Tratamiento de Fracturas del Platillo Tibial con Asistencia Artroscópica. Serie de Casos
Alejandro Bertune, Joaquín Gorina, Mauro Aeschlimann, Mariano Di Mauro
Instituto de Ortopedia y Traumatología Dr. Jaime Slullitel. Rosario, Santa Fe, Argentina.
RESUMEN
Introducción: Las fracturas de platillo tibial representan el 1% del total de las fracturas, siendo las de platillo lateral las más frecuentes 55-70%. La implicancia articular de las mismas para la rodilla y el posterior correcto funcionamiento depende de la óptima congruencia, la distribución correcta de las cargas, la estabilidad y la calidad articular normal. El factor pronóstico a largo plazo más importante de estas fracturas es la calidad de la reducción intraarticular de la superficie condral. La artroscopia nos ha permitido no sólo la visualización directa de la superficie articular, sino también la evaluación del resto de la articulación en busca de lesiones asociadas.
Objetivo: Reportar nuestra experiencia en el tratamiento de fracturas de platillo tibial (Schatzker I, II y V) de resolución quirúrgica, tratadas con asistencia artroscópica y osteosíntesis percutánea bajo intensificador de imágenes y evaluar retrospectivamente los resultados funcionales y radiográficos.
Materiales y métodos: Desde 2014-actualidad evaluamos 8 casos con fractura de platillo tibial externo, tratados mediante reducción y osteosíntesis bajo asistencia artroscópica. Se utilizó la clasificación de Schatzker para el patrón fracturario. El seguimiento posoperatorio osciló entre un mínimo de 6 meses y un máximo de 24 meses, con una media de 12 meses. El posoperatorio fue evaluado clínica y radiológicamente con los criterios de Rasmussen.
Resultados: Obtuvimos clínicamente 7 resultados excelentes y 1 bueno y radiológicamente 7 resultados excelentes y 1 bueno. En todos los casos no observamos desplazamientos secundarios de la fractura y obtuvimos la consolidación definitiva. Lesiones asociadas encontramos 3 roturas de menisco externo, 3 distensión del ligamento colateral medial y 2 fragmento libre osteocondral que fue resecado.
Conclusión: La reducción y osteosíntesis bajo asistencia artroscópica de la fractura del platillo tibial nos permitió diagnosticar y tratar las lesiones asociadas articulares, y el logro de una reducción más anatómica con una menor morbilidad y la obtención de resultados radiológicos y funcionales aceptables.
Tipo de estudio: Serie de Casos
Nivel de evidencia: IV
Palabras clave: Fractura de Platillo Tibial; Asistencia Artroscopia; Osteosíntesis Percutánea
ABSTRACT
Introduction: Tibial plate fractures represent 1% of all fractures, with lateral plate fractures being the most frequent 55-70%. The joint involvement of the same for the knee and the subsequent correct functioning depends on the optimal congruence, the correct distribution of loads, stability and normal joint quality. The most important long-term prognostic factor of these fractures is the quality of the intra-articular reduction of the chondral surface. Arthroscopy has allowed us not only the direct visualization of the joint surface, but also the evaluation of the rest of the joint in search of associated injuries
Objective: To report our experience in the treatment of tibial plate fractures (Schatzker I, II and V) of surgical resolution, treated with arthroscopic assistance and percutaneous osteosynthesis under image intensifier and retrospectively evaluate functional and radiographic results.
Materials and methods: From 2014-present we evaluated 8 cases with external tibial plate fracture, treated by reduction and osteosynthesis under arthroscopic assistance. The Schatzker classification was used for the fracture pattern. The postoperative follow-up ranged from a minimum of 6 months to a maximum of 24 months, with an average of 12 months. The postoperative period was evaluated clinically and radiologically with the Rasmussen criteria.
Results: We obtained seven excellent results, one good, radiologically seven excellent results, and one good. In all cases, we did not observe secondary displacements of the fracture and obtained definitive consolidation. Associated lesions we found three external meniscal tears, 3 distension of the medial collateral ligament and 2 free osteochondral fragment that was resected.
