Angioleiomioma de alerón medial como causa de dolor anterior de rodilla
Dr. Carlos. M. Autorino, Dr. Horacio F. Rivarola Etcheto, Dr. Cristian. C. Collazo, Dr. Andres Aliaga Sáenz,Dr. Emiliano Alvarez Salinas, Dr. Javier Anaya
RESUMEN: Se presenta un caso de dolor de cara anterior de rodilla de causa tumoral de partes blandas en el alerón patelar medial, en un paciente de 50 años. Se realizó biopsia por resección de la tumoración, El estudio anatomo patológico concluye el diagnóstico de Angioleiomioma. No se han hallado citas comunicando dicha localización. A pesar de su limitada dimensión, se presumió la etiología al configurarse el síndrome: dolor + masa palpable
ABSTRACT: We report a case of anterior knee pain due to a soft tissue tumor in the medial patello femoral ligament of a 50years old patient. The diagnosis of angioleiomyoma was made through an histopathology study. To our knowledge this is the first description of angioleiomyoma in this localization
Key words. Patello femoral pain, Soft tissue tumor, Angioleiomyoma
CASO CLÍNICO
C. P. Varón. 50 años de edad.
Motivo de consulta y antecedentes:
El paciente realizó consulta de segunda opinión por dolor de cara anterior de rodilla izquierda de 2 años de evolución, luego de varias consultas previas a otros colegas, con persistencia del dolor a pesar de diversos tratamientos. Entre dichos tratamientos destacaba una serie de 40 sesiones de tratamiento fisiokinésico con diagnóstico de Síndrome Patelo Femoral. El paciente era deportista activo (maratonista) acreditando carreras de 12 km tres veces por semana. En base a un interrogatorio dirigido el paciente describió el dolor como localizado puntualmente, vinculado con la palpación directa y a determinados movimientos durante el entrenamiento deportivo. La localización era siempre la misma (alerón medial),sin vinculación con la administración de medicación, sin percepción de cuerpos libres, sin episodios de flogosis ni hipertemia y sin antecedentes de heridas ni punciones locales.
Semiología clínica
La semiología clínica permitió registrar una rodilla normoalineada, estable, con regiones parameniscales asintomáticas, con desarrollo trófico normal, sin choque patelar ni expresión de fenómeno inflamatorio sinovial. La palpación sistemática permitió identificar el sitio de dolor localizado con característica de dolor a la palpación unidigital (“one finger pain”) en alerónmedial. Se identificó una tumoración redondeada, renitente, de alrededor de 7 mm de diámetro, sin adherencia del tegumento y solidaria con el plano capsular. No se detectó boca fistulosa. La percusión de la lesión despertaba el mismo dolor que había llamado originalmente la atención al paciente, si bien resultaba negativo el signo de Tinnel.
Semiología por imágenes:
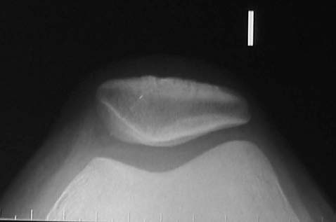
RX simple: buen eje patelofemoral, no se halló evidencia de cuerpo libre osteocondral. (Fig. 1)Resonancia magnética: se identificó una tumoración en el alerón patelar medial, circunscripta, de 7mm de diámetro, localizada en el sector parapatelar medial, a nivel del plano de sección transversal mediopatelar.T1-T2 sin y con gadolinio. (Fig. 2 A-B)

Figura 1: Rx Merchant. Buen eje patelo femoral

Figura 2A: Imagen axial en T1 sin contraste EV: Se observa imagen isointensa en T1, de bordes netos, que contacta al ligamento alar interno

