Volumen 23 - Número 1

ARTROSCOPÍA

separador

VOLUMEN 23 - NÚMERO 1

Marzo 2016

 

 

descargar

 

Ser los mejores en lo que hacemos, en lo que amamos hacer y en lo que es nuestra profesión

Dr. Fernando Barclay

EDITORIAL

bot_texto_completobot_pdf


Lesiones de Raíz Meniscal Posterior: Conceptos Actuales desde Anatomía hasta Tratamiento Quirúrgico

Jorge Chahla, Javier Olivetto, Robert F. LaPrade

ARTÍCULO ORIGINAL

bot_texto_completobot_pdf


Ganglión Espino-Glenoideo: Descompresión y Reparación Labral Artroscópica. Resultados Funcionales e Imagenológicos

Matías Pereira Duarte, MatiasMaria Laura Tripodi, Hugo Santiago Barros Moreta, Maximiliano Tanoira, Maximiliano Ranalletta, Gaston Maignon

ARTÍCULO ORIGINAL

bot_texto_completobot_pdf


Inestabilidad Lateral de Tobillo. Reconstrucción Anatómica  con Injerto Autólogo. Técnica Percutánea y Artroscopia de Tobillo

Tomás Lomas Santillan, Luis Soto, Javier B. Mastropierro

ARTÍCULO ORIGINAL

bot_texto_completobot_pdf


Prevalencia de Deformidades Tipo Cam de Cadera en Personas Asintomáticas

María Belén Orlowski, Gustavo Gómez Rodríguez, Jorge Chahla, Damián Arroquy, Jorge Guiñazú, Martín Carboni Bisso, Tomás Vilaseca  

ARTÍCULO ORIGINAL

bot_texto_completobot_pdf


Lesión del Nervio Safeno Interno Durante la Reconstrucción Artroscópica del Ligamento Cruzado Anterior

Facundo Gigante, Miguel Lapera, Manuel Perez Zabala, Ariel Serpone, Maria Lucero Oloriz
 

ARTÍCULO ORIGINAL

bot_texto_completobot_pdf


Variantes Anatómicas del Tendón de la Porción Larga del Bíceps en su Segmento Intra-articular. Presentación de 2 casos y revisión bibliográfica 

Pablo Rubén Rupenian, Instr. Analía Gauna, Ramiro Chobadindegui, Damián Di Memmo

REPORTE DE CASO

bot_texto_completobot_pdf



 

La revista ARTROSCOPIA es publicada por la Asociación Argentina de Artroscopia en conjunto con la Sociedad Latinoamericano de Artroscopia, Rodilla y Deporte.

Copyright 2016 - Todos los derechos reservados
ISSN 1853 - 4759

Este contenido está dirigido para profesionales de la salud.

 
 
 
 
 

 


ARTROSCOPIA | VOL. 23, Nº 1 | 2016

EDITORIAL


Ser los mejores en lo que hacemos, en lo que amamos hacer y en lo que es nuestra profesión  

“Abrazar nuestro arte, la única solución para los retos del ahora y del mañana”
Robert A. Arciero
MD Pesident AOSSM
Título del discurso presidencial de la Sociedad Americana de Medicina del Deporte 

 

Desde hace algún tiempo nuestra habitación en la casa se ha transformado en una biblioteca transitoria, a pesar de la alguna resistencia de mi mujer y mía, argumentando que los libros y la intimidad matrimonial no son definitivamente una buena combinación. Después de casi 25 años de convivencia, los hijos fueron creciendo y al crecer fueron tomando poco a poco casi todos los espacios utilizables del hogar. Por supuesto, el primer objetivo atacado y ocupado sin mucha resistencia debido a una tremenda supremacía numérica del enemigo fue nuestro escritorio y todo lo que en el guardábamos, sobre todo, libros y revistas pasaron a formar parte del mobiliario donde dormimos.
Una tarde calurosa de verano, sentado bajo un ventilador que desde el techo de mi habitación despejaba mi mente abotagada, me detuve con la mirada en el vol. 9, numero 12 de diciembre del 2015 del American Journal of Sports Medicine, con algo de esfuerzo me dirigí hasta donde estaba y lo tome entre mis manos para abrir sus páginas y tratar de encontrar el motivo misterioso de su llamado.
Como buen editor que soy desde hace cerca de seis años, recorro sus páginas intentando extraer ideas novedosas y útiles para el crecimiento de nuestra revista, sabiendo que tengo entre mis manos un Journal fundado en el año 1972 y que gracias al increíble esfuerzo de su editor y amigo de la artroscopia Argentina Bruce Reider, es una de las Revistas científicos más citados en todo el mundo.
Estaba seguro de que este llamado, no podía deberse solamente a la lectura del artículo sobre las bondades del plasma rico en plaquetas en el manejo de la patología del Manguito Rotador o el excelente artículo de un grupo alemán evaluando un protocolo para retener el injerto luego del diagnóstico de Artritis Séptica post Reconstrucción Artroscópica del LCA.
Me detuve en la transcripción del discurso del Dr. Robert A. Arciero a quien conozco, aunque él no me conozca, desde hace muchos años, compartiendo simposios en congresos, discusión de casos clínicos, ciencia y técnicas quirúrgicas que me han transformado sin duda en un mejor cirujano y médico.
Generalmente estos discursos formales tienen un contenido también emotivo, ya que muchas veces, se recorren años de esfuerzo y trabajo que suelen concluir por capacidades personales y decisión de los pares en la presidencia de estas Sociedades Científicas.  
Comenzar agradeciendo a nuestros mentores es esencial para entender que la vida se trascurre en forma más fácil y armoniosa si un ser humano más sabio, experimentado y generoso nos toma de la mano para transcurrirla, a los que nos han ayudado en la vida y en la profesión, a los que nos han incentivado a cambiar el rumbo, buscando la excelencia para ayudar a nuestros pacientes a vivir mejor o simplemente ser mejores deportistas, a los que por amor, sean padres, esposas, hijos o simplemente amigos, han creado un ambiente de paz y armonía a nuestro alrededor, sin el cual jamás podríamos haber desarrollado una vida profesional plena.
Posteriormente, resalta y lo demuestra con hechos concretos, el concepto de que las sociedades médicas sanas y progresistas se crean a partir del trabajo en equipo, del armado de grupos o comités que tengan una visión y una agenda concreta de trabajo en un área determinada, que intente cambiar la vida las personas involucradas, sean médicos, técnicos, administrativos o pacientes, y que el ego y las metas personales sean dejadas de lado en búsqueda de un objetivo común superador.
Creación de programas para residentes y fellows, claros, concretos y transparentes, avalados y cuidados por la misma Sociedad médica.
Creación de programas que midan las capacidades y habilidades de los miembros que integran estas sociedades, intentando elevar la calidad de atención de nuestras pacientes y al mismo tiempo nos permitan defender con argumentos válidos el reconocimiento económico ético de las empresas privadas de salud que regulan nuestros aranceles.
Sistemas simples y  normatizados que nos permitan la  recolección de datos y registros de procedimientos realizados y su impacto objetivo en la vida de nuestros pacientes.      
La creación de un verdadero y eficiente comité de Educación médica continua, que ponga al servicio del médico en formación toda su experiencia y esfuerzo, desterrando para siempre una gestión con urgencias e improvisaciones.
La importancia de crear y sostener en el tiempo un comité de investigación que proponga proyectos de investigación claros que aborden las problemáticas propias y comunes a cada población en particular.
Literalmente el Dr. Arciero sugiera una mirada mucho menos competitiva e intimidante hacia nuestros colegas y por qué no de admiración, respeto e inspiración hacia ellos.
Para el final dejo su preocupación por una mirada más profunda hacia nuestros pacientes, por el tiempo que dedicamos junto a ellos, por ofrecer siempre todos nuestros sentidos a sus necesidades, por usar nuestras manos para un consistente y orientador examen físico, por la natural avidez del cirujano por perfeccionar las  destrezas quirúrgicas en aras de mejorar su calidad de vida y no como demostración de poder y maestría ante nuestros pares.
Alguna vez su propio padre le ofreció a cambio su corazón, cuando el suyo fallo ante tanta demanda, hoy siento que nos ofrece el suyo para que nuestra profesión se dignifique y cada uno de nosotros, sus lectores, reflexionemos por fin acerca de cuál es nuestra misión en esta vida.

 
Dr. Fernando Barclay
Coordinador Editorial
 

Dr. Fernando Barclay
Coordinador Editorial

ARTROSCOPIA | VOL. 23, Nº 1 : 1-9 | 2016

ARTÍCULO ORIGINAL

Lesiones de Raíz Meniscal Posterior: Conceptos Actuales desde Anatomía hasta Tratamiento Quirúrgico
Jorge Chahla1, Javier Olivetto2, Robert F. LaPrade1,3

1Steadman Philippon Research Institute. 2Sanatorio Americano de Rosario. 3The Steadman Clinic

Esta dirección de correo electrónico está siendo protegida contra los robots de spam. Necesita tener JavaScript habilitado para poder verlo.


RESUMEN
Podemos definir las lesiones de raíz meniscal (LRM) como lesiones radiales ubicadas a 1 cm de la inserción de la raíz meniscal, o las avulsiones de la misma. Dichas lesiones alteran la transmisión de la carga axial de la rodilla debido al fallo del menisco para disiparla  lo que lleva a la sobrecarga con el consecuente desgaste  acelerado del cartílago articular. La reparación de las lesiones de raíz meniscal está recomendada en pacientes jóvenes sin cambios artrósicos avanzados (Outerbridge 3 – 4), con el fin de restaurar la congruencia articular, mejorar la distribución de cargas, y así prevenir los cambios degenerativos articulares precoces. Numerosas técnicas quirúrgicas han sido descriptas en la literatura. Se han documentado mejoras en la funcionalidad de los pacientes sometidos a una cirugía de reparación de raíz meniscal, aunque todavía hay controversias sobre si dicho tratamiento puede prevenir o no la artrosis precoz.
 
SUMMARY
Meniscal root tears (MRTs) are defined as radial tears within 1 cm of the meniscal root insertion, or an avulsion of the insertion of the meniscus. These injuries change joint loading due to failure of the meniscus to convert axial loads into hoop stresses, resulting in joint overloading and degenerative changes in the knee joint. Meniscal root repair is recommended in patients without advanced osteoarthritis (Outerbridge 3 – 4), in order to restore joint congruence, loading and thus avoid the long-term effect of joint overloading. Several techniques have been described in literature. Improved patient function is reported after meniscal root repair, but there are still conflicting reports on whether surgical treatment can prevent osteoarthritis.

 


INTRODUCCIÓN


Las lesiones de raíz meniscal (LRM) se definen como lesiones radiales hasta 1 cm de la inserción, o avulsiones de la misma.1-3
Estas lesiones impiden la conversión de las cargas axiales en cargas circunferenciales transversales.1,3-7 Dichos cambios en las cargas articulares llevan a la degeneración condral precoz, con estudios biomecánicos que demuestran cambios degenerativos articulares comparables con los observados luego de una meniscectomía. En estudios por imágenes, se han observado extrusiones meniscales mediales en LRM parciales y totales. Extrusiones > 3 de mm han sido asociadas con un aumento del desgaste articular y con la formación de osteofitos.8 Las lesiones de raíz meniscal pueden observarse en forma aguda o crónica. Las lesiones de raíz posterior del menisco externo se asocian con lesiones de ligamento cruzado anterior (LCA),9-11 con una incidencia  aproximada del 8 %.9
La etiología de las lesiones de raíz posterior de menisco interno suele ser degenerativa, y asociada frecuentemente a mujeres de mediana edad,12,13 aunque también se han observado lesiones agudas asociadas a lesiones ligamentarias de rodilla.14,15 Las lesiones de la raíz meniscal posterior representan el 21.5% de las lesiones del menisco interno.12 Las lesiones iatrogénicas de la raíz meniscal han sido descriptas por diversos autores en la literatura. El mal posicionamiento del túnel tibial durante la reconstrucción del LCA puede dañar la raíz anterior del menisco.16-19 También se han observado lesiones iatrogénicas durante el fresado en fracturas diafisárias tibiales.20 Debido a la proximidad anatómica entre la inserción del ligamento cruzado posterior (LCP) y la inserción de las raíces meniscales posteriores es de suma importancia la correcta localización del túnel tibial para evitar la lesión iatrogénica de las raíces posteriores.16
En los últimos años, ha habido un creciente interés en las técnicas de reparación meniscal como consecuencia del aumento en la incidencia de artrosis como secuela de la meniscectomía.21,22 El objetivo de la cirugía de raíz meniscal es restaurar la congruencia articular, la integridad meniscal y la distribución de las cargas, restableciendo la biomecánica articular y previniendo la degeneración del cartílago. Las técnicas quirúrgicas más utilizadas para las LRM son la meniscectomía total o parcial, la reparación con túneles transóseos y la sutura con arpones. El objetivo de éste artículo es proporcionar una descripción de las lesiones de raíz meniscal, sus inserciones y puntos de referencia anatómicos, su biomecánica y las diferentes técnicas quirúrgicas.
 
CLASIFICACIÓN
Las lesiones de raíz meniscal se clasifican en 5 tipos2 (fig. 1 y tabla 1). 
Las lesiones de tipo 1 son lesiones parcialmente estables, ubicadas dentro de los 9 mm de la inserción de la raíz meniscal y que no presentan otras lesiones meniscales asociadas. Las lesiones de raíz de tipo 2 son lesiones radiales completas ubicadas dentro de los 9 mm de la inserción de la raíz meniscal. Las lesiones de Tipo 2 se clasifican a su vez en: 2A, definidas como lesiones radiales completas localizadas entre los 0 a 3 mm de la inserción de la raíz meniscal; 2B, definidas como lesiones radiales completas localizadas entre los 3 a 6 mm de la inserción de la raíz meniscal; 2C, definidas como lesiones radiales completas localizadas entre los 6 a 9 mm de la inserción de la raíz meniscal. Las lesiones tipo 3 son lesiones meniscales en asa de balde con una lesión completa de la raíz meniscal dentro de los 9 mm de su inserción. Las lesiones tipo 4 son lesiones oblicuas complejas con desprendimiento completo de la raíz dentro de los 9 mm de su inserción. Las lesiones tipo 5 son fracturas por avulsión de la inserción de la raíz meniscal en el platillo tibial (tabla 1 y fig. 1). Las lesiones de tipo 2 son las más frecuentes, representando el 67.6% de las 71 lesiones en la serie presentada por LaPrade y col.23
 
 
Figura 1: Ilustración del sistema de clasificación de las lesiones de raíz meniscal según la morfología de las mismas. Todas las lesiones meniscales fueron representadas como lesiones de raíz posterior de menisco interno para facilitar su comprensión. Los 5 patrones lesionales fueron clasificados en base a su morfología: Lesión de raíz parcial (tipo 1), lesión radial completa dentro de los 9 mm de su inserción ósea (tipo 2), lesión en asa de balde con desprendimiento completo de la raíz (tipo 3), lesión oblicua o longitudinal compleja con desprendimiento completo de la raíz (tipo 4), y avulsión ósea de la inserción de la raíz (tipo 5).
 
 
 
ANATOMÍA Y BIOMÉCANICA
Las reparaciones anatómicas de las lesiones de raíz meniscal han demostrado ser de suma importancia a la hora de restaurar la cinemática articular. A su vez, el posicionamiento adecuado de los anclajes para los cuernos meniscales posteriores tiene mayor relevancia que la técnica quirúrgica per se. Johannsen y col.24 realizaron un análisis cualitativo y cuantitativo de las inserciones de la raíces posteriores de ambos meniscos. El parámetro anatómico más reproducible para la inserción de la raíz posterior del menisco medial es un reparo óseo: la eminencia tibial medial (ETM). La distancia entre la ETM y el centro de la inserción de la raíz meniscal medial es de 9.6 mm a posterior y de 0.7 mm a lateral (fig. 2). Otros parámetros de referencia son el borde medial del cartílago articular del platillo tibial, en donde el centro de la inserción posterior de la raíz del menisco medial se encuentra 3.5 mm a lateral; y la inserción tibial más proximal del LCP, que se encuentra a 8.2 mm del centro de la inserción posterior de la raíz del menisco medial. Por lo tanto, la aplicación clínica durante la cirugía artroscópica seria localizar la ETM y seguirla a posterior y lateral para identificar la inserción de la raíz posterior del menisco medial (fig. 2).
En cuanto a la inserción de la raíz posterior del menisco lateral, el reparo anatómico mas confiable es el ápice de la eminencia tibial lateral (ETL). El centro de la inserción de la raíz posterior del menisco lateral se encuentra 1.5 mm posterior y 4.2 mm medial a la ETL. Al igual que para el menisco medial, el borde del cartílago articular del platillo tibial y la inserción tibial más proximal del LCP fueron utilizados como puntos de referencia. La inserción posterior de la raíz del menisco lateral se encontró a 4.3 mm a medial del borde del cartílago articular del platillo tibial lateral, y a 12.7 mm de la inserción tibial proximal del LCP24 (fig. 3).
Es de extrema importancia la relación anatómica entre las raíces meniscales posteriores con el LCP, ya que no colocar los túneles en una posición adecuada puede derivar en la lesión iatrogénica de la inserción tibial del LCP24 (fig. 4).
 
 
Figura 2: Imagen cadavérica (vista superior) exhibiendo los reparos anatómicos para identificar la inserción de la raíz posterior del menisco medial (asterisco) en una rodilla derecha. ETM: Eminencia tibial medial; IRMA: Inserción anterior de la raíz meniscal medial; IRLA: inserción anterior de la raíz meniscal lateral; IRMP: inserción posterior de la raíz meniscal medial y IRLP: inserción posterior de la raíz meniscal lateral.
 
Figura 3: Imagen cadavérica (vista superior) exhibiendo los reparos anatómicos para identificar la raíz posterior del menisco lateral en una rodilla derecha. ETL: eminencia tibial lateral; IRMA: inserción anterior de la raíz meniscal medial; IRLA: inserción anterior de la raíz meniscal lateral; IRMP: inserción posterior de la raíz meniscal medial y IRLP: inserción posterior de la raíz meniscal lateral.
 
 
 
Figura 4: Fotografía (vista axial) de un rodilla derecha exhibiendo la relación entre las inserciones de las raíces meniscales, inserciones de la raíz anterior del menisco medial (IRMA), inserción de la raíz anterior del menisco lateral (IRLA), inserción de la raíz posterior del menisco medial (IRMP), inserción de la raíz posterior del menisco lateral (IRLP), en relación con el ligamento intermeniscal anterior (LIA), la huella del ligamento cruzado anterior (LCA), y la huella del ligamento cruzado posterior (LCP). La localización de las fibras blancas nacaradas ha sido descripta en relación con la IRMP. La expansión meniscal lateral (EML) ha sido también descripta en relación a la IRLP.
 