Conclusion: The reduction and osteosynthesis under arthroscopic assistance of the fracture of the tibial plate allowed us to diagnose and treat the associated joint injuries and the achievement of a more anatomical reduction with a lower morbidity and obtaining acceptable radiological and functional results.
Type of study: Case series
Level of evidence: IV
Keywords: Fracture of Tibial Plateu; Arthroscopy Assistance; Percutaneous Osteosynthesis
Alejandro Bertune
Esta dirección de correo electrónico está siendo protegida contra los robots de spam. Necesita tener JavaScript habilitado para poder verlo.
Recibido: 10 de enero de 2018. Aceptado: 20 de marzo de 2018
INTRODUCCIÓN
Las fracturas de platillo tibial corresponden al 1% de las fracturas del aparato locomotor, la meseta tibial externa es la más afectada (65-70%); los tipos II y III según la clasificación de Schatzker las más habituales.1,2
Son lesiones cada vez más frecuentes cuyo tratamiento óptimo aún no está definido, existiendo para un mismo tipo de fractura diversas opciones de manejo quirúrgico como reducción abierta y fijación interna, reducción cerrada con osteosíntesis percutánea, fijación externa y el tratamiento conservador sabiendo que el factor pronóstico a largo plazo más importante de estas fracturas es la calidad de la reducción intraarticular de la superficie condral.2-5
El mecanismo de producción de estas fracturas es a través de grandes deformaciones en varo o valgo a las que se añade un fuerte componente de carga axial.1,2 El traumatismo puede ser directo o indirecto, determinando la magnitud de la fuerza actuante el grado de desplazamiento y conminución de la fractura, así como la afectación de partes blandas (ligamentos, meniscos, estructuras vasculares y nerviosas).
En la actualidad el implemento de tecnología artroscópica ha mejorado el diagnóstico y tratamiento de muchas patologías intraarticulares. Las ventajas son: la disminución de la agresión quirúrgica sobre tejidos blandos, con menor morbilidad y consecuentemente con una rehabilitación y un retorno a las actividades más rápida en comparación con la técnica abierta la mejor visualización de la fractura, y el tratamiento de patologías concomitantes intraarticulares como lesiones meniscales (que van del 10% al 40%).2,13
El fin de la cirugía es restablecer la congruencia articular, conseguir una rodilla estable e indolora, obtener un rango de movilidad aceptable y prevenir el desarrollo de artrosis secundaria.
El objetivo del trabajo es presentar una serie de casos de fracturas de platillo tibial tratados con asistencia artroscópica y reportar resultados.
MATERIALES Y MÉTODOS
Desde 2014 a enero de 2018 se trataron, 8 pacientes con fractura de platillo tibial resueltos con reducción artroscópica y osteosíntesis percutánea con intensificador de imágenes.
La indicación para la cirugía fue una depresión mayor de 3 mm o bien una separación de 3 mm entre fragmentos.
El rango etario de los pacientes fue de 23-58 años, con una media de 39 años y un predominio de hombres. El seguimiento postoperatorio promedio fue de 12 meses con un mínimo de 6 meses y un máximo de 24.
Para la clasificación del tipo de fractura se utilizó la descripta por Schatzker y cols. que las clasifica en seis grados de acuerdo al platillo involucrado y al patrón de la fractura. El grado I: cizallamiento del platillo tibial externo, grado II: cizallamiento con hundimiento del platillo externo, grado III: hundimiento puro del platillo externo, grado IV involucran el platillo interno con 2 subgrupos: A (cizallamiento) y B (depresión), y las grado V y VI se producen por un trauma de alta energía y comprometen ambos platillos, sin y con disociación metafisaria respectivamente. Teniendo en cuenta para el estudio los grados 1, 2 y un caso 5.
El diagnóstico se realizó siguiendo los hallazgos clínicos, radiográficos, de la tomografía computada o la RMN según el caso (figs. 1 a 7).
Todos los pacientes realizaron el mismo protocolo postoperatorio, con inmovilización con férula en extensión, seguida de ejercicios isométricos en el plano de la cama, no autorizando la marcha con descarga total del peso hasta obtener signos de consolidación radiológica aproximadamente a las 6 semanas.

