Quiste Sinovial en la Tibia luego de la Reconstrucción del LCA: Evaluación de 14 Pacientes
Carlos Heraldo Yacuzzi, Juan Pablo Zicaro, Maximiliano Ranalleta, Matias Costa Paz
Hospital Italiano de Buenos Aires
RESUMEN
Introducción: La aparición de quiste sinovial pretibial posterior a cirugía de reconstrucción de LCA es una complicación poco frecuente, de origen multifactorial que puede suceder incluso años luego de la cirugía. El objetivo del presente trabajo fue analizar una serie de pacientes tratados por esta complicación.
Material y métodos: Se evaluaron retrospectivamente 14 pacientes operados de resección de quiste pretibial posterior a una cirugia de LCA entre el año 2008 y 2016. Se analizó el tipo de injerto, técnica quirúrgica e implante utilizado, la clínica del paciente y el tiempo de aparición de los síntomas. Se realizó una evaluación radiológica pre y post operatoria. Se describió la cirugía de resección del quiste y la anatomía patológica. Evaluamos el índice de recidiva.
Resultados: Nueve hombres y 5 mujeres con edad promedio de 38 años. El seguimiento promedio fue de 35 meses. Todos operados con isquiotibiales cuádruple y técnica trans-tibial. El tiempo promedio entre la cirugía de LCA y aparición del quiste fue de 29 meses. Clínicamente presentaban una tumoración entre 1.1 y 3 cm sin signos de inestabilidad. A través de Rx y RM se evidenció ensanchamiento del túnel tibial en todos los casos. Se rellenó el túnel tibial con injerto óseo en 7 casos. La anatomía patológica informó: 12 quistes sinoviales (5 asociados a remanentes de sutura) y 2 casos únicamente fibrosis. Un paciente evolucionó con recidiva.
Conclusión: Numerosos autores han intentado determinar la etiología de esta complicación, pero no hay evidencia que avale una única conclusión. Tradicionalmente asociada a una reacción a cuerpo extraño, estos quistes de origen multifactorial podria ser definida como comunicantes y no comunicantes. Un injerto vertical permite cierta fricción y micromovimiento del injerto en el túnel tibial pudiendo derivar en una menor incorporación del injerto y aumento del tamaño del túnel tibial. En pacientes sintomáticos la resección es el tratamiento indicado. De sospechar comunicación o agrandamiento significativo del túnel o en el eventual caso de encontrarse con una recidiva, se debe tener en cuenta el cierre de la comunicación intra-articular y relleno óseo del quiste. Ningún paciente de la serie presentó signos de inestabilidad.
Tipo de estudio: Serie de casos.
Nivel de Evidencia: IV
Palabras clave: Quiste Pretibial; Reacción a Tornillo Biodegradable; Reconstrucción LCA
ABSTRACT
Introduction: Among complications following ACL reconstruction, the formation of a pre-tibial cyst in the site of the tibial tunnel is very rare and might happen even years after surgery. The purpose of this study was to analyze 14 patients with tibial synovial cyst after ACL reconstruction.
Material and method: We retrospectively evaluated patients operated between 2008 and 2016. We analyzed the graft selection and surgical technique for ACL reconstruction, the time between primary surgery and the onset of symptoms and the clinical presentation. A pre and postoperative radiological evaluation was performed for every patient. Surgical technique for cyst excision, histological analysis and culture results were also analyzed. The recurrence rate was evaluated at final follow-up
Results: Nine patients were male, with an average age of 38 years. The average follow-up was of 35 months. All ACL reconstructions were performed using hamstring graft and a trans-tibial technique. The average time between primary ACL surgery and onset of the cyst was 29 months. All patients presented a palpable tumor at proximal tibia and a stable knee. The cyst size varied between 1.1 and 3 cm. In all cases, Rx and MRI could appreciate a widening of the tibial tunnel. The tibial tunnels were filled with cancellous bone in 7 cases. Pathological anatomy reported 12 synovial cysts (5 associated with remaining suture) and 2 fibrosis. One recurrence was reported.