 
El área de inserción de las raíces meniscales posteriores es de 30.4 mm para la raíz meniscal medial y de 39.2 mm para la raíz meniscal lateral.24 Cuando tomamos en cuenta las fibras expansivas de las raíces posteriores, el área de las mismas aumenta considerablemente de tamaño.24 Las raíces meniscales posteromedial, posterolateral y anteromedial, contienen fibras suplementarias que aumentan significativamente las áreas de inserción y la fuerza de las mismas.20 La inserción de la raíz anteromedial es la más fuerte (655 N) y la posterolateral la más débil (509 N).20 La mayor movilidad de las raíces anteriores podría ser un factor decisivo para la mayor resistencia a las roturas en comparación con las raíces posteriores.25
Las lesiones completas de las raíces meniscales disminuyen significativamente el área de contacto e incrementan la presión media y máxima4 debido a que se interrumpen las fibras circunferenciales, por lo que el menisco pierde la capacidad de soportar las tensiones ejercidas emulando una meniscectomía completa.4 La falla en la reproducción anatómica de las inserciones  de las raíces no restaurará la relación presión/área tibiofemoral.23 La reparación de la raíz meniscal posteromedial puede restaurar las áreas de contacto a niveles normales;1 sin embargo, en las reparaciones de las raíces posterolaterales las áreas de contacto son sustancialmente menores al compararlas con los valores obtenidos en raíces intactas.4
 

EVALUACIÓN


Las lesiones de raíz meniscal pueden no ser evidentes tanto al examen clínico como en la evaluación por resonancia magnética nuclear (RMN), por lo cual, todas las metodologías diagnósticas disponibles deberían ser utilizadas con el fin de no pasar por alto dichas lesiones.9 Es importante identificar factores de riesgo asociados como la alineación en varo y un índice de masa corporal (IMC) elevado, que pueden predisponer a las lesiones de raíz meniscal medial, por lo que se debe realizar un examen físico detallado en todos los casos.12 Matheny y col.26 han observado que los pacientes que tuvieron una lesión de raíz lateral eran más propensos a tener una lesión de LCA asociada, mientras que los pacientes con lesiones de raíz medial eran mas propensos a tener lesiones condrales concomitantes.
El síntoma más frecuente, es el dolor en la región posterior de la rodilla y en muchos casos, aunque a veces no esta presente, la aparición de un sonido de chasquido con la movilización.27 En pacientes no diagnosticados, pueden observarse síntomas precoces de cambios degenerativos, en especial en aquellos con desejes asociados.
 
ESTUDIOS POR IMÄGENES
La RMN es un estudio clave en la lesiones de raíz meniscal, y debe ser utilizada como complemento de la historia clínica y del examen físico del paciente. Estudios previos han descripto que la RMN posee una sensibilidad del 93.3%, una especificidad del 100% y que posee valores predictivos positivos del 100% para detectar lesiones de raíz meniscal.9,28,29 Sin embargo, estudios recientes han sugerido que la precisión diagnóstica de las lesiones de raíz meniscal usando RMN es altamente dependiente de la calidad de la imagen y de la habilidad del radiólogo.22,30
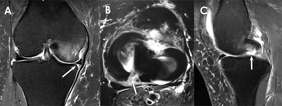
En una revisión de la capacidad diagnóstica de la RMN, De Smet y col.9 sugirieron que ante la sospecha de una lesión de raíz posterior tres áreas deberían ser especialmente evaluadas: entre los tubérculos intercondíleos, a nivel del tubérculo lateral, y en el borde lateral de la eminencia tibial adyacente al tubérculo lateral. A su vez, deben evaluarse los planos coronales y sagitales, ya que la visualización de ambos planos proporcionó un incremento en la sensibilidad.9 Para lograr una mayor sensibilidad y especificidad deberían utilizarse secuencias en T2 con carga de peso ante la sospecha de dichas lesiones. Al examinar una RMN de un paciente con sospecha de una lesión de raíz meniscal hay una serie de signos diagnósticos ha tener en cuenta (fig. 5).
La extrusión meniscal medial, que se define como el desplazamiento parcial o total del menisco sobre el cartílago articular del platillo tibial, es un hallazgo que se correlaciona altamente con la presencia de una lesión de raíz meniscal.28,31,32 Estudios posteriores han demostrado que las extrusiones de menisco medial superiores a los 3 mm se encuentran vinculadas con la degeneración meniscal y las lesiones de raíz.8,32 Otro hallazgo importante a tener en cuenta es la presencia del signo de la imagen fantasma, definido como la ausencia de un segmento meniscal o el aumento en la señal del tejido meniscal en 3 o mas cortes sagitales continuos.8,33
 
 
Figura 5: Resonancia magnética nuclear mostrando una lesión de raíz meniscal. A) Corte coronal en T2 mostrando la extrusión del menisco medial en una rodilla derecha (flecha). B) Corte axial mostrando una imagen hiperintensa propia de una lesión radial a nivel de la unión del cuerno posterior con la inserción de la raíz meniscal en una rodilla derecha (flecha). C) Corte sagital mostrando una imagen fantasma del cuerno posterior del menisco externo en una rodilla derecha (flecha). 
 
 
TRATAMIENTO
Las opciones de tratamiento para las lesiones de raíz meniscal incluyen: tratamiento no quirúrgico, meniscectomía parcial o total y reparación de la raíz meniscal. 
 
Tratamiento no quirúrgico
El tratamiento no quirúrgico se reserva para los pacientes de edad avanzada, con comorbilidades significativas, y pacientes con cambios degenerativos articulares (Outerbridge 3 o 4). El tratamiento sintomático con analgésicos y el uso de un bastón pueden aliviar los síntomas.
 
Meniscectomía
La meniscectomía es una opción terapéutica frecuentemente utilizada, y puede aliviar alguno de los síntomas. Los pacientes que presentan cambios degenerativos articulares, que no respondan al tratamiento no quirúrgico y que presenten síntomas como dolor y/o bloqueo articular, deberían ser considerados como posibles candidatos para realizar una meniscectomía. En aquellos pacientes con lesiones parciales, donde el sitio de inserción de la raíz meniscal se encuentra preservado, la meniscectomía parcial es una opción válida. Aún no hay reportes que clarifiquen que porcentaje de la inserción meniscal debe permanecer intacto para que el menisco conserve su función.
 
Reparación de raíz meniscal
Las principales indicaciones para la reparación son: 
  1. Lesiones traumáticas agudas en pacientes con cartílago articular normal o casi normal. El objetivo es prevenir el aumento de la carga articular que llevaría a una artrosis precoz. Estas lesiones suelen asociarse con lesiones de LCA y lesiones multiligamentarias de rodilla. El cirujano debe evaluar las raíces meniscales rutinariamente en los procedimientos de reconstrucción ligamentaria para asegurar la integridad de las mismas.
  2. En casos de lesiones crónicas y sintomáticas de raíz meniscal en pacientes jóvenes o de mediana edad, que no presenten cambios degenerativos articulares significativos.30 Estas lesiones pueden progresar lentamente, por lo tanto en muchos casos es difícil determinar si la artrosis es producto de la lesión meniscal o si la lesión meniscal fue producto de los cambios degenerativos artrósicos de la rodilla.
 
Reparación transósea
Numerosos autores han descripto técnicas de reparación transósea mediante el pasaje de suturas a través de la raíz meniscal por un túnel en la tibia proximal. Luego de atravesar el o los túneles tibiales, dichas suturas, se atan sobre un puente óseo o sobre un implante en función de poste.34-37 En muchos casos la creación de un portal accesorio posteromedial o posterolateral, puede facilitar el pasaje de suturas a través de la raíz meniscal. Nuestra técnica predilecta para la reparación de las lesiones de raíz posterior implica el pasaje de dos suturas en la raíz meniscal pasadas a través de dos túneles tibiales proximales y fijadas sobre un botón cortical (fig. 6). 
La principal ventaja del uso de un botón es que es menos invasivo y presenta menor riesgo de irritación del implante en comparación con el uso de un tornillo con arandela como lo describió Kim y col.35 Esta técnica ha sido descripta detalladamente por Bhatia y col.30 Es de extrema importancia fijar la raíz meniscal en su sitio de inserción anatómico y con la tensión necesaria para resistir el desplazamiento.24 Se ha documentado un mayor índice de falla al soportar carga en las técnicas quirúrgicas más complejas,38,39 aunque la habilidad de soportar los desplazamientos sea posiblemente de mayor relevancia clínica. Padalecki y col.5 observaron que una reparación in situ de las lesiones radiales de raíz restaurarán los valores de contacto y área articular comparándolos con los de un paciente sano.5 La técnica de fijación mediante túneles transtibiales facilita la reducción anatómica y la fijación de la raíz meniscal. La realización de túneles tibiales podría mejorar el efecto biológico debido a la presencia de factores de crecimiento y células madre de medula ósea. Feucht y col.41 describieron micromovimientos (efecto amortiguador) de la reparación de la raíz, como consecuencia de la gran longitud de la sutura en el túnel tibial. Asimismo, se observó un desplazamiento de 2,2 mm en la reparación meniscal con técnica transtibial en un modelo porcino sometido a cargas cíclicas (fig. 7).41
 
 
Figura 6: Pasos a  seguir durante la reparación artroscópica de una lesión radial de raíz meniscal medial posterior (rodilla izquierda). A) Lesión radial de raíz meniscal. B) Evaluación de la lesión a través de un portal accesorio posteromedial. C) Colocación de las suturas a través del remanente de raíz meniscal. D) Visualización de la raíz posterior luego del pasaje de las suturas a través del túnel tibial. E) Fijación de las suturas sobre botón metálico en la cara anteromedial de la tibia (Modificado y reimpreso con permiso de Bhatia S, LaPrade CM, Ellman MB, LaPrade RF. Meniscal root tears: significance, diagnosis, and treatment. Am J Sports Med. 2014;42(12):30016-3030).
 
 
Figura 7: Técnica de elección para la fijación de una lesión de raíz meniscal posterior de menisco medial, que implica la realización de un túnel tibial fijando las suturas sobre un botón en la cara anteromedial. La colocación anatómica y el tensado adecuado de la fijación son críticos para la curación y la restauración de la función meniscal (Reimpreso con permiso de Padalecki JR, Jansson KS, Smith SD, et al. Biomechanical consequences of a complete radial tear adjacent to the medial meniscus posterior root attachment site: in-situ pullout repair restores derangement of joint mechanics. Am J Sports Med. 2014;42(3):699-707). 
 
 
Sutura con Arpones
La técnica de reparación con arpones para las lesiones de raíz meniscal, es una técnica todo dentro, en la cual un arpón con dos suturas se fija en hueso cortical a nivel del sitio de inserción de la raíz meniscal.42,43 La realización de un portal accesorio posteromedial suele facilitar la colocación del arpón en el sitio anatómico de inserción. Este portal debe realizarse superior a lo habitual para obtener un mejor ángulo de colocación y evitar la colisión con el cóndilo femoral medial. Esta técnica fue descripta por primera vez por Engelsohn y col.44
Los defensores de ésta técnica sostienen que la creación de túneles tibiales podrían interferir con túneles concomitantes utilizados para reconstrucciones ligamentarias. También se evitaría el efecto amortiguador observado en la técnica transtibial. Con ésta técnica también se observa cierto desplazamiento al realizar pruebas cíclicas en un modelo porcino aunque fue menor que en las reparaciones transtibiales (1.3 mm vs 2.2 mm).41
 

REHABILITACIÓN POST OPERATORIA


Luego del diagnóstico y tratamiento de una lesión de raíz meniscal, la rehabilitación juega un rol fundamental en la obtención de resultados óptimos en los pacientes. Si bien no hay un protocolo estandarizado para la rehabilitación de una lesión de raíz meniscal, ciertos lineamientos han sido acordados. La mayoría de los autores recomendó un período inicial de rehabilitación focalizada en la protección de la reparación quirúrgica, seguido por un protocolo de carga progresiva de la rodilla afectada.13,33,45
Luego de una reparación transtibial, los pacientes deberían permanecer sin cargar peso en la rodilla operada por un periodo de 6 semanas.13,33,46 La fisioterapia postoperatoria debería comenzar lo antes posible con el fin de trabajar en el rango de movilidad pasiva de la rodilla en cuestión. La flexión de la rodilla se limita a 0–90º en las primeras 2 semanas, y luego con incrementos progresivos según tolerancia. El incremento en la carga de peso debe ser progresivo hasta soportarlo en forma completa a partir de la octava semana postoperatoria. Se deben evitar los ejercicios de flexión profunda, como la prensa o sentadilla, por un periodo no menor a los 4 meses. El retorno deportivo completo se permite a partir de los 6 meses de la cirugía.13,30,45
 

RESULTADOS


Todavía no hay un consenso con respecto a cual es el tratamiento óptimo a realizar para las lesiones de raíz meniscal. Esto puede deberse a que la mayoría de los estudios realizados son retrospectivos y cuentan con un escaso número de pacientes, de los cuales la mayoría tiene una edad media de 50 años.13,42,43,45,47 La artrosis avanzada se ha asociado con malos resultados.47 La respuesta biológica en personas de edad avanzada podría correlacionarse con algunos de los malos resultados obtenidos. La mayoría de los estudios han descripto una mejoría significativa en los resultados obtenidos luego de una reparación de raíz meniscal, ya sea por técnica transtibial o con el uso de arpón.13,45,47 Sin embargo, se han presentado resultados controversiales luego de realizar una RMN o una artroscopia exploradora. En un meta-análisis reciente Chung y col.48 obtuvieron mejorías significativas en los scores clínicos subjetivos postoperatorios en comparación con los obtenidos previo a la cirugía. La reparación de la raíz posterior del menisco medial no frenó la progresión artrósica ni redujo el grado de extrusión meniscal.48,49 Feucht y col.49 encontraron una mejoría en los resultados luego de la reparación de la raíz posterior del menisco medial con técnica transtibial en una revisión sistemática. Fueron incluidos siete estudios con un total de 172 pacientes, con un seguimiento promedio 30.2 meses. El score de Lysholm mejoró de un 52.4 preoperatorio a 85.9 postoperatorio. El 84% de los pacientes no mostró progresión de la artrosis según la escala de Kellgren-Lawrence. Las imágenes de RMN no mostraron progresión en los cambios degenerativos articulares en el 82% de los pacientes y se observó una reducción en el grado de extrusión meniscal en el 56% de los casos. Basado en una artroscopía exploradora y en la evolución de las imágenes de RMN se observó una curación completa en el 62% de los casos, parcial en el 34% y no se observó curación alguna en el 3%.48 Se ha demostrado que los cambios en la distribución de cargas a partir de una meniscectomía conducen a la artrosis precoz de rodilla.21,22 En un estudio retrospectivo realizado por Ozkoc y col.22 en pacientes con una lesión de raíz posterior de menisco medial tratados con meniscectomía, el score de Lysholm mejoró significativamente, pero hubo un incremento importante en los cambios degenerativos articulares según la graduación radiológica de Kellgren Lawrence luego de un seguimiento promedio de 4.7 años. Dichos autores concluyeron que la meniscectomía parcial genera alivio de la sintomatología causada por la lesión de raíz posterior de menisco medial pero no detiene la progresión a la degeneración articular. Sin embargo, Chung y col.50 compararon los hallazgos clínicos y radiológicos obtenidos entre un grupo al que se le realizó una reparación de lesión de raíz posterior de menisco medial con otro al que se le hizo una meniscectomía parcial, con un seguimiento promedio de 5 años. Se obtuvieron resultados significativamente mejores, tanto en los scores de Lysholm como IKDC, en el grupo de reparación en comparación con el grupo en el que se realizó la meniscectomía. Ambos grupos tuvieron una progresión en los cambios degenerativos articulares según la graduación radiológica de Kellgren-Lawrence y una disminución del espacio articular medial, pero el grupo de reparación tuvo una progresión menor en comparación con el grupo de meniscectomía. El índice de conversión a reemplazo total de rodilla fue del 35% para el grupo en el que se realizó una meniscectomía y ninguno en el grupo de reparación.50
 
CONCLUSIONES
 
Las lesiones de raíz meniscal posterior representan una patología habitualmente subdiagnosticada. La reparación quirúrgica ha demostrado buenos resultados funcionales, aunque todavía hay reportes contradictorios en cuanto a la progresión del deterioro articular. Con la información disponible actualmente podemos decir que es altamente recomendable realizar un procedimiento de reparación de raíz a todo paciente con una lesión de raíz meniscal que no posea cambios degenerativos artrósicos avanzados (Outerbridge 3 y 4).
 