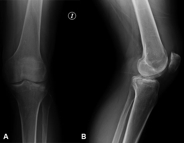
Figura 1: Masculino, 48 años, Schatzker 1.

Figura 2: Mismo paciente imagen TAC.

Figura 3: Control post quirúrgico al año.

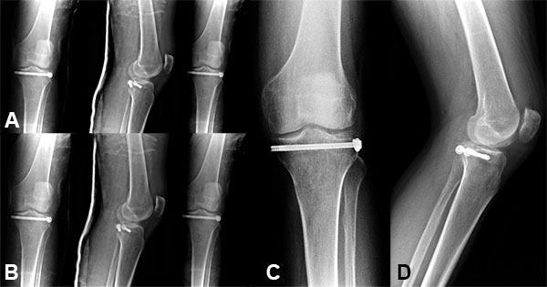
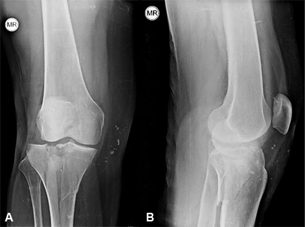
Figura 4: Masculino 58 años. Schatzker V.

Figura 5: Masculino 58 años. Schatzker V.

Figura 6: Cortes tomográficos paciente anterior.

Figura 7: Reconstruccion TAC 3D.
TÉCNICA QUIRÚRGICA
Los pacientes fueron colocados en decúbito dorsal en una camilla radio lúcida bajo anestesia raquídea, con el miembro en flexión de 45-60° apoyando sobre piernera. Se colocó manguito hemostático y se preparó la cresta ilíaca contralateral en caso que sea necesaria la toma de injerto óseo. Previo a la artroscopia, se realizó una evaluación clínica de la rodilla bajo anestesia y control radioscópico. Inicialmente, se realizó una exploración artroscópica por los portales clásicos anteromedial y anterolateral (no utilizamos bomba e introducimos el líquido por gravedad, aproximadamente a 2 metros por encima de
la rodilla), lo que permitió el drenaje del hematoma intraarticular, remover cuerpos libres, inspeccionar la superficie articular y diagnosticar lesiones meniscales o ligamentarias concomitantes (fig. 8).

Figura 8: Posición del paciente.
Posteriormente se realizó la reducción de la fractura con control artroscópico y radioscópico. Si existe hundimiento utilizamos la guía de LCA, que permite pasar un alambre de kirschner desde la cara anterointerna de la tibia al centro exacto de la depresión, y sobre él, con una mecha de 10 mm, se realiza un agujero en la cortical únicamente, ya que al colocar el impactor tendremos la posibilidad de llevar mayor cantidad de injerto a la zona hundida y a la base de la lesión. A través del túnel se eleva el fragmento con impactor canulado con 10° de inclinación en la punta, lo que nos permite llegar al fragmento deprimido casi en forma paralela, todo bajo visión intrarticular y radioscópica. Al realizar el túnel en diagonal creamos una mejor distribución de cargas sobre el platillo deprimido y así si perdemos reducción, la misma sería mínima, debido a que tenemos una base de tejido firme por debajo del túnel (fig. 9).

Figura 9: Clavija guía con impactor.
Es importante observar a través de la artroscopía que a medida que vamos impactando vemos al fragmento elevarse. Cuando el impactor se halla aproximadamente a 2 cm de la superficie del platillo, significa que entre el impactor y la superficie articular hay hueso de esponjosa compactado y no sería necesario el uso de injerto para sostener la elevación. El fragmento se debe sobre elevar 2 mm y observar que la superficie tome contacto con el nivel del menisco (fig. 10). Al retirar el impactor se crea una presión negativa en el túnel malogrando la reducción lograda. Por eso empleamos una osteodesis temporaria con uno o dos alambres de kirschner, permite mantener la misma y actuar como guía para los tornillos (fig. 11).
Luego colocamos 2 o 3 tornillos canulados de 6 mm de sostén desde el platillo externo. Se prueba la estabilidad, la flexo-extensión y varo-valgo.
Las lesiones intraarticulares asociadas fueron tratadas artroscópicamente luego de la fijación de la fractura.

Figura 10: Izquierda: Depresión Derecha: defecto reducido a nivel meniscal.