Figura 2B: Imagen axial en T1 con gadolinio: Se identifica franco realce homogéneo de la imagen, de bordes netos, ovalada, que contacta al ligamento alar interno
Plan terapéutico
Se programó el procedimiento quirúrgico en dos tiempos:
1º Tiempo:
artroscopia con el objetivo de exploración sistemática articular, focalizando en la exploración:
a) sinovial (búsqueda de focos de osteocondromatosis)
b) condral (áreas de condropatía “abierta”).
c) del alerón comprometido (proyección intraarticular de la tumoración).
2º Tiempo:
biopsia por resección de la tumoración, según protocolo considerando la presunción de TPB menor de 5 cm de diámetro.
Procedimiento
Se procedió según el siguiente plan:
1º Tiempo: Artroscopia.
- Semiología condral normal.
- Semiología ligamentaria normal.
- No se hallaron fragmentos meniscales “inestables”
- La articulación patelo femoral era congruente no apreciándose impronta articular de la tumoración.
2º Tiempo: Biopsia por resección de la tumoración.
a) exposición quirúrgica mínimamente invasiva transversal, paralela a pliegues tegumentarios, procurando identificar vinculación de la tumoración con ramas infrapatelares del safeno.
b) Hallazgo: se identificó una tumoración blanquecina de 7 x 5 mm asentando íntimamente en la cara externa del alerón medial, de consistencia elástica, sin vinculación directa con ramas infrapatelares del n. safeno. (Fig. 3)
c) Exéresis tumoral con márgenes “técnicos” conformando una pieza de resección quirúrgica losángica de 15 x 10 mm, la cual incluía a la tumoración en su sector central. (Fig. 4)

Figura 3: Tumoración en contacto con el alerón medial
Diagnóstico anatomopatológico:
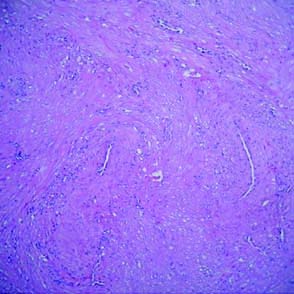
La exéresis fue completa con márgenes suficientes. Macroscópicamente se evidenció una tumoración de 1.4 por 0.8 por 0.6 de color blanquecino, consistencia elástica, y con un área sólida blanquecina de mayor consistencia de 0.7 por 0.5cm. (Fig. 4).El examen microscópico mostró proliferación de células fusiformes sin atipía, dispuestas en haces y rodeando estructuras vasculares de paredes gruesas. Resultando positiva la inmuno marcación para actina muscular específica y CD 34 para endotelio, se concluye el diagnóstico angioleiomioma.(Fig 5,6 y 7)
Evolución clínica
El paciente evolucionó asintomático desde el postoperatorio inmediato. La remisión sintomática fue completa, cumpliendo a los 2 meses del postoperatorio su expectativa de reintegro a la actividad deportiva intensiva similar a la preliminar.

Figura 4 :Pieza quirúrgica resecada con márgenes.

Figura 5: Proliferación de fibras musculares lisas asociadas a vasos de grueso calibre. (H-E)