BIBLIOGRAFÍA

  1. Allaire R, Muriuki M, Gilbertson L, Harner CD. Biomechanical consequences of a tear of the posterior root of the medial meniscus. Similar to total meniscectomy. J. Bone Joint Surg. Am. 2008;90:1922-1931.
  2. LaPrade CM, James EW, Cram TR, Feagin JA, Engebretsen L, LaPrade RF. Meniscal root tears: a classification system based on tear morphology. Am J Sports Med. 2015;43:363-369.
  3. Marzo JM, Gurske-DePerio J. Effects of medial meniscus posterior horn avulsion and repair on tibiofemoral contact area and peak contact pressure with clinical implications. Am J Sports Med. 2009;37:124-129.
  4. LaPrade CM, Jansson KS, Dornan G, Smith SD, Wijdicks CA, LaPrade RF. Altered tibiofemoral contact mechanics due to lateral meniscus posterior horn root avulsions and radial tears can be restored with in situ pull-out suture repairs. J. Bone Joint Surg. Am. 2014;96:471-479.
  5. Padalecki JR, Jansson KS, Smith SD, et al. Biomechanical consequences of a complete radial tear adjacent to the medial meniscus posterior root attachment site: in situ pull-out repair restores derangement of joint mechanics. Am J Sports Med. 2014;42:699-707.
  6. Schillhammer CK, Werner FW, Scuderi MG, Cannizzaro JP. Repair of lateral meniscus posterior horn detachment lesions: a biomechanical evaluation. Am J Sports Med. 2012;40:2604-2609.
  7. Feucht MJ, Grande E, Brunhuber J, et al. Biomechanical evaluation of different suture materials for arthroscopic transtibial pull-out repair of posterior meniscus root tears. Knee Surg. Sports Traumatol. Arthrosc. 2015;23:132-139.
  8. Lerer DB, Umans HR, Hu MX, Jones MH. The role of meniscal root pathology and radial meniscal tear in medial meniscal extrusion. Skeletal Radiol. 2004;33:569-574.
  9. De Smet AA, Mukherjee R. Clinical, MRI, and arthroscopic findings associated with failure to diagnose a lateral meniscal tear on knee MRI. AJR Am. J. Roentgenol. 2008;190:22-26.
  10. Feucht MJ, Bigdon S, Mehl J, et al. Risk factors for posterior lateral meniscus root tears in anterior cruciate ligament injuries. Knee Surg. Sports Traumatol. Arthrosc. 2015;23:140-145.
  11. Feucht MJ, Salzmann GM, Bode G, et al. Posterior root tears of the lateral meniscus. Knee Surg. Sports Traumatol. Arthrosc. 2015;23:119-125.
  12. Hwang BY, Kim SJ, Lee SW, et al. Risk factors for medial meniscus posterior root tear. Am. J. Sports Med. 2012;40:1606-1610.
  13. Kim SB, Ha JK, Lee SW, et al. Medial meniscus root tear refixation: comparison of clinical, radiologic, and arthroscopic findings with medial meniscectomy. Arthroscopy. 2011;27:346-354.
  14. Kim YJ, Kim JG, Chang SH, Shim JC, Kim SB, Lee MY. Posterior root tear of the medial meniscus in multiple knee ligament injuries. The Knee. 2010;17:324-328.
  15. Ra HJ, Ha JK, Jang HS, Kim JG. Traumatic posterior root tear of the medial meniscus in patients with severe medial instability of the knee. Knee Surg Sports Traumatol Arthrosc. 2015;23:3121-3126.
  16. LaPrade CM, Smith SD, Rasmussen MT, et al. Consequences of tibial tunnel reaming on the meniscal roots during cruciate ligament reconstruction in a cadaveric model, Part 1: The anterior cruciate ligament. Am J Sports Med. 2015;43:200-206.
  17. Watson JN, Wilson KJ, LaPrade CM, et al. Iatrogenic injury of the anterior meniscal root attachments following anterior cruciate ligament reconstruction tunnel reaming. Knee Surg Sports Traumatol Arthrosc. 2015;23:2360-2366.
  18. LaPrade CM, Jisa KA, Cram TR, LaPrade RF. Posterior lateral meniscal root tear due to a malpositioned double-bundle anterior cruciate ligament reconstruction tibial tunnel. Knee Surg Sports Traumatol Arthrosc. 2015;23:3670-3673.
  19. Laprade CM, James EW, Engebretsen L, Laprade RF. Anterior medial meniscal root avulsions due to malposition of the tibial tunnel during anterior cruciate ligament reconstruction: two case reports. Knee Surg Sports Traumatol Arthrosc. 2014;22:1119-1123.
  20. Ellman MB, James EW, LaPrade CM, LaPrade RF. Anterior meniscus root avulsion following intramedullary nailing for a tibial shaft fracture. Knee Surg. Sports Traumatol. Arthrosc. 2015;23:1188-1191.
  21. Han SB, Shetty GM, Lee DH, et al. Unfavorable results of partial meniscectomy for complete posterior medial meniscus root tear with early osteoarthritis: a 5- to 8-year follow-up study. Arthroscopy. 2010;26:1326-1332.
  22. Ozkoc G, Circi E, Gonc U, Irgit K, Pourbagher A, Tandogan RN. Radial tears in the root of the posterior horn of the medial meniscus. Knee Surg Sports Traumatol Arthrosc. 2008;16:849-854.
  23. LaPrade CM, Foad A, Smith SD, et al. Biomechanical consequences of a nonanatomic posterior medial meniscal root repair. Am J Sports Med. 2015;43:912-920.
  24. Johannsen AM, Civitarese DM, Padalecki JR, Goldsmith MT, Wijdicks CA, LaPrade RF. Qualitative and quantitative anatomic analysis of the posterior root attachments of the medial and lateral menisci. Am. J. Sports Med. 2012;40:2342-2347.
  25. Benjamin M, Evans EJ, Rao RD, Findlay JA, Pemberton DJ. Quantitative differences in the histology of the attachment zones of the meniscal horns in the knee joint of man. J. Anat. 1991;177:127-134.
  26. Matheny LM, Ockuly AC, Steadman JR, LaPrade RF. Posterior meniscus root tears: associated pathologies to assist as diagnostic tools. Knee surgery, sports traumatology, arthroscopy : official journal of the ESSKA. 2015;23:3127-3131.
  27. Lee DW, Ha JK, Kim JG. Medial meniscus posterior root tear: a comprehensive review. Knee Surg Relat Res. 2014;26:125-134.
  28. Choi SH, Bae S, Ji SK, Chang MJ. The MRI findings of meniscal root tear of the medial meniscus: emphasis on coronal, sagittal and axial images. Knee Surg. Sports Traumatol. Arthrosc. 2012;20:2098-2103.
  29. Harper KW, Helms CA, Lambert HS, 3rd, Higgins LD. Radial meniscal tears: significance, incidence, and MR appearance. AJR Am. J. Roentgenol. 2005;185:1429-1434.
  30. Bhatia S, LaPrade CM, Ellman MB, LaPrade RF. Meniscal root tears: significance, diagnosis, and treatment. Am. J. Sports Med. 2014;42:3016-3030.
  31. Magee T. MR findings of meniscal extrusion correlated with arthroscopy. J Magn Reson Imaging. 2008;28:466-470.
  32. Costa CR, Morrison WB, Carrino JA. Medial meniscus extrusion on knee MRI: is extent associated with severity of degeneration or type of tear? AJR Am. J. Roentgenol. 2004;183:17-23.
  33. Papalia R, Vasta S, Franceschi F, D’Adamio S, Maffulli N, Denaro V. Meniscal root tears: from basic science to ultimate surgery. Br Med Bull. 2013;106:91-115.
  34. Raustol OA, Poelstra KA, Chhabra A, Diduch DR. The meniscal ossicle revisited: etiology and an arthroscopic technique for treatment. Arthroscopy. 2006;22:687.e681-683.
  35. Kim YM, Rhee KJ, Lee JK, Hwang DS, Yang JY, Kim SJ. Arthroscopic pullout repair of a complete radial tear of the tibial attachment site of the medial meniscus posterior horn. Arthroscopy. 2006;22:795.e791-794.
  36. Ahn JH, Wang JH, Yoo JC, Noh HK, Park JH. A pull out suture for transection of the posterior horn of the medial meniscus: using a posterior trans-septal portal. Knee Surg. Sports Traumatol. Arthrosc. 2007;15:1510-1513.
  37. Nicholas SJ, Golant A, Schachter AK, Lee SJ. A new surgical technique for arthroscopic repair of the meniscus root tear. Knee Surg Sports Traumatol Arthrosc. 2009;17:1433-1436.
  38. Feucht MJ, Minzlaff P, Saier T, Lenich A, Imhoff AB, Hinterwimmer S. Avulsion of the anterior medial meniscus root: case report and surgical technique. Knee Surg. Sports Traumatol. Arthrosc. 2015;23:146-151.
  39. Kopf S, Colvin AC, Muriuki M, Zhang X, Harner CD. Meniscal root suturing techniques: implications for root fixation. Am. J. Sports Med. 2011;39:2141-2146.
  40. Starke C, Kopf S, Grobel KH, Becker R. The effect of a nonanatomic repair of the meniscal horn attachment on meniscal tension: a biomechanical study. Arthroscopy. 2010;26:358-365.
  41. Feucht MJ, Grande E, Brunhuber J, et al. Biomechanical comparison between suture anchor and transtibial pull-out repair for posterior medial meniscus root tears. Am. J. Sports Med. 2014;42:187-193.
  42. Kim JH, Chung JH, Lee DH, Lee YS, Kim JR, Ryu KJ. Arthroscopic suture anchor repair versus pullout suture repair in posterior root tear of the medial meniscus: a prospective comparison study. Arthroscopy. 2011;27:1644-1653.
  43. Jung YH, Choi NH, Oh JS, Victoroff BN. All-inside repair for a root tear of the medial meniscus using a suture anchor. Am. J. Sports Med. 2012;40:1406-1411.
  44. Engelsohn E, Umans H, Difelice GS. Marginal fractures of the medial tibial plateau: possible association with medial meniscal root tear. Skeletal Radiol. 2007;36:73-76.
  45. Lee JH, Lim YJ, Kim KB, Kim KH, Song JH. Arthroscopic pullout suture repair of posterior root tear of the medial meniscus: radiographic and clinical results with a 2-year follow-up. Arthroscopy. 2009;25:951-958.
  46. Jones RS, Keene GC, Learmonth DJ, et al. Direct measurement of hoop strains in the intact and torn human medial meniscus. Clin. Biomech. (Bristol, Avon). 1996;11:295-300.
  47. Moon HK, Koh YG, Kim YC, Park YS, Jo SB, Kwon SK. Prognostic factors of arthroscopic pull-out repair for a posterior root tear of the medial meniscus. Am J Sports Med. 2012;40:1138-1143.
  48. Chung KS, Ha JK, Ra HJ, Kim JG. A meta-analysis of clinical and radiographic outcomes of posterior horn medial meniscus root repairs. Knee Surg. Sports Traumatol. Arthrosc. 2015.
  49. Feucht MJ, Kuhle J, Bode G, et al. Arthroscopic Transtibial Pullout Repair for Posterior Medial Meniscus Root Tears: A Systematic Review of Clinical, Radiographic, and Second-Look Arthroscopic Results. Arthroscopy. 2015;31:1808-1816.
  50. Chung KS, Ha JK, Yeom CH, et al. Comparison of Clinical and Radiologic Results Between Partial Meniscectomy and Refixation of Medial Meniscus Posterior Root Tears: A Minimum 5-Year Follow-up. Arthroscopy. 2015;31:1941-1950.

ARTROSCOPIA | VOL. 23, Nº 1 : 10-14 | 2016

ARTÍCULO ORIGINAL

Ganglión Espino-Glenoideo: Descompresión y Reparación Labral Artroscópica. Resultados Funcionales e Imagenológicos
Matías Pereira Duarte, Maria Laura Tripodi, Hugo Santiago Barros Moreta, Maximiliano Tanoira, Maximiliano Ranalletta, Gaston Maignon
 
Hospital Italiano de Buenos Aires, CABA

Esta dirección de correo electrónico está siendo protegida contra los robots de spam. Necesita tener JavaScript habilitado para poder verlo.


RESUMEN
Introducción: El ganglión espinoglenoideo puede ser causa de la compresión extrínseca del nervio supraescapular produciendo dolor posterior en el hombro y déficit en la rotación externa sostenida. Varios estudios demuestran la prevalencia de la lesión del labrum asociado a esta patología, esta funciona como válvula, produciendo la salida de líquido sinovial hacia los tejidos secundario al aumento de presión intra articular.
Nuestro objetivo es evaluar los resultados funcionales e imagenológicos de la descompresión artroscópica del quiste espinoglenoideo con reparación labral asociada.
Materiales y Métodos: Entre 2005 y 2013 se evaluaron retrospectivamente 21 pacientes con síndrome de compresión del nervio supraescapular por la presencia de un ganglion espinoglenoideo. En 10 de ellos estaba involucrado el lado hábil. Presentaban dolor posterior con resonancia diagnóstica y ausencia de respuesta al tratamiento conservador.
A la totalidad de estos pacientes se les realizó descompresión y reparación labral artroscópica por el mismo cirujano. Fueron estudiados con escalas funcionales (Rowe y Constant) y resonancia magnética pre y post operatoria analizando diámetro del quiste, recidiva e infiltración grasa (Goutallier). 
Resultados: El promedio de edad fue de 39,19 años (19-60 años), todos masculinos. La resolución completa del quiste se evidenció en 20 pacientes.
Con La escala de Rowe se obtuvo un resultado final promedio de 97,86 (pre 87,39; P= <0.001) y un Constant promedio de 89,95 (pre 66,24; P= <0.001).
Ningún paciente tuvo recidiva, se observó en un paciente quiste residual con diámetro de 1,3 cm sin sintomatología (escalas pre y postoperatorias: Rowe 80/95, Constant 59/90).
Conclusión: La descompresión artroscópica del ganglión espinoglenoideo asociado a reparación del labrum es un método efectivo para mejorar la sintomatología en pacientes que no responden al tratamiento conservador.
 
Tipo de estudio: Serie de casos
Nivel de evidencia: IV
Palabras Clave: Quiste; Espinoglenoideo; Descompresion; Inestabilidad; Labrum; Goutallier
 
SUMMARY
Spinoglenoid Cyst: arthroscopic decompression, funtional and imaging results.
Introduction: The spinoglenoid cyst may cause extrinsic compression of the suprascapular nerve producing posterior shoulder pain and deficit in sustained external rotation. Several studies have shown the prevalence of labral injury associated with this disease, this functions as a valve, causing the output of synovial fluid into the tissues secondary to increased intra articular pressure.
Our objective is to evaluate the functional and imaging results of arthroscopic spinoglenoid cyst decompression associated with labral repair.
Materials and methods: We retrospectively analyzed 21 patients treated in our Hospital, from 2005 to 2013. All of them presented dorsal shoulder pain, a diagnostic resonance and lack of response to conservative treatment.
All underwent arthroscopic labral repair with decompression by the same surgeon. We evaluated them by functional scales (Rowe and Constant) and magnetic resonance analyzing pre- and postoperative diameter of cyst, its recurrence and fatty infiltration of the infraspinatus muscle (Goutallier).
Results: The average age was 39.19 years (19-60 years), all male.
Complete resolution of the cyst was observed in 20 patients.
Avarage posoperative Constant score was 89.95 (pre 66.24; P = <0.001); avarage Rowe scale posoperative score was 97.86 (P = <0.001 pre 87.39).
No patient experienced recurrence and there was an asymptomatic patient with a 1.3 wide residual cyst diameter (final scales: Rowe 95 Constant 90).
Conclusion: Arthroscopic spinoglenoid cyst decompression associated with labral repair is an effective method of improving symptoms in patients who do not respond to conservative treatment.
 
Type Study: Case series
Level of evidence: IV
Key Words: Cyst; Spinoglenoid; Decompression; Instability; Labrum; Goutallier

 


 

 

INTRODUCCIÓN


La neuropatía del nervio supraescapular es considerada una de las causas de dolor y disfuncionalidad del miembro superior.1-12
El nervio supraescapular es un nervio motor principalmente, proviene de las raíces nerviosas C5-C6 y en grado variable de C4, pasa sobre le borde superior de la escápula, a través de la escotadura supraescapular y entra en la fosa supraespinosa para enervar a éste músculo. La rama inferior de este nervio pasa por debajo del ligamento transverso escapular inferior (ligamento espino glenoideo, presente en el 87% de hombres y en el 50% de mujeres) posterolateralmente y a través de la escotadura espino-glenoidea alcanzando la fosa infraespinosa e inervando al músculo infraespinoso. Es a este nivel donde ciertos procesos patológicos (fig. 1), como en éste caso el ganglión espino-glenoideo, ocasionan la neuropatía compresiva.13,15,17
Otras posibles etiologías de la lesión de éste nervio son la infecciosa, patología traumática por tracción en deportistas lanzadores, o la compresiva a causa de hematomas, tumores o la misma hipertrofia del ligamento espino-glenoideo inferior.9
El quiste espino-glenoideo es una de las etiologías de la neuropatía aislada del nervio supraescapular distal. Se presenta típicamente con dolor posterior en el hombro, atrofia selectiva del infraespinoso y debilidad en la rotación externa contra resistencia. Algunos pacientes presentan además, signos y síntomas de inestabilidad por lesión labral posterosuperior asociada. 
Existe marcada relación entre los quistes espino-glenoideos y la patología labral concomitante. Piatt et al. documentaron un 89% de coexistencia de quiste glenoideo y desgarro labral, generalmente con lesiones tipo SLAP.
El tratamiento de esa patología puede ser quirúrgico y no quirúrgico. El tratamiento no quirúrgico consta de analgésicos antiinflamatorios no esteroideos, rehabilitación kinesica y fortalecimiento de la musculatura escapular, haciendo hincapié en los rotadores externos.  
Dentro de los tratamientos cruentos se describe la punción percutanea y drenaje del quiste, y la descompresión quirúrgica, a cielo abierto o artroscopia, con o sin reparación de la lesión labral asociada.1,6,7,11
El objetivo primario de nuestro estudio es evaluar los resultados clínicos e imagenológicos de pacientes con neuropatía supraescapular distal asociada a compresión por quiste espino-glenoideo tratados con descompresión y reparación del labrum por vía artroscópica. Como objetivo secundario nos planteamos analizar los resultados según 2 grupos etarios marcados, mayores y menores de 40 años.
 
Figura 1: Anatomía del Nervio Supraescapular. Sitio de compresión por ganglión espino-glenoideo (flecha).
 
 
MATERIALES y MÉTODOS
Se realizó un estudio retrospectivo observacional de 21 pacientes (tabla 1) que cumplían con los siguientes criterios de inclusión: 
  1. Pacientes mayores de 18 años de edad;
  2. Diagnóstico de neuropatía supraescapular asociada a compresión por quiste espino-glenoideo; 
  3. Falta de respuesta al tratamiento conservador por un período mínimo de 6 meses; 
  4. Tratados con descompresión y reparación labral por vía artroscópica entre enero 2005 y enero 2013;
  5. Seguimiento mínimo de 1 año. 
Todos los pacientes presentaban dolor posterior con resonancia diagnóstica y posoperatoria.
Para la evaluación clínica se utilizaron las escalas clínico funcionales de Rowe y Constant-Murley. Imagenológicamente, se estudiaron mediante resonancia magnética sin contraste pre y posoperatoria, en la que se analizó la presencia, persistencia o recidiva del quiste e infiltración grasa del músculo infraespinoso con la escala de Goutallier (tabla 2), a pesar de haber sido descripta en tomografía computada inicialmente. De los pacientes que cumplieron con los criterios de inclusión, no se perdió a ninguno durante el seguimiento.
Se realizó un análisis estadístico de los resultados obtenidos mediante la ecuación de t Test y un análisis diferencial de la población en base a dos grupos etáreos, mayores y menores de 40 años. Utilizamos este punto de corte ya que es el valor de la media y la mediana de edades.
 
 
 

 
Técnica Quirúrgica
Todos los procedimientos fueron realizados utilizando anestesia combinada, un bloqueo interlescalenico asociado a anestesia general. Se coloca al paciente en decúbito lateral con una tracción de miembro afectado del 10% de su peso. Se realiza un portal posterior y se procede a  la exploración intrarticular; se realizan luego los portales anterior los portales anteriores  y anterolateral. Se coloca la óptica de 30° por el portal anterior. Se realiza la liberación  de la lesión sobre el  labrum posterosuperior con una legra artroscópica constatándose la salida del contenido del quiste bajo visión directa. Se completa la descompresión mediante la utilización de una fresa (shaver), con la que  se realiza además el cruentado del borde postero superior de la glena. Se coloca una arpón Y-KNOT® de 1,3 mm. (CONMED-LINVATEC) con doble sutura HIFI®. Se realizan 4 puntos todos posteriores a la inserción de la porción larga de bíceps y de tipo colchonero. Se corrobora la estabilidad de la reparación y se cierran los portales con nylon.
 
Cuidados Posoperatorios
En el postoperatorio los pacientes permanecieron inmovilizados durante 4 semanas con cabestrillo, realizando movimientos activos de flexo-extensión de codo y muñeca, momento en el que comienza la rehabilitación kinésica con movilidad pasiva y movimientos pendulares, incrementando la movilidad y fuerza para un retorno deportivo completo a los 6 meses en promedio.
 
 
RESULTADOS
El promedio de edad al momento de la cirugía fue de 39,19 años (19-62 años), todos masculinos, con un promedio de seguimiento de 4,1 años (1–9). Diez de los 21 pacientes presentaban compromiso de su lado hábil (48%). 
En la escala de Rowe se obtuvo un resultado final promedio excelente de 97,86 DE +/- 4,62 con un valor promedio previo satisfactorio de 87,39 DE +/- 10,32 (P= <0,001). Al realizar el análisis diferencial por grupo etáreo encontramos que el valor promedio preoperatorio de la escala de Rowe en los menores de 40 años fue de 86,25 DE +/- 10,02 y el posoperatorio de 97,08 DE +/- 5,82, siendo una diferencia estadísticamente significativa (P= 0,0008). Lo mismo acontece en los pacientes mayores de 40 años, en los que el valor promedio preoperatorio fue de 88,88 DE +/- 11,11 con un posoperatorio de 98,88 DE +/- 2,20. (P= 0,0249). 
En la escala de Constant-Murley obtuvimos un valor promedio preoperatorio pobre, 66,23 DE +/- 7,77 mientras que el valor posoperatorio promedio fue bueno, de 89,95 DE +/- 5,00 (P= <0,001). Tanto en los pacientes mayores como menores de 40 años se encontraron diferencias estadísticamente significativas en esta escala, siendo los valores promedios preoperatorios de 64,55 DE +/- 6,72 y 67,5 DE +/- 8,54, y posoperatorios de 90,88 DE +/- 4,80 y de 89,25 DE +/- 5,24, (ambas P < 0,001) respectivamente.
La resolución completa del quiste se evidenció en 20 pacientes (fig. 2). Ningún paciente tuvo recidiva, se observó en un paciente el quiste residual asintomático con un diámetro de 1,3 cm en el plano coronal (escalas finales: Rowe 95 y Constant 90).
No se evidenció la progresión en la infiltración grasa del infraespinoso salvo en 1 caso, paciente de 30 años el cual evolucionó de un Goutalier 0 (sin infiltración grasa) a un Goutallier 1 (pequeñas estrías grasas), con buena evolución en las escalas funcionales (valores finales: Rowe 95 y Constant 88). Las diferencias en los grados de infiltración grasa del infraespinoso pre y posoperatorias no fueron significativas arrojando valores de P de 0,3388 y 1 en los menores y mayores de 40 años respectivamente.
No se registraron complicaciones infecciosas en ninguno de los pacientes y ninguno tuvo que ser reintervenido hasta el último control.
 
 
Figura 2: Paciente de 32 años con omalgia derecha. A) Imágenes preoperatorias. B) Imágenes de control posoperatorias.
 