Figura 11: A) Fijación temporánea con clavija. B) Osteosíntesis usando clavija guía.
RESULTADOS
Nuestro seguimiento osciló entre 6 meses y 24 meses, sin que observáramos cambios radiográficos.
No encontramos complicaciones relacionadas con la extravasación de líquidos y el desarrollo de síndromes compartimentales. Siguiendo los criterios clínicos de Rasmussen obtuvimos 7 resultados excelentes y 1 bueno. Este último paciente presentó dolor constante y pérdida de la movilidad a pesar de no tener lesiones asociadas y de que los resultados radiológicos eran buenos (Tabla 1).
Con respecto a las lesiones asociadas encontramos 3 roturas de menisco externo, 3 casos de distensión del ligamento colateral medial y 2 fragmento libre osteocondral que fue resecado. La presencia de dichas lesiones no tuvo correlación con los resultados obtenidos ni con el tipo de fractura. No hubo complicaciones posquirúrgicas inmediatas.
Radiológicamente obtuvimos 7 resultados excelentes y 1 bueno. En todos los casos no observamos desplazamientos secundarios de la fractura y obtuvimos la consolidación definitiva.
Tabla 1: Evaluación Clínica-Radiológica (Criterios de Rasmussen)

DISCUSIÓN
La reducción anatómica ayuda a evitar la pérdida de la movilidad, retrasa los cambios degenerativos articulares y es el mayor indicador pronóstico de estas lesiones. Blokker y cols. y Waddell y cols.,14,15 enfatizaron en la calidad de la reducción como el factor más importante.
La visión artroscópica permite controlar bajo visión directa la reducción de la fractura, limpiar la hemartrosis, extraer pequeños fragmentos osteocondrales y valorar y tratar las lesiones asociadas factibles de ser resueltas con este método, evitando artrotomías o grandes abordajes, al mismo tiempo que permite un mejor postoperatorio inmediato y la rápida rehabilitación del paciente.
Un estudio comparativo realizado por Fowble y cols.,16 entre el tratamiento artroscópico y las técnicas tradicionales a cielo abierto, concluyó que sólo en un 55% de este último grupo se llegó a la reducción anatómica. Los resultados obtenidos en nuestra serie avalan esos conceptos.
La artroscopia no suplanta a la radioscopia, sino que la complementa. Es esencial el mantenimiento de esa reducción mediante una osteosíntesis estable, ya que la inestabilidad residual constituye un factor que empobrece los resultados y es consecuencia de la laxitud ligamentaria o de la incongruencia articular.17
Utilizamos como método de fijación la colocación de dos tornillos de esponjosa canulados de 6,5 mm con arandela colocados en forma percutánea bajo control radioscópico. De esa manera evitamos la realización de grandes abordajes quirúrgicos y sus consecuencias: rigidez, dolor e infecciones profundas.
Los resultados radiológicos obtenidos nos sugieren que la fijación con dos tornillos percutáneos subcondrales es suficiente para mantener la estabilidad hasta lograr la consolidación, y evita la disección mayor de los tejidos blandos requerida para la colocación de placas y tornillos.
No tuvimos necesidad de colocar en ningún paciente injerto óseo; no observamos pérdida de reducción inicial ni retrasos en la consolidación, que serían los propósitos de dicho procedimiento original gracias a elevar el platillo lateral mediante una ventana medial, logramos llevar el tejido esponjoso del lado sano al deficitario. Otros autores prefieren la colocación de un injerto de cresta ilíaca o de aloinjertos, pero esos trabajos elevan el platillo desde una ventana lateral, homolateral al daño y colapso articular.
