Hemangioma cavernoso de rodilla Presentación de dos casos
Presentamos dos casos de hemangiomas cavernosos vasculares de rodilla en sus distintas formal; nodular y vesicular.
El hemangioma cavernoso es un tumor benigno de origen venoso poco frecuente haciendo su aparicion en adultos jovenes con sitio de preferencia en la rodilla.
Destacamos a la RNM como metodo auxiliar para su estudio, la que nos permite realizar una clasificacion artroscopica de los tumores intraarticulares de rodilla, en base a su ubicacion y a su aspecto.
En tal sentido de manera practica dividimos a estos tumores en preligamentarios, xutaligamentarios y postligamentarios.
La escasa sintomatologia que este tipo de tumor presenta dificulta un diagn6stico preciso con la RX y TAC. Nuestro interes es demostrar que la tecnica artroscopica resulta un metodo de gran utilidad par el tratamiento de los tumores intraarticulares.
ABSTRACT:
We present two cases of vascular cavernous hemangiomas of knee in their different forms; nodular and vesicular.
The cavernous hemangioma is a benign tumor of not very frequent veined origin making its appearance in young adults with preference place in the knee.
We highlight to the RNM like auxiliary method for their study, the one that allows to be carried out a classification artroscopy of the tumors rodilla, en intraarticulars bases to their location and their aspect.
In such a sense in a practical way we divide to these tumors in preligamentars, xutaligamentars and postligamentars.
The scarce sintomatology that this tumor type presents dificult a precise diagnosis with the RX and TAC. Our interest is to demosntrate that the technical artroscopy is a method of great utility for the treatment of the tumors intraarticulars.
INTRODUCCION
Los tumores intraarticulares en la rodilla son entidades pocos frecuentes.
El Hemangioma Cavernoso es un tumor vascular de origen venoso con localizacion en la rodilla. Existen otras entidades extrarticulares que son los hemangiomas vasculares que aparecen en la infancia con con localizacion en cabeza, cuello y que se distinguen en 2 grupos histologicos: el hemangioma capilar y venoso. Estos aparecen en el nacimiento y su diagnOstico es facil ya que se ubican en las mucosas de los labios, paladar, nariz, etc.
En cambio el hemangioma vascular de rodilla presenta una sintomatologia poco precisa y su diagn6stico no resulta sencillo.
Debemos sospechar esta patologia, las hemartrosis espontaneas de la articulacion sin antecedentes traumaticos en pacientes jovenes que periodicamente consultan por nuestros servicios de ortopedia.
Existen otras entidades clinicas que se manifiestan con derrames articulares especialmente en gente joven, estas estan presentee en las artritis reumatoidea juvenil, sinovitis vellosonodular, coagulopatias, osteocondritis disecante, hemofilia y en algunos casos de meniscos discoideos.
MATERIAL Y METODO
Durante el alio 1999, en el Servicio de Cirugia Artroscopica del hospital Militar Central fueron tratados 2 pacientes con tumores vasculares de rodilla.
CASO 1
El primero de ellos corresponde a un varon de 20 dios, estudiante, cuyo sintoma predominante eran bloqueos dolorosos en la rodilla. Este mismo se fue incrementando con el tiempo y en los ultimos meses aparecia en situaciones como el simple subir una escalera, como asi tambien durante la noche mientras dormia.
Se trata de un joven de 20 años que padece una gonalgia cr6nica derecha de varios atios de evolucion. En el interrogatorio efectuado relata que la aparici6n del dolor se da de manera discontinua, siendo este por momentos agudo sin sitio de preferencia alguno.
No presenta antecedentes traurnaticos importantes en su rodilla, pero se destaca la atrofia que afecta al milsculo cuadriceps.
Otra caracteristica de su examen es la aparici6n conjunta de un seudobloqueo a la flexion en 30 grados.
Las maniobras semiologicas meniscales y los test de Lachmman y Pivot Shift son negativos.
Presenta signor esporadicos de derrame articular cediendo espontaneamente con reposo y AINE
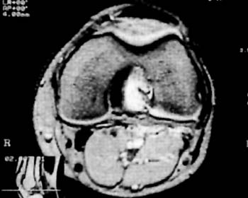
Los estudios Rx, y de TAC fueron en todos los casos negativos, en cambio, se destaca la RNM como metodo fundamental para su diagnostico. (Fig 1)
El mismo se caracteriza por su ubicacion central adosado al Ligamento Cruzado Posterior desplazando hacia lateral al Ligamento Cruzado Anterior.