DISCUSIÓN


El tratamiento de la neuropatía supraescapular distal causada por un quiste espino-glenoideo incluye un periodo de tratamiento conservador,6 mínimo de 6 meses, consistente en fisioterapia y fortalecimiento muscular, ya que se han reportado casos de reabsorción espontanea del quiste, y el tratamiento quirúrgico para aquellos pacientes en los que haya fallado, mediante una resección del quiste o descompresión del mismo, abierta o artroscópica, asociada a la reparación labral concomitante. También se han descripto casos con reparación labral únicamente sin descompresión, habiéndose obtenidos buenos resultados clínicos con un 12% de persistencia asintomática de los gangliones.1
Cecile P. et al. reporta una serie de 42 pacientes tratados sin descompresión con buena evolucion clínica, sin embargo no cuentan con un control de imágenes posoperatorias para verificar la persistencia o no del quiste.20
Nuestro estudio evidencia una mejoría significativa en la evaluación clínica luego de la cirugía de descompresión y reparación labral artroscópica, esto se correlaciona con la ausencia del quiste en la resonancia de control. Sin embargo, evidenciamos la persistencia del mismo en un paciente de 58 años de manera asintomática con un promedio de seguimiento de 8 años.
Hawkins et al. reportó 73 pacientes con ganglio espinoglenoideo, de éstos, 25 presentaron excelentes resultados al ser tratados con descompresión y reparación labral.14
Nuestro trabajo evidencia resultados funcionales buenos y excelentes mediante el tratamiento artroscópico de reparación labral y descompresión del ganglión. Está demostrado que el abordaje artroscópico presenta tasas similares de eficacia y tiene ventajas sobre la técnica abierta, como ser menor morbilidad con tiempos de recuperación y rehabilitación más rápidos.
Si bien es un trabajo restrospectivo sin grupo control y con un tamaño muestral pequeño encontramos nuestras fortalezas en un mismo equipo quirurgico y cirujano de planta para todos los casos, utilizando en todos la misma técnica quirúrgica, contamos con un seguimiento promedio a mediano plazo y un análisis estadístico de los datos obtenidos.
 
CONCLUSIÓN
Tratamiento artroscópico mediante la descompresión y la reparación de la lesión labral asociada al quiste espino-glenoideo es efectivo para la neuropatía aislada del Nervio supraescapular, logrando buenos resultados funcionales, sin signos residuales de inestabilidad ni recidiva imagenológica sintomatica. Asimismo, no hubo diferencias significativas en la evolución de los pacientes según su grupo etario de pertenencia, tanto los mayores como menores de 40 años presentaron respuesta favorable ante esta opción terapéutica.
 

BIBLIOGRAFÍA

  1. Abboud J. a, Silverberg D., Glaser D.L., Ramsey M.L., Williams G.R.: Arthroscopy Effectively Treats Ganglion Cysts of the Shoulder. Clinical Orthopaedics and Related Research, 443: 129–133, 2006. 
  2. Bhatia D.N., de Beer J.F., Van Rooyen K.S., Du Toit, D.F.: Arthroscopic suprascapular nerve decompression at the suprascapular notch. Arthroscopy : The Journal of Arthroscopic & Related Surgery : Official Publication of the Arthroscopy Association of North America and the International Arthroscopy Association, 22(9), 1009–13, 2006. 
  3. Takagishi K., Soitoh A., Tonegawa M., Ikeda T., Itoman M.: Isolated paralysis of the infraspinatus muscle. J Bone joint surg (Br). Vol 76-B, No 4, July: 584–587, 1994.
  4. Skirving P., Kozak T.K.W., Davis S.J.: Infraspinatus paralysis due to spinoglenoid notch ganglion, J Bone joint surg (Br). Vol 76-B, No 4, July: 588–591, 1994.
  5. Chen AL, Ong BC, Rose DJ. Arthroscopic management of sinoglenoid cysts associated with SLAP lesions and suprascapular neuropathy. Arthroscopy 19(6): 15–21, 2003.
  6. Davidge C.M., Walker R., Brett K., Boorman R.S.: Spontaneous resolution of a spinoglenoid notch cyst and associated suprascapular nerve palsy: a case report. J Shoulder Elbow Surg 16(3): 4–7, 2007.
  7. Ghodadra N., Nho S.J., Verma N.N., Reiff S., Piasecki D.P., Provencher M.T., Romeo A.: Arthroscopic decompression of the suprascapular nerve at the spinoglenoid notch and suprascapular notch through the subacromial space. Arthroscopy 25(4): 439–45, 2009.
  8. Han K.J., Cho J.H., Han S.H., Hyun H.S., Lee D.H.: Subacromial impingement syndrome secondary to scapulothoracic dyskinesia. Knee Surgery, Sports Traumatology, Arthroscopy : Official Journal of the ESSKA, 20(10), 1958–60, 2012.
  9. Hazrati Y., Miller S., Moore S., Hausman M., Flatow E.: Suprascapular nerve entrapment secondary to a lipoma. Clin Orthop Rel Res (411), 124–8, 2003.
  10. Hobby J., Griffin D., Dunbar M., Boileau P.: Is arthroscopic surgery for stabilisation of chronic shoulder instability as effective as open surgery? A systematic review and meta-analysis of 62 studies including 3044 arthroscopic operations. J Bone Joint Surg (Br) Vol 89(9), 1188–96, 2007.
  11. Lee B.C.S., Edin M., Yegappan M., Glas F., Thiagarajan P., Glas F.: Case Report Suprascapular Nerve Neuropathy Secondary to Spinoglenoid Notch Ganglion Cyst: Case Reports and Review of Literature. Ann Acad Med Singapore: 36; 1032–1035, 2007.
  12. Keener J.D., Brophy R.H.: Superior Labral Tears of the showlder: pathogenesis, evaluation and treatment. JAAOS; 17 (October): 627–637, 2009.
  13. Rhee K.J., Kim K.C., Lee J.K., Hwang D.S., Shin H.D., Yang J.Y., Kim Y.M.: Incomplete discoid glenoid labrum combined with a ganglion cyst of the spinoglenoid notch. J Bone Joint Surg. (Br), 88(10): 11390–2, 2006.
  14. Romeo A.A., Bach B.R., Nicholson G.P., Piasecki D.P.: Suprascapular Neuropathy. JAAOS 2009 (Nov) Vol 17, No 11: 665–676, 2009.
  15. Romeo A.A., Rotenberg D.D., Bach B.R.: Suprascapular neuropathy. JAAOS; 7: 358–367, 1999.
  16. Schroder C.P., Skare O., Stiris M., Gjengedal E., Uppheim G., Brox, JI.: Treatment of labral tears with associated spinoglenoid cysts without cyst decompression. J Bone Joint Surg. (Am) Vol 90(3): 523–30, 2008.
  17. Werner C.M.L., Nagy L., Gerber C.: Combined intra- and extra-articular arthroscopic treatment of entrapment neuropathy of the infraspinatus branches of the suprascapular nerve caused by a periglenoidal ganglion cyst. Arthroscopy : The Journal of Arthroscopic & Related Surgery : Official Publication of the Arthroscopy Association of North America and the International Arthroscopy Association, 23(3), 328, 2007.
  18. Westerheide K.J., Dopirak R.M., Karzel R.P., Snyder S.J.: Suprascapular nerve palsy secondary to spinoglenoid cysts: results of arthroscopic treatment. Arthroscopy 22(7), 721–7, 2006.
  19. Antoniou J., Tae S.K., Williams, G. R., Bird, S., Ramsey, M. L., Iannotti, J. P. Suprascapular neuropathy: variability in the diagnosis, treatment and outcome. Clin Orthop Rel Res. No 386; 131–138, 2001.
  20. Youm T., Matthews P. V, El Attrache, N. S.: Treatment of patients with spinoglenoid cysts associated with superior labral tears without cyst aspiration,    debridement, or excision. Arthroscopy Vol 22, No 5 (May): 548-552, 2006.
  21. Arcuri F., Abalo E. y Barclay F.: Uso de Scores para la Evaluación de la Inestabilidad de Hombro. Artroscopia, Vol 19, N 1: 67-72, 2012.

ARTROSCOPIA | VOL. 23, Nº 1 : 15-21 | 2016

ARTÍCULO ORIGINAL

Inestabilidad Lateral de Tobillo. Reconstrucción Anatómica con Injerto Autólogo. Técnica Percutánea y Artroscopia de Tobillo
Tomás Lomas Santillan, Luis Soto, Javier B. Mastropierro
 
Equipo de Artroscopía y Traumatología Deportiva Hospital de Clínicas José de San Martín. Universidad de Buenos Aire

Esta dirección de correo electrónico está siendo protegida contra los robots de spam. Necesita tener JavaScript habilitado para poder verlo.


RESUMEN
Objetivo: El propósito de este estudio fue evaluar los resultados funcionales y radiográficos a mediano plazo de la reconstrucción anatómica percutánea con injerto de semitendinoso autólogo de los ligamentos talofibular anterior (LTFA) y el ligamento calcaneofibular (LCF), más artroscopía de tobillo en los casos de inestabilidad crónica de tobillo.
Materiales y métodos: Este estudio retrospectivo implicó una revisión de los registros de 20 pacientes con  inestabilidad lateral crónica de tobillo, tratados desde el año 2010 hasta el año 2014. 
Se utilizaron la escala de puntuación VAS y de Karlsson–Peterson.
Se evaluó el grado de satisfacción de los pacientes.
Radiográficamente se midieron ángulos de inclinación talar y cajón anterior, se evaluaron en posiciones de estrés pre y postoperatorio del tobillo.
Resultados: La inestabilidad del tobillo evaluada radiográficamente mejoró significativamente: disminuyó la inclinación talar de11,5 º a 3,5º y la prueba de cajón anterior disminuyó de 7 mm preoperatoria a 3 mm postoperatoria.
No hubo perdida de la movilidad articular postoperatoria: la dorsiflexión promedio, medida con un goniómetro, fue de 14,8°, en comparación con 15,1° en el tobillo no operados, y la flexión plantar promedio 46.0°, en comparación con 46.7° en el tobillo no operados.
Discusión: El tratamiento combinado de reparación percutánea de los ligamentos laterales de tobillo y artroscopía es una opción viable para el tratamiento de la inestabilidad lateral crónica del tobillo y sus lesiones intrarticulares asociadas, proporcionando una fijación estable, disminuyendo los signos clínicos y radiológicos de inestabilidad, mejorando los síntomas y proporcionando resultados clínicos satisfactorios en el mediano plazo. 
 
Tipo de estudio: Serie casos
Nivel de evidencia: III
Palabra clave: Inestabilidad Crónica Tobillo; Artroscopia de Tobillo; Reparación ligamentos tobillo
 
 
SUMMARY
Objective:The purpose of this study was to evaluate the functional and radiographic results at medium term of the anatomic percutaneous reconstruction with autologus graft of the semitendinosus, of the anterior talofibular ligament (ATFL) and the calcaneofibular ligament (CFL),  in addition to a arthroscopy in cases of chronic ankle instability. 
Materials and methods: This retrospective study involved a review of the records of 20 patients with chronic lateral ankle instability treated between 2010 to 2014. The Karlsson–Peterson ankle rating score was used.Measured radiografically was the tilt angle and distance of the anterior drawer test, in stress positioning preoperative and postoperative of the ankle. 
Results: Ankle instability evaluated radiographically improved significantly decreased : talar tilt de11,5º about 3.5° and anterior drawer test decreased from 7 mm to 3 mm preoperative postoperative .
There was no loss of joint mobility postoperative : The average dorsiflexion measured with goniometer  was 14.8°, 15.1° compared to non-operated ankle and plantar flexion average 46.0°, compared with 46.7° ankle unoperated.
Discussion: The combined treatment of percutaneous repair of the lateral ligaments and arthroscopy is a viable option for the treatment of chronic lateral instability of theankle and associated intra-articular injuries, providing a stable fixation, reducing the clinical and radiological signs of instability, improving symptoms and producing satisfactory clinical results in the medium term.
 
Type Study: Case series
Level of evidence: III
Key Words: Chronic Ankle Instability; Ankle Arthroscopy; Repair Ankle Ligaments

 


 

INTRODUCCIÓN


Las lesiones ligamentarias del tobillo son los más comunes relacionadas con los deportes. Alrededor del 75% de todas las lesiones de tobillo son esguinces, un 85% de estos son injurias por inversión.1
La mayoría de estas lesiones responderán bien a las medidas conservadoras; sin embargo, a pesar del tratamiento apropiado y la rehabilitación, cerca del 10% al 30% de estos pacientes experimentarán inestabilidad lateral crónica del tobillo (ILCT).1 Además, aunque la rehabilitación a menudo mejora las inestabilidades de tobillo, algunos pacientes eventualmente son candidatos para la reconstrucción quirúrgica de los ligamentos laterales del tobillo debido a la inestabilidad persistente.                                                                                              
Más de 50 procedimientos quirúrgicos se han descrito como tratamiento para la inestabilidad crónica del ligamento lateral del tobillo. Los procedimientos pueden dividirse en reconstrucciones anatómicas y no anatómicas.                                                                                
En la reconstrucción no anatómica se utiliza el tendón del peroneo lateral corto como en la técnica descripta por Watson-Jones, para recuperar la estabilidad lateral del tobillo. Está generalmente aceptado que el rango de movimiento del tobillo después de una reconstrucción no anatómica está restringido, y que la alteración cinemática de la parte posterior del pie que produce, puede conducir a la artrosis subastragalina.2,3
En la reconstrucción anatómica la posición de las inserciones y el origen de los ligamentos son restaurados, ya sea mediante el uso de tejidos endógenos, injerto sintético o por reparación directa.
La reparación directa consiste en la sutura y conservación del ligamento talofibular anterior (LTFA) y del ligamento calcaneofibular (LCF). Comprende las técnicas de Bostrom, o la Bostrom modificada por Gould, y la técnica de Karlsson.4
Las reconstrucciones se basan en el uso de autoinjertos o aloinjertos.5
Sin embargo, la mejor opción quirúrgica sigue siendo discutible. 
Las tasas de éxito después de la reparación anatómica han sido tan altas como el 96%. Sin embargo, un subconjunto de la población puede experimentar discapacidad crónica. Algunos autores han postulado que las lesiones intrarticulares son las encargadas de estos síntomas crónicos.6,7 La causa del dolor persistente de tobillo después de la reconstrucción de los  ligamentos no ha sido totalmente determinada. La incidencia de las lesiones condrales se ha observado que van de 25% a 95%. Se presume que las lesiones condrales, la sinovitis, los osteofitos anteriores de la tibia o el astrágalo son la causa del dolor persistente de tobillo después de la reconstrucción ligamentaria exitosa.
 

HIPÓTESIS


El tratamiento artroscópico de las lesiones intrarticulares, junto con la reconstrucción anatómica ligamentaria lateral del tobillo, tiene buenos resultados funcionales a mediano plazo.
 
 
MATERIALES Y MÉTODOS 
Evaluamos en forma retrospectiva 20 tobillos (20 pacientes) con inestabilidad crónica a los que se le realizó un  tratamiento combinado de estabilización lateral anatómica un tratamiento artroscópico de las lesiones intrarticulares, desde el año 2010 a 2014.   
Los criterios de inclusión para el procedimiento quirúrgico fueron el dolor asociado a inestabilidad lateral del tobillo resultado de esguinces repetitivos en inversión, de por lo menos 6 meses de duración. Los pacientes fueron considerados para la cirugía si el tratamiento conservador, incluyendo terapia física, inmovilización y medicamentos antiinflamatorios, no pudieron mejorar los síntomas. Y si presentaban evidencia de inestabilidad lateral del tobillo por exámenes clínicos de estrés en varo y prueba del cajón anterior positivos.
Se solicitaron radiografías de tobillo frente y perfil con stress en varo y cajón anterior.  
Fueron considerados para la reconstrucción ligamentaria los exámenes  radiográficos  que mostraron: talar tilt mayor a 10, y traslación anterior del astrágalo usando el test de cajón anterior.
Se solicito resonancia magnética nuclear (RMN) preoperatoria de tobillo en todos los casos. 
Para visualizar lesiones condrales u osteocondrales del astrágalo, sinovitis, impigment  anterolateral u ostefito anterior de la tibia distal y cuerpos libres. Y evaluar la condición de los ligamentos LTFA y LCF (fig. 1).
Los 20 pacientes fueron evaluados con un seguimiento promedio de 25 meses postoperatorio. Para su evaluación se utilizó la escala de puntuación de VAS y de Karlsson-Peterson pre y postoperatoria.
Los pacientes fueron físicamente examinados antes de la cirugía y en el último control postoperatorio. Se evaluó la movilidad de los tobillos (dorsiflexión y flexión plantar) y subtalar (inversión y eversión). Se midió el rango de movimiento subtalar en la posición prona con rodilla flexionada a 90 grados utilizando un goniómetro estándar. Para el análisis radiográfico final de seguimiento, se determinaron ángulos de varo, estrés y cajón anterior talar (distancia entre el margen antero-inferior de la tibia distal y la extremo anterosuperior de la cabeza del astrágalo) fueron medidos y comparados con datos preoperatorios (fig. 2).
 

 
Figura 1: A- Lesión ligamentaria lateral del tobillo, B- Lesión osteocondral medial del astrágalo.
 

Figura 2: Evaluación radiológica: A- Tilt test y medición de la inclinación talar. B- Cajón  anterior y medición radiográfica.
 
 
 
TÉCNICA QUIRÚRGICA 
La cirugía fue realizada bajo anestesia espinal. Los pacientes fueron colocados en la posición supina. Se aplicó un torniquete en el muslo. Primero se realizó un procedimiento artroscópico de tobillo. Se utilizó tracción del tobillo no invasiva. Con artroscopio de 3,5 mm y  30°. Se utilizaron los portales anteromedial y anterolateral estándar para examinar la articulación del tobillo. 
Durante la artroscopía se clasificaron y se trataron las lesiones ostecondrales y se registraron la presencia de osteofitos distales de la tibia q y síndromes de fricción lateral. Se realizó la estabilización lateral: reconstrucción anatómica percutánea de los ligamentos laterales del tobillo, después del procedimiento artroscópico (fig. 3).
Se obtuvo un injerto de semitendinoso de la pierna ipsilateral. El injerto debe tener al menos 9 cm de longitud; siendo en promedio de 3,5 cm del largo destinado para el LTFA y 4,5 cm para el LCF. Se colocaron puntos de tracción tipo Krakow en ambos extremos. Se realizó un túnel oblicuo de posterior a anterior, y de distal a proximal en el maléolo peroneo. Se realizaron 2 incisiones de 1cm una anterior y otra posterior al extremo distal del peroné, se coloco un clavija guía en la región posterior del peroné bajo control radioscópico, se creó un túnel 5 mm oblicuo en el peroné entre 7 y 13 mm proximal a la punta del peroné, perforado en dirección de posterior a anterior y de inferior a superior. Se utilizó una freza de 5 mm canulada para crear los túneles en el astrágalo, peroné y el calcáneo. El  diámetro de los túneles óseos debe estar comprendido entre 0,5 y 1,0 mm mayor que el tamaño del tendón.                                                                                                            
Se pasó el injerto a través del túnel en el maléolo peroneo con aguja pasatendón de posterior a anterior (fig. 4).
 

Figura 3: Visión artroscópica de la articulación tibio-astragalina. A- Ostefito distal de la tibia, B- Resección con burr de osteofito tibial, C- Lesión osteocondral  grado IV (flecha), D- Realización de microperforaciones en lesiones osteocondrales grado IV.
 
 
Figura 4: A- Tunelización del peroné, B- Pasaje del injerto, C- Fijación en el borde posterior con arpón. Se fijó el injerto, con un arpón de titanio de 2.9 mm con sutura reforzada, colocado en el borde posterior del peroné junto a la salida del orificio del túnel. 
 
