.
-
Parker AW, Drez D Jr, Cooper JL: Anterior cruciate ligament injuries in patients with open physes. Am J Sports Med 1994;22:44–47.
-
Brief LP: Anterior cruciate ligament reconstruction without drilling holes. Arthroscopy 1993;9:446.
-
Micheli LJ, Rask B, Gerberg L. Anterior cruciate ligament reconstruction in patients who are prepubescent. Clin Orthop. 1999;364:40-47.
-
Amis AA, Scammell BE. Biomechanics of intra-articular and extraarticular reconstruction of the anterior cruciate ligament. J Bone Joint Surg Br. 1993;75:812-817.
-
Stanitski CL: Anterior cruciate ligament injury in the skeletally immature patient: Diagnosis and treatment. J Am Acad Orthop Surg 1995;3:145.
-
Brand J Jr, Weiler A, Caborn D. Graft fixation in cruciate ligament reconstruction. Am J Sports Med 2000;28 761-74.
-
Nikolaus A. Streich , Alexander Barie, Tobias Gotterbarm, Maximilian Keil, Holger Schmitt. Transphyseal reconstruction of the anterior cruciate ligament in prepubescent athletes. Knee Surg Sports Traumatol Arthrosc. 2010 Nov;18(11):1481-6. Epub 2010 Feb 4.
-
Bales CP, Guettler JH, Moorman CT. Anterior cruciate ligament injuries in children with open physes: evolving strategies of treatment. Am J Sports Med. 2004 Dec;32(8):1978-85.
-
Andrews M, Noyes FR, Barber-Westin SD. Anterior cruciate ligament allograft reconstruction in the skeletally immature athlete. Am J Sports Med. 1994;22:4854.
-
Kercher J, Xerogeanes J, Tannenbaum A, Al-Hakim R, Black JC, Zhao J. Anterior cruciate ligament reconstruction in the skeletally immature: an anatomical study utilizing 3-dimensional magnetic resonance imaging reconstructions. J Pediatr Orthop. 2009 Mar;29(2):124-9.
-
McCarroll JR, Shelbourne KD, Porter DA, et al: Patellar tendon graft reconstruction for midsubstance anterior cruciate ligament rupture in junior high school athletes: An algorithm for management. Am J Sports Med 1994;22: 478–484.
-
Pressman AE, Letts RM, Jarvis JG. Anterior cruciate ligament tears in children: an analysis of operative versus nonoperative treatment. J Pediatr Orthop. 1997 JulAug;17(4):505-11.
-
Edwards PH, Grana WA. Anterior cruciate ligament reconstruction in the immature athlete: long-term results of intra-articular reconstruction. Am J Knee Surg. 2001 Fall;14(4):232-7.
-
Rafael Calvo R., David Figueroa P, Cristian Aravena T., Alex Vaisman B., Claudia Calvo C. Reconstrucción de ligamento cruzado anterior en pacientes con esqueleto inmaduro utilizando túneles óseos transfisiarios. Rev Chilena Ortop y Traum 2006;47:15-22.
-
Lipscomb AB, Anderson AF. Tears of the anterior cruciate ligament in adolescents. J Bone Joint Surg Am. 1986 Jan;68(1):19-28.
-
Koman JD, Sanders JO. Valgus deformity after reconstruction of the anterior cruciate ligament in a skeletally immature patient. A case report. J Bone Joint Surg Am. 1999 May;81(5):711-5.
-
Kocher MS, Saxon HS, Hovis WD, Hawkins RJ. Management and complications of anterior cruciate ligament injuries in skeletally immature patients: survey of the Herodicus Society and The ACL Study Group. J Pediatr Orthop. 2002 Jul-Aug;22(4):452-7.