Conclusion: Although most authors attempt to define an etiology for this complication, there is not enough evidence to support a unique conclusion. It has been traditionally associated with a foreign-body reaction. Though we believe the etiology to be multifactorial, cysts can be defined as communicating or non-communicating. Vertical grafts might cause some micro-movement and friction resulting in tibial tunnel widening. If patients present with an onset of pain, surgical resection is indicated. When no articular communication is suspected, cyst resection and hardware removal might be sufficient. Otherwise, treatment must include debridement, hardware removal and local bone grafting. In case of a recurrence, aggressive curettage and extensive bone grafting is recommended. None of the patients of our series revealed signs of instability.
Study Design: Case series
Evidence level: IV
Keywords: Pretibial Cyst; Bioabsorbable Screw Reaction; ACL Reconstruction
Carlos Heraldo Yacuzzi
Esta dirección de correo electrónico está siendo protegida contra los robots de spam. Necesita tener JavaScript habilitado para poder verlo.
Recibido: 12 de enero de 2018. Aceptado: 28 de febrero de 2018
INTRODUCCIÓN
Dentro las complicaciones de la reconstrucción del ligamento cruzado anterior (LCA) se destacan la infección, alteración neurovascular, inestabilidad, limitación del rango de movilidad, dolor o síndrome de cíclope. La formación de un quiste sinovial pre tibial es una complicación muy rara que se podría presentar años después de la reconstrucción del LCA. Los casos reportados en un número limitado de artículos muestran pacientes diversos, con diferentes técnicas en cuanto al uso de injertos y tipo de fijación.1-4
Si bien en cada autor intenta definir una etiología, no hay suficiente evidencia que justifique una única conclusión. Frecuentemente se asoció esta complicación a una reacción a cuerpo extraño. El exceso de movilidad del injerto en el túnel, particularmente en caso de injertos con ubicación vertical, una rehabilitación acelerada previa a la incorporación del injerto en el túnel o la presencia de citoquinas osteolíticas en el líquido sinovial entre el túnel y el injerto son factores que podrían estar relacionados con esta complicación.
El tipo de injerto podria ser otro factor importante. Actualmente es más frecuente con la utilización de los tendones isquiotibiales como injerto. La ventaja del tendón patelar radica en que las pastillas óseas se incorporan de forma más precoz, sellando el túnel. Posiblemente este sea el motivo por el que la incidencia de esta complicación es mayor con el uso de isquiotibiales como injerto.
De presentación habitual entre 1 y 5 años postoperatorios, esta complicación no se ha visto asociada a aflojamiento del injerto e inestabilidad.2,4,6-9 La mayoría de los autores coinciden que en aquellos pacientes sintomáticos, la resección quirúrgica otorga buenos resultados. La cirugía incluye la escisión del quiste, retiro del material de fijación y curetaje de los túneles, siendo el tratamiento definitivo en la mayoría de los casos.10 Otros autores recomiendan agregar hueso autólogo para rellenar del túnel y lograr un sellado del mismo.11
El objetivo de nuestro trabajo fue analizar una serie de pacientes operados de quiste sinovial en la tibia luego de la reconstrucción del LCA.
MATERIAL Y MÉTODOS
Evaluamos retrospectivamente 14 pacientes con resección de quistes pretibiales secundarios a una plástica del LCA con injerto de isquiotibiales y técnica transtibial, operados entre los años 2008 y 2016. Las cirugías de resección de quiste se realizaron en 2 centros especializados. Se incluyeron pacientes operados de quiste pretibial posterior a una cirugía de LCA. Para la evaluación del índice de recidiva, se excluyeron aquellos con seguimiento menor a 1 año.
En el preoperatorio evaluamos la sintomatología clínica, estabilidad articular y alteración del laboratorio. Los estudios por imágenes incluyeron radiografías simples y una resonancia magnética nuclear pre y postoperatoria.
