LCP Técnica Todo Adentro (All Inside)
Dr. Daniel Slullitel*; Dr. Hernán Galan; Dr. Esteban Suarez; Dr. Rodrigo Urbaneja; Dra. Vanina Ojeda Sulzle;Dr. Matías Seri; Dra. Lucia López
RESUMEN: En los últimos años surgieron varias nuevas técnicas de reconstrucción de Ligamento Cruzado Posterior (LCP), para tratar de reproducir la anatomía normal de ligamento nativo. Además para tratar de disminuir al máximo el dolor post-operatorio y mantener la mecánica normal de la rodilla, utilizamos como injerto para el neo-ligamento, un aloinjerto de Tendón de Tibial Anterior, ya que con este podemos obtener un neo-ligamento del espesor necesario. El propósito de este artículo es el de describir una nueva técnica para reconstrucción de LCP doble banda, con 2 (dos) túneles femorales y 1 (uno) tibial, dichos hoyos los realizamos con la mecha retrograda, descripta por Puddu 2, con la utilización de aloinjerto de Tendón de Tibial Anterior y utilizando un Retrobutton para la fijación a nivel tibial. Describimos una técnica de reconstrucción de LCP doble banda, que puede ser utilizada tanta para reconstrucciónprimaria, como para revisión. Creemos nosotros que esta técnica simula mejor la anatomía normal de la rodilla en todo su rango de movilidad, es altamente reproducible y baja morbilidad.
ABSTRACT: Retrograde drilling permits in PCL reconstruction safety preserving neurovascular bundle. Thanks to minimizing passage front to back and protecting and sparing it with the head of the drill from the PCL. Also as medial tibial cortex is intact we can use a Retrobutton that facilitates fixation in one pass and has its advantages in cyclic loading. We have developed a new technique to use these advantages and also by using a retroscrew in the PM Bundle. We can perform an All Inside PCL reconstruction fixing anatomically in flexion the AM band and in extension the PM to replicate PCL anatomy quite closely
Key Words: PCL reconstruction, All Inside, Retrodrill, Retrobutton.
INTRODUCCION
En los últimos años surgieron varias nuevas técnicas de reconstrucción de Ligamento Cruzado Posterior (LCP), para tratar de reproducir la anatomía normal de ligamento nativo. Anatómicamente el LCP consta de dos componentes: la Banda Anterolateral (BAL) y la Posteromedial (BPM). La Anterolaterales la más gruesa y fuerte de las dos. Ambas bandas demuestran patrones de tensión recíproca en distintos grados de flexión. Las fibras dela Anterolateral aumentan su tensión con la flexión de la rodilla, mientras que la Posteromedial con la extensión de la misma. Algunos autores también reportan que la banda Posteromedial, experimenta aumento de la tensión en la flexión extrema (6).
Varios estudios biomecánicas (7) demuestran que la reconstrucción de ambas bandas presentó una mejor restauración de la mecánica normal, que la que se observa con la reconstrucción mono banda.(La Banda Anterolateral).Para la realización de los hoyos, utilizamos la mecha retrógrada, descripta por Puddu (2), y perfeccionada por Lubowitz (8) para la reconstrucción del Ligamento Cruzado Anterior (LCA). Nosotros tratamos de utilizar estas técnicas para realizar una que nos permita la reconstrucción del LCP. Además la encontramos más segura, ya que la mecha enganchada en la Guía Constant nos permite desplazar hacia atrás las estructuras neurovasculares posteriores, como así también el tamaño de la mecha actúa como escudo de estas estructuras, y además, que laguía pasa en un solo paso de adelante hacia atrás, disminuyendo aún más el riesgo de lesionarlas. También con esta mecha no violamos la cortical tibial, permitiéndonos realizar una fijación con un Retrobutton, con las ventajas mecánicas y la facilidad que este medio de fijación nos provee. Además, para tratar de disminuir al máximo el dolor post-operatorio y mantener la mecánica normal dela rodilla, utilizamos un aloinjerto de Tendón de Tibial Anterior, ya que con éste podemos obtener un neo-ligamento del espesor necesario. A pesar de existir en la literatura mundial trabajos sobre reconstrucción de este ligamento (4, 6, 7), ninguno de ellos utiliza para la fijación distal, un retrobutton para la fijación distal.El propósito de este artículo es el de describir una nueva técnica para reconstrucción de LCP doble banda, con 2 (dos) túneles femorales y 1(uno) tibial, la utilización de aloinjerto de Tendón de Tibial Anterior y la fijación tibial mediante un Retrobutton.
MATERIAL Y METODO
El material necesario es una Guía Constant con mecha retrógrada de varios diámetros, tanto la guía para LCA como la de LCP, Pin Guía de Mecha Retrógrada reglada, Fiberstick, Over de top para realizar hoyos desde el portal antero-medial.
Neo-ligamento:
Para preparar el neo-ligamento utilizamos aloinjerto cadavérico de Tendón de Tibial Anterior. El cual es trabajado para obtener un extremo distal (tibial), tendinoso de 11mm de diámetro y dos extremos proximales (femorales), también tendinosos de 7mm y 8 mm. A los 3 extremos se le realizan una sutura tipo Krakow con hilos Ethibond de 2, de un largo, cadasutura, de 25mm. Al extremo tibial (11 mm) se le añade el RetroButton (Arthrex), de la medida necesaria teniendo en cuenta el largo de la tibia y el largodel hoyo tibial. Y al de 7mm, que es la banda Postero-Medial, se le coloca una varilla de Nitinolque va a servir para el pasaje del destornillador de Retroscrew.
Portales:
El portal lateral (PL) para la cámara se realiza lateral al tendón rotuliano a la altura del polo inferior dela misma. Para el portal de trabajo realizamos un incisión oblicua de aproximadamente 2 cm. medial al tendón rotuliano. Este portal medial (PM), tiene que ser de estas características, ya que mediante él vamos a realizar uno de los orificios femoral y luego el pasaje del injerto.
Técnica Quirúrgica
Posición del paciente
El paciente se ubica en decúbito dorsal sobre la camilla. La rodilla se coloca en una piernera que permite que la rodilla a la cual se le realizará la artroscopia pueda extenderse y flexionarse libremente. Y la rodilla contralateral descanse en leve abducción y flexión.
Técnica Artroscópica
Lo primero que debe realizarse es un shaving de lag rasa de Hoffa, plica sinovial y resto de Ligamento Cruzado Posterior remanente. Para la realización de ésto también colocamos una cánula Postero interna que nos permite visualizar bien la inserción tibial de LCP (Foot Print). Una vez que tenemos una buena visualización del intercondilo (es muy importante tener bien visualizado la pared posterior del cóndilo interno, ya que esto nos servirá para la realización de los hoyos femorales. Primero comenzamos con la realización del hoyo tibial, colocando por el PM la Guía Tibial Retrógrada(Guía Constant, Arthrex) (Fig.1) con mecha de11mm sobre el Foot Print del LCP, (esta guía nos permite desplazar hacia atrás la cápsula posterior).Hacemos un incisión en piel de 2mm sobre la cara antero-interna de la tibia y pasamos el pin guía; se engancha la mecha, y siempre haciendo avanzar la guía en sentido de las agujas del reloj, se comienza a hacer fuerza hacia atrás, y así se comienza a hacer el hoyo tibial. Una vez que ya hemos labrado el hoyo, se hace regresar la mecha para vuelva a contactar con la Guía Femoral Retrógrada, momento en el cual se coloca el perforador en reversa para que la mecha quede enganchada en la guía nuevamente. Ahí se retira la Guía Femoral Retrógrada, dejando solo el Pin Guía. La varilla guía viene reglada con marcas cada 5 mm, lo que nos permite conocer el largo tibial. Habitualmente este largo es de 70mmaproximadamente, siendo recomendado dejar 10mm sin perforar para no violar la cortical tibial. Ya terminado, pasamos una Fiberstick por el pin guía, el cual recuperamos por el PM, hilo el cual nos servirá para pasar el neo-ligamento.