Esto permitirá la tensión individual de cada ligamento: LTFA y LCF. Posteriormente se realizó un túnel en el calcáneo: Se hizo una incisión de 1 cm para exponer el tubérculo del calcáneo. Una clavija guía se coloco bajo control radioscópico en el tubérculo del calcáneo y atravesó desde el aspecto lateral al medial. A través de esta clavija guía se frezo un túnel de 5 mm de diámetro y de 30 mm de longitud. Se realizó el tensado del injerto LTFA y la fijación con el tobillo en leve eversión. Para la fijación en el calcáneo se coloco un tornillo de interferencia biodegradable de 7 x 25 mm, asegurando que el talón permanezca en leve eversión y el tobillo en posición neutra.                                           Por último, se realizó el túnel en el astrágalo: se colocó una clavija guía distal al borde del cartílago del astrágalo y 20 mm proximal a la articulación subastragalina, siempre bajo control radioscópico, se realizó un túnel de 25 mm de profundidad con freza de 5 mm (fig. 5).
Cuando lo permitió la longitud del injerto se utilizó el tendón del semitendinoso en forma doble. Se introdujo el extremo del injerto que corresponderá al ligamento peroneoastragalino con aguja pasa tendón desde lateral a medial en el astrágalo. Se realizaron varias veces movimientos del tobillo de rango completo para confirmar la isometricidad y ajustar la tensión del injerto.
Se fijó en el astrágalo con tornillo de interferencia biodegradable de 6 x 25 mm. La cápsula se suturó para cubrir el injerto, y se cerraron las incisiones (fig. 6).
Después de la operación, el tobillo fue inmovilizado en una posición neutra con una bota plástica por 21 días. Ejercicios de rehabilitación incluyendo contracción isométrica de grupos musculares alrededor de la articulación del tobillo se iniciaron desde el día después de la cirugía. Al mes de la cirugía se indicó movilidad activa. Deambulación con muletas con descarga parcial durante los primeros 15 días. No se permitió una actividad intensa y deportes de contacto hasta 6 meses después de la cirugía.
 
 
Figura 5: Ubicación del túnel astragalino, bajo control radioscópico.  
 
 
Figura 6: Fijación en el calcalcaneo y en el astrágalo con tornillos de interferencia biodegradable. Final de la técnica percutánea.
 

RESULTADOS

La edad promedio de los pacientes fue de 25 años, rango de 19 a 39.
En la escala de puntuación de Karlsson–Peterson preoperatoria la puntuación fue 38,5 puntos, y esto aumentó significativamente a 80,75 puntos final. Los rangos de movimiento subtalar no fueron significativamente diferentes, pero ningún tobillo demostró una limitación significativa tibioastragalina o del rango de movimiento subastragalino postoperatorio. A todos los tobillos se les realizó exploración artroscópica: 12% de los tobillos tenían una lesión osteocondral del astrágalo grado I-II y se las trato con desbridamiento, el 25% tenían una lesión osteocondral grado III-IV y se las trato con autoinjerto osteocondral o microfracturas. Se encontró sinovitis marcada en 10 tobillos y fueron tratados con sinovectomía artroscópica. Ocho de los tobillos presentaba un osteofito distal de la tibia, en los cuales se realizó la resección del osteofito, 4 tobillos presentaban impigment anterolateral. Tres casos tenían lesión osteocondral grado I-II y fueron tratados con desbridamiento, y 5 presentaban lesión osteocondral grado III_IV y se les realizó microfracturas o mosaicoplastia (tabla 1).
Se comparó la movilidad postoperatoria al final del seguimiento con la movilidad del tobillo contralateral. En los 20 pacientes con reconstrucción de ligamentos del tobillo la dorsiflexión promedio, medida con un goniómetro, fue de 14,8°, en comparación con 15,1°en el tobillo contralateral, y la flexión plantar promedio 46.0°, en comparación con 4677° en el tobillo no operados. El movimiento promedio retropié fue de 20,2°, en comparación con 19,8° en el tobillo no operado (tabla 2). 
Mientras que en la evaluación radiográfica se obtuvieron los siguientes resultados: disminuyó la inclinación talar de 11,5 a 3,5 y la prueba de cajón anterior disminuyó de 7 mm preoperatoria a 3 mm postoperatoria (tabla 3).
En cuanto a las complicaciones postoperatorias: 1 paciente presento inestabilidad persistente, 1 paciente se quejó de la neuralgia del nervio sural en el postoperatorio, que resolvió después del tratamiento conservador.
 
 
 
 
DISCUSIÓN 
Entre 20% a 40% por ciento de los esguinces de tobillo causan inestabilidad crónica del mismo y la reconstrucción quirúrgica de los ligamentos laterales está indicada cuando la terapia de rehabilitación no lo logra. Muchos son los artículos que se han presentado con las técnicas quirúrgicas para el tratamiento de la inestabilidad lateral crónica de tobillo.
Nuestro estudio demuestra que la técnica descripta, que implica la reconstrucción anatómica del ligamento LTFA y del LCF, utilizando autoinjerto de tendón del semitendinoso y tornillos de interferencia y arpón para su fijación, es una opción viable para el tratamiento de la inestabilidad lateral crónica del tobillo con fijación estable del tendón y proporcionando resultados clínicos satisfactorios.
Las cirugías reconstructivas para inestabilidad lateral del tobillo pueden ser clasificadas como anatómica o no anatómica.
La técnica anatómica incluyen la reparación de los ligamentos laterales tipo Bostron-Gould y la reconstrucción de los ligamentos laterales con un injerto autólogo, aloinjerto o sintético.
Las técnicas no anatómicas consisten en tenodesis que utilizan el tendón del peroneo lateral corto: como la Watson-Jones, Evans y Chrisman-Snook.
El tendón del peroneo lateral corto es el principal estabilizador dinámico de la parte lateral del tobillo. Los procedimientos de tenodesis también son invasivos en términos de abordaje y además tienden a restringir la movilidad del tobillo excesivamente en comparación con procedimientos de reconstrucción anatómica; a su vez en pacientes sometidos a reconstrucciones no anatómicas se informó durante el seguimiento a largo plazo, inestabilidad subjetiva, cinemática no fisiológica y cambios degenerativos del tobillo.4,8
Un estudio de Krips y Niek van Dijk,9 que compara los resultados en atletas a los que se le realizó reparación no anatómica (tenodesis), con aquellos a los que se le realizó una reparación anatómica, mostró mejores resultados con la técnica anatómica. A los pacientes que se les realizó tenodesis tenían limitación mayor de la dorsiflexión del tobillo. En los controles radiográficos postquirúrgicos a los pacientes que se les realizó la técnica no anatómica tenían más osteofitos mediales, y en las radiografías con stress mayor laxitud. 
Para lograr una reconstrucción anatómica y estable del ATFL y del CFL, la reconstrucción de los ligamentos laterales utilizando autoinjerto se ha vuelto popular. 
Aunque se han introducido algunas técnicas que utilizan un injerto sintético (de fibra de carbono), o un aloinjerto como ligamento.10
En algunos estudios que utilizan un injerto tendinoso y la fijación con arpón y sutura al hueso, han demostrado ser biomecánicamente más débil que la fijación con tornillo de interferencia. 
Un trabajo biomecánico realizado por Waldrop, que compara la reparación del ligamento LTFA fijándolo al maléolo peroneo con arpones y suturas, mostró que esta tiene la misma resistencia que la reparación con sutura tipo Bostrom, y una debilidad del 50% comparada con el ligamento intacto.11
Durante el período de evaluación, cuando utilizamos tornillos biodegradables, no se observo ningún tipo de aflojamiento después de la fijación estable.
En concordancia con nuestros resultados Schmidt et al.12 informaron que la cirugía reconstructiva anatómica en casos de inestabilidad lateral del tobillo, no causó ninguna restricción de la amplitud de movimiento en la tibioastragalina ni en la subastragalina y la indican para mantener resultados clínicos satisfactorios a largo plazo.
También consideramos que un injerto de semitendinoso doble de 6 mm de diámetro es lo ideal como injerto. 
Nuestros resultados en cuanto a la movilidad postoperatoria de la articulación del tobillo y del retropié son muy buenos, y coinciden con los mostrados por otros estudios en los cuales se realizó una reconstrucción anatómica con injerto de semitendinoso, como el de Yinghui Hua que utiliza un aloinjerto de semitendinoso.13
La técnica percutánea que nosotros describimos en este trabajo es una técnica segura y reproducible, que disminuye los riesgos de lesiones nerviosas y tendinosas, así como las complicaciones asociadas a la herida, al evitar grandes incisiones.
Otro tema es la utilidad de la artroscopía en el tratamiento simultáneo de la inestabilidad lateral crónica del tobillo. Esta tiene un papel primordial por que permite la evaluación y tratamiento de lesiones comúnmente asociadas que afectan el pronóstico después de la reparación ligamentaria.10 Permite la  evaluación de la integridad de los ligamento (ATFL, CFL), contribuyendo así al cirujano a decidir qué técnica de reparación es más apropiado para cada caso.2
Pacientes sometidos a estabilización lateral del tobillo, frecuentemente tienen asociadas lesiones intrarticulares: sinovitis, lesiones osteocondrales, osteofitos anterior de la tibia y síndromes de fricción anterolateral, que pueden conducir a dolor persistente si no se tratan,  y ser una fuente de dolor residual si no se abordan. Cierta controversia existe si las lesiones intrarticulares debe tratarse en el mismo acto que se realiza la estabilización lateral tobillo o si los procedimientos deben ser tratados en forma separada. Las preocupaciones incluyen la extravasación del líquido de la artroscopía en la zona, que conduzca a alguna dificultad durante la etapa abierta de la cirugía, diferentes programas de rehabilitación y la duración de la operación. Nuestros resultados a mediano plazo del tratamiento concomitante de las lesiones osteocondrales y la inestabilidad crónica del tobillo lateral muestran que se trata de una opción quirúrgica viable.5
Según Okuda,14 la inestabilidad lateral crónica del tobillo se asocia en un 63% con lesiones condrales, especialmente en la parte medial del astrágalo, independientemente del grado de inestabilidad del tobillo, edad y género. La presencia de una lesión osteocondral tiene un efecto negativo en el resultado global en los  pacientes que se someten a la estabilización del tobillo como un procedimiento aislado. Por lo tanto, el tratamiento simultaneo artroscópico de una lesión osteocondral y la estabilización lateral abierta del tobillo es el procedimiento recomendado.14
Nuestro trabajo también coincide con el de Choi, respecto a la asociación de las lesiones intrarticulares con las inestabilidades laterales crónicas de tobillo. En la artroscopía que realizó previa a la reconstrucción ligamentaria con la técnica de Bostrom modificada encontró un 96,9% de lesiones intrarticulares, 81,5% de sinovitis anterior, impigment anterolateral en el 38,5 % y lesión osteocondral del astrágalo en el 23,1% de los casos;15 y se refiere a la importancia del tratamiento de estas para mejorar el resultado clínico de la reparación ligamentaria.
Según Gregush,16 la artroscopía tiene un papel primordial en el tratamiento simultáneo de la inestabilidad crónica del tobillo por que permite la evaluación y tratamiento de lesiones comúnmente asociadas que impactan en el resultado después de la reparación del ligamento y confirma la integridad de los ligamentos (ATFL, CFL), así ayuda al cirujano a decidir qué técnica de reparación es más apropiado.17
La importancia del trabajo es la descripción de una técnica quirúrgica percutánea y artroscópica que logra el posicionamiento anatómico y la fijación estable. La debilidad es que los resultados se basaron en un número relativamente pequeño de casos y el periodo de seguimiento fue relativamente corto. Así, el estudio a gran escala adicional es necesario con un seguimiento a largo plazo.
 
CONCLUSIONES
La reconstrucción percutánea y anatómica del LTFA y LCF usando como autoinjerto el tendón de semitendinoso y la fijación firme con tornillos de interferencia y arpón, puede ser realizada como una alternativa viable para el tratamiento de la inestabilidad lateral crónica del tobillo, especialmente para los tobillos con tejidos ligamentarios laterales pobres.
El método percutáneo disminuye los riesgos y complicaciones de los abordajes extensos, es mejor estéticamente y acorta los tiempos quirúrgicos.
El tratamiento artroscópico de las lesiones intrarticulares junto a la estabilización lateral del tobillo mejoran los signos y síntomas clínicos, favoreciendo los resultados en el mediano plazo.
 

BIBLIOGRAFÍA

  1. Jake Lee, DPM, Graham Hamilton, DPM, FACFAS, and Lawrence Ford, DPM, FACFAS. Associated Intra-articular Ankle Pathologies in Patients with Chronic Lateral Ankle Instability: Arthroscopic Findings at the Time of Lateral Ankle Reconstruction Foot & Ankle Specialist October 2011.
  2. S Guilloa, G. Cordiera, B. Sonnery-Cottetb, T. Bauer. Anatomical reconstruction of the anterior talofibular and calcaneofibular ligaments with an all-arthroscopic surgical technique. Orthopaedics & Traumatology: Surgery & Research 100S (2014) S413–S417.
  3. S. P. J. Muijs, P. D. S. Dijkstra, C. F. A. Bos. Clinical outcome after anatomical reconstruction of the lateral ankle ligaments using the Duquennoy technique in chronic lateral instability of the ankle a long-term follow-up study. Bone joint Surg (Br), 2008; 90-B: 50-6.
  4. Keith W. Chan, M.D., Bryan C. Ding, M.D., and Kenneth J. Mroczek, M.D. Acute and Chronic Lateral Ankle Instability in the Athlete. Bulletin of the NYU Hospital for Joint Diseases 2011; 69(1):17-26.
  5. S.A. Ibrahim FRCS, MD, F. Hamido FRCS, A.K. Al Misfer MD, PhD, S.A. Ghafar MD,A. Awad MS, H. Kh. Salem MS, H. Alhran FRCS, CA, S. Khirait MD, PhD. Anatomical reconstruction of the lateral ligaments using Gracillis tendon in chronic ankle instability; a new technique. Foot and Ankle Surgery 17 (2011) 239–246.
  6. Beat Hintermann, MD, Andreas Boss, MD, and Dirk Schafer, MD. Arthroscopic Findings in Patients with Chronic Ankle Instability. The American Journal of Sports Medicine, 2002, vol. 30, no. 3.
  7. Jake Lee, DPM,Graham Hamilton, DPM, FACFAS, and Lawrence Ford, DPM. Associated Intra-articular Ankle Pathologies in Patients with Chronic Lateral Ankle Instability: Arthroscopic Findings at the Time of Lateral Ankle Reconstruction. Foot & Ankle Specialist 2011, Vol.4, N 5: 284-289.
  8. S. P. J. Muijs, P. D. S. Dijkstra, C. F. A. Bos. Clinical outcome after anatomical reconstruction of the lateral ankle ligaments using the Duquennoy technique in chronic lateral instability of the ankle. A long-term follow-up study. Bone Joint Surg (Br) 2008; 90-B: 50-6.                                                                                                                      
  9. Rover Krips, MD, C. Niek van Dijk, MD, PhD, Hannu Lehtonen,MD, Tamas Halasi, MD, Bernard Moyen, MD, and Jon Karlsson,MD, PhD. Sports Activity Level after Surgical Treatment for Chronic Anterolateral Ankle Instability A Multicenter Study. The American Journal of Sports Medicine, 2002,vol. 30, no.1: 13-18. 
  10. Alberto Ventura · Clara Terzaghi · Claudio Legnani · Enrico Borgo. Lateral ligament reconstruction with allograft in patients with severe chronic ankle instability. Arch Orthop Trauma Surg (2014) 134:263–268.
  11. Norman E. Waldrop III,MD, Coen A. Wijdicks,PhD, Kyle S. Jansson,BS, Robert F. LaPrade, y MD, PhD, and Thomas O. Clanton, MD. Anatomic Suture Anchor versus the Brostrom Technique for Anterior Talofibular Ligament Repair a Biomechanical Comparison. The American Journal of Sports Medicine, 2012, Vol. 40, No. 11. 
  12. Schmidt R, Cordier E, Bertsch C. Reconstruction of the lateral ligaments: do the anatomical procedures restore physiologic ankle kinematics? Foot Ankle Int. 2004; 25:31-36.
  13. Yinghui Hua, Shiyi Chen, Yongjia Jin, Bimeng Zhang, Yunxia Li, and Hong Li. Anatomical reconstruction of the lateral ligaments of the ankle with semitendinosus allograft. Int Orthop. Oct 2012; 36(10): 2027–2031. 
  14. Ryuzo Okuda, MD, Mitsuo Kinoshita, MD, Junichi Morikawa, MD, Toshito Yasuda, MD, and Muneaki Abe, MD. Arthroscopic Findings in Chronic Lateral Ankle Instability Do Focal Chondral Lesions Influence the Results of Ligament Reconstruction? The American Journal of Sports Medicine, Vol. 33, No. 1. 2005
  15. Woo Jin Choi, MD, Jin Woo Lee, MD, PhD, Seung Hwan Han, MD, PhD, Bom Soo Kim, MD, and Su Keon Lee, MD. Chronic Lateral Ankle Instability the Effect of Intra-Articular Lesion son Clinical Outcome. The American Journal of Sports Medicine, 2008, Vol. 36, No. 11.
  16. Ronald V. Gregush and Richard D. Ferkel. Treatment of the Unstable Ankle with an Osteochondral Lesion: Results and Long-term Follow-up. Am J Sports Med 2010 38: 782
  17. Masato Takao MD, PhD, Kazunori Oae,MD, Yuji Uchio, MD, PhD, Mitsuo Ochi,MD, PhD, and Haruyasu Yamamoto, MD, PhD. Anatomical Reconstruction of the Lateral Ligaments of the Ankle with a Gracilis Autograft. A New Technique Using an Interference Fit Anchoring System.  The American Journal of Sports Medicine, 2005, Vol. 33, No. 6.

ARTROSCOPIA | VOL. 23, Nº 1 : 22-25 | 2016

ARTÍCULO ORIGINAL

Prevalencia de Deformidades Tipo Cam de Cadera en Personas Asintomáticas
María Belén Orlowski, Gustavo Gómez Rodríguez, Jorge Chahla, Damián Arroquy, Jorge Guiñazú, Martín Carboni Bisso, Tomás Vilaseca
 
Equipo de Cirugía Artroscópica, Servicio de Ortopedia y Traumatología, Hospital Británico de Buenos Aires

Esta dirección de correo electrónico está siendo protegida contra los robots de spam. Necesita tener JavaScript habilitado para poder verlo.


RESUMEN
Introducción: Si bien se considera al Síndrome de Fricción Femoroacetabular (SFFA) como un factor predisponente para el desarrollo de coxartrosis, no todas las caderas con deformidad tipo Cam son sintomáticas.
El objetivo del presente estudio fue determinar la prevalencia de deformidades tipo Cam en personas asintomáticas que concurrieron a nuestra institución
Material y métodos: Evaluamos de forma consecutiva un total de 168 caderas en 84 personas voluntarias, asintomáticas, a quienes se les realizó una radiografía de ambas caderas de perfil.
Se utilizó la medición del ángulo α, siendo indicativo de la presencia de deformidad tipo Cam un ángulo α > 50°.
Resultados: Se objetivó un ángulo α promedio de 51,66° (rango 30-85°). Dieciséis (19%) presentaron un ángulo α mayor a 50° en al menos una de sus caderas. En éstos, el ángulo α presentaba un valor promedio de 63,92° (rango 51-85°). En los 68 individuos restantes, el ángulo α presentaba un valor promedio de 42,36° (rango 30-48°).
En cuanto a la distribución por sexo, encontramos la presencia de una deformidad tipo Cam en el 22,7% de los varones y en el 5,5% de las mujeres.
Conclusión: Debido a la alta prevalencia de lesiones tipo Cam en pacientes asintomáticos, creemos que un ángulo α elevado por sí solo no asegura la presencia de síntomas o la progresión a artrosis. 
 