Analizamos el tipo de injerto y técnica utilizada para la cirugía de LCA, el tiempo entre la cirugía de LCA y la aparición de síntomas, la técnica utilizada para la resección del quiste y el índice de recidiva postoperatorio al final del seguimiento.
RESULTADOS
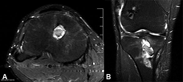
Se evaluaron 14 pacientes, nueve masculinos y 5 femeninos, con una edad promedio de 38 años (rango entre 26 y 55 años). El seguimiento promedio fue de 35 meses (rango entre 6 y 94 meses). El tiempo promedio entre la cirugía primaria de LCA y la aparición del quiste fue de 29 meses (rango entre 13 y 48 meses) (Tabla 1). Clínicamente todos cursaron con dolor anterior de rodilla a nivel del túnel tibial, con una tumoración palpable. En ningún caso se evidenciaba eritema ni signos de infección, con resultados de laboratorio negativos. Ninguno presentaba maniobras de Lachmann o Pivot Shift positivos, ni sensación subjetiva de inestabilidad. Todas las RM mostraron un neo-ligamento continuo en todos los pacientes (fig. 1a) y el tamaño de los quistes varió entre 1.1 cm a 3 cm (fig. 1b). Si bien todos presentaban características benignas, en todos los pacientes se podía apreciar un aumento del diámetro del túnel tibial con una interfase lineal hiperintensa en T2 correspondiente a líquido alrededor del injerto entre el quiste y la articulación.

Figura 1: A) Neoligamento continuo. B) Quiste 2.5 cm.
En todos los pacientes se utilizó el mismo tipo de injerto (isquiotibiales cuádruple autólogo). Los isquiotibiales fueron tomados a través de una incisión longitudinal de 3 cm a nivel de la inserción de la pata de ganso conservando su inserción en la tibia en 4 pacientes y liberándolos de su inserción en 10 pacientes.
En todos los pacientes el túnel femoral se realizó con técnica transtibial. En cuanto a las fijaciones, en ocho pacientes se utilizó una fijación con pin transversal biodegradable a nivel femoral y un tornillo biodegradable para la fijación tibial (aumentando la fijación con una grapa de titanio en tres casos). En 4 pacientes a nivel femoral se fijó con un tornillo biodegradable (Delta-Bio Arthrex) y a nivel tibial se conservó la inserción natural de los isquiotibiales. En un paciente se fijó con un tornillo interferencial biodegradable en fémur y otro en la tibia. En el paciente restante se fijó en fémur con un poste de titanio y con un tornillo interferencial de titanio en tibia. La Tabla 2 muestra los tipos y técnica de reconstrucción, injerto y fijación de la cirugía primaria de LCA.
Tabla 1: Datos demográficos

Tabla 2: Cirugía primaria de reconstrucción del LCA

Tratamiento quirúrgico de los quistes
El tratamiento quirúrgico en todos los pacientes comprendió la resección del quiste sinovial de contenido seroso, se extrajo el tornillo biodegradable en aquellos que presentaban uno, al igual que las grapas y remanentes de sutura o fibrosis. Se enviaron muestras a anatomía patológica y cultivo. Además, se realizó una artroscopía confirmando la indemnidad del neo-ligamento (fig. 2), y la ausencia de pasaje de líquido desde la articulación al túnel tibial. Luego esto se realizó un curetaje de las paredes del túnel y en siete casos se rellenó el túnel tibial con injerto óseo autolólogo. El injerto se obtuvo en cinco pacientes de la tibia proximal y en dos del cóndilo femoral externo de la misma rodilla (fig. 3). Para el cierre se utilizó Vicryl® 2/0 para tejido celular subcutáneo y Nylon® 3/0.

Figura 2: Visión artroscópica. Continuidad del neoligamento.

Figura 3: Taco de hueso obtenido del cóndilo femoral externo.
