ARTROSCOPIA | VOL. 20, Nº 4 : 149-152 | 2013
Reemplazo de Superficie de Cóndilo Femoral y Platillo Tibial Medial. Indicaciones y Técnica quirúrgica
Dr. Horacio F. Rivarola Etcheto, Dr. Emiliano Alvarez Salinas, Dr. Cristian Collazo Blanchod, Dr. Marcos Palanconi, Dr. Carlos Autorino
Dr. Horacio F. Rivarola Etcheto
Esta dirección de correo electrónico está siendo protegida contra los robots de spam. Necesita tener JavaScript habilitado para poder verlo.
Esta dirección de correo electrónico está siendo protegida contra los robots de spam. Necesita tener JavaScript habilitado para poder verlo.
RESUMEN
El tratamiento de las lesiones focalizadas del cartílago y la osteoartrosis unicompartimentales de rodilla en pacientes de edad media, continúa siendo un desafío. Los resultados a largo plazo de los tratamientos quirúrgicos utilizando diferentes técnicas como microfracturas, limpieza artroscópica, osteotomías son bien conocidos. Ninguna de estas garantiza una solución definitiva sin necesidad de una nueva intervención luego de los 7 años.
“Unicap”, hemi-prótesis de superficie, es una alternativa prometedora para la restauración del compartimiento medial de la rodilla, en pacientes de edad madura con lesiones osteocondrales, necrosis ósea focalizada y osteoartritis unicompatimental.
Objetivo: Describir las indicaciones y la técnica quirúrgica para la utilización de Arthrosurface Unicap femoral y platillo tibial medial.
Palabras claves: Artrosis Unicompartimental; Lesión Condral; Osteonecrosis de Rodilla
ABSTRACT
The treatment of isolated cartilage lesions and degenerative osteoarthritis of the medial compartments of the knee in middle-aged patients remains challenging. There are a variety of operative and non-operative modalities that can be used in these cases. The long results of the different surgical techniques like microfractures, arthroscopic debridement, tibial osteotomy are well known. None of these techniques can guarantee a final solution without further intervention after 7 years.
Hemicap arthrosurface arthroplasty is one of the latest alternatives designed to address the pain caused by severe, isolated osteoarthritis (OA) of the Femoro tibial joint (FTJ).
Objective: This paper outlines the indications and the surgical procedure for the femoro-tibial HemiCAP arthrosurface for isolated FT chondral lesions.
Key words: Unicompartimental Osteoarthritis; Chondral Lesion; Osteonecrosis of the Knee
INTRODUCCIÓN
El tratamiento de las lesiones focalizadas del cartílago y la osteoartrosis unicompartimental en pacientes de edad media, continúa siendo un desafío. Se ha argumentado tradicionalmente que el plan conservador, incluyendo adecuación (fundamentalmente restricciones) en el tipo de actividad, procuran como objetivo principal retrasar el reemplazo articular protésico. Sin embargo, corresponde asumir una realidad: cuando el patrón lesional es extenso en superficie y/o profundo como secuela de un foco osteonecrótico, exhibiendo exposición del hueso subcondral, las posibilidades de buen éxito con el tratamiento médico son realmente limitadas.
Es bien conocido los resultados a largo plazo de los tratamientos quirúrgicos utilizando diferentes técnicas como microfracturas, limpieza artroscópica u osteotomías. Ninguna de estas garantiza una solución definitiva sin necesidad de una nueva intervención luego de los 7 años.1-3 Además, las artroplastias protésicas “convencionales” (UNI y RT) pueden resultar “excesivas” para casos como los descriptos (pacientes jóvenes con lesiones focales), en cuanto la magnitud de capital óseo necesario para resecar.
Unicap, hemi-prótesis de superficie, es una alternativa prometedora para la restauración del compartimiento medial de la rodilla en pacientes de edad madura con lesiones osteocondrales, necrosis ósea focalizada y osteoartritis unicompatimental. Este tipo de implante, recientemente incorporado en el mercado, presenta una dimensión reducida la cual faculta la realización de una genuina “microartroplastia”; fueron diseñadas sendas variedades aplicables a los compartimientos femorotibiales y patelofemoral.