Figura 6: Inmunomarcación para actina muscular especifica

Figura 7: Inmunomarcación con CD 34 para endotelios.
DISCUSION
El dolor de cara anterior de rodilla es uno de los motivos de consulta ambulatoria más frecuentes en un consultorio especializado en Patología de Rodilla. El diagnóstico prevalente corresponde al síndrome patelofemoral en sus diversas formas de presentación clínica (síndrome de hiperpresión, síndrome de fricción, rodilla del saltador, tendinopatía, desalineación del aparato extensor, etc.). El dolor de cara anterior de rodilla de causas tumorales infrecuente. La casuística publicada se refiere particularmente a los tumores óseos (osteoma osteoide, tumor de células gigantes, etc). No ha sido posible hallar series referidas específicamente al angioleiomioma. Se atribuye a Stout la denominación original de “angioleiomioma”,si bien la misma lesión ya había sidodescripta por Axel Key con el nombre de "tubérculo doloroso leiomiomatoso", enfatizando su característica expresión álgica. (1, 2)
La Organización Mundial de la Salud reconoce tres subtipos histológicos de leiomiomas:
a) leiomiomas sólidos (verdaderos leiomiomas)
b) leiomiomas vasculares (angioleiomiomas-angiomiomas).
c) leiomiomas epiteliales (leiomioblastoma) (3).
El caso estudiado corresponde al subtipo histológico “leiomioma vascular”. El angioleiomioma ha sido asimismo denominadoangiomioma o leiomioma vascular, siendo considerado “parte del espectro morfológico del miofibroma y del miopericitoma”. (4)Según la descripción clásica se origina a partir del músculo liso vascular en dermis y tejido celular subcutáneo, constituyendo el 5% de todas las neoplasias benignas de tejidos blandos y el 25% del conjunto de los leiomiomas superficiales. (5, 6, 7)Una particularidad destacable correspondiente al caso que se presenta consiste en que su localización topográfica no era dérmica ni en TCS sino que hacía cuerpo con la cara externa del alerón medial. La incidencia publicada es considerada baja. (8)Parece razonable considerar que dada la reducida dimensión de la lesión pueda en realidad existir subregistro por falta de diagnóstico en las series ortopédicas. Se han tipificado tres variedades de angioleiomiomas:(9)
1) Sólido: variante más común, caracterizada por fibras de músculo liso compacto con pequeños canales vasculares
2) Venoso: con paredes musculares gruesas fácilmente identificables
3) Cavernoso: los canales vasculares son dilatados, componente de músculo liso escaso. La observación del presente caso es coincidente con la variedad “sólido” de la clasificación:
a) Macroscópicamente: nódulo firme, bien circunscripto, blanquecino o grisáceo, de no más de 2 cm de diámetro.
b) Microscópicamente: las fibras musculares lisas adoptan una histoarquitectura en fascículos bien circunscriptos alrededor de los vasos, cuyo endotelio es normal. No se registraron hemorragia, necrosis, actividad mitótica, vasculitis ni displasia fibromuscular.
El fenotipo responde de manera característica a la marcación con los siguientes Ac: actina fibra muscular lisa alfa, desmina, vimentina y colágeno IV. La marcación con HMB 45 es negativa, lo cual permite el diagnóstico diferencial con el angiolipoma, en el cual dicha marcación es positiva. (10, 11, 12, 13)Se han descripto casos infrecuentes en los cuales se han documentado focos de calcificación (14) y de células epitelioides (15).En el presente caso el cuadro semiológico pudo ser caracterizado desde el punto de vista sindrómico como dolor de cara anterior de rodilla de localización precisa (“one finger pain”) coincidentemente con una masa palpable .Se consideró el diagnóstico presuntivo de tumor departes blandas. En base a la presunción diagnóstica se solicitó alimagenólogo que estudie selectivamente con cortes finos, previo reparo tegumentario, al sector anatómico comprometido. Se jerarquizaron las siguientes características semiológica spara orientar el diagnóstico presuntivo ydiferencial:1- Dolor, 2- Masa palpable.
1- Dolor:
La maniobra semiológica relevante consistió en la exploración percutoria sistemática de área digital e instrumentalmente mediante la extremidad de una pinza de Kocher curva (maniobra preconizada para identificación de neuromas de amputación).