Tipo de estudio: Diagnóstico, Prevalencia
Nivel de evidencia: III
Palabras clave: Cadera; Fricción Femoroacetabular; Lesiones Cam; Ángulo Alfa
 
ABSTRACT
Introduction: While Femoroacetabular Impingement (FAI) is considered  as a predisposing factor for the development of hip arthritis, not every hip with Cam deformity is symptomatic.
The aim of this study was to determine the prevalence of Cam deformities in asymptomatic people that visited our hospital.
Methods: We evaluated consecutively a total of 168 hips in 84 volunteers, asymptomatic, who underwent an lateral  X-rays of both hips.
Measuring the angle α was used, being indicative of the presence of one Cam type deformity, with an α > 50 ° angle.
Results: An average α angle 51.66 ° (range 30-85 °) was observed. 16 (19%) had an α angle greater than 50 ° in at least one of their hips. In these, the α angle had an average value of 63.92 ° (range 51-85 °). In the remaining 68 individuals, the α angle had an average value of 42.36 ° (range 30-48 °).
In terms of distribution by sex, we found the presence of a Cam deformity type in 22.7% of males and 5.5% of women.
Conclusion: Due to the high prevalence of Cam injuries in asymptomatic patients, we believe that an increase of the α angle itself doesn´t ensure the presence of symptoms or progression of osteoarthritis.
 
Type of study: Diagnostic, PrognosticDiagnostic, Prognostic.
Level of evidence: III
Keywords: Hip; Femoroacetabular Impingement; Cam Deformity; Alpha Angle

 


 

INTRODUCCIÓN


El Síndrome de Fricción Femoroacetabular (SFFA) es reconocido como un factor predisponente para el desarrollo de artrosis primaria de cadera n.1,2 La presencia de una anomalía morfológica tanto en el fémur proximal como en el acetábulo generaria un contacto anormal entre éstos, principalmente durante la flexión y rotación interna de la cadera. Esto ocasionaría un estrés en el labrum acetabular y el cartílago articular, que puede originar un proceso degenerativo llevando consecuentemente a la coxartrosis.2,3
Ganz y cols.2 describieron 2 tipos de deformidades en el SFFA: (1) Tipo Cam, con una alteración en la unión cervicocefálica que lleva a la pérdida de la esfericidad de la cabeza femoral, y (2) Tipo Pincer, referido a una sobrecobertura acetabular de la cabeza femoral.2,4 El ángulo alfa (α) es utilizado para determinar radiográficamente el grado de deformidad en las lesiones tipo Cam. En aquellas caderas con alteración en la forma de la transición cervicocefálica se obtiene un ángulo α aumentado, lo que podría generar un SFFA. Sin embargo, no todas las caderas con ángulo α aumentado son sintomáticas5, siendo desconocida la frecuencia de deformidades tipo Cam y la magnitud del ángulo α en pacientes asintomáticos.
El objetivo del presente estudio fue determinar la prevalencia de deformidades tipo Cam en personas asintomáticas que concurrieron al servicio de Ortopedia y Traumatología de nuestra institución mediante la medición radiográfica del ángulo α.
 

MATERIALES Y MÉTODOS


Entre febrero y junio del 2014 evaluamos de forma consecutiva un total de 168 caderas en 84 personas voluntarias. Los criterios de inclusion fueron: Pacientes sin síntomas de SFFA y esqueleticamente maduros. Como criterios de exclusión consideramos: edad mayor de 40 años y la presencia de cirugías previas de cadera o deformidad postraumática. La participación en el estudio fue voluntaria y sin remuneración alguna. Todos los participantes firmaron un consentimiento informado aceptando su inclusión en el presente análisis.
Para determinar la presencia de deformidades tipo Cam se le realizo a cada paciente una radiografia de ambas caderas de perfil. Se utilizó la medición del ángulo α, ya que es considerado en la actualidad el método de elección para cuantificar la concavidad de la unión cervicocefálica femoral con un alto acuerdo intra e interobservador.6,7 Este ángulo fue calculado mediante el método publicado por Nötzli7 (Fig. 1). Se dibuja un círculo por el perímetro de la cabeza femoral, luego se traza una línea (Línea A) siguiendo el eje longitudinal del cuello femoral hasta el centro de dicho círculo (centro de rotación de la cabeza femoral). Finalmente se traza otra línea (Línea B) desde el centro de rotación de la cadera hasta el punto donde la cabeza femoral se extiende por fuera del círculo y se calcula el ángulo comprendido entre ambas líneas. Un ángulo α >50° indica la presencia de deformidad tipo Cam.7-9 Todas las radiografías fueron medidas por dos de los autores de manera independiente (MO y JC), estableciéndose como resultado final el promedio de ambas mediciones.
 
 
Figura 1: Método para calcular ángulo α descripto por Nötzli (6 de 1): Línea A: Siguiendo el eje longitudinal del cuello hasta el centro de rotación de la cabeza femoral. Línea B: Desde el centro de rotación hasta el punto donde se pierde la esfericidad.
 

RESULTADOS


La edad promedio de los 84 participantes evaluados fue de 28,7 años (19-39), siendo 18 (21%) mujeres y 66 (79%) varones. Entre todos los pacientes se objetivó un ángulo α promedio de 51,66° (rango 30-85°). De los 84 voluntarios, 16 (19%) presentaron un ángulo α mayor a 50° en al menos una de sus caderas, siendo bilateral en 13 voluntarios. En estos participantes el ángulo α presentaba un valor promedio de 63,92° (rango 51-85°). En los 68 individuos restantes, el ángulo α presentaba un valor por debajo de los 50°, en un promedio de 42,36° (rango 30-48°).
Cuando tuvimos en cuenta el sexo de los participantes evaluados encontramos la presencia de una deformidad tipo Cam en el 22,7% de los varones y en el 5,5% de las mujeres.
De los 16 voluntarios en los que se objetivo un aumento del ángulo α por encima de los 50°, seis (36,5%) no relizaban ninguna actividad deportiva y 10 (63,5%) referían el desempeño de actividades deportivas recreacionales, fútbol en 9 casos y rugby en el restante. Mientras que de los 68 pacientes que presentaron un ángulo α por debajo de los 50°, ocho (11,7%) realizaban actividades deportivas recreacionales y 60 (88,3%) ninguna.
 
DISCUSIÓN
Varios son los autores que están a favor de que todo cambio morfológico en la cadera causa un choque repetitivo entre la unión cervicocefálica femoral y la porción anterior del anillo acetabular, sobre todo durante la flexión de la cadera, llevando inicialmente a un SFFA con un daño condrolabral y posteriormente a una degeneración articular.2,10-13 No obstante, se desconoce la incidencia del SFFA en la población general.14
La presencia de una excrecencia ósea anterior o anterosuperior en la zona de transición entre el cuello y la cabeza femoral se conoce como deformidad tipo Cam, la cual puede observarse en las radiografías de rutina de caderas.7,15 Sin embargo, la mera existencia de esta deformidad no siempre genera síntomas o lleva inevitablemente a la artrosis de cadera. Hartofilakidis16 en el año 2011 reportó que de 17 caderas con deformidad tipo Cam aislada, solo en una se observó una progresión hacia la artrosis (a los 12 años de la evaluación inicial), mientras que las 16 caderas restantes no evolucionaron a artrosis en un periodo de seguimiento promedio de 19 años. Además, en aquellas caderas que desarrollaron artrosis, el ángulo α promedio fue de 57,1° (40° a 88°), mientras que en aquellos que no la desarrollaron fue de 58,8° (38° a 96°). Cuando analizamos nuestros resultados, la prevalencia de deformidad tipo Cam en la población general asintomática fue del 19% (16 personas) en los 84 voluntarios que conformaron nuestra serie, un valor similar aunque un tanto elevado respecto al 15% reportado por Ganz17 y el 14% publicado por Hack.18
La presencia con mayor frecuencia de una deformidad tipo Cam en varones se correlaciona con el hecho de que el SFFA es predominantemente una enfermedad de hombres jóvenes.19,20 Esta diferencia importante puede apoyar la hipótesis actual de que un deslizamiento subclínico de la epífisis cefálica femoral podría ser un factor etiológico en el desarrollo de dicha deformidad, ya que esta condición es más frecuente de ver en adolescentes varones que en mujeres.10,21
Con respecto al sexo, en la literatura internacional, los valores encontrados para la prevalencia de deformidad tipo Cam son similares. Jung y cols. publicaron la presencia de deformidad tipo Cam en el 13,95% de los varones y en el 5,56% de las mujeres de un total de 755 caderas asintomáticas,14 Hack y cols.18 reportaron una prevalencia del 24,7% en varones y del 5,4% en mujeres y Gosvig22 del 17% en hombres y 4% en mujeres. En nuestro estudio, encontramos la presencia de un ángulo α mayor a 50° en el 22,7% de los participantes de sexo masculino y en el 5,5% de las mujeres, similares a los estudios previamente mencionados.
Un hecho a destacar es que en los participantes que se observó un ángulo α > 50°, el 63,5% refería realizar actividades deportivas, mientras que en aquellos en quienes encontramos un valor < 50° solo lo hacía el 11,7%. Estudios recientes, sugieren que la realización de deporte en la adolescencia se correlacionaría con el desarrollo de deformidad tipo Cam en varones. La teoría actual sugiere que la carga axial repetitiva como la ejercida durante los ejercicios de salto o la flexión de cadera en las cuclillas, estimularían una extensión anterolateral de la fisis, lo que resultaría en el sobrecrecimiento óseo de la deformidad tipo Cam.23 Siebenrock et al.24 reportó un aumento del ángulo α en deportistas, con una deformidad tipo Cam en el 89% de los atletas y en el 25% del grupo control.
En cuanto a las limitaciones del presente estudio, consideramos que al haber realizado la medición del angulo alfa con radiografías y no con tomografías como se hace en la práctica diaria, los resultados podrían carecer de exactitud. Sin embargo fue realizado de esta manera, debido a que la muestra estaba conformada por pacientes asintomáticos y se trató de evitar la exposición a la gran cantidad de rayos X emitida por una tomografía.
 
 
CONCLUSIÓN
La alta prevalencia de lesiones tipo Cam en pacientes asintomáticos, sugiere el concepto de que un ángulo α elevado por sí solo no asegura la presencia de síntomas o la progresión a artrosis. Por lo tanto, sostenemos que este hallazgo debe complementarse con el exámen físico, los síntomas clínicos y otros signos imagenológicos como un daño condral o lesiones labrales a la hora de tomar decisiones con respecto a la conducta terapéutica.
 

BIBLIOGRAFÍA

  1. Ecker TM, Tannast M, Puls M, Siebenrock KA, Murphy SB. Pathomorphologic alterations predict presence or absence of hip osteoarthrosis. Clin Orthop Relat Res 2007; 465: 46-52.
  2. Ganz R, Parvizi J, Beck M, Leunig M, Notzli H, Siebenrock KA. Femoroacetabular impingement: a cause for osteoarthritis of the hip. Clin Orthop Relat Res 2003: 112-120.
  3. Leunig M, Mast NH, Impellizerri FM, Ganz R, Panaro C. Arthroscopic appearance and treatment of impingement cysts at femoral head-neck junction. Arthroscopy 2012; 28: 66-73.
  4. Kassarjian A, Yoon LS, Belzile E, Connolly SA, Millis MB, Palmer WE. Triad of MR arthrographic findings in patients with cam-type femoroacetabular impingement. Radiology 2005; 236: 588-592.
  5. Pulido L, Parvizi J. Femoroacetabular impingement. Semin Musculoskelet Radiol 2007; 11: 66-72.
  6. Kassarjian A, Belzile E. Femoroacetabular impingement: presentation, diagnosis, and management. Semin Musculoskelet Radiol 2008; 12: 136-145.
  7. Notzli HP, Wyss TF, Stoecklin CH, Schmid MR, Treiber K, Hodler J. The contour of the femoral head-neck junction as a predictor for the risk of anterior impingement. J Bone Joint Surg Br 2002; 84: 556-560.
  8. Beaule PE, Zaragoza E, Motamedi K, Copelan N, Dorey FJ. Three-dimensional computed tomography of the hip in the assessment of femoroacetabular impingement. J Orthop Res 2005; 23: 1286-1292.
  9. Tannast M, Siebenrock KA, Anderson SE. Femoroacetabular impingement: radiographic diagnosis--what the radiologist should know. AJR Am J Roentgenol 2007; 188: 1540-1552.
  10. Goodman DA, Feighan JE, Smith AD, Latimer B, Buly RL, Cooperman DR. Subclinical slipped capital femoral epiphysis. Relationship to osteoarthrosis of the hip. J Bone Joint Surg Am 1997; 79: 1489-1497.
  11. Harris WH. Etiology of osteoarthritis of the hip. Clin Orthop Relat Res 1986: 20-33.
  12. Parvizi J, Leunig M, Ganz R. Femoroacetabular impingement. J Am Acad Orthop Surg 2007; 15: 561-570.
  13. Tanzer M, Noiseux N. Osseous abnormalities and early osteoarthritis: the role of hip impingement. Clin Orthop Relat Res 2004: 170-177.
  14. Jung KA, Restrepo C, Hellman M, AbdelSalam H, Morrison W, Parvizi J. The prevalence of cam-type femoroacetabular deformity in asymptomatic adults. J Bone Joint Surg Br 2011; 93: 1303-1307.
  15. Gosvig KK, Jacobsen S, Palm H, Sonne-Holm S, Magnusson E. A new radiological index for assessing asphericity of the femoral head in cam impingement. J Bone Joint Surg Br 2007; 89: 1309-1316.
  16. Hartofilakidis G, Bardakos NV, Babis GC, Georgiades G. An examination of the association between different morphotypes of femoroacetabular impingement in asymptomatic subjects and the development of osteoarthritis of the hip. J Bone Joint Surg Br 2011; 93: 580-586.
  17. Ganz R, Leunig M, Leunig-Ganz K, Harris WH. The etiology of osteoarthritis of the hip: an integrated mechanical concept. Clin Orthop Relat Res 2008; 466: 264-272.
  18. Hack K, Di Primio G, Rakhra K, Beaule PE. Prevalence of cam-type femoroacetabular impingement morphology in asymptomatic volunteers. J Bone Joint Surg Am 2010; 92: 2436-2444.
  19. Beck M, Kalhor M, Leunig M, Ganz R. Hip morphology influences the pattern of damage to the acetabular cartilage: femoroacetabular impingement as a cause of early osteoarthritis of the hip. J Bone Joint Surg Br 2005; 87: 1012-1018.
  20. Clohisy JC, Knaus ER, Hunt DM, Lesher JM, Harris-Hayes M, Prather H. Clinical presentation of patients with symptomatic anterior hip impingement. Clin Orthop Relat Res 2009; 467: 638-644.
  21. Dobbs MB, Weinstein SL. Natural history and long-term outcomes of slipped capital femoral epiphysis. Instr Course Lect 2001; 50: 571-575.
  22. Gosvig KK, Jacobsen S, Sonne-Holm S, Gebuhr P. The prevalence of cam-type deformity of the hip joint: a survey of 4151 subjects of the Copenhagen Osteoarthritis Study. Acta Radiol 2008; 49: 436-441.
  23. Nepple JJ, Vigdorchik JM, Clohisy JC. What is the association between sports participation and the development of proximal femoral cam deformity? A systematic review and meta-analysis. Am J Sports Med. 2015; 43 (11) 2833-40.
  24. Siebenrock KA, Behning A, Mamisch TC, Schwab JM. Growth plate alteration precedes cam-type deformity in elite basketball players. Clin Orthop Relat Res. 2012; 471 (4):1084-1091.

ARTROSCOPIA | VOL. 23, Nº 1 : 26-32 | 2016

ARTÍCULO ORIGINAL

Lesión del Nervio Safeno Interno Durante la Reconstrucción Artroscópica del Ligamento Cruzado Anterior
Facundo Gigante***, Miguel Lapera*, Manuel Perez Zabala*, Ariel Serpone**, Maria Lucero Oloriz***
 
*Servicio de Cirugía Artroscópica, Hospital Militar Central. Buenos Aires, Argentina. **ARTRO, Buenos Aires. Argentina. ***Segunda Catedra de Anatomía, Facultad de Medicina de la Universidad de Buenos Aires
 
Esta dirección de correo electrónico está siendo protegida contra los robots de spam. Necesita tener JavaScript habilitado para poder verlo.

RESUMEN
Introducción: El nervio safeno interno es una rama sensitiva del nervio crural, que a nivel de la rodilla da una rama infrapatelar (RIP) que inerva su cara anterior y una rama terminal (RTS) que da inervación sensitiva al sector antero y posteromedial de la pierna. En cirugía artroscópica ya sea por los portales utilizados o por las incisiones cutáneas para la toma de autoinjertos, ambas ramas pueden ser lesionadas y generar trastornos en la sensibilidad de diversa intensidad. Si bien la incidencia de lesión de la RIP está bien documentada, no ocurre lo mismo con la RTS en especial en técnicas de reconstrucción ligamentaria que utilizan injertos isquiotibiales autologos por acción del tenotomo o stripper.
Objetivo: Evaluar la incidencia de la lesión del nervio safeno interno, su impacto durante el postquirúrgico y si la misma altera la relación médico-paciente relacionada con la información o desinformación brindada sobre esta posible eventualidad, poniendo especial énfasis en la lesión del RTS con técnicas reconstructivas que utilizan autoinjertos isquiotibiales.
Material y Métodos: Se consultaron 342 pacientes mediante un cuestionario y de forma telefónica, que habían sido sometidos a una reconstrucción del ligamento cruzado anterior con más de un año de evolución. Se utilizaron criterios de inclusión y exclusión específicos. En 122 pacientes se había utilizado el tercio medio del tendón rotuliano autologo (HTH) y en 220 isquiotibiales autologos (STRI). Se les pregunto si habían sentido después de la cirugía algún trastorno de la sensibilidad y si podían dar una localización específica, si este trastorno afecto su vida habitual luego de la cirugía, y si había sido informado por su médico antes de la cirugía sobre esta eventualidad y si lo consideraba una complicación de la cirugía.
Resultados: Del grupo operado con HTH, 73% presentaron alteraciones sensitivas en el territorio del RIP y el 8% tanto en el territorio del RIP como en el del RTS. En un 9% esta situación altero su vida habitual y 81% de los pacientes no había sido informado de esta posibilidad. En el caso de los operados con STRI, 16,5% presentada alteraciones de la sensibilidad solo en el territorio del RIP, 37% tanto en el territorio del RIP como RTS y un 38% solo en el RTS. El 33% de los pacientes refirieron algún tipo de alteración de su actividad habitual y un 94,5% no había sido advertido de esta posible complicación.
Conclusión: Poco se menciona sobre la lesión de la RTS durante la toma de injertos isquiotibiales por su relación con el recto interno. La lesión de la RTS y más cuando se suma a la de la RIP, genera un mayor impacto en la vida del paciente e inclusive con un mayor riesgo de desarrollar síndromes dolorosos complejos. Por esto es indispensable comunicar y advertir a los pacientes sobre esta posible eventualidad y tener un mayor conocimiento de la anatomía del safeno interno.
 
Tipo de Estudio: Serie de Casos
Nivel de Evidencia: IV
Palabras Clave: Nervio Safeno Interno; Neuralgia; Causalgia; Rama Infrapatelar; Rama Terminal del Nervio Safeno; Reconstrucción del LCA
 
 
ABSTRACT
Introduction: The saphenous nerve is a sensitive branch of the femoral nerve, which at knee level shows an infrapatellat branch (IPBSN) that supplies the anterior face, and a terminal (sartorial) branch (SBSN) that supplies sensitive inervations to the antero and posteromedial sector of the leg. In arthroscopic surgery, wheither due to portals used of skin incisions to get autografts, both branches may be injured and may produce sensitivity disorders of different intensity. Although the incidence of IPBSN injury is well documented, it is different with the SBSN, in particular with anterior cruciate ligament (ACL) reconstruction techniques using hamstrings autografts with the stripper.
Object: To assess the incidence of the saphenous nerve injury, its impact during the post-surgery term, and if this incidence affects physician – patient relationship regarding the information or lack of information given about this possible incident, with special emphasis on the SBSN injury with reconstruction techniques using hamstrings autografts
Material and methods: We studied, through a questionnaire and telephone calls, 342 patient’s wich had undergone ACL reconstruction with more than one-year follow up. Specific criteria of inclusion and exclusion were used. In 122 patients, we used autologous patellar tendon (BTB) and in 220 autologous hamstrings (STG). They were asked whether they had undergone some sensitivity disorder after surgery, if they could point a specific location for this disorder, if this disorder affected their life after surgery, if they had been informated by the physician about this contingency before surgery, and if they consider this as a surgery complication.
Result: Of the group of patients with BTB reconstruction, 73% showed sensitive alterations in the IPBSN territory and in 8% in the IPBSN and SBSN. Nine % altered their normal life, and 81% had not been informed of this possibility. In the case of patient operated with with hamstring, 16,5% showed alterations in sensitivity in the IPBSN, 37% in both, and 38% only in SBSN. 33% referred some kind of alteration in their normal activity and 94,5% had not been informed of this possible complication.
Conclusion: The injury of SBSN when harvesting hamstrings autografts is hardly mentioned due to its relation with the gracillis. The SBSN injury, and in particular when this is added to injury of the IPBSN, produces a greater impact on patient life and even this possible contingency and to have a better knowledge of the anatomy of the saphenous nerve.
 