OBJETIVO
El objetivo del trabajo es mostrar la técnica quirúrgica utilizando “Arthrosurface Unicap” para el reemplazo anatómico de superficie del cóndilo femoral y platillo tibial interno. Se discutirán las indicaciones y los detalles de técnica sugeridos para su colocación.
INDICACIÓN
La finalidad de la utilización de este implante es el recubrimiento de lesiones condrales amplias o necrosis ósea focalizada de la rodilla aliviando el dolor provocado por el compromiso degenerativo focal, unicompartimental en pacientes de edad media. Además, promueve una rehabilitación funcional rápida, dada la mínima invasión anatómica requerida para su colocación, comparado a las otras opciones protésicas.
La indicación ideal para la utilización de este implante se encuentra en pacientes mayores de 40 años de edad y menores de 65 años de edad. Presentando compromiso del compartimiento interno de la rodilla con preservación articular del resto de los compartimientos o que el compromiso de los mismos sea mínimo. El miembro debe estar alineado, no siendo útil para la corrección de desejes. La rodilla debe ser estable, no recomendado la colocación de este implante en rodillas con inestabilidad ligamentaria. Los mejores resultados reportados incluyen los pacientes que presenta un índice de masa corporal menor de 30.
También encuentra su indicación en Necrosis Ósea Avascular focalizada en compartimento interno y en secuela de Osteocondritis Disecante (cóndilo femoral- platillo tibial interno).
La buena experiencia que se ha adquirido en este corto tiempo, ha motivado ampliar sus indicaciones a lesiones condrales localizadas fuera del compartimiento interno, como ser en la tróclea, compartimiento externo. También se ha logrado utilizar este implante en casos que requieren tratamientos quirúrgicos combinados: osteotomía correctora de ejes o plásticas ligamentarias.4
TÉCNICA QUIRÚRGICA
El paciente se coloca en decúbito dorsal, el miembro inferior sobre un soporta-muslo permitiendo una flexión de rodilla de 120°.
Como primer paso se realiza una Artroscopía. Esta nos permite realizan un diagnóstico de certeza de la lesión, como así también tratar la patología asociada intraarticular (Fig. 1).
Componente tibial: el componente tibial puede ser colocado bajo asistencia artroscópica o de manera abierta bajo visualización directa.
De realizarse bajo asistencia artroscópica una vez delimitada la lesión, por el portal medial, se puede acceder fácilmente con la guía para el botón tibial, la cual se coloca en el centro de la lesión en el platillo interno. Se recomienda mantener como mínimo un margen de 5 mm de platillo tibial hacia el borde medial y 5 mm hacia el borde anterior, para asegurar un muro óseo cortical suficiente. El “template” elegido debe ser el más pequeño posible y que cubra la totalidad del defecto. Además, se debe elegir el que presente mejor contacto A/P y M/L que coincida con la curvatura del platillo (Figs. 2 y 3).
Se labra un túnel con la guía de tibia para preparar el lecho en la superficie del platillo que recibirá el botón de polietileno, para esto se acopla una hoja de corte retrograda exponiendo el hueso subcondral para su posterior fijación. Se coloca un botón de prueba evaluando la congruencia anatómica del platillo. El cementado retrogrado del botón de polietileno se realiza como último procedimiento una vez finalizado el tiempo femoral.
Figura 1: Visión artroscópica del compartimiento interno. Lesion Condral avanzada del condilo femoral y platillo interno.
Figura 2: A: Guía de platillo tibial por visión artroscópica. B: Guía tibial montada por vía abierta.
Figura 3: A y B: Lecho del platillo que recibe al botón de polietileno por visión artroscópica. C: Esquema del acople en un corte sagital de tibia.
Componente Femoral: se realiza una Incisión para-rotuliana medial sobre piel, se incide retináculo medial y cápsula. Se remueve la grasa de Hoffa, a demanda, para permitir una correcta visualización del compartimiento interno para realizar el reemplazo de superficie.