Figura 1: Realización de Hoyo tibial sobre el LCP (A).Con la mecha tibial retrógrada (C).Se observa el pin Guía(B) que esta por enganchar la mecha. La mecha desplaza la capsula posterior, protegiendo las estructuras nobles(D).
Para la realización del hoyo Anterolateral colocamos por el PM la Guía femoral Retrógrada con la mecha de 8 mm; realizándolo del mismo modo que el hoyo tibial. Luego realizamos el hoyo Postero-Medial, de forma anterógrada, por el PM colocamos el Over de Top, especial para la realización mediante el portal Antero-Medial y pasamos varilla con ojal, que nos servirá de guía para la mecha canulada de 7 mm. Lo realizamos de esta manera, y no con la mecha retrógrada, para poder lograr la divergencia de ambas bandas. Dos cosas son muy importantes en la realización de estos hoyos; uno es hacerlos lo más largo posible (40 mm aproximadamente)para prevenir que el neo-ligamento no entre en su totalidad y nos queda laxo, y otra es dejar un puente óseo de 2 mm, como mínimo, para evitar la convergencia. Dejamos reparados los 2 femorales. Para reparar el antero-lateral, en el cual tenemos todavía colocado el pin guía, pasamos a través de éste una varilla de nitinol, la cual recuperamos por el PM y le colocamos un Fiberwire (Arthrex), traccionamos entonces ahora del pin guía, trayéndonos el Fiberwire. Para el hoyo Postero-Medial solo pasamos un Fiberwire por la varilla canulada y traccionamos de la misma. Es importante que estos dos Fiberwire sean de distintos colores, para después favorecer la identificación de ambos hoyos. En caso de realizarlos del mismo diámetro esto no sería necesario. Una vez labrados y reparados los orificios (2 femorales y 1 tibial), pasamos a la colocación neo-ligamento. Esto se logra con el siguiente maniobra, se toma el fiberwire que dejamos afuera del portal antero-medial, y lo atamos al Loop del Retrobutton, al traccionar hacia distal el extremo entrara en el orificio tibial (Fig.2A, 2B) y queda fijado a la cortical tibial externa. En un solo movimiento, haciendo esto más fácil y acortando el tiempo quirúrgico.