Type of Study: Case Series
Level of evidency: IV
Key words: Saphenous Nerve; Neuralgia; Causalgia; Infrapattellar Branch, Terminal Branch of Saphenous Nerve; ACL Reconstruction

 


 

INTRODUCCIÓN


El nervio safeno interno, es una rama sensitiva del nervio femoral o crural, el cual tiene su origen en el plexo lumbar formadas por fibras de L3 y L4. El nervio crural dentro del triángulo de Scarpa y una vez que ingresa al  conducto de Hunter da al nervio safeno interno como una de sus ramas  sensitivas. Recorre todo el conducto de Hunter en la profundidad de la fascia del sartorio, cubierto por este musculo y paralelo al músculo recto interno.
Sanders y col.,1 en una serie de preparados cadavéricos, observaron que aproximadamente a 12 cm de la inserción distal del recto interno en la pata de ganso, el safeno interno lo cruza en dirección posterointerna, siempre dentro de la fascia del sartorio, y se ubica pegado al borde posterointerno del mismo con dirección distal, perforando y dejando la fascia del sartorio a 7 cm aproximadamente de la inserción distal del recto interno y volviéndose subcutáneo. Este autor, puntualiza la importancia y relación anatómica entre el nervio safeno y el recto interno en un trayecto de casi 5 cm antes de que el nervio se vuelva subcutáneo, y la posibilidad de lesionar al mismo durante el gesto quirúrgico de la toma de injertos con el tenotomo o stripper en ese trayecto.
Por encima de la interlinea articular, a la salida del conducto de Hunter, el safeno interno da su rama infrapatelar que luego se divide en una rama superior y otra inferior (RIP),2,3 aportando inervación sensitiva a la cara anterior de la rodilla y la cápsula articular. La rama terminal (RTS) sensitiva, continua distalmente inervando la cara antero y posterointerna de la pierna (fig. 1).
 
 
Figura 1: Ramas del Nervio Safeno Interno (en rojo).
 
Si bien están descriptas diferentes variantes anatómicas relacionadas con el recorrido del nervio safeno interno, su relación con los portales artroscópicos y con las incisiones clásicas para la toma de injertos tanto rotuliano como isquiotibiales, está probada y debidamente estudiada. Sin embargo, la mayoría de los estudios y trabajos, la denominación de “zonas seguras” para la realización de portales artroscópicos y las diferentes modificaciones de incisiones para evitar el daño de este nervio y los trastornos de la sensibilidad que normalmente pueden llegar a ocurrir, se focalizan en la rama infrapatelar del nervio safeno interno que afecta la sensibilidad de la cara anterior de la rodilla, y poco se habla de la rama terminal de este nervio y su  relación con la reconstrucción del ligamento cruzado anterior (LCA), en especial en técnicas que utilizan los injertos autologos isquiotibiales. 
Por su localización anatómica, tanto en menisectomías artroscópicas, suturas meniscales como en reconstrucciones ligamentarias asistidas por artroscopia, la RIP del safeno interno, se encuentra en una situación de mucha más vulnerabilidad que la RTS. Según diferentes reportes, la incidencia de lesión de la RIP se encuentra entre el 20 al 80%, mientras que la generación de anestesia o hipostesias relacionadas con la injuria de esta rama varía entre el 35 al 85%.4,5 Por tal motivo, se desarrollaron trabajos a fin de disminuir el posible daño a la RIP mediante el estudio de “zonas de seguridad” y la modificación de las incisiones clásicas verticales.6 Sin embargo, no hay evidencias concretas que en las reconstrucciones ligamentarias con autoinjertos isquiotibiales, estas variantes modifiquen o disminuyan sustancialmente el daño que pudiera inflingirse al nervio safeno interno, ya que solo se tiene en cuenta el daño que se produciría en el lugar de la incisión cutánea y especialmente a la RIP, pero no el riesgo de dañar la RTS en el momento de la toma del injerto mediante la utilización del tenotomo, paso que en general se realiza “a ciegas”. Es decir que a pesar de realizar incisiones cutáneas más seguras (oblicuas o transversales), las variaciones anatómicas que tiene el safeno interno y en especial la RTS y su íntima relación con el recto interno durante gran parte de su trayecto antes de la inserción distal en la tibia, hacen que el mismo tenga la posibilidad de ser dañado y desarrollar alteraciones, entre otras complicaciones, de la sensibilidad cutánea en la zona antero y posterointerna de la pierna. Por otro lado y como ya se ha estudiado con la RIP, la lesión del RTS especialmente en este tipo de técnicas quirúrgicas, puede generar no solo trastornos en la sensibilidad cutánea, sino también entrampamientos entre el tendón del sartorio y el borde del cóndilo femoral interno, neuromas, causalgias e inclusive un Síndrome de Dolor Regional Complejo (SDRC), todas situaciones que en menor o mayor medida, constituyen una complicación de  la cirugía, generan disconformidad en los pacientes y en algunos casos como el SDRC, de consecuencias potencialmente graves e inclusive con consecuencias medico legales.7
Sabemos además que la alteración en la sensibilidad cutánea generada por la injuria del nervio safeno interno en cualquiera de sus ramas, es minimizada por los cirujanos en general y pocas veces se le informa a los pacientes la posibilidad de que esto ocurra. Por lo tanto el objetivo de este trabajo es evaluar la incidencia del compromiso del nervio safeno interno relacionada con la reconstrucción artroscópica del ligamento cruzado anterior, poniendo especial énfasis en la rama terminal del mismo (RTS) con técnicas que utilizan autoinjertos isquiotibiales, como así también el impacto producido en los pacientes durante el postquirúrgico y en la relación médico-paciente manifestada por la información o desinformación brindada sobre esta posible eventualidad. 
 
 
MATERIALES Y MÉTODOS
Para el presente trabajo, evaluamos 430 pacientes, quienes fueron contactados en forma personal o mediante comunicación telefónica. A aquellos pacientes que fueron contactados en forma telefónica, se les envío un formulario - encuesta por correo electrónico mediante él cual debían responder por la misma vía de comunicación. Fueron incluidos para este trabajo aquellos pacientes con antecedentes de cirugía de reconstrucción de LCA con técnicas de tercio medio de tendón rotuliano (HTH) o isquiotibiales (STRI) autologos con más de un año de evolución desde la cirugía. Fueron excluidos aquellos pacientes con antecedentes de cirugía de revisión de LCA, reconstrucciones de LCA más reparación meniscal, antecedentes de artroscopias posteriores y reconstrucciones de LCA con lesiones ligamentarias asociadas. Se utilizó una simple encuesta realizando preguntas simples tales como (Fig. 2):
  1. Si había sentido algún tipo de disconfort, como sensación de anestesia, hipostesias, trastornos en  la sensibilidad luego de la cirugía y si podía localizar donde se encontraba esa sensación molesta, en la rodilla o en la pierna o en ambas y su localización especifica.
  2. Si le había producido alguna limitación en su vida habitual luego de pasado el año.
  3. Si este trastorno lo consideraba como una complicación de su cirugía y o un hecho inesperado y si el médico tratante le había advertido sobre esta posibilidad.

Figura 2: Formulario utilizado para la recolección de datos.

De todos los pacientes consultados, 58 no cumplían con algunos de los criterios de inclusión, 21 pacientes no quisieron participar de la encuesta y 9 pacientes consultados telefónicamente no parecieron entender las consignas,  y ante respuestas ambiguas fueron descartados, por lo cual fueron incluidos finalmente 342 pacientes.
Estos fueron divididos en dos grupos, aquellos pacientes cuyo injerto utilizado fueron tendones isquiotibiales (220) y aquellos con HTH (122). Setenta y tres pacientes fueron del sexo femenino y 269 del sexo masculino.
Todas las cirugías fueron realizadas por tres únicos cirujanos y utilizando las mismas técnicas quirúrgicas y mismos sistemas de fijación. En el grupo donde se realizó HTH se utilizó una incisión anterior vertical sobre el tendón rotuliano y portales artroscópicos convencionales anterolateral y anteromedial aprovechando la incisión ya realizada para la toma de injerto, sin necesidad de realizar nuevas incisiones en la piel. Se fijó el injerto autologo con tornillos interferenciales de titanio. En el grupo donde se utilizó semitendinoso y recto interno como injerto, se realizó se realizó una incisión vertical de entre 3 a 4 cm aproximadamente sobre cara anteromedial sobre el sitio de inserción de la pata de ganso. Los tendones se obtuvieron con stripper o tenotomo cerrados de 5 o 7 mm de acuerdo a cada caso. Para la fijación femoral se utilizó un poste transversal de titanio o peek y para la fijación tibial tornillo interferencial de titanio o peek. En todos los pacientes el túnel femoral se realizó por vía transtibial y con ubicación isométrica.
 
 
RESULTADOS

De los 122 pacientes operados con HTH que fueron consultados, 89 de ellos (73%) referían haber tenido parestesias o hipostesias localizadas únicamente a la rodilla en el territorio correspondiente a la rama infrapatelar del nervio safeno interno (RIP), 10 pacientes (8%) referían la misma sensación pero tanto en la rodilla como en la cara antero y posteromedial de la pierna, es decir en los territorios de la RIP como el de la rama terminal del safeno interno respectivamente (RTS), mientras que el resto de los 23 pacientes (19%) encuestados, referían no haber tenido ninguna de las sensaciones o molestias consultadas.
Con respecto al resultado de la segunda pregunta solo 11 pacientes (9%) refirieron algún tipo de alteración de su vida cotidiana o deportiva, mientras que el resultado de la tercera pregunta fue que 99 pacientes (81%) lo consideraron como un hecho inesperado ya que no había sido explicado previamente por su médico.
En relación a los 220 pacientes en donde se utilizaron injertos isquiotibiales, 36 (16,5%) presentaban sensación de anestesia localizada únicamente en la cara anterior de la rodilla (RIP), 84 (38%) presentaban la misma sensación pero solo limitado al territorio inervado por RTS, 81 pacientes (37%) presentaban parestesias, anestesias o hipostesias en ambas localizaciones (RIP y RTS) y solo 19 pacientes (8,5%) no referían ningún tipo de alteración.
En relación a la segunda pregunta, 73 pacientes (33%) referían haber sufrido algún tipo de complicación o disconfort que alteraba sus actividades habituales. Tres de esos pacientes sufrieron un síndrome de dolor regional complejo (SDRC).
Los resultados relacionados con la tercera pregunta, dieron que 208 pacientes (94,5 %), no habían sido informados sobre esta posibilidad y lo tomaron como un hecho inesperado (Tabla 1).
En síntesis, del grupo operado con HTH, el 81% de los pacientes presentaban alteraciones en el territorio del RIP, mientras que solo el 8% en el territorio de la RTS. En el grupo operado con isquiotibiales, el 75% presentaban sintomatología en el territorio de la RTS mientras que el 53,5% refería algún síntoma en el territorio de la RIP.
 
 
 
DISCUSIÓN
Las nuevas tendencias de reconstrucción artroscópica del LCA, han puesto su foco en técnicas que intentan reproducir la anatomía de este ligamento, lo más parecido al LCA nativo, respetando y mejorando su biomecánica, sus sitios de inserción y la orientación de las fibras de colágeno del mismo cumpliendo con el “concepto de reconstrucción anatómica”. Estas técnicas llamadas anatómicas, ya sea de doble banda o simple banda, y la utilización de portales accesorios antero-mediales, han modificado las preferencias en el momento de la elección de injertos. Si en la década pasada el “gold estándar” era el tercio medio de tendón rotuliano autologo y fijación con tornillos interferenciales, hoy, casi el 70 % de las reconstrucciones ligamentarias del LCA se realizan utilizando los tendones isquiotibiales autologos,8,9 lo cual está relacionado con la mayor versatilidad de este tipo de injertos y mayor variedad de métodos de fijación a la hora de realizar técnicas reconstructivas anatómicas.
Son numerosos los trabajos que informan sobre la morbilidad del sitio dador en técnicas que utilizan el HTH autologo, entre ellas las alteraciones en la sensibilidad de la región anterior de la rodilla por la lesión del nervio safeno interno en especial su rama infrapatelar (RIP)10 que por su ubicación anatómica se encuentra en una situación de vulnerabilidad ante las incisiones anteriores clásicas. Figueroa y col.,11 informan una tasa del 77% de daño de la RIP en cirugía de reconstrucción del LCA. Por su parte Heikkila12 informa una incidencia de lesión del safeno interno entre el 88 al 74% con un índice de hipostesias del 68 al 77%. Portland, observo que modificando la configuración de la incisión cutánea para la toma de injertos, la lesión de la RIP disminuyo del 59% en incisiones verticales a el 43% en lesiones horizontales, sin embargo otros autores como Papastergious informan una disminución aun mayor del 40 al 15% utilizando incisiones oblicuas.13
El nervio safeno interno tiene una anatomía particular y variable en cuanto a su distribución y esto hace que los informes sobre su compromiso sean tan disimiles en algunos trabajos,14,15 Sanders y Kartus coinciden en que en el 98,5% de los casos, la RIP se encuentra entre el polo distal de la rotula y la tuberosidad anterior de la tibia. En la mayoría de los casos, esta rama infrapatelar del safeno interno a su vez presenta dos ramas terminales, una superior y otra inferior las cuales según Tifford, ambas están comprometidas durante la toma de injerto del HTH autologo. Esta anatomía particular explicaría también por qué en cirugías artroscópicas convencionales el portal medial puede afectar a la RIP, en especial su rama superior, como lo informan Mochida y col. en el 22% de los casos y utilizando portales artroscópicos horizontales y no verticales, se evitaría el daño de alguna de estas ramas terminales de la RIP. 16 Sin embargo, en las técnicas en donde se utilizan los isquiotibiales autologos, la RIP, se encuentra en una situación menos expuesta por el sitio en donde se realiza la incisión, y esto explicaría por qué encontramos en nuestro trabajo que los casos de complicación de la RIP presentan diferencias entre aquellos operados con HTH y aquellos operados con isquiotibiales con la generación de síntomas en la zona exclusiva de inervación de esta rama (73% vs 16,5% respectivamente). Creemos que, como menciona Sanders, dado la localización anatómica de la RIP (98,5%)entre polo inferior de la rótula y TAT), la posibilidad de generar una lesión directa por la incisión cutánea es menor, aunque las diferencias y variantes anatómicas que presenta esta rama del safeno interno, no lo exime de ser afectado en especial su rama terminal inferior. Sabat y col., no encuentra evidencias concretas de que diferentes tipos de incisiones para la toma de isquiotibiales, modifiquen el compromiso sobre la RIP. 17
Por otro lado, no debemos descartar el compromiso de la RIP en el momento de realizar el portal artroscópico medial durante las cirugías de reconstrucción del LCA con estos injertos lo cual no sucede en técnicas con HTH ya en estos casos, el portal medial lo realizamos directamente dentro de la incisión de la toma de injerto.
La mayoría de las estadísticas y trabajos se relacionan como mencionamos anteriormente, con el momento en donde el HTH era considerado como el “gold standard” y por lo tanto poco se menciona sobre la relación de la toma de injertos isquiotibiales y las lesiones del safeno interno. Es por eso que la importancia de estos trabajos radica en el estudio de la RIP explicando el porque las sensaciones de anestesia, hipoestesia o algún otro trastorno de la sensibilidad en la cara anterior de la rodilla, pero poco se explica sobre los trastornos en la sensibilidad que muchos pacientes presentan en la cara anterointerna de la pierna luego de un procedimiento de reconstrucción del LCA. Incluso en algunos casos con una sintomatología mucho más agresiva, dolorosa y duradera como por ejemplo el desarrollo de síndromes dolorosos. En nuestra casuística hemos observado tres casos de Síndrome de Dolor Regional Complejo luego de reconstrucciones de LCA con tendones isquiotibiales autologos. En el caso de aquellas cirugías con HTH, no hemos observado este tipo de complicación.7 El problema es que poco se habla de la rama terminal sensitiva del nervio safeno interno (RTS), la cual es responsable de la inervación de la región anterointerna de la pierna y su relación anatómica con los isquiotibiales en especial con el tendón del recto interno.18 Por su ubicación anatómica, esta rama no se vería expuesta a las incisiones cutáneas, por lo cual, la alteración y síntomas desarrollados en la cara antero y posterointerna de la pierna, deberían tener otra explicación. En relación a esto, Sanders evaluó once piezas cadavéricas y observaron que el nerviosafeno interno a 12 cm de su inserción distal en la tibia, cruza al recto interno y se coloca pegado a su borde posterointerno, acompañándolo distalmente aproximadamente entre 4,5 y 5 cm antes de hacerse subcutáneo perforando la fascia del sartorio a 7 cm de la inserción en la pata de ganso. 
 En las técnicas de reconstrucción de LCA con isquiotibiales autologos, la acción de la toma y obtención de los mismos mediante el tenotomo (stripper), es un paso que se realiza prácticamente a ciegas. Teniendo en cuenta que la RTS del safeno interno acompaña casi 5 cm al recto interno antes de dejar la fascia del sartorio, esta se transforma en un área de considerable potencial riesgo para lesionar la RTS durante la maniobra de la toma del recto interno con el tenotomo. Menos probable seria la lesión del tronco principal del safeno interno en este tipo de acción, ya que el mismo se divide por encima de la interlinea articular, aunque debido a la variación anatómica del nervio y a la acción del tenotomo, esta eventualidad también  debería tenerse en cuenta en el momento de realizar esta maniobra19 (figs. 3, 4, 5).
Creemos por lo tanto que es muy importante tener en cuenta esta posible eventualidad, el conocimiento anatómico no solo de la RIP sino también de la RTS y su relación con los tendones isquiotibiales y las potenciales consecuencias que la lesión del mismo puede generar en técnicas de reconstrucción de LCA con isquiotibiales los cuales son cada vez más utilizados.
Si bien, las consecuencias y síntomas producidos por la lesión de alguna de las ramas del safeno interno, no son graves y en general hemos observado que pasado el año (en algunos casos hasta dos años) las mismas desaparecen o se atenúan, la minimización de la sintomatología y el disconfort que el paciente puede sentir luego de su cirugía, podría alterar la relación médico-paciente si la misma no es informada y advertida con anterioridad. En relación con la utilización de isquiotibiales, esta situación es aún más manifiesta ya que en el 33% de los casos los pacientes se vieron afectados en sus actividades habituales o se sintieron afectados de alguna u otra manera comparados con el 9% de aquellos operados con HTH. Por otra parte el 94,5% de los pacientes operados con isquiotibiales sintió esta falta de información por parte de su cirujano, como un punto destacable y lo considero como hecho inesperado. Es posible que la mayor magnitud de la sintomatología en aquellos pacientes con lesiones de la RTS solas o combinadas con la RIP, este relacionada con un mayor compromiso de la sensibilidad cutánea al estar afectada dos regiones (rodilla y pierna), o en algunos casos por el desencadenamiento de síndromes dolorosos (SDRC) que en muchos casos no son diagnosticados.
 