En este paso se debe identificar la lesión en cóndilo femoral resecando los osteofitos medial patelar, de cóndilo femoral y platillo tibial. Atención: la no resección de los mismos se han descripto como causales de dolor residual.
Se establece en este punto el área de trabajo sobre la lesión del cóndilo. Con la rodilla en 60° de flexión, se coloca la guía femoral centrada en la lesión. Se coloca un pin guía en el centro de la misma y se define el tamaño del implante a utilizar, teniendo en cuenta las medidas Anteroposterior, Medial y Lateral. Luego se fijan los pines alineados perpendicularmente a la lesión.
Se inicia el fresado con pin central, luego con el pin anterior y finalmente el posterior (Fig. 4).
Una vez preparado el lecho en el cóndilo femoral, se realiza la colocación del implante de prueba. Siempre constatando que se cuente con un apoyo total del implante. La fijación del componente se realiza mediante un tornillo de acople con un sistema cono morse con implante de superficie. El implante de superficie debe coincidir con el contorno del cartílago condileo (Fig. 5).
Finalizado el tiempo femoral se procede a realizar el cementado presurizado retrogrado del componente tibial. Recomendamos la utilización de una cánula plástica para evitar la pérdida del cemento y la migración del mismo a partes blandas. A pesar de esto sugerimos constatar, antes del cierre de partes blandas, la ausencia de restos de cemento que hayan migrado por partes blandas.
Recomendación: creemos importante destacar el requerimiento intraoperatorio de un técnico quirúrgico entrenado en la técnica dado los múltiples pasos de la misma.
Figura 4: A: Lesión condral extensa en cóndilo interno por vía abierta, B y C: Guía femoral con la elección del tamaño del implante a trabajar
Ventajas de la técnica
- Reemplazo anatómico de la superficie comprometida.
- Mantiene la mecánica articular intacta.
- Rehabilitación rápida. reinserción a actividades deportivas según expectativas.
- Mínima resección ósea. No interfiere con una futura artroplastia “convencional” (uni/ total).
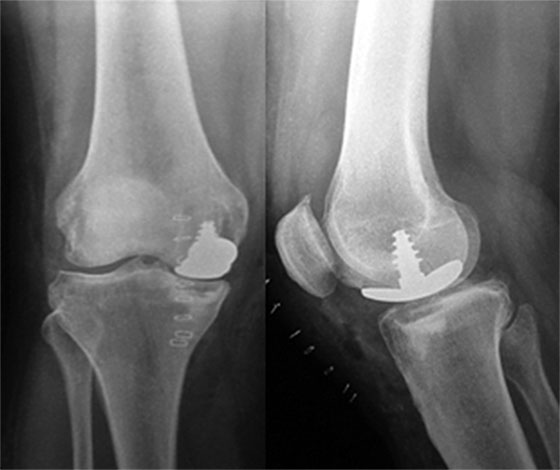
El control radiológico demuestra la congruencia del implante con la superficie ósea, la cual restaura la anatomía del cóndilo femoral (Fig. 6).
La rehabilitación se inicia de manera activa una vez superada la etapa inflamatoria luego del procedimiento. Durante este periodo se mantiene medidas mecánicas compresivas para el control de partes blandas. Movilidad temprana del rango de movilidad, asi como también el fortalecimiento muscular del cuádriceps e isquiotibiales. La carga de peso en el miembro se permite de inmediato según tolerancia al dolor luego de la cirugía. Se sugiere utilizar inicialmente muletas en los primeros días.
Discusión
El tratamiento de la artrosis de rodilla en pacientes de edad madura continúa siendo un desafío para los cirujanos ortopédicos.5,6 El tratamiento conservador incruento y la modificación de las actividades son indicadas con el objetivo de retrasar la indicación formal de una artroplastia convencional.