En cuanto al manejo del dolor, todos evolucionaron con dolor 0/10 en la Escala Visual Análoga en el sitio del quiste. El retorno al deporte fue el mismo al previo a la aparición del quiste. Todos los pacientes eran deportistas con nivel amateur.
La anatomía patológica informó 12 quistes sinoviales, 2 de ellos asociados a fibrosis y 5 a remanentes de sutura, y 2 casos únicamente fibrosis (Tabla 3). Respecto a las recidivas, se excluyeron 3 pacientes para el análisis al año de seguimiento. Un paciente (9%) evolucionó con 3 recidivas. El quiste post reconstrucción de LCA fue operado en otro centro mediante una resección simple, sin relleno óseo del túnel tibial. La primera recidiva fue a los 2 meses de la resección, y se trató también en otro centro con aspiración por punción del quiste. Nos fue derivado 2 meses posterior a la punción por una segunda recidiva. Se realizó entonces una resección y relleno del túnel con 3 cilindros de hueso autólogo obtenido de la metáfisis femoral con un sistema de mosaicoplastia. El quiste presentaba entonces paredes bien definidas, con contenido seroso en su interior (fig. 4a). La histología confirmó el diagnóstico de quiste sinovial (fig. 4b). Cuatro meses luego de la cirugía sufrió una nueva recidiva (tercera). En radiografías y RM se apreciaba el agrandamiento del túnel con el taco óseo en su interior y la presencia del quiste (fig. 5). Se decidió en este caso una re-operación con un curetaje extenso del túnel, se resecó toda la pared del mismo que se había “corticalizado” y luego se rellenó de la cavidad utilizando hueso de banco.
Tabla 3: Resultados de Anatomía Patológica.


Figura 4: A) Pieza quirúrgica. B) Histología de la pieza.

Figura 5: A y B) Imagen de RM. Se observa el taco óseo dentro del quiste luego de la 3er recidiva.
DISCUSIÓN
En nuestro centro se realizan aproximadamente 175 cirugías de reconstrucción del Ligamento Cruzado Anterior por año. Existen numerosas complicaciones descriptas para este tipo de cirugía artroscópica. Dentro de las más frecuentes se destacan la infección, alteración neurovascular, inestabilidad, limitación del rango de movilidad, dolor o síndrome de cíclope. La formación de un quiste ya sea tibial o femoral es una complicación de muy baja frecuencia (menos de 3%).11 La etiología del quiste sinovial pre-tibial es objeto de debate en la bibliografía actual. La gran mayoría de los autores la asocian a una reacción por cuerpo extraño.
Cuando analizamos la etiología, encontramos diferentes teorías según los distintos autores. Gonzales-Lomas5 reportó 7 casos con aparición de quiste pre-tibial en el año 2011. El promedio de tiempo entre la cirugía y la aparición del quiste fue de 2 años. En todos ellos se utilizó como fijación distal un tornillo biodegradable de Ácido Poli-L-Láctico (PLLA), 4 de ellos con injerto de banco y 3 con isquiotibiales. Luego de la resección simple del quiste, en la anatomía patológica se encontraron fragmentos del tornillo rodeado de histiocitos, concluyendo que la formación del quiste fue debido a restos de PLLA.
Esta complicación está mayormente descripta en el túnel tibial. De todas maneras, Feldmann6 en 2001 describió 1 caso de quiste femoral, 8 meses postoperatorio. El injerto utilizado fue Hueso-Tendón-Hueso y la fijación con tornillos de titanio. Tras la resección simple, en la histología se encontraron restos de sutura no reabsorbible que se había utilizado para el pasaje del injerto. En una serie publicada por Ranalletta en el año 20131 se presentaron 4 casos en los que se había utilizado como injerto tendones isquiotibiales conservando la inserción distal de los mismos y como fijación proximal un tornillo biodegradable. Se encontraron restos de hilo no reabsorbible en la anatomía patológica de los quistes.