 
Figura 3: Relaciones anatómicas entre los isquiotibiales y el Nervio Safeno Interno. (1) Rama infrapatelar; (2) Musculo Sartorio; (3) Semitendinoso; (4) Recto Interno; (5) Rama terminal sensitiva.
 
 
 
Figura 4: Relación anatomo-quirúrgica. (1) Rama infrapatelar; (2) Músculo sartorio (retraido); (3) Semitendinoso; (4) Recto interno; (5) Rama terminal sensitiva. Obsérvese la línea punteada que corresponde a la incisión cutánea para la toma de injertos de la pata de ganso y el circulo que indica la directa relación entre el tendón del recto interno y la rama terminal sensitiva del nervio safeno interno.
 
 
Figura 5: Síndrome de Dolor Regional Complejo post-reconstrucción de LCA con isquiotibiales.
 

CONCLUSIÓN


El cambio cada vez más notable de la preferencia en la utilización de injertos autologos para la reconstrucción del LCA, hace que debamos prestar mas atención y tengamos un mayor conocimiento de las potenciales complicaciones en el momento de la toma de injertos. Ya es conocida la lesión de la rama infrapatelar del safeno interno en incisiones longitudinales para la toma del HTH. Sin embargo, poco se menciona sobre la rama terminal sensitiva del safeno interno, que por su ubicación anatómica y en especial por su relación con el recto interno, puede verse lesionada durante la maniobra de toma de injerto con el tenotomo. De acuerdo a lo que observamos, la lesión de la RIP y más cuando se asocia a la RIP, genera un mayor impacto en la vida del paciente por su sintomatología y un mayor riesgo de generar síndromes dolorosos complejos de difícil diagnóstico y tratamiento. Es por eso que resulta indispensable un mayor conocimiento del safeno interno y una mayor comunicación a los pacientes sobre esta posible eventualidad o complicación.
 

BIBLIOGRAFÍA

  1. Sanders Bret, Rolf Robert, McClelland Walter, Xergeanes John. Prevalence of saphenous nerve injury after autogenous hamstring harverst: An anatomic and clinical study of sartorial branch injury. Arthroscopy 2007; 23(9):956.
  2. Kartus Juri, Movin Tomas, Karlsson Jon. Donor site morbidity and anterior knee problems after anterior cruciate ligament reconstruction usin autografts. Arthroscopy 2001;17:971.
  3. Tifford Craig, Spero Lane, Luke Timothy, Plancher Kevin. The relationship of the infrapatellar branches of the saphenous nerve to arthroscopy portals and incisions for anterior cruciate ligament surgery. An anatomic study. AJSM 2000; 28:562.
  4. Abram Leon, Froimsom Avrum. Saphenous nerve injury: An unusual arthroscopy complication. AJSM 1991; 19:668.
  5. Heikkila J. Saphenous nerve injuries during hamstrings ACL reconstructions. Suomen Ortopedia ja Traumatologia 2011; 34:70.
  6. Boon J., Van Wyk M., Jordaan D. A safe area and angle for harvesting autogenous tendons for anterior cruciate ligament reconstruction. Surg Radiol Anat 2004; 12:167.
  7. Poehling Gary, Pollock Edward, Koman Andrew. Reflex simpathetic dystrophy of the knee after sensory nerve injury. Arthroscopy 1998; 4:31.
  8. Chechik Ofir, Amar Eyal, Khashan Morsi, Lador Ran, Eyal Gil, Gold Aviram. An international survey on anterior cruciate ligament reconstruction. Int Orthop 2013; 37(2):201.
  9. Wagner Lene. Impact of choice of St/G or BPTB grafts in ACL reconstruction, results from the Danish Registry of Knee Ligament Reconstruction. 2013 ISAKOS Biennial Congress, Toronto Canada: paper 179.
  10. Rivarola Etcheto Horacio, Collazo Cristian, Autorino Carlos, Galli Serra Marcos, Martinez Gallino Rafael, Beltramo Fernando. Tecnica de doble incision para la toma de injerto HTH en la reconstruccion del LCA. Artroscopia 2007; 14(1):55.
  11. Figueroa David, Calvo Rafael, Vaisman Alex, Moraga Claudio, Campero M. Injury to the infrapatellar branch of the saphenous nerve in ACL reconstruction with the hamstring technique: Clinical and electrophysiological study. Knee 2008; 15(5):360.
  12. Portland Gregory, Martin David, Keene Greg, Menz Tony. Injury to the infrapatellar branch of the saphenous nerve in anterior cruciate ligament reconstruction: Comparision of horizontal versus vertical harvest site incisions. Arthroscopy 2005; 21(3):281.
  13. Papastergiou S, Voulgaropoulos H, Mikalef P, Ziogas E, Pappis, G, Giannakopoulos I. Injuries to the infrapatellar branch of the saphenous nerve in anterior cruciate ligament reconstruction with four-strand hamstring tendon autograft: Vertical versus horizontal incision for harvest. Knee Surg Sports Traumatol Arthrosc. 2006;14:789.
  14. Trescot Andrea, Brown Michael, Karl Helen. Infrapatellar saphenous neuralgia – Diagnosis and treatment. Pain Physician 2013; 16:315.
  15. Tennent T, Birch N, Holmes M, Birch R, Goddard N. Knee pain and the infrapatellar branch of the saphenous nerve. JR Soc Med. 1998; 91:573.
  16. Mochida H y Kikuchi S. Injury to the infrapatellar branch of saphenous nerve in arthroscopy knee surgery. Clin Orthop Relat Res. 1995; 320:88.
  17. Sabat Dhananjaya, Kumar Vinod. Infrapatellar branch of saphenous nerve injury during hamstrings graft harvest: A prospective comparative study of three different incisions. Arthroscopy 2012; 28(9); paper 290.
  18. Pagnani M, Warner J, Obrien S. Anatomic considerations in harvesting the semitendinosus and gracilis tendon and technique of harvest. AJSM 1993; 21:56
  19. Horner G, Dellon A. Innervation of the human knee joint and implications for surgery. Clin Orthop Relat Res. 1994; 301:221.

ARTROSCOPIA | VOL. 23, Nº 1 : 26-32 | 2016

REPORTE DE CASO

Variantes Anatómicas del Tendón de la Porción Larga del Bíceps en su Segmento Intra-articular 
Pablo Rubén Rupenian1, Instr. Analía Gauna1, Ramiro Chobadindegui2, Damián Di Memmo2
 
1Sanatorio Modelo Quilmes. 2Fundación Científica del Sur.
 
 
 
Esta dirección de correo electrónico está siendo protegida contra los robots de spam. Necesita tener JavaScript habilitado para poder verlo.
 

RESUMEN
Las anomalías del desarrollo del tendón de la porción larga del bíceps son poco frecuentes. La detención de la migración evolutiva del tendón hacia intra-articular durante las primeras semanas de la vida embrionaria y fetal darán lugar a las múltiples variantes anatómicas del segmento intra-articular del tendón. 
Presentamos 2 casos de variantes anatómicas del tendón de la porción larga del bíceps en su segmento intra-articular diagnosticadas sólo luego de la exploración artroscópica gleno-humeral.
El tratamiento de estas anomalías congénitas depende en gran media del examen físico preoperatorio y del grado de movilidad que presente el tendón durante la exploración artroscópica.
 
Tipo de Trabajo: Reporte de Casos
Nivel de Evidencia: V
Palabras Clave: Bíceps; Tendón; Intra-articular; Variantes
 
SUMMARY
Developmental anomalies of the tendon of the long head of the biceps are rare. The arrest of evolutionary migration of the tendon towards intra-articular during the first weeks of embryonic and fetal life will result in multiple anatomic variants of the intra-articular tendon segment.
We report 2 cases of anatomical variants of the tendon of the long head of the biceps in its intra-articular segment diagnosed only after gleno-humeral arthroscopic examination.
Treatment of these congenital anomalies depend to a large extent on preoperative physical examination as well as on mobility achieved by the tendon during arthroscopic examination.
 
Type of Study: Case Report.
Level of Evidence: V
Key Words: Biceps; Tendon; Intra-articular; Variants
 

 

INTRODUCCIÓN


Las anomalías del desarrollo del tendón de la porción larga del bíceps son poco frecuentes. Sin embargo, su estudio y descripción datan desde los comienzos de las disecciones cadavéricas, figurando ya en los tratados clásicos de anatomía del siglo XIX.1 El tendón de la porción larga del bíceps sufre una migración hacia intra-articular durante las primeras semanas del desarrollo embriológico y fetal.2 La detención de esta migración evolutiva en sus diversos estadios da lugar a las múltiples variantes anatómicas del segmento intra-articular del tendón de la porción larga del bíceps, que van desde la persistencia de una fina cuerda mesotelial que provee vascularización al tendón hasta la ausencia completa del mismo.3
Con el advenimiento de la artroscopia y de la resonancia magnética nuclear con contraste articular (Artro-RMN), se logró interpretar y clasificar de forma más amplia y esquemática las diversas variantes anatómicas del segmento intra-articular del tendón de la porción larga del bíceps. 3-5
Presentamos 2 casos de anomalías del desarrollo del tendón de la porción larga del bíceps que fueron diagnosticadas por artroscopia durante el tratamiento de una patología asociada. Complementamos la presentación de casos con una revisión bibliográfica en la discusión del trabajo.
 
PRESENTACIÓN DE CASOS
Caso 1
Paciente masculino de 14 años de edad jugador de rugby quien padecía de inestabilidad recidivante anterior del hombro izquierdo. El primer episodio de luxación gleno-humeral anterior ocurrió a consecuencia de un tacle vencido. Al examen físico presentó aprehensión anterior a predominio antero-inferior del hombro izquierdo, sin antecedentes previos, ni luego del trauma, de dolor en sus hombros. La RMN mostró una lesión labral anterior asociada a una lesión de Hill-Sachs sin otras particularidades. Se decidió realizar una reparación artroscópica de Bankart anterior.
Durante la exploración artroscópica gleno-humeral en seco6 se reconoció una delgada banda de aspecto constitucional (no cicatrizal) que conectaba un segmento de aproximadamente 10 mm del margen súpero-lateral de la porción intra-articular del tendón del bíceps, con un segmento del borde anterior del tendón del supraespinoso (fig. 1A y B), (Video: Caso 1). Este puente de tejido no impedía el correcto deslizamiento del tendón durante la abducción pasiva del hombro. Completada la reparación de Bankart, se respetó la banda de tejido conectivo dada la ausencia de síntomas de patología bicipital ni del manguito rotador.
La reevaluación de la RMN, incluso luego de ver el video intraoperatorio, no permitió detectar el mencionado septum en el estudio por imágenes.
La variante hallada fue clasificada como tipo MESO-SB (Mesotendon-banda pequeña).3
 
 
Figura 1: Imagen artroscópica gleno-humeral en seco de un hombro izquierdo desde un portal posterior. Desde horas 3 y 4 se observa el tendón de la porción larga del bíceps en dirección a la corredera bicipital; entre horas 10 y 11 se visualiza el margen anterior del tendón del supraespinoso dirigiéndose hacia el troquíter. Ambas estructuras se encuentran unidas por una fina banda conectiva de concavidad infero-lateral (centro de la imagen y horas 12 a 2).
 
 
Caso 2
Paciente masculino de 41 años de edad quien comenzó con  dolor sobre cara anterior del hombro derecho e irradiado hacia la región anterior del brazo tras caer en elevación forzada del miembro superior al salir despedido de un vehículo. Al examen físico presentó prueba de Speed y prueba de re-locación positivas. La Arto-RMN informó una probable lesión SLAP tipo II. Se planeó realizar una tenodesis artroscópica del bíceps.
Durante la exploración artroscópica gleno-humeral en seco no se logró visualizar el tendón del bíceps a nivel intra-articular. En su lugar, se destacó la presencia de una estructura cordonal cubierta por tejido sinovial grueso que se extendía desde el labrum superior hasta perderse en la corredera bicipital siempre en contacto con el intervalo rotador y el tendón del supraespinoso (fig. 2A), (Video: Caso 2). Se realizó un foramen de la mencionada capa sinovial con una radiofrecuencia; a través de éste se reconoció la presencia del tendón del bíceps (fig. 2B). Se abrió la capa sinovial desde el labrum superior hasta la corredera bicipital convirtiendo al tendón de intra-capsular a intra-articular (fig. 2C). Dado los signos y síntomas durante el examen físico preoperatorio y ante el hallazgo artroscópico de tejido sinovial interpuesto entre el tendón y el piso óseo de la corredera, se decidió completar el tratamiento con la tenodesis del bíceps.
La evaluación retrospectiva de la Artro-RMN permitió demostrar la situación intra-capsular del tendón: El tendón de la porción larga del bíceps fue identificado previo a su inserción glenoidea, en íntimo contacto con el sector caudal del músculo supraespinoso; a su vez no se evidenció la presencia de líquido de Artro-RMN entre estas dos estructuras (figs. 3 y 4).
La variante tratada fue clasificada como tipo ADH-CL (Adherente completo-unido al labrum)3 o Intra-capsular.2
 
 
Figura 2: A) Imagen artroscópica gleno-humeral en seco de un hombro derecho desde un portal posterior. Se visualiza un cordón sinovial que nace desde el labrum superior (horas 10 a 11) y se dirige hacia anterior, lateral e inferior. B) Tras realizar un foramen con radiofrecuencia, se descubre en su interior al tendón de la porción larga del bíceps. C) Se realizó una apertura del estuche sinovial desde el labrum superior y hasta alcanzar la corredera bicipital, convirtiendo al tendón del bíceps de intra-capsular en intra-articular. 
 
 
 
 
 
Figura 3: A-D) Artro-RMN, secuencia Densidad Protónica Fat-Sat (PDFS). Nótese que el líquido de Artro-RMN, no rodea al tendón de la porción larga del bíceps braquial por lo cual se interpreta de disposición intra-capsular (flechas).
 
 
Figura 4: Artro-RMN PDFS comparativa entre el Caso 2 (A) y un paciente sin anomalía congénita del tendón del bíceps (B). En A, nótese el tendón de la porción larga del bíceps braquial (asterisco) de disposición extra-articular e intra-capsular. En B, se observa líquido (flechas) entre el tendón del bíceps (asterisco) y el sector inferior del supraespinoso por lo que se interpreta de localización intra-articular.
 
 
DISCUSIÓN  
La discusión sobre el origen, variantes anatómicas y embriología de la porción intra-articular del tendón del bíceps data desde los comienzos de las disecciones cadavéricas tanto en humanos adultos como también en fetos. Aún no existe consenso si el tendón del bíceps migra durante la gestación hasta intra-articular desde una ubicación extra-capsular o si lo hace desde una localización intra-capsular, habiendo una mayor proporción de autores que se inclinan por la segunda hipótesis. Ello se debe quizás a que distintas especies animales muestran múltiples variantes en relación a su origen embriológico: en algunas migra desde extracapsular hacia intra-articular; en otras lo hace desde un origen intra-capsular; y otras -como los equinos- cuentan con un tendón de la porción larga del bíceps que permanece extra-articular en su etapa madura.2
Sí, por el contrario, diversos estudios concuerdan en que las distintas variantes congénitas de la porción intra-articular del tendón del bíceps humano de deben a la detención de su migración hacia intra-articular en los distintos estadios de dicho proceso migratorio.2,3,5 Tena-Arregui y cols.5 realizaron una exploración artroscópica en 40 hombros cadavéricos (20 fetos) con edad gestacional de 24 a 40 +/- 2 semanas. En relación al tendón de la porción larga del bíceps encontraron que en 34 de los 40 hombros el tendón corría libremente desde su origen en el tubérculo supraglenoideo hasta su llegada a la corredera bicipital. Los otros 6 hombros (3 fetos) tenían una edad gestacional menor a las 24 semanas y presentaban un septum que unía el tendón a la cápsula; además el tendón corría en parte adyacente a la membrana sinovial.
Audenaert y cols.2 propusieron una clasificación embriológica de los diversos estadios migratorios del tendón de la porción larga del bíceps durante el desarrollo y, paralelamente, de las posibles anomalías durante este desarrollo embrionario y fetal; los autores partieron del concepto de que el origen extra-capsular del tendón del bíceps no existe y que el mismo se origina a nivel intra-capsular.
Por otro lado, varios estudios7-9 destacan el rol del tendón de la porción larga del bíceps en la estabilidad gleno-humeral; ésto explicaría en cierta forma la relación entre las distintas variantes anatómicas de inserción de la porción intra-articular del tendón del bíceps con la inestabilidad anterior del hombro.
Dierickx y Castagna3 reunieron entre ambos alrededor de 3000 artroscopias de hombro indicadas por diversas patologías y analizaron retrospectivamente las imágenes intraoperatorias del bíceps, su movilidad y relación con el manguito rotador durante la abducción pasiva de la articulación. Encontraron variaciones anatómicas del segmento intra-articular de la porción larga del bíceps en 1,91% de los casos. Basándose en estos 57 casos propusieron una clasificación con 12 variantes posibles del tendón a nivel intra-articular (Tabla 1). Sin embargo, no plantean un algoritmo terapéutico para cada una de ellas. Al igual que Audenaert y cols.,2 los autores consideran que el origen embriológico de donde parte la migración del tendón hacia intra-articular no ocurre desde extra-capsular sino desde extra-articular pero intra-capsular. 
 
 
 
 
CONCLUSIÓN  
Las variantes anatómicas del tendón de la porción larga del bíceps en su segmento intra-articular, aunque poco frecuentes, han podido ser ampliamente estudiadas y clasificadas. Su diagnóstico por imágenes puede pasar desapercibido arribando al mismo recién durante la exploración artroscópica.
No existe aún un algoritmo terapéutico basado en las distintas variantes anatómicas del tendón. La decisión entre tenólisis, tenotomía, tenodesis, e incluso una conducta expectante dependerán en gran media de los hallazgos durante el examen físico preoperatorio como así también de la movilidad y el deslizamiento del tendón del bíceps durante la abducción pasiva intraoperatoria.
 
 

BIBLIOGRAFÍA

  1. Testut L. Tratado de anatomía humana (en francés). Paris: Octave Doin;1896. p. 778-781.
  2. Audenaert EA, Barbaix EJ, Van Hoonacker P, Berghs BM. Extraarticular variants of the long head of the biceps brachii: a reminder of embryology. J Shoulder Elbow Surg. 2008;17:114-117.
  3. Dierickx C, Ceccarelli E, Conti M, Vanlommel J, Castagna A. Variations of the intra-articular portion of the long head of the biceps tendon: A classification of embryologically explained variations. J Shoulder Elbow Surg. 2009;18:556-565.
  4. Kim KCh, Rhee KJ,  Shin HD. A long head of the biceps tendon confluent with the intra-articular rotator cuff: arthroscopic and MR arthrographic findings. Arch Orthop Trauma Surg. 2009;129:311–314.
  5. Tena-Arregui J, Barrio-Asensio C, Puerta-Fonolla J, Murillo-Gonzales J. Arthroscopic study of the shoulder joint in fetuses. Arthroscopy 2005;21:1114-1119.
  6. Rupenian, P. Dry arthroscopy of the shoulder. Arthrosc Tech. 2013;2:e437–e440.
  7. Rodosky MW, Harner CD, Fu FH. The role of the long head of the biceps muscle and superior glenoid labrum in anterior stability of the shoulder. Am J Sports Med. 1994 Jan-Feb;22(1):121-130.
  8. Vangsness CT Jr, Jorgenson SS, Watson T, Johnson DL. The origin of the long head of the biceps from the scapula and glenoid labrum. An anatomical study of 100 shoulders. J Bone Joint Surg.(Br) 1994;76:951-954.
  9. Ghalayini SRA, Board TN, Srinivasan MS. Anatomic variations in the long head of biceps: contribution to shoulder dysfunction. Arthroscopy. 2007;23:1012-1028.