Figura 2A: Pasaje del Neo-Ligamento con la sutura (A)por el hoyo tibial mediante los hilos de tracción del retroboton (B). Observamos también el Fiberwire (C), que nos permitirá el pasaje de las bandas femorales.

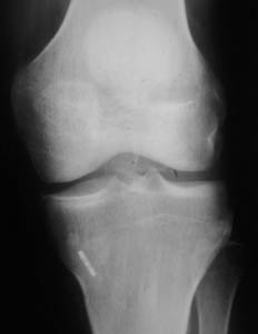
Figura 2B: Radiografía Rodilla de Frente donde podemos observar el Retrobuttom anclado en la cortical tibial
Una vez pasado por el orificio tibial, comenzamos el pasaje de las 2 bandas femorales. Primero recuperamos el fiberwire del túnel Postero-Medial, y los anudamos a los hilos de la banda del neo-ligamento de 7 mm, y traccionando de dicho fiberwire, hacemos ingresar el injerto (Fig. 3). Mediante esta maniobra también dejamos afuera la varilla Nitinol, la cual nos permite el pasaje del destornillador de Retro (Fig. 4). Pasamos a través del un Fiberstick (Arthrex), lo recuperamos por el portal AM, colocamos el retroscrew. Ahora procedemos a fijar esta banda con la rodilla colocada en extensión (Fig. 5), maniobra que no puede ser realizada con los otros medios de fijación, desarrollados previamente. Del mismo modo procedemos al pasaje de la banda de 8 mm (Antero-Lateral),y a la fijación de la misma un tornillo bio-interferencial con la rodilla en flexión de 70º y cajón anterior(Fig. 6).En el post-operatorio lo dejamos inmovilizado en extensión por 21 días, permitiendo la carga con muletas; luego comenzando con ejercicios de flexión, no permitiendo los ejercicios de isquiosurales contra resistencia por un lapso de 6 semanas; retornando a los deportes aproximadamente entre los 9 – 12meses posteriores a la cirugía.

Figura 3: Pasaje de la banda Postero-Medial. Se observa anclado en Retrobuttom en la cortical tibial. Observamos también el fiberwire (C) que atamos a la sutura del neo-ligamento (A) y a la varilla nitinol (D) permitiéndonos el pasaje de la banda PM. La banda PM presenta la varilla nitinol (D) que permitirá colocar el Retrodriver. (Gráfico esquemático, donde se sustrajo la banda AL para quesea demostrativo)

Figura 4: Colocación del Retrodriver (R) a través de la varilla de nitinol (D) para la fijación de la banda Postero-Medial

Figura 5: Imagen Artroscópica de la fijación de la Banda Postero-Medial (PM) mediante el Retroscrew (RS). Observamos también la banda Antero-lateral (AL) previa a ser introducida y fijada.