Sekiya12 presentó en 2004 el reporte de un caso que presentó 2 recidivas. La formación inicial del quiste fue 5 años después de la reconstrucción de LCA con fijación distal del injerto de isquiotibiales a un tornillo poste. La resección inicial se realizó incluyendo el pedículo del quiste y se encontró restos de sutura no reabsorbible. La boca del túnel tibial fue cubierta con el cierre de la fascia. Al año presentó la primera recidiva, la cual fue drenada mediante punción aspirativa, y 3 meses después la segunda recidiva con un mayor tamaño a la inicial. En esa ocasión realizó extracción de remanentes de sutura y curetaje de las paredes del túnel. Estos autores encontraron como causa del quiste remanentes de sutura no biodegradables. Para el cierre del túnel se han descripto varias técnicas:5,8,11-13 cierre de fascia, uso de cera, Tissucol, curetaje del túnel y relleno con auto o aloinjerto óseo. Todas con el objetivo del sellado del quiste y buenos resultados postoperatorios.
Los quistes se pueden clasificar como comunicantes y no comunicantes con la articulación. Los no comunicantes estarían mayormente relacionados con una reacción a cuerpo extraño, y los comunicantes a micromovimiento o necrosis del injerto. Como describió Ghazikhanian,10 la colocación de injerto en el túnel sería el tratamiento de elección en aquellos quistes que comunican con la articulación.4,7,9-11
La aparición de esta complicación es habitualmente tardía, alrededor de 4 años posteriores a la cirugía.1,11,12 Sin embargo, Díaz Heredia7 reportó 3 casos de aparición temprana (menos de 1 mes post operatorio), todos con tornillo biodegradable como fijación distal. Dos de los casos se presentaron como fístula activa y el otro como tumoración. En los 3 casos el tornillo biodegradable se encontraba a pocos milímetros de protrusión de la tibia. Se realizó sellado del túnel con Tissucol®, sin extracción del tornillo biodegradable y cierre prolijo de la fascia sin recidiva del quiste a 2 años de seguimiento. En nuestra experiencia, el tiempo promedio de aparición de los quistes fue de 29 meses posterior a la cirugía de reconstrucción de LCA. Ningún caso fue de aparición temprana ni presentó aflojamiento del injerto.
Si bien en nuestra serie en 9 de los 14 pacientes se utilizaron tornillos biodegradables para la fijación tibial, en la anatomía patológica de los quistes no se encontraron remanentes del mismo o granulomas como describen estos autores. En estos casos es difícil relacionar la etiología con una reacción a cuerpo extraño.
Aunque se utilizaron isquiotibiales en todos nuestros pacientes, la fijación tibial no fue siempre la misma. En 4 pacientes se conservó inserción de los tendones, 1 se fijó con un tornillo metálico y 9 con tornillos biodegradables (3 de los cuales además tenían una grapa), por lo que la población no es homogénea. Esto además dificulta proponer una única etiología como causal. A pesar de que el agrandamiento de los túneles en algunos pacientes era muy evidente, fue infrecuente observar comunicación grosera del quiste con la articulación. Las imágenes de RM muestran en estos casos la presencia de líquido en una interfase entre el hueso y el injerto en casi todo su trayecto tibial. Esto apoyaría la teoría de que los quistes se producen por una sinovializacion en el túnel debido a una falla en la integración entre el injerto y el hueso.
Todos los pacientes de la serie fueron realizados con técnicas transtibiales. En las publicaciones revisadas se observó frecuentemente esta particularidad. Muchas de las imágenes que ilustran los casos, muestran injertos con orientación vertical y túneles femorales ubicados en el techo del surco intercondíleo. Esto nos plantea el interrogante si un conflicto anatómico en la reconstrucción podría tener un rol en la formación de los quistes.