Su densidad lo asemeja como un tumor con caracteristicas liquidas y su forma multilobulada ocupa practicamente el intercondilo femoral (Fig 2-3-4) En T2 es facilmente distinguible como una masa homogenea que ocupa todo el contorno del condilo femoral interno.
Los estudios de laboratorio no presentaron alteracion alguna.
La imagen artrosc6pica nos demuestra su coloracion rojiza y de aspecto vesicular semejante a "racimos de uva" (Figura 5)
Figura 1
Figura 2
Figura 3
Figura 4
Fig. 5: Hemangioma Vascular Vesicular de rodilla
Fig. 6: Hemangioma Vascular Nodular de rodilla
CASO 2
El segundo caso corresponde a una mujer de 18 alios cuyos sintomas eran similar a un sindrome rotuliano.
No referfa antecedentes traurnaticos de importancia pero lo llamativo era la aparicion de un recurrente derrame articular que le obligaba a concurrir frecuentemente a la consulta.
Mujer de 18 con sintomas semejantes a un sindrome rotuliano, con caracteristicas de dolor en cara anterior de rodilla, que los mismos se incrementaban al subir y bajar escaleras.
No presentaba antecedentes traumaticos importantes.
Al examen ffsico presento derrames articulares en la que fue necesaria realizar en varias oportunidades artrocentesis de su rodilla evacuando entre 40 a 60 cc de liquido hemorragico.
Solamente fueron realizados estudios Rx y de TAC siendo estos altimos negarivos.
No fue posible realizar RNM y en este caso se procedio en forma absoluta a efectuar la artroscopia de rodilla.
En este estudio se comprueba la aparici6n de un tumor vascular nodular ubicado delante del LCP. (Figura 6)
Tecnica quirtirgica
En estos dos casos se realizo anestesia raqufdea y se coloco manguito hemostatico.
Los portales utilizados fueron los clasicos anteriores interno y externo.
En el primero de los pacientes el tumor fue facilmente localizado por su coloracion rojoviolacea y se destaca su aspecto vesicular y multilobulado adoptando la clasica forma en "racimos de uvas". (Fig. 5)
Se encuentra ubicado sobre el LCP cubriendolo en su totalidad, y adherido al mismo.
Una vez identificado se procede a su liberacion y extirpaci6n. En este paso fue necesario el use del shaver a bajas revoluciones a 150-300 rpm evitando de esta manera el profuso sangrado en este tipo de tumor. Asi mismo se completo su extirpacion con pinzas resectoras banquet, duke-bill, etc.
Se tuvo la precaucion de no lesionar a los ligamentos cruzados anterior y posterior dado la vecindad de estos con el tumor.
Culminada la extirpacion del tumor se procedio a la completa exploracion de los compartimientos posteriores mediales y laterales y observando si existfan o no restos tumorales.
En el segundo caso el aspecto del tumor lo era en forma nodular su coloracion rojovinosa y su ubicacion por delante del LCP. (Fig. 6)
En la extirpacion de este tumor fue solo necesario utilizar pinzas y tijeras delicadas.
Finalizamos la cirugfa al comprobar la indemnidad en las dernas estructuras de la articulacion.
En el postoperatorio inmediato se inicia la descarga del miembro sin restricciones y con un plan de fortalecimiento muscular.
Estudio anatomopatologico
El informe presentado por el Dr. Gallardo indica fragmentos de tejido con estructura vasculares angiomatosas de tipo cavernoso, recubiertas por pare-des musculares lisas. Diagnostico; "Hemangioma cavernoso de origen venoso".
DISCUSION
Son pocos los trabajos cientificos que tratan sobre este tema. Los mismos hacen referencia a los pocos casos presentados, en tal sentido, el ntImero reportado por Seimon y col (29) en 1986 fue de solo 100 casos.
Lewis (17) present6 11 casos de su trabajo original. Moon (23) en 1973, 137 casos. Hasta la fecha, solo 200 tumores de origen vascular del tipo hemangioma de rodilla han sido reportados.