Figura 6: Neo Ligamento. Se observan las 2 bandas femorales fijadas (la PM con un Retroscrew – RS – y la AL con un bio-interferencial -BI-)
DISCUSION
La reconstrucción del LCP es un procedimiento de mandante, y la reconstrucción anatómica es esencial para obtener una buena reconstrucción de la biomecánica normal de rodilla. En este trabajo presentamos una nueva técnica de reconstrucción de LCP doble banda todo adentro. La realización de hoyos con esta mecha retrograda fue descripta por Puddu (2), pero sólo en la reconstrucción del LCA, la ventaja que tiene este modo de realizar los hoyos es que no se viola la cortical tibial distal, reduciendo el dolor, la formación de hematomas y/o granulomas tíbiales. Como así también permite la fijación, en un solo paso, con un dispositivo de fijación cortical (Retrobutton). Otra ventaja muy importante, es que nos permite desplazar hacia atrás la cápsula posterior, maniobra esencial para proteger las estructuras nobles del hueco poplíteo. Con la utilización de aloinjerto, disminuimos las morbilidades del sitio donante, tales como disminución de la fuerza extensora, artrofibrosis, dolor femoro-rotuliano, tendinosis rotuliana, y/o fractura patelar. También presenta la ventaja de que es un injerto largo, cualidad que es necesaria para la restauración de la banda Postero-medial. Para la fijación tibial utilizamos un RetroButton (Arthrex), medio de fijación que utilizamos ya que nos permite una fijación segura y rápida, acortando así el tiempo de cirugía. Y con la utilización de un Retroscrew 1 en la fijación de la banda Postero-Lateral, ya que ésta no permite fijarla con la rodilla en extensión, momento en que esta banda está en máxima tensión en un L.C.P. intacto. En resumen, describimos una técnica de reconstrucción de LCP doble banda, que puede ser utilizada tanto para reconstrucción primaria, como para revisión. Creemos nosotros que esta técnica simula mejor la anatomía normal de la rodilla en todo su rangode movilidad, es altamente reproducible y baja morbilidad (4).Hemos realizado 23 reconstrucciones de LCP aislado con reconstrucción simultánea de LCA en un mismo tiempo quirúrgico, todo all inside. Creemos que necesitamos más casos y mayor tiempo postoperatorios para poder evaluar completamente dicha técnica.
REFERENCIAS
- Morgan C., Stein D., Leitman E., Kalman V. AnatomicTibial Graft Fixation Using a Retrograde Bio-InterferenceScrew for Endoscopic Anterior CruciateLigament Reconstruction. Arthroscopic 2002; 18:1-8
- Puddu G., Cerullo G. My Technique in Femoral Tunnel Preparation: The “retro-drill” Technique. Arthroscopy2005; 20:224-227.
- Slullitel D, Suarez E, Galan H., Reconstruccion delLigamento Cruzado Anterior “Todo Adentro” con Tendón Cuadricipital.
- Makino A, ApontLe, y Aersa M., Anatomic ouble-Bundle Cruciate Ligament Reconstruction Using Double Tunel with Tibial Anterior and PosteriorFresh-Frozen Allograft, Arthroscopic 2006; 684e1-684e5.
- Spencer K. Y. Chang, M.D., Darren K. Egami, M.D.,Mark D. Shaieb, M.D.,Darryl M. Kan, M.D., and Allen B. Richardson,M.D., Anterior Cruciate Ligament Reconstruction:Allograft versus Autograft, Arthroscopy 2003;19:453-462
- Giffin R., Haemmerle M., Single- Versus Double-Bundle PCL Reconstruction: The Journal of kneeSurgery 2002; Vol 15 Nº 2.
- Bullis DW, Paulos LE. Reconstruction of the posteriorCruciate ligament with allograft. Clin SportsMed 1994;13:581-597.
- Lubowitz J. H. No Tunnel Anterior Cruciate LigamentReconstruction: The Transtibial All-insideTechnique. Arthroscopy 2006;22:900e1-900e11.