Como principales limitaciones de nuestro trabajo, consideramos que contamos con una serie de casos pequeña, aunque al tratarse de una patología de muy baja frecuencia, la bibliografía al respecto también es escasa, siendo la mayoría reportes de casos. Además el seguimiento en 3 pacientes es menor a 1 año, aunque se los excluye para el análisis de las recidivas
CONCLUSIÓN
La aparición de quistes posterior a cirugía de reconstrucción de LCA es una complicación poco frecuente, de probable origen multifactorial y de presentación alejada a la cirugía de reconstrucción de LCA. La resección es el tratamiento indicado en la bibliografía. Es importante evaluar el tamaño del túnel tibial y la comunicación del quiste con la articulación. De existir comunicación o agrandamiento significativo del túnel, puede ser útil rellenar el mismo con injerto óseo, con el objetivo de evitar recidivas y cerrar la comunicación con la articulación.
BIBLIOGRAFÍA
- Rossi W., Ranalletta M, Ranalletta A.: Ganglión pretibial post reconstrucción de ligamento cruzado anterior. Artroscopia 2013 20(3): 95-97.
- Tsuda E, Ishibashi Y, Tazawa K, Sato H, Kusumi T, Toh S; Pretibial Cyst Formation After Anterior Cruciate Ligament Reconstruction With a Hamstring Tendon Autograft. Arthroscopy 2006 22(6):691.e1-691.e6
- Martinek V, Friederich NF; Tibial and Pretibial Cyst Formation after Anterior Cruciate Ligament ReconstructionWith Bioabsorbable Interference Screw Fixation. Arthroscopy 1999 15(3):317-320
- Fauno P, Erik SC, Lund B, Lind M; Cyst formation 4 years after ACL reconstruction caused by biogradable femoral transfixation: a case report; Knee Surg Sports Traumatol Arthrosc 2010 (18):1573-1575
- Gonzalez-Lomas G, Cassilly RT, Remotti F, Levine WN.; Is the etiology of pretibial cyst formation after absorbable interference screw use related to a foreign body reaction? Clin Orthop Relat Res 2011 469(4):1082–1088.
- Feldmann DD, Fanelli GC.: Development of a synovial cyst following anterior cruciate ligament reconstruction. Arthroscopy 2001;17:200- 202.
- Díaz Heredia J., Ruiz Iban M.A., Cuéllar Gutiérrez R., Ruiz Diaz R., Cebreiro Martinez del Val I., Turrion Merino L. Early postoperative transtibial articular fistula formation after anterior cruciate ligament reconstruction: a review of three cases. Arch Orthop Trauma Surg 2014 134(6):829-834.
- Thaunat M, Chambat P; Pretibial ganglion-like cyst formation after anterior cruciate ligament reconstruction: a consequence of the incomplete bony integration of the graft?; Knee Surg Sports Traumatol Arthrosc 2007 (15):522-524
- Sprowson AP, Aldridge SE, Noakes J, Read JW, Wood DG; Bio-interference screw cyst formation in anterior cruciate ligament reconstruction: 10 year follow up; The Knee 2012 (19):644-647
- Ghazikhanian V, Beltran J, Nikac V, Feldman M, Bencardino JT; Tibial tunnel and pretibial cyst following ACL graft reconstruction: MR imaging diagnosis. Skeletal Radiol 2012(41):1375-1379
- Victornoff BN, Paulos L, Beck C, Goodfellow DB; Subcutaneous pretibial cyst formation associated with anterior cruciate ligament allografts: A report of four cases and literature review; Arthroscopy 1995 11(4):486-494
- Sekiya JK, Elkousy HA, Fu H.: Recurrent Pretibial Ganglion Cyst Formation Over 5 Years after Anterior Cruciate Ligament Reconstruction. Arthroscopy 2004(20):317-321.
- Simonian PT, Wickiewicz TL, O’Brien SJ, Dines JS, Schatz JA, Warren RF; Pretibial Cyst Formation After Anterior Cruciate Ligament SurgeryWith Soft Tissue Autografts; Arthroscopy 1998 14(2):215-220