Todos los autores coinciden en la prevalencia de la aparicion de adultos jovenes y los sintomas concuerdan en su totalidad.
Algunos autores destacan en que debe tenerse en cuenta a aquellas hemartrosis espontaneas de la rodilla que aparecen en los adultos jovenes. (3-12-1415-16-22-27-28-34)
Se destaca lo complejo y dificil que significa arribar al diagnostico preciso con los estudios complementarios de rutina, siendo de capital importancia el uso de RNM, que permite identificar claramente la masa tumoral.
En nuestro caso particular nos pareci6 de suma importancia la utilizacion de la RNM como metodo de diagnostico especifico para el estudio en este tipo de pataologia, como asi tambien lo confirman Shapiro y Fanton (30)
Este estudio tambien nos permite estudiar con mas presición la ubicación que estos tumores adoptan dentro de la rodilla.
En tal sentido es de destacar una predileccion de los tumores de alojarse en el compartimiento anterior, medio y posterior, siendo de menor porcentaje la aparicion en los sectores laterales, tal como lo mencionan los distintos trabajos al respecto. (4, 5, 6, 7, 10, 11, 13, 19, 20, 21, 22, 24, 26, 33)
Stout (32) en su trabajo realiza una clasificacion anatomopatologica.
Por tal motivo creemos que nuestra clasificaccion en Preligamentaria (Anterior), Yuxtaligamentaria (Central) y Postligamentaria (Posterior) puede ser 661.
El otro detalle es con respecto a su aspecto. Nuestros 2 casos se diferencian claramente en dos formas Nodular y Vesicular.
TUMORES INTRAARTICULARES DE RODILLA
CLASIFICACION ARTROSCOPICA
ANTERIORES (Preligamentarios)
UBICACION CENTRALES (Yuxtaligamentarios)
POSTERIORES (Postligamentarios)
NODULAR
FORMA
VESICULAR
Distintos autores como Paley, Jackson (24) Juhl y Krebs (7) utilizan a la cirugia artroscopica como metodo diagnostico y terapeutico.
Otro estudio a tener en cuenta es la arteriografía como complemento diagnostico, este puede ser titil en los casos de hemangiomas subcutaneos que aparecen en otra parte de la extremidad. (20)
diversas opiniones son vertidas con respecto al tratamiento a utilizar en este tipo de lesion. Algunos autores consideran a la embolizacion selectiva (9) como alternativa, otros son partidarios de la reseccion a cielo abierto. (1, 7, 23, 26, 30)
La extirpacion artroscopica (3, 7, 24, 25) y en otro orden el uso del holmiun YAG laser, (2, 18) ha dado, segun la bibliografia buenos resultados para este tumor vascular. En otro sentido, otros sefialan que la radioterapia ha sido efectiva para resolver este tipo de lesion vascular (31) en los casos en que la extimacion no puede ser accesible. En nuestra opinion creemos que el empleo de la artroscopia resuelve en forma satisfactoria esta patologia.
CONCLUSION
Los tumores intraarticulares pueden manifestarse de diversas maneras. En algunos casos, la sintomatologia es de aparicion brusca con signos evidentes y clinicamente faciles de diagnosticar, en cambio, existen entidades que no suelen ser tan floridas y el uso de los elementos auxiliares de diagn6stico tampoco permiten llegar a un diagn6stico definitivo. En este caso particular creemos que la RNM es el metodo mas efectivo para su diagn6stico, y destacamos que la artroscopia se ha convertido en un recurso terapeutico de gran utilidad para el tratamiento de esta patologia.
Los resultados en este caso demostraron que la minima agresividad en la articulacion para la resolucion de este tipo de tumor vascular en la rodilla tiene un resultado altamente satisfactorio.
BIBLIOGRAFIA
- Aalbert JR: Synovial hemangioma of the knee. A cases report Acta Orthop Scand, 61. 88-89.
- Apfelberg DB, Maser MR, Lash H, White DN: Yag laser resection of complicated hemangiomas of the hand and upper extremity. Journal of Hand Surgery Vol 15 A 765-773. 1990.
- Boe S: Synovial Hemangioma of the knee joint. A case report Arthroscopy 1986: 2:'178-180.