En estos pacientes, cuando su sintomatología lo refiere, es que se plantean diferentes opciones quirúrgicas incluyendo el debridamiento artroscópico, el trasplante osteocondral (autólogo o aloinjerto), osteotomía tibial alta, reemplazo unicompartimental hasta la artroplastia total de rodilla.7-10 En el año 2003 un nuevo tipo de hemiprótesis de superficie fue presentado en EE.UU. y Europa. Inicialmente, Unicap fue desarrollado para lesiones articulares en la rodilla, el dedo del pie, el hombro y caderas. En rodilla fue diseñado para lesiones de cartílago más avanzadas tanto sobre el cóndilo femoral como sobre el platillo tibial.11,12 Esto presenta la ventaja de conservar estructuras sanas de la articulación, conserva el capital óseo, siendo mínima su resección con una rehabilitación corta. Ninguna interferencia fue demostrada para un futuro reemplazo total de rodilla.
Conclusión
El trabajo describe una novedosa técnica para realizar el reemplazo anatómico de superficie del compartimiento interno de la rodilla, útil en lesiones degenerativas focalizadas unicompartimentales, secuela osteonecrosis u osteocondritis disecante en pacientes de edad media. Este grupo de pacientes presentan una demanda de actividad mayor que la población de pacientes más añosos. El reemplazo de superficie con ”Arthrosurface HemiCAP” permite una rehabilitación inmediata, con un retorno rápido a las actividades de la vida diaria. En el caso de que la enfermedad degenerativa articular progrese, esta “microartroplastia” no interferiría una futura artroplastia “convencional”.
BIBLIOGRAFÍA
- Hjelle MD, Karin; Solheim MD PhD, Elrik; Strand MD, Torbjorn; Muri MD, Rune; Brittberg MD PhD, Mats. Articular Cartilage Defects in 1.000 Knee Arthroscopies, Arthroplasty: The J of Arthroscopic and Related Surgery 2002: 730:34.
-
O Driscoll PhD MD, Shawn. The Healing and Regeneration of Articular Cartilage. JBJS Dec 1998: 1795-1812.
Buckwalter JA, Mankin HJ. Articular Cartilage, Part II: Degeneration and OsteoArthrosis. Repair, Regeneration, and Transplantation, JBJS (A) 1997; 79:612-32. - Microartroplastia de superficie y osteotomía tibial de apertura simultánea¨. Horacio. F. Rivarola Etcheto, Carlos M. Autorino, Marcos Palanconi, Cristian
- Collazo, Santiago Mainini, Mariano Codesido, Alvarez Salinas, Emiliano. Revista de Argentina de Artroscopía ( 2013) VOL. 20, Nº 1 : 202-205.
- Linden MD, Bjarne. Osteochondritis Dissecans of the Femoral Condyles. JBJS Sept. 1977: 7676.
- Morelli M, Nagamori J, Miniaci A. Management of chondral injuries of the knee by osteochondral autogenous transfer (mosaicplasty). J Knee Surg 2002: 15:185-90.
- Cain MD. E. Lyle; and William G. Clancy M. D. Treatment Algorithm for Osteochondral Injuries of the Knee Apr. 2001 :321 -42.
- Kreuz PC, Steinwachs MR, Erggelet C, Krause SJ, Konrad G, Uhl M et al. Results after microfracture of full-thickness chondral defects in different compartments in the knee. Osteoarthritis Cartilage, 2006, Jun 29.
- Steadman JR, Briggs KK, Rodrigo JJ, Kocher MS, Gill TJ, Rodkey WG. Outcomes of Microfracture for Traumatic Chondral Defects of the Knee: 11-year Follow-up. Arthroscopy. 2003;19:477.
- Hangody L, Fules P. Autologous osteochondral mosaicplasty for the treatment of full-thickness defects of weight-bearing joints: ten years of experimental and clinical experience. J Bone Joint Surg (Am) 2003;85A (Suppl2):25-32.
- A. Cannon et al. Patellofemoral Resurfacing Arthroplasty: Literature Review and Description of a Novel Technique. The Iowa Orthopaedic Journal 2008.
-
Bollars P. Prosthetic inlay resurfacing for the treatment of focal, full thickness cartilage defects of the femoral condyle: a bridge between biologics and conventional arthroplasty. Knee Surg Sports Traumatol Arthrosc. 2012 Sep;20(9):1753-9.