Consideramos que la asistencia artroscópica representa un valor agregado a la reducción indirecta y fijación percutánea bajo intensificador de imágenes. Aun así, algunos trabajos cuestionan los beneficios de la artroscopia y la recomiendan sólo en los casos que requieran una visualización específica de la articulación, fracturas de la eminencia intracondílea y fracturas con lesiones ligamentarias combinadas con avulsiones óseas; mientras que otros obtienen resultados similares sin la asistencia artroscópica.
CONCLUSIÓN
Creemos que la asistencia artroscópica y la fijación percutánea bajo control radioscópico son el tratamiento de elección para las fracturas tipos I, II y III, ya que permiten la reducción de la fractura bajo visión directa en otros casos se debe evaluar minuciosamente el patrón fracturario. Es esencial el mantenimiento de esa reducción mediante una osteosíntesis estable compresiva que requiera la mínima disección de los tejidos blandos. La artroscopia permite al mismo tiempo la detección, evaluación y tratamiento de lesiones asociadas ligamentarias, meniscales y osteocondrales.
Y por último, la elevación desde medial del hundimiento y usando el tejido esponjoso del lado sano, logramos evitar la toma de injerto de cresta ilíaca, con lo que se reduce la morbilidad posoperatoria.
BIBLIOGRAFÍA
- Blokker CP, Robrabeck CH, Bourne RP. Tibial plateau fractures and analysis of treatment in 60 patients. Clin Orthop 1984; 182: 193-9.
- Abdel-Hamid MZ, Chang CH, Chan YS Lo YP, Huang JW, Hsu KY, Wang CJ. Arthroscopic evaluation of soft tissue injuries in tibial plateau fractures: retrospective analysis of 98 cases. Arthroscopy 2006 Jun;22(6):669-75.
- Buchko GM, Johnson DH. Arthroscopy assisted operative management of tibial plateau fractures. Clin Orthop 1996; (332): 29-36.
- Vangsness C, Gharderi B, Hohl M, Moore T. Arthroscopy of meniscal injuries with tibial plateau fractures. JBJS 1994;76B:488-490.
- Mallik AR, Covall DJ,Whitelaw GP. Internal versus external fixation of bicondylar tibial plateau fractures. Orthop Rev 1992; 21: 1433-6.
- Chan YS, Chiu CH, Lo YP, Chen AC, Hsu KY, Wang CJ, Chen WJ Arthroscopy-assisted surgery for tibial plateau fractures: 2- to 10-year follow-up results. Arthroscopy 2008 Jul;24(7):760-8.
- Chan YS, Yuan LJ, Hung SS, et al. Arthroscopic-assisted reduction with bilateral buttress plate fixation of complex tibial plateau fractures. Arthroscopy 2003; 19 (9): 974-84.
- Fowble C, Zimmer J, Schepsis A. The role of arthroscopy in the assessment and treatment of tibial plateau fractures. Arthroscopy 1993; 9:584-5
- Mallik AR, Covall DJ,Whitelaw GP. Internal versus external fixation of bicondylar tibial plateau fractures. Orthop Rev 1992; 21: 1433-6.
- Scheerlinck, C. S. Ng, F. Handelberg, P. P. Casteleyn. Medium-term results of percutaneous arthroscopically assisted osteosynthesis of fractures of the tibial plateau. J Bone Joint Surg [Br] 1998;80-B:959-64.
- Kayali C, Öztürk H, Altay T, Reisoglu A, Agus H. Arthroscopically assisted percutaneous osteosynthesis of lateral tibial plateau fractures. J Can Chir, Vol. 51, No 5, 2008.
- Pogliacomi F, Verdano M, Frattini M, Costantino C, Vaienti E, Soncini G. Combined arthroscopic and radioscopic management of tibial plateau fractures: report of 18 clinical cases. Acta Biomed 2005; 76; 107-114.
- Bennett WF, Browner B. Tibial plateau fractures a study of associated soft tissue injuries. J Orthop Trauma 1994;8(3):183-8.
- Blokker CP, Rorabeck CH, Bourne RB. Tibial plateau fractures, an analysis of the results of treatment in 60 patients. Clin. Orthop. 1984;182:193-9.
- Wadell JP, Johnton DWC, Neidre A. Fracture of the tibial plateau: a review of ninety-five patients and comparison of treatment methods. J Trauma 1981;21:376-381.
- The role of arthroscopy in the assessment and treatment of tibial plateau fractures.M.D.Coleman D. Fowble1M.D. John W. Zimmer1M.D. Anthony A. Schepsis
- Fractures of the tibial plateau.Apley AG. Orthop Clin North Am. 1979 Jan;10(1):61-74.