Signos negativos
a) El signo de Tinnel negativo orientó la presunción de que no estaban comprometidas las ramas infrapatelares de n. safeno, (en caso positivo se hubiera orientado la presunción a compresión extrínseca o a neuroma).
b) sin signos de dolor referido (raquis, cadera).
c) sin antecedentes de heridas punzantes (dolor diferido con neuromas de amputación).
d) sin antecedentes ni signos infecciosos ni picaduras (dolor diferido con pústulas, fístulas y aguijones residuales)
e) semiología meniscal y ligamentaria normal.
f) alineación de la rodilla y del aparato extensor fisiológicas.
El angioleiomioma es uno de los tumores y seudotumores de partes blandas que genera dolor, correspondiendo por tal síntoma el diagnóstico diferencialcon: glomus, angiolipoma, espiroadenoma ecrino y neuroma de amputación. Se estima que el dolor está presente en más del 60%de los casos, pudiendo exacerbarse con el calor, el frío y la presión. La patogenia del dolor ha sido atribuida a diversos factores: (16, 17, 18)
a) compresión de los filetes nerviosos dentro del tumor o bien en su periferia.
b) liberación de mediadores desde los mastocitos.
c) vasoconstricción e isquemia consecuente.
2- Masa palpable
No era móvil, por lo cual se descartaba el cuerpo libre intraarticular. Era único, por lo cual se descartaba la condromatosis artricular. Palpatoriamente, se reconoció que el tegumento deslizaba libremente y la tumoración hacía cuerpo con el alerón medial.
BIBLIOGRAFIA
- Stout AP. Solitary cutaneous and subcutaneousleiomyoma. Am J Cancer 1937; 29: 435-69.
- Delgado V, Camacho F, Naranjo R, Dulanto F. Angioleiomiomas:Estudio clínico, Histológico y ultraestructural.Actas Dermo-Sifilográficas 1980; Julio-Agosto: 277-82.
- Enzinger FM, Lattes R, Torloni H. Histological Typingof Soft Tissue Tumours. Geneva: World HealthOrganisation 1969;30-31.
- Matsuyama A, Hisaoka M, Hashimoto H. Angioleiomyoma:a clinicopathologic and immunohistochemicalreappraisal with special reference to the correlationwith myopericytoma. Hum Pathol2007;38:645.
- M. Macías-López, M. del S. Chávez-García, C. ortiz-Hidalgo. Angioleiomioma de la glándula suprarrenal.Un tumor benigno poco frecuente en un sitio anatómicopreviamente no descrito. Rev Esp Patol 2008;41 (4): 307-310.
- Ramesh P, Annapureddy SR. Khan F, Sutaria P. Angioleiomyoma:a clinical, Pathological and radiologicalreview. Int J Clin Prac 2004; 58: 587-91.
- Montgomery H, Winkelmann RK. Smooth muscletumors of the skin. Arch Dermatol. 1979; 79: 32
- S. Amillo Garayoa, M. Leyes Vence, R. Martinez Peric,M. San Julian Aranguren Angioleiomioma de nervio periférico.Rev Esp Cir Osteoart 1992; 27: 345-347
- Matsuyama A, Hisaoka M, Hashimoto H. Angioleiomyoma:a clinicopathologic and immunohistochemicalreappraisal with special reference to the correlationwith Myopericytoma. Hum Pathol 2007;38: 645-51.
- Marioni G, Marchese-Ragona R, Fernandez S, BruzonJ, Marino F, Staffieri A. Progesterone receptorexpression in angioleiomyoma of the nasal cavity.Acta Otolaryngol 2002;122:408.
- Chih-Jung Chen, Ming-Tang Lai, Chia-Yuen Chenand Chia-Lang Fang. Vascular leiomyoma of the nasalcavity: case report. Chinese Medical Journal2007;120:350.
- Domanski HA. Cytologic features of angioleiomyoma:cytologic-histologic study of 10 cases. DiagnCytopathol 2002;27:161.
- F. Boutayeb, A. El Ibrahimi, F. Chraibi, and K. Znati.Leiomyoma in an Index Finger: Report of Caseand Review of Literature. Cancer 1984;54:126.
- Kacerovska D, Michal M, Kreuzberg B, MukensnablP, Kazakov DV. Acral calcified vascular leiomyomaof the skin: a rare clinicopathological variant of cutaneousvascular leiomyomas: report of 3 cases. J AmAcad Dermatol 2008;59:1000.
- Heffernan MP, Smoller BR, Kohler S. Cutaneousepithelioid angioleiomyoma. Am J Dermatopathol1998;20:213.
- Ramesh P, Annapureddy SR, Khan F, Sutaria PD.Angioleiomyoma:a clinical, pathological and radiologicalreview. Int J Clin Pract 2004;58:587
- Morimoto N. Angiomtoma (vascular leiomyoma): Aclinicopathologic study. Med J Kagoshima Univ1973; 24: 663-83.
- Magner D, Hill DP. Encapasulated angiomyoma ofthe skin and subcutaneous tissue. Am J Clin Pathol1961; 35: 137-41.