- Byung - III Lee Jae-Eung Yoo Sung - Ho Lee Kyung - Dae: Mini Localized Pigmented Villonodular Synovitis of the Knee Arthroscopic treatment. Journal Arthroscopy Vol 14 N° 7 764768. 1998.
- Beguin J, Locker B, Vielpeau C, Souquiers G: Pigmented villonodular synovitis of the knee. Results from 13 cases Arthroscopy 1989. 5. 62-64.
- Delcogliano A, Galli , Menghi A, Belli P: Localized Pigmented Villonodular Synovitis of the knee Report of two cases of pat involvement Journal Arthroscopy Vol 14 N° 5 527-531. 1998.
- Juhl M, Krebs B: Arthroscopy and synovial hemangioma or gigant cell tumor gioma or gigant cell tumor of the knee. Arch Ortho Traumatic Surg 1989: 108, 250-2.
- Elliot AJ, Fulkerson JP: Skeletal muscle hemangioma. A cause of unexplained pain about the knee. Arthroscopy 1989. 5, 269-73.
- Gould ES, Potter HG, Huvos A, Furie R, Crystal KS: Case report 671 arteriovenous malformations of the right lower extreity with associated intraosseous hemangiomatosis Skel. Radiol 1991. 20; 303-5.
- Gozal D, Soudry M, Arad P, Jaffe M, Boos JH: Arteriovenousus hemangioma of the joint capsule of the knee in a child. E J Pediatr 1988. 148, 198-9.
- Ficher B, Munaretto F, Fritschy D, Peter R: An unusual arthroscopic discovery. An intraarticular schwannoma of the knee. Arthroscopic Vol 10 N°1, 113-117. 1994.
- Linson MA, Posner IP: synovial hemangioma as a cause of Recurrent knee effusions. J Am Med Assoc 1979; 242: 22145.
- Jacobsen KE. Andrews J: 5R Localized pigmented villonodular synovitis of the knee mimicking meniscal injury. Arthroscopy 1986. 2:217- 221.,
- Koch RA, Jackson DW: Juxtarticular hemangioma of the knee associated with a medial synovial plica. A case report. Am J Sport Med 1981; 9 265-267.
- Hawley WL, Ansell BM: Synovial hemangioma presenting as monoarticular arthritis of the knee. Arch Dis Chold. 56-558-560. 1981.
- Larsen IJ, Landry RM: Haemangioma of the synovial menbrane. J Bone Joint Surg AM 1969 51, 1210-1212.
- Lewis RC Jr, Coventry MB, Solule EH: Hemangioma of the Synovial membrane. J Bone Joint Surg [Am] 1959; 41:264-71.
- Lenchick L, Poznanski AK Donaison JS Sarwak JF. Case report 681 Synovial hemangioma of the knee, Skel Radiol 1991, 20, 230-1.
- Liu S, Osti I, Myrzayan R: Ganglion cyst of the anterior Cruciate ligament: A case report and review of the literature. Journal Arthroscopic Vol10 N°1 110-1121994.
- Mancini GV, Simone L, Bruno G, Pcci G: Localizated Pigmented villonodular Synovitis of the knee. Journal Arthroscopy Vol 14 N°5 532-536. 1998.
- Muscolo A, Makino A, Costa Paz M, Ayerza M: Sinovitis vellosonodular Pigmentada de rodilla, diagnostico con RNM y tratamiento Artroscopico. revista Argentina de Ortopedia y Traumatologfa vo162 n 2 257263.
- Meislin RJ, Parisien JS: arthroscopy excision of synovial hemangioma of the knee. Arthroscopy 1990, 6, 64-67.
- Moon NF: Synovial hemangioma of the knee joint. A review of previously reported cases and inclusion of the new cases. Clin Orth. 1973, 90. 183-190.
- Paley D Jackson RW: synovial hemangioma of the knee joint diagnosis arthroscopy. Arthroscopy. 1986, 2. 174-177.
- Pinar H, Bozkur M, Baktroug L, Karaoglan 0: Intrarticular hemangioma of the knee with meniscal and bony attachment. Journal Arthroscopy. Vol 13 N° 4, 1997, 507-510.
Servicio de Cirugla Artrosopica
Hospital Militar Central
Luis Maria Campos 726 - Bs. As. Argentina
